You are currently viewing a new version of our website. To view the old version click .
Diagnostics
  • Article
  • Open Access

31 July 2022

CD47 Expression in Non-Melanoma Skin Cancers and Its Clinicopathological Implications

,
,
,
,
,
,
,
and
1
Department of Pathology, Seoul Hospital, Hanyang University College of Medicine, Seoul 04763, Korea
2
Department of Dermatology, Seoul Hospital, Hanyang University College of Medicine, Seoul 04763, Korea
*
Authors to whom correspondence should be addressed.
This article belongs to the Special Issue Advances in the Diagnosis and Management of Tumors/Cancers

Abstract

CD47 is a cell surface molecule and regulates diverse cellular responses. CD47 is highly expressed in cancer cells and has potential as a therapeutic target and prognostic factor in cancer patients. The expression patterns of CD47 in basal cell carcinoma (BCC), squamous cell carcinoma (SCC) and its precursor lesions, and its clinicopathological significance were investigated. CD47 expression was evaluated by immunohistochemistry in 152 cases of BCC and 71 cases of SCC. For comparison of CD47 expression, actinic keratosis (AK), squamous cell carcinoma in situ (SCCIS), keratoacanthoma (KA), and normal skin (NS) tissue were used. CD47 expression in BCC was significantly lower than that of SCC (p < 0.001). CD47 expression levels in SCC and KA were significantly higher than those of NS and AK (p < 0.05). High CD47 expression was significantly associated with the presence of ulceration (p = 0.005) and a deeper level of invasion (p = 0.011) in BCC. In addition, high CD47 expression was significantly associated with the presence of ulceration (p = 0.019) and larger tumor size (p = 0.004) in SCC. CD47 expression was associated with tumorigenesis and tumor progression in non-melanoma skin cancers.

1. Introduction

Non-melanoma skin cancer (NMSC) is the most commonly diagnosed cancer worldwide [1]. Although cancer-related deaths from NMSC are very low, the incidence rate is increasing thereby making it an important healthcare issue [2,3]. With few exceptions, the majority of NMSC cases are basal cell carcinoma (BCC) and squamous cell carcinoma (SCC) originating from epidermal keratinocytes. BCC and SCC are commonly associated with risk factors, such as cumulative exposure to ultraviolet (UV) radiation and Fitzpatrick skin types I and II [4,5]. However, there are significant differences in etiology, molecular genetics, and prognosis of these two types of cancer [5,6].
Cluster of differentiation 47 (CD47, IAP) is a member of the immunoglobulin superfamily and is involved in diverse cellular responses by interaction with specific ligands, such as signal regulatory protein α (SIRPα) [7]. The CD47-SIRPα signaling pathway is relatively well known to prevent phagocytosis of macrophages [8]. In many studies, human cancer cells showed high CD47 expression and inhibition of the CD47-SIRPα signaling pathway using anti-CD47 antibodies promoted the removal of cancer cells. As a result, CD47 is considered a potential therapeutic target [9,10,11]. In addition, high CD47 expression is usually associated with poor prognosis in cancer patients, thus showing potential as a prognostic marker [12].
For NMSC, Akel et al. reported on CD47 expression in cutaneous SCC and its precursors. They identified that CD47 expression was significantly higher in squamous cell carcinoma in situ (SCCIS) compared to actinic keratosis (AK), and in SCC compared to SCCIS. They suggested that a gradual increase in CD47 expression is associated with tumor progression [13]. However, CD47 expression in BCC has never been reported and the clinicopathological significance of CD47 expression in NMSC has never been studied.
In this study, we investigated CD47 expression in BCC, SCC, and its precursor lesions using immunohistochemistry (IHC). In addition, we analyzed the association between clinicopathological parameters and CD47 expression in BCC and SCC.

2. Materials and Methods

2.1. Clinical Data Collection and Pathological Evaluation

Patients diagnosed with BCC or SCC at Hanyang University Hospital (Seoul, Korea) were enrolled in the study. To assess the correlations between CD47 expression and uncommon features in NMSC (local recurrence, perineural invasion, and metastasis), we included the maximum number of cases that were collectible for a limited period (September 2008 and June 2019). In all, 172 cases of BCC and 74 cases of SCC were retrospectively reviewed, of which 20 cases of BCC and three cases of SCC were excluded due to unavailable tumor tissue. An additional 145, 73, 19, and 20 samples of AK, SCCIS, keratoacanthoma (KA), and normal skin (NS) were obtained to compare CD47 expression with NMSC, respectively. Medical records were reviewed to obtain the clinical characteristics, including patient age, sex, tumor location, ulceration, local recurrence, and lymph node metastasis. A review of tissue slides and pathologic reports was performed by two pathologists (S.B. and S.P.). Tumor size, histological subtypes of BCC, histological grade of SCC, level of invasion, and perineural invasion were reviewed. Among the histological subtypes of BCC, micronodular, infiltrating, sclerosing/morphoeic, and basosquamous were considered aggressive growth patterns [14,15]. The histologic grade of SCC was divided using a three-level grading system (G1: well-differentiated, G2: moderately differentiated, and G3: poorly differentiated) according to the proportion of keratinizing tumor cells [16]. The basic characteristics of BCC cases and SCC cases are summarized in Supplementary Tables S1 and S2, respectively.

2.2. Tissue Microarray Construction and Immunohistochemistry

We constructed tissue microarrays (TMA) to efficiently evaluate biomarker expression [17]. Manual microarray systems (Tissue Microarray Set, Labro, Seoul, Korea) and formalin-fixed paraffin-embedded tissues were used for tissue microarray (TMA) construction. We selected a representative area of the tumor by light microscopy and collected tissue cores (3.0 mm) from the corresponding donor block. Then, the tissue cores were transferred to a recipient block consisting of 6 × 5 samples. Each TMA block was cut into 4-μm-thick sections and stored at −70 to −80 °C.
IHC was used to evaluate CD47 expression in tissue samples of produced TMA. According to the manufacturer’s protocol, we performed IHC with the Benchmark XT automated staining system (Ventana Medical Systems, Tucson, AZ, USA), and a recombinant anti-CD47 antibody (EPR21794, Abcam, Cambridge, UK; diluted 1:200) was used as a primary antibody.

2.3. Interpretation of Immunohistochemistry

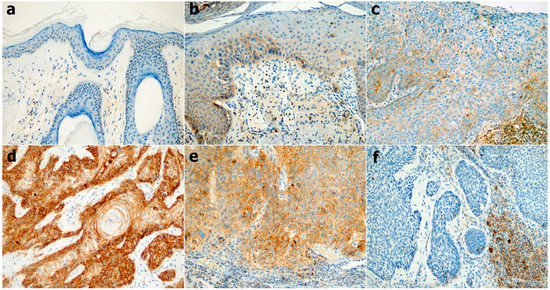
CD47 expression was evaluated by two pathologists (S.B. and S.P.) without access to clinicopathological data. The membranous staining of the tumor cells was considered to be positive, and the histoscore (H-score) method was used for semi-quantitative evaluation as previously described by Arrieta et al. [18]. The H-score was calculated as the product of the staining intensity and percentage of positive cells, ranging from 0 to 300 for each case. The staining intensity was classified as 0 to 3 (0: negative, 1: weak, 2: moderate, and 3: strong). Representative images according to the intensity are presented in Figure 1. A receiver operating characteristics (ROC) curve analysis was then used to determine the optimal cutoff value for high CD47 expression in BCC and SCC cases, respectively.
Figure 1. Representative photomicroscopic images of CD47 expression in squamous cell carcinoma. The staining intensity was classified as: (a) negative, 0; (b) weak, 1; (c) moderate, 2; and (d) strong, 3 ((ad), 200×).

2.4. Statistical Analyses

The Kruskal–Wallis test was performed to compare CD47 expression in BCC, SCC, AK, SCCIS, KA, and normal skin tissue. The Mann–Whitney U-test was used as a post hoc analysis to evaluate the mean difference between groups. Pearson’s chi-square (χ2) and Fisher’s exact tests were performed to evaluate the association between CD47 expression and clinicopathological characteristics in SCC and BCC. SPSS software version 25.0 (IBM, Armonk, NY, USA) was used for all statistical analyses, and a two-tailed p-value < 0.05 was regarded as statistically significant.

3. Results

3.1. CD47 Expression in Skin Tumors and Normal Tissue

We evaluated CD47 expression in NMSC (BCC and SCC), AK, SCCIS, KA, and NS, and then calculated a H-score of CD47 expression in each group. The CD47 expression showed significant differences in each group (p < 0.001, Kruskal–Wallis test, Figure 2), and representative images of CD47 expression are shown in Figure 3. By post hoc analyses, the median H-score of CD47 expression in BCC was found to be significantly lower than those of AK, SCCIS, SCC, and KA (p < 0.001). The median H-score of CD47 expression in SCC and KA was significantly higher than those of NS and AK (p < 0.05). The median H-score of CD47 expression between NS, AK, and SCCIS gradually increased, however, there was no statistically significant difference.
Figure 2. Comparison of CD47 expression in normal skin (NS), actinic keratosis (AK), squamous cell carcinoma in situ (SCCIS), squamous cell carcinoma (SCC), keratoacanthoma (KA), and basal cell carcinoma (BCC). (p < 0.001, Kruskal–Wallis test). Circles represent mild outliers.
Figure 3. CD47 expression in normal skin (a), actinic keratosis (b), squamous cell carcinoma in situ (c), squamous cell carcinoma (d), keratoacanthoma (e), and basal cell carcinoma (f) ((af), 200×).

3.2. Correlations between CD47 Expression and Clinicopathological Parameters in BCC

By ROC curve analysis, we divided BCC cases into low and high expression groups (H-score ≤ 20 and H-score > 20, respectively). A total of 45 out of 152 BCC cases (29.6%) were included in the high CD47 expression group. High CD47 expression showed a significant association with the presence of ulceration (p = 0.005) and deeper level of invasion (p = 0.011). Patient’s age, sex, location, local recurrence, tumor size, histological subtypes, and perineural invasion were not significantly associated with CD47 expression. The correlations between CD47 expression and clinicopathological characteristics in BCC cases are summarized in Table 1.
Table 1. Correlations between CD47 expression and clinicopathological characteristics in cases with basal cell carcinoma (n = 152).

3.3. Correlations between CD47 Expression and Clinicopathological Parameters in SCC

By ROC curve analysis, we divided SCC cases into low and high expression groups (H-score ≤ 160 and H-score > 160, respectively). Of 71 SCC cases, 29 (40.8%) were included in the high CD47 expression group. High CD47 expression showed a significant association with the presence of ulceration (p = 0.019) and larger tumor size (p = 0.004). Patient’s age, sex, location, local recurrence, lymph node metastasis, histological grade, level of invasion, and perineural invasion were not significantly associated with CD47 expression. The correlations between CD47 expression and clinicopathological characteristics in SCC cases are summarized in Table 2.
Table 2. Correlations between CD47 expression and clinicopathological characteristics in cases with squamous cell carcinoma (n = 71).

4. Discussion

In this study, we found that there was a significant difference in CD47 expression in BCC and SCC. CD47 expression in BCC was significantly lower than that of SCC (p < 0.001). CD47 expression in SCC and KA was significantly higher than those of NS and AK (p < 0.05). High CD47 expression was significantly associated with the presence of ulceration (p = 0.005) and a deeper level of invasion (p = 0.011) in BCC. High CD47 expression was significantly associated with the presence of ulceration (p = 0.019) and larger tumor size (p = 0.004) in SCC.
Distinguishing between SCC and BCC by showing typical histological characteristics is usually not a challenging task. However, in cases of SCC showing basaloid features or BCC showing squamous differentiation, it may be problematic to differentiate them. Therefore, there have been many studies on diagnostic markers for distinguishing between BCC and SCC. IHC is a useful method for differential diagnosis of epithelial skin tumors in daily practice, and immunopanel composed of several IHC markers can be helpful when the histological characteristics of SCC and BCC overlap [19]. As promising candidates, Ber-EP4, EMA, CAM5.2, androgen receptor, p16, SOX2, MOC-31, etc., can be considered [20,21,22]. In this study, BCC showed significantly lower CD47 expression compared to SCC, showing potential as a diagnostic tool.
Increased CD47 expression in SCC has been reported in several studies. Suzuki et al. found that CD47 expression was higher in esophageal SCC samples compared to adjacent non-cancerous tissues [23]. Yang et al. identified significantly higher mRNA and protein expression of CD47 in laryngeal SCC compared to para-carcinoma tissues [24]. Ye et al. and Wu et al. compared CD47 expression levels in normal mucosa, dysplastic lesion, and head and neck SCC, and reported a gradual increase in CD47 expression from normal tissue to cancer [25,26]. Akel et al. reported a gradual increase in CD47 expression along the spectrum from AK to SCCIS to cutaneous SCC [13]. Similar to these results, we found high CD47 expression in SCC and KA compared to normal skin and AK, suggesting that CD47 expression is related to tumorigenesis of cutaneous squamous lesions.
CD47 is known to promote the growth, invasion, and migration of cancer cells. Willingham et al. showed that anti-CD47 antibody inhibited tumor growth and inhibited metastasis using xenotransplantation models [27]. Wang et al. showed that silencing of CD47 through siRNA inhibited melanoma growth and lung metastasis [28]. Zhao et al. reported that downregulation of CD47 inhibited tumor growth, cell invasion, and metastasis in non-small cell lung cancer [29]. Wang et al. reported that CD47 overexpression in ovarian cancer cell lines promoted cancer cell growth and motility [30]. In our study, we analyzed the association between CD47 expression and clinicopathological parameters and identified that high CD47 expression was associated with deeper level of invasion in BCC and larger tumor size in SCC. In addition, KA, which is characterized by rapid tumor growth till 1–2 cm [31], showed higher CD47 expression compared to NS and AK.
The molecular mechanisms regulating CD47 expression in tumors are not still unclear. Recently, two studies have been performed using next-generation sequencing (NGS) to investigate the association between CD47 expression and genetic alterations, or CD47 expression and other gene expressions. Cho et al. found that 18q21 gain/amplification was associated with high CD47 expression in diffuse large B-cell lymphoma [32]. Tseng et al. revealed that heat shock protein family A member 5 (HSPA5) had a positive correlation with CD47 expression in Oral SCC cell lines using bioinformatic analysis [33]. There are no molecular biological studies of CD47 expression in NMSCs, and further studies are needed.
In conclusion, we evaluated the CD47 expression in NMSC by immunohistochemistry and identified its potential as a diagnostic tool to differentiate between BCC and SCC. In addition, we found that CD47 expression was associated with tumorigenesis and tumor progression, suggesting its potential as a prognostic biomarker.

Supplementary Materials

The following supporting information can be downloaded at: https://www.mdpi.com/article/10.3390/diagnostics12081859/s1, Table S1: Baseline characteristics of cases with basal cell carcinoma (n = 152); Table S2: Baseline characteristics of cases with squamous cell carcinoma (n = 71).

Author Contributions

S.B. performed data analysis and drafted the manuscript. S.J., H.S., and H.C. performed a review of histological material. H.P., J.M., J.Y.K., and H.K. assisted with the revision of the manuscript. S.P. built the research conception and assume general supervision of the study. All authors have read and agreed to the published version of the manuscript.

Funding

This work was supported by a research fund of Hanyang University (HY-202200000001036).

Institutional Review Board Statement

The study was conducted in accordance with the Declaration of Helsinki, and approved by the Institutional Review Board of Hanyang University Hospital (HYU 2019-10-062). Most of the human specimens used in this study were collected before 2 February 2013. All human materials after 2 February 2013, were collected from individuals who participated voluntarily.

Data Availability Statement

Not applicable.

Conflicts of Interest

The authors declare no conflict of interest.

References

  1. Kocarnik, J.M.; Compton, K.; Dean, F.E.; Fu, W.; Gaw, B.L.; Harvey, J.D.; Henrikson, H.J.; Lu, D.; Pennini, A.; Xu, R.; et al. Cancer Incidence, Mortality, Years of Life Lost, Years Lived with Disability, and Disability-Adjusted Life Years for 29 Cancer Groups From 2010 to 2019: A Systematic Analysis for the Global Burden of Disease Study 2019. JAMA Oncol. 2022, 8, 420–444. [Google Scholar] [CrossRef] [PubMed]
  2. Lomas, A.; Leonardi-Bee, J.; Bath-Hextall, F. A Systematic Review of Worldwide Incidence of Nonmelanoma Skin Cancer. Br. J. Dermatol. 2012, 166, 1069–1080. [Google Scholar] [CrossRef] [PubMed]
  3. Park, K.; Bae, J.M.; Chung, K.Y.; Yun, S.J.; Seo, S.H.; Ahn, H.H.; Lee, D.Y.; Kim, H.; Sohn, U.; Park, B.C. Incidence and Prevalence of Skin Cancers in South Korea from 2008 to 2016: A Nation-Wide Population Based Study. Ann. Dermatol. 2022, 34, 105–109. [Google Scholar] [CrossRef]
  4. Ridky, T.W. Nonmelanoma Skin Cancer. J. Am. Acad. Dermatol. 2007, 57, 484–501. [Google Scholar] [CrossRef] [PubMed]
  5. Didona, D.; Paolino, G.; Bottoni, U.; Cantisani, C. Non Melanoma Skin Cancer Pathogenesis Overview. Biomedicines 2018, 6, 6. [Google Scholar] [CrossRef] [PubMed]
  6. Nikolouzakis, T.K.; Falzone, L.; Lasithiotakis, K.; Kruger-Krasagakis, S.; Kalogeraki, A.; Sifaki, M.; Spandidos, D.A.; Chrysos, E.; Tsatsakis, A.; Tsiaoussis, J. Current and Future Trends in Molecular Biomarkers for Diagnostic, Prognostic, and Predictive Purposes in Non-Melanoma Skin Cancer. J. Clin. Med. 2020, 9, 2868. [Google Scholar] [CrossRef] [PubMed]
  7. Brown, E.J.; Frazier, W.A. Integrin-associated Protein (CD47) and Its Ligands. Trends Cell Biol. 2001, 11, 130–135. [Google Scholar] [CrossRef]
  8. Matozaki, T.; Murata, Y.; Okazawa, H.; Ohnishi, H. Functions and Molecular Mechanisms of the CD47–SIRPα Signaling Pathway. Trends Cell Biol. 2009, 19, 72–80. [Google Scholar] [CrossRef]
  9. Chao, M.P.; Weissman, I.L.; Majeti, R. The CD47-SIRPalpha Pathway in Cancer Immune Evasion and Potential Therapeutic Implications. Curr. Opin. Immunol. 2012, 24, 225–232. [Google Scholar] [CrossRef]
  10. Soto-Pantoja, D.R.; Kaur, S.; Roberts, D.D. CD47 Signaling Pathways Controlling Cellular Differentiation and Responses to Stress. Crit. Rev. Biochem. Mol. Biol. 2015, 50, 212–230. [Google Scholar] [CrossRef]
  11. Huang, C.Y.; Ye, Z.H.; Huang, M.Y.; Lu, J.J. Regulation of CD47 Expression in Cancer Cells. Transl. Oncol. 2020, 13, 100862. [Google Scholar] [CrossRef]
  12. Zhao, H.-J.; Pan, F.; Shi, Y.-C.; Luo, X.; Ren, R.-R.; Peng, L.-H.; Yang, Y.-S. Prognostic Significance of CD47 in Human Malignancies: A Systematic Review and Meta-analysis. Transl. Cancer Res. 2018, 7, 609–621. [Google Scholar] [CrossRef]
  13. Akel, R.; Kurban, M.; Abbas, O. CD47 Expression for In Situ and Invasive Cutaneous Epithelial Lesions. J. Am. Acad. Dermatol. 2016, 75, 434–436. [Google Scholar] [CrossRef] [PubMed][Green Version]
  14. Barton, D.T.; Zens, M.S.; Nelson, H.H.; Christensen, B.C.; Storm, C.A.; Perry, A.E.; Karagas, M.R. Distinct Histologic Subtypes and Risk Factors for Early Onset Basal Cell Carcinoma: A Population-Based Case Control Study from New Hampshire. J. Investig. Dermatol. 2016, 136, 533–535. [Google Scholar] [CrossRef] [PubMed]
  15. Bichakjian, C.K.; Olencki, T.; Aasi, S.Z.; Alam, M.; Andersen, J.S.; Berg, D.; Bowen, G.M.; Cheney, R.T.; Daniels, G.A.; Glass, L.F.; et al. Basal Cell Skin Cancer, Version 1.2016, NCCN Clinical Practice Guidelines in Oncology. J. Natl. Compr. Canc. Netw. 2016, 14, 574–597. [Google Scholar] [CrossRef]
  16. Schmitz, L.; Kanitakis, J. Histological Classification of Cutaneous Squamous Cell Carcinomas with Different Severity. J. Eur. Acad. Dermatol. Venereol. 2019, 33 (Suppl. 8), 11–15. [Google Scholar] [CrossRef] [PubMed]
  17. Ilyas, M.; Grabsch, H.; Ellis, I.O.; Womack, C.; Brown, R.; Berney, D.; Fennell, D.; Salto-Tellez, M.; Jenkins, M.; Landberg, G.; et al. Guidelines and Considerations for Conducting Experiments Using Tissue Microarrays. Histopathology 2013, 62, 827–839. [Google Scholar] [CrossRef] [PubMed]
  18. Arrieta, O.; Aviles-Salas, A.; Orozco-Morales, M.; Hernandez-Pedro, N.; Cardona, A.F.; Cabrera-Miranda, L.; Barrios-Bernal, P.; Soca-Chafre, G.; Cruz-Rico, G.; Pena-Torres, M.L.; et al. Association between CD47 Expression, Clinical Characteristics and Prognosis in Patients with Advanced Non-Small Cell Lung Cancer. Cancer Med. 2020, 9, 2390–2402. [Google Scholar] [CrossRef] [PubMed]
  19. Sanders, D.; Carr, R. The Use of Immunohistochemistry in the Differential Diagnosis of Common Epithelial Tumours of the Skin. Curr. Diagn. Pathol. 2007, 13, 237–251. [Google Scholar] [CrossRef]
  20. Compton, L.A.; Murphy, G.F.; Lian, C.G. Diagnostic Immunohistochemistry in Cutaneous Neoplasia: An Update. Dermatopathology 2015, 2, 15–42. [Google Scholar] [CrossRef]
  21. Villada, G.; Kryvenko, O.N.; Campuzano-Zuluaga, G.; Kovacs, C.; Chapman, J.; Gomez-Fernandez, C. A Limited Immunohistochemical Panel to Distinguish Basal Cell Carcinoma of Cutaneous Origin from Basaloid Squamous Cell Carcinoma of the Head and Neck. Appl. Immunohistochem. Mol. Morphol. 2018, 26, 126–131. [Google Scholar] [CrossRef]
  22. Webb, D.V.; Mentrikoski, M.J.; Verduin, L.; Brill, L.B., 2nd; Wick, M.R. Basal Cell Carcinoma vs Basaloid Squamous Cell Carcinoma of the Skin: An Immunohistochemical Reappraisal. Ann. Diagn. Pathol. 2015, 19, 70–75. [Google Scholar] [CrossRef]
  23. Suzuki, S.; Yokobori, T.; Tanaka, N.; Sakai, M.; Sano, A.; Inose, T.; Sohda, M.; Nakajima, M.; Miyazaki, T.; Kato, H.; et al. CD47 Expression Regulated by the miR-133a Tumor Suppressor is a Novel Prognostic Marker in Esophageal Squamous Cell Carcinoma. Oncol. Rep. 2012, 28, 465–472. [Google Scholar] [CrossRef]
  24. Yang, C.; Gao, S.; Zhang, H.; Xu, L.; Liu, J.; Wang, M.; Zhang, S. CD47 is a Potential Target for the Treatment of Laryngeal Squamous Cell Carcinoma. Cell Physiol. Biochem. 2016, 40, 126–136. [Google Scholar] [CrossRef]
  25. Ye, X.; Wang, X.; Lu, R.; Zhang, J.; Chen, X.; Zhou, G. CD47 as a Potential Prognostic Marker for Oral Leukoplakia and Oral Squamous Cell Carcinoma. Oncol. Lett. 2018, 15, 9075–9080. [Google Scholar] [CrossRef]
  26. Wu, L.; Yu, G.T.; Deng, W.W.; Mao, L.; Yang, L.L.; Ma, S.R.; Bu, L.L.; Kulkarni, A.B.; Zhang, W.F.; Zhang, L.; et al. Anti-CD47 Treatment Enhances Anti-tumor T-cell Immunity and Improves Immunosuppressive Environment in Head and Neck Squamous Cell Carcinoma. Oncoimmunology 2018, 7, e1397248. [Google Scholar] [CrossRef]
  27. Willingham, S.B.; Volkmer, J.P.; Gentles, A.J.; Sahoo, D.; Dalerba, P.; Mitra, S.S.; Wang, J.; Contreras-Trujillo, H.; Martin, R.; Cohen, J.D.; et al. The CD47-signal Regulatory Protein Alpha (SIRPa) Interaction is a Therapeutic Target for Human Solid Tumors. Proc. Natl. Acad. Sci. USA 2012, 109, 6662–6667. [Google Scholar] [CrossRef] [PubMed]
  28. Wang, Y.; Xu, Z.; Guo, S.; Zhang, L.; Sharma, A.; Robertson, G.P.; Huang, L. Intravenous Delivery of siRNA Targeting CD47 Effectively Inhibits Melanoma Tumor Growth and Lung Metastasis. Mol. Ther. 2013, 21, 1919–1929. [Google Scholar] [CrossRef]
  29. Zhao, H.; Wang, J.; Kong, X.; Li, E.; Liu, Y.; Du, X.; Kang, Z.; Tang, Y.; Kuang, Y.; Yang, Z.; et al. CD47 Promotes Tumor Invasion and Metastasis in Non-small Cell Lung Cancer. Sci. Rep. 2016, 6, 29719. [Google Scholar] [CrossRef]
  30. Wang, C.L.; Lin, M.J.; Hsu, C.Y.; Lin, H.Y.; Tsai, H.P.; Long, C.Y.; Tsai, E.M.; Hsieh, T.H.; Wu, C.H. CD47 Promotes Cell Growth and Motility in Epithelial Ovarian Cancer. Biomed. Pharmacother. 2019, 119, 109105. [Google Scholar] [CrossRef]
  31. Gleich, T.; Chiticariu, E.; Huber, M.; Hohl, D. Keratoacanthoma: A Distinct Entity? Exp. Dermatol. 2016, 25, 85–91. [Google Scholar] [CrossRef] [PubMed]
  32. Cho, J.; Yoon, S.E.; Kim, S.J.; Ko, Y.H.; Kim, W.S. CD47 Overexpression is Common in Intestinal Non-GCB type Diffuse Large B-cell Lymphoma and Associated with 18q21 gain. Blood Adv. 2022, in press. [Google Scholar] [CrossRef] [PubMed]
  33. Tseng, C.C.; Tsou, C.H.; Huang, S.Y.; Wu, C.W.; Hsieh, T.H. Using Next-Generation Sequencing and Bioinformatic Methods to Predict New Genes That May Be Regulated by CD47 in Oral Squamous Cell Carcinoma. Curr. Issues Mol. Biol. 2022, 44, 2243–2256. [Google Scholar] [CrossRef] [PubMed]
Publisher’s Note: MDPI stays neutral with regard to jurisdictional claims in published maps and institutional affiliations.

Article Metrics

Citations

Article Access Statistics

Multiple requests from the same IP address are counted as one view.