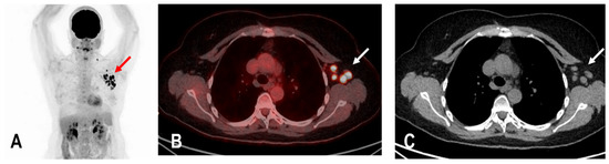
Hypermetabolic Ipsilateral Supraclavicular and Axillary Lymphadenopathy: Optimal Time Point for Performing an 18F-FDG PET/CT after COVID-19 Vaccination
Abstract
1. Introduction
- Evaluate the incidence of SARS-CoV2 vaccine-related axillary and supraclavicular HLA.
- Evaluate which time point produces the least number of false-positive findings. HLA is expected to present with an intensive 18F-FDG uptake shortly after vaccination but decreases significantly after a certain time point.
2. Materials and Methods
2.1. Study Design and Patient Selection
2.2. Patient Preparation and PET/CT Acquisition
2.3. Image Interpretation
2.4. Statistical Analysis
3. Results
3.1. Baseline Characteristics
3.2. Evaluation of Absolute SUVmax HLA
3.3. Evaluation of rHLA/MBP
3.4. Evaluation of rHLA/RL
3.5. Incidence of HLA According to Groups
3.6. Evaluation of Vaccination Sequence
4. Discussion
Author Contributions
Funding
Institutional Review Board Statement
Informed Consent Statement
Data Availability Statement
Acknowledgments
Conflicts of Interest
References
- World Health Organisation. Global COVID-19 Vaccination Strategy in a Changing World; World Health Organisation: Geneva, Switzerland, 2022.
- Kubota, K.; Saginoya, T.; Ishiwata, K.; Nakasato, T.; Munechika, H. [18F]FDG Uptake in Axillary Lymph Nodes and Deltoid Muscle after COVID-19 MRNA Vaccination: A Cohort Study to Determine Incidence and Contributing Factors Using a Multivariate Analysis. Ann. Nucl. Med. 2022, 36, 340–350. [Google Scholar] [CrossRef] [PubMed]
- Cellina, M.; Irmici, G.; Carrafiello, G. Unilateral Axillary Lymphadenopathy after Coronavirus Disease (COVID-19) Vaccination. Am. J. Roentgenol. 2021, 216, W27. [Google Scholar] [CrossRef] [PubMed]
- Cohen, D.; Hazut Krauthammer, S.; Cohen, Y.C.; Perry, C.; Avivi, I.; Herishanu, Y.; Even-Sapir, E. Correlation between BNT162b2 MRNA COVID-19 Vaccine-Associated Hypermetabolic Lymphadenopathy and Humoral Immunity in Patients with Hematologic Malignancy. Eur. J. Nucl. Med. Mol. Imaging 2021, 48, 3540–3549. [Google Scholar] [CrossRef]
- Mcintosh, L.J.; Bankier, A.A.; Vijayaraghavan, G.R.; Licho, R.; Rosen, M.P. COVID-19 Vaccination-Related Uptake on FDG PET/CT: An Emerging Dilemma and Suggestions for Management. Am. J. Roentgenol. 2021, 217, 975–983. [Google Scholar] [CrossRef]
- Skawran, S.; Gennari, A.G.; Dittli, M.; Treyer, V.; Muehlematter, U.J.; Maurer, A.; Burger, I.A.; Mader, C.; Messerli, O.; Grünig, H.; et al. [18F]FDG Uptake of Axillary Lymph Nodes after COVID-19 Vaccination in Oncological PET/CT: Frequency, Intensity, and Potential Clinical Impact. Eur. Radiol. 2022, 32, 508–516. [Google Scholar] [CrossRef]
- Mortazavi, S. COVID-19 Vaccination-Associated Axillary Adenopathy: Imaging Findings and Follow-up Recommendations in 23 Women. Am. J. Roentgenol. 2021, 217, 857–858. [Google Scholar] [CrossRef]
- Polack, F.P.; Thomas, S.J.; Kitchin, N.; Absalon, J.; Gurtman, A.; Lockhart, S.; Perez, J.L.; Pérez Marc, G.; Moreira, E.D.; Zerbini, C.; et al. Safety and Efficacy of the BNT162b2 MRNA COVID-19 Vaccine. N. Engl. J. Med. 2020, 383, 2603–2615. [Google Scholar] [CrossRef]
- Minamimoto, R.; Kiyomatsu, T. Effects of COVID-19 Vaccination on FDG-PET/CT Imaging: A Literature Review. Glob. Health Med. 2021, 3, 129–133. [Google Scholar] [CrossRef]
- Treglia, G.; Cuzzocrea, M.; Giovanella, L.; Elzi, L.; Muoio, B. Prevalence and Significance of Hypermetabolic Lymph Nodes Detected by 2-[18F]FDG PET/CT after COVID-19 Vaccination: A Systematic Review and a Meta-Analysis. Pharmaceuticals 2021, 14, 762. [Google Scholar] [CrossRef]
- Panagiotidis, E.; Exarhos, D.; Housianakou, I.; Bournazos, A.; Datseris, I. FDG Uptake in Axillary Lymph Nodes after Vaccination against Pandemic (H1N1). Eur. Radiol. 2010, 20, 1251–1253. [Google Scholar] [CrossRef]
- Thomassen, A.; Lerberg Nielsen, A.; Gerke, O.; Johansen, A.; Petersen, H. Duration of 18F-FDG Avidity in Lymph Nodes after Pandemic H1N1v and Seasonal Influenza Vaccination. Eur. J. Nucl. Med. Mol. Imaging 2011, 38, 894–898. [Google Scholar] [CrossRef]
- Burger, I.A.; Husmann, L.; Hany, T.F.; Schmid, D.T.; Schaefer, N.G. Incidence and Intensity of F-18 FDG Uptake after Vaccination with H1N1 Vaccine. Clin. Nucl. Med. 2011, 36, 848–853. [Google Scholar] [CrossRef] [PubMed]
- Shirone, N.; Shinkai, T.; Yamane, T.; Uto, F.; Yoshimura, H.; Tamai, H.; Imai, T.; Inoue, M.; Kitano, S.; Kichikawa, K.; et al. Axillary Lymph Node Accumulation on FDG-PET/CT after Influenza Vaccination. Ann. Nucl. Med. 2012, 26, 248–252. [Google Scholar] [CrossRef] [PubMed]
- Kutluturk, K.; Simsek, A.; Comak, A.; Gonultas, F.; Unal, B.; Kekilli, E. Factors Affecting the Accuracy of 18F-FDG PET/CT in Evaluating Axillary Metastases in Invasive Breast Cancer. Niger. J. Clin. Pract. 2019, 22, 63–68. [Google Scholar] [CrossRef]
- Mingos, M.; Howard, S.; Giacalone, N.; Kozono, D.; Jacene, H. Systemic Immune Response to Vaccination on FDG-PET/CT. Nucl. Med. Mol. Imaging (2010) 2016, 50, 358–361. [Google Scholar] [CrossRef][Green Version]
- Eshet, Y.; Tau, N.; Alhoubani, Y.; Kanana, N.; Domachevsky, L.; Eifer, M. Prevalence of Increased Fdg Pet/Ct Axillary Lymph Node Uptake beyond 6 Weeks after Mrna COVID-19 Vaccination. Radiology 2021, 300, E345–E347. [Google Scholar] [CrossRef]
- Cohen, D.; Hazut Krauthammer, S.; Wolf, I.; Even-Sapir, E. A Sigh of Relief: Vaccine-Associated Hypermetabolic Lymphadenopathy Following the Third COVID-19 Vaccine Dose Is Short in Duration and Uncommonly Interferes with the Interpretation of [18F]FDG PET-CT Studies Performed in Oncologic Patients. Eur. J. Nucl. Med. Mol. Imaging 2022, 49, 1338–1344. [Google Scholar] [CrossRef]
- Özütemiz, C.; Krystosek, L.A.; Church, A.L.; Chauhan, A.; Ellermann, J.M.; Domingo-Musibay, E.; Steinberger, D. Lymphadenopathy in COVID-19 Vaccine Recipients: Diagnostic Dilemma in Oncologic Patients. Radiology 2021, 300, E290–E294. [Google Scholar] [CrossRef]
- Ha, S.M.; Chu, A.J.; Lee, J.; Kim, S.-Y.; Lee, S.H.; Yoen, H.; Cho, N.; Moon, W.K.; Chang, J.M. US Evaluation of Axillary Lymphadenopathy Following COVID-19 Vaccination: A Prospective Longitudinal Study. Radiology 2022, 305, 46–53. [Google Scholar] [CrossRef]
- Chi, W.Y.; Li, Y.; Huang, H.C.; Chan, T.E.H.; Chow, S.Y.; Su, J.H.; Ferrall, L.; Hung, C.F.; Wu, T.C. COVID-19 Vaccine Update: Vaccine Effectiveness, SARS-CoV-2 Variants, Boosters, Adverse Effects, and Immune Correlates of Protection. J. Biomed. Sci. 2022, 29, 82. [Google Scholar] [CrossRef]
- Federico, M. Biological and Immune Responses to Current Anti-SARS-CoV-2 MRNA Vaccines beyond Anti-Spike Antibody Production. J. Immunol. Res. 2022, 2022, 4028577. [Google Scholar] [CrossRef] [PubMed]
- Ogata, A.F.; Cheng, C.-A.; Desjardins, M.; Senussi, Y.; Sherman, A.C.; Powell, M.; Novack, L.; Von, S.; Li, X.; Baden, L.R.; et al. Circulating Severe Acute Respiratory Syndrome Coronavirus 2 (SARS-CoV-2) Vaccine Antigen Detected in the Plasma of MRNA-1273 Vaccine Recipients. Clin. Infect. Dis. 2022, 74, 715–718. [Google Scholar] [CrossRef] [PubMed]
- Lam, D.L.; Flanagan, M.R. Axillary Lymphadenopathy after COVID-19 Vaccination in a Woman with Breast Cancer. JAMA J. Am. Med. Assoc. 2022, 327, 175–176. [Google Scholar] [CrossRef] [PubMed]
- Dalle Carbonare, L.; Valenti, M.T.; Bisoffi, Z.; Piubelli, C.; Pizzato, M.; Accordini, S.; Mariotto, S.; Ferrari, S.; Minoia, A.; Bertacco, J.; et al. Serology Study after BTN162b2 Vaccination in Participants Previously Infected with SARS-CoV-2 in Two Different Waves versus Naïve. Commun. Med. 2021, 1, 1–11. [Google Scholar] [CrossRef] [PubMed]
- Cohen, D.; Krauthammer, S.H.; Wolf, I.; Even-Sapir, E. Hypermetabolic Lymphadenopathy Following Administration of BNT162b2 MRNA COVID-19 Vaccine: Incidence Assessed by [18F]FDG PET-CT and Relevance to Study Interpretation. Eur. J. Nucl. Med. Mol. Imaging 2021, 48, 1854–1863. [Google Scholar] [CrossRef]
- Eifer, M.; Tau, N.; Alhoubani, Y.; Kanana, N.; Domachevsky, L.; Shams, J.; Keret, N.; Gorfine, M.; Eshet, Y. COVID-19 MRNA Vaccination: Age and Immune Status and Its Association with Axillary Lymph Node PET/CT Uptake. J. Nucl. Med. 2022, 63, 134–139. [Google Scholar] [CrossRef]
- Boyarsky, B.J.; Werbel, W.A.; Avery, R.K.; Tobian, A.A.R.; Massie, A.B.; Segev, D.L.; Garonzik-Wang, J.M. Immunogenicity of a Single Dose of SARS-CoV-2 Messenger RNA Vaccine in Solid Organ Transplant Recipients. JAMA J. Am. Med. Assoc. 2021, 325, 1784–1786. [Google Scholar] [CrossRef]
- Monin-Aldama, L.; Laing, A.G.; McKenzie, D.R.; del Molino del Barrio, I.; Alaguthurai, T.; Domingo-Vila, C.; Hayday, T.S.; Graham, C.; Seow, J.; Abdul-Jawad, S.; et al. Interim Results of the Safety and Immune-Efficacy of 1 versus 2 Doses of COVID-19 Vaccine BNT162b2 for Cancer Patients in the Context of the UK Vaccine Priority Guidelines. medRxiv 2021, 2021.03.17.21253131. [Google Scholar] [CrossRef]
- Sonani, B.; Aslam, F.; Goyal, A.; Patel, J.; Bansal, P. COVID-19 Vaccination in Immunocompromised Patients. Clin. Rheumatol. 2021, 40, 797–798. [Google Scholar] [CrossRef]
- CDC Moderna COVID-19 Vaccine’s Reactions and Adverse Events. Available online: https://www.cdc.gov/vaccines/covid-19/info-by-product/moderna/reactogenicity.html (accessed on 29 August 2022).





| Demographic Characteristics | ||
|---|---|---|
| mean age + SD (y) | 66.39 ± 12.9 | |
| female | 72 (49%) | |
| male | 74 (51%) | |
| purpose of FDG PET/CT | ||
| staging | 91 (62%) | |
| re-staging | 53 (36%) | |
| non-oncological indication | 2 (1%) | |
| site of vaccination | ||
| left | 120 (82%) | |
| right | 26 (18%) | |
| Clinical diagnosis | ||
| anal carcinoma | 4 | (2.7%) |
| appendix carcinoma | 1 | (0.7%) |
| breast carcinoma | 21 | (14.4%) |
| cholangiocarcinoma | 2 | (1.4%) |
| chronic lymphocytic leukemia | 1 | (0.7%) |
| colon carcinoma | 10 | (6.8%) |
| cancer of unknown primary | 5 | (3.4%) |
| esophageal carcinoma | 12 | (8.2%) |
| gastric carcinoma | 11 | (7.5%) |
| urothelial carcinoma | 1 | (0.7%) |
| hepatocellular carcinoma | 1 | (0.7%) |
| hypopharyngeal carcinoma | 1 | (0.7%) |
| infection | 2 | (1.4%) |
| lung carcinoma | 30 | (20.5%) |
| lymphoma | 25 | (17.1%) |
| melanoma | 3 | (2.1%) |
| myeloma | 1 | (0.7%) |
| pancreatic carcinoma | 6 | (4.1%) |
| rectal carcinoma | 6 | (4.1%) |
| pulmonary nodule | 1 | (0.7%) |
| thyroid carcinoma | 1 | (0.7%) |
| uterine carcinoma | 1 | (0.7%) |
| Group | Group 1 (0–6 Days) | Group 2 (7–13 Days) | Group 3 (14–20 Days) | Group 4 (21–27 Days) | Group 5 (28–34 Days) | Group 6 (35–80 Days) | Overall (0–80 Days) | p-Value |
|---|---|---|---|---|---|---|---|---|
| no. of patients | 23 | 32 | 21 | 19 | 15 | 36 | 146 | |
| SUVmax HLA | 4.97 ± 4.1 | 3.9 ± 2.81 | 5.05 ± 4.33 | 2.25 ± 1.85 | 1.9 ± 1.17 | 2.02 ± 1.74 | 3.35 ± 3.13 | <0.001 |
| ratio HLA vs. MBP (rHLA/MBP) | 2.58 ± 2.1 | 1.83 ± 1.38 | 2.32 ± 1.8 | 1.07 ± 0.95 | 0.88 ± 0.56 | 0.87 ± 0.76 | 1.59 ± 1.49 | <0.001 |
| ratio HLA vs. RL (rHLA/RL) | 5.5 ± 4.82 | 5.41 ± 5.73 | 6.11 ± 5.99 | 3.17 ± 3.74 | 2.25 ± 2.33 | 2.4 ± 2.02 | 4.17 ± 4.6 | <0.001 |
| Groups 1–3 (0–20 Days) | Groups 4–6 (21–80 Days) | p-Value | |
|---|---|---|---|
| no. of patients | 76 | 70 | |
| SUVmax HLA | 4.54 ± 3.68 | 2.06 ± 1.65 | <0.001 |
| ratio HLA vs. MBP (rHLA/MBP) | 2.19 ± 1.74 | 0.94 ± 0.77 | <0.001 |
| ratio HLA vs. RL (rHLA/RL) | 5.63 ± 5.48 | 2.59 ± 2.64 | <0.001 |
| Incidence | ||||
|---|---|---|---|---|
| Present | Absent | |||
| Days after Vaccination (Groups) | N | Row % | N | Row % |
| group 1 (0–6 days) | 16 | 69.6% | 7 | 30.4% |
| group 2 (7–13 days) | 14 | 43.8% | 18 | 56.2% |
| group 3 (14–20 days) | 12 | 57.1% | 9 | 42.9% |
| group 4 (21–27 days) | 4 | 21.1% | 15 | 78.9% |
| group 5 (28–34 days) | 4 | 26.7% | 11 | 73.3% |
| group 6 (35–80 days) | 4 | 11.1% | 32 | 88.9% |
| overall (0–80 days) | 54 | 37% | 92 | 63% |
| Group 1 (0–6 Days) (n = 23) | First Shot | Second Shot | Third Shot | p-Value |
|---|---|---|---|---|
| incidence | 3/6 (50%) | 4/5 (80%) | 9/12 (75%) | |
| SUVmax HLA | 5.53 ± 2.47 | 6.75 ± 4.81 | 3.95 ± 2.75 | 0.42 |
| rHLA/MBP | 2.65 ± 2.47 | 3.29 ± 2.71 | 2.24 ± 1.67 | 0.65 |
| rHLA/RL | 4.82 ± 4.92 | 8.37 ± 6.90 | 4.64 ± 3.62 | 0.33 |
| Group 2 (7–13 days) (n = 32) | First shot | Second shot | Third shot | |
| incidence | 3/4 (75%) | 10/19 (53%) | 1/9 (11%) | |
| SUVmax HLA | 4.83 ± 3.74 | 4.46 ± 2.90 | 2.29 ± 1.57 | 0.13 |
| rHLA/MBP | 2.26 ± 1.65 | 2.12 ± 1.46 | 1.03 ± 0.77 | 0.13 |
| rHLA/RL | 7.70 ± 5.45 | 6.29 ± 6.65 | 2.54 ± 1.71 | 0.19 |
| Group 3 (14–20 days) (n = 21) | First shot | Second shot | Third shot | |
| incidence | 9/14 (64%) | 3/5 (60%) | 0/2 (0%) | |
| SUVmax HLA | 5.50 ± 4.89 | 4.31 ± 3.67 | 3.7 ± 1.69 | 0.8 |
| rHLA/MBP | 2.56 ± 2.02 | 1.79 ± 1.45 | 1.95 ± 0.77 | 0.7 |
| rHLA/RL | 6.67 ± 7.12 | 4.81 ± 3.21 | 5.44 ± 2.34 | 0.84 |
| Group 4 (21–27 days) (n = 19) | First shot | Second shot | Third shot | |
| incidence | 1/8 (13%) | 3/8 (38%) | 0/3 (0%) | |
| SUVmax HLA | 2.23 ± 2.08 | 2.72 ± 1.86 | 1.04 ± 0.58 | 0.43 |
| rHLA/MBP | 0.95 ± 0.79 | 1.46 ± 1.13 | 0.38 ± 0.23 | 0.23 |
| rHLA/RL | 2.77 ± 2.84 | 4.17 ± 5.04 | 1.60 ± 0.53 | 0.58 |
| Group 5 (28–34 days) (n = 15) | First shot | Second shot | Third shot | |
| incidence | 1/4 (25%) | 3/8 (38%) | 0/3 (0%) | |
| SUVmax HLA | 1.45 ± 1.21 | 2.49 ± 1.08 | 1.1 ± 0.78 | 0.13 |
| rHLA/MBP | 0.62 ± 0.55 | 1.15 ± 0.55 | 0.52 ± 0.34 | 0.14 |
| rHLA/RL | 2.66 ± 1.03 | 2.77 ± 3.02 | 0.81 ± 0.21 | 0.47 |
| Group 6 (35–80 days) (n = 36) | First shot | Second shot | Third shot | |
| incidence | 0/1 (0%) | 4/24 (14%) | 0/11 (0%) | |
| SUVmax HLA | N/A | 2.17 ± 1.92 | 1.31 ± 0.66 | 0.48 |
| rHLA/MBP | N/A | 0.96 ± 0.83 | 0.61 ± 0.32 | 0.56 |
| rHLA/RL | N/A | 2.58 ± 2.22 | 1.59 ± 0.83 | 0.52 |
| Overall (0–80 days) (n = 146) | First shot | Second shot | Third shot | |
| incidence | 17/37 (46%) | 27/73 (37%) | 10/36 (27%) | |
| SUVmax HLA | 4.21 ± 4.25 | 3.32 ± 2.79 | 2.53 ± 2.14 | 0.07 |
| rHLA/MBP | 1.94 ± 1.84 | 1.55 ± 1.39 | 1.30 ± 1.27 | 0.18 |
| rHLA/RL | 5.08 ± 5.44 | 4.29 ± 4.80 | 2.99 ± 2.71 | 0.14 |
Publisher’s Note: MDPI stays neutral with regard to jurisdictional claims in published maps and institutional affiliations. |
© 2022 by the authors. Licensee MDPI, Basel, Switzerland. This article is an open access article distributed under the terms and conditions of the Creative Commons Attribution (CC BY) license (https://creativecommons.org/licenses/by/4.0/).
Share and Cite
Antwi, K.; Caobelli, F.; Kudura, K.; Buchholz, H.-G.; Hoffmann, M.; Schreckenberger, M. Hypermetabolic Ipsilateral Supraclavicular and Axillary Lymphadenopathy: Optimal Time Point for Performing an 18F-FDG PET/CT after COVID-19 Vaccination. Diagnostics 2022, 12, 3073. https://doi.org/10.3390/diagnostics12123073
Antwi K, Caobelli F, Kudura K, Buchholz H-G, Hoffmann M, Schreckenberger M. Hypermetabolic Ipsilateral Supraclavicular and Axillary Lymphadenopathy: Optimal Time Point for Performing an 18F-FDG PET/CT after COVID-19 Vaccination. Diagnostics. 2022; 12(12):3073. https://doi.org/10.3390/diagnostics12123073
Chicago/Turabian StyleAntwi, Kwadwo, Federico Caobelli, Ken Kudura, Hans-Georg Buchholz, Martin Hoffmann, and Mathias Schreckenberger. 2022. "Hypermetabolic Ipsilateral Supraclavicular and Axillary Lymphadenopathy: Optimal Time Point for Performing an 18F-FDG PET/CT after COVID-19 Vaccination" Diagnostics 12, no. 12: 3073. https://doi.org/10.3390/diagnostics12123073
APA StyleAntwi, K., Caobelli, F., Kudura, K., Buchholz, H.-G., Hoffmann, M., & Schreckenberger, M. (2022). Hypermetabolic Ipsilateral Supraclavicular and Axillary Lymphadenopathy: Optimal Time Point for Performing an 18F-FDG PET/CT after COVID-19 Vaccination. Diagnostics, 12(12), 3073. https://doi.org/10.3390/diagnostics12123073
