Spontaneous Upper Urinary Tract Rupture Caused by Ureteric Stones: Clinical Characteristics and Validation of a Radiological Classification System
Abstract
1. Introduction
2. Materials and Methods
2.1. Imaging Technique
2.2. Statistical Analyses
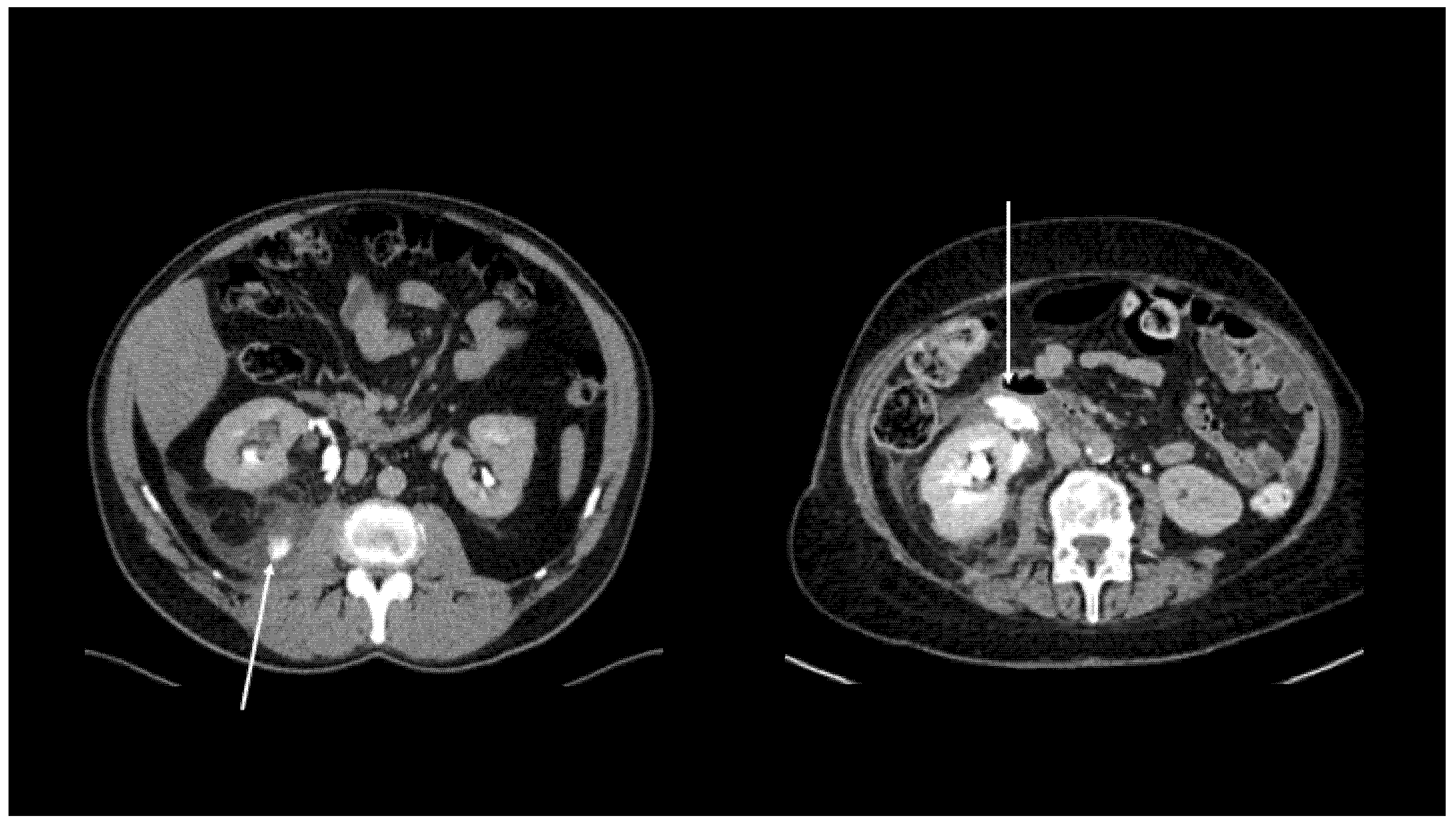
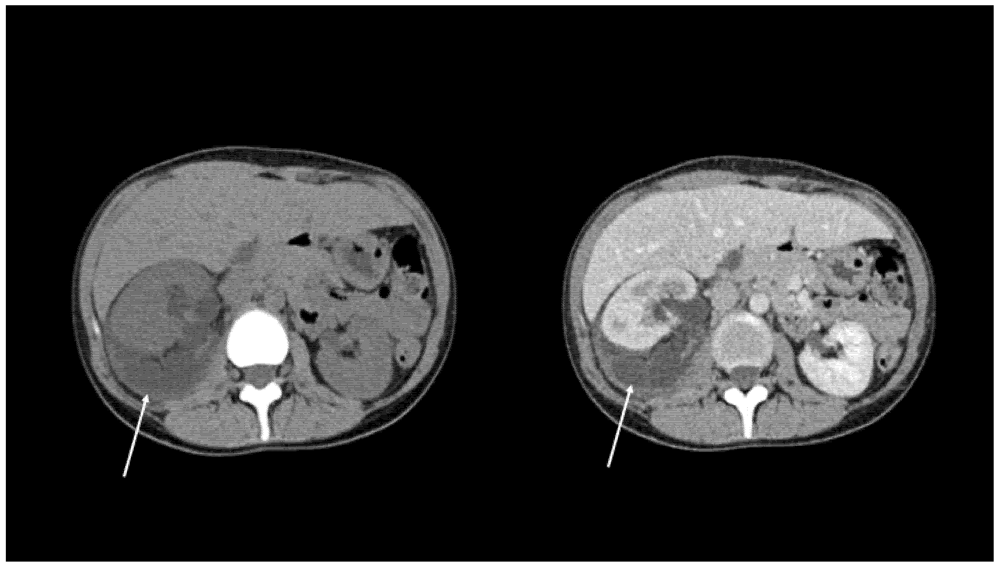
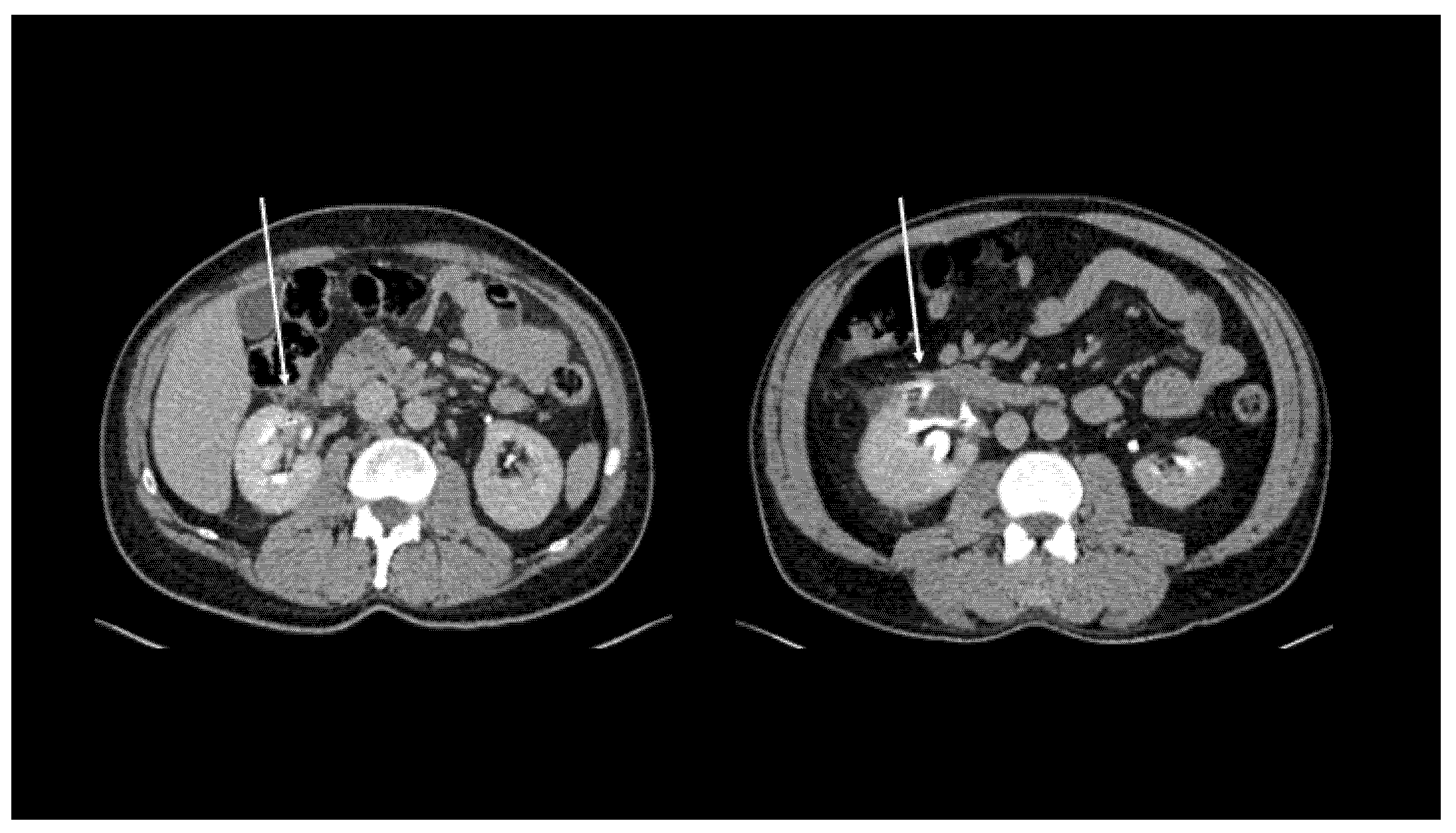
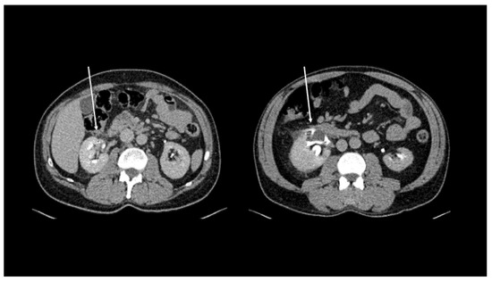
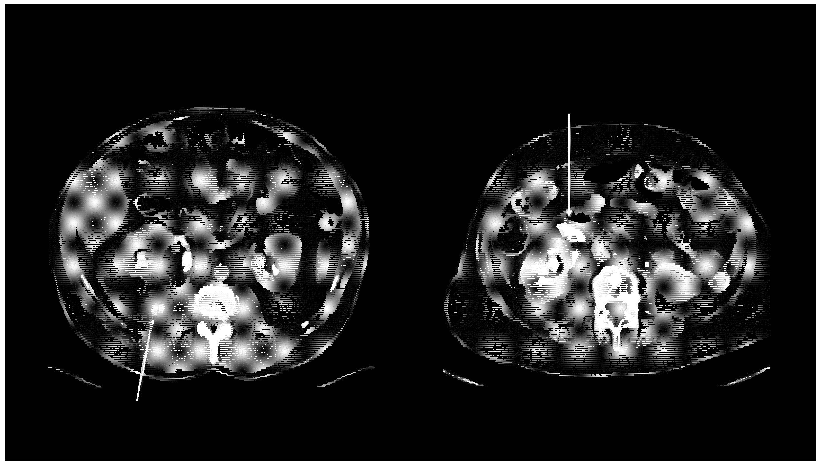
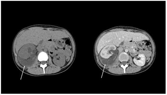
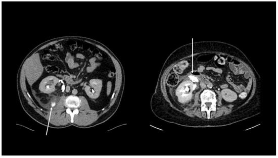
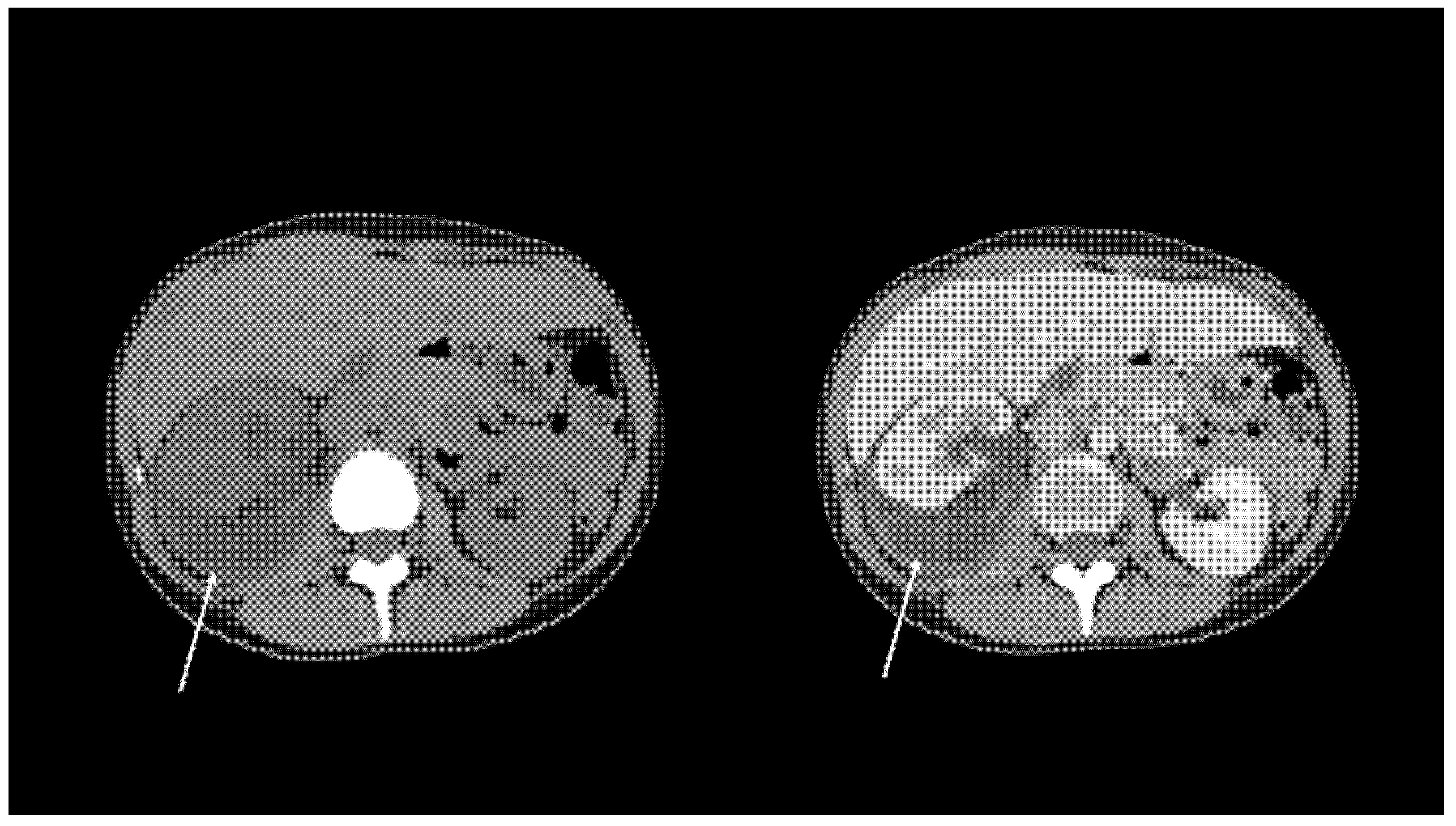
3. Results
4. Discussion
5. Conclusions
Supplementary Materials
Author Contributions
Funding
Institutional Review Board Statement
Informed Consent Statement
Data Availability Statement
Conflicts of Interest
References
- Schwartz, A.; Caine, M.; Hermann, G.; Bittermann, W. Spontaneous renal extravasation during intravenous urography. Am. J. Roentgenol. 1966, 98, 27–40. [Google Scholar] [CrossRef] [PubMed]
- Gershman, B.; Kulkarni, N.; Sahani, D.V.; Eisner, B.H. Causes of renal forniceal rupture: Causes of renal forniceal rupture. BJU Int. 2011, 108, 1909–1911. [Google Scholar] [CrossRef]
- Aggarwal, G.; Adhikary, S.D. Spontaneous ureteric rupture, a reality or a faux pas? BMC Urol. 2016, 16, 37. [Google Scholar] [CrossRef] [PubMed]
- Chen, G.-H.; Hsiao, P.-J.; Chang, Y.-H.; Chen, C.-C.; Wu, H.-C.; Yang, C.-R.; Chen, K.-L.; Chou, E.C.-L.; Chen, W.-C.; Chang, C.-H. Spontaneous ureteral rupture and review of the literature. Am. J. Emerg. Med. 2014, 32, 772–774. [Google Scholar] [CrossRef] [PubMed]
- Stravodimos, K.; Adamakis, I.; Koutalellis, G.; Koritsiadis, G.; Grigoriou, I.; Skrepetis, K.; Constantinides, C.; Zervas, A. Spontaneous Perforation of the Ureter: Clinical Presentation and Endourologic Management. J. Endourol. 2008, 22, 479–484. [Google Scholar] [CrossRef] [PubMed]
- Spinelli, M.G.; Palmisano, F.; Zanetti, S.P.; Boeri, L.; Gadda, F.; Talso, M.; Dell’Orto, P.G.; Montanari, E. Spontaneous upper urinary tract rupture caused by ureteric stones: A prospective high-volume single centre observational study and proposed management. Arch. Esp. Urol. 2019, 72, 590–595. [Google Scholar] [PubMed]
- Gayer, G.; Zissin, R.; Apter, S.; Garniek, A.; Ramon, J.; Kots, E.; Hertz, M. Urinomas caused by ureteral injuries: CT appearance. Abdom Imaging 2002, 27, 88–92. [Google Scholar] [CrossRef] [PubMed]
- Gore, R.M.; Balfe, D.M.; Aizenstein, R.I.; Silverman, P.M. The great escape: Interfascial decompression planes of the retroperitoneum. AJR Am. J. Roentgenol. 2000, 175, 363–370. [Google Scholar] [CrossRef] [PubMed]
- Satoh, S.; Okuma, A.; Fujita, Y.; Tamaka, M.; Nakano, H. Spontaneous Rupture of the Renal Pelvis during Pregnancy: A Case Report and Review of the Literature. Am. J. Perinatol. 2002, 19, 189–196. [Google Scholar] [CrossRef] [PubMed]
- Singh, I.; Joshi, M.; Mehrotra, G. Spontaneous renal forniceal rupture due to advanced cervical carcinoma with obstructive uropathy. Arch. Gynecol. Obstet. 2009, 279, 915–918. [Google Scholar] [CrossRef] [PubMed]
- You, J.S.; Chung, Y.E.; Lee, J.Y.; Lee, H.-J.; Chung, T.N.; Park, Y.S.; Park, I. The Spontaneous Rupture of the Renal Fornix Caused by Obstructive Nephropathy. J. Emerg. Med. 2012, 43, 488–489. [Google Scholar] [CrossRef] [PubMed]
- Edmonds, R.D.; Tomaszewski, J.J.; Jackman, S.V.; Chaer, R.A. Staged endourologic and endovascular repair of an infrarenal inflammatory abdominal aortic aneurysm presenting with forniceal rupture. J. Vasc. Surg. 2008, 48, 1332–1334. [Google Scholar] [CrossRef] [PubMed][Green Version]
- Pampana, E.; Altobelli, S.; Morini, M.; Ricci, A.; D’Onofrio, S.; Simonetti, G. Spontaneous Ureteral Rupture Diagnosis and Treatment. Case Rep. Radiol. 2013, 2013, 1–4. [Google Scholar] [CrossRef]
- Tas, T.; Cakıroglu, B.; Aksoy, S.H. Spontaneous Renal Pelvis Rupture: Unexpected Complication of Urolithiasis Expected to Passage with Observation Therapy. Case Rep. Urol. 2013, 2013, 1–3. [Google Scholar] [CrossRef]
- Koga, S.; Arakaki, Y.; Matsuoka, M.; Ohyama, C. Spontaneous peripelvic extravasation of urine. Int. Urol. Nephrol. 1992, 24, 465–469. [Google Scholar] [CrossRef] [PubMed]
- Zhang, H.; Zhuang, G.; Sun, D.; Deng, T.; Zhang, J. Spontaneous rupture of the renal pelvis caused by upper urinary tract obstruction: A case report and review of the literature. Medicine 2017, 96, e9190. [Google Scholar] [CrossRef]
- Charlson, M.E.; Pompei, P.; Ales, K.L.; MacKenzie, C.R. A new method of classifying prognostic comorbidity in longitudinal studies: Development and validation. J. Chronic Dis. 1987, 40, 373–383. [Google Scholar] [CrossRef]
- Fernbach, S.K.; Maizels, M.; Conway, J.J. Ultrasound grading of hydronephrosis: Introduction to the system used by the Society for Fetal Urology. Pediatr. Radiol. 1993, 23, 478–480. [Google Scholar] [CrossRef] [PubMed]
- Professionals, S.-O. EAU Guidelines: Urolithiasis. Available online: https://uroweb.org/guideline/urolithiasis/ (accessed on 18 April 2021).
- Kalafatis, P.; Zougkas, K.; Petas, A. Primary ureteroscopic treatment for obstructive ureteral stone-causing fornix rupture. Int. J. Urol. 2004, 11, 1058–1064. [Google Scholar] [CrossRef] [PubMed]



| Age (Years) | |
| Median (IQR) | 58.0 (41–66) |
| Range | 18–88 |
| Gender (No. (%)) | |
| Male | 41 (62.1) |
| Female | 25 (37.9) |
| BMI (kg/m2) | |
| Median (IQR) | 25.6 (22.8–28.5) |
| Range | 19.8–35.7 |
| CCI (value) | |
| Median (IQR) | 0.0 (0.0–1.0) |
| Mean (SD) | 0.7 (1.0) |
| Range | 0–5 |
| CCI ≥ 1 (No. (%)) | 21 (31.8) |
| Reason for presentation (No. (%)) | |
| Renal colic | 44 (66.7) |
| Fever | 7 (10.6) |
| Unspecific abdominal pain | 12 (18.2) |
| Other | 3 (4.5) |
| Stone size (mm) | |
| Median (IQR) | 5.0 (4.0–7.7) |
| Range | 2.0–12.0 |
| Stone location (No. (%)) | |
| Proximal ureter | 16 (24.2) |
| Mid ureter | 10 (15.2) |
| Lower ureter | 40 (60.6) |
| Degree of hydronephrosis (No. (%)) | |
| I–II | 42 (63.6) |
| III–IV | 24 (36.4) |
| Max body temperature (Celsius degree) | |
| Median (IQR) | 36.0 (36–37) |
| Range | 36.0–39.2 |
| White blood cells count (×103/mmc) | |
| Median (IQR) | 10.8 (7.4–13.3) |
| Range | 2.2–24.3 |
| C-reactive protein (mg/dL) | |
| Median (IQR) | 0.9 (0.1–7.6) |
| Range | 0.1–31.6 |
| Serum creatinine (mg/dL) | |
| Median (IQR) | 1.2 (0.9–1.5) |
| Range | 0.6–5.0 |
| Time from ED access to surgery (hours) | |
| Median (IQR) | 13 (9–21) |
| Range | 2.0–109 |
| Type of treatment (No. (%)) | |
| Ureteral catheter | 61 (92.4) |
| Nephrostomy tube | 5 (7.6) |
| Intraoperative urine extravasation (No. (%)) | 38 (57.6) |
| Postoperative complications (No. (%)) | |
| None | 58 (87.9) |
| Clavien–Dindo I–II | 6 (9.1) |
| Clavien–Dindo III | 2 (3.0) |
| Bladder catheterisation time (days) | |
| Median (IQR) | 6.5 (3.0–8.0) |
| Range | 1.0–26.0 |
| Hospital stay (days) | |
| Median (IQR) | 3.0 (2.0–6.0) |
| Range | 1.0–15.0 |
| sUUTR Score | Radiologist 1 | Radiologist 2 | Urologist |
|---|---|---|---|
| Local spread | 24 (36.4%) | 27 (40.9%) | 26 (39.4%) |
| Free Fluid | 39 (59.1%) | 36 (54.5%) | 35 (53.0%) |
| Urinoma | 3 (4.5%) | 3 (4.5%) | 5 (7.6%) |
| Cohen’s Kappa | 0.74 * | 0.72 *; 0,70 § | |
| ICC (95% CI) | 0.88 (0.81–0.93) * | 0.87 (0.79–0.92) *; 0.86 (0.78–0.92) § |
| Local Spread | Free Fluid/Urinomas | p Value * | |
|---|---|---|---|
| No. of patients (No. (%)) | 24 (36.4) | 42 (63.6) | |
| Age (years) | 0.7 | ||
| Median (IQR) | 57.0 (41–64) | 58.0 (41–66) | |
| Range | 23–82 | 18–88 | |
| Gender (No. (%)) | 0.1 | ||
| Male | 12 (50.0) | 29 (69.0) | |
| Female | 12 (50.0) | 13 (31.0) | |
| BMI (kg/m2) | 0.8 | ||
| Median (IQR) | 25.4 (22.9–28.5) | 25.5 (21.9–28.5) | |
| Range | 19.8–34.3 | 19.9–35.7 | |
| CCI ≥ 1 (No. (%)) | 4 (16.7) | 17 (40.5) | 0.04 |
| Reason for presentation (No. (%)) | 0.6 | ||
| Renal colic | 17 (70.8) | 27 (64.3) | |
| Fever | 3 (12.5) | 4 (9.5) | |
| Unspecific abdominal pain | 4 (16.7) | 8 (19.0) | |
| Other | 0 (0.0) | 3 (7.1) | |
| Stone size (mm) | 0.6 | ||
| Median (IQR) | 5.0 (4.0–7.0) | 5.0 (4.0–8.0) | |
| Range | 2.0–12.0 | 2.0–11.0 | |
| Stone location (No. (%)) | 0.7 | ||
| Proximal ureter | 6 (25.0) | 10 (23.9) | |
| Mid ureter | 4 (16.6) | 6 (14.2) | |
| Lower ureter | 14 (58.4) | 26 (61.9) | |
| Degree of hydronephrosis (No. (%)) | 0.4 | ||
| I–II | 14 (58.3) | 28 (66.6) | |
| III–IV | 10 (41.7) | 14 (33.4) | |
| Max body temperature (Celsius degree) | 0.7 | ||
| Median (IQR) | 36.0 (36–37) | 36.0 (36–37) | |
| Range | 36.0–39.2 | 36.0–38.0 | |
| White blood cells count (×103/mmc) | 0.9 | ||
| Median (IQR) | 11.0 (7.3–13.3) | 10.2 (8.2–13.1) | |
| Range | 2.2–17.7 | 3.2–24.3 | |
| C-reactive protein (mg/dL) | 0.4 | ||
| Median (IQR) | 0.6 (0.1–4.6) | 1.3 (0.1–7.8) | |
| Range | 0.1–31.6 | 0.1–29.4 | |
| Serum creatinine (mg/dL) | 0.6 | ||
| Median (IQR) | 1.2 (0.8–1.6) | 1.3 (0.9–1.6) | |
| Range | 0.6–2.1 | 0.6–5.0 | |
| Time from ED access to surgery (hours) | 0.3 | ||
| Median (IQR) | 14 (10–23) | 12.5 (8.2–19.7) | |
| Range | 2.0–109 | 4.0–48 | |
| Type of treatment (No. (%)) | 0.1 | ||
| Ureteral catheter | 24 (100) | 37 (88.1) | |
| Nephrostomy tube | 0 (0.0) | 5 (11.9) | |
| Urine extravasation (No. (%)) | 8 (33.3) | 30 (71.4) | 0.003 |
| Postoperative complications (No. (%)) | 0.8 | ||
| None—Clavien–Dindo I | 22 (91.7) | 38 (90.5) | |
| Clavien–Dindo II–III | 2 (8.3) | 4 (9.5) | |
| Bladder catheterisation time (days) | 0.6 | ||
| Median (IQR) | 7.0 (2.0–9.0) | 6.0 (3.0–8.0) | |
| Range | 1.0–26.0 | 1.0–13.0 | |
| Hospital stay (days) | 0.7 | ||
| Median (IQR) | 3.0 (2.0–6.0) | 3.0 (2.0–5.5) | |
| Range | 1.0–15.0 | 1.0–15.0 |
| UVA Model | MVA Model | |||
|---|---|---|---|---|
| OR, (95% CI) | p-Value | OR, (95% CI) | p-Value | |
| Age | 1.1, (0.96–1.03) | 0.9 | ||
| BMI | 1.0, (0.90–1.15) | 0.8 | ||
| Female gender | 1.1, (0.46–3.03) | 0.9 | ||
| CCI ≥ 1 | 0.4, (0.13–1.27) | 0.1 | ||
| Stone size | 1.1, (0.85–1.34) | 0.5 | 1.2, (0.86–4.32) | 0.4 |
| Grade I–II | 1.2, (0.85–1.44) | 0.4 | 1.1, (0.86–4.34) | 0.6 |
| Vs. grade III–IV hydronephrosis | ||||
| Max body temperature | 0.8, (0.41–1.41) | 0.4 | ||
| White blood cells count | 0.9, (0.87–1.11) | 0.1 | ||
| C-reactive protein | 0.9, (0.90–1.05) | 0.5 | ||
| Serum creatinine | 1.1, (0.52–2.27) | 0.8 | ||
| Time to ED access | 1.1, (0.97–1.03) | 0.7 | ||
| to surgery | ||||
| Local spread vs. | 5.1, (1.54–10.17) | <0.01 | 4.5, (1.35–8.14) | 0.01 |
| Free fluid/Urinoma |
Publisher’s Note: MDPI stays neutral with regard to jurisdictional claims in published maps and institutional affiliations. |
© 2021 by the authors. Licensee MDPI, Basel, Switzerland. This article is an open access article distributed under the terms and conditions of the Creative Commons Attribution (CC BY) license (https://creativecommons.org/licenses/by/4.0/).
Share and Cite
Bebi, C.; Spinelli, M.G.; Lucignani, G.; Biondetti, P.; Martinetti, L.; Fulgheri, I.; De Lorenzis, E.; Albo, G.; Ierardi, A.; Palmisano, F.; et al. Spontaneous Upper Urinary Tract Rupture Caused by Ureteric Stones: Clinical Characteristics and Validation of a Radiological Classification System. Diagnostics 2021, 11, 1568. https://doi.org/10.3390/diagnostics11091568
Bebi C, Spinelli MG, Lucignani G, Biondetti P, Martinetti L, Fulgheri I, De Lorenzis E, Albo G, Ierardi A, Palmisano F, et al. Spontaneous Upper Urinary Tract Rupture Caused by Ureteric Stones: Clinical Characteristics and Validation of a Radiological Classification System. Diagnostics. 2021; 11(9):1568. https://doi.org/10.3390/diagnostics11091568
Chicago/Turabian StyleBebi, Carolina, Matteo Giulio Spinelli, Gianpaolo Lucignani, Pierpaolo Biondetti, Laura Martinetti, Irene Fulgheri, Elisa De Lorenzis, Giancarlo Albo, Annamaria Ierardi, Franco Palmisano, and et al. 2021. "Spontaneous Upper Urinary Tract Rupture Caused by Ureteric Stones: Clinical Characteristics and Validation of a Radiological Classification System" Diagnostics 11, no. 9: 1568. https://doi.org/10.3390/diagnostics11091568
APA StyleBebi, C., Spinelli, M. G., Lucignani, G., Biondetti, P., Martinetti, L., Fulgheri, I., De Lorenzis, E., Albo, G., Ierardi, A., Palmisano, F., Salonia, A., Carrafiello, G., Montanari, E., & Boeri, L. (2021). Spontaneous Upper Urinary Tract Rupture Caused by Ureteric Stones: Clinical Characteristics and Validation of a Radiological Classification System. Diagnostics, 11(9), 1568. https://doi.org/10.3390/diagnostics11091568

