Computer-Aided Assessment of Melanocytic Lesions by Means of a Mitosis Algorithm
Abstract
:1. Introduction
2. Materials and Methods
2.1. Case Selection and Study Design
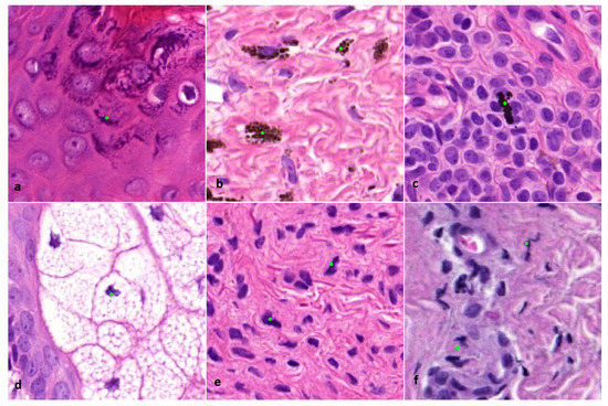
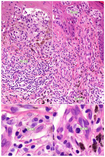
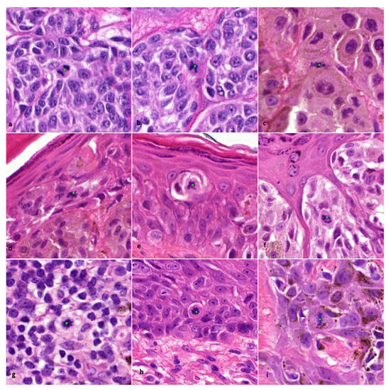
2.2. Mitosis Algorithm
2.3. Statistical Analysis
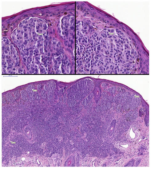
3. Results
4. Discussion
5. Conclusions
Author Contributions
Funding
Acknowledgments
Conflicts of Interest
References
- Farahani, N.; Parwani, A.V.; Pantanowitz, L. Whole slide imaging in pathology: Advantages, limitations, and emerging perspectives. Pathol. Lab. Med. Int. 2015, 7, 23–33. [Google Scholar] [CrossRef] [Green Version]
- Tomaszewski, J. Overview of the role of artificial intelligence in pathology: The computer as a pathology digital assistent. In Artificial Intelligence and Deep Learning in Pathology, 1st ed.; Cohen, S., Ed.; Elsevier: Amsterdam, The Netherland, 2021. [Google Scholar]
- Baidoshvili, A.; Bucur, A.; van Leeuwen, J.; van der Laak, J.; Kluin, P.; van Diest, P.J. Evaluating the benefits of digital pathology implementation: Time savings in laboratory logistics. Histopathology 2018, 73, 784–794. [Google Scholar] [CrossRef] [PubMed]
- Tabata, K.; Uraoka, N.; Benhamida, J.; Hanna, M.G.; Sirintrapun, S.J.; Gallas, B.D.; Gong, Q.; Aly, R.G.; Emoto, K.; Matsuda, K.M.; et al. Validation of mitotic cell quantification via microscopy and multiple whole-slide scanners. Diagn. Pathol. 2019, 14, 65. [Google Scholar] [CrossRef] [PubMed] [Green Version]
- Cohen, S. The evolution of machine learning: Past, present, and future. In Artificial Intelligence and Deep Learning in Pathology, 1st ed.; Cohen, S., Ed.; Elsevier: Amsterdam, The Netherland, 2021. [Google Scholar]
- Linos, E.; Swetter, S.M.; Cockburn, M.G.; Colditz, G.A.; Clarke, C.A. Increasing burden of melanoma in the United States. J. Investig. Dermatol. 2009, 129, 1666–1674. [Google Scholar] [CrossRef] [PubMed] [Green Version]
- Howlader, N.; Noone, A.M.; Krapcho, M.; Miller, D.; Brest, A.; Yu, M.; Ruhl, J.; Tatalovich, Z.; Mariotto, A.; Lewis, D.R.; et al. (Eds.) SEER Cancer Statistics Review, 1975–2018; National Cancer Institute: Bethesda, MD, USA, 2021.
- Erdei, E.; Torres, S.M. A new understanding in the epidemiology of melanoma. Expert Rev. Anticancer 2010, 10, 1811–1823. [Google Scholar] [CrossRef] [Green Version]
- Laughter, M.R.; Maymone, M.B.C.; Karimkhani, C.; Rundle, C.; Hu, S.; Wolfe, S.; Abuabara, K.; Hollingsworth, P.; Weintraub, G.S.; Dunnick, C.A.; et al. The Burden of Skin and Subcutaneous Diseases in the United States from 1990 to 2017. JAMA Dermatol. 2020, 156, 874–881. [Google Scholar] [CrossRef] [PubMed]
- Bulten, W.; Pinckaers, H.; van Boven, H.; Vink, R.; de Bel, T.; van Ginneken, B.; van der Laak, J.; Hulsbergen-van de Kaa, C.; Litjens, G. Automated deep-learning system for Gleason grading of prostate cancer using biopsies: A diagnostic study. Lancet Oncol. 2020, 21, 233–241. [Google Scholar] [CrossRef] [Green Version]
- Tabesh, A.; Teverovskiy, M.; Pang, H.Y.; Kumar, V.P.; Verbel, D.; Kotsianti, A.; Saidi, O. Multifeature prostate cancer diagnosis and Gleason grading of histological images. IEEE Trans. Med. Imaging 2007, 26, 1366–1378. [Google Scholar] [CrossRef]
- Han, W.; Johnson, C.; Gaed, M.; Gomez, J.A.; Moussa, M.; Chin, J.L.; Pautler, S.; Bauman, G.S.; Ward, A.D. Histologic tissue components provide major cues for machine learning-based prostate cancer detection and grading on prostatectomy specimens. Sci. Rep. 2020, 10, 9911. [Google Scholar] [CrossRef]
- Litjens, G.; Sanchez, C.I.; Timofeeva, N.; Hermsen, M.; Nagtegaal, I.; Kovacs, I.; Hulsbergen-van de Kaa, C.; Bult, P.; van Ginneken, B.; van der Laak, J. Deep learning as a tool for increased accuracy and efficiency of histopathological diagnosis. Sci. Rep. 2016, 6, 26286. [Google Scholar] [CrossRef] [Green Version]
- Keay, T.; Conway, C.M.; O’Flaherty, N.; Hewitt, S.M.; Shea, K.; Gavrielides, M.A. Reproducibility in the automated quantitative assessment of HER2/neu for breast cancer. J. Pathol. Inf. 2013, 4, 19. [Google Scholar] [CrossRef]
- Gavrielides, M.A.; Gallas, B.D.; Lenz, P.; Badano, A.; Hewitt, S.M. Observer variability in the interpretation of HER2/neu immunohistochemical expression with unaided and computer-aided digital microscopy. Arch. Pathol. Lab. Med. 2011, 135, 233–242. [Google Scholar] [CrossRef] [PubMed]
- Ehteshami Bejnordi, B.; Veta, M.; Johannes van Diest, P.; van Ginneken, B.; Karssemeijer, N.; Litjens, G.; van der Laak, J.; Hermsen, M.; Manson, Q.F.; Balkenhol, M.; et al. Diagnostic Assessment of Deep Learning Algorithms for Detection of Lymph Node Metastases in Women with Breast Cancer. JAMA 2017, 318, 2199–2210. [Google Scholar] [CrossRef] [PubMed]
- Steiner, D.F.; MacDonald, R.; Liu, Y.; Truszkowski, P.; Hipp, J.D.; Gammage, C.; Thng, F.; Peng, L.; Stumpe, M.C. Impact of Deep Learning Assistance on the Histopathologic Review of Lymph Nodes for Metastatic Breast Cancer. Am. J. Surg. Pathol. 2018, 42, 1636–1646. [Google Scholar] [CrossRef]
- Tellez, D.; Balkenhol, M.; Otte-Holler, I.; van de Loo, R.; Vogels, R.; Bult, P.; Wauters, C.; Vreuls, W.; Mol, S.; Karssemeijer, N.; et al. Whole-Slide Mitosis Detection in H&E Breast Histology Using PHH3 as a Reference to Train Distilled Stain-Invariant Convolutional Networks. IEEE Trans. Med. Imaging 2018, 37, 2126–2136. [Google Scholar] [CrossRef] [Green Version]
- Veta, M.; van Diest, P.J.; Jiwa, M.; Al-Janabi, S.; Pluim, J.P. Mitosis Counting in Breast Cancer: Object-Level Interobserver Agreement and Comparison to an Automatic Method. PLoS ONE 2016, 11, e0161286. [Google Scholar] [CrossRef] [Green Version]
- Balkenhol, M.C.A.; Tellez, D.; Vreuls, W.; Clahsen, P.C.; Pinckaers, H.; Ciompi, F.; Bult, P.; van der Laak, J. Deep learning assisted mitotic counting for breast cancer. Lab. Investig. 2019, 99, 1596–1606. [Google Scholar] [CrossRef]
- Saha, M.; Chakraborty, C.; Racoceanu, D. Efficient deep learning model for mitosis detection using breast histopathology images. Comput. Med. Imaging Graph. 2018, 64, 29–40. [Google Scholar] [CrossRef]
- Bejnordi, B.E.; Zuidhof, G.; Balkenhol, M.; Hermsen, M.; Bult, P.; van Ginneken, B.; Karssemeijer, N.; Litjens, G.; van der Laak, J. Context-aware stacked convolutional neural networks for classification of breast carcinomas in whole-slide histopathology images. J. Med. Imaging 2017, 4, 044504. [Google Scholar] [CrossRef]
- Cruz-Roa, A.; Gilmore, H.; Basavanhally, A.; Feldman, M.; Ganesan, S.; Shih, N.N.C.; Tomaszewski, J.; Gonzalez, F.A.; Madabhushi, A. Accurate and reproducible invasive breast cancer detection in whole-slide images: A Deep Learning approach for quantifying tumor extent. Sci. Rep. 2017, 7, 46450. [Google Scholar] [CrossRef] [PubMed] [Green Version]
- Araujo, T.; Aresta, G.; Castro, E.; Rouco, J.; Aguiar, P.; Eloy, C.; Polonia, A.; Campilho, A. Classification of breast cancer histology images using Convolutional Neural Networks. PLoS ONE 2017, 12, e0177544. [Google Scholar] [CrossRef] [PubMed]
- Nielsen, P.S.; Riber-Hansen, R.; Jensen, T.O.; Schmidt, H.; Steiniche, T. Proliferation indices of phosphohistone H3 and Ki67: Strong prognostic markers in a consecutive cohort with stage I/II melanoma. Mod. Pathol. 2013, 26, 404–413. [Google Scholar] [CrossRef] [PubMed] [Green Version]
- Wandler, A.; Spaun, E.; Steiniche, T.; Nielsen, P.S. Automated quantification of Ki67/MART1 stains may prevent false-negative melanoma diagnoses. J. Cutan. Pathol. 2016, 43, 956–962. [Google Scholar] [CrossRef]
- Filosa, A.; Filosa, G. Melanoma Diagnosis: The Importance of Histopathological Report. Dermatopathology 2018, 5, 41–43. [Google Scholar] [CrossRef]
- Francken, A.B.; Shaw, H.M.; Thompson, J.F.; Soong, S.J.; Accortt, N.A.; Azzola, M.F.; Scolyer, R.A.; Milton, G.W.; McCarthy, W.H.; Colman, M.H.; et al. The prognostic importance of tumor mitotic rate confirmed in 1317 patients with primary cutaneous melanoma and long follow-up. Ann. Surg. Oncol. 2004, 11, 426–433. [Google Scholar] [CrossRef]
- Barnhill, R.L.; Katzen, J.; Spatz, A.; Fine, J.; Berwick, M. The importance of mitotic rate as a prognostic factor for localized cutaneous melanoma. J. Cutan. Pathol. 2005, 32, 268–273. [Google Scholar] [CrossRef] [PubMed]
- Nagore, E.; Oliver, V.; Botella-Estrada, R.; Moreno-Picot, S.; Insa, A.; Fortea, J.M. Prognostic factors in localized invasive cutaneous melanoma: High value of mitotic rate, vascular invasion and microscopic satellitosis. Melanoma Res. 2005, 15, 169–177. [Google Scholar] [CrossRef]
- Conic, R.R.Z.; Ko, J.; Damiani, G.; Funchain, P.; Knackstedt, T.; Vij, A.; Vidimos, A.; Gastman, B.R. Predictors of sentinel lymph node positivity in thin melanoma using the National Cancer Database. J. Am. Acad. Dermatol. 2019, 80, 441–447. [Google Scholar] [CrossRef]
- Roux, L.; Racoceanu, D.; Lomenie, N.; Kulikova, M.; Irshad, H.; Klossa, J.; Capron, F.; Genestie, C.; Le Naour, G.; Gurcan, M.N. Mitosis detection in breast cancer histological images an ICPR 2012 contest. J. Pathol. Inf. 2013, 4, 8. [Google Scholar] [CrossRef] [PubMed]
- Veta, M.; van Diest, P.J.; Willems, S.M.; Wang, H.; Madabhushi, A.; Cruz-Roa, A.; Gonzalez, F.; Larsen, A.B.; Vestergaard, J.S.; Dahl, A.B.; et al. Assessment of algorithms for mitosis detection in breast cancer histopathology images. Med. Image Anal. 2015, 20, 237–248. [Google Scholar] [CrossRef] [Green Version]
- Roux, L. MITOS-ATYPIA-14. Available online: https://mitos-atypia-14.grand-challenge.org (accessed on 12 May 2021).
- Veta, M.; Heng, Y.J.; Stathonikos, N.; Bejnordi, B.E.; Beca, F.; Wollmann, T.; Rohr, K.; Shah, M.A.; Wang, D.; Rousson, M.; et al. Predicting breast tumor proliferation from whole-slide images: The TUPAC16 challenge. Med. Image Anal. 2019, 54, 111–121. [Google Scholar] [CrossRef] [PubMed] [Green Version]
- Sturm, B.; Creytens, D.; Cook, M.G.; Smits, J.; van Dijk, M.; Eijken, E.; Kurpershoek, E.; Kusters-Vandevelde, H.V.N.; Ooms, A.; Wauters, C.; et al. Validation of Whole-slide Digitally Imaged Melanocytic Lesions: Does Z-Stack Scanning Improve Diagnostic Accuracy? J. Pathol. Inf. 2019, 10, 6. [Google Scholar] [CrossRef]
- De la Fouchardiere, A.; Blokx, W.; van Kempen, L.C.; Luzar, B.; Piperno-Neumann, S.; Puig, S.; Alos, L.; Calonje, E.; Massi, D.; Group, E.S.P.D.W.; et al. ESP, EORTC, and EURACAN Expert Opinion: Practical recommendations for the pathological diagnosis and clinical management of intermediate melanocytic tumors and rare related melanoma variants. Virchows Arch. 2021, 479, 3–11. [Google Scholar] [CrossRef]
- Olsen, T.G.; Jackson, B.H.; Feeser, T.A.; Kent, M.N.; Moad, J.C.; Krishnamurthy, S.; Lunsford, D.D.; Soans, R.E. Diagnostic Performance of Deep Learning Algorithms Applied to Three Common Diagnoses in Dermatopathology. J. Pathol. Inf. 2018, 9, 32. [Google Scholar] [CrossRef]
- Hekler, A.; Utikal, J.S.; Enk, A.H.; Berking, C.; Klode, J.; Schadendorf, D.; Jansen, P.; Franklin, C.; Holland-Letz, T.; Krahl, D.; et al. Pathologist-level classification of histopathological melanoma images with deep neural networks. Eur. J. Cancer 2019, 115, 79–83. [Google Scholar] [CrossRef] [Green Version]
- Andres, C.; Andres-Belloni, B.; Hein, R.; Biedermann, T.; Schape, A.; Brieu, N.; Schonmeyer, R.; Yigitsoy, M.; Ring, J.; Schmidt, G.; et al. iDermatoPath—A novel software tool for mitosis detection in H&E-stained tissue sections of malignant melanoma. J. Eur. Acad. Dermatol. Venereol. 2017, 31, 1137–1147. [Google Scholar] [CrossRef]
- Nasr, M.R.; El-Zammar, O. Comparison of pHH3, Ki-67, and survivin immunoreactivity in benign and malignant melanocytic lesions. Am. J. Dermatol. 2008, 30, 117–122. [Google Scholar] [CrossRef]
- Uguen, A.; Talagas, M.; Costa, S.; Duigou, S.; Bouvier, S.; De Braekeleer, M.; Marcorelles, P. A p16-Ki-67-HMB45 immunohistochemistry scoring system as an ancillary diagnostic tool in the diagnosis of melanoma. Diagn. Pathol. 2015, 10, 195. [Google Scholar] [CrossRef] [Green Version]
- Lezcano, C.; Jungbluth, A.A.; Nehal, K.S.; Hollmann, T.J.; Busam, K.J. PRAME Expression in Melanocytic Tumors. Am. J. Surg. Pathol. 2018, 42, 1456–1465. [Google Scholar] [CrossRef] [PubMed]
- Gassenmaier, M.; Hahn, M.; Metzler, G.; Bauer, J.; Yazdi, A.S.; Keim, U.; Garbe, C.; Wagner, N.B.; Forchhammer, S. Diffuse PRAME Expression Is Highly Specific for Thin Melanomas in the Distinction from Severely Dysplastic Nevi but Does Not Distinguish Metastasizing from Non-Metastasizing Thin Melanomas. Cancers 2021, 13, 3864. [Google Scholar] [CrossRef]
- Lohman, M.E.; Steen, A.J.; Grekin, R.C.; North, J.P. The utility of PRAME staining in identifying malignant transformation of melanocytic nevi. J. Cutan. Pathol. 2021, 48, 856–862. [Google Scholar] [CrossRef]
- Nofallah, S.; Mehta, S.; Mercan, E.; Knezevich, S.; May, C.J.; Weaver, D.; Witten, D.; Elmore, J.G.; Shapiro, L. Machine learning techniques for mitoses classification. Comput. Med. Imaging Graph. 2021, 87, 101832. [Google Scholar] [CrossRef]





| Pathologist | z-Stack Study [36] Glass a/WSI b | 1st Round WSI | 2nd Round WSI Algorithm | |||
|---|---|---|---|---|---|---|
| % | #DM | % | #DM | % | #DM | |
| EXP1 | 97 a | 30 a | 94 | 27 | 91 | 27 |
| EXP2 | 93 a | 22 a | 91 | 26 | 89 | 27 |
| PATH1 | 89 b | 19 b | 91 | 25 | 91 | 44 |
| PATH2 | 89 b | 22 b | 96 | 25 | 94 | 35 |
| PATH3 | 81 b | 20 b | 87 | 26 | 92 | 27 |
| PATH4 | 75 b | 17 b | 84 | 27 | 76 | 40 |
| PATH5 | 84 b | 21 b | 96 | 25 | 94 | 29 |
| PATH6 | 90 b | 18 b | 84 | 21 | 84 | 21 |
| Average | 87 a,b | 21 a,b | 90 | 25 | 89 | 31 |
| Pathologist | z-Stack Study Glass a/WSI b | 1st Round WSI | 2nd Round WSI Algorithm |
|---|---|---|---|
| EXP1 | 0.94 a | 0.89 (0.80–0.98) | 0.83 (0.73–0.94) |
| EXP2 | 0.88 a | 0.83 (0.72–0.94) | 0.79 (0.67–0.91) |
| PATH1 | 0.78 (0.66–0.90) b | 0.83 (0.72–0.94) | 0.83 (0.72–0.94) |
| PATH2 | 0.79 (0.67–0.91) b | 0.92 (0.84–1.00) | 0.89 (0.80–0.98) |
| PATH3 | 0.66 (0.51–0.79) b | 0.76 (0.64–0.88) | 0.85 (0.75–0.95) |
| PATH4 | 0.55 (0.39–0.70) b | 0.70 (0.56–0.84) | 0.55 (0.41–0.69) |
| PATH5 | 0.72 (0.58–0.83) b | 0.92 (0.84–1.00) | 0.90 (0.81–0.98) |
| PATH6 | 0.81 (0.69–0.91) b | 0.73 (0.61–0.85) | 0.73 (0.61–0.85) |
| Pathologist | z-Stack Study WSI | 1st Round WSI | 2nd Round WSI Algorithm | |||
|---|---|---|---|---|---|---|
| % | #DM | % | #DM | % | #DM | |
| EXP1 | - | - | 70 | 7 | 70 | 5 |
| EXP2 | - | - | 80 | 4 | 90 | 4 |
| PATH1 | 50 | 4 | 70 | 6 | 80 | 8 |
| PATH2 | 70 | 6 | 90 | 9 | 90 | 8 |
| PATH3 | 20 | 0 | 40 | 3 | 70 | 3 |
| PATH4 | 10 | 1 | 50 | 7 | 90 | 7 |
| PATH5 | 80 | 4 | 70 | 5 | 70 | 6 |
| PATH6 | 80 | 3 | 70 | 4 | 40 | 3 |
| Average | 52 | 3 | 68 | 5,6 | 75 | 5,5 |
Publisher’s Note: MDPI stays neutral with regard to jurisdictional claims in published maps and institutional affiliations. |
© 2022 by the authors. Licensee MDPI, Basel, Switzerland. This article is an open access article distributed under the terms and conditions of the Creative Commons Attribution (CC BY) license (https://creativecommons.org/licenses/by/4.0/).
Share and Cite
Sturm, B.; Creytens, D.; Smits, J.; Ooms, A.H.A.G.; Eijken, E.; Kurpershoek, E.; Küsters-Vandevelde, H.V.N.; Wauters, C.; Blokx, W.A.M.; van der Laak, J.A.W.M. Computer-Aided Assessment of Melanocytic Lesions by Means of a Mitosis Algorithm. Diagnostics 2022, 12, 436. https://doi.org/10.3390/diagnostics12020436
Sturm B, Creytens D, Smits J, Ooms AHAG, Eijken E, Kurpershoek E, Küsters-Vandevelde HVN, Wauters C, Blokx WAM, van der Laak JAWM. Computer-Aided Assessment of Melanocytic Lesions by Means of a Mitosis Algorithm. Diagnostics. 2022; 12(2):436. https://doi.org/10.3390/diagnostics12020436
Chicago/Turabian StyleSturm, Bart, David Creytens, Jan Smits, Ariadne H. A. G. Ooms, Erik Eijken, Eline Kurpershoek, Heidi V. N. Küsters-Vandevelde, Carla Wauters, Willeke A. M. Blokx, and Jeroen A. W. M. van der Laak. 2022. "Computer-Aided Assessment of Melanocytic Lesions by Means of a Mitosis Algorithm" Diagnostics 12, no. 2: 436. https://doi.org/10.3390/diagnostics12020436
APA StyleSturm, B., Creytens, D., Smits, J., Ooms, A. H. A. G., Eijken, E., Kurpershoek, E., Küsters-Vandevelde, H. V. N., Wauters, C., Blokx, W. A. M., & van der Laak, J. A. W. M. (2022). Computer-Aided Assessment of Melanocytic Lesions by Means of a Mitosis Algorithm. Diagnostics, 12(2), 436. https://doi.org/10.3390/diagnostics12020436

