You are currently viewing a new version of our website. To view the old version click .
Diagnostics
  • Interesting Images
  • Open Access

13 October 2022

Septic Pulmonary Emboli Detected by 18F-FDG PET/CT in a Patient with Central Venous Catheter-Related Staphylococcus aureus Bacteremia

and
Department of Nuclear Medicine, VHS Medical Center, Seoul 05368, Korea
*
Author to whom correspondence should be addressed.
This article belongs to the Section Medical Imaging and Theranostics

Abstract

We describe a case of 18F-FDG PET/CT detecting septic pulmonary emboli in a patient with Staphylococcus aureus catheter-related bloodstream infection (CRBSI). The patient, who had an implantable venous access port for chemotherapy, underwent 18F-FDG PET/CT to diagnose unsuspected infectious foci. The PET/CT examination made it possible to offer a suggestive diagnosis and yielded metastatic infectious foci.
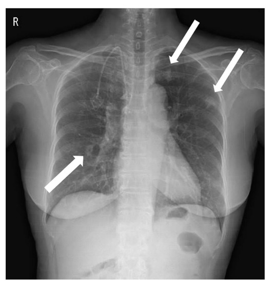
Figure 1. A chest X-ray was performed at admission, showing scattered nodular opacities in the left lung upper lobe and right lung lower lobe, which indicated a central area of excavation (arrows). 18F-fluorodeoxyglucose positron emission tomography/computed tomography (18F-FDG PET/CT) has increasingly been used to manage cancers and infections [1,2,3]. Since FDG uptake is directly representative of glucose metabolism, it can increase in inflammatory cells as well as tumor cells. Long-term indwelling central venous catheters are necessary for treating cancer patients due to chemotherapy. They depend on their central venous catheters daily, which could predispose a significant risk of complications such as catheter-related bloodstream infection (CRBSI) [4,5,6]. CRBSI can be complicated by metastatic infectious foci associated with a high morbidity and mortality rate, which should require prolonged systemic antimicrobial treatment [7]. The significant complication of CRBSI is septic thrombosis, with a prevalence of 15~24% [8,9]. The clinical diagnosis of septic foci is critical but may be difficult to establish due to the challenge of determining between sterile catheter-related thrombosis and actual septic thrombosis. Additionally, symptoms are often non-specific, and there is a lack of sensitivity to conventional diagnostic imaging techniques. Only a few studies investigated that 18F-FDG PET/CT can find the infectious foci, demonstrating it as an accurate imaging modality for metastatic foci [10,11,12]. Here, we would like to report a female patient with a Staphylococcus aureus-implantable venous access catheter infection in which 18F-FDG PET/CT determined unsuspected septic pulmonary emboli. A 71-year-old female patient with known ovarian cancer visited our hospital to receive the 4th adjuvant chemotherapy. She was treated with total abdominal hysterectomy, bilateral salpingo-oophrectomy and omentectomy 6 months ago. She also had a history of central venous catheterization by the right internal jugular vein approach, terminating at the junction of the superior vena cava and right atrium. The adjuvant chemotherapy was already performed three times as the regimen of Paclitaxel plus Carboplatine after surgery. At admission, she presented no clinical symptoms such as fever, cough, sputum, dyspnea, or chest pain. However, the chest X-ray showed scattered nodular opacities in the left lung upper lobe and right lung lower lobe, suspicious of metastatic nodules (Figure 1). Her blood test showed unexplained leukocytosis (12.58 × 103/μL), elevated D-dimer (9.46 mg/L), and a tumor marker such as CA-125 (41.89 U/mL). 18F-FDG PET/CT was performed 2 days after admission, observing abnormal FDG uptake in the chemo-port catheter, right pectoralis muscle, and 1st costochondral junction (Figure 2a–d). PET/CT also revealed hypermetabolic nodules scattered throughout both lungs, consistent with septic embolism (Figure 2e). In the evening of the day of the PET/CT examination, the patient presented swelling, redness, and some discomfort at the catheter insertion site. The catheter was removed the next day, isolating methicillin-sensitive Staphylococcus aureus from the catheter tip and peripheral vein. A transthoracic echocardiogram and fundus examination, which were performed to evaluate possible metastatic infections such as infective endocarditis or endophthalmitis, were reported as normal. She was treated with intravenous cefazolin for 4 weeks followed by oral linezolid for 1 week, recovering uneventfully without relapse. She was also treated with rivaroxaban 15 mg for 3 weeks and was diagnosed with pulmonary thromboembolism. After 2 months, a follow-up chest CT showed that the pre-existing multiple nodules in both lungs had disappeared (Figure 3).
Figure 2. 18F-FDG PET/CT images (a) showed abnormal FDG uptake in the chemo-port catheter (b), right pectoralis muscle (c), and the anterior thoracic wall around the first costochondral junction, consistent with an inflammatory/infectious process (d). Lung window setting image, showing multiple cavitating hypermetabolic nodules in both lungs consistent with septic pulmonary emboli (e). According to these findings, the patient was suspected of having catheter-related bloodstream infection and septic pulmonary emboli.
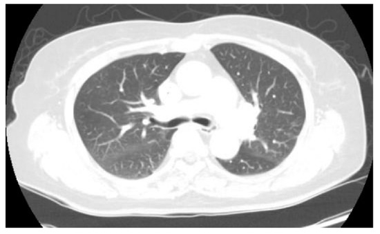
Figure 3. Follow-up chest CT after intravenous antibiotic treatment. A representative axial image reveals complete resolution of the lung lesions that were observed in the earlier PET/CT scan. Discussion Although 18F-FDG PET/CT has achieved great success in investigating malignant disorders, the imaging modality is not only specific for cancer diagnosis [13]. Since the activated inflammatory cells showed an increased expression and up-regulation of glucose transport receptors, several studies have reported the presence of high FDG uptake in acute and chronic infectious diseases such as mycobacterial, fungal, bacterial infection, sarcoidosis, radiation pneumonitis, and postoperative inflammation [14,15,16]. In this case report, we evaluated the utility of 18F-FDG PET/CT in a patient with a suspected metastatic infectious disease, and showed that it can visualize the correct foci leading to therapeutic management. CRBSI is associated with significant morbidity due to systemic infection and causes septic pulmonary emboli, which originate from the extrapulmonary site transported to the lung [17]. Like this case, clinical symptoms of septic pulmonary emboli are usually non-specific, and an active extrapulmonary focus of the infection might be apparent at the time of presentation, especially in cancer patients on chemotherapy via an indwelling central venous catheter for long durations. In conclusion, 18F-FDG PET/CT can detect septic pulmonary emboli in patients with catheter-related Staphylococcus aureus bacteremia. This case report suggests that cancer patients with CRBSI might benefit from 18F-FDG PET/CT for a timely evaluation of metastatic infection and optimal management. In accordance with previous studies suggesting the clinical value of 18F-FDG PET/CT in patients with Gram-positive bacteremia [5,10,11,18,19,20], we believe that the benefit from 18F-FDG PET/CT might be mediated by infective foci detection, earlier interventions to control infection, and the prolongation of antimicrobial treatment.

Author Contributions

J.Y.: involved in initial drafting of manuscript. M.C.: involved in review of the images. All authors have read and agreed to the published version of the manuscript.

Funding

This research received no external funding.

Institutional Review Board Statement

This study was conducted according to the guidelines of the Declaration of Helsinki, and ethical review and approval were waived for the single case report.

Data Availability Statement

The data that support the findings of this study are available from the corresponding author J.Y., upon reasonable request.

Conflicts of Interest

The authors declare no conflict of interest.

References

  1. Hustinx, R.; Bénard, F.; Alavi, A. Whole-body FDG-PET imaging in the management of patients with cancer. Semin. Nucl. Med. 2002, 32, 35–46. [Google Scholar] [CrossRef] [PubMed]
  2. Bar-Shalom, R.; Valdivia, A.Y.; Blaufox, M.D. PET imaging in oncology. Semin. Nucl. Med. 2000, 30, 150–185. [Google Scholar] [CrossRef]
  3. Yamada, S.; Kubota, K.; Kubota, R.; Ido, T.; Tamahashi, N. High accumulation of fluorine-18-fluorodeoxyglucose in turpentine-induced inflammatory tissue. J. Nucl. Med. 1995, 36, 1301–1306. [Google Scholar]
  4. Mermel, L.A.; Allon, M.; Bouza, E.; Craven, D.E.; Flynn, P.; O’Grady, N.P.; Raad, I.I.; Rijnders, B.J.A.; Sherertz, R.J.; Warren, D.K. Clinical Practice Guidelines for the Diagnosis and Management of Intravascular Catheter-Related Infection: 2009 Update by the Infectious Diseases Society of America. Clin. Infect. Dis. 2009, 49, 1–45. [Google Scholar] [CrossRef]
  5. Vos, F.J.; Bleeker-Rovers, C.P.; Sturm, P.D.; Krabbe, P.F.; van Dijk, A.P.; Cuijpers, M.L.; Adang, E.M.; Wanten, G.J.; Kullberg, B.-J.; Oyen, W.J. 18F-FDG PET/CT for Detection of Metastatic Infection in Gram-Positive Bacteremia. J. Nucl. Med. 2010, 51, 1234–1240. [Google Scholar] [CrossRef]
  6. Vos, F.J.; Kullberg, B.J.; Sturm, P.D.; Krabbe, P.F.M.; van Dijk, A.P.J.; Wanten, G.J.A.; Oyen, W.J.G.; Bleeker-Rovers, C.P. Metastatic Infectious Disease and Clinical Outcome in Staphylococcus aureus and Streptococcus species Bacteremia. Medicine 2012, 91, 86–94. [Google Scholar] [CrossRef] [PubMed]
  7. Kaasch, A.J.; Barlow, G.; Edgeworth, J.D.; Fowler, V.G., Jr.; Hellmich, M.; Hopkins, S.; Kern, W.V.; Llewelyn, M.J.; Rieg, S.; Rodriguez-Baño, J.; et al. Staphylococcus aureus bloodstream infection: A pooled analysis of five prospective, observational studies. J. Infect. 2014, 68, 242–251. [Google Scholar] [CrossRef] [PubMed]
  8. El Zakhem, A.; Chaftari, A.M.; Bahu, R.; El Helou, G.; Shelburne, S.; Jiang, Y.; Hachem, R.; Raad, I. Central line-associated bloodstream infections caused by Staphylococcus aureus in cancer patients: Clinical outcome and management. Ann. Med. 2014, 43, 163–168. [Google Scholar] [CrossRef] [PubMed]
  9. Park, K.-H.; Lee, Y.-M.; Hong, H.-L.; Kim, T.; Park, H.J.; Park, S.-Y.; Moon, S.M.; Chong, Y.P.; Kim, S.-H.; Lee, S.-O.; et al. Persistent Catheter-Related Staphylococcus aureus Bacteremia after Catheter Removal and Initiation of Antimicrobial Therapy. PLoS ONE 2012, 7, e46389. [Google Scholar] [CrossRef]
  10. Ghanem-Zoubi, N.; Kagna, O.; Abu-Elhija, J.; Mustafa-Hellou, M.; Qasum, M.; Keidar, Z.; Paul, M. Integration of FDG-PET/CT in the Diagnostic Workup for Staphylococcus aureus Bacteremia: A Prospective Interventional Matched-cohort Study. Clin. Infect. Dis. 2020, 73, e3859–e3866. [Google Scholar] [CrossRef] [PubMed]
  11. Berrevoets, M.A.; Kouijzer, I.J.; Aarntzen, E.H.; Janssen, M.J.; De Geus-Oei, L.-F.; Wertheim, H.F.; Kullberg, B.-J.; Oever, J.T.; Oyen, W.J.G.; Bleeker-Rovers, C.P. 18F-FDG PET/CT Optimizes Treatment in Staphylococcus aureus Bacteremia and Is Associated with Reduced Mortality. J. Nucl. Med. 2017, 58, 1504–1510. [Google Scholar] [CrossRef] [PubMed]
  12. Berrevoets, M.A.H.; Kouijzer, I.J.E.; Slieker, K.; Aarntzen, E.; Kullberg, B.K.; Oever, J.T.; Bleeker-Rovers, C.P. (18)F-FDG PET/CT-guided treatment du-ration in patients with high-risk Staphylococcus aureus bacteremia: A proof of principle. J. Nucl. Med. 2019, 60, 998–1002. [Google Scholar] [CrossRef] [PubMed]
  13. Rosenbaum, S.J.; Lind, T.; Antoch, G.; Bockisch, A. False-Positive FDG PET Uptake−the Role of PET/CT. Eur. Radiol. 2005, 16, 1054–1065. [Google Scholar] [CrossRef]
  14. Love, C.; Tomas, M.B.; Tronco, G.G.; Palestro, C.J. FDG PET of Infection and Inflammation. RadioGraphics 2005, 25, 1357–1368. [Google Scholar] [CrossRef] [PubMed]
  15. Mochizuki, T.; Tsukamoto, E.; Kuge, Y.; Kanegae, K.; Zhao, S.; Hikosaka, K.; Hosokawa, M.; Kohanawa, M.; Tamaki, N. FDG uptake and glucose transporter subtype expressions in experimental tumor and inflammation models. J. Nucl. Med. 2001, 42, 1551–1555. [Google Scholar]
  16. Chang, J.M.; Lee, H.J.; Goo, J.M.; Lee, H.-Y.; Lee, J.J.; Chung, J.-K.; Im, J.-G. False Positive and False Negative FDG-PET Scans in Various Thoracic Diseases. Korean J. Radiol. 2006, 7, 57–69. [Google Scholar] [CrossRef]
  17. Jorens, P.G.; Van Marck, E.; Snoeckx, A.; Parizel, P.M. Nonthrombotic pulmonary embolism. Eur. Respir. J. 2009, 34, 452–474. [Google Scholar] [CrossRef]
  18. Gompelman, M.; Tuinte, R.; Aarntzen, E.; Kouijzer, I.; van Leerdam, E.; Berrevoets, M.; Oever, J.T.; Bleeker-Rovers, C.; Wanten, G. The diagnostic value of [18F]FDG-PET/CT in detecting septic thrombosis in patients with central venous catheter-related Staphylococcus aureus bacteremia. Biomed. Pharmacother. 2021, 144, 112296. [Google Scholar] [CrossRef]
  19. Bhargava, P.; Kumar, R.; Zhuang, H.; Charron, M.; Alavi, A. Catheter-ralted focal FDG activity on whole body PET imaging. Clin. Nucl. Med. 2004, 29, 238–242. [Google Scholar] [CrossRef]
  20. Bleeker-Rovers, C.P.; Vos, F.J.; Wanten, G.J.; van der Meer, J.W.; Corstens, F.H.; Kullberg, B.J.; Oyen, W.J. 18F-FDG PET in detecting metastatic infectious disease. J. Nucl. Med. 2005, 46, 2014–2019. [Google Scholar]
Publisher’s Note: MDPI stays neutral with regard to jurisdictional claims in published maps and institutional affiliations.

Article Metrics

Citations

Article Access Statistics

Multiple requests from the same IP address are counted as one view.