The Effects of Suprabullar Pneumatization on the Orientation of Its Surrounding Anatomical Structures Relevant to the Frontal Drainage Pathway
Abstract
1. Introduction
2. Materials and Methods
2.1. Evaluation of Suprabullar Pneumatization and Anterior Ethmoid Sinus Volume
- Type 0 was absent of suprabullar air cells between ethmoid bulla and skull base;
- Type 1 was presence of a single suprabullar air cell between ethmoid bulla and skull base;
- Type 2 was presence of multiple suprabullar air cells above the ethmoid bulla, without extension into the frontal sinus;
- Type 3 was presence of either a single or multiple suprabullar air cells above the ethmoid bulla, with extension into the frontal sinus;
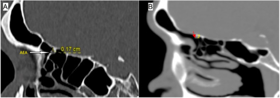
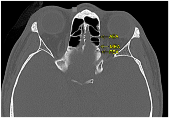
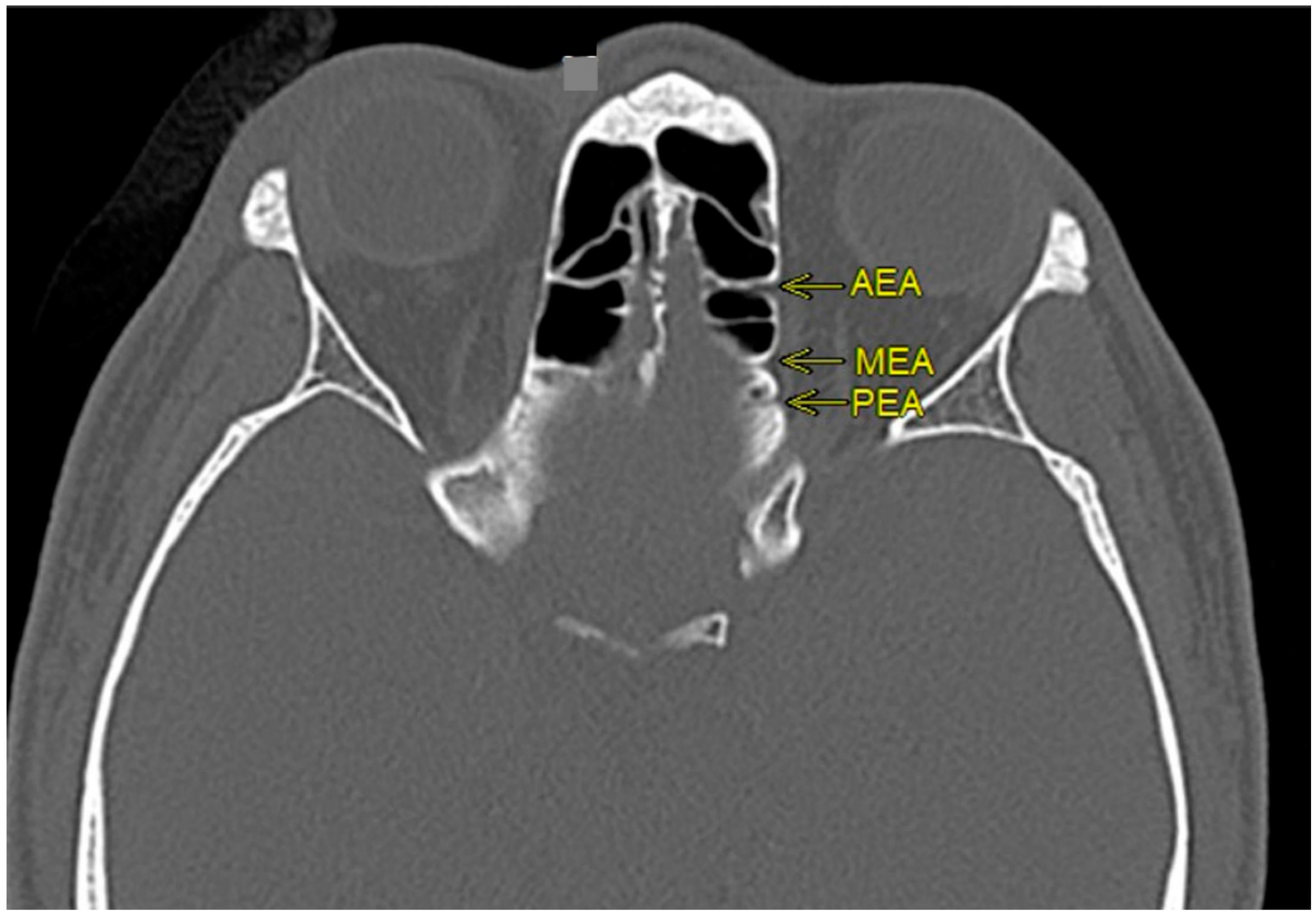
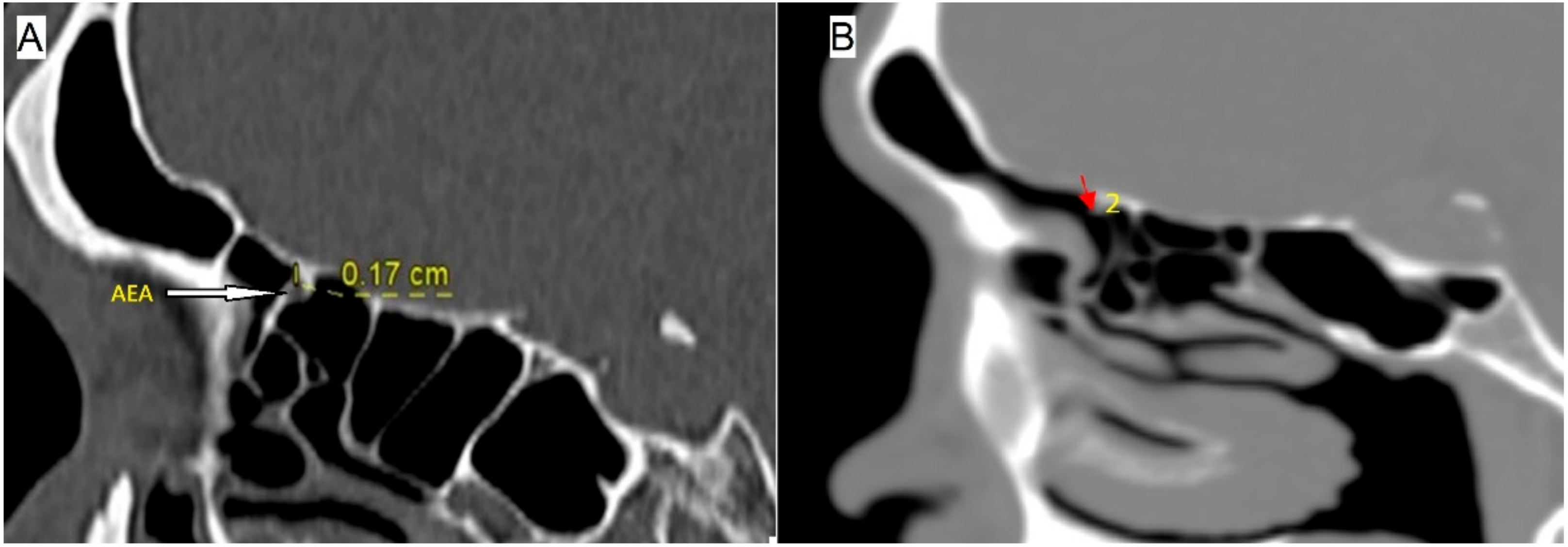
2.2. Evaluation of Anterior Ethmoidal and Middle Ethmoidal Arteries
2.3. Measurement of Anterior Ethmoidal and Middle Ethmoidal Arteries to Related Anatomical Structures
2.4. Statistical Analysis
3. Results
3.1. Demographic Data
3.2. Suprabullar Pneumatization and Ethmoidal Arteries
3.3. Correlation of Suprabullar Pneumatization with Anterior Ethmoid Sinus Volume
4. Discussion
5. Conclusions
Author Contributions
Funding
Institutional Review Board Statement
Informed Consent Statement
Data Availability Statement
Conflicts of Interest
References
- Harvey, R.J.; Shelton, W.; Timperley, D.; Debnath, N.I.; Byrd, K.; Buchmann, L.; Gallagher, R.M.; Orlandi, R.R.; Sacks, R.; Schlosser, R.J. Using fixed anatomical landmarks in endoscopic skull base surgery. Am. J. Rhinol. Allergy 2010, 24, 301–305. [Google Scholar] [CrossRef] [PubMed]
- Suzuki, S.; Yasunaga, H.; Matsui, H.; Fushimi, K.; Kondo, K.; Yamasoba, T. Complication rates after functional endoscopic sinus surgery: Analysis of 50,734 Japanese patients. Laryngoscope 2015, 125, 1785–1791. [Google Scholar] [CrossRef]
- Yang, Y.X.; Lu, Q.K.; Liao, J.C.; Dang, R.S. Morphological characteristics of the anterior ethmoidal artery in ethmoid roof and endoscopic localization. Skull Base 2009, 19, 311–317. [Google Scholar] [CrossRef] [PubMed]
- Vatanasapt, P.; Thanaviratananich, S.; Chaisiwamongkol, K. Landmark of ethmoid arteries in adult Thai cadavers: Application for sinus surgery. J. Med. Assoc. Thail. 2012, 95, S153–S156. [Google Scholar] [PubMed]
- Takahashi, Y.; Kakizaki, H.; Nakano, T. Accessory ethmoidal foramina: An anatomical study. Ophthalmic Plast. Reconstr. Surg. 2011, 27, 125–127. [Google Scholar] [CrossRef] [PubMed]
- Tan, K.L.; Lee, W.H.; Kim, J.W. Classification of suprabullar pneumatization according to the skull base attachment of the second lamella. Eur. Arch. Otorhinolaryngol. 2017, 274, 223–229. [Google Scholar] [CrossRef] [PubMed]
- Wormald, P.J.; Hoseman, W.; Callejas, C.; Weber, R.K.; Kennedy, D.W.; Citardi, M.J.; Senior, B.A.; Smith, T.L.; Hwang, P.H.; Orlandi, R.R.; et al. The International Frontal Sinus Anatomy Classification (IFAC) and Classification of the Extent of Endoscopic Frontal Sinus Surgery (EFSS). Int. Forum Allergy Rhinol. 2016, 6, 677–696. [Google Scholar] [CrossRef] [PubMed]
- Shi, M.; Wu, Y.; Wang, Y.; Wang, M.; Yuan, F.; Xing, Z.; Li, H.; Huang, S. Computed Tomography Analysis of the Anterosuperior Portion of the Bulla Lamella in Chinese Subjects and Its Surgical Significance in Endoscopic Frontal Sinusotomy. ORL J. Otorhinolaryngol. Relat. Spec. 2021, 1–7. [Google Scholar] [CrossRef]
- Park, S.S.; Yoon, B.N.; Cho, K.S.; Roh, H.J. Pneumatization Pattern of the Frontal Recess: Relationship of the Anterior-to-Posterior Length of Frontal Isthmus and/or Frontal Recess with the Volume of Agger Nasi Cell. Clin. Exp. Otorhinolaryngol. 2010, 3, 76–83. [Google Scholar] [CrossRef] [PubMed]
- Eren, E.; Altay, C.; Arslanoglu, S.; Erdogan, N.K.; Uluc, M.E.; Onal, K.; Katilmis, H. Searching for the cheese: Does ethmoid pneumatization affect the location of the anterior ethmoid artery? Eur. Arch. Otorhinolaryngol. 2014, 271, 281–285. [Google Scholar] [CrossRef]
- Okuni, T.; Takano, K.; Nomura, K.; Yamashita, K.; Abe, A.; Ito, F.; Murayama, K.; Shirasaki, H.; Himi, T. Radiological Assessment of the Anatomy of Frontal Recess Cells and the Anterior Ethmoidal Artery. Adv. Otorhinolaryngol. 2016, 77, 46–51. [Google Scholar] [PubMed]
- Kho, J.P.Y.; Tang, I.P.; Tan, K.S.; Koa, A.J.; Prepageran, N.; Rajagopalan, R. Radiological Study of the Ethmoidal Arteries in the Nasal Cavity and Its Pertinence to the Endoscopic Surgeon. Indian J. Otolaryngol. Head Neck Surg. 2019, 71, 1994–1999. [Google Scholar] [CrossRef]
- Schober, P.; Boer, C.; Schwarte, L.A. Correlation Coefficients: Appropriate Use and Interpretation. Anesth. Analg. 2018, 126, 1763–1768. [Google Scholar] [CrossRef] [PubMed]
- Curtin, F.; Schulz, P. Multiple correlations and Bonferroni’s correction. Biol. Psychiatry 1998, 44, 775–777. [Google Scholar] [CrossRef]
- Ferrari, M.; Pianta, L.; Borghesi, A.; Schreiber, A.; Ravanelli, M.; Mattavelli, D.; Rampinelli, V.; Belotti, F.; Rodella, L.F.; Maroldi, R.; et al. The ethmoidal arteries: A cadaveric study based on cone beam computed tomography and endoscopic dissection. Surg. Radiol. Anat. 2017, 39, 991–998. [Google Scholar] [CrossRef] [PubMed]
- Souza, S.A.; Souza, M.M.; Gregorio, L.C.; Ajzen, S. Anterior ethmoidal artery evaluation on coronal CT scans. Braz. J. Otorhinolaryngol. 2009, 75, 101–106. [Google Scholar] [CrossRef]
- Ko, Y.B.; Kim, M.G.; Jung, Y.G. The anatomical relationship between the anterior ethmoid artery, frontal sinus, and intervening air cells; can the artery be useful landmark. Korean J. Otorhinolaryngol. Head Neck Surg. 2014, 57, 687–691. [Google Scholar] [CrossRef]
- Moon, H.J.; Kim, H.U.; Lee, J.G.; Chung, I.H.; Yoon, J.H. Surgical anatomy of the anterior ethmoidal canal in ethmoid roof. Laryngoscope 2001, 111, 900–904. [Google Scholar] [CrossRef] [PubMed]
- Thomas, L.; Pallanch, J.F. Three-dimensional CT reconstruction and virtual endoscopic study of the ostial orientations of the frontal recess. Am. J. Rhinol. Allergy 2010, 24, 378–384. [Google Scholar] [CrossRef] [PubMed]
- Dearking, A.C.; Pallanch, J.F. Mapping the frontal sinus ostia using virtual endoscopy. Laryngoscope 2012, 122, 2143–2147. [Google Scholar] [CrossRef] [PubMed]
- Fawzi, N.E.A.; Lazim, N.M.; Aziz, M.E.; Mohammad, Z.W.; Abdullah, B. The prevalence of frontal cell variants according to the International Frontal Sinus Anatomy Classification and their associations with frontal sinusitis. Eur. Arch. Otorhinolaryngol. 2021. online ahead of print. [Google Scholar] [CrossRef] [PubMed]
- Sommer, F.; Hoffmann, T.K.; Harter, L.; Döscher, J.; Kleiner, S.; Lindemann, J.; Leunig, A. Incidence of anatomical variations according to the International Frontal Sinus Anatomy Classification (IFAC) and their coincidence with radiological signs of opacification. Eur. Arch. Otorhinolaryngol. 2019, 276, 3139–3146. [Google Scholar] [CrossRef] [PubMed]
- Emirzeoglu, M.; Sahin, B.; Bilgic, S.; Celebi, M.; Uzun, A. Volumetric evaluation of the paranasal sinuses in normal subjects using computer tomography images: A stereological study. Auris Nasus Larynx 2007, 34, 191–195. [Google Scholar] [CrossRef] [PubMed]
- Bulescu, I.A.; Munteanu, O.; Stanciulescu, R.; Pantu, C.; Enyedi, M.; Filipoiu, F.; Budu, V.A. Computed-tomography volumetric study of the ethmoid labyrinth. Rom. J. Rhinol. 2017, 7, 181–184. [Google Scholar] [CrossRef][Green Version]




| Variables | CTPNS Sides n (%) | Suprabullar Pneumatization Classification | p Value * | |||
|---|---|---|---|---|---|---|
| Type 0 n (%) | Type 1 n (%) | Type 2 n (%) | Type 3 n (%) | |||
| Age (years) (Mean, SD) | 46.83 (19.8) | 46.14 (19.1) | 49.46 (19.2) | 46.75 (19.9) | 44.23 (20.9) | 0.3 a |
| Gender Male Female | 172 (46.5) 198 (53.5) | 20 (11.6) 30 (15.2) | 44 (25.6) 40 (20.2) | 84 (48.8) 86 (43.4) | 24 (14.0) 42 (21.2) | 0.9 b |
| Ethnicity Malay Chinese Indian | 334 (90.3) 32 (8.7) 4 (1.1) | 44 (13.2) 6 (18.8) 0 | 75 (22.5) 8 (25.0) 1 (25.0) | 152 (45.5) 15 (46.9) 3 (75.0) | 63 (18.9) 3 (9.4) 0 | 0.2 b |
| Total (n, %) | 370 (100) | 50 (13.5) | 84 (22.7) | 170 (45.9) | 66 (17.8) | |
| Variables | Type of Suprabullar Pneumatization | Distance of AEA to Different Related Anatomy | F-Stat (df) | p Value * (ANOVA Test) | ||
|---|---|---|---|---|---|---|
| Mean | (95% CI) | |||||
| Lower Bound | Upper Bound | |||||
| AEA to frontonasal beak | 0 1 2 3 | 12.72 12.90 13.34 13.46 | (11.79, 13.64) (12.23, 13.57) (12.86, 13.82) (12.66, 14.26) | 0.89 (3369) | 0.44 | |
| AEA to frontal ostium | 0 1 2 3 | 11.78 11.69 12.20 12.09 | (10.67, 12.89) (10.69, 12.69) (11.60, 12.81) (11.13, 13.04) | 0.34 (3361) | 0.79 | |
| AEA to second lamella | 0 1 2 3 | 6.03 6.41 7.13 9.87 | (4.81, 7.25) (5.57, 7.24) (6.55, 7.70) (8.80, 10.93) | 12.84 (3324) | <0.001 | |
| AEA to third lamella | 0 1 2 3 | 5.26 5.18 5.05 6.36 | (4.36, 6.16) (4.34, 5.72) (4.62, 5.49) (5.30, 7.43) | 2.81 (3315) | 0.04 | |
| AEA to MEA | 0 1 2 3 | 8.65 8.35 8.70 7.61 | (6.83, 10.46) (6.79, 9.92) (7.73, 9.68) (5.66, 9.56) | 0.52 (351) | 0.67 | |
| AEA to PEA | 0 1 2 3 | 11.73 12.04 11.64 12.04 | (10.80, 12.65) (11.28, 12.81) (11.16, 12.12) (11.26, 12.82) | 0.42 (3307) | 0.73 | |
| Type of Suprabullar Pneumatization | p Value * (ANOVA Test) | ||||
|---|---|---|---|---|---|
| 0 | 1 | 2 | 3 | ||
| Anterior ethmoid sinus volume, cm3 (mean, SD) | 2.15 (0.93) | 2.14 (0.87) | 2.24 (0.95) | 2.45 (0.71) | 0.04 |
| Variables | Correlation Coefficient (r) | p Value * (Pearson Correlation Test) |
|---|---|---|
| Distance of anterior ethmoidal artery to skull base | 0.18 | <0.001 |
| Distance of anterior ethmoidal artery to frontal nasal beak | 0.14 | <0.001 |
| Distance of anterior ethmoidal artery to frontal ostium | 0.08 | 0.11 |
| Distance of anterior ethmoidal artery to second lamella | 0.01 | 0.79 |
| Distance of anterior ethmoidal artery to third lamella | 0.06 | 0.22 |
Publisher’s Note: MDPI stays neutral with regard to jurisdictional claims in published maps and institutional affiliations. |
© 2021 by the authors. Licensee MDPI, Basel, Switzerland. This article is an open access article distributed under the terms and conditions of the Creative Commons Attribution (CC BY) license (https://creativecommons.org/licenses/by/4.0/).
Share and Cite
Umar, N.F.; Aziz, M.E.; Mat Lazim, N.; Abdullah, B. The Effects of Suprabullar Pneumatization on the Orientation of Its Surrounding Anatomical Structures Relevant to the Frontal Drainage Pathway. Diagnostics 2022, 12, 52. https://doi.org/10.3390/diagnostics12010052
Umar NF, Aziz ME, Mat Lazim N, Abdullah B. The Effects of Suprabullar Pneumatization on the Orientation of Its Surrounding Anatomical Structures Relevant to the Frontal Drainage Pathway. Diagnostics. 2022; 12(1):52. https://doi.org/10.3390/diagnostics12010052
Chicago/Turabian StyleUmar, Nikma Fadlati, Mohd Ezane Aziz, Norhafiza Mat Lazim, and Baharudin Abdullah. 2022. "The Effects of Suprabullar Pneumatization on the Orientation of Its Surrounding Anatomical Structures Relevant to the Frontal Drainage Pathway" Diagnostics 12, no. 1: 52. https://doi.org/10.3390/diagnostics12010052
APA StyleUmar, N. F., Aziz, M. E., Mat Lazim, N., & Abdullah, B. (2022). The Effects of Suprabullar Pneumatization on the Orientation of Its Surrounding Anatomical Structures Relevant to the Frontal Drainage Pathway. Diagnostics, 12(1), 52. https://doi.org/10.3390/diagnostics12010052

