Next Article in Journal
Prevalence of Human Papilloma Virus Infection in Bladder Cancer: A Systematic Review
Next Article in Special Issue
Role of Cardiac Biomarkers in Non-Small Cell Lung Cancer Patients
Previous Article in Journal
Influence of S100A2 in Human Diseases
Previous Article in Special Issue
Differentiating False Positive Lesions from Clinically Significant Cancer and Normal Prostate Tissue Using VERDICT MRI and Other Diffusion Models
 
 
Font Type:
Arial Georgia Verdana
Font Size:
Aa Aa Aa
Line Spacing:
Column Width:
Background:
Interesting Images

Unexpected Movement of the Esophagus across the Aorta

1
Department of Internal Medicine, Uijeongbu St. Mary’s Hospital, College of Medicine, The Catholic University of Korea, Seoul 11765, Korea
2
Department of Radiation Oncology, Eunpyeong St. Mary’s Hospital, College of Medicine, The Catholic University of Korea, Seoul 03312, Korea
3
Division of Oncology, Department of Internal Medicine, Eunpyeong St. Mary’s Hospital, College of Medicine, The Catholic University of Korea, Seoul 03312, Korea
*
Author to whom correspondence should be addressed.
Diagnostics 2022, 12(7), 1758; https://doi.org/10.3390/diagnostics12071758
Submission received: 28 June 2022 / Revised: 18 July 2022 / Accepted: 19 July 2022 / Published: 20 July 2022
(This article belongs to the Special Issue Image-Guided Cancer Diagnosis and Therapy)

Abstract

:
Tumor regression throughout treatment would induce organ movement, but little is known of this in the esophagus. To achieve successful tumor regression, radiation therapy requires several weeks of radiation to be delivered accurately to the tumor. Usually, a 5–10 mm margin is allowed for set-up error and internal organ motion. Our case exhibited an unexpectedly large movement of the esophagus across the aorta with tumor regression that extended outside the margin and thus outside the radiotherapy field. These movements may affect subsequent invasive procedures or treatment during cancer therapy. After the unexpected large movement of the esophagus due to tumor regression, we revised the radiotherapy plan to reflect the new esophageal position. This implied that regular imaging and close monitoring are required during treatment of esophageal cancer.

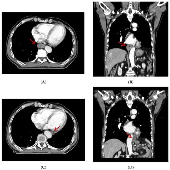
A 79-year-old man was diagnosed with esophageal cancer during an evaluation of dysphagia. Upper endoscopy revealed a lumen-encircling mass 32 cm from the incisors (Figure 1); a biopsy specimen revealed squamous cell carcinoma. Distal esophageal wall thickening and multiple metastatic lymph nodes were observed upon computed tomography (CT) of the chest and abdomen (Figure 2A,B). The esophageal cancer stage was T4N2M0.
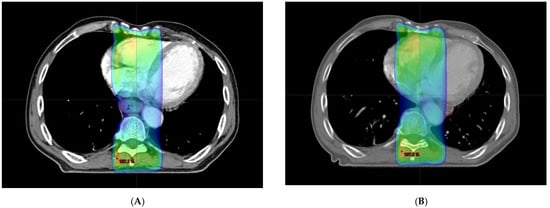
Definitive concurrent chemoradiation was scheduled. The radiation dose was 50.4 Gy/28 fractions over 5.5 weeks. The patient had received continuous infusion of 5-fluorouracil (1000 mg/m2) on days 1 through 4 and days 22 through 25 and cisplatin (75 mg/m2) was given on days 1 and 22. By 3 weeks after commencement of chemoradiation, the esophagus was outside of the radiotherapy field during image-guided radiotherapy. Follow-up CT revealed that the esophagus had moved from the right of the aorta to the left (Figure 2C,D). Fusion of the radiation plan and follow-up CT showed that prescription dose did not cover the entire esophagus (Figure 3).
Rumor regression throughout treatment would induce organ movement [1,2,3]. To achieve successful tumor regression, radiation therapy requires several weeks of radiation to be delivered accurately to the tumor [4]. Usually, a 5–10 mm margin is allowed for set-up error and internal organ motion. However, this case exhibited an unexpectedly large movement of the esophagus across the aorta with tumor regression that extended outside the margin and thus outside the radiotherapy field. Though organ movement with tumor regression is usually shown in the uterus, rectum and lung, little known of this in the esophagus [2,5]. These movements may affect subsequent invasive examinations or treatment during cancer therapy. In this case of unexpected large movement of the esophagus due to tumor regression, we revised the radiotherapy plan to reflect the new esophageal position. This implied that regular imaging and close monitoring are required during the treatment of esophageal cancer, especially for large esophageal lesions. Metal markers or clips would be helpful in monitoring the movement of the esophagus because they can be localized on a plain radiograph.

Author Contributions

Conceptualization, S.-Y.S.; data collection, S.-Y.S. and Y.H.K.; writing—original draft preparation, H.H.C.; writing—review and editing, H.H.C. and S.-Y.S.; supervision, Y.H.K. All authors have read and agreed to the published version of the manuscript.

Funding

This research received no external funding.

Institutional Review Board Statement

The study was conducted in accordance with the Declaration of Helsinki. Ethical review and approval were waived for this study due to retrospective single case report.

Informed Consent Statement

The IRB of our institution waived the need for patient consent form for this retrospective single case report.

Data Availability Statement

The data presented in this study are available on request from the corresponding author.

Conflicts of Interest

The authors declare no conflict of interest.

References

  1. Yamashita, H.; Takenaka, R.; Sakumi, A.; Haga, A.; Otomo, K.; Nakagawa, K. Analysis of motion of the rectum during preoperative intensity modulated radiation therapy for rectal cancer using cone-beam computed tomography. Radiat. Oncol. 2015, 10, 2. [Google Scholar] [CrossRef] [PubMed] [Green Version]
  2. Herrera, F.G.; Callaway, S.; Delikgoz-Soykut, E.; Coskun, M.; Porta, L.; Meuwly, J.Y.; Soares-Rodrigues, J.; Heym, L.; Moeckli, R.; Ozsahin, M. Retrospective feasibility study of simultaneous integrated boost in cervical cancer using Tomotherapy: The impact of organ motion and tumor regression. Radiat. Oncol. 2013, 8, 5. [Google Scholar] [CrossRef] [PubMed] [Green Version]
  3. Lim, G.; Bezjak, A.; Higgins, J.; Moseley, D.; Hope, A.J.; Sun, A.; Cho, J.B.; Brade, A.M.; Ma, C.; Bissonnette, J.P. Tumor regression and positional changes in non-small cell lung cancer during radical radiotherapy. J. Thorac. Oncol. 2011, 6, 531–536. [Google Scholar] [CrossRef] [PubMed] [Green Version]
  4. Gao, X.; Tsai, P.-C.; Chuang, K.-H.; Pai, C.-P.; Hsu, P.-K.; Li, S.-H.; Lu, H.-I.; van Lanschot, J.J.-B.; Chao, Y.-K. Neoadjuvant Carboplatin/Paclitaxel versus 5-Fluorouracil/Cisplatin in Combination with Radiotherapy for Locally Advanced Esophageal Squamous Cell Carcinoma: A Multicenter Comparative Study. Cancers 2022, 14, 2610. [Google Scholar] [CrossRef] [PubMed]
  5. Beadle, B.M.; Jhingran, A.; Salehpour, M.; Sam, M.; Iyer, R.B.; Eifel, P.J. Cervix regression and motion during the course of external beam chemoradiation for cervical cancer. Int. J. Radiat. Oncol. Biol. Phys. 2009, 73, 235–241. [Google Scholar] [CrossRef] [PubMed]
Figure 1. Endoscopic finding of the esophageal lesion.
Figure 1. Endoscopic finding of the esophageal lesion.
Diagnostics 12 01758 g001
Figure 2. Distal esophageal wall thickening (arrow) was found on axial view (A) and coronal view (B) of initial computed tomography (CT) scan. Metastatic lymph nodes were not seen on these CT slices. Follow-up computed tomography revealed that the esophagus had moved from the right of the aorta to the left on axial view (C) and coronal view (D) (arrow).
Figure 2. Distal esophageal wall thickening (arrow) was found on axial view (A) and coronal view (B) of initial computed tomography (CT) scan. Metastatic lymph nodes were not seen on these CT slices. Follow-up computed tomography revealed that the esophagus had moved from the right of the aorta to the left on axial view (C) and coronal view (D) (arrow).
Diagnostics 12 01758 g002
Figure 3. (A) Initial radiation plan. Esophagus (red line) is covered with 95% of prescription dose. (colored area). (B) Radiation plan with moved esophagus (red line). Part of esophagus was outside radiation field.
Figure 3. (A) Initial radiation plan. Esophagus (red line) is covered with 95% of prescription dose. (colored area). (B) Radiation plan with moved esophagus (red line). Part of esophagus was outside radiation field.
Diagnostics 12 01758 g003
Publisher’s Note: MDPI stays neutral with regard to jurisdictional claims in published maps and institutional affiliations.

Share and Cite

MDPI and ACS Style

Choi, H.H.; Sung, S.-Y.; Ko, Y.H. Unexpected Movement of the Esophagus across the Aorta. Diagnostics 2022, 12, 1758. https://doi.org/10.3390/diagnostics12071758

AMA Style

Choi HH, Sung S-Y, Ko YH. Unexpected Movement of the Esophagus across the Aorta. Diagnostics. 2022; 12(7):1758. https://doi.org/10.3390/diagnostics12071758

Chicago/Turabian Style

Choi, Hyun Ho, Soo-Yoon Sung, and Yoon Ho Ko. 2022. "Unexpected Movement of the Esophagus across the Aorta" Diagnostics 12, no. 7: 1758. https://doi.org/10.3390/diagnostics12071758

APA Style

Choi, H. H., Sung, S.-Y., & Ko, Y. H. (2022). Unexpected Movement of the Esophagus across the Aorta. Diagnostics, 12(7), 1758. https://doi.org/10.3390/diagnostics12071758

Note that from the first issue of 2016, this journal uses article numbers instead of page numbers. See further details here.

Article Metrics

Back to TopTop