Diagnosis of Ischemic Stroke: As Simple as Possible
Abstract
1. Introduction
2. Main Goals of Imaging Methods in the Diagnosis of Stroke
3. First Task: To Rule Out Intracranial Hemorrhage
4. Second Task: To Identify Potential Large Vessel Occlusion and Its Localization
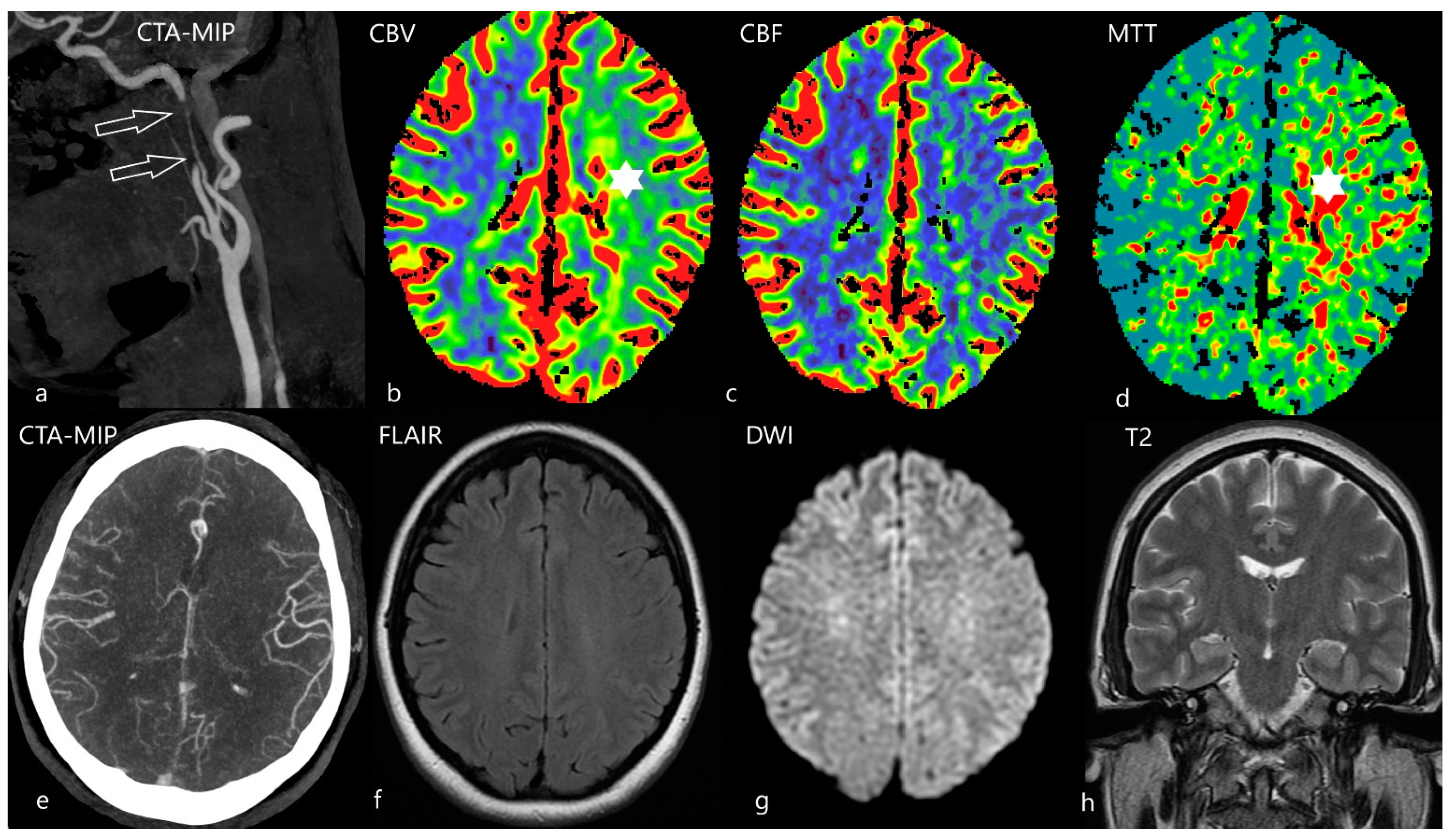
5. The Third Task: To Estimate the Ischemic Core
6. Factors Affecting the Ischemic Core
7. Conclusions
Author Contributions
Funding
Institutional Review Board Statement
Informed Consent Statement
Conflicts of Interest
References
- OECD. Health at a Glance 2021: OECD Indicators; OECD Publishing: Paris, France, 2021; pp. 166–167. [Google Scholar]
- Li, L.; Scott, C.A.; Rothwell, P.M.; Oxford Vascular Study. Trends in Stroke Incidence in High-Income Countries in the 21st Century: Population-Based Study and Systematic Review. Stroke 2020, 51, 1372–1380. [Google Scholar] [CrossRef] [PubMed]
- GBD 2016 Stroke Collaborators. Global, regional, and national burden of stroke, 1990–2016: A systematic analysis for the Global Burden of Disease Study 2016. Lancet Neurol. 2019, 18, 439–458. [Google Scholar] [CrossRef]
- Timmis, A.; Townsend, N.; Gale, C.; Grobbee, R.; Maniadakis, N.; Flather, M.; Wilkins, E.; Wright, L.; Vos, R.; Bax, J.; et al. European Society of Cardiology: Cardiovascular Disease Statistics 2017. Eur. Heart J. 2018, 39, 508–579. [Google Scholar] [CrossRef] [PubMed]
- O’Donnell, M.J.; Xavier, D.; Liu, L.; Zhang, H.; Chin, S.L.; Rao-Melacini, P.; Rangarajan, S.; Islam, S.; Pais, P.; McQueen, M.J.; et al. Risk factors for ischaemic and intracerebral haemorrhagic stroke in 22 countries (the INTERSTROKE study): A case-control study. Lancet 2010, 376, 112–123. [Google Scholar] [CrossRef]
- Radu, R.A.; Terecoasa, E.O.; Bajenaru, O.A.; Tiu, C. Etiologic classification of ischemic stroke: Where do we stand? Clin. Neurol. Neurosurg. 2017, 159, 93–106. [Google Scholar] [CrossRef]
- Malikova, H.; Kremenova, K.; Budera, P.; Herman, D.; Weichet, J.; Lukavsky, J.; Osmancik, P. Silent strokes after thoracoscopic epicardial ablation and catheter ablation for atrial fibrillation: Not all lesions are permanent on follow-up magnetic resonance imaging. Quant. Imaging Med. Surg. 2021, 11, 3219–3233. [Google Scholar] [CrossRef]
- Osmancik, P.; Herman, D.; Kacer, P.; Rizov, V.; Vesela, J.; Rakova, R.; Karch, J.; Susankova, M.; Znojilova, L.; Fojt, R.; et al. The Efficacy and Safety of Hybrid Ablations for Atrial Fibrillation. JACC Clin. Electrophysiol. 2021, 7, 1519–1529. [Google Scholar] [CrossRef]
- Powers, W.J.; Rabinstein, A.A.; Ackerson, T.; Adeoye, O.M.; Bambakidis, N.C.; Becker, K.; Biller, J.; Brown, M.; Demaerschalk, B.M.; Hoh, B.; et al. Guidelines for the Early Management of Patients with Acute Ischemic Stroke: 2019 Update to the 2018 Guidelines for the Early Management of Acute Ischemic Stroke: A Guideline for Healthcare Professionals from the American Heart Association/American Stroke Association. Stroke 2019, 50, e344–e418. [Google Scholar]
- Albers, G.W.; Lansberg, M.G.; Kemp, S.; Tsai, J.P.; Lavori, P.; Christensen, S.; Mlynash, M.; Kim, S.; Hamilton, S.; Yeatts, S.D.; et al. A multicenter randomized controlled trial of endovascular therapy following imaging evaluation for ischemic stroke (DEFUSE 3). Int. J. Stroke 2017, 12, 896–905. [Google Scholar] [CrossRef]
- Jovin, T.G.; Ribo, M.; Pereira, V.; Furlan, A.; Bonafe, A.; Baxter, B.; Gupta, R.; Lopes, D.; Jansen, O.; Smith, W.; et al. Diffusion-weighted imaging or computerized tomography perfusion assessment with clinical mismatch in the triage of wake up and late presenting strokes undergoing neurointervention with Trevo (DAWN) trial methods. Int. J. Stroke 2017, 12, 641–652. [Google Scholar] [CrossRef]
- Saver, J.L. Time is brain-quantified. Stroke 2006, 37, 263–266. [Google Scholar] [CrossRef] [PubMed]
- Aygun, N.; Masaryk, T.J. Diagnostic imaging for intracerebral hemorrhage. Neurosurg. Clin. N. Am. 2002, 13, 313–334. [Google Scholar] [CrossRef]
- Fiebach, J.B.; Schellinger, P.D.; Gass, A.; Kucinski, T.; Siebler, M.; Villringer, A.; Olkers, P.; Hirsch, J.G.; Heiland, S.; Wilde, P.; et al. Stroke magnetic resonance imaging is accurate in hyperacute intracerebral hemorrhage: A multicenter study on the validity of stroke imaging. Stroke 2004, 35, 502–506. [Google Scholar] [CrossRef]
- Kidwell, C.S.; Chalela, J.A.; Saver, J.L.; Starkman, S.; Hill, M.D.; Demchuk, A.M.; Butman, J.A.; Patronas, N.; Alger, J.R.; Latour, L.L.; et al. Comparison of MRI and CT for detection of acute intracerebral hemorrhage. JAMA 2004, 292, 1823–1830. [Google Scholar] [CrossRef]
- Ciraci, S.; Gumus, K.; Doganay, S.; Dundar, M.S.; Kaya Ozcora, G.D.; Gorkem, S.B.; Per, H.; Coskun, A. Diagnosis of intracranial calcification and hemorrhage in pediatric patients: Comparison of quantitative susceptibility mapping and phase images of susceptibility-weighted imaging. Diagn. Interv. Imaging 2017, 98, 707–714. [Google Scholar] [CrossRef] [PubMed]
- Haller, S.; Vernooij, M.W.; Kuijer, J.P.A.; Larsson, E.M.; Jäger, H.R.; Barkhof, F. Cerebral Microbleeds: Imaging and Clinical Significance. Radiology 2018, 287, 11–28. [Google Scholar] [CrossRef] [PubMed]
- Dubosh, N.M.; Bellolio, M.F.; Rabinstein, A.A.; Edlow, J.A. Sensitivity of Early Brain Computed Tomography to Exclude Aneurysmal Subarachnoid Hemorrhage: A Systematic Review and Meta-Analysis. Stroke 2016, 47, 750–755. [Google Scholar] [CrossRef] [PubMed]
- Cortnum, S.; Sørensen, P.; Jørgensen, J. Determining the sensitivity of computed tomography scanning in early detection of subarachnoid hemorrhage. Neurosurgery 2010, 66, 900–902; discussion 903. [Google Scholar] [PubMed]
- Shimoda, M.; Hoshikawa, K.; Shiramizu, H.; Oda, S.; Matsumae, M. Problems with diagnosis by fluid-attenuated inversion recovery magnetic resonance imaging in patients with acute aneurysmal subarachnoid hemorrhage. Neurol. Med. Chir. 2010, 50, 530–537. [Google Scholar] [CrossRef][Green Version]
- Verma, R.K.; Kottke, R.; Andereggen, L.; Weisstanner, C.; Zubler, C.; Gralla, J.; Kiefer, C.; Slotboom, J.; Wiest, R.; Schroth, G.; et al. Detecting subarachnoid hemorrhage: Comparison of combined FLAIR/SWI versus CT. Eur. J. Radiol. 2013, 82, 539–545. [Google Scholar] [CrossRef]
- Almekhlafi, M.A.; Kunz, W.G.; Menon, B.K.; McTaggart, R.A.; Jayaraman, M.V.; Baxter, B.W.; Heck, D.; Frei, D.; Derdeyn, C.P.; Takagi, T.; et al. Imaging of Patients with Suspected Large-Vessel Occlusion at Primary Stroke Centers: Available Modalities and a Suggested Approach. AJNR 2019, 40, 396–400. [Google Scholar] [CrossRef] [PubMed]
- Bash, S.; Villablanca, J.P.; Jahan, R.; Duckwiler, G.; Tillis, M.; Kidwell, C.; Saver, J.; Sayre, J. Intracranial vascular stenosis and occlusive disease: Evaluation with CT angiography, MR angiography, and digital subtraction angiography. Am. J. Neuroradiol. 2005, 26, 1012–1021. [Google Scholar] [PubMed]
- Fasen, B.A.C.M.; Heijboer, R.J.J.; Hulsmans, F.H.; Kwee, R.M. CT Angiography in Evaluating Large-Vessel Occlusion in Acute Anterior Circulation Ischemic Stroke: Factors Associated with Diagnostic Error in Clinical Practice. Am. J. Neuroradiol. 2020, 41, 607–611. [Google Scholar] [CrossRef] [PubMed]
- Yu, A.Y.; Zerna, C.; Assis, Z.; Holodinsky, J.K.; Randhawa, P.A.; Najm, M.; Goyal, M.; Menon, B.K.; Demchuk, A.M.; Coutts, S.B.; et al. Multiphase CT angiography increases detection of anterior circulation intracranial occlusion. Neurology 2016, 87, 609–616. [Google Scholar] [CrossRef]
- Menon, B.K.; d’Esterre, C.D.; Qazi, E.M.; Almekhlafi, M.; Hahn, L.; Demchuk, A.M.; Goyal, M. Multiphase CT Angiography: A New Tool for the Imaging Triage of Patients with Acute Ischemic Stroke. Radiology 2015, 275, 510–520. [Google Scholar] [CrossRef]
- Walker, B.S.; Shah, L.M.; Osborn, A.G. Calcified cerebral emboli, a “do not miss” imaging diagnosis: 22 new cases and review of the literature. AJNR 2014, 35, 1515–1519. [Google Scholar] [CrossRef]
- Dobrocky, T.; Piechowiak, E.; Cianfoni, A.; Zibold, F.; Roccatagliata, L.; Mosimann, P.; Jung, S.; Fischer, U.; Mordasini, P.; Gralla, J. Thrombectomy of calcified emboli in stroke. Does histology of thrombi influence the effectiveness of thrombectomy? J. Neurointerv. Surg. 2018, 10, 345–350. [Google Scholar] [CrossRef]
- Johansson, E.; Gu, T.; Aviv, R.I.; Fox, A.J. Carotid near-occlusion is often overlooked when CT angiography is assessed in routine practice. Eur. Radiol. 2020, 30, 2543–2551. [Google Scholar] [CrossRef]
- Riederer, S.J.; Stinson, E.G.; Weavers, P.T. Technical Aspects of Contrast-enhanced MR Angiography: Current Status and New Applications. Magn. Reson. Med. Sci. 2018, 17, 3–12. [Google Scholar] [CrossRef]
- Dhundass, S.; Savatovsky, J.; Duron, L.; Fahed, R.; Escalard, S.; Obadia, M.; Zuber, K.; Metten, M.A.; Mejdoubi, M.; Blanc, R.; et al. Improved detection and characterization of arterial occlusion in acute ischemic stroke using contrast enhanced MRA. J. Neuroradiol. 2020, 47, 278–283. [Google Scholar] [CrossRef]
- Barber, P.A.; Demchuk, A.M.; Zhang, J.; Buchan, A.M. Validity and reliability of a quantitative computed tomography score in predicting outcome of hyperacute stroke before thrombolytic therapy. ASPECTS Study Group. Alberta Stroke Programme Early CT Score. Lancet 2000, 355, 1670–1674. [Google Scholar] [CrossRef]
- Farzin, B.; Fahed, R.; Guilbert, F.; Poppe, A.Y.; Daneault, N.; Durocher, A.P.; Lanthier, S.; Boudjani, H.; Khoury, N.N.; Roy, D.; et al. Early CT changes in patients admitted for thrombectomy: Intrarater and interrater agreement. Neurology 2016, 87, 249–256. [Google Scholar] [CrossRef] [PubMed]
- Nagel, S.; Sinha, D.; Day, D.; Reith, W.; Chapot, R.; Papanagiotou, P.; Warburton, E.A.; Guyler, P.; Tysoe, S.; Fassbender, K.; et al. e-ASPECTS software is non-inferior to neuroradiologists in applying the ASPECT score to computed tomography scans of acute ischemic stroke patients. Int. J. Stroke 2017, 12, 615–622. [Google Scholar] [CrossRef] [PubMed]
- Hill, M.D.; Buchan, A.M.; Canadian Alteplase for Stroke Effectiveness Study (CASES) Investigators. Thrombolysis for acute ischemic stroke: Results of the Canadian Alteplase for Stroke Effectiveness Study. CMAJ 2005, 172, 1307–1312. [Google Scholar] [CrossRef]
- Haussen, D.C.; Dehkharghani, S.; Rangaraju, S.; Rebello, L.C.; Bouslama, M.; Grossberg, J.A.; Anderson, A.; Belagaje, S.; Frankel, M.; Nogueira, R.G. Automated CT Perfusion Ischemic Core Volume and Noncontrast CT ASPECTS (Alberta Stroke Program Early CT Score): Correlation and Clinical Outcome Prediction in Large Vessel Stroke. Stroke 2016, 47, 2318–2322. [Google Scholar] [CrossRef]
- Olive-Gadea, M.; Martins, N.; Boned, S.; Carvajal, J.; Moreno, M.J.; Muchada, M.; Molina, C.A.; Tomasello, A.; Ribo, M.; Rubiera, M. Baseline ASPECTS and e-ASPECTS Correlation with Infarct Volume and Functional Outcome in Patients Undergoing Mechanical Thrombectomy. J. Neuroimaging 2019, 29, 198–202. [Google Scholar] [CrossRef]
- Nannoni, S.; Ricciardi, F.; Strambo, D.; Sirimarco, G.; Wintermark, M.; Dunet, V.; Michel, P. Correlation between ASPECTS and Core Volume on CT Perfusion: Impact of Time since Stroke Onset and Presence of Large-Vessel Occlusion. Am. J. Neuroradiol. 2021, 42, 422–428. [Google Scholar] [CrossRef]
- Goyal, M.; Menon, B.K.; van Zwam, W.H.; Dippel, D.W.; Mitchell, P.J.; Demchuk, A.M.; Dávalos, A.; Majoie, C.B.; van der Lugt, A.; de Miquel, M.A.; et al. Endovascular thrombectomy after large-vessel ischaemic stroke: A meta-analysis of individual patient data from five randomised trials. Lancet 2016, 387, 1723–1731. [Google Scholar] [CrossRef]
- Nagel, S.; Herweh, C.; Pfaff, J.A.R.; Schieber, S.; Schönenberger, S.; Möhlenbruch, M.A.; Bendszus, M.; Ringleb, P.A. Simplified selection criteria for patients with longer or unknown time to treatment predict good outcome after mechanical thrombectomy. J. Neurointerv. Surg. 2019, 11, 559–562. [Google Scholar] [CrossRef]
- Konstas, A.A.; Minaeian, A.; Ross, I.B. Mechanical Thrombectomy in Wake-Up Strokes: A Case Series Using Alberta Stroke Program Early CT Score (ASPECTS) for Patient Selection. J. Stroke Cerebrovasc. Dis. 2017, 26, 1609–1614. [Google Scholar] [CrossRef]
- Shimoyama, T.; Kimura, K.; Uemura, J.; Saji, N.; Shibazaki, K. Elevated glucose level adversely affects infarct volume growth and neurological deterioration in non-diabetic stroke patients, but not diabetic stroke patients. Eur. J. Neurol. 2014, 21, 402–410. [Google Scholar] [CrossRef] [PubMed]
- Geuskens, R.R.; Borst, J.; Lucas, M.; Boers, A.M.; Berkhemer, O.A.; Roos, Y.B.; van Walderveen, M.A.; Jenniskens, S.F.; van Zwam, W.H.; Dippel, D.W.; et al. Characteristics of Misclassified CT Perfusion Ischemic Core in Patients with Acute Ischemic Stroke. PLoS ONE 2015, 10, e0141571. [Google Scholar] [CrossRef] [PubMed]
- Mazzei, M.A.; Preda, L.; Cianfoni, A.; Volterrani, L. CT perfusion: Technical developments and current and future applications. Biomed. Res. Int. 2015, 2015, 397521. [Google Scholar] [CrossRef] [PubMed]
- Kremenova, K.; Holesta, M.; Peisker, T.; Girsa, D.; Weichet, J.; Lukavsky, J.; Malikova, H. Is limited-coverage CT perfusion helpful in treatment decision-making in patients with acute ischemic stroke? Quant. Imaging. Med. Surg. 2020, 10, 1908–1916. [Google Scholar] [CrossRef]
- Tsang, A.C.O.; Lenck, S.; Hilditch, C.; Nicholson, P.; Brinjikji, W.; Krings, T.; Pereira, V.M.; Silver, F.L.; Schaafsma, J.D. Automated CT. Perfusion Imaging Versus Non-contrast CT for Ischemic Core Assessment in Large Vessel Occlusion. Clin. Neuroradiol. 2020, 30, 09–14. [Google Scholar] [CrossRef]
- Martins, N.; Aires, A.; Mendez, B.; Boned, S.; Rubiera, M.; Tomasello, A.; Coscojuela, P.; Hernandez, D.; Muchada, M.; Rodríguez-Luna, D.; et al. Ghost Infarct Core and Admission Computed Tomography Perfusion: Redefining the Role of Neuroimaging in Acute Ischemic Stroke. Interv. Neurol. 2018, 7, 513–521. [Google Scholar] [CrossRef]
- Boned, S.; Padroni, M.; Rubiera, M.; Tomasello, A.; Coscojuela, P.; Romero, N.; Muchada, M.; Rodríguez-Luna, D.; Flores, A.; Rodríguez, N.; et al. Admission CT perfusion may overestimate initial infarct core: The ghost infarct core concept. J. Neurointerv. Surg. 2017, 9, 66–69. [Google Scholar] [CrossRef]
- Desai, S.M.; Rocha, M.; Molyneaux, B.J.; Starr, M.; Kenmuir, C.L.; Gross, B.A.; Jankowitz, B.T.; Jovin, T.G.; Jadhav, A.P. Thrombectomy 6-24 hours after stroke in trial ineligible patients. J. Neurointerv. Surg. 2018, 10, 1033–1037. [Google Scholar] [CrossRef]
- Alexandre, A.M.; Pedicelli, A.; Valente, I.; Scarcia, L.; Giubbolini, F.; D’Argento, F.; Lozupone, E.; Distefano, M.; Pilato, F.; Colosimo, C. May endovascular thrombectomy without CT perfusion improve clinical outcome? Clin. Neurol. Neurosurg. 2020, 198, 106207. [Google Scholar] [CrossRef]
- Schaefer, P.W. Applications of DWI in clinical neurology. J. Neurol. Sci. 2001, 186 (Suppl. 1), 25–35. [Google Scholar] [CrossRef]
- Barber, P.A.; Hill, M.D.; Eliasziw, M.; Demchuk, A.M.; Pexman, J.H.; Hudon, M.E.; Tomanek, A.; Frayne, R.; Buchan, A.M.; ASPECTS Study Group. Imaging of the brain in acute ischaemic stroke: Comparison of computed tomography and magnetic resonance diffusion-weighted imaging. J. Neurol. Neurosurg. Psychiatry 2005, 76, 1528–1533. [Google Scholar] [CrossRef]
- Sarraj, A.; Hassan, A.E.; Grotta, J.; Blackburn, S.; Day, A.; Abraham, M.; Sitton, C.; Dannenbaum, M.; Cai, C.; Pujara, D.; et al. Early Infarct Growth Rate Correlation with Endovascular Thrombectomy Clinical Outcomes: Analysis from the SELECT Study. Stroke 2021, 52, 57–69. [Google Scholar] [CrossRef] [PubMed]
- Regenhardt, R.W.; González, R.G.; He, J.; Lev, M.H.; Singhal, A.B. Symmetric CTA Collaterals Identify Patients with Slow-progressing Stroke Likely to Benefit from Late Thrombectomy. Radiology 2022, 302, 400–407. [Google Scholar] [CrossRef] [PubMed]
- Liu, L.; Ding, J.; Leng, X.; Pu, Y.; Huang, L.A.; Xu, A.; Wong, K.S.L.; Wang, X.; Wang, Y. Guidelines for evaluation and management of cerebral collateral circulation in ischaemic stroke 2017. Stroke Vasc. Neurol. 2018, 3, 117–130. [Google Scholar] [CrossRef]
- Peisker, T.; Vasko, P.; Mikulenka, P.; Lauer, D.; Koznar, B.; Sulzenko, J.; Rohac, F.; Kucera, D.; Girsa, D.; Kremenova, K.; et al. Clinical and radiological factors predicting stroke outcome after successful mechanical intervention in anterior circulation. Eur. Heart J. 2022, 24 (Suppl. B), B48–B52. [Google Scholar] [CrossRef] [PubMed]






| CTA | MRA | ||||
| Monophase | Multiphase | TOF 3D | CEMRA | ||
| Extracranial occlusion | Sensitivity | Generally high | Limited | High | |
| Pitfalls | Misinterpretation of hard calcified stenosis/occlusion | Overestimation/ underestimation | |||
| Intracranial occlusion | Sensitivity | High | Generally high | Satisfying | High |
| Pitfalls | Risk of underestimation in M2 MCA | - | Risk of overestimation Metal and motion artifacts | Metal and motion artifacts | |
| Collateral assessment | Possible | Recommended method | Limited | Possible | |
| Major disadvantages | Iodine contrast agent burden Radiation burden | Iodine contrast agent burden Radiation burden >single phase | More time needed >CTA or CEMRA Patient cooperation needed | GBCA burden Patient cooperation needed | |
| Source of pitfalls | Calcified distal emboli Hard calcified plaques Inexperienced raters | Flow artifacts T1 hyperintense objects Metal and motion artifacts Inexperienced raters | Inexperienced raters Metal and motion artifacts | ||
| ASPECTS/ NECT | CTP | MRI: DWI Alone/DWI ASPECTS | MRI: DWI + FLAIR | |
|---|---|---|---|---|
| Core quantification | Semiquantitative | Quantitative | Semiquantitative | Semiquantitative |
| Correlation of core volume with definitive infarction after EVT | Limited | Limited | Risk overestimating ischemic core | High sensitivity for definitive core assessment |
| Use as predictor of clinical outcome after EVT | Proven | - | - | - |
| Pitfalls/risks |
| Risk of core overestimation (“ghost infarct”) | Risk of core overestimation due to reversible cytotoxic edema | - |
| Overall limitations | Radiation burden |
|
| |
Publisher’s Note: MDPI stays neutral with regard to jurisdictional claims in published maps and institutional affiliations. |
© 2022 by the authors. Licensee MDPI, Basel, Switzerland. This article is an open access article distributed under the terms and conditions of the Creative Commons Attribution (CC BY) license (https://creativecommons.org/licenses/by/4.0/).
Share and Cite
Malikova, H.; Weichet, J. Diagnosis of Ischemic Stroke: As Simple as Possible. Diagnostics 2022, 12, 1452. https://doi.org/10.3390/diagnostics12061452
Malikova H, Weichet J. Diagnosis of Ischemic Stroke: As Simple as Possible. Diagnostics. 2022; 12(6):1452. https://doi.org/10.3390/diagnostics12061452
Chicago/Turabian StyleMalikova, Hana, and Jiri Weichet. 2022. "Diagnosis of Ischemic Stroke: As Simple as Possible" Diagnostics 12, no. 6: 1452. https://doi.org/10.3390/diagnostics12061452
APA StyleMalikova, H., & Weichet, J. (2022). Diagnosis of Ischemic Stroke: As Simple as Possible. Diagnostics, 12(6), 1452. https://doi.org/10.3390/diagnostics12061452
