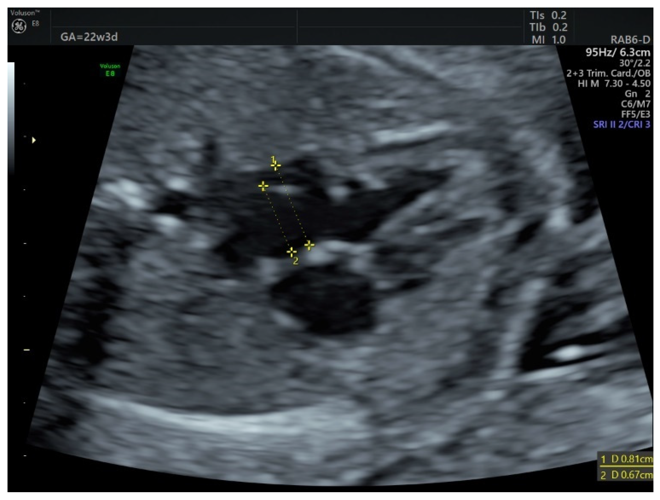
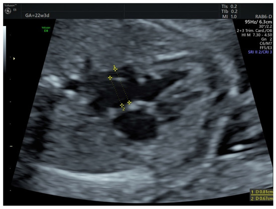
Fetal Atrial Septal Aneurysm: Follow-Up from Second to Third Trimester
Abstract
:


Supplementary Materials
Author Contributions
Funding
Institutional Review Board Statement
Informed Consent Statement
Data Availability Statement
Acknowledgments
Conflicts of Interest
References
- Channing, A.; Szwast, A.; Natarajan, S.; Degenhardt, K.; Tian, Z.; Rychik, J. Maternal hyperoxygenation improves left heart filling in fetuses with atrial septal aneurysm causing impediment to left ventricular inflow. Ultrasound Obstet. Gynecol. 2015, 45, 664–669. [Google Scholar] [CrossRef] [PubMed]
- Ozcelik, N.; Atalay, S.; Tutar, E.; Ekici, F. Prevalence of interatrial septal aneurysm in newborns and their natural course. Pediatr. Cardiol. 2006, 27, 343–346. [Google Scholar] [CrossRef] [PubMed]
- Pinette, M.G.; Pan, Y.; Pinette, S.G.; Blackstone, J.; Stubblefield, P.G. Fetal atrial septal aneurysm. Prenatal diagnosis by ultrasonography. J. Reprod. Med. 1997, 42, 459–462. [Google Scholar] [PubMed]
- Hung, J.H.; Lu, J.H.; Hung, C.Y. Prenatal diagnosis of atrial septal aneurysm. J. Clin. Ultrasound 2008, 36, 51–52. [Google Scholar] [CrossRef] [PubMed]
- Stewart, P.A.; Wladimiroff, J.W. Fetal atrial arrhythmias associated with redundancy/aneurysm of the foramen ovale. J. Clin. Ultrasound 1988, 16, 643–650. [Google Scholar] [CrossRef]
- Toro, L.; Weintraub, R.G.; Shiota, T.; Sahn, D.J.; McDonald, R.W.; Rice, M.J.; Hagen-Ansert, S. Relation between persistent atrial arrhythmias and redundant septum primum flap (atrial septal aneurysm) in fetuses. Am. J. Cardiol. 1994, 73, 711–713. [Google Scholar] [CrossRef]
- Yozgat, Y.; Kilic, A.; Karadeniz, C.; Ozdemir, R.; Doksoz, O.; Mese, T.; Unal, N. Importance of close follow-up in the fetus with premature atrial contractions accompanied by atrial septal aneurysm: A case report. Case Rep. Obstet. Gynecol. 2013, 2013, 391085. [Google Scholar] [CrossRef] [PubMed] [Green Version]
- Sun, H.Y.; Fripp, R.R.; Printz, B.F. Unusual consequence of a fetal atrial septal aneurysm. Clin. Case Rep. 2015, 3, 368–369. [Google Scholar] [CrossRef] [PubMed]
- Santos, A.C.; Branco, M.; Martins, P. Fetal atrial septal aneurysm: A differential diagnosis of aortic arch retrograde flow. BMJ Case Rep. 2020, 13, e232773. [Google Scholar] [CrossRef] [PubMed] [Green Version]
- Karmegaraj, B. Prenatal diagnosis of redundant foramen ovale flap aneurysm prolapsing into mitral valve mimicking coarctation of aorta. Ultrasound Obstet. Gynecol. 2021, 58, 961–963. [Google Scholar] [CrossRef] [PubMed]
- Tague, L.; Donofrio, M.T.; Fulgium, A.; McCarter, R.; Limperopoulos, C.; Schidlow, D.N. Common Findings in Late-Gestation Fetal Echocardiography. J. Ultrasound Med. 2017, 36, 2431–2437. [Google Scholar] [CrossRef] [PubMed] [Green Version]
Publisher’s Note: MDPI stays neutral with regard to jurisdictional claims in published maps and institutional affiliations. |
© 2022 by the authors. Licensee MDPI, Basel, Switzerland. This article is an open access article distributed under the terms and conditions of the Creative Commons Attribution (CC BY) license (https://creativecommons.org/licenses/by/4.0/).
Share and Cite
Gireadă, R.; Ursache, A.; Matasariu, R.; Socolov, R. Fetal Atrial Septal Aneurysm: Follow-Up from Second to Third Trimester. Diagnostics 2022, 12, 1469. https://doi.org/10.3390/diagnostics12061469
Gireadă R, Ursache A, Matasariu R, Socolov R. Fetal Atrial Septal Aneurysm: Follow-Up from Second to Third Trimester. Diagnostics. 2022; 12(6):1469. https://doi.org/10.3390/diagnostics12061469
Chicago/Turabian StyleGireadă, Roxana, Alexandra Ursache, Roxana Matasariu, and Răzvan Socolov. 2022. "Fetal Atrial Septal Aneurysm: Follow-Up from Second to Third Trimester" Diagnostics 12, no. 6: 1469. https://doi.org/10.3390/diagnostics12061469
APA StyleGireadă, R., Ursache, A., Matasariu, R., & Socolov, R. (2022). Fetal Atrial Septal Aneurysm: Follow-Up from Second to Third Trimester. Diagnostics, 12(6), 1469. https://doi.org/10.3390/diagnostics12061469

