First-Trimester Diagnosis of Supernumerary Hemivertebra
Abstract
:1. Introduction
2. Materials and Methods
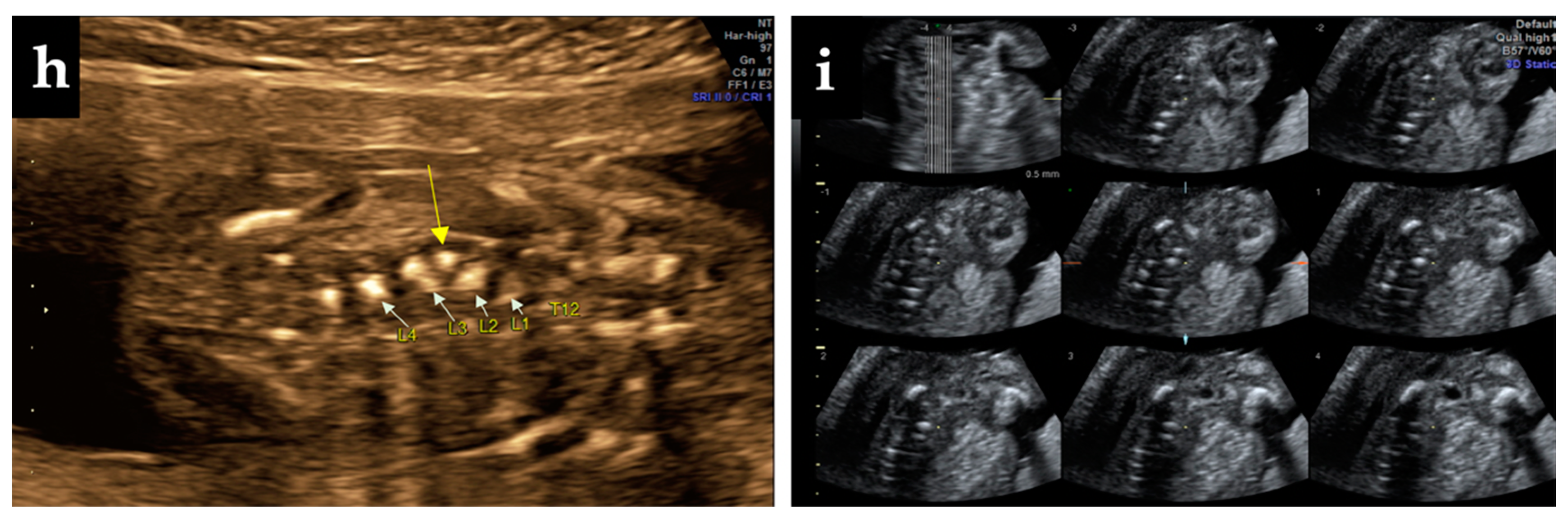
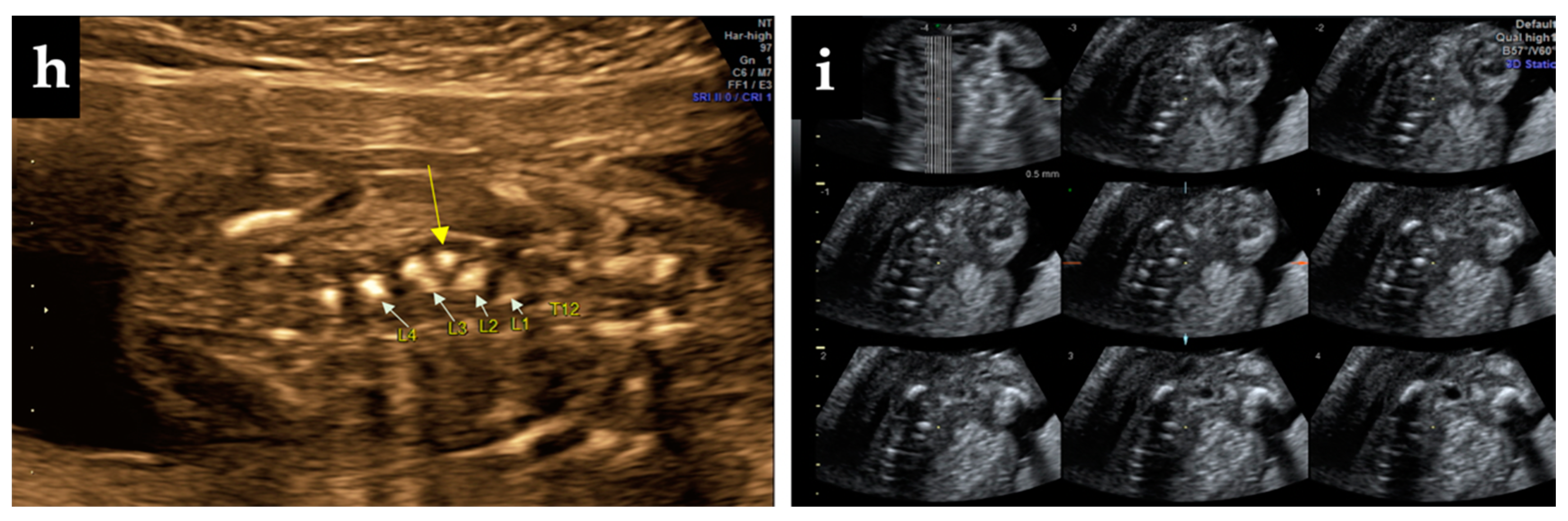
Case Report
3. Discussion
4. Conclusions
Supplementary Materials
Author Contributions
Funding
Institutional Review Board Statement
Informed Consent Statement
Conflicts of Interest
References
- Powel, J.E.; Spiliopoulos, M.; Ferreira, C.R.; Rosenthal, E.; Sinkovskaya, E.; Brown, S.; Sham, C.; Jelin, A.C.; Kouatly, H.B.A. 265: Hemivertebra: Systematic Review of Cases with Cytogenetic Abnormalities, Associated Anomalies and Proposed Prenatal Management. Am. J. Obstet. Gynecol. 2021, 224, S175. [Google Scholar] [CrossRef]
- Braund, K.G. Developmental Disorders. Clinical Neurology in Small Animals: Localization, Diagnosis and Treatment. Tydskr. S. Afr. Vet. Ver. 2003, 74, 14–16. [Google Scholar]
- Goldstein, I.; Makhoul, I.R.; Weissman, A.; Drugan, A. Hemivertebra: Prenatal Diagnosis, Incidence and Characteristics. Fetal Diagn. Ther. 2005, 20, 121–126. [Google Scholar] [CrossRef] [PubMed]
- Powel, J.E.; Spiliopoulos, M.; Ferreira, C.R.; Rosenthal, E.; Sinkovskaya, E.; Brown, S.; Sham, C.; Jelin, A.C.; Al Kouatly, H.B. 346 Review of Syndromic Genetic Etiology in Patients with Hemivertebra and Implications in Prenatal Management. Am. J. Obstet. Gynecol. 2021, 224 (Suppl. S2), S227–S228. [Google Scholar] [CrossRef]
- Schijman, E. Split Spinal Cord Malformations: Report of 22 Cases and Review of the Literature. Childs Nerv. Syst. ChNS Off. J. Int. Soc. Pediatr. Neurosurg. 2003, 19, 96–103. [Google Scholar] [CrossRef] [PubMed]
- Bacino, C.A. ROR2-Related Robinow Syndrome. In GeneReviews®; Adam, M.P., Ardinger, H.H., Pagon, R.A., Wallace, S.E., Bean, L.J., Gripp, K.W., Mirzaa, G.M., Amemiya, A., Eds.; University of Washington: Seattle, WA, USA, 1993. [Google Scholar]
- Hoyme, H.E.; Kalberg, W.O.; Elliott, A.J.; Blankenship, J.; Buckley, D.; Marais, A.-S.; Manning, M.A.; Robinson, L.K.; Adam, M.P.; Abdul-Rahman, O.; et al. Updated Clinical Guidelines for Diagnosing Fetal Alcohol Spectrum Disorders. Pediatrics 2016, 138, e20154256. [Google Scholar] [CrossRef] [Green Version]
- Wax, J.R.; Watson, W.J.; Miller, R.C.; Ingardia, C.J.; Pinette, M.G.; Cartin, A.; Grimes, C.K.; Blackstone, J. Prenatal Sonographic Diagnosis of Hemivertebrae: Associations and Outcomes. J. Ultrasound Med. Off. J. Am. Inst. Ultrasound Med. 2008, 27, 1023–1027. [Google Scholar] [CrossRef]
- Zelop, C.M.; Pretorius, D.H.; Benacerraf, B.R. Fetal Hemivertebrae: Associated Anomalies, Significance, and Outcome. Obstet. Gynecol. 1993, 81, 412–416. [Google Scholar]
- Chaturvedi, A.; Klionsky, N.B.; Nadarajah, U.; Chaturvedi, A.; Meyers, S.P. Malformed Vertebrae: A Clinical and Imaging Review. Insights Imaging 2018, 9, 343–355. [Google Scholar] [CrossRef] [Green Version]
- Supernumerary First Rib. Lancet-Clin. Rec. 1860, 76, 633. [CrossRef]
- Plum, G.E.; Hayles, A.B.; Bruwer, A.J.; Clagett, O.T. Supernumerary Intrathoracic Rib; a Case Report. J. Thorac. Surg. 1957, 34, 800–803. [Google Scholar] [CrossRef]
- Merendino, K.A.; Stevenson, J.K. Two Unusual Congenital Anomalies of the Thorax: (1) Supernumerary Ribs and (2) Abnormal Intrathoracic Fascial Band; Review of Literature. J. Thorac. Surg. 1956, 32, 521–527. [Google Scholar] [PubMed]
- Miyakoshi, N.; Kobayashi, A.; Hongo, M.; Shimada, Y. Sacral Rib: An Uncommon Congenital Anomaly. Spine J. Off. J. N. Am. Spine Soc. 2015, 15, e35–e38. [Google Scholar] [CrossRef] [PubMed]
- Guo, J.-H.; Liao, C.-H.; Chen, D.-C.; Cho, D.-Y. Hemivertebra with Accompanying Costal Deformity. Jt. Bone Spine 2017, 84, 95. [Google Scholar] [CrossRef]
- Stevenson, R.E. Extra Vertebrae Associated with Esophageal Atresias and Tracheoesophageal Fistulas. J. Pediatr. 1972, 81, 1123–1129. [Google Scholar] [CrossRef]
- Wen, Y.; Xiang, G.; Liang, X.; Tong, X. The Clinical Value of Prenatal 3D Ultrasonic Diagnosis on Fetus Hemivertebra Deformity- A Preliminary Study. Curr. Med. Imaging Rev. 2018, 14, 139–142. [Google Scholar] [CrossRef]
- Weisz, B.; Achiron, R.; Schindler, A.; Eisenberg, V.H.; Lipitz, S.; Zalel, Y. Prenatal Sonographic Diagnosis of Hemivertebra. J. Ultrasound Med. Off. J. Am. Inst. Ultrasound Med. 2004, 23, 853–857. [Google Scholar] [CrossRef]
- Ryu, J.K.; Cho, J.Y.; Choi, J.S. Prenatal Sonographic Diagnosis of Focal Musculoskeletal Anomalies. Korean J. Radiol. 2003, 4, 243–251. [Google Scholar] [CrossRef] [Green Version]
- Basude, S.; McDermott, L.; Newell, S.; Wreyford, B.; Denbow, M.; Hutchinson, J.; Abdel-Fattah, S. Fetal Hemivertebra: Associations and Perinatal Outcome. Ultrasound Obstet. Gynecol. Off. J. Int. Soc. Ultrasound Obstet. Gynecol. 2015, 45, 434–438. [Google Scholar] [CrossRef]
- Yulia, A.; Pawar, S.; Chelemen, O.; Ushakov, F.; Pandya, P.P. Fetal Hemivertebra at 11 to 14 Weeks’ Gestation. J. Ultrasound Med. Off. J. Am. Inst. Ultrasound Med. 2020, 39, 1857–1863. [Google Scholar] [CrossRef]
- Paoletti, D.; Robertson, M.; Sia, S.B. A Sonographic Approach to Prenatal Classification of Congenital Spine Anomalies. Australas. J. Ultrasound Med. 2014, 17, 20–37. [Google Scholar] [CrossRef] [PubMed] [Green Version]
- Volpe, N.; Migliavacca, C.; Dall’Asta, A.; Kaihura, C.T.; Ghi, T.; Frusca, T. Prenatal Diagnosis of Fetal Multiple Hemivertebrae: The Importance of 3D Ultrasound Assessment. J. Matern.-Fetal Neonatal Med. Off. J. Eur. Assoc. Perinat. Med. Fed. Asia Ocean. Perinat. Soc. Int. Soc. Perinat. Obstet. 2020, 33, 1755–1757. [Google Scholar] [CrossRef] [PubMed]
- Johal, J.; Loukas, M.; Fisahn, C.; Chapman, J.R.; Oskouian, R.J.; Tubbs, R.S. Hemivertebrae: A Comprehensive Review of Embryology, Imaging, Classification, and Management. Childs Nerv. Syst. ChNS Off. J. Int. Soc. Pediatr. Neurosurg. 2016, 32, 2105–2109. [Google Scholar] [CrossRef] [PubMed]
- Wei, Q.; Cai, A.; Wang, X.; Xie, L.; Wang, B.; Wang, X. Value of 3-Dimensional Sonography for Prenatal Diagnosis of Vertebral Formation Failure. J. Ultrasound Med. Off. J. Am. Inst. Ultrasound Med. 2013, 32, 595–607. [Google Scholar] [CrossRef] [PubMed]
- Emans, J.B.; Glotzbecker, M.; Hedequist, D. Hemivertebra Excision—Posterior-Only Approach with 3-Rod Technique. Oper. Tech. Orthop. 2016, 26, 258–267. [Google Scholar] [CrossRef]
- Yang, X.; Song, Y.; Liu, L.; Zhou, C.; Zhou, Z.; Wang, L.; Wang, L. Emerging S-Shaped Curves in Congenital Scoliosis after Hemivertebra Resection and Short Segmental Fusion. Spine J. Off. J. N. Am. Spine Soc. 2016, 16, 1214–1220. [Google Scholar] [CrossRef]
- Liu, D.; Shi, B.; Shi, B.; Li, Y.; Xia, S.; Liu, Z.; Zhu, Z.; Qiu, Y. Partial Hemivertebra Resection (Grade 4 Osteotomy) for Congenital Scoliosis: A Comparison with Radical Hemivertebra Resection. World Neurosurg. 2019, 130, e1028–e1033. [Google Scholar] [CrossRef]
- Kuklo, T.R.; Lenke, L.G. Resection of Thoracic Hemivertebra. Semin. Spine Surg. 2010, 22, 140–146. [Google Scholar] [CrossRef]
- Mo, F.; Cunningham, M.; Boachie, O. Hemivertebra Excision for Congenital Scoliosis. Semin. Spine Surg. 2012, 24, 169–173. [Google Scholar] [CrossRef]
- Winter, R.B. Congenital Scoliosis. Orthop. Clin. N. Am. 1988, 19, 395–408. [Google Scholar] [CrossRef]
- Quaresima, P.; Homfray, T.; Greco, E. Obstetric Complications in Pregnancies with Life-Limiting Malformations. Curr. Opin. Obstet. Gynecol. 2019, 31, 375–387. [Google Scholar] [CrossRef] [PubMed]




| Reference | GA at Diagnostic | Postnatal Status | Ultrasound Findings |
|---|---|---|---|
| 9 cases [17] | 16–27 weeks | TOP | Localization of hemivertebra, the condition of the lesion, abnormalities in the internal organs (e.g., absence of kidneys or ribs), blurring of the ossification center, presence of scoliosis and open spine bifida |
| 1 case [19] | postnatal | well | Small asymmetrical appearance of a vertebral body and a focal defect on either side of the vertebral column—the fetus was diagnosed postnatal |
| 10 cases [21] | 11–14 weeks | 80% TOP; 20% well | Location of hemivertebrae and co-existing anomalies |
| 2 cases [22] | 18–21 weeks | TOP | Abnormal curvature of the spine, multiple hemivertebrae, thoracic kyphosis |
| 1 case [23] | 20 weeks | TOP | Abnormal deviation of the spine, with multiple fused hemivertebrae and absence of ribs |
| Our case | 12 weeks | well | Triangular hyperechoic structure at lumbar level with no other abnormalities |
Publisher’s Note: MDPI stays neutral with regard to jurisdictional claims in published maps and institutional affiliations. |
© 2022 by the authors. Licensee MDPI, Basel, Switzerland. This article is an open access article distributed under the terms and conditions of the Creative Commons Attribution (CC BY) license (https://creativecommons.org/licenses/by/4.0/).
Share and Cite
Bohiltea, R.E.; Ducu, I.; Mihai, B.M.; Iordache, A.-M.; Dima, V.; Vladareanu, E.M.; Bacalbasa, N.; Bohiltea, A.-T.; Salmen, T.; Varlas, V. First-Trimester Diagnosis of Supernumerary Hemivertebra. Diagnostics 2022, 12, 373. https://doi.org/10.3390/diagnostics12020373
Bohiltea RE, Ducu I, Mihai BM, Iordache A-M, Dima V, Vladareanu EM, Bacalbasa N, Bohiltea A-T, Salmen T, Varlas V. First-Trimester Diagnosis of Supernumerary Hemivertebra. Diagnostics. 2022; 12(2):373. https://doi.org/10.3390/diagnostics12020373
Chicago/Turabian StyleBohiltea, Roxana Elena, Ionita Ducu, Bianca Margareta Mihai, Ana-Maria Iordache, Vlad Dima, Emilia Maria Vladareanu, Nicolae Bacalbasa, Alexia-Teodora Bohiltea, Teodor Salmen, and Valentin Varlas. 2022. "First-Trimester Diagnosis of Supernumerary Hemivertebra" Diagnostics 12, no. 2: 373. https://doi.org/10.3390/diagnostics12020373
APA StyleBohiltea, R. E., Ducu, I., Mihai, B. M., Iordache, A.-M., Dima, V., Vladareanu, E. M., Bacalbasa, N., Bohiltea, A.-T., Salmen, T., & Varlas, V. (2022). First-Trimester Diagnosis of Supernumerary Hemivertebra. Diagnostics, 12(2), 373. https://doi.org/10.3390/diagnostics12020373

