Fast Functional Rehabilitation Protocol versus Plaster Cast Immobilization Protocol after Achilles Tendon Tenorrhaphy: Is It Different? Clinical, Ultrasonographic, and Elastographic Comparison
Abstract
1. Introduction
2. Materials and Methods
2.1. Patient Selection
2.2. Preoperative Assessment
2.3. Surgical Technique
2.4. Rehabilitation Protocols
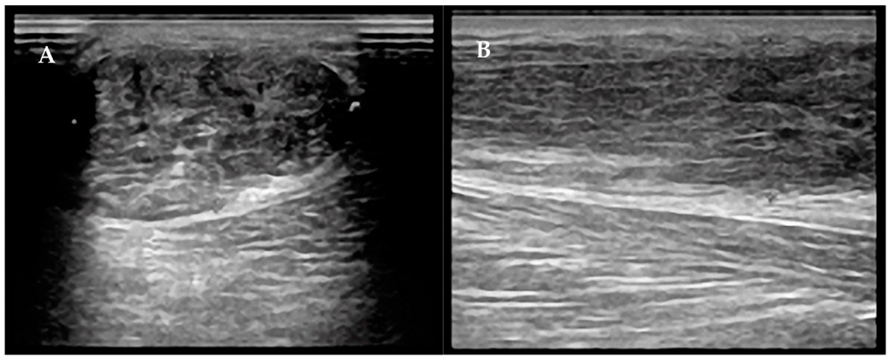
2.5. Postoperative Assessment and Study Outcomes
2.6. Statistical Analysis
3. Results
4. Discussion
5. Conclusions
Author Contributions
Funding
Institutional Review Board Statement
Informed Consent Statement
Conflicts of Interest
References
- Lantto, I.; Heikkinen, J.; Flinkkilä, T.; Ohtonen, P.; Leppilahti, J. Epidemiology of Achilles Tendon Ruptures: Increasing Incidence over a 33-Year Period. Scand. J. Med. Sci. Sports 2015, 25, e133–e138. [Google Scholar] [CrossRef] [PubMed]
- Movin, T.; Ryberg, A.; McBride, D.J.; Maffulli, N. Acute Rupture of the Achilles Tendon. Foot Ankle Clin. 2005, 10, 331–356. [Google Scholar] [CrossRef] [PubMed]
- Park, S.-H.; Lee, H.S.; Young, K.W.; Seo, S.G. Treatment of Acute Achilles Tendon Rupture. Clin. Orthop. Surg. 2020, 12, 1–8. [Google Scholar] [CrossRef] [PubMed]
- Soroceanu, A.; Sidhwa, F.; Aarabi, S.; Kaufman, A.; Glazebrook, M. Surgical Versus Nonsurgical Treatment of Acute Achilles Tendon Rupture. J. Bone Joint Surg. Am. 2012, 94, 2136–2143. [Google Scholar] [CrossRef] [PubMed]
- Longo, U.G.; Rittweger, J.; Garau, G.; Radonic, B.; Gutwasser, C.; Gilliver, S.F.; Kusy, K.; Zieliński, J.; Felsenberg, D.; Maffulli, N. No Influence of Age, Gender, Weight, Height, and Impact Profile in Achilles Tendinopathy in Masters Track and Field Athletes. Am. J. Sports Med. 2009, 37, 1400–1405. [Google Scholar] [CrossRef]
- Notarnicola, A.; Maccagnano, G.; Di Leo, M.; Tafuri, S.; Moretti, B. Overload and Neovascularization of Achilles Tendons in Young Artistic and Rhythmic Gymnasts Compared with Controls: An Observational Study. Musculoskelet. Surg. 2014, 98, 115–120. [Google Scholar] [CrossRef]
- Martorana, D.; Cannizzaro, E.; Tranchina, G.; Tranchina, E.; Martorana, V. Working tendinopatie: Analysis of different surgical techniques and rehabilitation for rapid functional recovery in the subcutaneous injury of Achilles tendon. Acta Med. Mediterr. 2007, 23, 115–121. [Google Scholar]
- BARDAŞ, C.; BENEA, H.; MARTIN, A.; TOMOAIA, G. The Traumatic Rupture of the Achilles’ Tendon—An Analysis of the Modern Methods of Evaluation and Treatment. Clujul Med. 2013, 86, 128–132. [Google Scholar]
- Gulati, V.; Jaggard, M.; Al-Nammari, S.S.; Uzoigwe, C.; Gulati, P.; Ismail, N.; Gibbons, C.; Gupte, C. Management of Achilles Tendon Injury: A Current Concepts Systematic Review. World J. Orthop. 2015, 6, 380–386. [Google Scholar] [CrossRef]
- Kearney, R.S.; McGuinness, K.R.; Achten, J.; Costa, M.L. A Systematic Review of Early Rehabilitation Methods Following a Rupture of the Achilles Tendon. Physiotherapy 2012, 98, 24–32. [Google Scholar] [CrossRef]
- Tarantino, D.; Palermi, S.; Sirico, F.; Balato, G.; D’Addona, A.; Corrado, B. Achilles Tendon Pathologies: How to Choose the Best Treatment. J. Hum. Sport Exerc. 2020, 15, S1300–S1321. [Google Scholar] [CrossRef]
- Macera, A.; Carulli, C.; Matassi, F.; Veneziani, C.; Innocenti, M. Traumatic Bilateral Achilles Tendon Rupture in a Young Athlete Treated with Percutaneous Tenorrhaphy. Joints 2015, 3, 218–220. [Google Scholar] [CrossRef][Green Version]
- Maffulli, N.; Peretti, G.M. Surgery or Conservative Management for Achilles Tendon Rupture? BMJ 2019, 364, k5344. [Google Scholar] [CrossRef]
- Gould, H.P.; Bano, J.M.; Akman, J.L.; Fillar, A.L. Postoperative Rehabilitation Following Achilles Tendon Repair: A Systematic Review. Sports Med. Arthrosc. Rev. 2021, 29, 130–145. [Google Scholar] [CrossRef]
- McCormack, R.; Bovard, J. Early Functional Rehabilitation or Cast Immobilisation for the Postoperative Management of Acute Achilles Tendon Rupture? A Systematic Review and Meta-Analysis of Randomised Controlled Trials. Br. J. Sports Med. 2015, 49, 1329–1335. [Google Scholar] [CrossRef]
- Rosenzweig, S.; Azar, F.M. Open Repair of Acute Achilles Tendon Ruptures. Foot Ankle Clin. 2009, 14, 699–709. [Google Scholar] [CrossRef]
- SooHoo, N.F.; Vyas, R.; Samimi, D. Responsiveness of the Foot Function Index, AOFAS Clinical Rating Systems, and SF-36 after Foot and Ankle Surgery. Foot Ankle Int. 2006, 27, 930–934. [Google Scholar] [CrossRef]
- Nilsson-Helander, K.; Thomeé, R.; Silbernagel, K.G.; Grävare-Silbernagel, K.; Thomeé, P.; Faxén, E.; Eriksson, B.I.; Karlsson, J. The Achilles Tendon Total Rupture Score (ATRS): Development and Validation. Am. J. Sports Med. 2007, 35, 421–426. [Google Scholar] [CrossRef]
- Porter, M.D.; Shadbolt, B. Randomized Controlled Trial of Accelerated Rehabilitation versus Standard Protocol Following Surgical Repair of Ruptured Achilles Tendon. ANZ J. Surg. 2015, 85, 373–377. [Google Scholar] [CrossRef]
- Mark-Christensen, T.; Troelsen, A.; Kallemose, T.; Barfod, K.W. Functional Rehabilitation of Patients with Acute Achilles Tendon Rupture: A Meta-Analysis of Current Evidence. Knee Surg. Sports Traumatol. Arthrosc. Off. J. ESSKA 2016, 24, 1852–1859. [Google Scholar] [CrossRef]
- Holm, C.; Kjaer, M.; Eliasson, P. Achilles Tendon Rupture—Treatment and Complications: A Systematic Review. Scand. J. Med. Sci. Sports 2015, 25, e1–e10. [Google Scholar] [CrossRef]
- Westin, O.; Sjögren, T.; Svedman, S.; Horvath, A.; Hamrin Senorski, E.; Samuelsson, K.; Ackermann, P. Treatment of Acute Achilles Tendon Rupture—A Multicentre, Non-Inferiority Analysis. BMC Musculoskelet. Disord. 2020, 21, 358. [Google Scholar] [CrossRef]
- Sölveborn, S.A.; Moberg, A. Immediate Free Ankle Motion after Surgical Repair of Acute Achilles Tendon Ruptures. Am. J. Sports Med. 1994, 22, 607–610. [Google Scholar] [CrossRef]
- Troop, R.L.; Losse, G.M.; Lane, J.G.; Robertson, D.B.; Hastings, P.S.; Howard, M.E. Early Motion after Repair of Achilles Tendon Ruptures. Foot Ankle Int. 1995, 16, 705–709. [Google Scholar] [CrossRef]
- Aufwerber, S.; Heijne, A.; Edman, G.; Silbernagel, K.G.; Ackermann, P.W. Does Early Functional Mobilization Affect Long-Term Outcomes After an Achilles Tendon Rupture? A Randomized Clinical Trial. Orthop. J. Sports Med. 2020, 8, 2325967120906522. [Google Scholar] [CrossRef]
- Costa, M.L.; Achten, J.; Wagland, S.; Marian, I.R.; Maredza, M.; Schlüssel, M.M.; Liew, A.S.; Parsons, N.R.; Dutton, S.J.; Kearney, R.S.; et al. Plaster Cast versus Functional Bracing for Achilles Tendon Rupture: The UKSTAR RCT. Health Technol. Assess. Winch. Engl. 2020, 24, 1–86. [Google Scholar] [CrossRef]
- Tarantino, D.; Palermi, S.; Sirico, F.; Corrado, B. Achilles Tendon Rupture: Mechanisms of Injury, Principles of Rehabilitation and Return to Play. J. Funct. Morphol. Kinesiol. 2020, 5, 95. [Google Scholar] [CrossRef] [PubMed]
- Huang, J.; Wang, C.; Ma, X.; Wang, X.; Zhang, C.; Chen, L. Rehabilitation Regimen after Surgical Treatment of Acute Achilles Tendon Ruptures: A Systematic Review with Meta-Analysis. Am. J. Sports Med. 2015, 43, 1008–1016. [Google Scholar] [CrossRef] [PubMed]
- Gitto, S.; Draghi, A.G.; Bortolotto, C.; Draghi, F. Sonography of the Achilles Tendon After Complete Rupture Repair: What the Radiologist Should Know. J. Ultrasound Med. Off. J. Am. Inst. Ultrasound Med. 2016, 35, 2529–2536. [Google Scholar] [CrossRef] [PubMed]
- Busilacchi, A.; Olivieri, M.; Ulisse, S.; Gesuita, R.; Skrami, E.; Lording, T.; Fusini, F.; Gigante, A. Real-Time Sonoelastography as Novel Follow-up Method in Achilles Tendon Surgery. Knee Surg. Sports Traumatol. Arthrosc. Off. J. ESSKA 2016, 24, 2124–2132. [Google Scholar] [CrossRef]
- Ryu, C.H.; Lee, H.S.; Seo, S.G.; Kim, H.Y. Results of Tenorrhaphy with Early Rehabilitation for Acute Tear of Achilles Tendon. J. Orthop. Surg. Hong Kong 2018, 26, 2309499018802483. [Google Scholar] [CrossRef]
- Kim, U.; Choi, Y.S.; Jang, G.C.; Choi, Y.R. Early Rehabilitation after Open Repair for Patients with a Rupture of the Achilles Tendon. Injury 2017, 48, 1710–1713. [Google Scholar] [CrossRef]
- Brumann, M.; Baumbach, S.F.; Mutschler, W.; Polzer, H. Accelerated Rehabilitation Following Achilles Tendon Repair after Acute Rupture—Development of an Evidence-Based Treatment Protocol. Injury 2014, 45, 1782–1790. [Google Scholar] [CrossRef]
- Wang, K.C.; Cotter, E.J.; Cole, B.J.; Lin, J.L. Rehabilitation and Return to Play Following Achilles Tendon Repair. Oper. Tech. Sports Med. 2017, 25, 214–219. [Google Scholar] [CrossRef]
- Palermi, S.; Massa, B.; Vecchiato, M.; Mazza, F.; De Blasiis, P.; Romano, A.M.; Di Salvatore, M.G.; Della Valle, E.; Tarantino, D.; Ruosi, C.; et al. Indirect Structural Muscle Injuries of Lower Limb: Rehabilitation and Therapeutic Exercise. J. Funct. Morphol. Kinesiol. 2021, 6, 75. [Google Scholar] [CrossRef]
- Oliva, F.; Bernardi, G.; De Luna, V.; Farsetti, P.; Gasparini, M.; Marsilio, E.; Piccirilli, E.; Tarantino, U.; Rugiero, C.; De Carli, A.; et al. I.S.Mu.L.T. Achilles Tendon Ruptures Guidelines. Muscles Ligaments Tendons J. 2018, 8, 310–363. [Google Scholar] [CrossRef]
- Frankewycz, B.; Krutsch, W.; Weber, J.; Ernstberger, A.; Nerlich, M.; Pfeifer, C.G. Rehabilitation of Achilles Tendon Ruptures: Is Early Functional Rehabilitation Daily Routine? Arch. Orthop. Trauma Surg. 2017, 137, 333–340. [Google Scholar] [CrossRef]
- Dams, O.C.; van den Akker-Scheek, I.; Diercks, R.L.; Wendt, K.W.; Bosma, E.; van Raaij, T.M.; Munzebrock, A.V.; Zijlstra, W.P.; Zwerver, J.; Reininga, I.H.F. The Recovery after Achilles Tendon Rupture: A Protocol for a Multicenter Prospective Cohort Study. BMC Musculoskelet. Disord. 2019, 20, 69. [Google Scholar] [CrossRef]
- Zhao, J.; Guo, W.; Zeng, X.; Kan, S. Research progress of early postoperative rehabilitation for acute Achilles tendon rupture after surgical repair. Chin. J. Reparative Reconstr. Surg. 2019, 33, 382–386. [Google Scholar] [CrossRef]
- Notarnicola, A.; Maccagnano, G.; Tafuri, S.; Fiore, A.; Margiotta, C.; Pesce, V.; Moretti, B. Prognostic Factors of Extracorporeal Shock Wave Therapy for Tendinopathies. Musculoskelet. Surg. 2016, 100, 53–61. [Google Scholar] [CrossRef]
- Notarnicola, A.; Maccagnano, G.; Tafuri, S.; Forcignanò, M.I.; Panella, A.; Moretti, B. CHELT Therapy in the Treatment of Chronic Insertional Achilles Tendinopathy. Lasers Med. Sci. 2014, 29, 1217–1225. [Google Scholar] [CrossRef] [PubMed]
- Di Meglio, F.; Sacco, A.M.; Belviso, I.; Romano, V.; Sirico, F.; Loiacono, C.; Palermi, S.; Pempinello, C.; Montagnani, S.; Nurzynska, D.; et al. Influence of Supplements and Drugs Used for the Treatment of Musculoskeletal Disorders on Adult Human Tendon-Derived Stem Cells. Muscles Ligaments Tendons J. 2020, 10, 376–384. [Google Scholar] [CrossRef]
- Bleakney, R.R.; Tallon, C.; Wong, J.K.; Lim, K.P.; Maffulli, N. Long-Term Ultrasonographic Features of the Achilles Tendon after Rupture. Clin. J. Sport Med. Off. J. Can. Acad. Sport Med. 2002, 12, 273–278. [Google Scholar] [CrossRef] [PubMed]
- Cohen, M. US Imaging in Operated Tendons. J. Ultrasound 2012, 15, 69–75. [Google Scholar] [CrossRef]
- Thomopoulos, S.; Parks, W.C.; Rifkin, D.B.; Derwin, K.A. Mechanisms of Tendon Injury and Repair. J. Orthop. Res. Off. Publ. Orthop. Res. Soc. 2015, 33, 832–839. [Google Scholar] [CrossRef]



| Inclusion Criteria |
|
| Exclusion Criteria |
|
| Fast Rehabilitation Protocol (Group A) | |
|---|---|
| 0–7 days | Bandage at 20° in equinus position with elastic vascular bandages, passive, and active mobilization from 90° of dorsiflexion to maximum plantar flexion, walking with crutches out of charge on the operated limb. |
| 7–45 days | Replace bandage with orthotic device during the weightbearing process, a plastic boot-shaped brace that aims to block the ankle movement in dorsiflexion, allowing the healing of surgical sutures. 1 cm wedges are placed inside the brace, depending on muscular and tendon tension reached after surgery. Every 10 days, one wedge is removed. During this period, a progressive increase in weightbearing is required. The brace has to be removed several times a day to mobilize the ankle. |
| >45 days | Progressive abandonment of the brace and starting isometric strengthening of sural triceps. |
| >60 days | Concentric strengthening of sural triceps. |
| >12 weeks | Stretching of sural triceps and gradual resumption of the race if the recovery of ROM of the ankle and muscle trophism is complete. |
| Rehabilitation Protocol with Cast Immobilization (Group B) | |
|---|---|
| 0–5 days | Plaster splint in equinus position until the first clinic control. |
| 5–21 days | Immobilization in equinus cast, walking with crutches out of charge on the operated limb. |
| 21–45 days | Replace equinus plaster splint with orthomorphic cast for 3–8 weeks (depending on surgical complications). |
| >45 days | Walking with crutches with partial weightbearing allowed, starting FKT of passive and active mobilization of the ankle, avoiding maximal dorsiflexion for two weeks. |
| >60 days | Isometric and concentric strengthening of sural triceps. |
| >75 days | Walking with complete load, starting Stanish exercises and eccentric strengthening. |
| Group B N = 18 | Group A N = 15 | p-Value | |
|---|---|---|---|
| Age (years) | 38.5 (34.0–44.0) | 44.0 (39.0–49.0) | 0.11 |
| Sedentary job, n (%) | 11 (61.1%) | 7 (46.7%) | 0.41 |
| Sports, n (%) | 12 (66.7%) | 13 (86.7%) | 0.18 |
| Haglund, n (%) | 18 (100%) | 14 (93.3%) | 0.46 |
| Plantaris tendon rupture, n (%) | 0 (0%) | 1 (6.7%) | 0.46 |
| Flatfoot, n (%) | 2 (11.1%) | 1 (6.7%) | 0.57 |
| No pharmacological therapy, n (%) | 18 (100.0%) | 9 (60.0%) | <0.01 |
| Calf circumference (cm) | 37.0 (34.0–39.0) | 36.0 (34.0–39.0) | 0.60 |
| Lesion on the right side, n (%) | 12 (66.7%) | 8 (53.3%) | 0.44 |
| BMI (cm) | 24.9 (22.5–25.5) | 23.2 (22.2–25.2) | 0.25 |
| Tibial length (cm) | 35.0 (34.0–36.0) | 36.0 (34.0–37.5) | 0.19 |
| Group B N = 18 | Group A N = 15 | p-Value | |
|---|---|---|---|
| Proximal width (mm) | 24.0 (20.0–26.5) | 25.7 (18.8–30.1) | 0.37 |
| Proximal thickness (mm) | 5.0 (3.6–6.5) | 4.9 (2.8–7.0) | 0.80 |
| Medial width (mm) | 24.3 (20.2–27.2) | 26.3 (23.1–30.3) | 0.19 |
| Medial thickness (mm) | 13.2 (11.6–15.0) | 11.6 (8.7–16.9) | 0.42 |
| Distal width (mm) | 19.3 (18.3–20.6) | 21.3 (17.7–24.7) | 0.12 |
| Distal thickness (mm) | 9.5 (7.8–12.1) | 11.0 (7.8–16.6) | 0.13 |
| Group B N = 18 | Group A N = 15 | p-Value | |
|---|---|---|---|
| Proximal | 90.0% (90.0–100.0%) | 90.0% (90.0–100.0%) | 0.74 |
| Medial | 80.0% (80.0–90.0%) | 75.0% (70.0–95.0%) | 0.18 |
| Distal | 80.0% (70.0–90.0%) | 80.0% (60.0–80.0%) | 0.54 |
| Group B N = 18 | Group A N = 15 | p-Value | |
|---|---|---|---|
| ATRS | 87.5 (83.0–92.0) | 84.0 (78.0–97.0) | 0.70 |
| AOFAS | 92.0 (87.0–100.0) | 90.0 (85.0–100.0) | 0.97 |
Publisher’s Note: MDPI stays neutral with regard to jurisdictional claims in published maps and institutional affiliations. |
© 2022 by the authors. Licensee MDPI, Basel, Switzerland. This article is an open access article distributed under the terms and conditions of the Creative Commons Attribution (CC BY) license (https://creativecommons.org/licenses/by/4.0/).
Share and Cite
Mosconi, M.; Pasta, G.; Annunziata, S.; Guerrieri, V.; Ghiara, M.; Perelli, S.; Torriani, C.; Grassi, F.A.; Jannelli, E. Fast Functional Rehabilitation Protocol versus Plaster Cast Immobilization Protocol after Achilles Tendon Tenorrhaphy: Is It Different? Clinical, Ultrasonographic, and Elastographic Comparison. Diagnostics 2022, 12, 1824. https://doi.org/10.3390/diagnostics12081824
Mosconi M, Pasta G, Annunziata S, Guerrieri V, Ghiara M, Perelli S, Torriani C, Grassi FA, Jannelli E. Fast Functional Rehabilitation Protocol versus Plaster Cast Immobilization Protocol after Achilles Tendon Tenorrhaphy: Is It Different? Clinical, Ultrasonographic, and Elastographic Comparison. Diagnostics. 2022; 12(8):1824. https://doi.org/10.3390/diagnostics12081824
Chicago/Turabian StyleMosconi, Mario, Gianluigi Pasta, Salvatore Annunziata, Viviana Guerrieri, Matteo Ghiara, Simone Perelli, Camilla Torriani, Federico Alberto Grassi, and Eugenio Jannelli. 2022. "Fast Functional Rehabilitation Protocol versus Plaster Cast Immobilization Protocol after Achilles Tendon Tenorrhaphy: Is It Different? Clinical, Ultrasonographic, and Elastographic Comparison" Diagnostics 12, no. 8: 1824. https://doi.org/10.3390/diagnostics12081824
APA StyleMosconi, M., Pasta, G., Annunziata, S., Guerrieri, V., Ghiara, M., Perelli, S., Torriani, C., Grassi, F. A., & Jannelli, E. (2022). Fast Functional Rehabilitation Protocol versus Plaster Cast Immobilization Protocol after Achilles Tendon Tenorrhaphy: Is It Different? Clinical, Ultrasonographic, and Elastographic Comparison. Diagnostics, 12(8), 1824. https://doi.org/10.3390/diagnostics12081824

