A Deep Learning Based Approach for Patient Pulmonary CT Image Screening to Predict Coronavirus (SARS-CoV-2) Infection
Abstract
:1. Introduction
2. Related Works
3. Materials and Methods
3.1. Source of Dataset and Description
3.2. Dataset Preprocessing
- As the advanced grayscale image was ranging in pixel estimates (0, 255), the retuned raw data of the CT image was appropriately transformed from the Hounsfield unit (HU) to the aforementioned properties. The HU data frame was truncated to within (−1200, 600) (any value other than this was set to −1200 or 600) and then standardized to (0, 255), directly corresponding to the digital format as presented in Figure 3a.
- A fixed range (−600) was used to remove or binarize the returned computed tomography images, and delicate bones and tissues, e.g., nerves and muscles, were filtered with considerable HU values Figure 3b.
- Each associated segment smaller than 0.3 cm2 and more than 0.99 unpredictable was ejected to remove some noise from high-brightness spiral imaging. The segment (usually clothes and ancillary equipment other than the human body) was also evacuated with center point separation of the CT image over 7 cm. In addition, segments with volumes of 450 and 7500 cm3 were retained, as seen in Figure 3c. In the current investigation the range was increased to the contrary and those who announced the discovery of the lung knob were 22, which ranged from 680 to 75% cm3. Knob detection study typically focuses on small spots, while viral infection can be progressively for COVID-19 cases.
- In step 3, the mask disintegrated into two separate regions and then expanded to the original shape to remove the small black spots Figure 3d.
- High-structure activity, i.e., convex hull operation was performed on the effective region to include areas of viral disease associated with the external mass of the lung, which had been removed from previous advances.
- Image matrix data from step 1 was replicated by the exchanged masks from step 5 to obtain the final powerful aspiration region for further preparation. The region outside the mask was filled with 193, which was proportional to 0 when it returned to the HU estimate as Figure 3f.
3.3. Data Processing and Augmentation Process Segment
3.4. The deep Learning Model for Classification and Segmentation
3.4.1. Region-Based Classification Technique
- Calculate the shortest separation from the mask for the middle of this classification (the double head arrow displayed in Figure 4c).
- A rectangular shape with minimum diagonal length is obtained from the target image (as shown in Figure 4d).
- Then, the normal area from the covered edge at that point is obtained from the distance estimated from step 1 numerically divided by the inclination of step 2).
3.4.2. Applied Network Structure
3.5. Analytical Report of Network
3.5.1. The Decision for Each Candidate Region
- In the event that in any condition if two pictures were classified into a comparative type, the image with the most extreme confidence level at that time was chosen.
- Otherwise, image with maximum confidence level (not overwhelmed) was chosen.
3.5.2. Noise-OR Bayesian Classifier Function (Cause of Normal Reports)
- In the event that both estimates of P were equal to 0, at this point there was a spot in this CT test belongs to the non-infection founded case.
- If one of the P estimates was equal to 0, then the second P estimate was directly changed to the certainty of this CT test.
4. Results
4.1. Evaluation Phase
4.2. Model Training Process
4.3. Model Performance of Test Dataset
4.4. Segmentation
4.5. Classification for a Single Image Patch
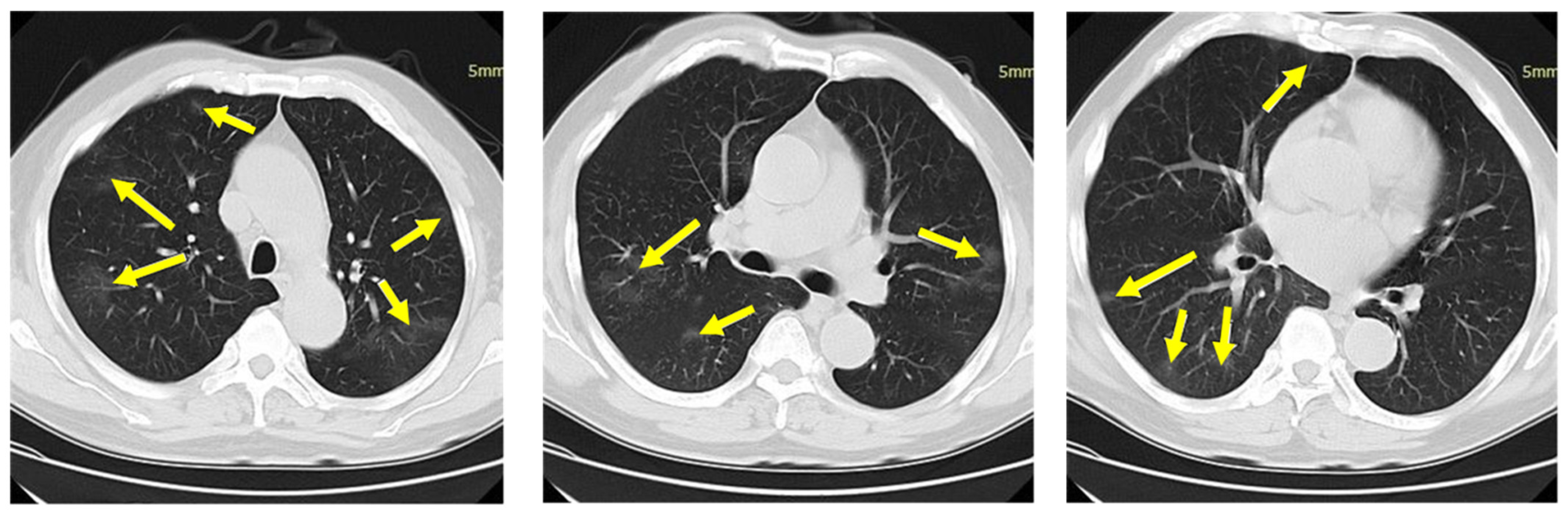
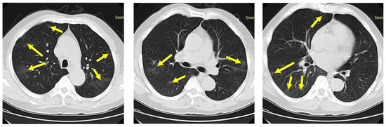
4.6. Classification Results for CT Image Samples
5. Conclusions
Author Contributions
Funding
Institutional Review Board Statement
Informed Consent Statement
Data Availability Statement
Conflicts of Interest
References
- Zhu, N.; Zhang, D.; Wang, W.; Li, X.; Yang, B.; Song, J.; Zhao, X.; Huang, B.; Shi, W.; Lu, R.; et al. A Novel Coronavirus from Patients with Pneumonia in China, 2019. N. Engl. J. Med. 2020, 382, 727–733. [Google Scholar] [CrossRef] [PubMed]
- Li, Q.; Guan, X.; Wu, P.; Wang, X.; Zhou, L.; Tong, Y.; Ren, R.; Leung, K.; Lau, E.; Wong, J.Y.; et al. Early Transmission Dynamics in Wuhan, China, of Novel Coronavirus–Infected Pneumonia. N. Engl. J. Med. 2020, 382, 1199–1207. [Google Scholar] [CrossRef]
- Lu, R.; Zhao, X.; Li, J.; Niu, P.; Yang, B.; Wu, H.; Wang, W.; Song, H.; Huang, B.; Zhu, N.; et al. Genomic characterisation and epidemiology of 2019 novel coronavirus: Implications for virus origins and receptor binding. Lancet 2020, 395, 565–574. [Google Scholar] [CrossRef] [Green Version]
- Zhou, P.; Yang, X.-L.; Wang, X.-G.; Hu, B.; Zhang, L.; Zhang, W.; Si, H.-R.; Zhu, Y.; Li, B.; Huang, C.-L.; et al. A pneumonia outbreak associated with a new coronavirus of probable bat origin. Nature 2020, 579, 270–273. [Google Scholar] [CrossRef] [PubMed] [Green Version]
- Tang, X.; Wu, C.; Li, X.; Song, Y.; Yao, X.; Wu, X.; Duan, Y.; Zhang, H.; Wang, Y.; Qian, Z.; et al. On the origin and continuing evolution of SARS-CoV-2. Natl. Sci. Rev. 2020, 7, 1012–1023. [Google Scholar] [CrossRef] [Green Version]
- Corman, V.M.; Landt, O.; Kaiser, M.; Molenkamp, R.; Meijer, A.; Chu, D.K.; Bleicker, T.; Brünink, S.; Schneider, J.; Schmidt, M.L.; et al. Detection of 2019 novel coronavirus (2019-nCoV) by real-time RT-PCR. Eurosurveillance 2020, 25, 2000045. [Google Scholar] [CrossRef] [PubMed] [Green Version]
- Fehr, A.; Channappanavar, R.; Perlman, S. Middle East Respiratory Syndrome: Emergence of a Pathogenic Human Coronavirus. Annu. Rev. Med. 2017, 68, 387–399. [Google Scholar] [CrossRef] [Green Version]
- Mohd, H.A.; Al-Tawfiq, J.A.; Memish, Z.A. Middle East Respiratory Syndrome Coronavirus (MERS-CoV) origin and animal reservoir. Virol. J. 2016, 13, 1–7. [Google Scholar] [CrossRef] [PubMed] [Green Version]
- Ren, W.; Qu, X.; Li, W.; Han, Z.; Yu, M.; Zhou, P.; Zhang, S.-Y.; Wang, L.-F.; Deng, H.; Shi, Z. Difference in Receptor Usage between Severe Acute Respiratory Syndrome (SARS) Coronavirus and SARS-like Coronavirus of Bat Origin. J. Virol. 2008, 82, 1899–1907. [Google Scholar] [CrossRef] [PubMed] [Green Version]
- Lau, Y.L.; Peiris, J.M. Pathogenesis of severe acute respiratory syndrome. Curr. Opin. Immunol. 2005, 17, 404–410. [Google Scholar] [CrossRef]
- Zaki, A.; Van Boheemen, S.; Bestebroer, T.; Osterhaus, A.; Fouchier, R. Isolation of a Novel Coronavirus from a Man with Pneumonia in Saudi Arabia. N. Engl. J. Med. 2012, 367, 1814–1820. [Google Scholar] [CrossRef] [PubMed]
- Ding, Y.; He, L.; Zhang, Q.; Huang, Z.; Che, X.; Hou, J.; Wang, H.; Shen, H.; Qiu, L.; Li, Z.; et al. Organ distribution of severe acute respiratory syndrome(SARS) associated coronavirus(SARS-CoV) in SARS patients: Implications for pathogenesis and virus transmission pathways. J. Pathol. 2004, 203, 622–630. [Google Scholar] [CrossRef] [PubMed]
- Xu, X.-W.; Wu, X.; Jiang, X.-G.; Xu, K.-J.; Ying, L.-J.; Ma, C.-L.; Li, S.-B.; Wang, H.-Y.; Zhang, S.; Gao, H.-N.; et al. Clinical findings in a group of patients infected with the 2019 novel coronavirus (SARS-Cov-2) outside of Wuhan, China: Retrospective case series. BMJ 2020, 368, m606. [Google Scholar] [CrossRef] [PubMed] [Green Version]
- Hesamian, M.H.; Jia, W.; He, X.; Kennedy, P. Deep Learning Techniques for Medical Image Segmentation: Achievements and Challenges. J. Digit. Imaging 2019, 32, 582–596. [Google Scholar] [CrossRef] [PubMed] [Green Version]
- Kooi, T.; Litjens, G.; van Ginneken, B.; Gubern-Mérida, A.; Sánchez, C.I.; Mann, R.; Heeten, A.D.; Karssemeijer, N. Large scale deep learning for computer aided detection of mammographic lesions. Med. Image Anal. 2017, 35, 303–312. [Google Scholar] [CrossRef]
- Muthalaly, R.S. Using Deep Learning to Predict the Mortality of Leukemia Patients. Ph.D. Thesis, Queen’s University, Kingston, ON, Canada, 2017. [Google Scholar]
- Huynh, B.Q.; Li, H.; Giger, M.L. Digital mammographic tumor classification using transfer learning from deep convolutional neural networks. J. Med. Imaging 2016, 3, 034501. [Google Scholar] [CrossRef]
- Li, Z.; Dong, M.; Wen, S.; Hu, X.; Zhou, P.; Zeng, Z. CLU-CNNs: Object detection for medical images. Neurocomputing 2019, 350, 53–59. [Google Scholar] [CrossRef]
- Kayalibay, B.; Jensen, G.; van der Smagt, P. CNN-based segmentation of medical imaging data. arXiv Preprint 2017, arXiv:1701.03056. [Google Scholar]
- Cao, X.; Yang, J.; Zhang, J.; Nie, D.; Kim, M.-J.; Wang, Q.; Shen, D. Deformable Image Registration Based on Similarity-Steered CNN Regression. In Proceedings of the International Conference on Medical Image Computing and Computer-Assisted Intervention, Quebec City, QC, Canada, 11–13 September 2017; Springer: Cham, Switzerland, 2017; Volume 10433, pp. 300–308. [Google Scholar] [CrossRef] [Green Version]
- Jifara, W.; Jiang, F.; Rho, S.; Cheng, M.; Liu, S. Medical image denoising using convolutional neural network: A residual learning approach. J. Supercomput. 2017, 75, 704–718. [Google Scholar] [CrossRef]
- Beck, B.R.; Shin, B.; Choi, Y.; Park, S.; Kang, K. Predicting commercially available antiviral drugs that may act on the novel coronavirus (SARS-CoV-2) through a drug-target interaction deep learning model. Comput. Struct. Biotechnol. J. 2020, 18, 784–790. [Google Scholar] [CrossRef] [PubMed]
- Nesteruk, I. Statistics-Based Predictions of Coronavirus Epidemic Spreading in Mainland China. Innov. Biosyst. Bioeng. 2020, 4, 13–18. [Google Scholar] [CrossRef] [Green Version]
- Majumder, S.M.; Mandl, K.D. Early transmissibility assessment of a novel coronavirus in Wuhan, China. Soc. Sci. Res. Netw. 2020. [Google Scholar] [CrossRef] [PubMed]
- Read, J.M.; Bridgen, J.R.E.; Cummings, D.A.T.; Ho, A.; Jewell, C.P. Novel coronavirus 2019-nCoV: Early estimation of epidemiological parameters and epidemic predictions. medRxiv 2020. [Google Scholar] [CrossRef] [Green Version]
- Xu, X.; Jiang, X.; Ma, C.; Du, P.; Li, X.; Lv, S.; Yu, L.; Ni, Q.; Chen, Y.; Su, J.; et al. A Deep Learning System to Screen Novel Coronavirus Disease 2019 Pneumonia. Engineering 2020, 6, 1122–1129. [Google Scholar] [CrossRef] [PubMed]
- Kanne, J.P. Chest CT Findings in 2019 Novel Coronavirus (2019-nCoV) Infections from Wuhan, China: Key Points for the Radiologist. Radiology 2020, 295, 16–17. [Google Scholar] [CrossRef] [Green Version]
- Chung, M.; Bernheim, A.; Mei, X.; Zhang, N.; Huang, M.; Zeng, X.; Cui, J.; Xu, W.; Yang, Y.; Fayad, Z.A.; et al. CT Imaging Features of 2019 Novel Coronavirus (2019-nCoV). Radiology 2020, 295, 202–207. [Google Scholar] [CrossRef] [Green Version]








| Predicted Results | ||||||
|---|---|---|---|---|---|---|
| COVID-19 | IAVP | HCI | ||||
| COVID-19 | 180 | 174 | 17 | 14 | 40 | 41 |
| IAVP | 33 | 31 | 193 | 187 | 49 | 53 |
| HCI | 54 | 51 | 45 | 42 | 587 | 608 |
| Recall | Precision | |||||
|---|---|---|---|---|---|---|
| COVID-19 | 0.65 | 0.64 | 0.58 | 0.58 | 0.59 | 0.61 |
| IAVP | 0.64 | 0.63 | 0.54 | 0.56 | 0.58 | 0.59 |
| HCI | 0.73 | 0.73 | 0.76 | 0.75 | 0.74 | 0.78 |
| Predicted Results | |||
|---|---|---|---|
| COVID-19 | IAVP | HCI | |
| COVID-19 | 42 | 16 | 7 |
| IAVP | 13 | 37 | 8 |
| HCI | 9 | 4 | 29 |
| Predicted Results | |||
|---|---|---|---|
| Recall | Precision | ||
| COVID-19 | 0.66 | 0.65 | 0.65 |
| IAVP | 0.66 | 0.64 | 0.64 |
| HCI | 0.66 | 0.69 | 0.67 |
| Predicted Results | |||
|---|---|---|---|
| COVID-19 | IAVP | HCI | |
| COVID-19 | 56 | 8 | 5 |
| IAVP | 8 | 41 | 6 |
| HCI | 4 | 3 | 34 |
| Predicted Results | |||
|---|---|---|---|
| Recall | Precision | ||
| COVID-19 | 0.82 | 0.81 | 0.82 |
| IAVP | 0.79 | 0.75 | 0.77 |
| HCI | 0.76 | 0.83 | 0.79 |
Publisher’s Note: MDPI stays neutral with regard to jurisdictional claims in published maps and institutional affiliations. |
© 2021 by the authors. Licensee MDPI, Basel, Switzerland. This article is an open access article distributed under the terms and conditions of the Creative Commons Attribution (CC BY) license (https://creativecommons.org/licenses/by/4.0/).
Share and Cite
Verma, P.; Dumka, A.; Singh, R.; Ashok, A.; Singh, A.; Aljahdali, H.M.; Kadry, S.; Rauf, H.T. A Deep Learning Based Approach for Patient Pulmonary CT Image Screening to Predict Coronavirus (SARS-CoV-2) Infection. Diagnostics 2021, 11, 1735. https://doi.org/10.3390/diagnostics11091735
Verma P, Dumka A, Singh R, Ashok A, Singh A, Aljahdali HM, Kadry S, Rauf HT. A Deep Learning Based Approach for Patient Pulmonary CT Image Screening to Predict Coronavirus (SARS-CoV-2) Infection. Diagnostics. 2021; 11(9):1735. https://doi.org/10.3390/diagnostics11091735
Chicago/Turabian StyleVerma, Parag, Ankur Dumka, Rajesh Singh, Alaknanda Ashok, Aman Singh, Hani Moaiteq Aljahdali, Seifedine Kadry, and Hafiz Tayyab Rauf. 2021. "A Deep Learning Based Approach for Patient Pulmonary CT Image Screening to Predict Coronavirus (SARS-CoV-2) Infection" Diagnostics 11, no. 9: 1735. https://doi.org/10.3390/diagnostics11091735
APA StyleVerma, P., Dumka, A., Singh, R., Ashok, A., Singh, A., Aljahdali, H. M., Kadry, S., & Rauf, H. T. (2021). A Deep Learning Based Approach for Patient Pulmonary CT Image Screening to Predict Coronavirus (SARS-CoV-2) Infection. Diagnostics, 11(9), 1735. https://doi.org/10.3390/diagnostics11091735

