Additional Diffusion-Weighted Imaging with Background Body Signal Suppression (DWIBS) Improves Pre-Therapeutical Detection of Early-Stage (pT1a) Glottic Cancer: A Feasibility and Interobserver Reliability Study
Abstract
1. Introduction
2. Materials and Methods
2.1. Patients
2.2. MRI Examination
- (1)
- Transversal T1-weighted images of the neck without fat saturation (turbospin echo; repetition time (TR) 590, echo time (TE) 10 ms, flip angle 90°) with a slice thickness of 4 mm, section gap of 1 mm, a field of view (FOV) of 260 × 250 × 190 mm, matrix of 430 × 300 × 45 mm, and a scan time of about 2 min 50 s;
- (2)
- Transversal T2-weighted scans of the neck without fat saturation (turbospin echo; TR 9200 ms, TE 100 ms, flip angle 90°) with a slice thickness of 4 mm, section gap of 0 mm, FOV of 260 × 250 × 190 mm, matrix of 320 × 240 × 45 mm, and scan time of about 2 min 55 s;
- (3)
- Diffusion-weighted images with background saturation (DWIBS) in the axial plane with the following parameters: TR 6030 ms, TE 64 ms, flip angle 90°, FOV 260 mm × 250 × 190 mm, matrix 90 × 80 × 50 mm, 4 mm slice thickness, no section gap, b value 0 and 1000 s/mm2 and a scan time of approximately 2 min 15 s;
- (4)
- A 3D-Dixon-T1-weighted fat-saturated post-contrast examination of the neck (TR 6 ms, TE 2 ms, flip angle 15°) with a FOV of 260 × 250 × 220 mm, matrix of 260 × 250 × 220 mm and scan time of about 3 min with isotropic voxels of 1 mm and reformatted transversally, sagittally, and coronally with a slice thickness of 3 mm, section gap of 0 mm.
2.3. Image Analysis
2.4. Statistical Analysis
3. Results
3.1. Patient Characteristics
3.2. Findings of Standard MRI
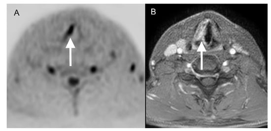
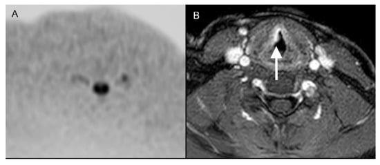
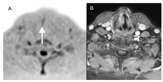
3.3. Findings of DWIBS
3.4. Findings of Standard MRI + DWIBS
4. Discussion
5. Conclusions
Author Contributions
Funding
Institutional Review Board Statement
Informed Consent Statement
Data Availability Statement
Acknowledgments
Conflicts of Interest
Abbreviations
| CT | computed tomography |
| DWI | diffusion-weighted imaging |
| DWIBS | diffusion-weighted imaging with background suppression |
| EPI | echo planar imaging |
| HPV+ | positivity for human papilloma virus |
| HPV- | negativity for human papilloma virus |
| MRI | magnetic resonance imaging |
| MSCT | multislice computed tomography |
| NPV | negative predictive value |
| PACS | picture archiving system |
| PPV | positive predictive value |
| PET | positron emission tomography |
| SCC | squamous cell carcinoma |
| STIR | short T1 inversion recovery |
References
- Sung, H.; Ferlay, J.; Siegel, R.L.; Laversanne, M.; Soerjomataram, I.; Jemal, A.; Bray, F. Global Cancer Statistics 2020: GLOBOCAN Estimates of Incidence and Mortality Worldwide for 36 Cancers in 185 Countries. CA Cancer J. Clin. 2021, 71, 209–249. [Google Scholar] [CrossRef] [PubMed]
- Nocini, R.; Molteni, G.; Mattiuzzi, C.; Lippi, G. Updates on larynx cancer epidemiology. Chin. J. Cancer Res. 2020, 32, 18–25. [Google Scholar] [CrossRef] [PubMed]
- Petersen, J.F.; Timmermans, A.J.; van Dijk, B.A.C.; Overbeek, L.I.H.; Smit, L.A.; Hilgers, F.J.M.; Stuiver, M.M.; van den Brekel, M.W.M. Trends in treatment, incidence and survival of hypopharynx cancer: A 20-year population-based study in the Netherlands. Eur. Arch. Otorhinolaryngol. 2018, 275, 181–189. [Google Scholar] [CrossRef] [PubMed]
- Jones, T.M.; De, M.; Foran, B.; Harrington, K.; Mortimore, S. Laryngeal cancer: United Kingdom National Multidisciplinary guidelines. J. Laryngol. Otol. 2016, 130, S75–S82. [Google Scholar] [CrossRef]
- Becker, M.; Monnier, Y.; de Vito, C. MR Imaging of Laryngeal and Hypopharyngeal Cancer. Magn. Reason. Imaging Clin. N. Am. 2022, 30, 53–72. [Google Scholar] [CrossRef]
- Driessen, J.P.; van Kempen, P.M.; van der Heijden, G.J.; Philippens, M.E.; Pameijer, F.A.; Stegeman, I.; Terhaard, C.H.; Janssen, L.M.; Grolman, W. Diffusion-weighted imaging in head and neck squamous cell carcinomas: A systematic review. Head Neck. 2015, 37, 440–448. [Google Scholar] [CrossRef]
- Becker, M.; Zbären, P.; Laeng, H.; Stoupis, C.; Porcellini, B.; Vock, P. Neoplastic invasion of the laryngeal cartilage: Comparison of MR imaging and CT with histopathologic correlation. Radiology 1995, 194, 661–669. [Google Scholar] [CrossRef]
- Preda, L.; Conte, G.; Bonello, L.; Giannitto, C.; Tagliabue, E.; Raimondi, S.; Ansarin, M.; De Benedetto, L.; Cattaneo, A.; Maffini, F.; et al. Diagnostic accuracy of surface coil MRI in assessing cartilaginous invasion in laryngeal tumours: Do we need contrast-agent administration? Eur. Radiol. 2017, 27, 4690–4698. [Google Scholar] [CrossRef]
- Ailianou, A.; Mundada, P.; De Perrot, T.; Pusztaszieri, M.; Poletti, P.A.; Becker, M. MRI with DWI for the Detection of Posttreatment Head and Neck Squamous Cell Carcinoma: Why Morphologic MRI Criteria Matter. AJNR Am. J. Neuroradiol. 2018, 39, 748–755. [Google Scholar] [CrossRef]
- Thoeny, H.C.; De Keyzer, F.; King, A.D. Diffusion-weighted MR imaging in the head and neck. Radiology 2012, 263, 19–32. [Google Scholar] [CrossRef]
- Becker, M.; Varoquaux, A.D.; Combescure, C.; Rager, O.; Pusztaszeri, M.; Burkhardt, K.; Delattre, B.M.A.; Dulguerov, P.; Dulguerov, N.; Katirtzidou, E.; et al. Local recurrence of squamous cell carcinoma of the head and neck after radio(chemo)therapy: Diagnostic performance of FDG-PET/MRI with diffusion-weighted sequences. Eur. Radiol. 2018, 28, 651–663. [Google Scholar] [CrossRef] [PubMed]
- van Egmond, S.L.; Stegeman, I.; Pameijer, F.A.; Bluemink, J.J.; Terhaard, C.H.; Janssen, L.M. Systematic review of the diagnostic value of magnetic resonance imaging for early glottic carcinoma. Laryngoscope Investig. Otolaryngol. 2018, 3, 49–55. [Google Scholar] [CrossRef] [PubMed]
- Zhao, C.; Deng, D.; Ye, W.; Long, L.; Lu, Y.; Wei, Y. Diffusion-weighted imaging with background body signal suppression (DWIBS) distinguishes benign lesions from malignant pulmonary solitary lesions. Am. J. Transl. Res. 2021, 13, 88–101. [Google Scholar] [PubMed]
- Takahara, T.; Imai, Y.; Yamashita, T.; Yasuda, S.; Nasu, S.; Van Cauteren, M. Diffusion weighted whole body imaging with background body signal suppression (DWIBS): Technical improvement using free breathing, STIR and high resolution 3D display. Radiat. Med. 2004, 22, 275–282. [Google Scholar]
- Sun, M.; Cheng, J.; Zhang, Y.; Bai, J.; Wang, F.; Meng, Y.; Li, Z. Application of DWIBS in malignant lymphoma: Correlation between ADC values and Ki-67 index. Eur. Radiol. 2018, 28, 1701–1708. [Google Scholar] [CrossRef]
- Balaji, R.; Devi, R.; Stumpf, J. Diffusion-Weighted Whole-Body Imaging With Background Body Signal Suppression (DWIBS)—Application in Planning for Cyberknife Therapy in Patients With Gliomas. Pract. Radiat. Oncol. 2013, 3 (Suppl. 1), S35. [Google Scholar] [CrossRef]
- Mürtz, P.; Krautmacher, C.; Träber, F.; Gieseke, J.; Schild, H.H.; Willinek, W.A. Diffusion-weighted whole-body MR imaging with background body signal suppression: A feasibility study at 3.0 Tesla. Eur. Radiol. 2007, 17, 3031–3037. [Google Scholar] [CrossRef]
- Kumasaka, S.; Motegi, S.; Kumasaka, Y.; Nishikata, T.; Otomo, M.; Tsushima, Y. Whole-body magnetic resonance imaging (WB-MRI) with diffusion-weighted whole-body imaging with background body signal suppression (DWIBS) in prostate cancer: Prevalence and clinical significance of incidental findings. Br. J. Radiol. 2022, 95, 20210459. [Google Scholar] [CrossRef]
- Ishiguchi, H.; Ito, S.; Kato, K.; Sakurai, Y.; Kawai, H.; Fujita, N.; Abe, S.; Narita, A.; Nishio, N.; Muramatsu, H.; et al. Diagnostic performance of 18F-FDG PET/CT and whole-body diffusion-weighted imaging with background body suppression (DWIBS) in detection of lymph node and bone metastases from pediatric neuroblastoma. Ann. Nucl. Med. 2018, 32, 348–362. [Google Scholar] [CrossRef]
- Larsen, S.K.A.; Løgager, V.; Bylov, C.; Nellemann, H.; Agerbæk, M.; Als, A.B.; Pedersen, E.M. Can whole-body MRI replace CT in management of metastatic testicular cancer? A prospective, non-inferiority study. J. Cancer Res. Clin. Oncol. 2022. [Google Scholar] [CrossRef]
- Schicho, A.; Habicher, W.; Wendl, C.; Stroszczynski, C.; Strotzer, Q.; Dollinger, M.; Schreyer, A.G.; Schleder, S. Clinical Value of Diffusion-Weighted Whole-Body Imaging with Background Body Signal Suppression (DWIBS) for Staging of Patients with Suspected Head and Neck Cancer. Tomography 2022, 8, 2522–2532. [Google Scholar] [CrossRef] [PubMed]
- Brennan, P.; Silman, A. Statistical methods for assessing observer variability in clinical measures. BMJ 1992, 304, 1491–1494. [Google Scholar] [CrossRef] [PubMed]
- Ruytenberg, T.; Verbist, B.M.; Vonk-Van Oosten, J.; Astreinidou, E.; Sjögren, E.V.; Webb, A.G. Improvements in High Resolution Laryngeal Magnetic Resonance Imaging for Preoperative Transoral Laser Microsurgery and Radiotherapy Considerations in Early Lesions. Front. Oncol. 2018, 8, 216. [Google Scholar] [CrossRef] [PubMed]
- Hu, Q.; Zhu, S.Y.; Zhang, Z.; Luo, F.; Mao, Y.P.; Guan, X.H. Assessment of glottic squamous cell carcinoma: Comparison of sonography and non-contrast-enhanced magnetic resonance imaging. J. Ultrasound. Med. 2011, 30, 1467–1474. [Google Scholar] [CrossRef] [PubMed]
- Lim, J.Y.; Park, I.S.; Park, S.W.; Kim, J.W.; Kim, Y.M. Potential pitfalls and therapeutic implications of pretherapeutic radiologic staging in glottic cancers. Acta Otolaryngol. 2011, 131, 869–875. [Google Scholar] [CrossRef]
- Kinshuck, A.J.; Goodyear, P.W.; Lancaster, J.; Roland, N.J.; Jackson, S.; Hanlon, R.; Lewis-Jones, H.; Sheard, J.; Jones, T.M. Accuracy of magnetic resonance imaging in diagnosing thyroid cartilage and thyroid gland invasion by squamous cell carcinoma in laryngectomy patients. J. Laryngol. Otol. 2012, 126, 302–306. [Google Scholar] [CrossRef] [PubMed]




Publisher’s Note: MDPI stays neutral with regard to jurisdictional claims in published maps and institutional affiliations. |
© 2022 by the authors. Licensee MDPI, Basel, Switzerland. This article is an open access article distributed under the terms and conditions of the Creative Commons Attribution (CC BY) license (https://creativecommons.org/licenses/by/4.0/).
Share and Cite
Schleder, S.; May, M.; Habicher, W.; Dinkel, J.; Schreyer, A.G.; Gostian, A.-O.; Schicho, A. Additional Diffusion-Weighted Imaging with Background Body Signal Suppression (DWIBS) Improves Pre-Therapeutical Detection of Early-Stage (pT1a) Glottic Cancer: A Feasibility and Interobserver Reliability Study. Diagnostics 2022, 12, 3200. https://doi.org/10.3390/diagnostics12123200
Schleder S, May M, Habicher W, Dinkel J, Schreyer AG, Gostian A-O, Schicho A. Additional Diffusion-Weighted Imaging with Background Body Signal Suppression (DWIBS) Improves Pre-Therapeutical Detection of Early-Stage (pT1a) Glottic Cancer: A Feasibility and Interobserver Reliability Study. Diagnostics. 2022; 12(12):3200. https://doi.org/10.3390/diagnostics12123200
Chicago/Turabian StyleSchleder, Stephan, Matthias May, Werner Habicher, Johannes Dinkel, Andreas G. Schreyer, Antoniu-Oreste Gostian, and Andreas Schicho. 2022. "Additional Diffusion-Weighted Imaging with Background Body Signal Suppression (DWIBS) Improves Pre-Therapeutical Detection of Early-Stage (pT1a) Glottic Cancer: A Feasibility and Interobserver Reliability Study" Diagnostics 12, no. 12: 3200. https://doi.org/10.3390/diagnostics12123200
APA StyleSchleder, S., May, M., Habicher, W., Dinkel, J., Schreyer, A. G., Gostian, A.-O., & Schicho, A. (2022). Additional Diffusion-Weighted Imaging with Background Body Signal Suppression (DWIBS) Improves Pre-Therapeutical Detection of Early-Stage (pT1a) Glottic Cancer: A Feasibility and Interobserver Reliability Study. Diagnostics, 12(12), 3200. https://doi.org/10.3390/diagnostics12123200

