Desmoplastic Small Round Cell Tumor of the Uterus: A Report of Molecularly Confirmed Case with EWSR1-WT1 Fusion
Abstract
:1. Introduction
2. Case Presentation
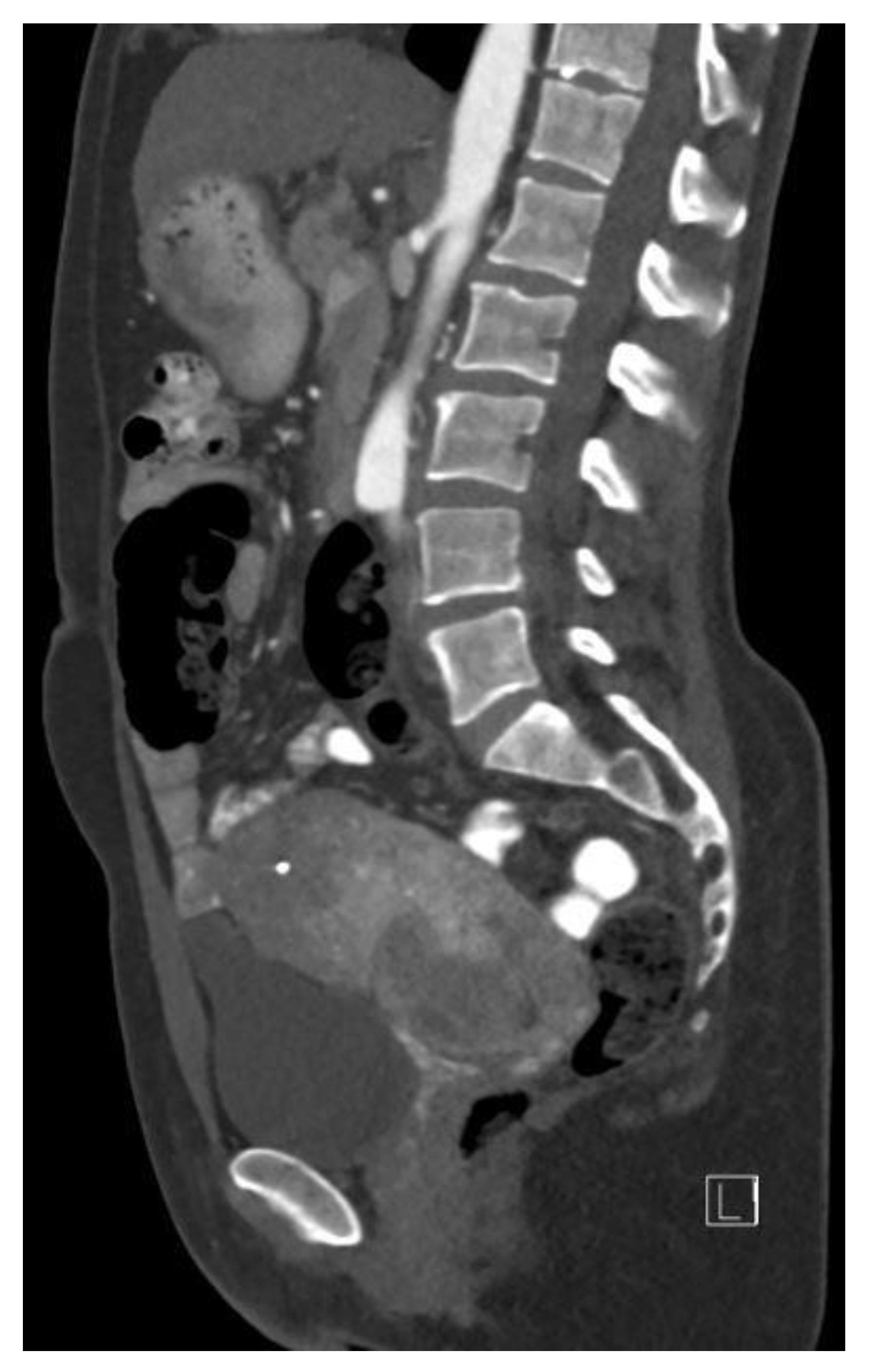
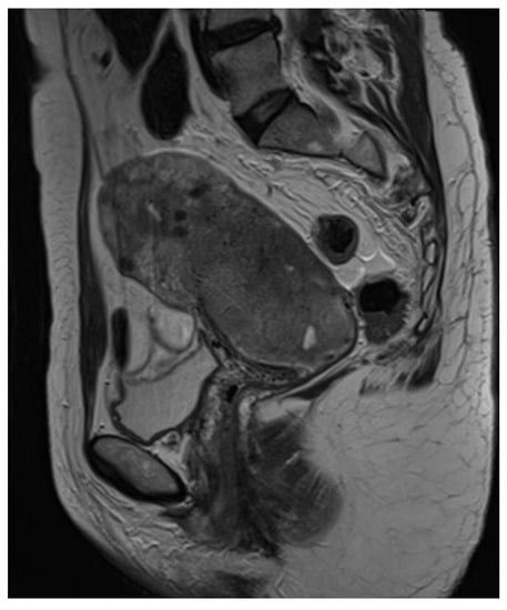
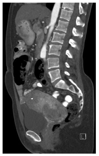
2.1. Clinical Findings
2.2. Morphological Findings
2.3. Immunohistochemical Findings
2.4. Molecular Findings
3. Discussion
4. Conclusions
Supplementary Materials
Author Contributions
Funding
Institutional Review Board Statement
Informed Consent Statement
Data Availability Statement
Acknowledgments
Conflicts of Interest
References
- Gerald, W.L.; Miller, H.K.; Battifora, H.; Miettinen, M.; Silva, E.G.; Rosai, J. Intra-abdominal desmoplastic small round-cell tumor. Report of 19 cases of a distinctive type of high-grade polyphenotypic malignancy affecting young individuals. Am. J. Surg. Pathol. 1991, 15, 499–513. [Google Scholar] [CrossRef] [PubMed]
- Al-Ibraheemi, A.; Broehm, C.; Tanas, M.R.; Horvai, A.E.; Rubin, B.P.; Cheah, A.L.; Thway, K.; Fisher, C.; Bahrami, A.; Folpe, A.L.; et al. Desmoplastic Small Round Cell Tumors With Atypical Presentations: A Report of 34 Cases. Int. J. Surg. Pathol. 2019, 27, 236–243. [Google Scholar] [CrossRef] [PubMed]
- Ordonez, N.G. Desmoplastic small round cell tumor: I: A histopathologic study of 39 cases with emphasis on unusual histological patterns. Am. J. Surg. Pathol. 1998, 22, 1303–1313. [Google Scholar] [CrossRef] [PubMed]
- Galliani, C.A.; Bisceglia, M.; Del Giudice, A.; Creti, G. Desmoplastic Small Round Cell Tumor of the Kidney: Report of a Case, Literature Review, and Comprehensive Discussion of the Distinctive Morphologic, Immunohistochemical, and Molecular Features in the Differential Diagnosis of Small Round Cell Tumors Affecting the Kidney. Adv. Anat. Pathol. 2020, 27, 408–421. [Google Scholar] [CrossRef]
- Md Arshad, N.Z. Desmoplastic Small Round Cell Tumour of the Uterus: A Case Report. J. Surg. Acad. 2017, 7, 47–50. [Google Scholar] [CrossRef]
- Khalbuss, W.E.; Bui, M.; Loya, A. A 19-year-old woman with a cervicovaginal mass and elevated serum CA 125. Desmoplastic small round cell tumor. Arch. Pathol. Lab. Med. 2006, 130, e59–e61. [Google Scholar] [CrossRef]
- Vujic, G.; Mikus, M.; Matak, L.; Bonevski, A.; Babic, I.; Planinic, P.; Babic, D.; Corusic, A. Desmoplastic Small Round Cell Tumor of the Ovary: A Case Report with a New Modality of Treatment and Review of the Literature. Rev. Bras. Ginecol. Obstet. 2020, 42, 297–302. [Google Scholar] [CrossRef]
- Phulware, R.H.; Roy, M.; Singh, N.; Kumar, S.; Mathur, S.R. Desmoplastic small round cell tumor of the ovary: A rare but poor prognostic disease in a young woman! Indian J. Pathol. Microbiol. 2021, 64, 206–209. [Google Scholar] [CrossRef]
- Dundr, P.; Gregova, M.; Hojny, J.; Krkavcova, E.; Michalkova, R.; Nemejcova, K.; Bartu, M.; Hajkova, N.; Laco, J.; Mara, M.; et al. Uterine cellular leiomyomas are characterized by common HMGA2 aberrations, followed by chromosome 1p deletion and MED12 mutation: Morphological, molecular, and immunohistochemical study of 52 cases. Virchows Arch. 2021, 480, 281–291. [Google Scholar] [CrossRef]
- Mello, C.A.; Campos, F.A.B.; Santos, T.G.; Silva, M.L.G.; Torrezan, G.T.; Costa, F.D.; Formiga, M.N.; Nicolau, U.; Nascimento, A.G.; Silva, C.; et al. Desmoplastic Small Round Cell Tumor: A Review of Main Molecular Abnormalities and Emerging Therapy. Cancers 2021, 13, 498. [Google Scholar] [CrossRef]
- Magro, G.; Broggi, G.; Zin, A.; Di Benedetto, V.; Meli, M.; Di Cataldo, A.; Alaggio, R.; Salvatorelli, L. Desmoplastic Small Round Cell Tumor with “Pure” Spindle Cell Morphology and Novel EWS-WT1 Fusion Transcript: Expanding the Morphological and Molecular Spectrum of This Rare Entity. Diagnostics 2021, 11, 545. [Google Scholar] [CrossRef] [PubMed]
- Ordonez, N.G. Desmoplastic small round cell tumor: II: An ultrastructural and immunohistochemical study with emphasis on new immunohistochemical markers. Am. J. Surg. Pathol. 1998, 22, 1314–1327. [Google Scholar] [CrossRef] [PubMed]
- Arnold, M.A.; Schoenfield, L.; Limketkai, B.N.; Arnold, C.A. Diagnostic pitfalls of differentiating desmoplastic small round cell tumor (DSRCT) from Wilms tumor (WT): Overlapping morphologic and immunohistochemical features. Am. J. Surg. Pathol. 2014, 38, 1220–1226. [Google Scholar] [CrossRef] [PubMed]
- Gerald, W.L.; Haber, D.A. The EWS-WT1 gene fusion in desmoplastic small round cell tumor. Semin. Cancer Biol. 2005, 15, 197–205. [Google Scholar] [CrossRef] [PubMed]
- Schoolmeester, J.K.; Folpe, A.L.; Nair, A.A.; Halling, K.; Sutton, B.C.; Landers, E.; Karnezis, A.N.; Dickson, B.C.; Nucci, M.R.; Kolin, D.L. EWSR1-WT1 gene fusions in neoplasms other than desmoplastic small round cell tumor: A report of three unusual tumors involving the female genital tract and review of the literature. Mod. Pathol. 2021, 34, 1912–1920. [Google Scholar] [CrossRef] [PubMed]
- Ud Din, N.; Pekmezci, M.; Javed, G.; Horvai, A.E.; Ahmad, Z.; Faheem, M.; Navarro, A.L.; Lopez-Terrada, D.; Perry, A. Low-grade small round cell tumor of the cauda equina with EWSR1-WT1 fusion and indolent clinical course. Hum. Pathol. 2015, 46, 153–158. [Google Scholar] [CrossRef]
- Alaggio, R.; Rosolen, A.; Sartori, F.; Leszl, A.; d’Amore, E.S.; Bisogno, G.; Carli, M.; Cecchetto, G.; Coffin, C.M.; Ninfo, V. Spindle cell tumor with EWS-WT1 transcript and a favorable clinical course: A variant of DSCT, a variant of leiomyosarcoma, or a new entity? Report of 2 pediatric cases. Am. J. Surg. Pathol. 2007, 31, 454–459. [Google Scholar] [CrossRef]
- Dundr, P.; Fischerova, D.; Povysil, C.; Berkova, A.; Bauerova, L.; Cibula, D. Uterine tumors with neuroectodermal differentiation. A report of 4 cases. Pathol. Oncol. Res. 2010, 16, 601–608. [Google Scholar] [CrossRef]
- Chiang, S.; Snuderl, M.; Kojiro-Sanada, S.; Quer Pi-Sunyer, A.; Daya, D.; Hayashi, T.; Bosincu, L.; Ogawa, F.; Rosenberg, A.E.; Horn, L.C.; et al. Primitive Neuroectodermal Tumors of the Female Genital Tract: A Morphologic, Immunohistochemical, and Molecular Study of 19 Cases. Am. J. Surg. Pathol. 2017, 41, 761–772. [Google Scholar] [CrossRef] [Green Version]
- Euscher, E.D.; Deavers, M.T.; Lopez-Terrada, D.; Lazar, A.J.; Silva, E.G.; Malpica, A. Uterine tumors with neuroectodermal differentiation: A series of 17 cases and review of the literature. Am. J. Surg. Pathol. 2008, 32, 219–228. [Google Scholar] [CrossRef]
- Zucman, J.; Melot, T.; Desmaze, C.; Ghysdael, J.; Plougastel, B.; Peter, M.; Zucker, J.M.; Triche, T.J.; Sheer, D.; Turc-Carel, C.; et al. Combinatorial generation of variable fusion proteins in the Ewing family of tumours. EMBO J. 1993, 12, 4481–4487. [Google Scholar] [CrossRef] [PubMed]
- Antonescu, C.R.; Owosho, A.A.; Zhang, L.; Chen, S.; Deniz, K.; Huryn, J.M.; Kao, Y.C.; Huang, S.C.; Singer, S.; Tap, W.; et al. Sarcomas With CIC-rearrangements Are a Distinct Pathologic Entity With Aggressive Outcome: A Clinicopathologic and Molecular Study of 115 Cases. Am. J. Surg. Pathol. 2017, 41, 941–949. [Google Scholar] [CrossRef] [PubMed]
- Sedighim, S.; Burke, J.; Schneider, D.; Kamdjou, T.; Diaz-Perez, J.A.; Trent, J.; Moller, M. CIC-rearranged round cell (Ewing-like) sarcoma of the uterus: Review of the literature. Gynecol. Oncol. Rep. 2020, 33, 100592. [Google Scholar] [CrossRef] [PubMed]
- Vieira, A.C.; Xavier, C.B.; Vieira, T.D.; Carvalho, F.M.; Scaranti, M.; Munhoz, R.R.; Carvalho, J.P. CIC-DUX4 rearranged uterine cervix round-cell sarcoma exhibiting near-complete pathologic response following radiation and neoadjuvant chemotherapy: A case report. Gynecol. Oncol. Rep. 2021, 36, 100745. [Google Scholar] [CrossRef]
- Howitt, B.E.; Folpe, A.L. Update on SWI/SNF-related gynecologic mesenchymal neoplasms: SMARCA4-deficient uterine sarcoma and SMARCB1-deficient vulvar neoplasms. Genes Chromosomes Cancer 2021, 60, 190–209. [Google Scholar] [CrossRef]
- Croce, S.; Hostein, I.; Ribeiro, A.; Garbay, D.; Velasco, V.; Stoeckle, E.; Guyon, F.; Floquet, A.; Neuville, A.; Coindre, J.M.; et al. YWHAE rearrangement identified by FISH and RT-PCR in endometrial stromal sarcomas: Genetic and pathological correlations. Mod. Pathol. 2013, 26, 1390–1400. [Google Scholar] [CrossRef]
- Lee, C.H.; Marino-Enriquez, A.; Ou, W.; Zhu, M.; Ali, R.H.; Chiang, S.; Amant, F.; Gilks, C.B.; van de Rijn, M.; Oliva, E.; et al. The clinicopathologic features of YWHAE-FAM22 endometrial stromal sarcomas: A histologically high-grade and clinically aggressive tumor. Am. J. Surg. Pathol. 2012, 36, 641–653. [Google Scholar] [CrossRef] [Green Version]
- Ondic, O.; Bednarova, B.; Ptakova, N.; Hajkova, V.; Steiner, P.; Sidlova, H.; Presl, J.; Bouda, J.; Alaghehbandan, R.; Michal, M. ZC3H7B-BCOR high-grade endometrial stromal sarcoma may present as myoma nascens with cytoplasmic signet ring cell change. Virchows Arch. 2020, 476, 615–619. [Google Scholar] [CrossRef]
- Lewis, N.; Soslow, R.A.; Delair, D.F.; Park, K.J.; Murali, R.; Hollmann, T.J.; Davidson, B.; Micci, F.; Panagopoulos, I.; Hoang, L.N.; et al. ZC3H7B-BCOR high-grade endometrial stromal sarcomas: A report of 17 cases of a newly defined entity. Mod. Pathol. 2018, 31, 674–684. [Google Scholar] [CrossRef] [Green Version]
- Momeni-Boroujeni, A.; Chiang, S. Uterine mesenchymal tumours: Recent advances. Histopathology 2020, 76, 64–75. [Google Scholar] [CrossRef]
- Trikalinos, N.A.; Chrisinger, J.S.A.; Van Tine, B.A. Common Pitfalls in Ewing Sarcoma and Desmoplastic Small Round Cell Tumor Diagnosis Seen in a Study of 115 Cases. Med. Sci. 2021, 9, 62. [Google Scholar] [CrossRef] [PubMed]



Publisher’s Note: MDPI stays neutral with regard to jurisdictional claims in published maps and institutional affiliations. |
© 2022 by the authors. Licensee MDPI, Basel, Switzerland. This article is an open access article distributed under the terms and conditions of the Creative Commons Attribution (CC BY) license (https://creativecommons.org/licenses/by/4.0/).
Share and Cite
Dundr, P.; Drozenová, J.; Matěj, R.; Bártů, M.; Němejcová, K.; Robová, H.; Rob, L.; Hojný, J.; Stružinská, I. Desmoplastic Small Round Cell Tumor of the Uterus: A Report of Molecularly Confirmed Case with EWSR1-WT1 Fusion. Diagnostics 2022, 12, 1184. https://doi.org/10.3390/diagnostics12051184
Dundr P, Drozenová J, Matěj R, Bártů M, Němejcová K, Robová H, Rob L, Hojný J, Stružinská I. Desmoplastic Small Round Cell Tumor of the Uterus: A Report of Molecularly Confirmed Case with EWSR1-WT1 Fusion. Diagnostics. 2022; 12(5):1184. https://doi.org/10.3390/diagnostics12051184
Chicago/Turabian StyleDundr, Pavel, Jana Drozenová, Radoslav Matěj, Michaela Bártů, Kristýna Němejcová, Helena Robová, Lukáš Rob, Jan Hojný, and Ivana Stružinská. 2022. "Desmoplastic Small Round Cell Tumor of the Uterus: A Report of Molecularly Confirmed Case with EWSR1-WT1 Fusion" Diagnostics 12, no. 5: 1184. https://doi.org/10.3390/diagnostics12051184
APA StyleDundr, P., Drozenová, J., Matěj, R., Bártů, M., Němejcová, K., Robová, H., Rob, L., Hojný, J., & Stružinská, I. (2022). Desmoplastic Small Round Cell Tumor of the Uterus: A Report of Molecularly Confirmed Case with EWSR1-WT1 Fusion. Diagnostics, 12(5), 1184. https://doi.org/10.3390/diagnostics12051184

