Circulating Lymphocytes Reflect the Local Immune Response in Patients with Colorectal Carcinoma
Abstract
:1. Introduction
2. Materials and Methods
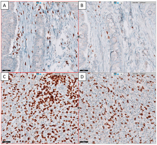
3. Results
4. Discussion
Supplementary Materials
Author Contributions
Funding
Institutional Review Board Statement
Informed Consent Statement
Data Availability Statement
Acknowledgments
Conflicts of Interest
References
- Sung, H.; Ferlay, J.; Siegel, R.L.; Laversanne, M.; Soerjomataram, I.; Jemal, A.; Bray, F. Global Cancer Statistics 2020: GLOBOCAN Estimates of Incidence and Mortality Worldwide for 36 Cancers in 185 Countries. CA Cancer J. Clin. 2021, 71, 209–249. [Google Scholar] [CrossRef]
- Kanth, P.; Inadomi, J.M. Screening and prevention of colorectal cancer. Bmj 2021, 374, n1855. [Google Scholar] [CrossRef]
- Galon, J.; Costes, A.; Sanchez-Cabo, F.; Kirilovsky, A.; Mlecnik, B.; Lagorce-Pagès, C.; Tosolini, M.; Camus, M.; Berger, A.; Wind, P.; et al. Type, density, and location of immune cells within human colorectal tumors predict clinical outcome. Science 2006, 313, 1960–1964. [Google Scholar] [CrossRef] [Green Version]
- Mlecnik, B.; Tosolini, M.; Kirilovsky, A.; Berger, A.; Bindea, G.; Meatchi, T.; Bruneval, P.; Trajanoski, Z.; Fridman, W.H.; Pagès, F.; et al. Histopathologic-based prognostic factors of colorectal cancers are associated with the state of the local immune reaction. J. Clin. Oncol. 2011, 29, 610–618. [Google Scholar] [CrossRef] [PubMed]
- Pagès, F.; Berger, A.; Camus, M.; Sanchez-Cabo, F.; Costes, A.; Molidor, R.; Mlecnik, B.; Kirilovsky, A.; Nilsson, M.; Damotte, D.; et al. Effector memory T cells, early metastasis, and survival in colorectal cancer. N. Engl. J. Med. 2005, 353, 2654–2666. [Google Scholar] [CrossRef]
- Benson, A.B., 3rd; Schrag, D.; Somerfield, M.R.; Cohen, A.M.; Figueredo, A.T.; Flynn, P.J.; Krzyzanowska, M.K.; Maroun, J.; McAllister, P.; Van Cutsem, E.; et al. American Society of Clinical Oncology recommendations on adjuvant chemotherapy for stage II colon cancer. J. Clin. Oncol. 2004, 22, 3408–3419. [Google Scholar] [CrossRef] [PubMed]
- Onkopedia. Leitlinie Kolonkarzinom. Available online: https://www.onkopedia.com/de/onkopedia/guidelines/kolonkarzinom/@@guideline/html/index.html (accessed on 15 July 2021).
- Sobin, L.H.W.C. TNM Classification of Malignant Tumors, 6th ed; John Wiley & Sons: Hoboken, NJ, USA, 2002. [Google Scholar]
- Chang, G.J.; Rodriguez-Bigas, M.A.; Skibber, J.M.; Moyer, V.A. Lymph node evaluation and survival after curative resection of colon cancer: Systematic review. J. Natl. Cancer Inst. 2007, 99, 433–441. [Google Scholar] [CrossRef]
- Montgomery, E.A.; Yantiss, R.K.; Snover, D.C.; Tang, L.H. Tumors of the Intestines; The American Registry of Pathology: Washington, DC, USA, 2017. [Google Scholar]
- Feinstein, A.R.; Sosin, D.M.; Wells, C.K. The Will Rogers phenomenon. Stage migration and new diagnostic techniques as a source of misleading statistics for survival in cancer. N. Engl. J. Med. 1985, 312, 1604–1608. [Google Scholar] [CrossRef]
- Märkl, B. Stage migration vs immunology: The lymph node count story in colon cancer. World J. Gastroenterol. 2015, 21, 12218–12233. [Google Scholar] [CrossRef]
- Märkl, B.; Schaller, T.; Krammer, I.; Cacchi, C.; Arnholdt, H.M.; Schenkirsch, G.; Kretsinger, H.; Anthuber, M.; Spatz, H. Methylene blue-assisted lymph node dissection technique is not associated with an increased detection of lymph node metastases in colorectal cancer. Mod. Pathol. 2013, 26, 1246–1254. [Google Scholar] [CrossRef] [PubMed]
- Kim, Y.W.; Jan, K.M.; Jung, D.H.; Cho, M.Y.; Kim, N.K. Histological inflammatory cell infiltration is associated with the number of lymph nodes retrieved in colorectal cancer. Anticancer Res. 2013, 33, 5143–5150. [Google Scholar]
- Märkl, B.; Schaller, T.; Kokot, Y.; Endhardt, K.; Kretsinger, H.; Hirschbühl, K.; Aumann, G.; Schenkirsch, G. Lymph node size as a simple prognostic factor in node negative colon cancer and an alternative thesis to stage migration. Am. J. Surg. 2016, 212, 775–780. [Google Scholar] [CrossRef] [PubMed]
- Lal, N.; Chan, D.K.H.; Ng, M.E.; Vermeulen, L.; Buczacki, S.J.A. Primary tumour immune response and lymph node yields in colon cancer. Br. J. Cancer 2022, 126, 1178–1185. [Google Scholar] [CrossRef]
- Märkl, B.; Wieberneit, J.; Kretsinger, H.; Mayr, P.; Anthuber, M.; Arnholdt, H.M.; Schenkirsch, G. Number of Intratumoral T Lymphocytes Is Associated with Lymph Node Size, Lymph Node Harvest, and Outcome in Node-Negative Colon Cancer. Am. J. Clin. Pathol. 2016, 145, 826–836. [Google Scholar] [CrossRef]
- Schrembs, P.; Martin, B.; Anthuber, M.; Schenkirsch, G.; Märkl, B. The prognostic significance of lymph node size in node-positive colon cancer. PLoS ONE 2018, 13, e0201072. [Google Scholar] [CrossRef] [PubMed]
- Bencsikova, B.; Budinska, E.; Selingerova, I.; Pilatova, K.; Fedorova, L.; Greplova, K.; Nenutil, R.; Valik, D.; Obermannova, R.; Sheard, M.A.; et al. Circulating T cell subsets are associated with clinical outcome of anti-VEGF-based 1st-line treatment of metastatic colorectal cancer patients: A prospective study with focus on primary tumor sidedness. BMC Cancer 2019, 19, 687. [Google Scholar] [CrossRef] [Green Version]
- Cui, F.; Qu, D.; Sun, R.; Tao, H.; Si, J.; Xu, Y. The Role of Circulating CD16+CD56+ Natural Killer Cells in the Screening, Diagnosis, and Staging of Colorectal Cancer before Initial Treatment. Dis. Markers 2019, 2019, 7152183. [Google Scholar] [CrossRef]
- Krijgsman, D.; de Vries, N.L.; Skovbo, A.; Andersen, M.N.; Swets, M.; Bastiaannet, E.; Vahrmeijer, A.L.; van de Velde, C.J.H.; Heemskerk, M.H.M.; Hokland, M.; et al. Characterization of circulating T-, NK-, and NKT cell subsets in patients with colorectal cancer: The peripheral blood immune cell profile. Cancer Immunol. Immunother. 2019, 68, 1011–1024. [Google Scholar] [CrossRef] [PubMed] [Green Version]
- Waidhauser, J.; Nerlinger, P.; Arndt, T.T.; Schiele, S.; Sommer, F.; Wolf, S.; Löhr, P.; Eser, S.; Müller, G.; Claus, R.; et al. Alterations of circulating lymphocyte subsets in patients with colorectal carcinoma. Cancer Immunol. Immunother. 2021. [Google Scholar] [CrossRef] [PubMed]
- Krijgsman, D.; Roelands, J.; Andersen, M.N.; Wieringa, C.; Tollenaar, R.; Hendrickx, W.; Bedognetti, D.; Hokland, M.; Kuppen, P.J.K. Expression of NK cell receptor ligands in primary colorectal cancer tissue in relation to the phenotype of circulating NK- and NKT cells, and clinical outcome. Mol. Immunol. 2020, 128, 205–218. [Google Scholar] [CrossRef] [PubMed]
- Toor, S.M.; Murshed, K.; Al-Dhaheri, M.; Khawar, M.; Abu Nada, M.; Elkord, E. Immune Checkpoints in Circulating and Tumor-Infiltrating CD4(+) T Cell Subsets in Colorectal Cancer Patients. Front. Immunol. 2019, 10, 2936. [Google Scholar] [CrossRef]
- Kerwel, T.G.; Spatz, J.; Anthuber, M.; Wünsch, K.; Arnholdt, H.; Märkl, B. Injecting methylene blue into the inferior mesenteric artery assures an adequate lymph node harvest and eliminates pathologist variability in nodal staging for rectal cancer. Dis Colon Rectum. 2009, 52, 935–941. [Google Scholar] [CrossRef] [PubMed]
- Borowski, D.W.; Banky, B.; Banerjee, A.K.; Agarwal, A.K.; Tabaqchali, M.A.; Garg, D.K.; Hobday, C.; Hegab, M.; Gill, T.S. Intra-arterial methylene blue injection into ex vivo colorectal cancer specimens improves lymph node staging accuracy: A randomized controlled trial. Colorectal Dis. 2014, 16, 681–689. [Google Scholar] [CrossRef]
- Märkl, B.; Kerwel, T.G.; Jähnig, H.G.; Oruzio, D.; Arnholdt, H.M.; Schöler, C.; Anthuber, M.; Spatz, H. Methylene blue-assisted lymph node dissection in colon specimens: A prospective, randomized study. Am. J. Clin. Pathol. 2008, 130, 913–919. [Google Scholar] [CrossRef] [Green Version]
- Waidhauser, J.; Schuh, A.; Trepel, M.; Schmälter, A.K.; Rank, A. Chemotherapy markedly reduces B cells but not T cells and NK cells in patients with cancer. Cancer Immunol. Immunother. 2020, 69, 147–157. [Google Scholar] [CrossRef] [PubMed]
- Rank, A.; Löhr, P.; Hoffmann, R.; Ebigbo, A.; Grützner, S.; Schmid, C.; Claus, R. Sustained cellular immunity in adults recovered from mild COVID-19. Cytom. A 2021, 99, 429–434. [Google Scholar] [CrossRef] [PubMed]
- Löhr, P.; Schiele, S.; Arndt, T.T.; Grützner, S.; Claus, R.; Römmele, C.; Müller, G.; Schmid, C.; Dennehy, K.M.; Rank, A. Impact of age and gender on lymphocyte subset counts in patients with COVID-19. Cytom. A 2021. [Google Scholar] [CrossRef]
- Vycital, O.; Dubova, M.; Palek, R.; Hosek, P.; Branzovsky, J.; Treska, V.; Daum, O.; Liska, V. The Impact of Immune Interaction on the Metastatic Infiltration of Colorectal Carcinoma to Lymph Nodes. Anticancer Res. 2018, 38, 4159–4167. [Google Scholar] [CrossRef] [PubMed]
- Hagland, H.R.; Lea, D.; Watson, M.M.; Søreide, K. Correlation of Blood T-Cells to Intratumoural Density and Location of CD3(+) and CD8(+) T-Cells in Colorectal Cancer. Anticancer Res. 2017, 37, 675–683. [Google Scholar] [CrossRef] [PubMed] [Green Version]
- Galon, J.; Lanzi, A. Immunoscore and its introduction in clinical practice. Q. J. Nucl. Med. Mol. Imaging 2020, 64, 152–161. [Google Scholar] [CrossRef] [PubMed]
- Pagès, F.; Mlecnik, B.; Marliot, F.; Bindea, G.; Ou, F.S.; Bifulco, C.; Lugli, A.; Zlobec, I.; Rau, T.T.; Berger, M.D.; et al. International validation of the consensus Immunoscore for the classification of colon cancer: A prognostic and accuracy study. Lancet 2018, 391, 2128–2139. [Google Scholar] [CrossRef]
- Nazemalhosseini-Mojarad, E.; Mohammadpour, S.; Torshizi Esafahani, A.; Gharib, E.; Larki, P.; Moradi, A.; Amin Porhoseingholi, M.; Asadzade Aghdaei, H.; Kuppen, P.J.K.; Zali, M.R. Intratumoral infiltrating lymphocytes correlate with improved survival in colorectal cancer patients: Independent of oncogenetic features. J. Cell. Physiol. 2019, 234, 4768–4777. [Google Scholar] [CrossRef]
- Wu, Z.X.; Wang, F.; Li, L.; Yao, Y.; Long, J.; Luo, Q.Q.; Zhao, Z.B.; Li, W.L.; Cao, J.; Lian, Z.X. The Clinical Significance of Mesenteric Lymphocytes in Human Colorectal Cancer. Front. Oncol. 2021, 11, 685577. [Google Scholar] [CrossRef] [PubMed]
- Chang, L.; Chang, M.; Chang, H.M.; Chang, F. Microsatellite Instability: A Predictive Biomarker for Cancer Immunotherapy. Appl. Immunohistochem. Mol. Morphol. 2018, 26, e15–e21. [Google Scholar] [CrossRef]
- Buckowitz, A.; Knaebel, H.P.; Benner, A.; Bläker, H.; Gebert, J.; Kienle, P.; von Knebel Doeberitz, M.; Kloor, M. Microsatellite instability in colorectal cancer is associated with local lymphocyte infiltration and low frequency of distant metastases. Br. J. Cancer 2005, 92, 1746–1753. [Google Scholar] [CrossRef] [PubMed] [Green Version]
- Drescher, K.M.; Sharma, P.; Watson, P.; Gatalica, Z.; Thibodeau, S.N.; Lynch, H.T. Lymphocyte recruitment into the tumor site is altered in patients with MSI-H colon cancer. Fam. Cancer 2009, 8, 231–239. [Google Scholar] [CrossRef]
- De’ Angelis, G.L.; Bottarelli, L.; Azzoni, C.; De’ Angelis, N.; Leandro, G.; Di Mario, F.; Gaiani, F.; Negri, F. Microsatellite instability in colorectal cancer. Acta Biomed. 2018, 89, 97–101. [Google Scholar] [CrossRef]
- Gervaz, P.; Bucher, P.; Morel, P. Two colons-two cancers: Paradigm shift and clinical implications. J. Surg. Oncol. 2004, 88, 261–266. [Google Scholar] [CrossRef]
- Malesci, A.; Laghi, L.; Bianchi, P.; Delconte, G.; Randolph, A.; Torri, V.; Carnaghi, C.; Doci, R.; Rosati, R.; Montorsi, M.; et al. Reduced likelihood of metastases in patients with microsatellite-unstable colorectal cancer. Clin. Cancer Res. 2007, 13, 3831–3839. [Google Scholar] [CrossRef] [Green Version]
- Lucca, L.E.; Axisa, P.P.; Lu, B.; Harnett, B.; Jessel, S.; Zhang, L.; Raddassi, K.; Zhang, L.; Olino, K.; Clune, J.; et al. Circulating clonally expanded T cells reflect functions of tumor-infiltrating T cells. J. Exp. Med. 2021, 218, e20200921. [Google Scholar] [CrossRef] [PubMed]
- Pauken, K.E.; Shahid, O.; Lagattuta, K.A.; Mahuron, K.M.; Luber, J.M.; Lowe, M.M.; Huang, L.; Delaney, C.; Long, J.M.; Fung, M.E.; et al. Single-cell analyses identify circulating anti-tumor CD8 T cells and markers for their enrichment. J. Exp. Med. 2021, 218, e20200920. [Google Scholar] [CrossRef] [PubMed]
- Mlecnik, B.; Bindea, G.; Angell, H.K.; Maby, P.; Angelova, M.; Tougeron, D.; Church, S.E.; Lafontaine, L.; Fischer, M.; Fredriksen, T.; et al. Integrative Analyses of Colorectal Cancer Show Immunoscore Is a Stronger Predictor of Patient Survival Than Microsatellite Instability. Immunity 2016, 44, 698–711. [Google Scholar] [CrossRef] [PubMed] [Green Version]





| Variables | Patients (n = 47) |
|---|---|
| Age; median (range) | 66 (42–84) |
| Gender | |
| male; n (%) | 29 (62) |
| female; n (%) | 18 (38) |
| Stage | |
| UICC I; n (%) | 11 (23) |
| UICC II; n (%) | 20 (43) |
| UICC III; n (%) | 11 (23) |
| UICC IV; n (%) | 5 (11) |
| Number of lymph nodes; median (range) | 35 (13–64) |
| Lymph node infiltration | |
| yes | 16 (34) |
| no | 31 (64) |
| Tumor sidedness | |
| right n (%) | 32 (68) |
| left n (%) | 15 (32) |
| Microsatellite status | |
| stable n (%) | 35 (74) |
| instable n (%) | 11 (23) |
| information not available n (%) | 1 (3) |
| Colon Carcinoma Patients Median Cell Count (Interquartile Range) (n = 47) | |
|---|---|
| Total lymphocytes | 1320 (1046–1666) |
| CD3+ cells | 868 (714–1190) |
| CD8+ cells | 229 (131–344) |
| Naive | 36 (16–67) |
| Memory | 82 (45–118) |
| CM | 23 (13–50) |
| EM | 76 (45–112) |
| EMRA | 45 (17–114) |
| Early | 119 (58–169) |
| Intermediate | 11 (6–26) |
| Late | 58 (19–150) |
| Exhausted | 54 (29–89) |
| Terminal effector | 34 (11–117) |
| HLA-DR+ | 76 (37–141) |
| CD69+ | 15 (8–25) |
| CD4+ cells | 528 (400–768) |
| Naive | 159 (79–295) |
| Memory | 311 (214–378) |
| CM | 190 (124–238) |
| EM | 116 (78–167) |
| EMRA | 5 (2–19) |
| Th1 | 19 (10–40) |
| Th2 | 46 (32–62) |
| Th17/Th22 | 47 (33–67) |
| CD25high | 15 (8–25) |
| HLA-DR+ | 52 (44–65) |
| CD69+ | 13 (9–21) |
| NK cells | 150 (87–223) |
| CD56+ CD16+ | 129 (65–203) |
| CD56dim CD16bright | 9 (7–18) |
| CD56bright CD16dim | 11 (8–14) |
| NK-like T cells | 43 (19–108) |
| B cells | 122 (69–185) |
| Naive | 73 (37–113) |
| Memory | 7 (3–14) |
| Class switch | 16 (8–24) |
| Transitory | 2 (1–4) |
| CD4/CD8 Ratio | 2.2 (1.8–3.3) |
| Histology | |
| TILs TC CD3 | 768 (617–1074) |
| TILs TC CD8 | 235 (148–440) |
| TILs IF CD3 | 1173 (838–1577) |
| TILs IFCD8 | 505 (277–820) |
Publisher’s Note: MDPI stays neutral with regard to jurisdictional claims in published maps and institutional affiliations. |
© 2022 by the authors. Licensee MDPI, Basel, Switzerland. This article is an open access article distributed under the terms and conditions of the Creative Commons Attribution (CC BY) license (https://creativecommons.org/licenses/by/4.0/).
Share and Cite
Waidhauser, J.; Nerlinger, P.; Sommer, F.; Wolf, S.; Eser, S.; Löhr, P.; Rank, A.; Märkl, B. Circulating Lymphocytes Reflect the Local Immune Response in Patients with Colorectal Carcinoma. Diagnostics 2022, 12, 1408. https://doi.org/10.3390/diagnostics12061408
Waidhauser J, Nerlinger P, Sommer F, Wolf S, Eser S, Löhr P, Rank A, Märkl B. Circulating Lymphocytes Reflect the Local Immune Response in Patients with Colorectal Carcinoma. Diagnostics. 2022; 12(6):1408. https://doi.org/10.3390/diagnostics12061408
Chicago/Turabian StyleWaidhauser, Johanna, Pia Nerlinger, Florian Sommer, Sebastian Wolf, Stefan Eser, Phillip Löhr, Andreas Rank, and Bruno Märkl. 2022. "Circulating Lymphocytes Reflect the Local Immune Response in Patients with Colorectal Carcinoma" Diagnostics 12, no. 6: 1408. https://doi.org/10.3390/diagnostics12061408
APA StyleWaidhauser, J., Nerlinger, P., Sommer, F., Wolf, S., Eser, S., Löhr, P., Rank, A., & Märkl, B. (2022). Circulating Lymphocytes Reflect the Local Immune Response in Patients with Colorectal Carcinoma. Diagnostics, 12(6), 1408. https://doi.org/10.3390/diagnostics12061408

