Recognition Rate Advancement and Data Error Improvement of Pathology Cutting with H-DenseUNet for Hepatocellular Carcinoma Image
Abstract
:1. Introduction
2. Proposed Method
2.1. Selection and Input of Data
2.2. Overview of Whole Medical Center Identification Error Comparison Statistics System
2.3. Stage 1—H-DenseUNet
2.4. Stage 2—Recognition Result Data Acquisition, Analysis Method and 3D Image User-Friendly Display Method
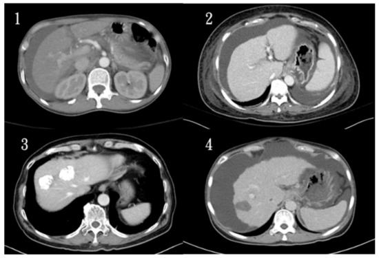
3. Liver CT Dataset
4. Results and Discussion
4.1. Training Method and Environment
4.2. Evaluation Metrics
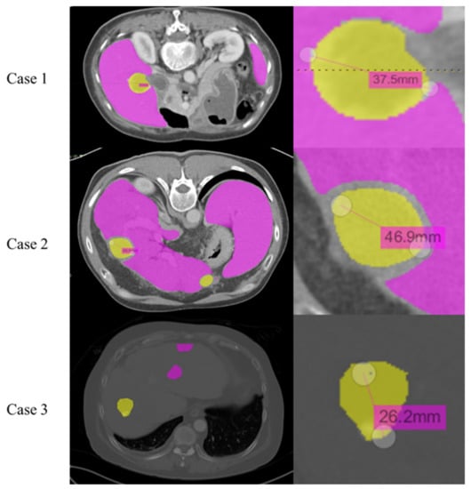
4.3. Recognition Rate of Liver and Lesions
4.4. Misidentification of Liver Volume and Pathological Data Comparison
4.5. Misidentification of Tumor Length and Pathological Data Comparison
5. Conclusions
Author Contributions
Funding
Institutional Review Board Statement
Informed Consent Statement
Data Availability Statement
Acknowledgments
Conflicts of Interest
References
- Klinder, T.; Ostermann, J.; Ehm, M.; Franz, A.; Kneser, R.; Lorenz, C. Automated model-based vertebra detection, identification, and segmentation in CT images. Med. Image Anal. 2009, 13, 471–482. [Google Scholar] [CrossRef] [PubMed]
- Erickson, B.J.; Korfiatis, P.; Akkus, Z.; Kline, T.L. Machine Learning for Medical Imaging. RadioGraphics 2017, 37, 505–515. [Google Scholar] [CrossRef]
- Giger, M.L. Machine learning in medical imaging. J. Am. Coll. Radiol. 2018, 15, 512–520. [Google Scholar] [CrossRef]
- Robinson, K.R. Machine Learning on Medical Imaging for Breast Cancer Risk Assessment. Ph.D. Thesis, The University of Chicago, Chicago, IL, USA, 2019. [Google Scholar]
- Wernick, M.N.; Yang, Y.; Brankov, J.G.; Yourganov, G.; Strother, S.C. Machine learning in medical imaging. IEEE Signal Process. Mag. 2010, 27, 25–38. [Google Scholar] [CrossRef] [PubMed] [Green Version]
- Pratondo, A.; Chui, C.-K.; Ong, S.-H. Integrating machine learning with region-based active contour models in medical image segmentation. J. Vis. Commun. Image Represent. 2017, 43, 1–9. [Google Scholar] [CrossRef]
- Shen, D.; Wu, G.; Suk, H.I. Deep learning in medical image analysis. Annu. Rev. Biomed. Eng. 2017, 19, 221–248. [Google Scholar] [CrossRef] [Green Version]
- LeCun, Y.; Bengio, Y.; Hinton, G. Deep learning. Nature 2015, 521, 436–444. [Google Scholar] [CrossRef] [PubMed]
- Razzak, M.I.; Naz, S.; Zaib, A. Deep learning for medical image processing: Overview, challenges and the future. Classif. BioApps 2018, 323–350. [Google Scholar]
- Ker, J.; Wang, L.; Rao, J.; Lim, T. Deep learning applications in medical image analysis. IEEE Access 2017, 6, 9375–9389. [Google Scholar] [CrossRef]
- Litjens, G.; Kooi, T.; Bejnordi, B.E.; Setio, A.A.A.; Ciompi, F.; Ghafoorian, M.; van der Laak, J.A.; van Ginneken, B.; Sánchez, C.I. A survey on deep learning in medical image analysis. Med. Image Anal. 2017, 42, 60–88. [Google Scholar] [CrossRef] [Green Version]
- Glorot, X.; Bordes, A.; Bengio, Y. Deep sparse rectifier neural networks. In Proceedings of the Fourteenth International Conference on Artificial Intelligence and Statistics, Fort Lauderdale, FL, USA, 11–13 April 2011; Volume 15, pp. 315–323. [Google Scholar]
- Iandola, F.N.; Han, S.; Moskewicz, M.W.; Ashraf, K.; Dally, W.J.; Keutzer, K. SqueezeNet: AlexNet-level accuracy with 50x fewer parameters and <0.5 MB model size. arXiv 2016, arXiv:1602.07360. [Google Scholar]
- Deng, J.; Dong, W.; Socher, R.; Li, L.J.; Li, K.; Fei-Fei, L. Imagenet: A large-scale hierarchical image database. In Proceedings of the 2009 IEEE Conference on Computer Vision and Pattern Recognition, Miami, FL, USA, 20–25 June 2009; pp. 248–255. [Google Scholar]
- Krizhevsky, A.; Sutskever, I.; Hinton, G.E. ImageNet classification with deep convolutional neural networks. Commun. ACM 2017, 60, 84–90. [Google Scholar] [CrossRef]
- He, K.; Zhang, X.; Ren, S.; Sun, J. Deep residual learning for image recognition. In Proceedings of the IEEE Conference on Computer Vision and Pattern Recognition, Las Vegas, NV, USA, 27–30 June 2016; pp. 770–778. [Google Scholar]
- O’Shea, K.; Nash, R. An introduction to convolutional neural networks. arXiv 2015, arXiv:1511.08458. [Google Scholar]
- Ferguson, M.K.; Ronay, A.K.; Lee YT, T.; Law, K.H. Detection and segmentation of manufacturing defects with convolutional neural networks and transfer learning. Smart Sustain. Manuf. Syst. 2018, 2, 137–164. [Google Scholar] [CrossRef] [PubMed]
- Ronneberger, O.; Fischer, P.; Brox, T. U-net: Convolutional networks for biomedical image segmentation. In International Conference on Medical Image Computing and Computer-Assisted Intervention; Springer: Cham, Switzerland, 2015. [Google Scholar]
- Dai, J.; He, K.; Li, Y.; Ren, S.; Sun, J. Instance-sensitive fully convolutional networks. In European Conference on Computer Vision; Springer: Cham, Switzerland, 2016; pp. 534–549. [Google Scholar]
- Poon, K.; Hamarneh, G.; Abugharbieh, R. Live-vessel: Extending livewire for simultaneous extraction of optimal medial and boundary paths in vascular images. In International Conference on Medical Image Computing and Computer-Assisted Intervention; Springer: Berlin/Heidelberg, Germany, 2007; pp. 444–451. [Google Scholar]
- Poon, M.; Hamarneh, G.; Abugharbieh, R. Efficient interactive 3D Livewire segmentation of complex objects with arbitrary topology. Comput. Med Imaging Graph. 2008, 32, 639–650. [Google Scholar] [CrossRef] [Green Version]
- Lu, K.; Higgins, W.E. Interactive segmentation based on the live wire for 3D CT chest image analysis. Int. J. Comput. Assist. Radiol. Surg. 2007, 2, 151–167. [Google Scholar] [CrossRef] [Green Version]
- Cho, J.; Lee, K.; Shin, E.; Choy, G.; Do, S. How much data is needed to train a medical image deep learning system to achieve necessary high accuracy? arXiv 2015, arXiv:1511.06348. [Google Scholar]
- Kan, S.; Cen, Y.; He, Z.; Zhang, Z.; Zhang, L.; Wang, Y. Supervised deep feature embedding with handcrafted feature. IEEE Image Process. 2019, 28, 5809–5823. [Google Scholar] [CrossRef]
- Rutherford, S.; Sturmfels, P.; Angstadt, M.; Hect, J.; Wiens, J.; Heuvel, M.I.V.D.; Scheinost, D.; Sripada, C.; Thomason, M. Automated Brain Masking of Fetal Functional MRI with Open Data. Neuroinformatics 2021, 1–13. [Google Scholar] [CrossRef]
- Gu, Z.; Cheng, J.; Fu, H.; Zhou, K.; Hao, H.; Zhao, Y.; Zhang, T.; Gao, S.; Liu, J. Ce-net: Context encoder network for 2d medical image segmentation. IEEE Trans. Med Imaging 2019, 38, 2281–2292. [Google Scholar] [CrossRef] [Green Version]
- Abraham, N.; Khan, N.M. A novel focal tversky loss function with improved attention u-net for lesion segmentation. In Proceedings of the 2019 IEEE 16th International Symposium on Biomedical Imaging (ISBI 2019), Venice, Italy, 8–11 April 2019; pp. 683–687. [Google Scholar]
- Chen, W.-F.; Ou, H.-Y.; Liu, K.-H.; Li, Z.-Y.; Liao, C.-C.; Wang, S.-Y.; Huang, W.; Cheng, Y.-F.; Pan, C.-T. In-Series U-Net Network to 3D Tumor Image Reconstruction for Liver Hepatocellular Carcinoma Recognition. Diagnostics 2021, 11, 11. [Google Scholar] [CrossRef]
- Zhang, J.; Xie, Y.; Xia, Y.; Shen, C. DoDNet: Learning to segment multi-organ and tumors from multiple partially labeled datasets. In Proceedings of the IEEE/CVF Conference on Computer Vision and Pattern Recognition, Online, 19–25 June 2021; pp. 1195–1204. [Google Scholar]
- Islam, M.; Vibashan, V.S.; Jose VJ, M.; Wijethilake, N.; Utkarsh, U.; Ren, H. Brain tumor segmentation and survival prediction using 3D attention UNet. In International MICCAI Brainlesion Workshop; Springer: Cham, Switzerland, 2011; pp. 262–272. [Google Scholar]
- Li, X.; Chen, H.; Qi, X.; Dou, Q.; Fu, C.W.; Heng, P.A. H-DenseUNet: Hybrid densely connected UNet for liver and tumor segmentation from CT volumes. IEEE Trans. Med Imaging 2018, 37, 2663–2674. [Google Scholar] [CrossRef] [Green Version]
- Lits-Challenge. Available online: https://competitions.codalab.org/competitions/17094 (accessed on 4 August 2017).
- Yushkevich, P.A.; Gao, Y.; Gerig, G. ITK-SNAP: An interactive tool for semi-automatic segmentation of multi-modality biomedical images. In Proceedings of the 2016 38th Annual International Conference of the IEEE Engineering in Medicine and Biology Society (EMBC), Orlando, FL, USA, 16–20 August 2016; pp. 3342–3345. [Google Scholar]
- Fedorov, A.; Beichel, R.; Kalpathy-Cramer, J.; Finet, J.; Fillion-Robin, J.-C.; Pujol, S.; Bauer, C.; Jennings, D.; Fennessy, F.; Sonka, M.; et al. 3D Slicer as an image computing platform for the Quantitative Imaging Network. Magn. Reson. Imaging 2012, 30, 1323–1341. [Google Scholar] [CrossRef] [Green Version]
- Jolesz, F.A. (Ed.) Intraoperative Imaging and Image-Guided Therapy; Springer Science & Business Media: Cham, Switzerland, 2014. [Google Scholar]
- Kikinis, R.; Pieper, S.D.; Vosburgh, K.G. 3D Slicer: A platform for subject-specific image analysis, visualization, and clinical support. In Intraoperative Imaging and Image-Guided Therapy; Springer: New York, NY, USA, 2014; pp. 277–289. [Google Scholar]
- Available online: http://www.slicer.org/ (accessed on 30 November 2012).
- Benien, P.; Swami, A. 3D tumor models: History, advances and future perspectives. Future Oncol. 2014, 10, 1311–1327. [Google Scholar] [CrossRef]
- Razi, T.; Niknami, M.; Ghazani, F.A. Relationship between Hounsfield unit in CT scan and gray scale in CBCT. J. Dent. Res. Dent. Clin. Dent. Prospect. 2014, 8, 107–110. [Google Scholar]
- Available online: https://lcni.uoregon.edu/downloads/mriconvert (accessed on 5 February 2016).
- Nioche, C.; Orlhac, F.; Boughdad, S.; Reuzé, S.; Outi, J.G.; Robert, C.; Pellot-Barakat, C.; Soussan, M.; Frouin, F.; Buvat, I. LIFEx: A Freeware for Radiomic Feature Calculation in Multimodality Imaging to Accelerate Advances in the Characterization of Tumor Heterogeneity. Cancer Res. 2018, 78, 4786–4789. [Google Scholar] [CrossRef] [PubMed] [Green Version]
- Available online: www.lifexsoft.org (accessed on 5 August 2018).
- Wolf, I.; Vetter, M.; Wegner, I.; Nolden, M.; Bottger, T.; Hastenteufel, M.; Schobinger, M.; Kunert, T.; Meinzer, H.P. The medical imaging interaction toolkit (MITK): A toolkit facilitating the creation of interactive software by extending VTK and ITK. In Medical Imaging 2004: Visualization, Image-Guided Procedures, and Display; International Society for Optics and Photonics: San Diego, CA, USA, 2004; Volume 5367, pp. 16–27. [Google Scholar]
- Larobina, M.; Murino, L. Medical image file formats. J. Digit. Imaging 2014, 27, 200–206. [Google Scholar] [CrossRef] [PubMed]
- Li, X.; Morgan, P.S.; Ashburner, J.; Smith, J.; Rorden, C. The first step for neuroimaging data analysis: DICOM to NIfTI conversion. J. Neurosci. Methods 2016, 264, 47–56. [Google Scholar] [CrossRef]
- Taha, A.A.; Hanbury, A. Metrics for evaluating 3D medical image segmentation: Analysis, selection, and tool. BMC Med. Imaging 2015, 15, 1–28. [Google Scholar] [CrossRef] [PubMed] [Green Version]
- Aydin, O.U.; Taha, A.A.; Hilbert, A.; Khalil, A.A.; Galinovic, I.; Fiebach, J.B.; Frey, D.; Madai, V.I. On the usage of average Hausdorff distance for segmentation performance assessment: Hidden error when used for ranking. Eur. Radiol. Exp. 2021, 5, 1–7. [Google Scholar] [CrossRef]












| Label Name | Voxel Count | Volume (mm3) | Intensity Mean ± SD |
|---|---|---|---|
0 Clear Label | 11386392 | 1.139 × 107 | −157.7376, ±96.9104 |
1 Label 1 | 409269 | 4.093 × 105 | 110.5702, ±32.2686 |
2 Label 2 | 819 | 819 | 49.2796, ±17.9682 |
| ACC | DSC | IoU | AUC | AVGDIST | |
|---|---|---|---|---|---|
| Liver | 0.9897 | 0.853 | 0.764 | 0.967 | 2.05 |
| Lesion | 0.9872 | 0.525 | 0.408 | 0.781 | 7.92 |
| ACC | DSC | IoU | AUC | AVGDIST | |
|---|---|---|---|---|---|
| Liver | 0.9904 | 0.871 | 0.783 | 0.951 | 1.49 |
| Lesion | 0.9907 | 0.611 | 0.488 | 0.81 | 6.25 |
Publisher’s Note: MDPI stays neutral with regard to jurisdictional claims in published maps and institutional affiliations. |
© 2021 by the authors. Licensee MDPI, Basel, Switzerland. This article is an open access article distributed under the terms and conditions of the Creative Commons Attribution (CC BY) license (https://creativecommons.org/licenses/by/4.0/).
Share and Cite
Chen, W.-F.; Ou, H.-Y.; Pan, C.-T.; Liao, C.-C.; Huang, W.; Lin, H.-Y.; Cheng, Y.-F.; Wei, C.-P. Recognition Rate Advancement and Data Error Improvement of Pathology Cutting with H-DenseUNet for Hepatocellular Carcinoma Image. Diagnostics 2021, 11, 1599. https://doi.org/10.3390/diagnostics11091599
Chen W-F, Ou H-Y, Pan C-T, Liao C-C, Huang W, Lin H-Y, Cheng Y-F, Wei C-P. Recognition Rate Advancement and Data Error Improvement of Pathology Cutting with H-DenseUNet for Hepatocellular Carcinoma Image. Diagnostics. 2021; 11(9):1599. https://doi.org/10.3390/diagnostics11091599
Chicago/Turabian StyleChen, Wen-Fan, Hsin-You Ou, Cheng-Tang Pan, Chien-Chang Liao, Wen Huang, Han-Yu Lin, Yu-Fan Cheng, and Chia-Po Wei. 2021. "Recognition Rate Advancement and Data Error Improvement of Pathology Cutting with H-DenseUNet for Hepatocellular Carcinoma Image" Diagnostics 11, no. 9: 1599. https://doi.org/10.3390/diagnostics11091599
APA StyleChen, W.-F., Ou, H.-Y., Pan, C.-T., Liao, C.-C., Huang, W., Lin, H.-Y., Cheng, Y.-F., & Wei, C.-P. (2021). Recognition Rate Advancement and Data Error Improvement of Pathology Cutting with H-DenseUNet for Hepatocellular Carcinoma Image. Diagnostics, 11(9), 1599. https://doi.org/10.3390/diagnostics11091599




