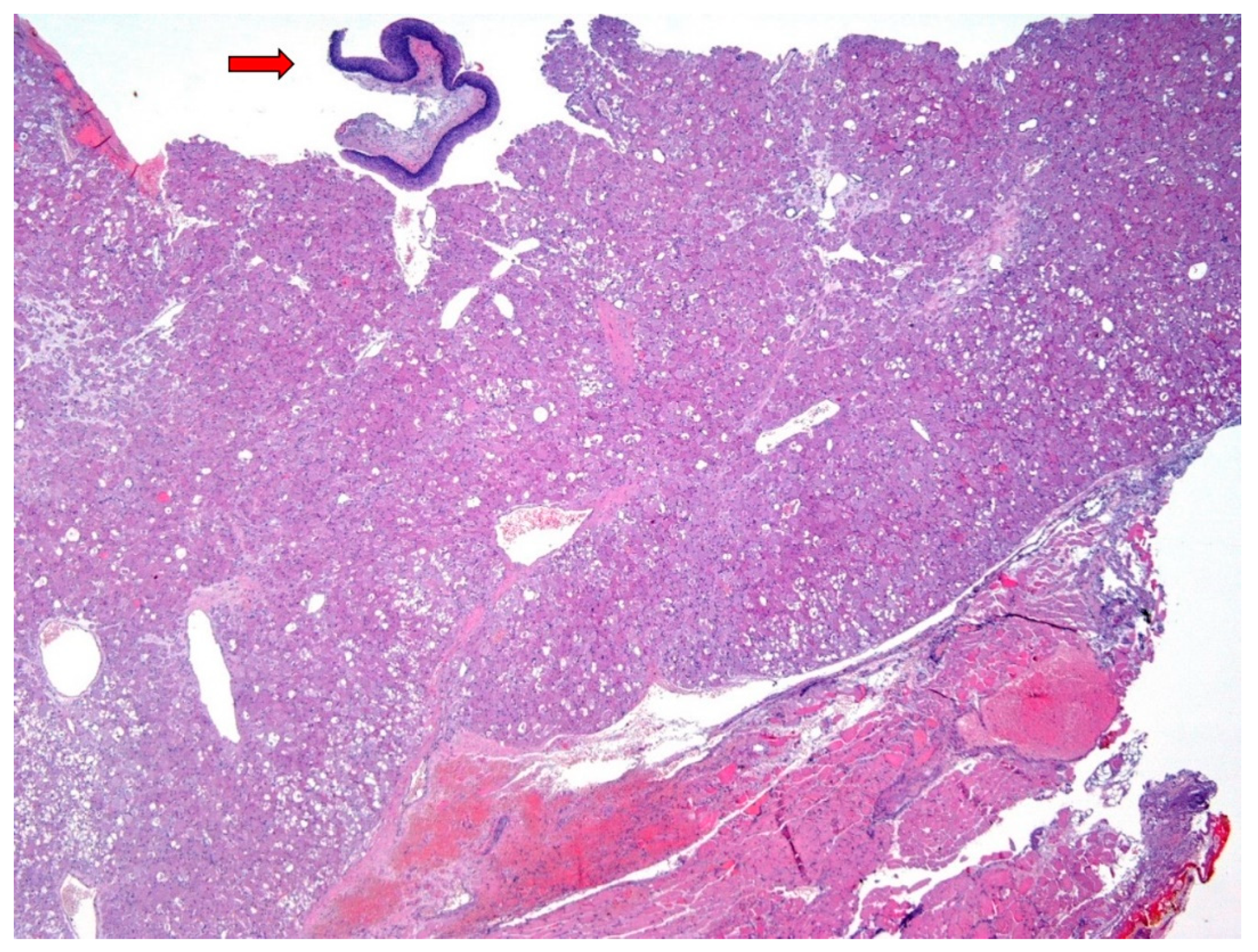
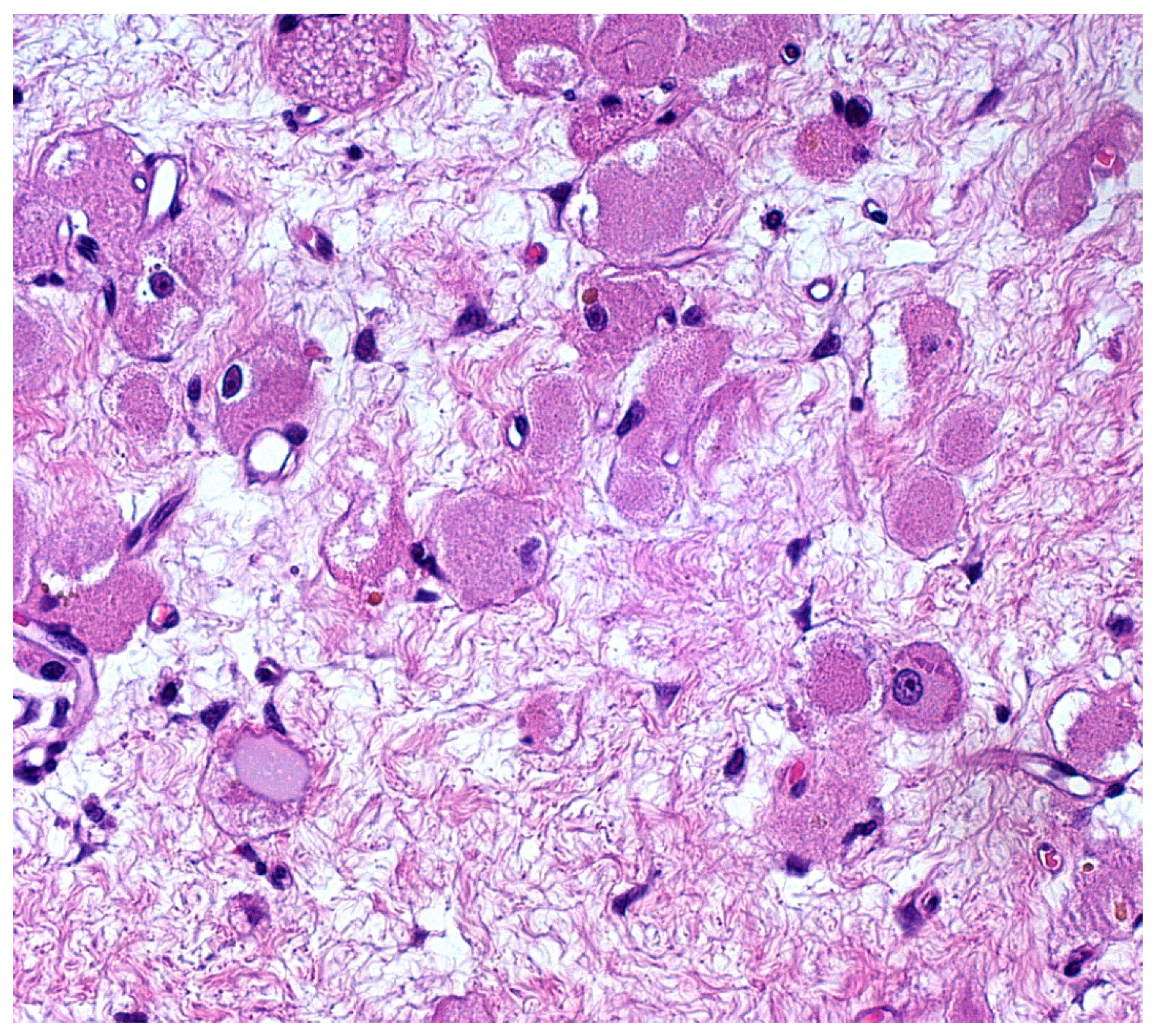
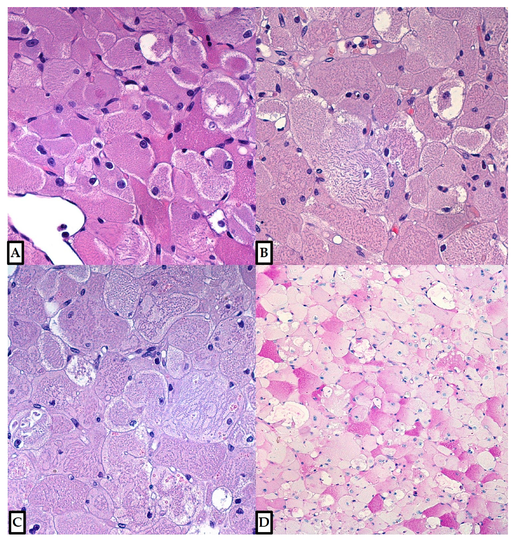
S-100 Immunohistochemical Positivity in Rhabdomyoma: An Underestimated Potential Diagnostic Pitfall in Routine Practice
Abstract







Author Contributions
Funding
Institutional Review Board Statement
Informed Consent Statement
Acknowledgments
Conflicts of Interest
References
- WHO Classification of Tumours Editorial Board. Soft Tissue and Bone Tumours, 5th ed.; IARC: Lyon, France, 2020; pp. 1–607.
- Pavlov, P.; Kiseleva, K.; Zakharova, M.; Hashimli, R. Rhabdomyoma of the Larynx in a Child with Recurrent Airway Problems. Turk. Arch. Otorhinolaryngol. 2020, 58, 137–140. [Google Scholar] [CrossRef] [PubMed]
- Khalaf, M.G.; Haddad, R.; Akiki, M.; Khazen, J.; Melkane, A.E. Multifocal adult rhabdomyoma of the head and neck: Case report and systematic review of the literature. Int. J. Oral. Maxillofac. Surg. 2021, 50, 327–334. [Google Scholar] [CrossRef] [PubMed]
- Black, M.; Wei, X.J.; Sun, W.; Simms, A.; Negron, R.; Hagiwara, M.; Chidakel, A.R.; Hodak, S.; Persky, M.S.; Shi, Y. Adult rhabdomyoma presenting as thyroid nodule on fine-needle aspiration in patient with Birt-Hogg-Dubé syndrome: Case report and literature review. Diagn. Cytopathol. 2020, 48, 576–580. [Google Scholar] [CrossRef] [PubMed]
- Huesmann, S.T.; Wiegand, M.; Barth, T.F.; Mian, E.; Widschwendter, P.; Janni, W.; Hancke, K. Case Report and Review of the Literature of a Rare Entity of a Uterine Fibroid: A Genital Rhabdomyoma. Int. J. Gynecol. Pathol. 2021, 40, 97–101. [Google Scholar] [CrossRef] [PubMed]
- Sarkar, S.; Siddiqui, W.J. Cardiac Rhabdomyoma; StatPearls Publishing: Treasure Island, FL, USA, 2021. [Google Scholar]
- Neri, M.; Di Donato, S.; Maglietta, R.; Pomara, C.; Riezzo, I.; Turillazzi, E.; Fineschi, V. Sudden death as presenting symptom caused by cardiac primary multicentric left ventricle rhabdomyoma, in an 11-month-old baby. An immunohistochemical study. Diagn. Pathol. 2012, 7, 169. [Google Scholar] [CrossRef]
- Burke, A.P.; Virmani, R. Cardiac rhabdomyoma: A clinicopathologic study. Mod. Pathol. 1991, 4, 70–74. [Google Scholar]
- Stein, A.P.; Weidenbecher, M. Extracardiac Rhabdomyoma of the Larynx. Ear Nose Throat J. 2020, 99, 177–178. [Google Scholar] [CrossRef]
- González-Pérez, L.; Alvarez-Argüelles, H.; Ramos Gutiérrez, V.J.; Hernández, S.G.; Plata Bello, A.C.; Concepción Masip, T.; Salido Ruiz, E. Bladder Fetal Rhabdomyoma Intermediate Type. Urol. Int. 2018, 101, 240–244. [Google Scholar] [CrossRef]
- Morra, M.N.; Manson, A.L.; Gavrell, G.J.; Quinn, A.D. Rhabdomyoma of prostate. Urology 1992, 39, 271–273. [Google Scholar] [CrossRef]
- Tuazon, R. Rhabdomyoma of the stomach. Report of a case. Am. J. Clin. Pathol. 1969, 52, 37–41. [Google Scholar] [CrossRef]
- Wolfe, E.; Kowalik, C.; Sethapati, V.R.; Meister, M.R. Rare periurethral fetal rhabdomyoma presenting as a vaginal mass. Int. Urogynecol. J. 2021, 32, 3095–3097. [Google Scholar] [CrossRef] [PubMed]
- Sagar, N.; Mandal, S.; Khurana, N.; Kumar, A. Cervical rhabdomyoma a rare entity: Case report with review of literature. Indian J. Pathol. Microbiol. 2020, 63, 467–469. [Google Scholar] [CrossRef] [PubMed]
- Attafi, S.; Boujelbene, N.; Abbes, I.; Doghri, R.; Ben Hamida, N.; Ghorbel, R.; Charfi, L.; Driss, M.; Mrad, K. Vaginal rhabdomyoma: A case report of an uncommon and misleading neoplasm. Pathologica 2017, 109, 382–383. [Google Scholar] [PubMed]
- Schoolmeester, J.K.; Xing, D.; Keeney, G.L.; Sukov, W.R. Genital Rhabdomyoma of the Lower Female Genital Tract: A Study of 12 Cases with Molecular Cytogenetic Findings. Int. J. Gynecol. Pathol. 2018, 37, 349–355. [Google Scholar] [CrossRef] [PubMed]
- Jo, V.Y.; Reith, J.D.; Coindre, J.M.; Fletcher, C.D. Paratesticular rhabdomyoma: A morphologically distinct sclerosing variant. Am. J. Surg. Pathol. 2013, 37, 1737–1742. [Google Scholar] [CrossRef]
- Han, Y.; Qiu, X.S.; Li, Q.C.; Han, Y.C.; Lin, X.Y.; Zhang, Q.F.; Wang, J.; Wang, E.H.; Li, Z.L. Epididymis rhabdomyoma: A case report and literature review. Diagn. Pathol. 2012, 7, 47. [Google Scholar] [CrossRef]
- Maheshkumar, P.; Berney, D.M. Spermatic cord rhabdomyoma. Urology 2000, 56, 331. [Google Scholar] [CrossRef]
- Altissimi, G.; Ralli, M.; Sementilli, G.; Fiorentino, F.; Ciofalo, A.; Greco, A.; de Vincentiis, M.; Corsi, A.; Cianfrone, G. Adult-Type Rhabdomyoma of the Larynx: Clinicopathologic Study of an Uncommon Tumor in a Rare Location. Case Rep. Otolaryngol. 2017, 2017, 7186768. [Google Scholar] [CrossRef]
- Dermawan, J.K.; Doxtader, E.; Chute, D.J.; Policarpio-Nicolas, M.L. Cytologic findings of an adult rhabdomyoma in the parapharyngeal space: A report of a case and review of the literature. Diagn. Cytopathol. 2018, 46, 419–424. [Google Scholar] [CrossRef]
- Souza, A.A.; de Araújo, V.C.; Passador Santos, F.; Ferreira Martinez, E.; de Menezes Filho, J.F.; Soares de Araujo, N.; Soares, A.B. Intraoral adult rhabdomyoma: A case report. Case Rep. Dent. 2013, 2013, 741548. [Google Scholar] [CrossRef][Green Version]
- Jin, B.; Saleh, H. Pitfalls in the diagnosis of adult rhabdomyoma by fine needle aspiration: Report of a case and a brief literature review. Diagn. Cytopathol. 2009, 37, 483–486. [Google Scholar] [CrossRef] [PubMed]
- Hansen, T.; Burg, J.E.; Koutsimpelas, D.; Mann, W.J.; Kirkpatrick, C.J. Cervical adult rhabdomyoma presenting as a rapidly growing mass in a patient with diffuse large B-cell non-Hodgkin’s lymphoma. Mund. Kiefer. Gesichtschir. 2005, 9, 184–187. [Google Scholar] [CrossRef] [PubMed]
- Bastian, B.C.; Bröcker, E.B. Adult rhabdomyoma of the lip. Am. J. Dermatopathol. 1998, 20, 61–64. [Google Scholar] [CrossRef] [PubMed]
- Kapadia, S.B.; Meis, J.M.; Frisman, D.M.; Ellis, G.L.; Heffner, D.K.; Hyams, V.J. Adult rhabdomyoma of the head and neck: A clinicopathologic and immunophenotypic study. Hum. Pathol. 1993, 24, 608–617. [Google Scholar] [CrossRef]
- Sangueza, O.; Sangueza, P.; Jordan, J.; White, C.R., Jr. Rhabdomyoma of the tongue. Am. J. Dermatopathol. 1990, 12, 492–495. [Google Scholar] [CrossRef]
- Stewart, C.M.; Watson, R.E.; Eversole, L.R.; Fischlschweiger, W.; Leider, A.S. Oral granular cell tumors: A clinicopathologic and immunocytochemical study. Oral Surg. Oral Med. Oral Pathol. 1988, 65, 427–435. [Google Scholar] [CrossRef]
- McGregor, D.K.; Krishnan, B.; Green, L. Fine-needle aspiration of adult rhabdomyoma: A case report with review of the literature. Diagn. Cytopathol. 2003, 28, 92–95. [Google Scholar] [CrossRef]
- Balakumar, R.; Farr, M.R.B.; Fernando, M.; Jebreel, A.; Ray, J.; Sionis, S. Adult-Type Rhabdomyoma of the Larynx in Birt-Hogg-Dubé Syndrome: Evidence for a Real Association. Head Neck Pathol. 2019, 13, 507–511. [Google Scholar] [CrossRef]
- Dau, M.; Kraeft, S.K.; Kämmerer, P.W. Unique manifestation of a multifocal adult rhabdomyoma involving the soft palate-case report and review of literature. J. Surg. Case Rep. 2019, 2019, rjz116. [Google Scholar] [CrossRef]
- Kapadia, S.B.; Meis, J.M.; Frisman, D.M.; Ellis, G.L.; Heffner, D.K. Fetal rhabdomyoma of the head and neck: A clinicopathologic and immunophenotypic study of 24 cases. Hum. Pathol. 1993, 24, 754–765. [Google Scholar] [CrossRef]
- Palicelli, A.; Neri, P.; Marchioro, G.; De Angelis, P.; Bondonno, G.; Ramponi, A. Paratesticular seminoma: Echographic features and histological diagnosis with review of the literature. APMIS 2018, 126, 267–272. [Google Scholar] [CrossRef] [PubMed]
- Kerbrat, A.; Beaufrere, A.; Neiva-Vaz, C.; Galmiche, L.; Belhous, K.; Orbach, D.; Gauthier-Villars, M.; Picard, A.; Kadlub, N. Rhabdomyosarcoma and rhabdomyoma associated with nevoid basal cell carcinoma syndrome: Local treatment strategy. Pediatr. Dermatol. 2018, 35, e245–e247. [Google Scholar] [CrossRef] [PubMed]
- Hettmer, S.; Teot, L.A.; van Hummelen, P.; MacConaill, L.; Bronson, R.T.; Dall’Osso, C.; Mao, J.; McMahon, A.P.; Gruber, P.J.; Grier, H.E.; et al. Mutations in Hedgehog pathway genes in fetal rhabdomyomas. J. Pathol. 2013, 231, 44–52. [Google Scholar] [CrossRef] [PubMed]
- Mur, T.A.; Pellegrini, W.R.; Tracy, L.F.; Levi, J.R. Laryngeal granular cell tumors in children: A literature review. Int. J. Pediatr. Otorhinolaryngol. 2020, 138, 110193. [Google Scholar] [CrossRef] [PubMed]
- Sataloff, R.T.; Ressue, J.C.; Portell, M.; Harris, R.M.; Ossoff, R.; Merati, A.L.; Zeitels, S. Granular cell tumors of the larynx. J. Voice 2000, 14, 119–134. [Google Scholar] [CrossRef]
- Leboulanger, N.; Rouillon, I.; Papon, J.F.; Josset, P.; Roger, G.; Garabédian, E.N. Childhood granular cell tumors: Two case reports. Int. J. Pediatr. Otorhinolaryngol. 2008, 72, 279–283. [Google Scholar] [CrossRef]
- Pelucchi, S.; Amoroso, C.; Grandi, E.; Carinci, F.; Pastore, A. Granular cell tumour of the larynx: Literature review and case report. J. Otolaryngol. 2002, 31, 234–235. [Google Scholar] [CrossRef]
- Lazar, R.H.; Younis, R.T.; Kluka, E.A.; Joyner, R.E.; Storgion, S. Granular cell tumor of the larynx: Report of two pediatric cases. Ear Nose Throat J. 1992, 71, 440–443. [Google Scholar] [CrossRef]
- Gan, J.; Shi, C.; Liu, S.; Tian, X.; Wang, X.; Ma, X.; Gao, P. Multiple congenital granular cell tumours of the maxilla and mandible: A rare case report and review of the literature. Transl. Pediatr. 2021, 10, 1386–1392. [Google Scholar] [CrossRef]
- Fliss, D.M.; Puterman, M.; Zirkin, H.; Leiberman, A. Granular cell lesions in head and neck: A clinicopathological study. J. Surg. Oncol. 1989, 42, 154–160. [Google Scholar] [CrossRef]
- Kaminecki, I.; Xu, W.; Abbas, S.H.; Kale, M. Newborn with a rare congenital granular cell lesion of the tongue. BMJ Case Rep. 2018, 11, e226777. [Google Scholar] [CrossRef] [PubMed]
- Robinson, A.C.; Kaberos, A.; Cox, P.M.; Stearns, M.P. Oncocytoma of the larynx. J. Laryngol. Otol. 1990, 104, 346–349. [Google Scholar] [CrossRef] [PubMed]
- Friedman, A.D.; Burns, J.A.; Lutch, M.J.; Zeitels, S.M. Submucosal neoplasms of the laryngeal introitus. J. Laryngol. Otol. 2012, 126, 706–713. [Google Scholar] [CrossRef] [PubMed]
- Palicelli, A.; Barbieri, P.; Mariani, N.; Re, P.; Galla, S.; Sorrentino, R.; Locatelli, F.; Salfi, N.; Valente, G. Unicystic high-grade intraductal carcinoma of the parotid gland: Cytological and histological description with clinic-pathologic review of the literature. APMIS 2018, 126, 771–776. [Google Scholar] [CrossRef] [PubMed]
- Palicelli, A. Intraductal carcinomas of the salivary glands: Systematic review and classification of 93 published cases. APMIS 2020, 128, 191–200. [Google Scholar] [CrossRef]
- Baněčková, M.; Uro-Coste, E.; Ptáková, N.; Šteiner, P.; Stanowska, O.; Benincasa, G.; Colella, G.; Vondrák, J., Jr.; Michal, M.; Leivo, I.; et al. What is hiding behind S100 protein and SOX10 positive oncocytomas? Oncocytic pleomorphic adenoma and myoepithelioma with novel gene fusions in a subset of cases. Hum. Pathol. 2020, 103, 52–62. [Google Scholar] [CrossRef]
- Papagiannopoulos, P.; Raman, A.; Miller, C.; Jhaveri, M.; Ghai, R.; Husain, I. Laryngeal Paraganglioma with Chronic Cough: A Case Report. Turk. Arch. Otorhinolaryngol. 2018, 56, 233–236. [Google Scholar] [CrossRef]
- Palicelli, A. What do we know about the cytological features of pure intraductal carcinomas of the salivary glands? Cytopathology 2020, 31, 185–192. [Google Scholar] [CrossRef]
- Santandrea, G.; Piana, S.; Valli, R.; Zanelli, M.; Gasparini, E.; De Leo, A.; Mandato, V.D.; Palicelli, A. Immunohistochemical Biomarkers as a Surrogate of Molecular Analysis in Ovarian Carcinomas: A Review of the Literature. Diagnostics 2021, 11, 199. [Google Scholar] [CrossRef]
- Palicelli, A.; Bonacini, M.; Croci, S.; Magi-Galluzzi, C.; Cañete-Portillo, S.; Chaux, A.; Bisagni, A.; Zanetti, E.; De Biase, D.; Melli, B.; et al. What Do We Have to Know about PD-L1 Expression in Prostate Cancer? A Systematic Literature Review. Part 1: Focus on Immunohistochemical Results with Discussion of Pre-Analytical and Interpretation Variables. Cells 2021, 10, 3166. [Google Scholar] [CrossRef]
- De Leo, A.; Santini, D.; Ceccarelli, C.; Santandrea, G.; Palicelli, A.; Acquaviva, G.; Chiarucci, F.; Rosini, F.; Ravegnini, G.; Pession, A.; et al. What Is New on Ovarian Carcinoma: Integrated Morphologic and Molecular Analysis Following the New 2020 World Health Organization Classification of Female Genital Tumors. Diagnostics 2021, 11, 697. [Google Scholar] [CrossRef] [PubMed]
- Wing-Cheuk Wong, R.; Palicelli, A.; Hoang, L.; Singh, N. Interpretation of p16, p53 and mismatch repair protein immuno-histochemistry in gynaecological neoplasia. Diagn. Histopathol. 2020, 26, 257–277. [Google Scholar] [CrossRef]
- Kaleta, M.; Wakulińska, A.; Karkucińska-Więckowska, A.; Dembowska-Bagińska, B.; Grajkowska, W.; Pronicki, M.; Łastowska, M. OLIG2 is a novel immunohistochemical marker associated with the presence of PAX3/7-FOXO1 translocation in rhabdomyosarcomas. Diagn. Pathol. 2019, 14, 103. [Google Scholar] [CrossRef]
- Agarwal, S.; Bychkov, A.; Jung, C.K. Emerging Biomarkers in Thyroid Practice and Research. Cancers 2021, 14, 204. [Google Scholar] [CrossRef] [PubMed]
- Guo, T.; Wei, R.; Dean, D.C.; Hornicek, F.; Duan, Z. SMARCB1 expression is a novel diagnostic and prognostic biomarker for osteosarcoma. Biosci. Rep. 2022, 5, BSR20212446. [Google Scholar] [CrossRef] [PubMed]
- Koo, M.; Natkunam, Y. ERG Immunoreactivity in Blastic Hematolymphoid Neoplasms: Diagnostic Pitfall in the Workup of Undifferentiated Malignant Neoplasms. Appl. Immunohistochem. Mol. Morphol. 2022, 30, 42–48. [Google Scholar] [CrossRef]
- Sivasubramaniam, P.; Tiegs-Heiden, C.A.; Sturgis, C.D.; Hagen, C.E.; Hartley, C.P.; Thangaiah, J.J. Malignant gastrointestinal neuroectodermal tumor: Cytologic, histologic, immunohistochemical, and molecular pitfalls. Ann. Diagn. Pathol. 2021, 55, 151813. [Google Scholar] [CrossRef]
- Wang, Y.; Li, J.; Tian, Z.; Zhu, Y. Clinicopathologic features and molecular spectrum of spindle cell and sclerosing rhabdomyosarcomas in the head and neck region. Int. J. Clin. Exp. Pathol. 2018, 11, 3436–3444. [Google Scholar]
- Folpe, A.L.; Graham, R.P.; Martinez, A.; Schembri-Wismayer, D.; Boland, J.; Fritchie, K.J. Mesenchymal chondrosarcomas showing immunohistochemical evidence of rhabdomyoblastic differentiation: A potential diagnostic pitfall. Hum. Pathol. 2018, 77, 28–34. [Google Scholar] [CrossRef]
- Kaçar, A.; Demır, H.A.; Durak, H.; Dervışoğlu, S. Spindle cell rhabdomyosarcoma displaying CD34 positivity: A potential diagnostic pitfall; report of two pediatric cases. Turk. Patoloji Derg. 2013, 29, 221–226. [Google Scholar] [CrossRef]
- Tomaszewski, M.M.; Lupton, G.P. Unusual expression of S-100 protein in histiocytic neoplasms. J. Cutan. Pathol. 1998, 25, 129–135. [Google Scholar] [CrossRef] [PubMed]
- Dwarakanath, S.; Lee, A.K.; Delellis, R.A.; Silverman, M.L.; Frasca, L.; Wolfe, H.J. S-100 protein positivity in breast carcinomas: A potential pitfall in diagnostic immunohistochemistry. Hum. Pathol. 1987, 18, 1144–1148. [Google Scholar] [CrossRef]
Publisher’s Note: MDPI stays neutral with regard to jurisdictional claims in published maps and institutional affiliations. |
© 2022 by the authors. Licensee MDPI, Basel, Switzerland. This article is an open access article distributed under the terms and conditions of the Creative Commons Attribution (CC BY) license (https://creativecommons.org/licenses/by/4.0/).
Share and Cite
Palicelli, A.; Ramponi, A.; Valente, G.; Boldorini, R.; Balbo Mussetto, A.; Zanelli, M. S-100 Immunohistochemical Positivity in Rhabdomyoma: An Underestimated Potential Diagnostic Pitfall in Routine Practice. Diagnostics 2022, 12, 892. https://doi.org/10.3390/diagnostics12040892
Palicelli A, Ramponi A, Valente G, Boldorini R, Balbo Mussetto A, Zanelli M. S-100 Immunohistochemical Positivity in Rhabdomyoma: An Underestimated Potential Diagnostic Pitfall in Routine Practice. Diagnostics. 2022; 12(4):892. https://doi.org/10.3390/diagnostics12040892
Chicago/Turabian StylePalicelli, Andrea, Antonio Ramponi, Guido Valente, Renzo Boldorini, Annalisa Balbo Mussetto, and Magda Zanelli. 2022. "S-100 Immunohistochemical Positivity in Rhabdomyoma: An Underestimated Potential Diagnostic Pitfall in Routine Practice" Diagnostics 12, no. 4: 892. https://doi.org/10.3390/diagnostics12040892
APA StylePalicelli, A., Ramponi, A., Valente, G., Boldorini, R., Balbo Mussetto, A., & Zanelli, M. (2022). S-100 Immunohistochemical Positivity in Rhabdomyoma: An Underestimated Potential Diagnostic Pitfall in Routine Practice. Diagnostics, 12(4), 892. https://doi.org/10.3390/diagnostics12040892

