Assessment of Acute Lesions of the Biceps Pulley in Patients with Traumatic Shoulder Dislocation Using MR Imaging
Abstract
:1. Introduction
2. Material and Methods
2.1. Study Population and Ethics Statement
2.2. MR Imaging
2.3. Treatment
2.4. Image Analysis
2.5. Statistical Analysis
3. Results
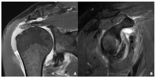
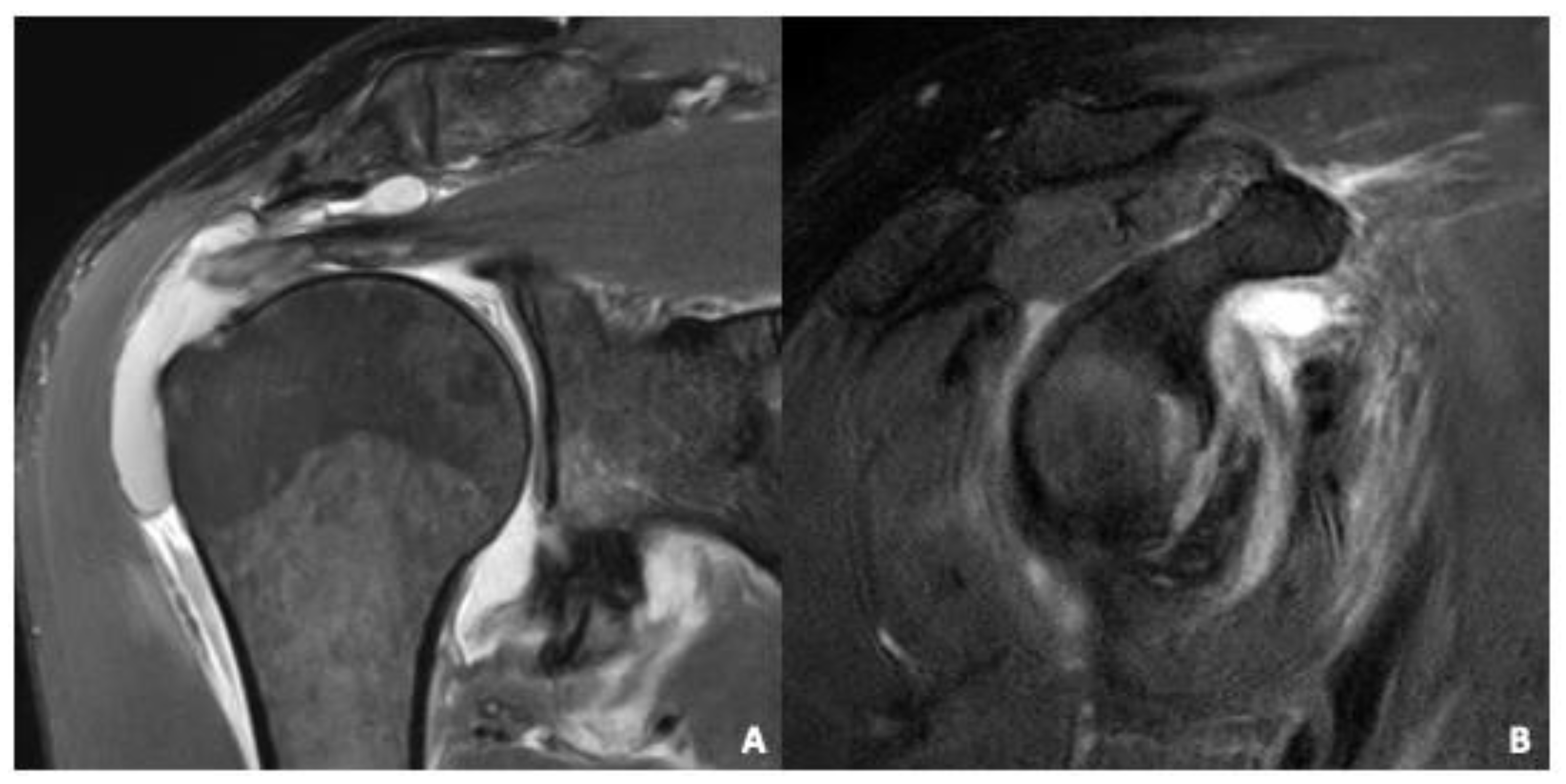
3.1. MR Assessment of Shoulder Pathologies
3.2. Operative Treatment and Correlation with MR Imaging
3.3. Image Quality, Anatomical Landmarks
4. Discussion
5. Conclusions
Author Contributions
Funding
Institutional Review Board Statement
Informed Consent Statement
Data Availability Statement
Conflicts of Interest
Abbreviations
| sGHL | Superior glenohumeral ligament |
| CHL | Coracohumeral ligament |
| MRI | Magnetic resonance imaging |
| SSC | Subscapularis tendon |
| SSP | Supraspinatus tendon |
| ISP | Infraspinatus tendon |
| LHBT | Long head of the biceps tendon |
| SLAP | Lesion of the superior labrum anterior-posterior |
| IM | Intermediate weighted |
| TSE | Turbo-spin echo |
References
- Braun, S.; Horan, M.P.; Elser, F.; Millett, P.J. Lesions of the biceps pulley. Am. J. Sports Med. 2011, 39, 790–795. [Google Scholar] [CrossRef] [PubMed]
- Martetschläger, F.; Zampeli, F.; Tauber, M.; Habermeyer, P. Lesions of the biceps pulley: A prospective study and classification update. JSES Int. 2020, 4, 318–323. [Google Scholar] [CrossRef] [PubMed]
- Petchprapa, C.N.; Beltran, L.S.; Jazrawi, L.M.; Kwon, Y.W.; Babb, J.S.; Recht, M.P. The rotator interval: A review of anatomy, function, and normal and abnormal MRI appearance. AJR Am. J. Roentgenol. 2010, 195, 567–576. [Google Scholar] [CrossRef] [PubMed]
- Ahmad, Z.Y.; Diaz, L.E.; Roemer, F.W.; Goud, A.; Guermazi, A. Imaging Review of Subscapularis Tendon and Rotator Interval Pathology. Radiol. Res. Pract. 2022, 2022, 4009829. [Google Scholar] [CrossRef] [PubMed]
- Gohlke, F.; Essigkrug, B.; Schmitz, F. The pattern of the collagen fiber bundles of the capsule of the glenohumeral joint. J. Shoulder Elbow Surg. 1994, 3, 111–128. [Google Scholar] [CrossRef]
- Morag, Y.; Jacobson, J.A.; Shields, G.; Rajani, R.; Jamadar, D.A.; Miller, B.; Hayes, C.W. MR arthrography of rotator interval, long head of the biceps brachii, and biceps pulley of the shoulder. Radiology 2005, 235, 21–30. [Google Scholar] [CrossRef]
- Woertler, K. Rotator interval. Semin. Musculoskelet. Radiol. 2015, 19, 243–253. [Google Scholar] [CrossRef]
- Habermeyer, P.; Magosch, P.; Pritsch, M.; Scheibel, M.T.; Lichtenberg, S. Anterosuperior impingement of the shoulder as a result of pulley lesions: A prospective arthroscopic study. J. Shoulder Elbow Surg. 2004, 13, 5–12. [Google Scholar] [CrossRef] [PubMed]
- Le Huec, J.C.; Schaeverbeke, T.; Moinard, M.; Kind, M.; Diard, F.; Dehais, J.; Le Rebeller, A. Traumatic tear of the rotator interval. J. Shoulder Elbow Surg. 1996, 5, 41–46. [Google Scholar] [CrossRef]
- Gerber, C.; Sebesta, A. Impingement of the deep surface of the subscapularis tendon and the reflection pulley on the anterosuperior glenoid rim: A preliminary report. J. Shoulder Elbow Surg. 2000, 9, 483–490. [Google Scholar] [CrossRef]
- Bennett, W.F. Arthroscopic repair of anterosuperior (supraspinatus/subscapularis) rotator cuff tears: A prospective cohort with 2- to 4-year follow-up. Classification of biceps subluxation/instability. Arthroscopy 2003, 19, 21–33. [Google Scholar] [CrossRef] [PubMed]
- Bennett, W.F. Subscapularis, medial, and lateral head coracohumeral ligament insertion anatomy. Arthroscopic appearance and incidence of “hidden” rotator interval lesions. Arthroscopy 2001, 17, 173–180. [Google Scholar] [CrossRef]
- Walch, G.; Nové-Josserand, L.; Boileau, P.; Levigne, C. Subluxations and dislocations of the tendon of the long head of the biceps. J. Shoulder Elbow Surg. 1998, 7, 100–108. [Google Scholar] [CrossRef]
- Cutts, S.; Prempeh, M.; Drew, S. Anterior shoulder dislocation. Ann. R. Coll. Surg. Engl. 2009, 91, 2–7. [Google Scholar] [CrossRef]
- Braun, C.; McRobert, C.J. Conservative management following closed reduction of traumatic anterior dislocation of the shoulder. Cochrane Database Syst. Rev. 2019, 5, Cd004962. [Google Scholar] [CrossRef]
- Arner, J.W.; Peebles, L.A.; Bradley, J.P.; Provencher, M.T. Anterior Shoulder Instability Management: Indications, Techniques, and Outcomes. Arthroscopy 2020, 36, 2791–2793. [Google Scholar] [CrossRef] [PubMed]
- Thiesen, D.M.; Ernst, M.; Meyer, J.; Spiro, A.S.; Yamamura, J.; Klatte, T.O. Glenoid and rotator interval dimension in patients older than 40 years after traumatic anterior shoulder dislocation. Arch. Orthop. Trauma Surg. 2019, 139, 181–187. [Google Scholar] [CrossRef] [PubMed]
- Kim, K.C.; Rhee, K.J.; Shin, H.D.; Kim, Y.M. Estimating the dimensions of the rotator interval with use of magnetic resonance arthrography. J. Bone Jt. Surg. Am. 2007, 89, 2450–2455. [Google Scholar] [CrossRef]
- Lee, J.C.; Guy, S.; Connell, D.; Saifuddin, A.; Lambert, S. MRI of the rotator interval of the shoulder. Clin. Radiol. 2007, 62, 416–423. [Google Scholar] [CrossRef]
- Shin, S.J.; Yun, Y.H.; Kim, D.J.; Yoo, J.D. Treatment of traumatic anterior shoulder dislocation in patients older than 60 years. Am. J. Sports Med. 2012, 40, 822–827. [Google Scholar] [CrossRef] [PubMed]
- Toolanen, G.; Hildingsson, C.; Hedlund, T.; Knibestöl, M.; Oberg, L. Early complications after anterior dislocation of the shoulder in patients over 40 years. An. ultrasonographic and electromyographic study. Acta Orthop. Scand. 1993, 64, 549–552. [Google Scholar] [CrossRef] [PubMed]
- Owens, B.D.; Campbell, S.E.; Cameron, K.L. Risk Factors for Anterior Glenohumeral Instability. Am. J. Sport. Med. 2014, 42, 2591–2596. [Google Scholar] [CrossRef]
- van Spanning, S.H.; Verweij, L.; Priester-Vink, S.; van Deurzen, D.; van den Bekerom, M. Operative Versus Nonoperative Treatment Following First-Time Anterior Shoulder Dislocation: A Systematic Review and Meta-Analysis. JBJS Rev. 2021, 9, e20. [Google Scholar] [CrossRef]
- Hurley, E.T.; Manjunath, A.K.; Bloom, D.A.; Pauzenberger, L.; Mullett, H.; Alaia, M.J.; Strauss, E.J. Arthroscopic Bankart Repair Versus Conservative Management for First-Time Traumatic Anterior Shoulder Instability: A Systematic Review and Meta-analysis. Arthroscopy 2020, 36, 2526–2532. [Google Scholar] [CrossRef] [PubMed]
- Alkhatib, N.; Abdullah, A.; AlNouri, M.; Ahmad Alzobi, O.Z.; Alkaramany, E.; Ishibashi, Y. Short- and long-term outcomes in Bankart repair vs. conservative treatment for first-time anterior shoulder dislocation: A systematic review and meta-analysis of randomized controlled trials. J. Shoulder Elbow Surg. 2022, 31, 1751–1762. [Google Scholar] [CrossRef]
- Hovelius, L.; Olofsson, A.; Sandström, B.; Augustini, B.G.; Krantz, L.; Fredin, H.; Tillander, B.; Skoglund, U.; Salomonsson, B.; Nowak, J.; et al. Nonoperative treatment of primary anterior shoulder dislocation in patients forty years of age and younger. A prospective twenty-five-year follow-up. J. Bone Jt. Surg. Am. 2008, 90, 945–952. [Google Scholar] [CrossRef]
- Morag, Y.; Jacobson, J.A.; Miller, B.; De Maeseneer, M.; Girish, G.; Jamadar, D. MR Imaging of Rotator Cuff Injury: What the Clinician Needs to Know. RadioGraphics 2006, 26, 1045–1065. [Google Scholar] [CrossRef]
- Saliken, D.J.; Bornes, T.D.; Bouliane, M.J.; Sheps, D.M.; Beaupre, L.A. Imaging methods for quantifying glenoid and Hill-Sachs bone loss in traumatic instability of the shoulder: A scoping review. BMC Musculoskeletal. Disord. 2015, 16, 164. [Google Scholar] [CrossRef]
- Kanatli, U.; Ozturk, B.Y.; Bolukbasi, S. Anatomical variations of the anterosuperior labrum: Prevalence and association with type II superior labrum anterior-posterior (SLAP) lesions. J. Shoulder Elbow Surg. 2010, 19, 1199–1203. [Google Scholar] [CrossRef]
- Bennett, W.F. Arthroscopic bicipital sheath repair: Two-year follow-up with pulley lesions. Arthroscopy 2004, 20, 964–973. [Google Scholar] [CrossRef]
- Lafosse, L.; Reiland, Y.; Baier, G.P.; Toussaint, B.; Jost, B. Anterior and posterior instability of the long head of the biceps tendon in rotator cuff tears: A new classification based on arthroscopic observations. Arthroscopy 2007, 23, 73–80. [Google Scholar] [CrossRef] [PubMed]
- Schaeffeler, C.; Waldt, S.; Holzapfel, K.; Kirchhoff, C.; Jungmann, P.M.; Wolf, P.; Stat, D.; Schröder, M.; Rummeny, E.J.; Imhoff, A.B.; et al. Lesions of the biceps pulley: Diagnostic accuracy of MR arthrography of the shoulder and evaluation of previously described and new diagnostic signs. Radiology 2012, 264, 504–513. [Google Scholar] [CrossRef] [PubMed]
- Clement, N.D.; Nie, Y.X.; McBirnie, J.M. Management of degenerative rotator cuff tears: A review and treatment strategy. Sports Med. Arthrosc. Rehabil. Ther. Technol. 2012, 4, 48. [Google Scholar] [CrossRef] [PubMed]
- Teunis, T.; Lubberts, B.; Reilly, B.T.; Ring, D. A systematic review and pooled analysis of the prevalence of rotator cuff disease with increasing age. J. Shoulder Elbow Surg. 2014, 23, 1913–1921. [Google Scholar] [CrossRef]





| Sequence | Axial IM/SPIR | Sagittal IM/SPIR | Coronal IM/SPIR | Sagittal T2 | Coronal T1 |
|---|---|---|---|---|---|
| Echo time (ms) | 50 | 50 | 50 | 80 | 19 |
| Repetition time (ms) | 2450 | 2400 | 2400 | 2500 | 730 |
| TSE factor | 16 | 16 | 16 | 16 | 5 |
| Field of view (mm3) | 160 × 160 × 83 | 160 × 160 × 83 | 160 × 160 × 83 | 160 × 160 × 108 | 160 × 160 × 76 |
| Voxel size (acquisition, mm3) | 0.4 × 0.54 × 3.0 | 0.4 × 0.54 × 3.0 | 0.4 × 0.54 × 3.0 | 0.35 × 0.49 × 3.0 | 0.35 × 0.45 × 3.0 |
| Voxel size (reconstructed, mm3) | 0.28 × 0.28 × 3.0 | 0.28 × 0.28 × 3.0 | 0.28 × 0.28 × 3.0 | 0.24 × 0.24 × 3.0 | 0.24 × 0.24 × 3.0 |
| Slice Thickness (mm) | 3 | 3 | 3 | 3 | 3 |
| Slice number | 31 | 28 | 26 | 30 | 23 |
| Acquisition time (min) | 3.24 | 3.18 | 3.39 | 3.11 | 2.3 |
| Parameters | Description | Grading and Frequency (n, %) |
|---|---|---|
| Biceps pulley | Pulley Lesions graded according to Habermeyer et al. [8] | sGHLtear: 16 (48%) CHL tear: 12 (36%) sGHL and CHL tear: 11 (33%) |
| LHBT | Subluxation/dislocation of the LHBT | Subluxation: 4 (12%) Dislocation: 0 (0%) |
| Rotator cuff tendons | Tendinopathy including: subacromial impingement, rotator cuff tendinitis/tendinosis, calcific tendonitis. | No pathology: 10 (30%) Tendinopathy: 16 (48%) Partial or complete tear: 20 (61%) |
| Rotator cuff muscles | Fatty infiltration assessed according to Goutallier et al. [27] | No pathology: 24 (73%) Fatty infiltration: 0 (0%) Acute injury: 9 (27%) |
| Bone | Assessment for osseous defects such as osseous/bony Bankart and Hill-Sachs lesions [28] | Normal signal: 1 (63%) Greater tuberosity fracture: 2 (5%) Hill Sachs defect: 29 (88%), Osseous/Bony Bankart defect: 14 (42%) |
| Labrum | Assessment for defects of the labrum e.g., antero- inferior after dislocation, anatomical variations of the labrum according to Kanatli et al. [29] | Normal Labrum: 1 (3%) Anatomical normal variant: 0 (3%) Lesion: 32 (97%) |
| Cartilage | Visual grading of signal inhomogeneities or defects of articular cartilage | Normal signal: 25 (76%) Abnormal: 8 (24%) |
| Rater 1 | Rater 2 | |
|---|---|---|
| Diagnostic confidence 1 | 4.5 ± 0.4 | 4.3 ± 0.5 |
| Overall image quality 2 | 4.3 ± 0.7 | 4.5 ± 0.4 |
| Overall visibility of anatomical landmarks 3 | 4.1 ± 0.6 | 4.4 ± 0.8 |
| Anatomical Regions | Rater 1 | Rater 2 |
|---|---|---|
| Biceps pulley | 4.4 ± 0.4 | 4.5 ± 0.3 |
| LHBT | 4.0 ± 0.4 | 4.0 ± 0.4 |
| Rotator cuff | 4.2 ± 0.3 | 4.2 ± 0.3 |
| Labroligamentous complex | 4.5 ± 0.3 | 4.5 ± 0.4 |
| Articular cartilage | 4.7 ± 0.3 | 4.7 ± 0.5 |
| Axillary recess | 4.0 ± 0.5 | 4.1 ± 0.5 |
| Inferior glenohumeral ligament | 4.1 ± 0.7 | 4.2 ± 0.2 |
| Bone | 4.2 ± 0.4 | 3.9 ± 0.5 |
| Muscle | 4.3 ± 0.3 | 4.3 ± 0.4 |
Publisher’s Note: MDPI stays neutral with regard to jurisdictional claims in published maps and institutional affiliations. |
© 2022 by the authors. Licensee MDPI, Basel, Switzerland. This article is an open access article distributed under the terms and conditions of the Creative Commons Attribution (CC BY) license (https://creativecommons.org/licenses/by/4.0/).
Share and Cite
Feuerriegel, G.C.; Lenhart, N.S.; Leonhardt, Y.; Gassert, F.T.; Biberthaler, P.; Siebenlist, S.; Kirchhoff, C.; Makowski, M.R.; Woertler, K.; Gersing, A.S.; et al. Assessment of Acute Lesions of the Biceps Pulley in Patients with Traumatic Shoulder Dislocation Using MR Imaging. Diagnostics 2022, 12, 2345. https://doi.org/10.3390/diagnostics12102345
Feuerriegel GC, Lenhart NS, Leonhardt Y, Gassert FT, Biberthaler P, Siebenlist S, Kirchhoff C, Makowski MR, Woertler K, Gersing AS, et al. Assessment of Acute Lesions of the Biceps Pulley in Patients with Traumatic Shoulder Dislocation Using MR Imaging. Diagnostics. 2022; 12(10):2345. https://doi.org/10.3390/diagnostics12102345
Chicago/Turabian StyleFeuerriegel, Georg C., Nicolas S. Lenhart, Yannik Leonhardt, Florian T. Gassert, Peter Biberthaler, Sebastian Siebenlist, Chlodwig Kirchhoff, Marcus R. Makowski, Klaus Woertler, Alexandra S. Gersing, and et al. 2022. "Assessment of Acute Lesions of the Biceps Pulley in Patients with Traumatic Shoulder Dislocation Using MR Imaging" Diagnostics 12, no. 10: 2345. https://doi.org/10.3390/diagnostics12102345
APA StyleFeuerriegel, G. C., Lenhart, N. S., Leonhardt, Y., Gassert, F. T., Biberthaler, P., Siebenlist, S., Kirchhoff, C., Makowski, M. R., Woertler, K., Gersing, A. S., Neumann, J., & Wurm, M. (2022). Assessment of Acute Lesions of the Biceps Pulley in Patients with Traumatic Shoulder Dislocation Using MR Imaging. Diagnostics, 12(10), 2345. https://doi.org/10.3390/diagnostics12102345

