Acute Retinal Necrosis: Signs, Treatment, Complications and Outcome
Abstract
1. Introduction
2. Methods
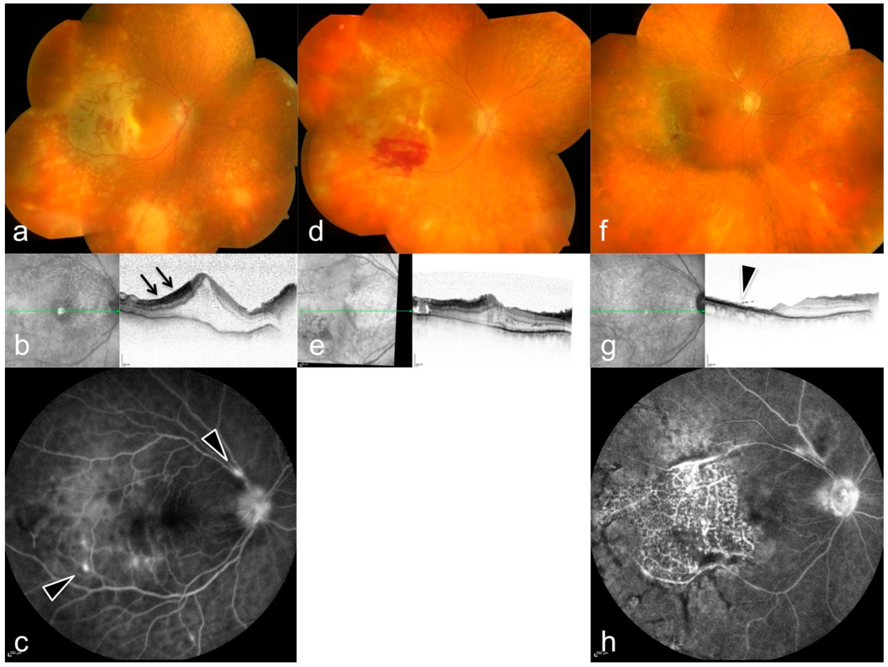
3. Results
4. Discussion
Supplementary Materials
Author Contributions
Funding
Institutional Review Board Statement
Informed Consent Statement
Data Availability Statement
Conflicts of Interest
References
- Gandorfer, A.; Thurau, S. Acute retinal necrosis. Ophthalmology 2009, 106, 751–759. [Google Scholar] [CrossRef] [PubMed]
- Holland, G.N. Standard Diagnostic Criteria for the Acute Retinal Necrosis Syndrome. Am. J. Ophthalmol 1994, 117, 663–666. [Google Scholar] [CrossRef]
- Bonfioli, A.A.; Eller, A.W. Acute retinal necrosis. Semin. Ophthalmol. 2005, 20, 155–160. [Google Scholar] [CrossRef] [PubMed]
- Rautenberg, P.; Grancicova, L.; Hillenkamp, J.; Nölle, B.; Roider, J.; Fickenscher, H. Acute retinal necrosis from the virologist’s perspective. Ophthalmol. Z. Dtsch. Ophthalmol. Ges. 2009, 106, 1065–1073. [Google Scholar]
- Cochrane, T.F.; Silvestri, G.; McDowell, C.; Foot, B.E.; McAvoy, C. Acute retinal necrosis in the United Kingdom: Results of a prospective surveillance study. Eye 2012, 26, 370–378. [Google Scholar] [CrossRef]
- Freeman, W.R.; Lerner, C.W.; Mines, J.A.; Lash, R.S.; Nadel, A.J.; Starr, M.B.; Tapper, M.L. A Prospective Study of the Ophthalmologic Findings in the Acquired Immune Deficiency Syndrome. Am. J. Ophthalmol. 1984, 97, 133–142. [Google Scholar] [CrossRef]
- Freeman, W.R.; O’Connor, G.R. Acquired Immune Deficiency Syndrome Retinopathy, Pneumocystis, and Cotton-Wool Spots. Am. J. Ophthalmol. 1984, 98, 235–237. [Google Scholar] [CrossRef]
- Pleyer, U.; Metzner, S.; Hofmann, J. Diagnostics and differential diagnosis of acute retinal necrosis. Ophthalmol. Z. Dtsch. Ophthalmol. Ges. 2009, 106, 1074–1082. [Google Scholar]
- Hillenkamp, J. Diagnosis and therapy of acute retinal necrosis. Ophthalmol. Z. Dtsch. Ophthal-Mologischen Ges. 2009, 106, 1057. [Google Scholar] [CrossRef][Green Version]
- Lei, B.; Jiang, R.; Wang, Z.; Xu, G.; Wu, X.; Zhou, M. Bilateral Acute Retinal Necrosis: A Case Series. Retina 2020, 40, 145–153. [Google Scholar] [CrossRef]
- Williams, A.M.; Nguyen, V.Q.; Botsford, B.W.; Eller, A.W. Bilateral acute retinal necrosis caused by two separate viral etiologies. Am. J. Ophthalmol. Case Rep. 2020, 18, 100636. [Google Scholar] [CrossRef] [PubMed]
- Young, N.J.; Bird, A.C. Bilateral acute retinal necrosis. Br. J. Ophthalmol. 1978, 62, 581–590. [Google Scholar] [CrossRef] [PubMed]
- Palay, D.A.; Sternberg, P., Jr.; Davis, J.; Lewis, H.; Holland, G.N.; Mieler, W.F.; Jabs, D.A.; Drews, C. Decrease in the Risk of Bilateral Acute Retinal Necrosis by Acyclovir Therapy. Am. J. Ophthalmol. 1991, 112, 250–255. [Google Scholar] [CrossRef]
- Lau, C.H.; Missotten, T.; Salzmann, J.; Lightman, S.L. Acute Retinal Necrosis: Features, Management, and Outcomes. Ophthalmology 2007, 114, 756–762.e1. [Google Scholar] [CrossRef]
- Butler, N.J.; Moradi, A.; Salek, S.S.; Burkholder, B.M.; Leung, T.G.; Dunn, J.P.; Thorne, J.E. Acute Retinal Necrosis: Presenting Characteristics and Clinical Outcomes in a Cohort of Polymerase Chain Reaction–Positive Patients. Am. J. Ophthalmol. 2017, 179, 179–189. [Google Scholar] [CrossRef]
- Muthiah, M.N.; Michaelides, M.; Child, C.S.; Mitchell, S.M. Acute retinal necrosis: A national population-based study to assess the incidence, methods of diagnosis, treatment strategies and outcomes in the UK. Br. J. Ophthalmol. 2007, 91, 1452–1455. [Google Scholar] [CrossRef]
- Hillenkamp, J.; Nölle, B.; Bruns, C.; Rautenberg, P.; Fickenscher, H.; Roider, J. Acute Retinal Necrosis: Clinical Features, Early Vitrectomy, and Outcomes. Ophthalmology 2009, 116, 1971–1975.e2. [Google Scholar] [CrossRef]
- Yeh, S.; Suhler, E.B.; Smith, J.R.; Bruce, B.; Fahle, G.; Bailey, S.T.; Hwang, T.S.; Stout, J.T.; Lauer, A.K.; Wilson, D.J.; et al. Combination systemic and intravitreal antiviral therapy in the management of acute retinal necrosis syndrome. Ophthalmic Surg. Lasers Imaging Retin. 2014, 45, 399–407. [Google Scholar] [CrossRef]
- Lachin, J.M. Worst-Rank Score Methods—A Nonparametric Approach to Informatively Missing Data. J. Am. Med. Assoc. 2020, 324, 1670–1671. [Google Scholar] [CrossRef]
- Urayama, A. Unilateral acute uveitis with retinal periarteritis and detachment. Rinsho Ganka (Jpn. J. Clin. Ophthalmol.) 1971, 25, 607–619. [Google Scholar]
- Culbertson, W.W.; Blumenkranz, M.S.; Haines, H.; Gass, J.D.M.; Mitchell, K.B.; Norton, E.W. The acute retinal necrosis syndrome: Part 2: Histopathology and etiology. Ophthalmology 1982, 89, 1317–1325. [Google Scholar] [CrossRef]
- Falcone, P.M.; Brockhurst, R.J. Delayed onset of bilateral acute retinal necrosis syndrome: A 34-year interval. Ann. Ophthalmol. 1993, 25, 373–374. [Google Scholar] [PubMed]
- Forster, D.J.; Dugel, P.U.; Frangieh, G.T.; Liggett, P.E.; Rao, N.A. Rapidly progressive outer retinal necrosis in the acquired immunodeficiency syndrome. Am. J. Ophthalmol. 1990, 110, 341–348. [Google Scholar] [CrossRef]
- Matsuo, T.; Morimoto, K.; Matsuo, N. Factors associated with poor visual outcome in acute retinal necrosis. Br. J. Ophthalmol. 1991, 75, 450–454. [Google Scholar] [CrossRef] [PubMed]
- Harper, T.W.; Miller, D.; Schiffman, J.C.; Davis, J.L. Polymerase Chain Reaction Analysis of Aqueous and Vitreous Specimens in the Diagnosis of Posterior Segment Infectious Uveitis. Am. J. Ophthalmol. 2009, 147, 140–147.e2. [Google Scholar] [CrossRef]
- Müller, B.; Velhagen, K.; Pleyer, U. Acute retinal necrosis syndrome: Analysis, therapy and long-term follow up of 14 eyes. Klin. Mon. Augenheilkd. 2000, 217, 345–350. [Google Scholar] [CrossRef]
- Gargiulo, F.; De Francesco, M.A.; Nascimbeni, G.; Turano, R.; Perandin, F.; Gandolfo, E.; Manca, N. Polymerase chain reaction as a rapid diagnostic tool for therapy of acute retinal necrosis syndrome. J. Med. Virol. 2003, 69, 397–400. [Google Scholar] [CrossRef]
- Aizman, A.; Johnson, M.W.; Elner, S.G. Treatment of Acute Retinal Necrosis Syndrome with Oral Antiviral Medications. Ophthalmology 2007, 114, 307–312. [Google Scholar] [CrossRef]
- Emerson, G.G.; Smith, J.R.; Wilson, D.J.; Rosenbaum, J.T.; Flaxel, C.J. Primary treatment of acute retinal necrosis with oral antiviral therapy. Ophthalmology 2006, 113, 2259–2261. [Google Scholar] [CrossRef]
- Tibbetts, M.D.; Shah, C.P.; Young, L.; Duker, J.S.; Maguire, J.I.; Morley, M.G. Treatment of Acute Retinal Necrosis. Ophthalmology 2010, 117, 818–824. [Google Scholar] [CrossRef]
- Kawaguchi, T.; Spencer, D.B.; Mochizuki, M. Therapy for acute retinal necrosis. In Seminars in Ophthalmology; Taylor & Francis: Tokyo, Japan, 2008. [Google Scholar]
- Kopplin, L.J.; Thomas, A.S.; Cramer, S.; Kim, Y.H.; Yeh, S.; Lauer, A.K.; Flaxel, C.J. Long-Term Surgical Outcomes of Retinal Detachment Associated With Acute Retinal Necrosis. Ophthalmic Surg. Lasers Imaging Retin. 2016, 47, 660–664. [Google Scholar] [CrossRef] [PubMed]
- Dave, V.P.; Pappuru, R.R.; Pathengay, A.; Tyagi, M.; Narayanan, R.; Jalali, S. Vitrectomy with Silicone Oil Tamponade in Rhegmatogenous Retinal Detachment following Acute Retinal Necrosis: Clinical Outcomes and Prognostic Factors. In Seminars in Ophthalmology; Taylor & Francis: Tokyo, Japan, 2019. [Google Scholar] [CrossRef]




| # | Sex | Age | Eye | BCVA at Onset | Local Tx | Systemic Tx | Pathogen | Complications | Timepoint of 2nd Involvement | BCVA after 3 Months |
|---|---|---|---|---|---|---|---|---|---|---|
| 1 | M | 53 | OD | 0.6 | vitrectomy | Aciclovir | HSV | none | 3 months later | 0.2 |
| OS | 0.2 | vitrectomy | IOL luxation | - | 0.1 | |||||
| 2 | M | 54 | OD | 0.5 | IVT Ganciclovir | Aciclovir | EBV, VZV | none | 7 weeks later | 0.8 |
| OS | 0.1 | vitrectomy + IVT | cataract surgery | - | 0.2 | |||||
| 3 | M | 65 | OS | 0.063 | IVT Ganciclovir | Aciclovir | HSV | multiple retinal detachments | - | hand motion |
| 4 | M | 59 | OD | 1.0 | IVT Ganciclovir | Aciclovir | VZV | none | 1 month later | 1.0 |
| OS | 0.6 | vitrectomy + IVT Ganciclovir | retinal detachment | - | 0.2 | |||||
| 5 | M | 66 | OD | 0.3 | IVT Ganciclovir | Aciclovir | VZV | retinal detachment | - | 0.2 |
| 6 | F | 86 | OD | 0.4 | vitrectomy + IVT Ganciclovir | Aciclovir | - | Vitreous hemorrage, vitr. Silicone oil tamponade, endophthalmitis, secondary glaucoma, retinal branch occlusion | same time | 0.4 |
| OS | 0.1 | vitrectomy + IVT Ganciclovir | Vitreous hemorrage, vitr. Silicone oil tamponade | - | 0.5 | |||||
| 7 | F | 76 | OD | 0.5 | IVT Ganciclovir | Aciclovir | CMV | none | same time | light perception |
| OS | 0.1 | vitrectomy + IVT Ganciclovir | Recurrence 3 months later | - | light perception | |||||
| 8 | F | 77 | OD | 0.4 | IVT Aciclovir | Aciclovir | VZV | none | same time | 0.5 |
| OS | hand motion | vitrectomy + IVT Ganciclovir | retinal detachment | - | counting fingers | |||||
| 9 | F | 60 | OS | hand motion | vitrectomy + IVT Ganciclovir | Aciclovir | VZV | retinal detachment | - | light perception |
| 10 | F | 32 | OD | 0.6 | IVT Ganciclovir | Aciclovir | VZV | retinal detachment | - | counting fingers |
Publisher’s Note: MDPI stays neutral with regard to jurisdictional claims in published maps and institutional affiliations. |
© 2022 by the authors. Licensee MDPI, Basel, Switzerland. This article is an open access article distributed under the terms and conditions of the Creative Commons Attribution (CC BY) license (https://creativecommons.org/licenses/by/4.0/).
Share and Cite
Mayer, C.S.; Blobner, K.; Storr, J.; Baur, I.D.; Khoramnia, R. Acute Retinal Necrosis: Signs, Treatment, Complications and Outcome. Diagnostics 2022, 12, 386. https://doi.org/10.3390/diagnostics12020386
Mayer CS, Blobner K, Storr J, Baur ID, Khoramnia R. Acute Retinal Necrosis: Signs, Treatment, Complications and Outcome. Diagnostics. 2022; 12(2):386. https://doi.org/10.3390/diagnostics12020386
Chicago/Turabian StyleMayer, Christian S., Katharina Blobner, Julia Storr, Isabella D. Baur, and Ramin Khoramnia. 2022. "Acute Retinal Necrosis: Signs, Treatment, Complications and Outcome" Diagnostics 12, no. 2: 386. https://doi.org/10.3390/diagnostics12020386
APA StyleMayer, C. S., Blobner, K., Storr, J., Baur, I. D., & Khoramnia, R. (2022). Acute Retinal Necrosis: Signs, Treatment, Complications and Outcome. Diagnostics, 12(2), 386. https://doi.org/10.3390/diagnostics12020386

