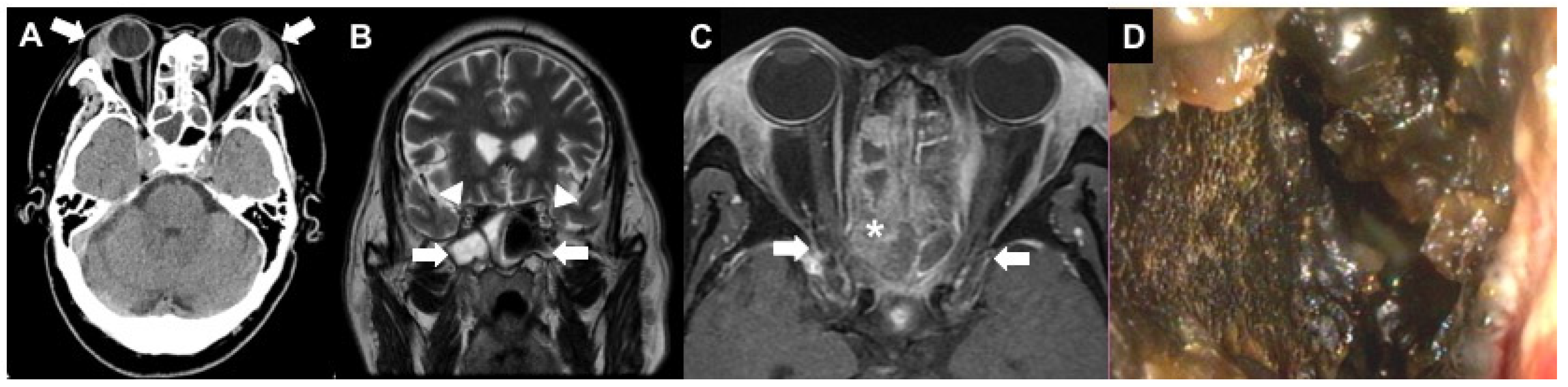
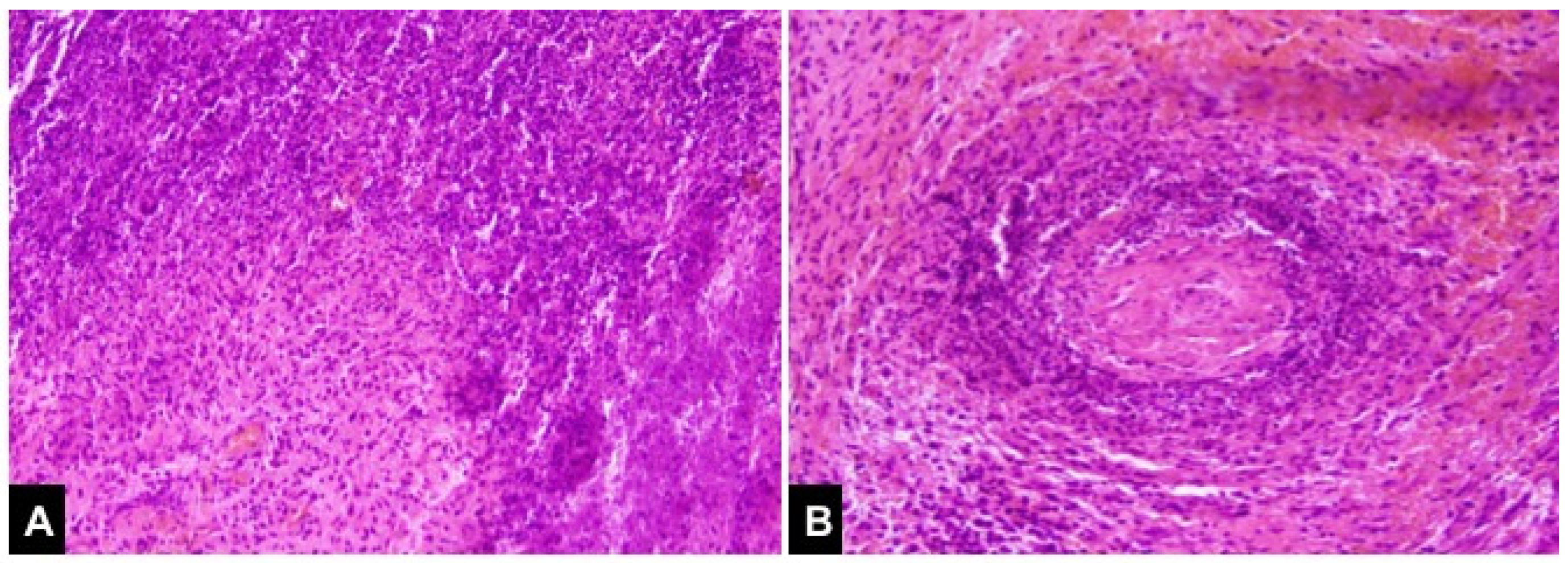
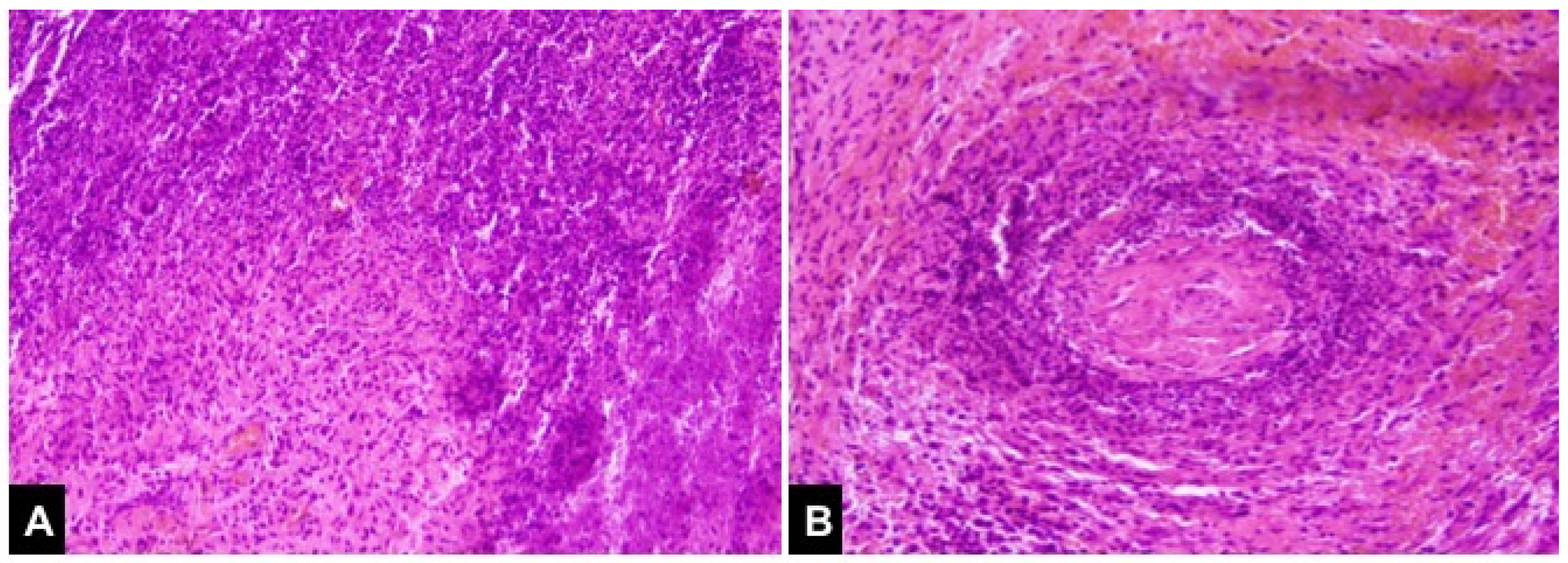
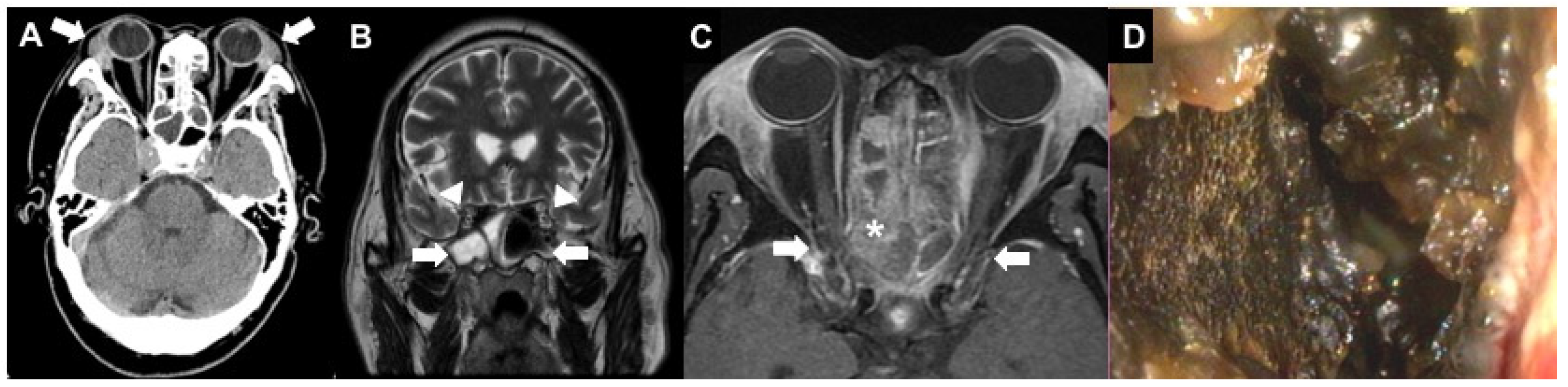
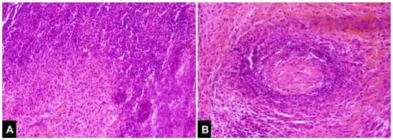
Acute Vision Loss as the Initial Manifestation of Granulomatosis with Polyangiitis Involving the Orbital Apex
Abstract



Author Contributions
Funding
Institutional Review Board Statement
Informed Consent Statement
Data Availability Statement
Conflicts of Interest
References
- Hoffman, G.S.; Kerr, G.S.; Leavitt, R.Y.; Hallahan, C.W.; Lebovics, R.S.; Travis, W.D.; Rottem, M.; Fauci, A.S. Wegener granulomatosis: An analysis of 158 patients. Ann. Intern. Med. 1992, 116, 488–498. [Google Scholar] [CrossRef] [PubMed]
- Abdou, N.I.; Kullman, G.J.; Hoffman, G.S.; Sharp, G.C.; Specks, U.; McDonald, T.; Garrity, J.; Goeken, J.A.; Allen, N.B. Wegener’s granulomatosis: Survey of 701 patients in North America. Changes in outcome in the 1990s. J. Rheumatol. 2002, 29, 309–316. [Google Scholar]
- Spalton, D.J.; Graham, E.M.; Page, N.G.; Sanders, M.D. Ocular changes in limited forms of Wegener’s granulomatosis. Br. J. Ophthalmol. 1981, 65, 553–563. [Google Scholar] [CrossRef] [PubMed]
- Kubaisi, B.; Abu Samra, K.; Foster, C.S. Granulomatosis with polyangiitis (Wegener’s disease): An updated review of ocular disease manifestations. Intractable Rare Dis. Res. 2016, 5, 61–69. [Google Scholar] [CrossRef] [PubMed]
- Bullen, C.L.; Liesegang, T.J.; McDonald, T.J.; DeRemee, R.A. Ocular complications of Wegener’s granulomatosis. Ophthalmology 1983, 90, 279–290. [Google Scholar] [CrossRef]
- Provenzale, J.M.; Mukherji, S.; Allen, N.B.; Castillo, M.; Weber, A.W. Orbital involvement by Wegener’s granulomatosis: Imaging findings. AJR Am. J. Roentgenol. 1996, 166, 929–934. [Google Scholar] [CrossRef] [PubMed]
- Holle, J.U.; Voigt, C.; Both, M.; Holl-Ulrich, K.; Nolle, B.; Laudien, M.; Moosig, F.; Gross, W.L. Orbital masses in granulomatosis with polyangiitis are associated with a refractory course and a high burden of local damage. Rheumatolology 2013, 52, 875–882. [Google Scholar] [CrossRef] [PubMed][Green Version]
- Niskopoulou, M.; Du Toit, N. Optic neuritis as a feature of Wegener’s granulomatosis. Eye 2002, 16, 320–321. [Google Scholar] [CrossRef]
- Sfiniadaki, E.; Tsiara, I.; Theodossiadis, P.; Chatziralli, I. Ocular Manifestations of Granulomatosis with Polyangiitis: A Review of the Literature. Ophthalmol. Ther. 2019, 8, 227–234. [Google Scholar] [CrossRef]
- Lazzari, G.; Briatico Vangosa, A.; Assunta De Cillis, M.; Buccoliero, G.; Silvano, G. Lower cranial nerve palsy during radiotherapy for glottic cancer in a patient with Wegener’s granulomatosis: An interesting case report. Mol. Clin. Oncol. 2019, 10, 147–152. [Google Scholar] [CrossRef] [PubMed]
- Stone, J.H.; Merkel, P.A.; Spiera, R.; Seo, P.; Langford, C.A.; Hoffman, G.S.; Kallenberg, C.G.; St Clair, E.W.; Turkiewicz, A.; Tchao, N.K.; et al. Rituximab versus cyclophosphamide for ANCA-associated vasculitis. N. Engl. J. Med. 2010, 363, 221–232. [Google Scholar] [CrossRef] [PubMed]
- Smith, R.M.; Jones, R.B.; Specks, U.; Bond, S.; Nodale, M.; Aljayyousi, R.; Andrews, J.; Bruchfeld, A.; Camilleri, B.; Carette, S.; et al. Rituximab as therapy to induce remission after relapse in ANCA-associated vasculitis. Ann. Rheum. Dis. 2020, 79, 1243–1249. [Google Scholar] [CrossRef] [PubMed]
Publisher’s Note: MDPI stays neutral with regard to jurisdictional claims in published maps and institutional affiliations. |
© 2022 by the authors. Licensee MDPI, Basel, Switzerland. This article is an open access article distributed under the terms and conditions of the Creative Commons Attribution (CC BY) license (https://creativecommons.org/licenses/by/4.0/).
Share and Cite
Wu, S.-Y.; Chang, L.-S.; Lee, Y.-C.; Pan, Y.-J.; Chou, Y.-F.; Chang, F.-L.; Lu, Y.-H.; Chen, N. Acute Vision Loss as the Initial Manifestation of Granulomatosis with Polyangiitis Involving the Orbital Apex. Diagnostics 2022, 12, 1540. https://doi.org/10.3390/diagnostics12071540
Wu S-Y, Chang L-S, Lee Y-C, Pan Y-J, Chou Y-F, Chang F-L, Lu Y-H, Chen N. Acute Vision Loss as the Initial Manifestation of Granulomatosis with Polyangiitis Involving the Orbital Apex. Diagnostics. 2022; 12(7):1540. https://doi.org/10.3390/diagnostics12071540
Chicago/Turabian StyleWu, Shang-Yen, Ling-Shuo Chang, Yuan-Chieh Lee, Yu-Jen Pan, Yu-Fu Chou, Fang-Ling Chang, Yu-Hsuan Lu, and Nancy Chen. 2022. "Acute Vision Loss as the Initial Manifestation of Granulomatosis with Polyangiitis Involving the Orbital Apex" Diagnostics 12, no. 7: 1540. https://doi.org/10.3390/diagnostics12071540
APA StyleWu, S.-Y., Chang, L.-S., Lee, Y.-C., Pan, Y.-J., Chou, Y.-F., Chang, F.-L., Lu, Y.-H., & Chen, N. (2022). Acute Vision Loss as the Initial Manifestation of Granulomatosis with Polyangiitis Involving the Orbital Apex. Diagnostics, 12(7), 1540. https://doi.org/10.3390/diagnostics12071540

