How to Differentiate Pronator Syndrome from Carpal Tunnel Syndrome: A Comprehensive Clinical Comparison
Abstract
1. Introduction
2. Methodology
- Systematic studies related to carpal tunnel syndrome and/or pronator syndrome anatomy, etiology, diagnosis, and/or treatment.
- Case reports related to carpal tunnel syndrome or pronator syndrome anatomy, etiology, diagnosis, and/or treatment.
- Reviews related to carpal tunnel syndrome or pronator syndrome anatomy, etiology, diagnosis, and/or treatment.
- Book chapters related to carpal tunnel syndrome or pronator syndrome anatomy, etiology, diagnosis, and/or treatment.
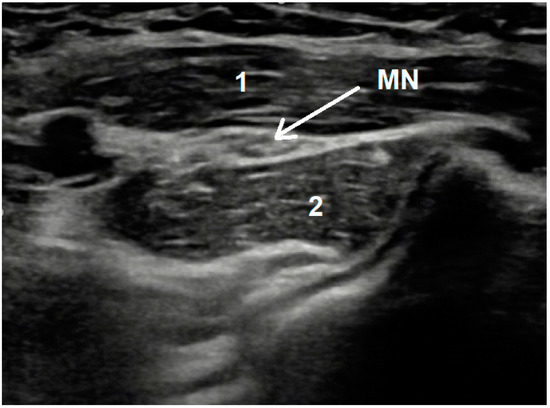
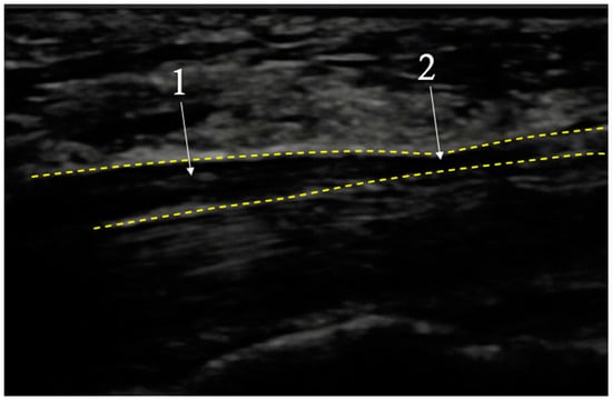
3. Median Nerve Course and Its Variations
4. Etiology of Pronator Syndrome
4.1. Pronator Teres Muscle
4.2. Lacertus Fibrosus
4.3. Flexor Digitorum Superficialis (FDS)
4.4. Other Anatomical Structures Involved in PS
5. Etiology of Carpal Tunnel Syndrome
6. Symptoms and Differential Diagnosis
7. Treatment of PS
8. Treatment of CTS
- OCTR—well-established, generally accepted and relatively easier procedure in comparison to ECTR [119]. However, it is associated with potential complications such as persistent weakness, pillar pain, formation of hypertrophic scars in the incisions that cross the wrist, scar tenderness, slow recovery, and a higher incidence of persistent pain [120].
- ECTR—established in response to complications encountered after OCTR. This procedure provides a faster recovery rate, allowing for smaller incisions; therefore, the esthetic effect is also better than in the case of OCTR [121]. Disadvantages of that strategy are mainly the special equipment and an operational team with appropriate qualifications and experience in this type of surgery [122]. Moreover, ECTR is more technically difficult, time-consuming, and associated with incomplete transverse carpal ligament (flexor retinaculum) release and neurovascular injury [122].
9. Concurrent Carpal Tunnel and Pronator Syndromes
- −
- Every patient presenting a CTS should be carefully examined for the presence of PTS, due to overlapping symptoms or the possibility of coexisting pathology, that can lead to ineffective treatment strategy.
- −
- If primary symptoms indicate PS, but the patient reports nocturnal paresthesia, coexisting CTS should also be considered.
- −
- When suspecting coexisting CTS with PS, signs of paresthesia involving the thenar eminence and proximal forearm should guide the diagnosis towards its confirmation.
- −
- Clinical diagnosis of PTS, in case of suspecting “double crush”, should be confirmed with ultrasonography or electrodiagnostic examination, especially when the invasive treatment strategy is considered. However, negative results should not rule out diagnosis of “double crush”.
- −
- Probabilities of thoracic outlet compression syndrome, peripheral polyneuropathy, cervical radiculopathy, and cerebrovascular accident should be enrolled before proceeding with “double crush” diagnosis.
- −
- Spine injuries, head injuries and upper limb injuries in medical history should increase the vigilance of the diagnosing team and should be excluded as a source of symptoms, before proceeding with “double crush” syndrome.
- −
- Arthroscopic release of the transverse carpal ligament and open decompression of the PT in patients, in which concurrent CTS and PS is established as a diagnosis and are undergoing surgery for the first time, is a considerable technique, that is often met with satisfactory results.
- −
- In patients with failed primary CTS surgery, in which PS was suspected, simultaneous release of the transverse carpal ligament and pronator muscle show more chances of full recovery of numbness and pain.
10. Summary
Author Contributions
Funding
Conflicts of Interest
References
- Wertsch, J.J.; Melvin, J. Median Nerve Anatomy and Entrapment Syndromes: A Review. Arch. Phys. Med. Rehabil. 1982, 63, 623–627. [Google Scholar] [PubMed]
- Rehak, D.C. Pronator Syndrome. Clin. Sports Med. 2001, 20, 51–540. [Google Scholar] [CrossRef]
- LeBlanc, K.E.; Cestia, W. Carpal Tunnel Syndrome. Am. Fam. Phys. 2011, 83, 952–958. [Google Scholar]
- Hsiao, C.W.; Shih, J.T.; Hung, S.T. Concurrent Carpal Tunnel Syndrome and Pronator Syndrome: A Retrospective Study of 21 Cases. Orthop. Traumatol. Res. 2017, 103, 101–103. [Google Scholar] [CrossRef] [PubMed]
- Zamborsky, R.; Kokavec, M.; Simko, L.; Bohac, M. Carpal Tunnel Syndrome: Symptoms, Causes and Treatment Options. Literature Reviev. Ortop. Traumatol. Rehabil. 2017, 19, 1–8. [Google Scholar] [CrossRef] [PubMed]
- Wipperman, J.; Goerl, K. Carpal Tunnel Syndrome: Diagnosis and Management. Am. Fam. Phys. 2016, 94, 993–999. [Google Scholar]
- McCue, F.C.; Alexander, E.J.; Baumgarten, T.E. Median Nerve Entrapment at the Elbow in Athletes. Oper. Tech. Sports Med. 1996, 4, 21–27. [Google Scholar] [CrossRef]
- Afshar, A. Pronator Syndrome Due to Schwannoma. J. Hand Microsurg. 2015, 7, 119–122. [Google Scholar] [CrossRef] [PubMed]
- Danielsson, L.G. Iatrogenic Pronator Syndrome: Case Report. Scand. J. Plast. Reconstr. Surg. 1980, 14, 201–203. [Google Scholar] [CrossRef]
- Gurses, I.A.; Altinel, L.; Gayretli, O.; Akgul, T.; Uzun, I.; Dikici, F. Morphology and Morphometry of the Ulnar Head of the Pronator Teres Muscle in Relation to Median Nerve Compression at the Proximal Forearm. Orthop. Traumatol. Res. 2016, 102, 1005–1008. [Google Scholar] [CrossRef]
- Zancolli, E.R.; Zancolli, E.P.; Perrotto, C.J. New Mini-Invasive Decompression for Pronator Teres Syndrome. J. Hand Surg.-Am. Vol. 2012, 37A, 1706–1710. [Google Scholar] [CrossRef] [PubMed]
- Adler, J.A.; Wolf, J.M. Proximal Median Nerve Compression: Pronator Syndrome. J. Hand Surg.-Am. Vol. 2020, 45, 1157–1165. [Google Scholar] [CrossRef] [PubMed]
- Lee, M.J.; LaStayo, P.C. Pronator Syndrome and Other Nerve Compressions That Mimic Carpal Tunnel Syndrome. J. Orthop. Sports Phys. Ther. 2004, 34, 601–609. [Google Scholar] [CrossRef] [PubMed][Green Version]
- Schumer, E.D. Isolated Compartment Syndrome of the Pronator Quadratus Compartment: A Case Report. J. Hand Surg.-Am. Vol. 2004, 29A, 299–301. [Google Scholar] [CrossRef]
- Olewnik, L.; Podgorski, M.; Polguj, M.; Wysiadecki, G.; Topol, M. Anatomical Variations of the Pronator Teres Muscle in a Central European Population and Its Clinical Significance. Anat. Sci. Int. 2018, 93, 299–306. [Google Scholar] [CrossRef]
- Graham, B.; Peljovich, A.E.; Afra, R.; Cho, M.S.; Gray, R.; Stephenson, J.; Gurman, A.; MacDermid, J.; Mlady, G.; Patel, A.T.; et al. The American Academy of Orthopaedic Surgeons Evidence-Based Clinical Practice Guideline on: Management of Carpal Tunnel Syndrome. J. Bone Jt. Surg. Am. 2016, 98, 1750–1754. [Google Scholar] [CrossRef]
- Cranford, C.S.; Ho, J.Y.; Kalainov, D.M.; Hartigan, B.J. Carpal Tunnel Syndrome. J. Am. Acad. Orthop. Surg. 2007, 15, 537–548. [Google Scholar] [CrossRef]
- Olehnik, W.K.; Manske, P.R.; Szerzynski, J. Median nerve compression in the proximal forearm. J. Hand Surg.-Am. Vol. 1994, 19A, 121–126. [Google Scholar] [CrossRef]
- Hagert, C.G.; Hagert, E. Manual Muscle Testing—A Clinical Examination Technique for Diagnosing Focal Neuropathies in the Upper Extremity. In Upper Extremity Nerve Repair-Tips and Techniques: A Master Skills Publication; Assh: Chicago, IL, USA, 2008; pp. 451–466. ISBN 978-1-935121-01-5. [Google Scholar]
- Johnson, R.K.; Spinner, M.; Shrewsbury, M.M. Median Nerve Entrapment Syndrome in the Proximal Forearm. J. Hand Surg. Am. 1979, 4, 48–51. [Google Scholar] [CrossRef]
- Ozdemir, A.; Acar, M.A.; Gulec, A.; Durgut, F.; Cebeci, H. Clinical, Radiological, and Electrodiagnostic Diagnosis of Pronator Syndrome Concurrent With Carpal Tunnel Syndrome. J. Hand Surg.-Am. Vol. 2020, 45, 1141–1147. [Google Scholar] [CrossRef] [PubMed]
- Ishikhov, I.M.; Kolomiets, K.V.; Gamidov, F.M.; Gantsgorn, E.V. Bilateral Lacertus Fibrosus Entrapment of Median Nerve at the Elbow (Lacertus Syndrome). Bull. Russ. State Med. Univ. 2021, 58–61. [Google Scholar] [CrossRef]
- Aroori, S.; Spence, R.A.J. Carpal Tunnel Syndrome. Ulst. Med. J. 2008, 77, 6–17. [Google Scholar]
- Rodner, C.M.; Tinsley, B.A.; O’Malley, M.P. Pronator Syndrome and Anterior Interosseous Nerve Syndrome. J. Am. Acad. Orthop. Surg. 2013, 21, 268–275. [Google Scholar] [CrossRef]
- Gross, P.T.; Tolomeo, E.A. Proximal Median Neuropathies. Neurol. Clin. 1999, 17, 425–445. [Google Scholar] [CrossRef]
- Tsai, P.; Steinberg, D.R. Median and Radial Nerve Compression about the Elbow. J. Bone Jt. Surg. Am. 2008, 90, 420–428. [Google Scholar]
- Snoeck, O.; Lefèvre, P.; Sprio, E.; Beslay, R.; Feipel, V.; Rooze, M.; Van Sint Jan, S. The Lacertus Fibrosus of the Biceps Brachii Muscle: An Anatomical Study. Surg. Radiol. Anat. 2014, 36, 713–719. [Google Scholar] [CrossRef]
- Nebot-Cegarra, J.; Perez-Berruezo, J.; Reina de la Torre, F. Variations of the Pronator Teres Muscle: Predispositional Role to Median Nerve Entrapment. Arch. Anat. Histol. Embryol. 1991, 74, 35–45. [Google Scholar]
- Olewnik, Ł.; Zielinska, N.; Paulsen, F.; Podgórski, M.; Haładaj, R.; Karauda, P.; Polguj, M. A Proposal for a New Classification of Soleus Muscle Morphology. Ann. Anat.-Anat. Anz. 2020, 232, 151584. [Google Scholar] [CrossRef]
- Mori, M. Statistics on the musculature of the Japanese. Okajimas Folia Anat. Jpn. 1964, 40, 195–300. [Google Scholar] [CrossRef] [PubMed]
- Chu, S.Y.; Hsu, M.Y.; Chen, C.M.; Yeow, K.M.; Hung, C.F.; Su, I.H.; Shie, R.F.; Pan, K.T. Endovascular Repair of Spontaneous Isolated Dissection of the Superior Mesenteric Artery. Clin. Radiol. 2012, 67, 32–37. [Google Scholar] [CrossRef] [PubMed]
- Jamieson, R.W.; Anson, B.J. The Relation of the Median Nerve to the Heads of Origin of the Pronator Teres Muscle, a Study of 300 Specimens. Q. Bull. Northwest. Univ. Med. Sch. 1952, 26, 34–35. [Google Scholar]
- Bergman, R.A.; Afifi, A.K.; Miyauchi, R. Anatomy Atlases, An Anatomy Digital Library. Available online: https://www.anatomyatlases.org/ (accessed on 15 January 2022).
- Moore, K.L.; Agur, A.M.R.; Dalley, A.F. Clinically Oriented Anatomy; Wolters Kluwer Health/Lippincott Williams & Wilkins: Philadelphia, PA, USA, 2010; ISBN 9780781775250 0781775256 9781605476520 1605476528 9781608311811 1608311813 9780730300847 0730300846. [Google Scholar]
- Haviarova, Z.; El Falougy, H.; Killingerova, A.; Matejcik, V. Variation of the Median Nerve Course and Its Clinical Importance. Biomed. Pap. Med. Fac. Univ. Palacký Olomouc Czechoslov. 2009, 153, 303–306. [Google Scholar] [CrossRef]
- Standring, S. Gray’s Anatomy: The Anatomical Basis of Clinical Practice; Elsevier: Amsterdam, The Netherlands, 2016; ISBN 9780702052309 0702052302 9780702063060 0702063061 9780702068515 0702068519. [Google Scholar]
- Hartz, C.R.; Linscheid, R.L.; Gramse, R.R.; Daube, J.R. The Pronator Teres Syndrome: Compressive Neuropathy of the Median Nerve. J. Bone Jt. Surg. Am. 1981, 63, 885–890. [Google Scholar] [CrossRef]
- Dubois de Mont-Marin, G.; Laulan, J.; Le Nen, D.; Bacle, G. Topographic Anatomy of Structures Liable to Compress the Median Nerve at the Elbow and Proximal Forearm. Orthop. Traumatol. Surg. Res. 2021, 107, 102813. [Google Scholar] [CrossRef] [PubMed]
- Matsuzaki, A. Die Operative Behandlung Des Pronator-Logensyndroms. Oper. Orthop. Traumatol. 1999, 11, 34–43. [Google Scholar] [CrossRef]
- Koehler, S.M.; Meier, K.M.; Lovy, A.; Fitzpatrick, D.; Kim, J.; Hausman, M.R. Brachialis Syndrome: A Rare Consequence of Patient Positioning Causing Postoperative Median Neuropathy. J. Shoulder Elb. Surg. 2016, 25, 797–801. [Google Scholar] [CrossRef]
- Eversmann, W.W.J. Compression and Entrapment Neuropathies of the Upper Extremity. J. Hand Surg. Am. 1983, 8, 759–766. [Google Scholar] [CrossRef]
- Vymazalova, K.; Vargova, L.; Joukal, M. Uncommon Course of the Ulnar Artery through the Pronator Teres Muscle. J. Nepal Med. Assoc. 2014, 52, 946–948. [Google Scholar] [CrossRef]
- Werner, C.O.; Rosén, I.; Thorngren, K.G. Clinical and Neurophysiologic Characteristics of the Pronator Syndrome. Clin. Orthop. Relat. Res. 1985, 197, 231–236. [Google Scholar] [CrossRef]
- Dellon, A.L.; Mackinnon, S.E. Musculoaponeurotic Variations along the Course of the Median Nerve in the Proximal Forearm. J. Hand Surg. Br. 1987, 12, 359–363. [Google Scholar] [CrossRef] [PubMed]
- Caetano, E.B.; Vieira, L.A.; Almeida, T.A.; Gonzales, L.A.M.; Bona, J.E.D.; Simonatto, T.M. Bicipital Aponeurosis. Anatomical Study and Clinical Implications. Rev. Bras. Ortop. 2018, 53, 75–81. [Google Scholar] [CrossRef] [PubMed]
- Šimon, F.; Zborovjan, M.; Marečková-Štolcová, E. Lacertus in the History of Anatomical Nomenclature. Graeco-Lat. Brun. 2016, 21, 317–327. [Google Scholar] [CrossRef][Green Version]
- Kumar, H.; Das, S.; Gaur, S. Entrapment of the Median Nerve and the Brachial Artery by the Lacertus Fibrosus. Arch. Med. Sci. 2007, 3, 284–286. [Google Scholar]
- Seitz, W.H.; Matsuoka, H.; McAdoo, J.; Sherman, G.; Stickney, D.P. Acute Compression of the Median Nerve at the Elbow by the Lacertus Fibrosus. J. Shoulder Elb. Surg. 2007, 16, 91–94. [Google Scholar] [CrossRef] [PubMed]
- Yu, W.; Schweigel, J.F. Flexor Digitorum Sublimis to Profundus Tendon Transfer for Flexion Deformities in Spastic Paralysis. Can. J. Surg. 1974, 17, 225–231. [Google Scholar]
- Caetano, E.B.; Sabongi Neto, J.J.; Ribas, L.A.A.; Milanello, E.V. Accessory Muscle of the Flexor Digitorum Superficialis and Its Clinical Implications. Rev. Bras. Ortop. 2017, 52, 731–734. [Google Scholar] [CrossRef]
- Lung, B.E.; Burns, B. Anatomy, Shoulder and Upper Limb, Hand Flexor Digitorum Profundus Muscle. In StatPearls; StatPearls Publishing: Treasure Island, FL, USA, 2021. [Google Scholar]
- Dang, A.C.; Rodner, C.M. Unusual Compression Neuropathies of the Forearm, Part II: Median Nerve. J. Hand Surg.-Am. Vol. 2009, 34A, 1915–1920. [Google Scholar] [CrossRef]
- Elias, L.S.; Schulter-Ellis, F.P. Anomalous Flexor Superficialis Indicis: Two Case Reports and Literature Review. J. Hand Surg. Am. 1985, 10, 296–299. [Google Scholar] [CrossRef]
- Morrey, B.; Sotelo, J.S.; Morrey, M. Morrey’s the Elbow and Its Disorders; Elsevier: Amsterdam, The Netherlands, 2018. [Google Scholar]
- Bilecenoglu, B.; Uz, A.; Karalezli, N. Possible Anatomic Structures Causing Entrapment Neuropathies of the Median Nerve: An Anatomic Study. Acta Orthop. Belg. 2005, 71, 169–176. [Google Scholar] [PubMed]
- Caetano, E.B.; Sabongi Neto, J.J.; Vieira, L.A.; Caetano, M.F.; Moraes, D.V. Gantzer muscle. An anatomical study. Acta Ortop. Bras. 2015, 23, 72–75. [Google Scholar] [CrossRef]
- Xing, S.G.; Tang, J.B. Entrapment Neuropathy of the Wrist, Forearm, and Elbow. Clin. Plast. Surg. 2014, 41, 561–588. [Google Scholar] [CrossRef]
- Melhorn, J.M. CTD: Carpal Tunnel Syndrome, the Facts and Myths. Kans. Med. 1994, 95, 189–192. [Google Scholar]
- Summers, K.; Fowles, S.M. Colles’ Fracture. In StatPearls; StatPearls Publishing: Treasure Island, FL, USA, 2021. [Google Scholar]
- Osiak, K.; Elnazir, P.; Walocha, J.; Pasternak, A. Carpal Tunnel Syndrome: State-of-the-Art Review. Folia Morphol. 2021. [Google Scholar] [CrossRef] [PubMed]
- Osiak, K.; Elnazir, P.; Mazurek, A.; Pasternak, A. Prevalence of the Persistent Median Artery in Patients Undergoing Surgical Open Carpal Tunnel Release: A Case Series. Transl. Res. Anat. 2021, 23, 100113. [Google Scholar] [CrossRef]
- Bernard, B. Musculoskeletal Disorders and Workplace Factors: A Critical Review of Epidemiologic Evidence for Work-Related Musculoskeletal Disorders of the Neck, Upper Extremity, and Low Back. 1997. Available online: https://www.cdc.gov/niosh/docs/97-141/default.html (accessed on 15 January 2022).
- Silverstein, B.A.; Fine, L.J.; Armstrong, T.J. Occupational Factors and Carpal Tunnel Syndrome. Am. J. Ind. Med. 1987, 11, 343–358. [Google Scholar] [CrossRef]
- Chiang, H.C.; Chen, S.S.; Yu, H.S.; Ko, Y.C. The Occurrence of Carpal Tunnel Syndrome in Frozen Food Factory Employees. Gaoxiong Yi Xue Ke Xue Za Zhi 1990, 6, 73–80. [Google Scholar]
- Nathan, P.A.; Meadows, K.D.; Doyle, L.S. Occupation as a Risk Factor for Impaired Sensory Conduction of the Median Nerve at the Carpal Tunnel. J. Hand Surg. Br. 1988, 13, 167–170. [Google Scholar] [CrossRef]
- Osorio, A.M.; Ames, R.G.; Jones, J.; Castorina, J.; Rempel, D.; Estrin, W.; Thompson, D. Carpal Tunnel Syndrome among Grocery Store Workers. Am. J. Ind. Med. 1994, 25, 229–245. [Google Scholar] [CrossRef]
- Schottland, J.R.; Kirschberg, G.J.; Fillingim, R.; Davis, V.P.; Hogg, F. Median Nerve Latencies in Poultry Processing Workers: An Approach to Resolving the Role of Industrial “Cumulative Trauma” in the Development of Carpal Tunnel Syndrome. J. Occup. Med. 1991, 33, 627–631. [Google Scholar] [PubMed]
- Garland, F.C.; Garland, C.F.; Doyle, E.J.J.; Balazs, L.L.; Levine, R.; Pugh, W.M.; Gorham, E.D. Carpal Tunnel Syndrome and Occupation in U.S. Navy Enlisted Personnel. Arch. Environ. Health 1996, 51, 395–407. [Google Scholar] [CrossRef] [PubMed]
- Spielholz, P.; Silverstein, B.; Morgan, M.; Checkoway, H.; Kaufman, J. Comparison of Self-Report, Video Observation and Direct Measurement Methods for Upper Extremity Musculoskeletal Disorder Physical Risk Factors. Ergonomics 2001, 44, 588–613. [Google Scholar] [CrossRef]
- Stetson, D.S.; Silverstein, B.A.; Keyserling, W.M.; Wolfe, W.A.; Albers, J.W. Hypothesis Relating Cumulative Trauma to the Median Nerve with Sub-Clinical Nerve Conduction Deficits. Am. J. Ind. Med. 1995, 27, 309–310. [Google Scholar] [CrossRef]
- Stetson, D.S.; Silverstein, B.A.; Keyserling, W.M.; Wolfe, R.A.; Albers, J.W. Median Sensory Distal Amplitude and Latency: Comparisons between Nonexposed Managerial/Professional Employees and Industrial Workers. Am. J. Ind. Med. 1993, 24, 175–189. [Google Scholar] [CrossRef] [PubMed]
- Viikari-Juntura, E.; Silverstein, B. Role of Physical Load Factors in Carpal Tunnel Syndrome. Scand. J. Work Environ. Health 1999, 25, 163–185. [Google Scholar] [CrossRef] [PubMed]
- Bland, J.D.P. The Relationship of Obesity, Age, and Carpal Tunnel Syndrome: More Complex than Was Thought? Muscle Nerve 2005, 32, 527–532. [Google Scholar] [CrossRef]
- Moghtaderi, A.; Izadi, S.; Sharafadinzadeh, N. An Evaluation of Gender, Body Mass Index, Wrist Circumference and Wrist Ratio as Independent Risk Factors for Carpal Tunnel Syndrome. Acta Neurol. Scand. 2005, 112, 375–379. [Google Scholar] [CrossRef] [PubMed]
- Boz, C.; Ozmenoglu, M.; Altunayoglu, V.; Velioglu, S.; Alioglu, Z. Individual Risk Factors for Carpal Tunnel Syndrome: An Evaluation of Body Mass Index, Wrist Index and Hand Anthropometric Measurements. Clin. Neurol. Neurosurg. 2004, 106, 294–299. [Google Scholar] [CrossRef]
- Lam, N.; Thurston, A. Association of Obesity, Gender, Age and Occupation with Carpal Tunnel Syndrome. Aust. N. Z. J. Surg. 1998, 68, 190–193. [Google Scholar] [CrossRef] [PubMed]
- Becker, J.; Nora, D.B.; Gomes, I.; Stringari, F.F.; Seitensus, R.; Panosso, J.S.; Ehlers, J.C. An Evaluation of Gender, Obesity, Age and Diabetes Mellitus as Risk Factors for Carpal Tunnel Syndrome. Clin. Neurophysiol. 2002, 113, 1429–1434. [Google Scholar] [CrossRef]
- Rempel, D.; Bach, J.M.; Gordon, L.; So, Y. Effects of Forearm Pronation/Supination on Carpal Tunnel Pressure. J. Hand Surg. Am. 1998, 23, 38–42. [Google Scholar] [CrossRef]
- Żyluk, A. The Role of Genetic Factors in Carpal Tunnel Syndrome Etiology: A Review. Adv. Clin. Exp. Med. 2020, 29, 623–628. [Google Scholar] [CrossRef]
- Puchalski, P.; Szlosser, Z.; Żyluk, A. Familial Occurrence of Carpal Tunnel Syndrome. Neurol. Neurochir. Pol. 2019, 53, 43–46. [Google Scholar] [CrossRef]
- de Jesus Filho, A.G.; do Nascimento, B.F.; de Carvalho Amorim, M.; Naus, R.A.S.; de Araújo Loures, E.; Moratelli, L. Comparative Study between Physical Examination, Electroneuromyography and Ultrasonography in Diagnosing Carpal Tunnel Syndrome. Rev. Bras. Ortop. 2014, 49, 446–451. [Google Scholar] [CrossRef]
- Verdugo, R.J.; Salinas, R.A.; Castillo, J.L.; Cea, J.G. Surgical versus Non-Surgical Treatment for Carpal Tunnel Syndrome. Cochrane Database Syst. Rev. 2008, 2008, CD001552. [Google Scholar] [CrossRef]
- Lee, A.K.; Khorsandi, M.; Nurbhai, N.; Dang, J.; Fitzmaurice, M.; Herron, K.A. Endoscopically Assisted Decompression for Pronator Syndrome. J. Hand Surg.-Am. Vol. 2012, 37A, 1173–1179. [Google Scholar] [CrossRef]
- Cobb, T.K.; An, K.N.; Cooney, W.P.; Berger, R.A. Lumbrical Muscle Incursion into the Carpal Tunnel during Finger Flexion. J. Hand Surg. Br. 1994, 19, 434–438. [Google Scholar] [CrossRef]
- Durkan, J.A. The Carpal-Compression Test. An Instrumented Device for Diagnosing Carpal Tunnel Syndrome. Orthop. Rev. 1994, 23, 522–525. [Google Scholar] [PubMed]
- Ho, T.; Braza, M.E. Hoffmann Tinel Sign. In StatPearls; StatPearls Publishing: Treasure Island, FL, USA, 2021. [Google Scholar]
- Kuschner, S.H.; Ebramzadeh, E.; Johnson, D.; Brien, W.W.; Sherman, R. Tinel’s Sign and Phalen’s Test in Carpal Tunnel Syndrome. Orthopedics 1992, 15, 1297–1302. [Google Scholar] [CrossRef] [PubMed]
- Morris, H.H.; Peters, B.H. Pronator Syndrome: Clinical and Electrophysiological Features in Seven Cases. J. Neurol. Neurosurg. Psychiatry 1976, 39, 461–464. [Google Scholar] [CrossRef] [PubMed]
- Watson, J.C. The Electrodiagnostic Approach to Carpal Tunnel Syndrome. Neurol. Clin. 2012, 30, 457–478. [Google Scholar] [CrossRef]
- Rosario, N.B.; De Jesus, O. Electrodiagnostic Evaluation of Carpal Tunnel Syndrome. In StatPearls; StatPearls Publishing: Treasure Island, FL, USA, 2021. [Google Scholar]
- Kang, S.; Kwon, H.K.; Kim, K.H.; Yun, H.S. Ultrasonography of Median Nerve and Electrophysiologic Severity in Carpal Tunnel Syndrome. Ann. Rehabil. Med. 2012, 36, 72–79. [Google Scholar] [CrossRef]
- Rahmani, M.; Ghasemi Esfe, A.R.; Vaziri-Bozorg, S.M.; Mazloumi, M.; Khalilzadeh, O.; Kahnouji, H. The Ultrasonographic Correlates of Carpal Tunnel Syndrome in Patients with Normal Electrodiagnostic Tests. Radiol. Med. 2011, 116, 489–496. [Google Scholar] [CrossRef]
- Buchberger, W.; Judmaier, W.; Birbamer, G.; Lener, M.; Schmidauer, C. Carpal Tunnel Syndrome: Diagnosis with High-Resolution Sonography. AJR Am. J. Roentgenol. 1992, 159, 793–798. [Google Scholar] [CrossRef]
- Wilson, D.; Allen, G.M. Imaging of the Carpal Tunnel. Semin. Musculoskelet. Radiol. 2012, 16, 137–145. [Google Scholar] [CrossRef] [PubMed]
- Chen, H.-C.; Wang, Y.-Y.; Lin, C.-H.; Wang, C.-K.; Jou, I.-M.; Su, F.-C.; Sun, Y.-N. A Knowledge-Based Approach for Carpal Tunnel Segmentation from Magnetic Resonance Images. J. Digit. Imaging 2013, 26, 510–520. [Google Scholar] [CrossRef] [PubMed][Green Version]
- Chan, K.-Y.; George, J.; Goh, K.-J.; Ahmad, T.S. Ultrasonography in the Evaluation of Carpal Tunnel Syndrome: Diagnostic Criteria and Comparison with Nerve Conduction Studies. Neurol. Asia 2011, 16, 57–64. [Google Scholar]
- Mangini, U. Flexor pollicis longus muscle–Its morphology and clinical significance. J. Hand Surg.-Am. Vol. 1960, 42, 467–470. [Google Scholar] [CrossRef]
- Haussmann, P.; Patel, M.R. Intraepineurial Constriction of Nerve Fascicles in Pronator Syndrome and Anterior Interosseous Nerve Syndrome. Orthop. Clin. N. Am. 1996, 27, 339–344. [Google Scholar] [CrossRef]
- Carter, G.T.; Weiss, M.D. Diagnosis and Treatment of Work-Related Proximal Median and Radial Nerve Entrapment. Phys. Med. Rehabil. Clin. N. Am. 2015, 26, 539–549. [Google Scholar] [CrossRef] [PubMed]
- Dididze, M.; Tafti, D.; Sherman, A.L. Pronator Teres Syndrome. In StatPearls; StatPearls Publishing: Treasure Island, FL, USA, 2021. [Google Scholar]
- Viera, A.J. Management of Carpal Tunnel Syndrome. Am. Fam. Phys. 2003, 68, 265–272. [Google Scholar]
- Martins, R.S.; Siqueira, M.G. Conservative Therapeutic Management of Carpal Tunnel Syndrome. Arq. Neuropsiquiatr. 2017, 75, 819–824. [Google Scholar] [CrossRef]
- Shi, Q.; MacDermid, J.C. Is Surgical Intervention More Effective than Non-Surgical Treatment for Carpal Tunnel Syndrome? A Systematic Review. J. Orthop. Surg. Res. 2011, 6, 17. [Google Scholar] [CrossRef]
- Huisstede, B.M.; Hoogvliet, P.; Randsdorp, M.S.; Glerum, S.; van Middelkoop, M.; Koes, B.W. Carpal Tunnel Syndrome. Part I: Effectiveness of Nonsurgical Treatments--A Systematic Review. Arch. Phys. Med. Rehabil. 2010, 91, 981–1004. [Google Scholar] [CrossRef]
- Schmid, A.B.; Elliott, J.M.; Strudwick, M.W.; Little, M.; Coppieters, M.W. Effect of Splinting and Exercise on Intraneural Edema of the Median Nerve in Carpal Tunnel Syndrome--An MRI Study to Reveal Therapeutic Mechanisms. J. Orthop. Res. 2012, 30, 1343–1350. [Google Scholar] [CrossRef] [PubMed]
- De Angelis, M.V.; Pierfelice, F.; Di Giovanni, P.; Staniscia, T.; Uncini, A. Efficacy of a Soft Hand Brace and a Wrist Splint for Carpal Tunnel Syndrome: A Randomized Controlled Study. Acta Neurol. Scand. 2009, 119, 68–74. [Google Scholar] [CrossRef] [PubMed]
- Page, M.J.; O’Connor, D.; Pitt, V.; Massy-Westropp, N. Exercise and Mobilisation Interventions for Carpal Tunnel Syndrome. Cochrane Database Syst. Rev. 2012, CD009899. [Google Scholar] [CrossRef]
- Huisstede, B.M.; Fridén, J.; Coert, J.H.; Hoogvliet, P. Carpal Tunnel Syndrome: Hand Surgeons, Hand Therapists, and Physical Medicine and Rehabilitation Physicians Agree on a Multidisciplinary Treatment Guideline—Results from the European HANDGUIDE Study. Arch. Phys. Med. Rehabil. 2014, 95, 2253–2263. [Google Scholar] [CrossRef] [PubMed]
- Ashworth, N.L. Carpal Tunnel Syndrome. Am. Fam. Phys. 2016, 94, 830–831. [Google Scholar]
- Marshall, S.; Tardif, G.; Ashworth, N. Local Corticosteroid Injection for Carpal Tunnel Syndrome. Cochrane Database Syst. Rev. 2007, CD001554. [Google Scholar] [CrossRef]
- Ryan-Harshman, M.; Aldoori, W. Carpal Tunnel Syndrome and Vitamin B6. Can. Fam. Phys. 2007, 53, 1161–1162. [Google Scholar]
- Piazzini, D.B.; Aprile, I.; Ferrara, P.E.; Bertolini, C.; Tonali, P.; Maggi, L.; Rabini, A.; Piantelli, S.; Padua, L. A Systematic Review of Conservative Treatment of Carpal Tunnel Syndrome. Clin. Rehabil. 2007, 21, 299–314. [Google Scholar] [CrossRef]
- O’Connor, D.; Marshall, S.; Massy-Westropp, N. Non-Surgical Treatment (Other than Steroid Injection) for Carpal Tunnel Syndrome. Cochrane Database Syst. Rev. 2003, 2003, CD003219. [Google Scholar] [CrossRef]
- Szabo, R.M.; Bay, B.K.; Sharkey, N.A.; Gaut, C. Median Nerve Displacement through the Carpal Canal. J. Hand Surg. Am. 1994, 19, 901–906. [Google Scholar] [CrossRef]
- Chang, W.-D.; Wu, J.-H.; Jiang, J.-A.; Yeh, C.-Y.; Tsai, C.-T. Carpal Tunnel Syndrome Treated with a Diode Laser: A Controlled Treatment of the Transverse Carpal Ligament. Photomed. Laser Surg. 2008, 26, 551–557. [Google Scholar] [CrossRef]
- Page, M.J.; O’Connor, D.; Pitt, V.; Massy-Westropp, N. Therapeutic Ultrasound for Carpal Tunnel Syndrome. Cochrane Database Syst. Rev. 2013, 2013, CD009601. [Google Scholar] [CrossRef] [PubMed]
- Turner, A.; Kimble, F.; Gulyás, K.; Ball, J. Can the Outcome of Open Carpal Tunnel Release Be Predicted?: A Review of the Literature. ANZ J. Surg. 2010, 80, 50–54. [Google Scholar] [CrossRef]
- Vasiliadis, H.S.; Georgoulas, P.; Shrier, I.; Salanti, G.; Scholten, R.J.P.M. Endoscopic Release for Carpal Tunnel Syndrome. Cochrane Database Syst. Rev. 2014, CD008265. [Google Scholar] [CrossRef]
- Phalen, G.S. The carpal-tunnel syndrome, seventeen years’ experience in diagnosis and treatment of six hundred fifty-four hands. J Bone Jt. Surg Am. 1966, 48, 211–228. [Google Scholar] [CrossRef]
- Boya, H.; Özcan, Ö.; Özteki, N.H.H. Long-term complications of open carpal tunnel release. Muscle Nerve 2008, 38, 1443–1446. [Google Scholar] [CrossRef]
- Devana, S.K.; Jensen, A.R.; Yamaguchi, K.T.; D’Oro, A.; Buser, Z.; Wang, J.C.; Petrigliano, F.A.; Dowd, C. Trends and complications in open versus endoscopic carpal tunnel release in private payer and medicare patient populations. Hand 2019, 14, 455–461. [Google Scholar] [CrossRef]
- Chung, K.C.; Walters, M.R.; Greenfield, M.L.; Chernew, M. Endoscopic versus open carpal tunnel release: A cost-effectiveness analysis. Plast. Reconstr. Surg. 1998, 102, 1089–1099. [Google Scholar] [CrossRef]
- Kane, P.M.; Daniels, A.H.; Akelman, E. Double Crush Syndrome. J. Am. Acad. Orthop. Surg. 2015, 23, 558–562. [Google Scholar] [CrossRef]
- Flak, M.; Durmala, J.; Czernicki, K.; Dobosiewicz, K. Double Crush Syndrome Evaluation in the Median Nerve in Clinical, Radiological and Electrophysiological Examination. Stud. Health Technol. Inform. 2006, 123, 435–441. [Google Scholar] [PubMed]
- Cartwright, M.S.; Hobson-Webb, L.D.; Boon, A.J.; Alter, K.E.; Hunt, C.H.; Flores, V.H.; Werner, R.A.; Shook, S.J.; Thomas, T.D.; Primack, S.J.; et al. Evidence-Based Guideline: Neuromuscular Ultrasound for the Diagnosis of Carpal Tunnel Syndrome. Muscle Nerve 2012, 46, 287–293. [Google Scholar] [CrossRef]
- Mujadzic, M.; Papanicolaou, G.; Young, H.; Tsai, T.-M. Simultaneous Surgical Release of Ipsilateral Pronator Teres and Carpal Tunnel Syndromes. Plast. Reconstr. Surg. 2007, 119, 2141–2147. [Google Scholar] [CrossRef] [PubMed]
- Masocatto, N.O.; Da-Matta, T.; Prozzo, T.G.; Couto, W.J.; Porfirio, G. Thoracic outlet syndrome: A narrative review. Rev. Col. Bras. Cir. 2019, 46, e20192243. [Google Scholar] [CrossRef] [PubMed]
- Asheghan, M.; Hollisaz, M.T.; Aghdam, A.S.; Khatibiaghda, A. The Prevalence of Pronator Teres among Patients with Carpal Tunnel Syndrome: Cross-sectional Study. Int. J. Biomed. Sci. 2016, 12, 89–94. [Google Scholar]
- Luangjarmekorn, P.; Tsai, T.M.; Honsawek, S.; Kitidumrongsook, P. Role of pronator release in revision carpal tunnel surgery. SICOT J. 2016, 2, 9. [Google Scholar] [CrossRef]


| Local Causes | Regional Causes | Systemic Causes |
|---|---|---|
Inflammatory:
| Osteoarthritis Rheumatoid arthritis Amyloidosis Gout | Diabetes Obesity Hypothyroidism Pregnancy Menopause Systemic lupus erythematosus Scleroderma Dermatomyositis Renal failure Long-term haemodialysis Acromegaly Multiple myeloma Sarcoidosis Leukemia Alcoholism Hemophilia |
| Test | Description | Possible Site of MN Compression (PS/CTS) |
|---|---|---|
| Pronator compression test | Applying sustained pressure for 30 s over PT in trajectory of MN. Paresthesias confirm positive test result. | Pronator teres muscle (PS) |
| Provocative forearm movements | Pronation of forearm against resistance with elbow joint flexed from 0 to 45 degrees. Presence of increased pain sensation or paresthesias confirm positive result of test. | Pronator teres muscle (PS) |
| Flexion of elbow joint from 100 to 135 degrees. Resistance during flexion and forearm supination with concurrent paresthesias confirm positive test result. | Lacertus fibrosus (PS) | |
| Middle finger proximal interphalangeal joint flexion against applied sustained resistance. Paresthesias, pain or numbness confirm positive test result. | Flexor digitorum superficialis (PS) or carpal tunnel (CTS) | |
| Tinel (Hoffman–Tinel) test | Light percussion on MN at wrist resulting in paresthesias experienced in distal cutaneous distribution of nerve confirm positive test result. | Carpal tunnel (CTS) |
| Phalen test | Complete flexion of the wrist for one minute without applying force. Paresthesias confirm positive test result. | Carpal tunnel (CTS) |
| Carpal tunnel compression (Durkan test) | Both thumbs directly applying pressure to the carpal region for 30 s. Rapid manifestation of CTS symptoms confirms positive result. | Carpal tunnel (CTS) |
| Approach | Description | Advantages | Disadvantages | Complications | References |
|---|---|---|---|---|---|
| Wide | Release of the ligament of Struthers, Pronator Teres, Lacertus Fibrosus and fascia of the Flexor digitorum superficialis. | Provides the greatest likelihood of symptom relief in case of uncertainty about the compression site of the median nerve and provides better insight into the operational field. | May compromise nerve blood supply. This operating strategy can lead a relatively large scar formation. | Incomplete release of compressing structures, recurrent symptoms of pronator syndrome, nerve ischemia leading to motor or sensory deficits, longer recovery of muscle function. | [24,57,99,100] |
| Limited | Decompression of the one or two most likely nerve compression sites. | Limits the invasiveness of the procedure into the tissues providing quicker recovery of muscle function. This operating strategy leaves a smaller scar than the “wide” approach. | Greater risk of not releasing all compression sites of the median nerve. Requires greater precision in determining decompression sites. It may partially comprise nerve’s blood supply. | Incomplete release of compressing structures, recurrent symptoms of pronator syndrome therefore need to re-operate with wider approach. | [11,19,48] |
| Endoscopic | Mini-invasive release of specific compression sites. | Does not compromise the nerve’s blood supply, reduces scar formation, minimal invasiveness, minimal muscle function deficits and quick recovery. | Requirements for operational equipment, proper qualifications of the operational team. Requires greater precision in determining decompression sites. Limited view of the operational field. | Incomplete release of compressing structures, recurrent symptoms of pronator syndrome therefore need to re-operate with wider approach. | [4,11,83] |
| Treatment Modalities | Description |
|---|---|
| Splinting |
|
| Local corticosteroid injection |
|
| Oral supplements and medications |
|
| Physical therapy | |
| Low-level laser therapy | |
| Therapeutic ultrasound |
|
| Inclusion Criteria | Exclusion Criteria |
|---|---|
| Clinical signs of CTS | Thoracic outlet compression syndrome [127] |
| Paresthesia over the palm region of MN innervation | Peripheral polyneuropathies |
| Forearm muscle pain and tenderness | Spine injury or head injury |
| Positive Phalen’s sign and PT provocation test | Stroke or other upper neuron disease |
| Positive Tinel’s sign at both the carpal tunnel and pronator teres muscle | Cervical radiculopathy |
| Previous injuries to the affected limb |
Publisher’s Note: MDPI stays neutral with regard to jurisdictional claims in published maps and institutional affiliations. |
© 2022 by the authors. Licensee MDPI, Basel, Switzerland. This article is an open access article distributed under the terms and conditions of the Creative Commons Attribution (CC BY) license (https://creativecommons.org/licenses/by/4.0/).
Share and Cite
Balcerzak, A.A.; Ruzik, K.; Tubbs, R.S.; Konschake, M.; Podgórski, M.; Borowski, A.; Drobniewski, M.; Olewnik, Ł. How to Differentiate Pronator Syndrome from Carpal Tunnel Syndrome: A Comprehensive Clinical Comparison. Diagnostics 2022, 12, 2433. https://doi.org/10.3390/diagnostics12102433
Balcerzak AA, Ruzik K, Tubbs RS, Konschake M, Podgórski M, Borowski A, Drobniewski M, Olewnik Ł. How to Differentiate Pronator Syndrome from Carpal Tunnel Syndrome: A Comprehensive Clinical Comparison. Diagnostics. 2022; 12(10):2433. https://doi.org/10.3390/diagnostics12102433
Chicago/Turabian StyleBalcerzak, Adrian Andrzej, Kacper Ruzik, Richard Shane Tubbs, Marko Konschake, Michał Podgórski, Andrzej Borowski, Marek Drobniewski, and Łukasz Olewnik. 2022. "How to Differentiate Pronator Syndrome from Carpal Tunnel Syndrome: A Comprehensive Clinical Comparison" Diagnostics 12, no. 10: 2433. https://doi.org/10.3390/diagnostics12102433
APA StyleBalcerzak, A. A., Ruzik, K., Tubbs, R. S., Konschake, M., Podgórski, M., Borowski, A., Drobniewski, M., & Olewnik, Ł. (2022). How to Differentiate Pronator Syndrome from Carpal Tunnel Syndrome: A Comprehensive Clinical Comparison. Diagnostics, 12(10), 2433. https://doi.org/10.3390/diagnostics12102433

