Retrospective Review of Missed Cancer Detection and Its Mammography Findings with Artificial-Intelligence-Based, Computer-Aided Diagnosis
Abstract
1. Introduction
2. Materials and Methods
2.1. Study Population
2.2. Imaging Analysis
2.3. Imaging Analysis by AI-CAD
2.4. Statistical Analysis
3. Results
3.1. Patient Characteristics
3.2. Mammography Classification Results by Radiologists
3.3. Mammography Findings
3.4. AI-CAD Results
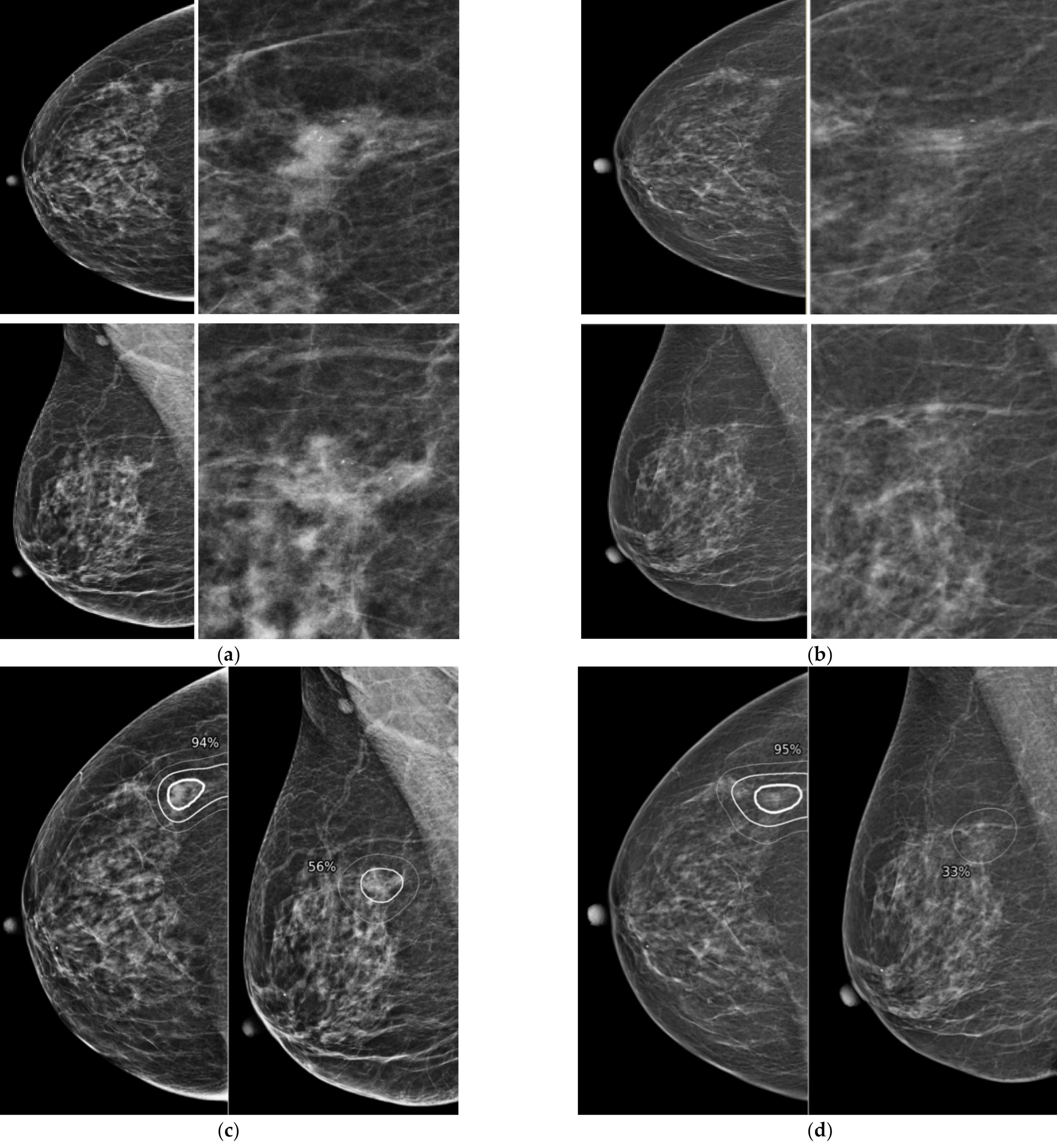
3.5. Missed Cancer Detected by AI-CAD
3.6. Characteristics of Missed Cancers
4. Discussion
Author Contributions
Funding
Institutional Review Board Statement
Informed Consent Statement
Data Availability Statement
Conflicts of Interest
References
- Kerlikowske, K.; Grady, D.; Rubin, S.M.; Sandrock, C.; Ernster, V.L. Efficacy of screening mammography. A meta-analysis. JAMA 1995, 273, 149–154. [Google Scholar] [CrossRef] [PubMed]
- Klemi, P.J.; Toikkanen, S.; Räsänen, O.; Parvinen, I.; Joensuu, H. Mammography screening interval and the frequency of interval cancers in a population-based screening. Br. J. Cancer 1997, 75, 762–766. [Google Scholar] [CrossRef] [PubMed]
- Hoff, S.R.; Samset, J.H.; Abrahamsen, A.L.; Vigeland, E.; Klepp, O.; Hofvind, S. Missed and true interval and screen-detected breast cancers in a population based screening program. Acad. Radiol. 2011, 18, 454–460. [Google Scholar] [CrossRef] [PubMed]
- Wadhwa, A.; Sullivan, J.R.; Gonyo, M.B. Missed Breast Cancer: What Can We Learn? Curr. Probl. Diagn. Radiol. 2016, 45, 402–419. [Google Scholar] [CrossRef] [PubMed]
- Houssami, N.; Irwig, L.; Ciatto, S. Radiological surveillance of interval breast cancers in screening programmes. Lancet Oncol. 2006, 7, 259–265. [Google Scholar] [CrossRef]
- Rodriguez-Ruiz, A.; Lång, K.; Gubern-Merida, A.; Broeders, M.; Gennaro, G.; Clauser, P.; Helbich, T.H.; Chevalier, M.; Tan, T.; Mertelmeier, T.; et al. Stand-Alone Artificial Intelligence for Breast Cancer Detection in Mammography: Comparison With 101 Radiologists. J. Natl. Cancer Inst. 2019, 111, 916–922. [Google Scholar] [CrossRef] [PubMed]
- Dembrower, K.; Wåhlin, E.; Liu, Y.; Salim, M.; Smith, K.; Lindholm, P.; Eklund, M.; Strand, F. Effect of artificial intelligence-based triaging of breast cancer screening mammograms on cancer detection and radiologist workload: A retrospective simulation study. Lancet Digit. Health 2020, 2, e468–e474. [Google Scholar] [CrossRef]
- Kim, H.E.; Kim, H.H.; Han, B.K.; Kim, K.H.; Han, K.; Nam, H.; Lee, E.H.; Kim, E.K. Changes in cancer detection and false-positive recall in mammography using artificial intelligence: A retrospective, multireader study. Lancet Digit. Health 2020, 2, e138–e148. [Google Scholar] [CrossRef]
- McKinney, S.M.; Sieniek, M.; Godbole, V.; Godwin, J.; Antropova, N.; Ashrafian, H.; Back, T.; Chesus, M.; Corrado, G.S.; Darzi, A.; et al. International evaluation of an AI system for breast cancer screening. Nature 2020, 577, 89–94. [Google Scholar] [CrossRef]
- Watanabe, A.T.; Lim, V.; Vu, H.X.; Chim, R.; Weise, E.; Liu, J.; Bradley, W.G.; Comstock, C.E. Improved Cancer Detection Using Artificial Intelligence: A Retrospective Evaluation of Missed Cancers on Mammography. J. Digit. Imaging 2019, 32, 625–637. [Google Scholar] [CrossRef]
- Lång, K.; Hofvind, S.; Rodríguez-Ruiz, A.; Andersson, I. Can artificial intelligence reduce the interval cancer rate in mammography screening? Eur. Radiol. 2021, 31, 5940–5947. [Google Scholar] [CrossRef] [PubMed]
- Perry, N.; Broeders, M.; de Wolf, C.; Törnberg, S.; Holland, R.; von Karsa, L. European guidelines for quality assurance in breast cancer screening and diagnosis. Fourth edition-summary document. Ann. Oncol. 2008, 19, 614–622. [Google Scholar] [CrossRef] [PubMed]
- Hoff, S.R.; Abrahamsen, A.L.; Samset, J.H.; Vigeland, E.; Klepp, O.; Hofvind, S. Breast cancer: Missed interval and screening-detected cancer at full-field digital mammography and screen-film mammography—Results from a retrospective review. Radiology 2012, 264, 378–386. [Google Scholar] [CrossRef]
- Yoon, J.H.; Kim, E.-K. Deep Learning-Based Artificial Intelligence for Mammography. Korean J. Radiol. 2021, 22, 1225–1239. [Google Scholar] [CrossRef] [PubMed]
- Lee, S.E.; Han, K.; Kim, E.-K. Application of artificial intelligence–based computer-assisted diagnosis on synthetic mammograms from breast tomosynthesis: Comparison with digital mammograms. Eur. Radiol. 2021, 31, 6929–6937. [Google Scholar] [CrossRef]
- Ciatto, S.; del Turco, M.R.; Zappa, M. The detectability of breast cancer by screening mammography. Br. J. Cancer 1995, 71, 337–339. [Google Scholar] [CrossRef][Green Version]
- Lameijer, J.R.C.; Voogd, A.C.; Pijnappel, R.M.; Setz-Pels, W.; Broeders, M.J.; Tjan-Heijnen, V.C.G.; Duijm, L.E.M. Delayed breast cancer diagnosis after repeated recall at biennial screening mammography: An observational follow-up study from The Netherlands. Br. J. Cancer 2020, 123, 325–332. [Google Scholar] [CrossRef]
- Birdwell, R.L.; Ikeda, D.M.; O’Shaughnessy, K.F.; Sickles, E.A. Mammographic characteristics of 115 missed cancers later detected with screening mammography and the potential utility of computer-aided detection. Radiology 2001, 219, 192–202. [Google Scholar] [CrossRef]
- Hovda, T.; Tsuruda, K.; Hoff, S.R.; Sahlberg, K.K.; Hofvind, S. Radiological review of prior screening mammograms of screen-detected breast cancer. Eur. Radiol. 2021, 31, 2568–2579. [Google Scholar] [CrossRef]
- Von Euler-Chelpin, M.; Lillholm, M.; Vejborg, I.; Nielsen, M.; Lynge, E. Sensitivity of screening mammography by density and texture: A cohort study from a population-based screening program in Denmark. Breast Cancer Res. 2019, 21, 111. [Google Scholar] [CrossRef]
- Burrell, H.C.; Sibbering, D.M.; Wilson, A.R.; Pinder, S.E.; Evans, A.J.; Yeoman, L.J.; Elston, C.W.; Ellis, I.O.; Blamey, R.W.; Robertson, J.F. Screening interval breast cancers: Mammographic features and prognosis factors. Radiology 1996, 199, 811–817. [Google Scholar] [CrossRef] [PubMed]
- Kim, J.; Lee, S.; Bae, S.; Choi, M.Y.; Lee, J.; Jung, S.P.; Kim, S.; Choe, J.H.; Kim, J.H.; Kim, J.S.; et al. Comparison between screen-detected and symptomatic breast cancers according to molecular subtypes. Breast Cancer Res. Treat. 2012, 131, 527–540. [Google Scholar] [CrossRef] [PubMed]
- Lehman, C.D.; Topol, E.J. Readiness for mammography and artificial intelligence. Lancet 2021, 398, 1867. [Google Scholar] [CrossRef]
- Pesapane, F.; Codari, M.; Sardanelli, F. Artificial intelligence in medical imaging: Threat or opportunity? Radiologists again at the forefront of innovation in medicine. Eur. Radiol. Exp. 2018, 2, 35. [Google Scholar] [CrossRef] [PubMed]




| Patient Number (%) | |
|---|---|
| Age | |
| 50< | 88 (43.14%) |
| 50≥ | 116 (56.86%) |
| Breast density | |
| (a) almost fatty | 3 (1.5%) |
| (b) scattered | 40 (19.6%) |
| (c) heterogeneous | 96 (47.1%) |
| (d) extreme dense | 65 (31.9%) |
| Interval † | |
| 0–12 months | 83 (40.7%) |
| 13–36 months | 121 (59.3%) |
| AI-CAD Result | Diagnostic Mammogram | Prior Mammogram | ||
|---|---|---|---|---|
| True Negative | Minimal | Missed | ||
| True positive | 133 | 0 | 18 | 27 |
| True negative | 43 | 125 | 0 | 0 |
| False positive | 4 | 12 | 0 | 0 |
| False negative | 24 | 0 | 15 | 7 |
| Total | 204 | 137 | 33 | 34 |
| Diagnostic Mammogram | Prior Mammogram | |
|---|---|---|
| Sensitivity | 84.7% (133/157) | 67.2% (45/67) |
| Specificity | 91.5% (43/47) | 91.2% (125/137) |
| Accuracy | 86.3% (176/204) | 83.3% (170/204) |
| PPV | 97.1% (133/137) | 78.9% (45/57) |
| NPV | 64.2% (43/67) | 85.0% (125/147) |
| Mammography Finding | IHC Type | T | N | Stage | |
|---|---|---|---|---|---|
| 1 | Architectural distortion, Calcifications | TNBC | 2 | 0 | IIA |
| 2 | Calcifications | Luminal B | is | 0 | 0 |
| 3 | Architectural distortion | Luminal A | 1a | 1 | IIA |
| 4 | Calcifications | Luminal A | 1mic | 0 | IA |
| 5 | Focal asymmetry | Luminal A | 1c | 0 | IA |
| 6 | Architectural distortion | Luminal A | 1a | 0 | IA |
| 7 | Calcifications | HER2-enriched | is | 0 | 0 |
| 8 | Architectural distortion | Luminal A | 1a | 0 | IA |
| 9 | Asymmetry | TNBC | 2 | 0 | IIA |
| 10 | Calcifications | Luminal A | is | 0 | 0 |
| 11 | Focal asymmetry | Luminal A | 1a | 0 | IA |
| 12 | Focal asymmetry | Luminal A | 1c | 0 | IA |
| 13 | Focal asymmetry | Luminal A | 1c | 0 | IA |
| 14 | Calcifications | Luminal A | is | 0 | 0 |
| 15 | Calcifications | Luminal B | 1c | 0 | IA |
| 16 | Calcifications | Luminal A | is | 0 | 0 |
| 17 | Asymmetry | Luminal A | 1c | 0 | IA |
| 18 | Focal asymmetry | Luminal B | 2 | 0 | II |
| 19 | Calcifications | HER2-enriched | is | 0 | 0 |
| 20 | Calcifications | Luminal A | 1c | 0 | IA |
| 21 | Focal asymmetry, Calcifications | Luminal A | 2 | 0 | IIA |
| 22 | Focal asymmetry, Calcifications | Luminal A | 2 | 1 | IIB |
| 23 | Focal asymmetry | Luminal B | 2 | 1 | IIB |
| 24 | Calcifications | Luminal B | is | 0 | 0 |
| 25 | Mass with calcifications | Luminal B | 2 | 1 | IIB |
| 26 | Calcifications | Luminal A | 1a | 0 | IA |
| 27 | Architectural distortion | Luminal B | 2 | 0 | IV |
Publisher’s Note: MDPI stays neutral with regard to jurisdictional claims in published maps and institutional affiliations. |
© 2022 by the authors. Licensee MDPI, Basel, Switzerland. This article is an open access article distributed under the terms and conditions of the Creative Commons Attribution (CC BY) license (https://creativecommons.org/licenses/by/4.0/).
Share and Cite
Park, G.E.; Kang, B.J.; Kim, S.H.; Lee, J. Retrospective Review of Missed Cancer Detection and Its Mammography Findings with Artificial-Intelligence-Based, Computer-Aided Diagnosis. Diagnostics 2022, 12, 387. https://doi.org/10.3390/diagnostics12020387
Park GE, Kang BJ, Kim SH, Lee J. Retrospective Review of Missed Cancer Detection and Its Mammography Findings with Artificial-Intelligence-Based, Computer-Aided Diagnosis. Diagnostics. 2022; 12(2):387. https://doi.org/10.3390/diagnostics12020387
Chicago/Turabian StylePark, Ga Eun, Bong Joo Kang, Sung Hun Kim, and Jeongmin Lee. 2022. "Retrospective Review of Missed Cancer Detection and Its Mammography Findings with Artificial-Intelligence-Based, Computer-Aided Diagnosis" Diagnostics 12, no. 2: 387. https://doi.org/10.3390/diagnostics12020387
APA StylePark, G. E., Kang, B. J., Kim, S. H., & Lee, J. (2022). Retrospective Review of Missed Cancer Detection and Its Mammography Findings with Artificial-Intelligence-Based, Computer-Aided Diagnosis. Diagnostics, 12(2), 387. https://doi.org/10.3390/diagnostics12020387

