Benefits and Limitations of OCT-A in the Diagnosis and Follow-Up of Posterior Intraocular Inflammation in Current Clinical Practice: A Valuable Tool or a Deceiver?
Abstract
1. Introduction
2. OCT-A Technology
Technical Details of OCT-A and Image Processing
3. Use of OCT-A in Clinical Practice for Specific Uveitis Conditions
3.1. Retinal Inflammatory Diseases
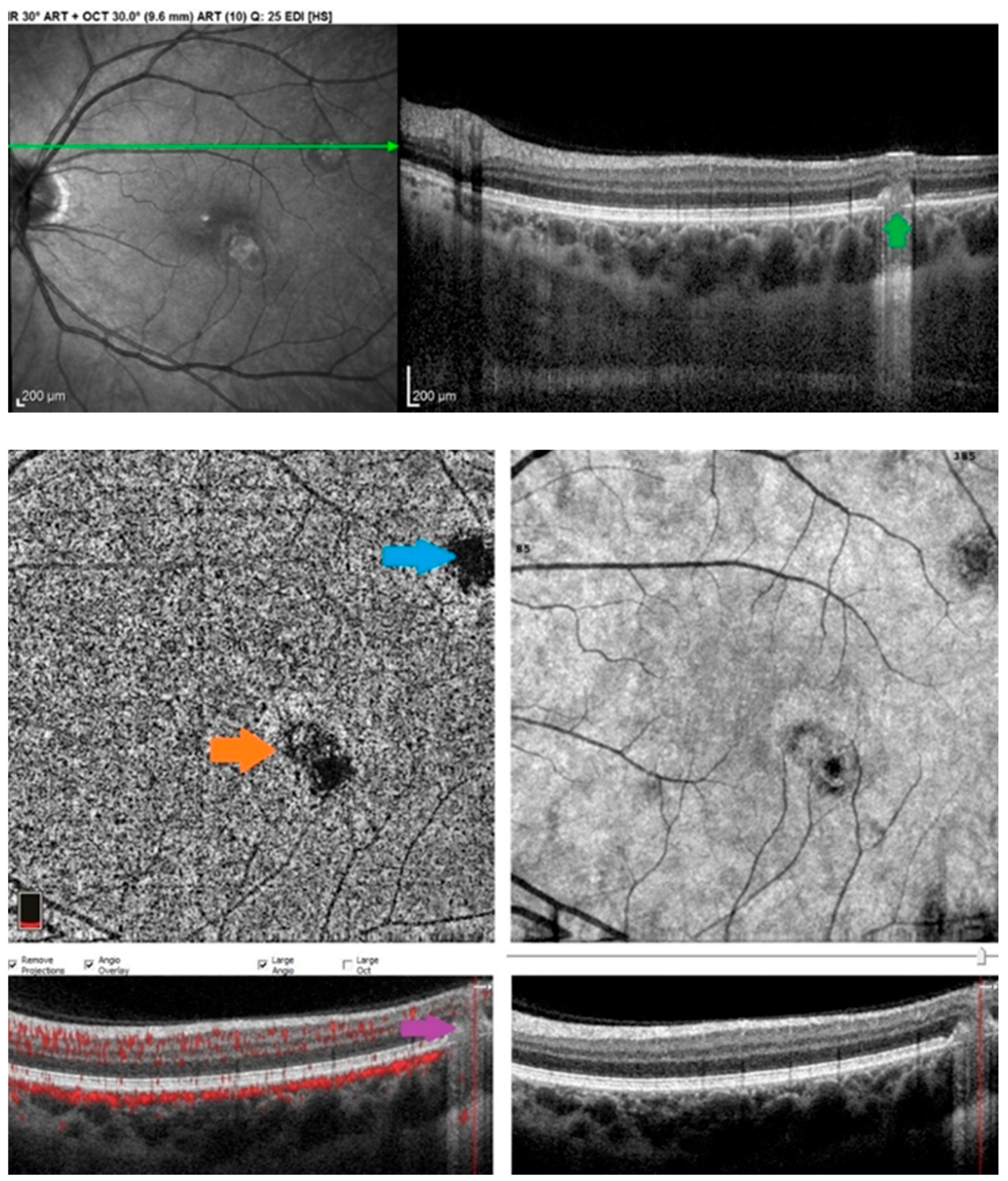
3.1.1. Behçet Uveitis
3.1.2. HLA-A29 Birdshot Retinochoroiditis (BRC)
3.2. Choriocapillaritis Entities
3.2.1. Multiple Evanescent White Dot Syndrome (MEWDS)
3.2.2. Idiopathic Multifocal Choroiditis (MFC)
3.2.3. Acute Posterior Multifocal Placoid Pigment Epitheliopathy/Acute Multifocal Ischaemic Choriocapillaritis (APMPPE/AMIC)
3.2.4. Serpiginous Choroiditis (SC)
3.3. Stromal Choroiditis Entities
3.3.1. Ocular Sarcoidosis (OS)
3.3.2. HLA-A29 Birdshot Retinochoroiditis (BRC)
3.3.3. Vogt–Koyanagi–Harada (VKH)
4. Discussion
Author Contributions
Funding
Institutional Review Board Statement
Informed Consent Statement
Data Availability Statement
Conflicts of Interest
References
- Makita, S.; Hong, Y.; Yamanari, M.; Yatagai, T.; Yasuno, Y. Optical coherence angiography. Opt. Express 2006, 14, 7821–7840. [Google Scholar] [CrossRef] [PubMed]
- Rodríguez, F.J.; On behalf of the Vision Academy Steering Committee; Staurenghi, G.; Gale, R. The role of OCT-A in retinal disease management. Graefe’s Arch. Clin. Exp. Ophthalmol. 2018, 256, 2019–2026. [Google Scholar] [CrossRef] [PubMed]
- Pichi, F.; Sarraf, D.; Arepalli, S.; Lowder, C.Y.; Cunningham, E.T.; Neri, P.; Albini, T.; Gupta, V.; Baynes, K.; Srivastava, S.K. The application of optical coherence tomography angiography in uveitis and inflammatory eye diseases. Prog. Retin. Eye Res. 2017, 59, 178–201. [Google Scholar] [CrossRef] [PubMed]
- Invernizzi, A.; Carreño, E.; Pichi, F.; Munk, M.R.; Agarwal, A.; Zierhut, M.; Pavesio, C. Experts Opinion: OCTA vs. FFA/ICG in Uveitis—Which Will Survive? Ocul. Immunol. Inflamm. 2022, 7, 1–8. [Google Scholar] [CrossRef] [PubMed]
- Huang, D.; Hagag, A.M.; Gao, S.S.; Jia, Y. Optical coherence tomography angiography: Technical principles and clinical applications in ophthalmology. Taiwan J. Ophthalmol. 2017, 7, 115–129. [Google Scholar] [CrossRef]
- Rosenfeld, P.J.; Durbin, M.K.; Roisman, L.; Zheng, F.; Miller, A.; Robbins, G.; Schaal, K.B.; Gregori, G. ZEISS Angioplex™ Spectral Domain Optical Coherence Tomography Angiography: Technical Aspects. OCT Angiogr. Retin. Macular Dis. 2016, 56, 18–29. [Google Scholar] [CrossRef]
- Huang, D.; Jia, Y.; Gao, S.S.; Lumbroso, B.; Rispoli, M. Optical Coherence Tomography Angiography Using the Optovue Device. OCT Angiogr. Retin. Macular Dis. 2016, 56, 6–12. [Google Scholar] [CrossRef]
- Stanga, P.E.; Tsamis, E.; Papayannis, A.; Stringa, F.; Cole, T.; Jalil, A. Swept-Source Optical Coherence Tomography Angio™ (Topcon Corp., Japan): Technology Review. OCT Angiogr. Retin. Macular Dis. 2016, 56, 13–17. [Google Scholar] [CrossRef]
- Coscas, G.; Lupidi, M.; Coscas, F. Heidelberg Spectralis Optical Coherence Tomography Angiography: Technical Aspects. OCT Angiogr. Retin. Macular Dis. 2016, 56, 1–5. [Google Scholar] [CrossRef]
- Jia, Y.; Bailey, S.T.; Hwang, T.S.; McClintic, S.M.; Gao, S.S.; Pennesi, M.E.; Flaxel, C.J.; Lauer, A.K.; Wilson, D.J.; Hornegger, J.; et al. Quantitative optical coherence tomography angiography of vascular abnormalities in the living human eye. Proc. Natl. Acad. Sci. USA 2015, 112, E2395–E2402. [Google Scholar] [CrossRef]
- Eastline, M.; Munk, M.R.; Wolf, S.; Schaal, K.B.; Ebneter, A.; Tian, M.; Giannakaki-Zimmermann, H.; Zinkernagel, M.S. Repeatability of Wide-field Optical Coherence Tomography Angiography in Normal Retina. Transl. Vis. Sci. Technol. 2019, 8, 6. [Google Scholar] [CrossRef] [PubMed]
- Tian, M.; Zeng, G.; Tappeiner, C.; Zinkernagel, M.S.; Wolf, S.; Munk, M.R. Comparison of Indocyanine Green Angiography and Swept-Source Wide-Field Optical Coherence Tomography Angiography in Posterior Uveitis. Front. Med. 2022, 9, 853315. [Google Scholar] [CrossRef] [PubMed]
- Tugal-Tutkun, I.; Onal, S.; Altan-Yaycioglu, R.; Altunbas, H.H.; Urgancioglu, M. Uveitis in Behçet disease: An analysis of 880 patients. Am. J. Ophthalmol. 2004, 138, 373–380. [Google Scholar] [CrossRef]
- Abucham-Neto, J.Z.; Torricelli, A.A.M.; Lui, A.C.F.; Guimarães, S.N.; Nascimento, H.; Regatieri, C.V. Comparison between optical coherence tomography angiography and fluorescein angiography findings in retinal vasculitis. Int. J. Retin. Vitr. 2018, 4, 15. [Google Scholar] [CrossRef] [PubMed]
- Khairallah, M.; Abroug, N.; Khochtali, S.; Mahmoud, A.; Jelliti, B.; Coscas, G.; Lupidi, M.; Kahloun, R.; Ben Yahia, S. Optical coherence tomography angiography in patients with Behçet uveitis. Retina 2017, 37, 1678–1691. [Google Scholar] [CrossRef]
- Papasavvas, I.; Mantovani, A.; Tugal-Tutkun, I.; Herbort, C.P. Multiple evanescent white dot syndrome (MEWDS): Update on practical appraisal, diagnosis and clinicopathology; a review and an alternative comprehensive perspective. J. Ophthalmic Inflamm. Infect. 2021, 11, 45. [Google Scholar] [CrossRef]
- Mantovani, A.; Invernizzi, A.; Staurenghi, G.; Herbort, C.P. Multiple Evanescent White Dot Syndrome: A Multimodal Imaging Study of Foveal Granularity. Ocul. Immunol. Inflamm. 2019, 27, 141–147. [Google Scholar] [CrossRef]
- Desarnaulds, A.B.; Borruat, F.X.; Herbort, C.P.; De Courten, C. L’angiographie au vert d’indocyanine dans le “multiple evanescent white dot syndrome” (MEWDS) [Indocyanine green angiography in “multiple evanescent white dot syndrome” (MEWDS)]. Klin. Mon. Augenheilkd. 1998, 212, 318–320. [Google Scholar] [CrossRef]
- Cimino, L.; Auer, C.; Herbort, C.P. Sensitivity of indocyanine green angiography for the follow-up of active inflammatory choriocapillaropathies. Ocul. Immunol. Inflamm. 2000, 8, 275–283. [Google Scholar] [CrossRef]
- Pichi, F.; Srvivastava, S.K.; Chexal, S.; Lembo, A.; Lima, L.H.; Neri, P.; Saitta, A.; Chhablani, J.; Albini, T.A.; Nucci, P.; et al. En face optical coherence tomography and optical coherence tomography angiography of multiple evanescent white dot syndrome: New insights into pathogenesis. Retina 2016, 36 (Suppl. 1), S178–S188. [Google Scholar] [CrossRef]
- Lages, V.; Mantovani, A.; Papadia, M.; Herbort, C.P. MEWDS is a true primary choriocapillaritis and basic mechanisms do not seem to differ from other choriocapillaritis entities. J. Curr. Ophthalmol. 2018, 30, 281–286. [Google Scholar] [CrossRef] [PubMed]
- Kuznetcova, T.; Jeannin, B.; Herbort, C.P. A case of overlapping choriocapillaritis syndromes: Multimodal imaging appraisal. J. Ophthalmic Vis. Res. 2012, 7, 67–75. [Google Scholar] [PubMed]
- Papasavvas, I.; Neri, P.; Mantovani, A.; Herbort, C.P. Idiopathic multifocal choroiditis (MFC): Aggressive and prolonged therapy with multiple immunosuppressive agents is needed to halt the progression of active disease. An offbeat review and a case series. J. Ophthalmic Inflamm. Infect. 2022, 12, 2. [Google Scholar] [CrossRef] [PubMed]
- Astroz, P.; Miere, A.; Mrejen, S.; Sekfali, R.; Souied, E.H.; Jung, C.; Nghiem-Buffet, S.; Cohen, S.Y. Optical coherence tomography angiography to distinguish choroidal neovascularisation from macular inflammatory lesions in multifocal choroiditis. Retina 2018, 38, 299–309. [Google Scholar] [CrossRef]
- Cheng, L.; Chen, X.; Weng, S.; Mao, L.; Gong, Y.; Yu, S.; Xu, X. Spectral-Domain Optical Coherence Tomography Angiography Findings in Multifocal Choroiditis With Active Lesions. Am. J. Ophthalmol. 2016, 169, 145–161. [Google Scholar] [CrossRef]
- Burke, T.R.; Chu, C.; Salvatore, S.; Bailey, C.C.; Dick, A.D.; Lee, R.; Ross, A.H.; Carreño, E. Application of OCT-angiography to characterise the evolution of chorioretinal lesions in acute posterior multifocal placoid pigment epitheliopathy. Eye 2017, 31, 1399–1408. [Google Scholar] [CrossRef]
- Papasavvas, I.; Mantovani, A.; Herbort, C.P. Acute Posterior Multifocal Placoid Pigment Epitheliopathy (APMPPE): A Comprehensive Approach and Case Series: Systemic Corticosteroid Therapy Is Necessary in a Large Proportion of Cases. Medicina 2022, 58, 1070. [Google Scholar] [CrossRef]
- Papasavvas, I.; Herbort, C.P. Diagnosis and Treatment of Primary Inflammatory Choriocapillaropathies (PICCPs): A Comprehensive Overview. Medicina 2022, 58, 165. [Google Scholar] [CrossRef]
- Testi, I.; Vermeirsch, S.; Pavesio, C. Acute posterior multifocal placoid pigment epitheliopathy (APMPPE). J. Ophthalmic Inflamm. Infect. 2021, 11, 31. [Google Scholar] [CrossRef]
- Mandadi, S.K.R.; Agarwal, A.; Aggarwal, K.; Moharana, B.; Singh, R.; Sharma, A.; Bansal, R.; Dogra, M.R.; Gupta, V.; OCTA Study Group. Novel findings on optical coherence tomography angiography in patients with tubercular serpiginous-like choroiditis. Retina 2017, 37, 1647–1659. [Google Scholar] [CrossRef]
- Montorio, D.; Giuffrè, C.; Miserocchi, E.; Modorati, G.; Sacconi, R.; Mercuri, S.; Querques, L.; Querques, G.; Bandello, F. Swept-source optical coherence tomography angiography in serpiginous choroiditis. Br. J. Ophthalmol. 2018, 102, 991–995. [Google Scholar] [CrossRef] [PubMed]
- Agarwal, A.; Aggarwal, K.; Mandadi, S.K.R.; Kumar, A.; Grewal, D.; Invernizzi, A.; Bansal, R.; Sharma, A.; Sharma, K.; Gupta, V.; et al. Longitudinal follow-up of tubercular serpiginous-like choroiditis using optical coherence tomography angiography. Retina 2021, 41, 793–803. [Google Scholar] [CrossRef] [PubMed]
- Magesan, K.; Sachidanandam, R.; Verma, A.; Biswas, J. Retino-choroidal evaluation of the macular region in eyes with tubercular serpiginous-like choroiditis using swept-source optical coherence tomography angiography. Int. Ophthalmol. 2022, 42, 2651–2664. [Google Scholar] [CrossRef] [PubMed]
- Brar, M.; Grewal, S.S.; Grewal, D.; Sharma, M.; Dogra, M. Swept source optical coherence tomography angiography of a case of retinal artery macro-aneurysm before and after combined laser and intra-vitreal ranibizumab treatment. Indian J. Ophthalmol. 2022, 70, 2710–2712. [Google Scholar] [CrossRef]
- Papasavvas, I.; Jeannin, B.; Herbort, C.P. Tuberculosis-related serpiginous choroiditis: Aggressive therapy with dual concomitant combination of multiple anti-tubercular and multiple immunosuppressive agents is needed to halt the progression of the disease. J. Ophthalmic Inflamm. Infect. 2022, 12, 7. [Google Scholar] [CrossRef]
- El Ameen, A.; Herbort, C.P. serpiginous choroiditis imaged by optical coherence tomography angiography. Retin. Cases Brief Rep. 2018, 12, 279–285. [Google Scholar] [CrossRef]
- Cerquaglia, A.; Iaccheri, B.; Fiore, T.; Fruttini, D.; Belli, F.B.; Khairallah, M.; Lupidi, M.; Cagini, C. New Insights On Ocular Sarcoidosis: An Optical Coherence Tomography Angiography Study. Ocul. Immunol. Inflamm. 2019, 27, 1057–1066. [Google Scholar] [CrossRef]
- Levine, E.S.; Mendonça, L.S.; Baumal, C.R.; Chin, A.T.; Rifkin, L.; Waheed, N.K. Choroidal nonperfusion on optical coherence tomography angiography in a case of unilateral posterior segment ocular sarcoidosis misdiagnosed as MEWDS. Am. J. Ophthalmol. Case Rep. 2020, 20, 100944. [Google Scholar] [CrossRef]
- Herbort, C.P. Comparison of Retinal and Choroidal Involvement in Sarcoidosis-related Chorioretinitis Using Fluorescein and Indocyanine Green Angiography. J. Ophthalmic Vis. Res. 2018, 13, 426–432. [Google Scholar] [CrossRef]
- Herbort, C.P.; Probst, K.; Cimino, L.; Tran, V.T. Differential inflammatory involvement in retina and choroïd in birdshot chorioretinopathy. Klin. Mon. Augenheilkd. 2004, 221, 351–356. [Google Scholar] [CrossRef]
- Papadia, M.; Pavésio, C.; Fardeau, C.; Neri, P.; Kestelyn, P.; Papasavvas, I.; Herbort, C. HLA-A29 Birdshot Retinochoroiditis in Its 5th Decade: Selected Glimpses into the Intellectual Meanderings and Progresses in the Knowledge of a Long-Time Misunderstood Disease. Diagnostics 2021, 11, 1291. [Google Scholar] [CrossRef]
- Roberts, P.K.; Nesper, P.L.; Goldstein, D.A.; Fawzi, A.A. Retinal capillary density in patients with birdshot chorioretinopathy. Retina 2018, 38, 387–394. [Google Scholar] [CrossRef] [PubMed]
- De Carlo, T.E.; Filho, M.A.B.; Adhi, M.; Duker, J.S. Retinal and choroidal vasculature in birdshot chorioretinopathy analyzed using spectral domain optical coherence tomography angiography. Retina 2015, 35, 2392–2399. [Google Scholar] [CrossRef] [PubMed]
- Tugal-Tutkun, I.; The Angiography Scoring for Uveitis Working Group (ASUWOG); Herbort, C.P.; Khairallah, M. Scoring of dual fluorescein and ICG inflammatory angiographic signs for the grading of posterior segment inflammation (dual fluorescein and ICG angiographic scoring system for uveitis). Int. Ophthalmol. 2010, 30, 539–552. [Google Scholar] [CrossRef] [PubMed]
- Gaudio, P.A.; Kaye, D.B.; Crawford, J.B. Histopathology of birdshot retinochoroidopathy. Br J. Ophthalmol. 2002, 86, 1439–1441. [Google Scholar] [CrossRef]
- Pepple, K.L.; Chu, Z.; Weinstein, J.; Munk, M.R.; Van Gelder, R.N.; Wang, R.K. Use of En Face Swept-Source Optical Coherence Tomography Angiography in Identifying Choroidal Flow Voids in 3 Patients With Birdshot Chorioretinopathy. JAMA Ophthalmol. 2018, 136, 1288–1292. [Google Scholar] [CrossRef]
- Herbort, C.P.; Tugal-Tutkun, I.; Abu-El-Asrar, A.; Gupta, A.; Takeuchi, M.; Fardeau, C.; Hedayatfar, A.; Urzua, C.; Papasavvas, I. Precise, simplified diagnostic criteria and optimised management of initial-onset Vogt–Koyanagi–Harada disease: An updated review. Eye 2022, 36, 29–43. [Google Scholar] [CrossRef]
- Elahi, S.; Herbort, C. Vogt-Koyanagi-Harada Disease and Birdshot Retinochoroidopathy, Similarities and Differences: A Glimpse into the Clinicopathology of Stromal Choroiditis, a Perspective and a Review. Klin. Mon. Augenheilkd. 2019, 236, 492–510. [Google Scholar] [CrossRef]
- Miyanaga, M.; Kawaguchi, T.; Miyata, K.; Horie, S.; Mochizuki, M.; Herbort, C.P. Indocyanine green angiography findings in initial acute pretreatment Vogt-Koyanagi-Harada disease in Japanese patients. Jpn. J. Ophthalmol. 2010, 54, 377–382. [Google Scholar] [CrossRef]
- Balci, O.; Gasc, A.; Jeannin, B.; Herbort, C.P., Jr. Enhanced depth imaging is less suited than indocyanine green angiography for close monitoring of primary stromal choroiditis: A pilot report. Int. Ophthalmol. 2017, 37, 737–748. [Google Scholar] [CrossRef]
- Aggarwal, K.; Agarwal, A.; Mahajan, S.; Invernizzi, A.; Mandadi, S.K.R.; Singh, R.; Bansal, R.; Dogra, M.R.; Gupta, V.; The OCTA Study Group. The Role of Optical Coherence Tomography Angiography in the Diagnosis and Management of Acute Vogt–Koyanagi–Harada Disease. Ocul. Immunol. Inflamm. 2018, 26, 142–153. [Google Scholar] [CrossRef] [PubMed]
- Bouchenaki, N.; Herbort, C.P. Indocyanine green angiography guided management of vogt-koyanagi-harada disease. J. Ophthalmic Vis. Res. 2011, 6, 241–248. [Google Scholar] [PubMed]








| Model/Company | Scans/s | Technology | Field of View | Imaging Depth (mm) |
|---|---|---|---|---|
| ZEISS Angioplex™ OCT angiographic imaging on the CIRRUS™ [6] | 68,000 A-scans/s | Full-spectrum | 3 × 3 mm 6 × 6 mm 8 × 8 mm 12 × 12 mm | 2.0–2.9 |
| Optovue AngioVue® (Optovue, Inc., Freemont, CA) [7] | 70 000 A-scans/s | Split-spectrum | 3 × 3 mm 6 × 6 mm 8 × 8 mm | 2.0–3.0 |
| Topcon® Triton [8] | 100,000 A-scans/s | Full-spectrum | 3 × 3 mm 6 × 6 mm | 2.6 |
| Heidelberg engineering® Spectralis OCT2 [9] | 85,000 A-scans/s | Full-spectrum | 3 × 3 mm 6 × 6 mm | 2 |
| Xephilio OCT-S1 Canon® | 100,000 A-scans/s | Swept-source | 3 × 3 mm 6 × 6 mm 8 × 8 mm 20 × 23 mm | 5.3 |
| RS-3000 Advance Angioscan (Nidek®) | 53.000 A-scans/s | Spectral-domain | 3 × 3 mm 6 × 6 mm 9 × 9 mm | 2.5 |
| Plex Elite 9000 Carl Zeiss Meditec® * | Dual speed 100.000 and 200.000 A-scans/s | Swept-source | 3 × 3 mm 6 × 6 mm 12 × 12 mm 9 × 15 mm | 3.0–6.0 |
Publisher’s Note: MDPI stays neutral with regard to jurisdictional claims in published maps and institutional affiliations. |
© 2022 by the authors. Licensee MDPI, Basel, Switzerland. This article is an open access article distributed under the terms and conditions of the Creative Commons Attribution (CC BY) license (https://creativecommons.org/licenses/by/4.0/).
Share and Cite
Herbort, C.P., Jr.; Papasavvas, I.; Tugal-Tutkun, I. Benefits and Limitations of OCT-A in the Diagnosis and Follow-Up of Posterior Intraocular Inflammation in Current Clinical Practice: A Valuable Tool or a Deceiver? Diagnostics 2022, 12, 2384. https://doi.org/10.3390/diagnostics12102384
Herbort CP Jr., Papasavvas I, Tugal-Tutkun I. Benefits and Limitations of OCT-A in the Diagnosis and Follow-Up of Posterior Intraocular Inflammation in Current Clinical Practice: A Valuable Tool or a Deceiver? Diagnostics. 2022; 12(10):2384. https://doi.org/10.3390/diagnostics12102384
Chicago/Turabian StyleHerbort, Carl P., Jr., Ioannis Papasavvas, and Ilknur Tugal-Tutkun. 2022. "Benefits and Limitations of OCT-A in the Diagnosis and Follow-Up of Posterior Intraocular Inflammation in Current Clinical Practice: A Valuable Tool or a Deceiver?" Diagnostics 12, no. 10: 2384. https://doi.org/10.3390/diagnostics12102384
APA StyleHerbort, C. P., Jr., Papasavvas, I., & Tugal-Tutkun, I. (2022). Benefits and Limitations of OCT-A in the Diagnosis and Follow-Up of Posterior Intraocular Inflammation in Current Clinical Practice: A Valuable Tool or a Deceiver? Diagnostics, 12(10), 2384. https://doi.org/10.3390/diagnostics12102384

