Development of a Diagnostic Model Focusing on Esophageal Dysmotility in Patients with Systemic Sclerosis
Abstract
1. Introduction
2. Materials and Methods
2.1. Study Population
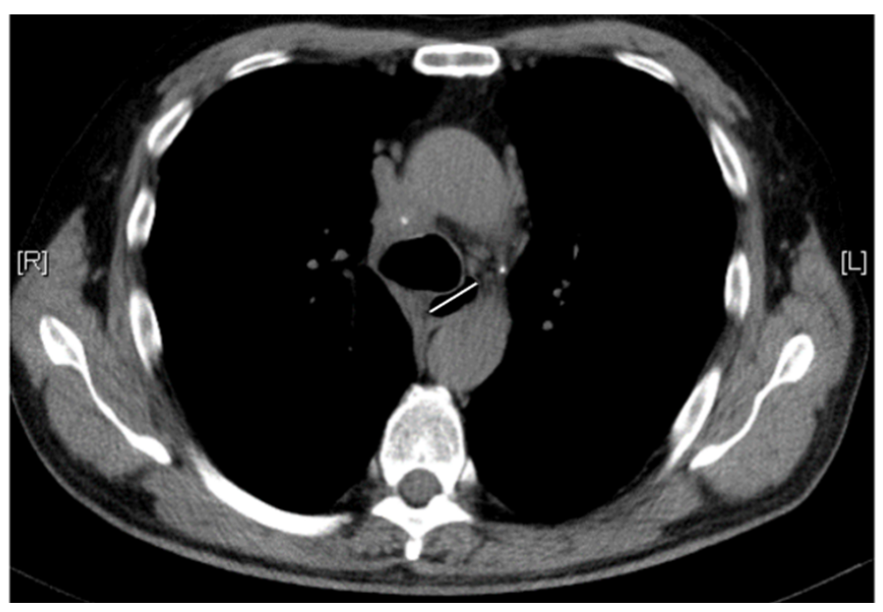
2.2. Esophageal Measurements on Chest CT Scan
2.3. Clinical Outcome
2.4. Statistical Analysis
3. Results
3.1. Prevalence of Esophageal Motility Abnormalities
3.2. Comparison of Clinical Characteristics between Patients with Esophageal Dysmotility and Normal Motility
3.3. Development of Diagnostic Model
3.4. Model Performance and Internal Validation
3.5. Visual Rendering of the Model
4. Discussion
5. Conclusions
Author Contributions
Funding
Institutional Review Board Statement
Informed Consent Statement
Data Availability Statement
Conflicts of Interest
References
- Sjogren, R.W. Gastrointestinal motility disorders in scleroderma. Arthritis Rheum. 1994, 37, 1265–1282. [Google Scholar] [CrossRef] [PubMed]
- Kirby, D.F.; Chatterjee, S. Evaluation and management of gastrointestinal manifestations in scleroderma. Curr. Opin. Rheumatol. 2014, 26, 621–629. [Google Scholar] [CrossRef] [PubMed]
- Crowell, M.D.; Umar, S.B.; Griffing, W.L.; DiBaise, J.K.; Lacy, B.E.; Vela, M.F. Esophageal Motor Abnormalities in Patients With Scleroderma: Heterogeneity, Risk Factors, and Effects on Quality of Life. Clin. Gastroenterol. Hepatol. 2017, 15, 207–213.e201. [Google Scholar] [CrossRef]
- Kimmel, J.N.; Carlson, D.A.; Hinchcliff, M.; Carns, M.A.; Aren, K.A.; Lee, J.; Pandolfino, J.E. The association between systemic sclerosis disease manifestations and esophageal high-resolution manometry parameters. Neurogastroenterol. Motil. 2016, 28, 1157–1165. [Google Scholar] [CrossRef] [PubMed]
- Khanna, D.; Nagaraja, V.; Gladue, H.; Chey, W.; Pimentel, M.; Frech, T. Measuring response in the gastrointestinal tract in systemic sclerosis. Curr. Opin. Rheumatol 2013, 25, 700–706. [Google Scholar] [CrossRef]
- Bodukam, V.; Hays, R.D.; Maranian, P.; Furst, D.E.; Seibold, J.R.; Impens, A.; Mayes, M.D.; Clements, P.J.; Khanna, D. Association of gastrointestinal involvement and depressive symptoms in patients with systemic sclerosis. Rheumatology 2011, 50, 330–334. [Google Scholar] [CrossRef]
- Zentilin, P.; Savarino, V.; Marabotto, E.; Murdaca, G.; Sulli, A.; Pizzorni, C.; Puppo, F.; Savarino, E. Esophageal baseline impedance levels allow the identification of esophageal involvement in patients with systemic sclerosis. Semin. Arthritis Rheum. 2018, 47, 569–574. [Google Scholar] [CrossRef]
- Kuchipudi, N.; Kishore, S.; Kuo, C.L.; Lakshminarayanan, S.; Mandhadi, R. Esophageal dysmotility and lung disease in patients with systemic sclerosis: Is there a possible association or correlation? A retrospective chart review. Rheumatol. Int. 2021, 41, 1965–1970. [Google Scholar] [CrossRef]
- Shah, R.J.; Boin, F. Lung Transplantation in Patients With Systemic Sclerosis. Curr. Rheumatol. Rep. 2017, 19, 23. [Google Scholar] [CrossRef]
- Ferdowsi, N.; Huq, M.; Stevens, W.; Hudson, M.; Wang, M.; Tay, T.; Burchell, J.L.; Mancuso, S.; Rabusa, C.; Sundararajan, V.; et al. Development and validation of the Scleroderma Clinical Trials Consortium Damage Index (SCTC-DI): A novel instrument to quantify organ damage in systemic sclerosis. Ann. Rheum. Dis. 2019, 78, 807–816. [Google Scholar] [CrossRef]
- Hansi, N.; Thoua, N.; Carulli, M.; Chakravarty, K.; Lal, S.; Smyth, A.; Herrick, A.; Ogunbiyi, O.; Shaffer, J.; McLaughlin, J.; et al. Consensus best practice pathway of the UK scleroderma study group: Gastrointestinal manifestations of systemic sclerosis. Clin. Exp. Rheumatol. 2014, 32, S-214–S-221. [Google Scholar] [PubMed]
- Kowal-Bielecka, O.; Fransen, J.; Avouac, J.; Becker, M.; Kulak, A.; Allanore, Y.; Distler, O.; Clements, P.; Cutolo, M.; Czirjak, L.; et al. Update of EULAR recommendations for the treatment of systemic sclerosis. Ann. Rheum. Dis. 2017, 76, 1327–1339. [Google Scholar] [CrossRef] [PubMed]
- Arana-Guajardo, A.C.; Barrera-Torres, G.; Villarreal-Alarcon, M.A.; Vega-Morales, D.; Esquivel-Valerio, J.A. Esophageal symptoms and their lack of association with high-resolution manometry in systemic sclerosis patients. Reumatol. Clin. (Engl. Ed.) 2019, 15, 165–169. [Google Scholar] [CrossRef]
- Vettori, S.; Tolone, S.; Capocotta, D.; Chieffo, R.; Giacco, V.; Valentini, G.; Docimo, L. Esophageal high-resolution impedance manometry alterations in asymptomatic patients with systemic sclerosis: Prevalence, associations with disease features, and prognostic value. Clin. Rheumatol. 2018, 37, 1239–1247. [Google Scholar] [CrossRef] [PubMed]
- Lee, J.S.; Kim, H.S.; Moon, J.R.; Ryu, T.; Hong, S.J.; Cho, Y.S.; Park, J.; Lee, T.H. Esophageal Involvement and Determinants of Perception of Esophageal Symptoms Among South Koreans With Systemic Sclerosis. J. Neurogastroenterol. Motil. 2020, 26, 477–485. [Google Scholar] [CrossRef] [PubMed]
- Bhalla, M.; Silver, R.M.; Shepard, J.A.; McLoud, T.C. Chest CT in patients with scleroderma: Prevalence of asymptomatic esophageal dilatation and mediastinal lymphadenopathy. AJR Am. J. Roentgenol. 1993, 161, 269–272. [Google Scholar] [CrossRef]
- Pandey, A.K.; Wilcox, P.; Mayo, J.R.; Moss, R.; Ellis, J.; Brown, J.; Kavishwar, A.; Leipsic, J. Oesophageal dilatation on high-resolution CT chest in systemic sclerosis: What does it signify? J. Med. Imaging Radiat. Oncol. 2011, 55, 551–555. [Google Scholar] [CrossRef]
- Pitrez, E.H.; Bredemeier, M.; Xavier, R.M.; Capobianco, K.G.; Restelli, V.G.; Vieira, M.V.; Ludwig, D.H.; Brenol, J.C.; Furtado, A.P.; Fonseca, L.M.; et al. Oesophageal dysmotility in systemic sclerosis: Comparison of HRCT and scintigraphy. Br. J. Radiol. 2006, 79, 719–724. [Google Scholar] [CrossRef]
- Vonk, M.C.; van Die, C.E.; Snoeren, M.M.; Bhansing, K.J.; van Riel, P.L.; Fransen, J.; van den Hoogen, F.H. Oesophageal dilatation on high-resolution computed tomography scan of the lungs as a sign of scleroderma. Ann. Rheum. Dis. 2008, 67, 1317–1321. [Google Scholar] [CrossRef]
- Karamanolis, G.P.; Denaxas, K.; Panopoulos, S.; Bournia, K.V.; Zorbala, A.; Kamberoglou, D.; Schizas, D.; Ladas, S.D.; Sfikakis, P.P. Severe oesophageal disease and its associations with systemic sclerosis. Clin. Exp. Rheumatol. 2017, 35 (Suppl. 106), 82–85. [Google Scholar]
- van den Hoogen, F.; Khanna, D.; Fransen, J.; Johnson, S.R.; Baron, M.; Tyndall, A.; Matucci-Cerinic, M.; Naden, R.P.; Medsger, T.A., Jr.; Carreira, P.E.; et al. 2013 classification criteria for systemic sclerosis: An American college of rheumatology/European league against rheumatism collaborative initiative. Ann. Rheum. Dis. 2013, 72, 1747–1755. [Google Scholar] [CrossRef] [PubMed]
- LeRoy, E.C.; Black, C.; Fleischmajer, R.; Jablonska, S.; Krieg, T.; Medsger, T.A., Jr.; Rowell, N.; Wollheim, F. Scleroderma (systemic sclerosis): Classification, subsets and pathogenesis. J. Rheumatol. 1988, 15, 202–205. [Google Scholar] [PubMed]
- Emmanuel, A. Current management of the gastrointestinal complications of systemic sclerosis. Nat. Rev. Gastroenterol. Hepatol. 2016, 13, 461–472. [Google Scholar] [CrossRef] [PubMed]
- Forbes, A.; Marie, I. Gastrointestinal complications: The most frequent internal complications of systemic sclerosis. Rheumatology 2009, 48 (Suppl. 3), iii36–iii39. [Google Scholar] [CrossRef] [PubMed]
- Bruni, C.; De Luca, G.; Lazzaroni, M.G.; Zanatta, E.; Lepri, G.; Airo, P.; Dagna, L.; Doria, A.; Matucci-Cerinic, M. Screening for pulmonary arterial hypertension in systemic sclerosis: A systematic literature review. Eur. J. Intern. Med. 2020, 78, 17–25. [Google Scholar] [CrossRef]
- Richardson, C.; Agrawal, R.; Lee, J.; Almagor, O.; Nelson, R.; Varga, J.; Cuttica, M.J.; Dematte, J.D.; Chang, R.W.; Hinchcliff, M.E. Esophageal dilatation and interstitial lung disease in systemic sclerosis: A cross-sectional study. Semin. Arthritis Rheum. 2016, 46, 109–114. [Google Scholar] [CrossRef]
- Kahrilas, P.J.; Bredenoord, A.J.; Fox, M.; Gyawali, C.P.; Roman, S.; Smout, A.J.; Pandolfino, J.E.; International High Resolution Manometry Working, G. The Chicago Classification of esophageal motility disorders, v3.0. Neurogastroenterol. Motil. 2015, 27, 160–174. [Google Scholar] [CrossRef]
- Collins, G.S.; Reitsma, J.B.; Altman, D.G.; Moons, K.G. Transparent Reporting of a multivariable prediction model for Individual Prognosis Or Diagnosis (TRIPOD). Ann. Intern. Med. 2015, 162, 735–736. [Google Scholar] [CrossRef]
- Vischio, J.; Saeed, F.; Karimeddini, M.; Mubashir, A.; Feinn, R.; Caldito, G.; Striegel, K.; Rothfield, N. Progression of esophageal dysmotility in systemic sclerosis. J. Rheumatol. 2012, 39, 986–991. [Google Scholar] [CrossRef]
- Panopoulos, S.; Bournia, V.K.; Konstantonis, G.; Fragiadaki, K.; Sfikakis, P.P.; Tektonidou, M.G. Predictors of morbidity and mortality in early systemic sclerosis: Long-term follow-up data from a single-centre inception cohort. Autoimmun. Rev. 2018, 17, 816–820. [Google Scholar] [CrossRef]
- Carnevale, A.; Silva, M.; Maietti, E.; Milanese, G.; Saracco, M.; Parisi, S.; Bravi, E.; De Gennaro, F.; Arrigoni, E.; Bodini, F.C.; et al. Longitudinal change during follow-up of systemic sclerosis: Correlation between high-resolution computed tomography and pulmonary function tests. Clin. Rheumatol. 2021, 40, 213–219. [Google Scholar] [CrossRef] [PubMed]
- Ruaro, B.; Baratella, E.; Confalonieri, P.; Wade, B.; Marrocchio, C.; Geri, P.; Busca, A.; Pozzan, R.; Andrisano, A.G.; Cova, M.A.; et al. High-Resolution Computed Tomography: Lights and Shadows in Improving Care for SSc-ILD Patients. Diagnostics 2021, 11, 1960. [Google Scholar] [CrossRef] [PubMed]
- Takekoshi, D.; Arami, S.; Sheppard, T.J.; Cole-Saffold, P.; Michel, J.C.; Kondos, G.T.; Schraufnagel, D.E. Computed Tomography of the Esophagus in Scleroderma and Lung Disease. Tohoku J. Exp. Med. 2015, 237, 345–352. [Google Scholar] [CrossRef] [PubMed]
- Salaffi, F.; Di Carlo, M.; Carotti, M.; Fraticelli, P.; Gabrielli, A.; Giovagnoni, A. Relationship between interstitial lung disease and oesophageal dilatation on chest high-resolution computed tomography in patients with systemic sclerosis: A cross-sectional study. Radiol. Med. 2018, 123, 655–663. [Google Scholar] [CrossRef]
- Figueiredo, A.; Costa, J.F.; Matos, A.P.; Ramalho, M. Esophageal Dilatation as a Predictor of Systemic Sclerosis in Patients with Interstitial Lung Disease. Turk. Thorac. J. 2021, 22, 231–236. [Google Scholar] [CrossRef]
- Wangkaew, S.; Losuriya, P.; Euathrongchit, J. Worsening of esophageal dilatation is associated with increase in a high-resolution computed tomography (HRCT) score in early systemic sclerosis-associated interstitial lung disease (SSc-ILD). Clin. Rheumatol. 2021, 40, 955–963. [Google Scholar] [CrossRef]






| Total (n = 75) | Normal Esophageal Motility (n = 14) | Esophageal Dysmotility (n = 61) | p Value | |
|---|---|---|---|---|
| Age, mean (S.D.) | 53.0 (13.9) | 50.6 (11.7) | 53.0 (14.3) | 0.237 |
| Female, n (%) | 68 (90.7) | 13 (92.9) | 55 (90.2) | >0.999 |
| BMI, median kg/m2 | 22.1 (19.7, 24.2) | 24.8 (20.3, 26.8) | 21.6 (19.5, 23.5) | 0.076 |
| Disease duration, median years, | 3.5 (1.0, 7.8) | 0.70 (0.24, 4.0) | 4.0 (1.25, 8.0) | 0.003 ** |
| Diffuse SSc, n (%) | 24 (32.0) | 3 (21.4) | 21 (34.4) | 0.534 |
| Raynaud’s phenomenon, n (%) | 71 (94.7) | 14 (100) | 57 (93.4) | >0.999 a |
| Telangiectasia, n (%) | 25 (33.3) | 2 (14.3) | 23 (37.7) | 0.173 |
| Digital ulcers, n (%) | 25 (33.3) | 1 (7.1) | 24 (39.3) | 0.047 * |
| Esophageal symptoms, n (%) | 43 (57.3) | 5 (35.7) | 38 (62.3) | 0.070 |
| ILD, n (%) | 58 (77.3) | 8 (57.1) | 50 (82.0) | 0.045 * |
| PAH, n (%) | 14 (18.7) | 0 (0) | 14 (23.0) | 0.059 a |
| Prior medications | ||||
| Prednisone, n (%) | 32 (42.7) | 4 (28.6) | 28 (45.9) | 0.377 |
| PPIs, n (%) | 14 (18.7) | 1 (7.1) | 13 (21.3) | 0.397 |
| prokinetic drugs, n (%) | 4 (5.3) | 0 (0) | 4 (6.6) | >0.999 a |
| Laboratory features | ||||
| Anti-scl70, n (%) | 30 (40.0) | 5 (35.7) | 27 (44.3) | 0.560 |
| Anti-centromere, n (%) | 18 (24.0) | 4 (28.6) | 15 (24.6) | >0.999 |
| Anemia, n (%) | 19 (25.3) | 1 (7.1) | 18 (29.5) | 0.163 |
| Hypoalbuminemia, n (%) | 51 (68.0) | 9 (64.3) | 42 (68.9) | 0.741 |
| Predictors | β Coefficient | Odds Ratio (95% CI) | p |
|---|---|---|---|
| Disease duration | 0.182 | 1.199 (0.950, 1.681) | 0.227 |
| ILD | 0.372 | 1.450 (0.159, 42.73) | 0.680 |
| WED | 0.376 | 1.457 (1.206, 1.948) | <0.001 |
Publisher’s Note: MDPI stays neutral with regard to jurisdictional claims in published maps and institutional affiliations. |
© 2022 by the authors. Licensee MDPI, Basel, Switzerland. This article is an open access article distributed under the terms and conditions of the Creative Commons Attribution (CC BY) license (https://creativecommons.org/licenses/by/4.0/).
Share and Cite
Liu, P.; Chai, J.; Dai, L.; Chen, B.; Zhao, J.; Lu, M.; Zeng, L.; Xia, Z.; Mu, R. Development of a Diagnostic Model Focusing on Esophageal Dysmotility in Patients with Systemic Sclerosis. Diagnostics 2022, 12, 3142. https://doi.org/10.3390/diagnostics12123142
Liu P, Chai J, Dai L, Chen B, Zhao J, Lu M, Zeng L, Xia Z, Mu R. Development of a Diagnostic Model Focusing on Esophageal Dysmotility in Patients with Systemic Sclerosis. Diagnostics. 2022; 12(12):3142. https://doi.org/10.3390/diagnostics12123142
Chicago/Turabian StyleLiu, Peiling, Jing Chai, Liyi Dai, Beidi Chen, Jinxia Zhao, Ming Lu, Lin Zeng, Zhiwei Xia, and Rong Mu. 2022. "Development of a Diagnostic Model Focusing on Esophageal Dysmotility in Patients with Systemic Sclerosis" Diagnostics 12, no. 12: 3142. https://doi.org/10.3390/diagnostics12123142
APA StyleLiu, P., Chai, J., Dai, L., Chen, B., Zhao, J., Lu, M., Zeng, L., Xia, Z., & Mu, R. (2022). Development of a Diagnostic Model Focusing on Esophageal Dysmotility in Patients with Systemic Sclerosis. Diagnostics, 12(12), 3142. https://doi.org/10.3390/diagnostics12123142

