G870A Polymorphic Variants of CCND1 Gene and Cyclin D1 Protein Expression as Prognostic Markers in Laryngeal Lesions
Abstract
1. Introduction
2. Materials and Methods
2.1. Study Population and Epidemiologic Data
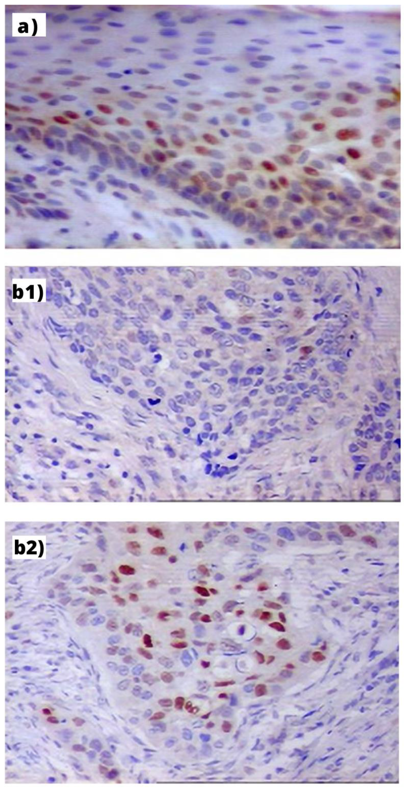
2.2. Immunohistochemistry
2.3. Genotyping
2.4. Statistical Analysis
3. Results
3.1. Patients’ Characteristics
3.2. CCND1 G870A Polymorphism Distribution in Patients with Laryngeal Lesions
3.3. Cyclin D1 Expression in Patients with Laryngeal Lesions
3.4. Analysis of Risk Factors for Laryngeal Lesions Development
3.5. Analysis of Overall and Disease-Free Survival of Patients with Laryngeal Cancer
4. Discussion
Supplementary Materials
Author Contributions
Funding
Institutional Review Board Statement
Informed Consent Statement
Data Availability Statement
Conflicts of Interest
References
- Howlader, N.; Noone, A.M.; Krapcho, M.; Miller, D.; Bishop, K.; Kosary, C.L.; Yu, M.; Ruhl, J.; Tatalovich, Z.; Mariotto, A.; et al. (Eds.) Cancer Statistics Review, 1975–2014; National Cancer Institute: Bethesda, MD, USA, 2017; pp. 1975–2008.
- Koroulakis, A.; Agarwal, M. Cancer, Laryngeal; StatPearls Publishing: Treasure Island, FL, USA, 2019. [Google Scholar]
- Kleinsasser, O. The classification and differential diagnosis of epithelial hyperplasia of the laryngeal mucosa on the basis of histomorphological features. II. Z. Laryngol. Rhinol. Otol. 1963, 42, 339–362. [Google Scholar] [PubMed]
- Kramer, I.R.H.; Lucas, R.B.; Pindborg, J.J. Definition of leukoplakia and related lesions: An aid to studies on oral precancer. Oral Surg. Oral Med. Oral Pathol. 1978, 46, 518–537, 539. [Google Scholar] [CrossRef] [PubMed]
- Paul, B.C.; Chen, S.; Sridharan, S.; Fang, Y.; Amin, M.R.; Baranski, R.C. Diagnostic accuracy of history, laryngoscopy, and stroboscopy. Laryngoscope 2013, 123, 215–219. [Google Scholar] [CrossRef] [PubMed]
- El-Naggar, A.K.; Chan, J.K.C.; Grandis, J.R.; Takata, T.; Slootweg, P.J. (Eds.) WHO Classification of Head and Neck Tumours, 4th ed.; IARC Publications: Lyon, France, 2017. [Google Scholar]
- Lundgren, J.; Olofsson, J.; Hellquist, H. Toluidine Blue: An Aid in the Microlaryngoscopic Diagnosis of Glottic Lesions? Arch. Otolaryngol. 1979, 105, 169–174. [Google Scholar] [CrossRef]
- Mishra, A.; Nilakantan, A.; Sahai, K.; Sethi, A.; Singh, S.; Datta, R. Contact Endoscopy—A promising tool for evaluation of laryngeal mucosal lesions. J. Laryngol. Voice 2012, 2, 53. [Google Scholar] [CrossRef]
- Ansari, U.H.; Wong, E.; Smith, M.; Singh, N.; Palme, C.E.; Smith, M.C.; Riffat, F. Validity of narrow band imaging in the detection of oral and oropharyngeal malignant lesions: A systematic review and meta-analysis. Head Neck 2019, 41, 2430–2440. [Google Scholar] [CrossRef]
- Popek, B.; Bojanowska-Poźniak, K.; Tomasik, B.; Fendler, W.; Jeruzal-Świątecka, J.; Pietruszewska, W. Clinical experience of narrow band imaging (NBI) usage in diagnosis of laryngeal lesions. Otolaryngol. Pol. 2019, 73, 18–23. [Google Scholar] [CrossRef]
- Eckel, H.E.; Simo, R.; Quer, M.; Odell, E.; Paleri, V.; Klussmann, J.P.; Remacle, M.; Sjögren, E.; Piazza, C. European Laryn-gological Society position paper on laryngeal dysplasia Part II: Diagnosis, treatment, and follow-up. Eur. Arch. Oto-Rhino-Laryngol. 2020, 1, 3. [Google Scholar]
- Bellacosa, A.; Almadori, G.; Cavallo, S.; Cadoni, G.; Galli, J.; Ferrandina, G.; Scambia, G.; Neri, G. Cyclin D1 gene amplifi-cation in human laryngeal squamous cell carcinomas: Prognostic significance and clinical implications. Clin. Cancer Res. 1996, 2, 175–180. [Google Scholar]
- Jarmuz, M.; Grenman, R.; Golusinski, W.; Szyfter, K. Aberrations of 11q13 in laryngeal squamous cell lines and their prog-nostic significance. Cancer Genet. Cytogenet. 2005, 160, 82–88. [Google Scholar] [CrossRef]
- Gupta, V.K.; Feber, A.; Xi, L.; Pennathur, A.; Wu, M.; Luketich, J.D.; Godfrey, T.E. Association between CCND1G/A870 polymorphism, allele- Specific amplification, cyclin D1 expression, and survival in esophageal and lung carcinoma. Clin. Cancer Res. 2008, 14, 7804–7812. [Google Scholar] [CrossRef] [PubMed]
- Leemans, C.R.; Snijders, P.J.F.; Brakenhoff, R.H. The molecular landscape of head and neck cancer. Nat. Rev. Cancer 2018, 18, 269–282. [Google Scholar] [CrossRef] [PubMed]
- Tashiro, E.; Tsuchiya, A.; Imoto, M. Functions of cyclin D1 as an oncogene and regulation of cyclin D1 expression. Cancer Sci. 2007, 98, 629–635. [Google Scholar] [CrossRef] [PubMed]
- Krieger, S.; Gauduchon, J.; Roussel, M.; Troussard, X.; Sola, B. Relevance of cyclin D1b expression and CCND1 polymor-phism in the pathogenesis of multiple myeloma and mantle cell lymphoma. BMC Cancer 2006, 6, 238. [Google Scholar] [CrossRef] [PubMed][Green Version]
- Li, R.; An, S.J.; Chen, Z.H.; Zhang, G.C.; Zhu, J.Q.; Nie, Q.; Xie, Z.; Guo, A.L.; Mok, T.S.; Wu, Y.L. Expression of cyclin D1 splice variants is differentially associated with outcome in non-small cell lung cancer patients. Hum. Pathol. 2008, 39, 1792–1801. [Google Scholar] [CrossRef] [PubMed]
- Papadimitrakopoulou, V.; Izzo, J.G.; Liu, D.D.; Myers, J.; Ceron, T.L.; Lewin, J.; William, W.N.; Atwell, A.; Lee, J.J.; Gillenwater, A.; et al. Cyclin D1 and cancer development in laryngeal premalignancy patients. Cancer Prev. Res. 2009, 2, 14–21. [Google Scholar] [CrossRef]
- Nishimoto, I.N.; Pinheiro, N.A.; Rogatto, S.R.; Carvalho, A.L.; Simpson, A.J.; Caballero, O.L.; Kowalski, L.P. Cyclin D1 gene polymorphism as a risk factor for squamous cell carcinoma of the upper aerodigestive system in non-alcoholics. Oral Oncol. 2004, 40, 604–610. [Google Scholar] [CrossRef]
- Lewis, R.C.; Bostick, R.M.; Xie, D.; Deng, Z.; Wargovich, M.J.; Fina, M.F.; Roufail, W.M.; Geisinger, K.R. Polymorphism of the Cyclin D1 Gene, CCND1, and Risk for Incident Sporadic Colorectal Adenomas. Cancer Res. 2003, 63, 8549–8553. [Google Scholar]
- Wang, W.; Spitz, M.R.; Yang, H.; Lu, C.; Stewart, D.J.; Wu, X. Genetic variants in cell cycle control pathway confer suscep-tibility to lung cancer. Clin. Cancer Res. 2007, 13, 5974–5981. [Google Scholar] [CrossRef]
- Bradford, C.R.; Kumar, B.; Bellile, E.; Lee, J.; Taylor, J.; D’Silva, N.; Cordell, K.; Kleer, C.; Kupfer, R.; Kumar, P.; et al. Biomarkers in advanced larynx cancer. Laryngoscope 2014, 124, 179–187. [Google Scholar] [CrossRef]
- Zheng, Y.; Shen, H.; Sturgis, E.M.; Wang, L.E.; Eicher, S.A.; Strom, S.S.; Frazier, M.L.; Spitz, M.R.; Wei, Q. Cyclin D1 poly-morphism and risk for squamous cell carcinoma of the head and neck: A case-control study. Carcinogenesis 2001, 22, 1195–1199. [Google Scholar] [CrossRef] [PubMed][Green Version]
- Porter, T.R.; Richards, F.M.; Houlston, R.S.; Evans, D.G.R.; Jankowski, J.A.; Macdonald, F.; Norbury, G.; Payne, S.J.; Fisher, S.A.; Tomlinson, I.; et al. Contribution of cyclin d1 (CCND1) and E-cadherin (CDH1) polymorphisms to familial and sporadic colorectal cancer. Oncogene 2002, 21, 1928–1933. [Google Scholar] [CrossRef] [PubMed]
- Wang, L.; Habuchi, T.; Takahashi, T.; Mitsumori, K.; Kamoto, T.; Kakehi, Y.; Kakinuma, H.; Sato, K.; Nakamura, A.; Ogawa, O.; et al. Cyclin D1 Gene Polymorphism Is Associated with an Increased Risk of Urinary Bladder Cancer. Carcinogenesis 2002, 23, 257–264. [Google Scholar] [CrossRef] [PubMed]
- Betticher, D.C.; Thatcher, N.; Altermatt, H.J.; Hoban, P.; Ryder, W.D.; Heighway, J. Alternate Splicing Produces a Novel Cyclin D1 Transcript. Oncogene 1995, 11, 1005–1011. [Google Scholar]
- Lu, F.; Gladden, A.B.; Diehl, J.A. An Alternatively Spliced Cyclin D1 Isoform, Cyclin D1b, Is a Nuclear Oncogene. Cancer Res. 2003, 63, 7056–7061. [Google Scholar]
- Diehl, J.A. Cycling to cancer with cyclin D1. Cancer Biol. Ther. 2002, 1, 226–231. [Google Scholar] [CrossRef]
- Knudsen, K.E. The cyclin D1b splice variant: An old oncogene learns new tricks. Cell Div. 2006, 1, 15. [Google Scholar] [CrossRef]
- McShane, L.M.; Altman, D.G.; Sauerbrei, W.; Taube, S.E.; Gion, M.; Clark, G.M. REporting recommendations for tumour MARKer prognostic studies (REMARK). Br. J. Cancer 2005, 93, 387–391. [Google Scholar] [CrossRef]
- Barnes, L.; Eveson, J.; Reichart, P.; Sidransky, D. (Eds.) World Health Organization Classification of Tumours. Pathology and Genetics of Head and Neck Tumours; IARC Press: Lyon, France, 2005. [Google Scholar]
- Rydzanicz, M.; Golusinski, P.; Mielcarek-Kuchta, D.; Golusinski, W.; Szyfter, K. Cyclin D1 gene (CCND1) polymorphism and the risk of squamous cell carcinoma of the larynx. Eur. Arch. Oto-Rhino-Laryngol. 2006, 263, 43–48. [Google Scholar] [CrossRef]
- Marsit, C.J.; Black, C.C.; Posner, M.R.; Kelsey, K.T. A Genotype-Phenotype Examination of Cyclin D1 on Risk and Outcome of Squamous Cell Carcinoma of the Head and Neck. Clin. Cancer Res. 2008, 14, 2371–2377. [Google Scholar] [CrossRef][Green Version]
- Holley, S.L.; Matthias, C.; Jahnke, V.; Fryer, A.A.; Strange, R.C.; Hoban, P.R. Association of cyclin D1 polymorphism with increased susceptibility to oral squamous cell carcinoma. Oral Oncol. 2005, 41, 156–160. [Google Scholar] [CrossRef] [PubMed]
- Monteiro, E.; Varzim, G.; Pires, A.M.; Teixeira, M.; Lopes, C. Cyclin D1 A870G polymorphism and amplification in laryngeal squamous cell carcinoma: Implications of tumor localization and tobacco exposure. Cancer Detect. Prev. 2004, 28, 237–243. [Google Scholar] [CrossRef] [PubMed]
- Verim, A.; Ozkan, N.; Turan, S.; Korkmaz, G.; Cacina, C.; Yaylim, I.; Isbir, T. Association of the Cylin D1 G870A polymor-phism with laryngeal cancer: Are they really related? Asian Pac. J. Cancer Prev. 2013, 14, 7629–7634. [Google Scholar] [CrossRef] [PubMed]
- Ramos-García, P.; González-Moles, M.Á.; Ayén, Á.; González-Ruiz, L.; Gil-Montoya, J.A.; Ruiz-Ávila, I. Predictive value of CCND1/cyclin D1 alterations in the malignant transformation of potentially malignant head and neck disorders: Systematic review and meta-analysis. Head Neck 2019, 41, 3395–3407. [Google Scholar] [CrossRef] [PubMed]
- Meng, Y.; Zhang, C.; Zhou, X. Association between the Cyclin D1 G870A polymorphism and the susceptibility to and prognosis of upper aerodigestive tract squamous cell carcinomas: An updated meta-analysis. Onco Targets Ther. 2016, 9, 367–376. [Google Scholar] [CrossRef]
- Izzo, J.G.; Papadimitrakopoulou, V.A.; Liu, D.D.; den Hollander, P.L.C.; Babenko, I.M.; Keck, J.; El-Naggar, A.K.; Shin, D.M.; Lee, J.J.; Hong, W.K.; et al. Cyclin D1 Genotype, Response to Biochemoprevention, and Progression Rate to Upper Aero-digestive Tract Cancer. JNCI J. Natl. Cancer Inst. 2003, 95, 198–205. [Google Scholar] [CrossRef]
- Maržić, D.; Čoklo, M.; Marijić, B.; Hadžisejdić, I.; Dekanić, A.; Krstulja, M.; Šepić, T.; Avirović, M.; Braut, T. The expression of ribonuclear protein IMP3 in laryngeal carcinogenesis. Pathol. Res. Pract. 2020, 216, 152974. [Google Scholar] [CrossRef]
- Jovanovic, I.P.; Radosavljevic, G.D.; Simovic-Markovic, B.J.; Stojanovic, S.P.; Stefanovic, S.M.; Pejnovic, N.N.; Arsenijevic, N.N. Clinical significance of Cyclin D1, FGF3 and p21 protein expression in laryngeal squamous cell carcinoma. J. BUON 2014, 19, 944–952. [Google Scholar]
- Eryilmaz, A.; Cengiz, A.; Basal, Y.; Meteoglu, I.; Omurlu, I.; Yurekli, Y. The correlation of prognostic biomarkers (Ki-67, Bcl-2, HIF-1α, cyclin D1) with metabolic tumor volume measured by F-FDG PET/CT inlaryngeal cancer. J. Cancer Res. Ther. 2018, 14, 994–998. [Google Scholar] [CrossRef]
- Gioacchini, F.M.; Alicandri-Ciufelli, M.; Kaleci, S.; Magliulo, G.; Presutti, L.; Re, M. The prognostic value of cyclin D1 expression in head and neck squamous cell carcinoma. Eur. Arch. Otorhinolaryngol. 2016, 273, 801–809. [Google Scholar] [CrossRef]

| Control (n = 234) | PLLs (n = 83) | PLLs→LC (n = 17) | LC (n = 101) | |
|---|---|---|---|---|
| Mean age (range) | 47.4 (38–76) | 52.0 (20–76) | 54.8 (37–76) | 57.4 (37–82) |
| Gender | ||||
| Male | 123 (52.3%) | 56 (67.5%) | 16 (94.1%) | 91 (90.1%) |
| Female | 111 (47.7%) | 27 (32.5%) | 1 (5.9%) | 10 (9.9%) |
| Smoking | ||||
| Non-smoker | 60 (25.6%) | 18 (21.7%) | 2 (11.8%) | 6 (5.9%) |
| light | 58 (24.8%) | 16 (19.3%) | 4 (23.5%) | 19 (18.8%) |
| heavy | 116 (49.6%) | 49 (59%) | 11 (64.7%) | 76 (75.3%) |
| Alcohol intake | ||||
| Non-drinker | 140 (59.8%) | 42 (50.6%) | 2 (11.8%) | 9 (8.9%) |
| light | 70 (29.9%) | 29 (34.9%) | 11 (64.7%) | 72 (71.3%) |
| heavy | 24 (10.3%) | 12 (14.5%) | 4 (23.5%) | 20 (19.8%) |
| Primary site | ||||
| epiglottic | 21 (25.3%) | 5 (29.4%) | 45 (44.6%) | |
| glottic | 61 (73.5%) | 12 (70.6%) | 53 (52.5%) | |
| subglottic | 1 (1.2%) | 0 | 3 (2.9%) | |
| Tumor extension | ||||
| T1, T2 | 5 (29.4%) | 33 (32.7%) | ||
| T3, T4 | 12 (70.6%) | 68 (67.3%) | ||
| Nodal involvement | ||||
| N0 | 14 (82.3%) | 65 (64.4%) | ||
| N1, N2, N3 | 3 (17.7%) | 36 (35.6%) | ||
| TNM stage | ||||
| I | 4 (23.5%) | 15 (14.8%) | ||
| II | 1 (5.9%) | 18 (17.8%) | ||
| III | 9 (52.9%) | 24 (23.8%) | ||
| IV | 3 (17.7%) | 44 (43.6%) | ||
| Histological grading | ||||
| G1 | 10 (58.8%) | 25 (24.8%) | ||
| G2 | 6 (35.3%) | 56 (55.4%) | ||
| G3 | 1 (5.9%) | 20 (19.8%) | ||
| Dysplasia grading | ||||
| low-grade | 54 (65%) | 14 (82.3%) | ||
| high-grade | 29 (35%) | 3 (17.7%) | ||
| Reccurence | ||||
| local | 10 (9.9%) | |||
| nodal | 18 (17.8%) |
| CCND1 Genotype | Control (n = 234) | PLLs (n = 83) | PLLs→LC (n = 17) | LC (n = 101) | All Study Groups vs. Control (OR 95% CI) | LC vs. Control (OR 95% CI) |
|---|---|---|---|---|---|---|
| AA | 52 (22.2%) | 33 (39.8%) | 7 (41.2%) | 26 (25.7%) | 1.42 (0.98–2.21) p = 0.04 | 1.07 (0.68–1.54) p > 0.05 |
| AG | 118 (50.5%) | 30 (36.1%) | 8 (47.0%) | 62 (61.4%) | ||
| GG | 64 (27.3%) | 20 (24.1%) | 2 (11.8%) | 13 (12.9%) | 1 * | 1 * |
| A allele carrier (GA/AA) | 170 (72.7%) | 63 (75.9%) | 15 (88.2%) | 88 (87.1%) | 1.72 (1.07–2.77) p = 0.009 | 2.55 (1.33–2.9) p = 0.006 |
| Cyclin D1 Median (IQR) | PLLs (n = 83) | PLLs→LC (n = 17) | LC (n = 101) |
|---|---|---|---|
| Age | |||
| <55 | 10 (5–20) | 30 (5–40) | 20 (5–35) |
| >55 | 10 (5–10) | 20.5 (12.5–35) | 20 (10–40) |
| p | 0.94 | 0.82 | 0.73 |
| Gender | |||
| Female | 10 (2–15) | 5 (5–5) | 10 (5–20) |
| Male | 10 (5–15) | 28 (12–40) | 20 (10–35) |
| p | 0.73 | 0.001 | 0.055 |
| Primary site | |||
| Epiglottic | 10 (7.5–15) | 26 (15–30) | 25 (10–35) |
| Glottic | 10 (5–15) | 22.5 (10–43) | 20 (10–35) |
| p | 0.23 | 0.84 | 0.43 |
| Tumor extension | |||
| T1, T2 | 40 (15–46) | 15 (10–30) | |
| T3, T4 | 20.5 (7.5–32.5) | 20 (10–35) | |
| p | 0.15 | 0.35 | |
| Nodal involvement | |||
| N0 | 22.5 (10–40) | 20 (10–35) | |
| N1, N2, N3 | 26 (5–30) | 22.5 (12.5–35) | |
| p | 0.53 | 0.68 | |
| TNM stage | |||
| I | 30.5 (15–48) | 10 (10–30) | |
| II | 40 (40–40) | 20 (5–40) | |
| III | 10 (5–30) | 20 (10–30) | |
| IV | 30 (26–60) | 28 (15–40) | |
| p | IA | 0.35 | |
| Histological grading | |||
| G1 | 22.5 (10–46) | 15 (10–35) | |
| G2 | 20.5 (5–40) | 20 (10–32.5) | |
| G3 | 30 (30–30) | 22.5 (10–40) | |
| p | IA | 0.82 | |
| Local recurrence | |||
| present | 40 (20–40) | 35 (20–40) | |
| absent | 20 (10–37.5) | 20 (10–35) | |
| p | IA | 0.07 | |
| Nodal recurrence | |||
| present | 15 (10–40) | 22.5 (10–30) | |
| absent | 30 (26–40) | 20 (10–40) | |
| p | IA | 0.59 |
| Univariate Analysis | Multivariate Analysis | |||||||||||
|---|---|---|---|---|---|---|---|---|---|---|---|---|
| PLLs | PLLs→LC | LC | PLLs chi2 = 35.5; p < 0.001 | PLLs→LC Chi2 = 22.29 p = 0.0001 | LC chi2 = 160; p < 0.0001 | |||||||
| OR (95% CI) | p | OR (95% CI) | p | OR (95% CI) | p | OR (95% CI) | p | OR (95% CI) | p | OR (95% CI) | p | |
| >55 year-old | 3.05 (1.72–5.44) | <0.001 | 0.52 (0.20–1.32) | 0.17 | 6.56 (3.38–12.72) | <0.01 | 3.16 (1.73–5.79) | <0.001 | 0.91 (0.69–1.58) | 0.89 | 6.76 (3.52–13) | <0.001 |
| Male gender | 2.3 (1.36–3.89) | 0.002 | 6.69 (0.9–50) | 0.065 | 8.64 (3.95–18.91) | <0.01 | 2.47 (1.42–4.3) | 0.001 | 19.84 (2.03–194.09) | 0.01 | 8.42 (3.9–18.19) | <0.001 |
| Smoking | 1.42 (0.95–2.24) | 0.15 | 1.37 (0.48–3.90) | 0.54 | 2.74 (1.34–3.21) | <0.01 | 1.18 (0.66–2.11) | 0.06 | 0.87 (0.69–1.48) | 0.98 | 3.55 (2.21–5.7) | <0.001 |
| Alcohol intake | 0.88 (0.54–1.38) | 0.97 | 1.86 (0.60–5.77) | 0.28 | 3.98 (2.68–5.9) | <0.001 | 0.95 (0.65–1.38) | 0.79 | 0.90 (0.60–1.30) | 0.98 | 1.18 (0.86–2.01) | 0.15 |
| Primary site epiglottic | 1.28 (0.90–2.09) | 0.12 | 1.33 (0.91–2.13) | 0.14 | 0.93 (0.61–1.42) | 0.71 | 0.86 (0.50–1.40) | 0.98 | 1.76 (0.61–4.87) | 0.27 | 1.20 (0.76–2.21) | 0.23 |
| Cyclin D1 overexpression | 0.85 (0.51–1.28) | 0.85 | 1.23 (0.98–1.72) | 0.12 | 0.91 (0.61–1.38) | 0.79 | 0.79 (0.51–1.20) | 0.99 | 1.66 (0.66–5.07) | 0.29 | 0.50 (0.20–1.30) | 0.2 |
| A allele carrier | 2.11 (0.64–10.45) | 0.21 | 2.23 (0.01–1.99) | 0.28 | 2.55 (1.33–5.9) | 0.006 | 1.21 (0.69–2.22) | 0.07 | 1.19 (0.72–2.35) | 0.09 | 3.2 (1.46–7.04) | <0.001 |
| High-grade dysplasia | 1.68 (1.52–2.31) | 0.08 | 1.68 (1.7–2.6) | 0.025 | 0.88 (0.57–1.30) | 1.01 | 0.85 (0.47–1.30) | 1.02 | ||||
| HR (95%CI) | p | |||
|---|---|---|---|---|
| Univariate Cox regression | Male gender | 3.08 (1.23–7.71) | 0.016 | |
| Primary site epiglottic | 5.87 (2.89–12.01) | <0.001 | ||
| Tumor extension T3, T4 | 5.48 (1.95–15.44) | 0.001 | ||
| Nodal stage N1, N2, N3 | 6.62 (3.29–13.3) | <0.001 | ||
| Histological grading G3 | 3.25 (1.93–5.48) | <0.001 | ||
| Cyclin D1 overexpression (median) | 1.02 (1.0–1.04) | 0.025 | ||
| Cyclin D1 overexpression (ROC) | 3.03 (1.75–5.24) | <0.001 | ||
| Multivariate Cox regression | (Differentiating point—median) | Nodal stage N1, N2, N3 | 5.4 (2.59–11.27) | <0.001 |
| Histological grading G3 | 2.52 (1.45–4.39) | 0.001 | ||
| Cyclin D1 overexpression (median) | 1.03 (1.00–1.05) | 0.02 | ||
| (Differentiating point—ROC) | Nodal stage N1, N2, N3 | 5.05 (2.44–10.43) | <0.001 | |
| Histological grading G3 | 2.5 (1.42–4.40) | 0.002 | ||
| Cyclin D1 overexpression (ROC) | 2.47 (1.16–5.25) | 0.019 | ||
Publisher’s Note: MDPI stays neutral with regard to jurisdictional claims in published maps and institutional affiliations. |
© 2022 by the authors. Licensee MDPI, Basel, Switzerland. This article is an open access article distributed under the terms and conditions of the Creative Commons Attribution (CC BY) license (https://creativecommons.org/licenses/by/4.0/).
Share and Cite
Pietrzak, M.M.; Barańska, M.; Fendler, W.; Borkowska, E.M.; Kobos, J.; Borowiec, M.; Pietruszewska, W. G870A Polymorphic Variants of CCND1 Gene and Cyclin D1 Protein Expression as Prognostic Markers in Laryngeal Lesions. Diagnostics 2022, 12, 1059. https://doi.org/10.3390/diagnostics12051059
Pietrzak MM, Barańska M, Fendler W, Borkowska EM, Kobos J, Borowiec M, Pietruszewska W. G870A Polymorphic Variants of CCND1 Gene and Cyclin D1 Protein Expression as Prognostic Markers in Laryngeal Lesions. Diagnostics. 2022; 12(5):1059. https://doi.org/10.3390/diagnostics12051059
Chicago/Turabian StylePietrzak, Magdalena M., Magda Barańska, Wojciech Fendler, Edyta M. Borkowska, Józef Kobos, Maciej Borowiec, and Wioletta Pietruszewska. 2022. "G870A Polymorphic Variants of CCND1 Gene and Cyclin D1 Protein Expression as Prognostic Markers in Laryngeal Lesions" Diagnostics 12, no. 5: 1059. https://doi.org/10.3390/diagnostics12051059
APA StylePietrzak, M. M., Barańska, M., Fendler, W., Borkowska, E. M., Kobos, J., Borowiec, M., & Pietruszewska, W. (2022). G870A Polymorphic Variants of CCND1 Gene and Cyclin D1 Protein Expression as Prognostic Markers in Laryngeal Lesions. Diagnostics, 12(5), 1059. https://doi.org/10.3390/diagnostics12051059

