Brain Tissue Low-Level Mosaicism for MTOR Mutation Causes Smith–Kingsmore Phenotype with Recurrent Hypoglycemia—A Novel Phenotype and a Further Proof for Testing of an Affected Tissue
Abstract
1. Introduction
2. Materials and Methods
3. Case Presentation
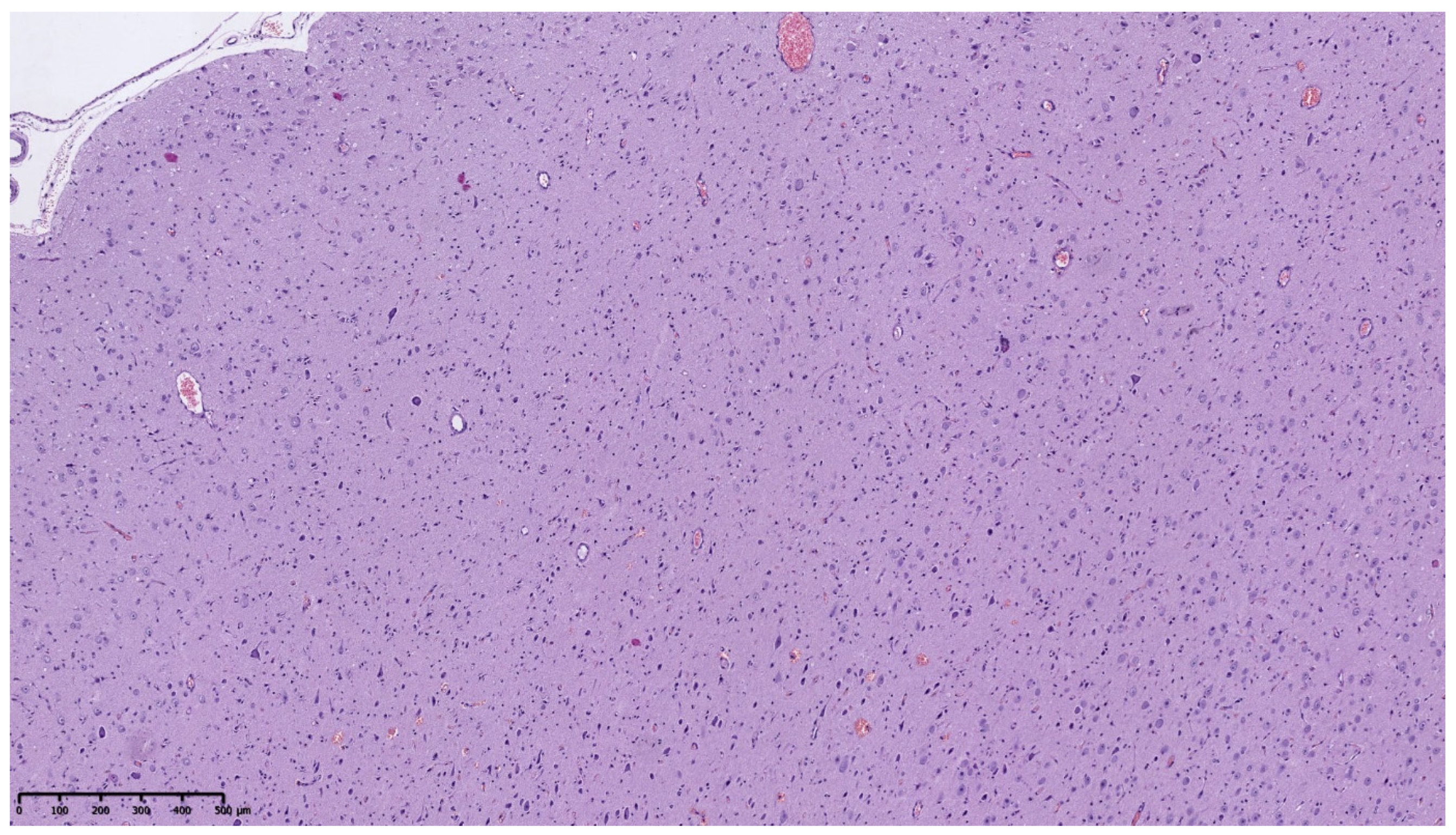
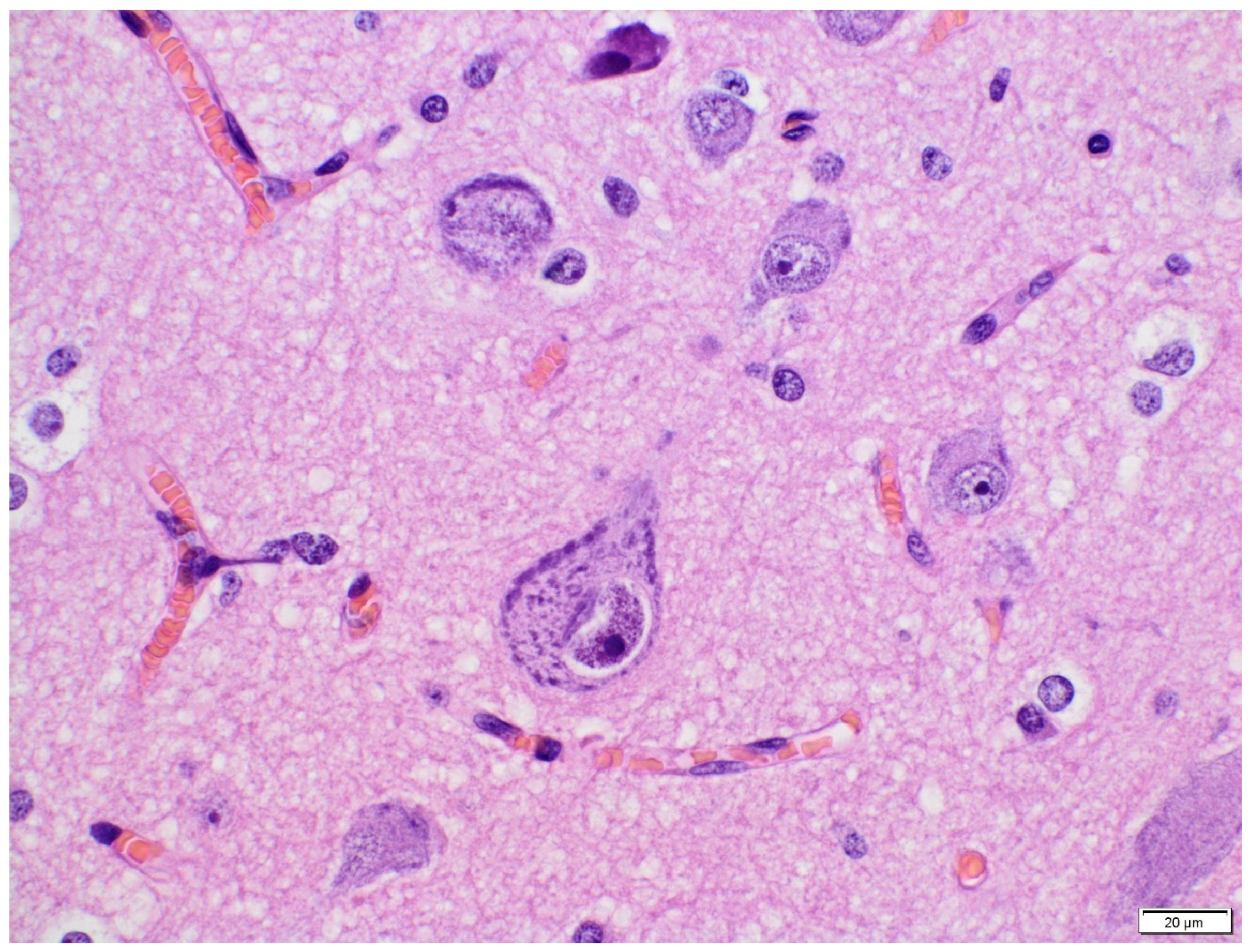
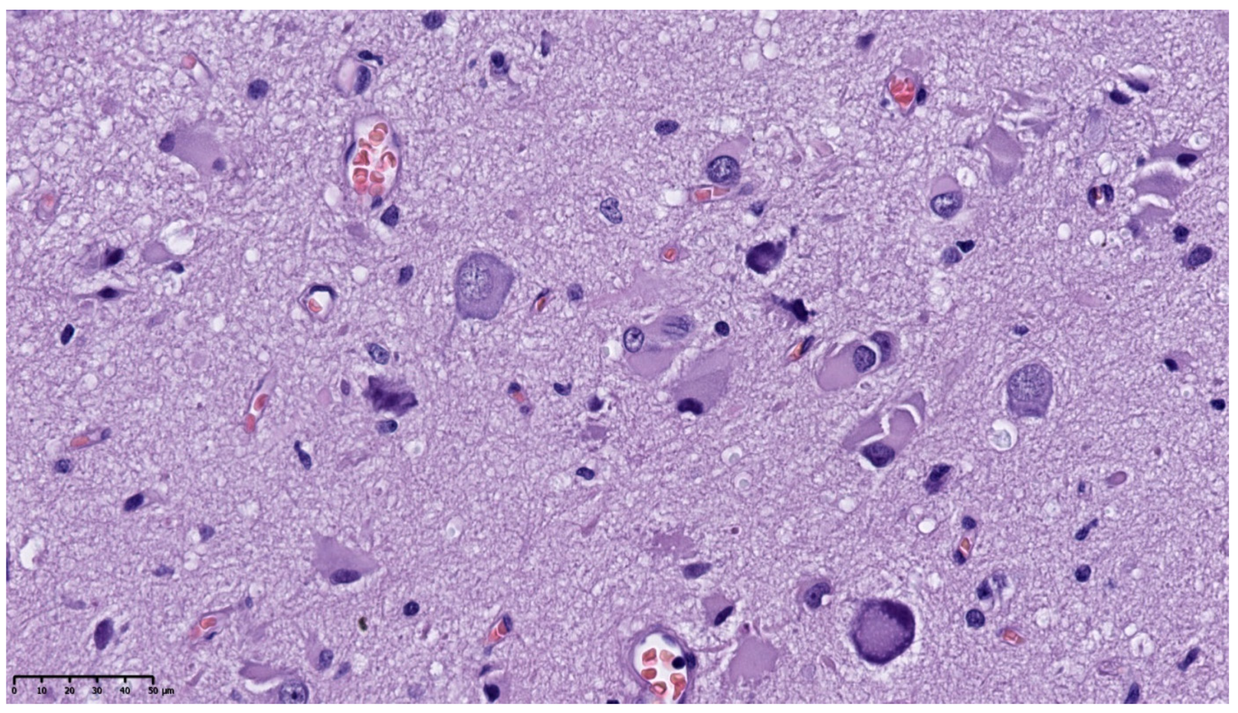
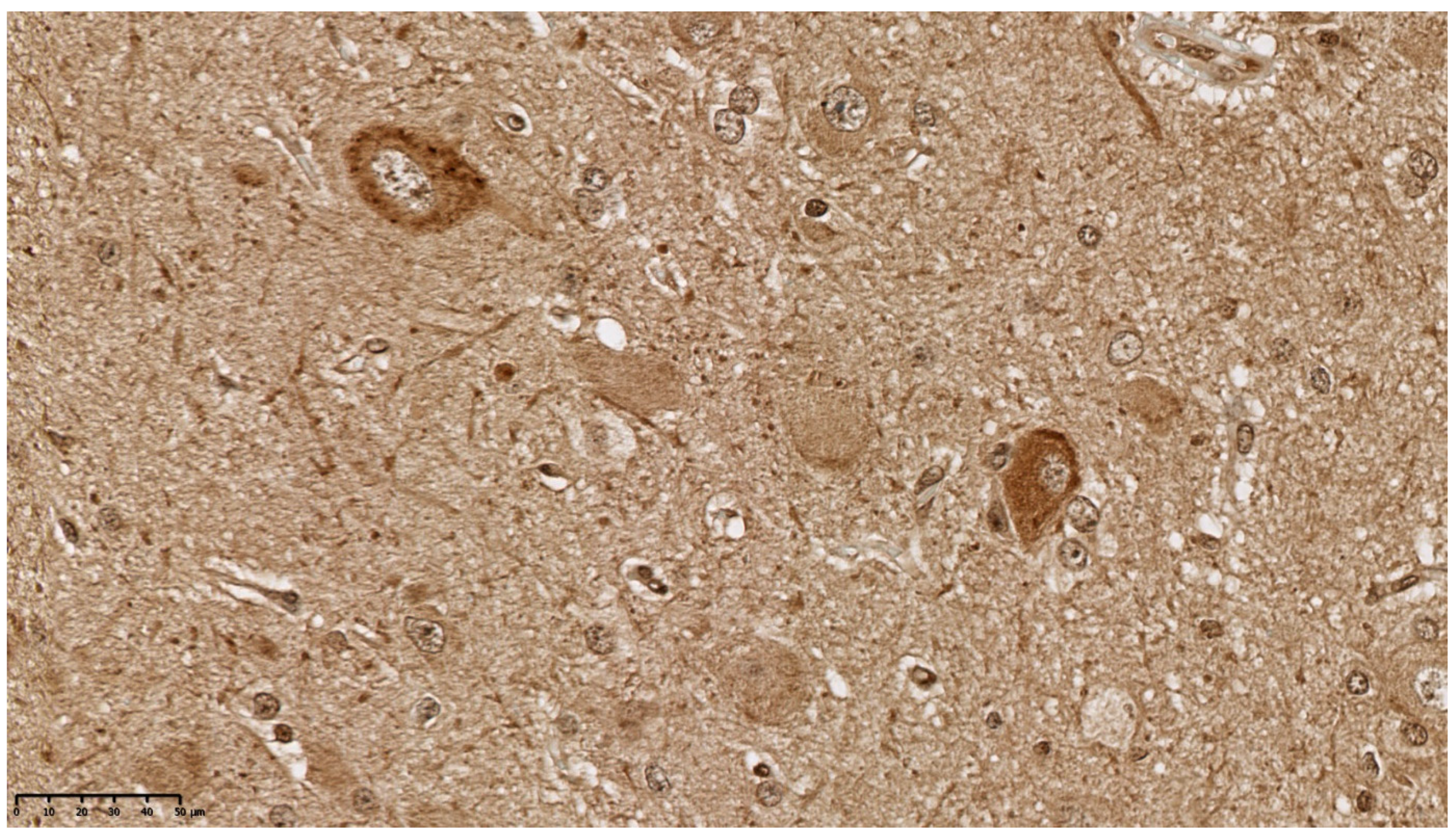
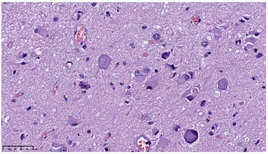
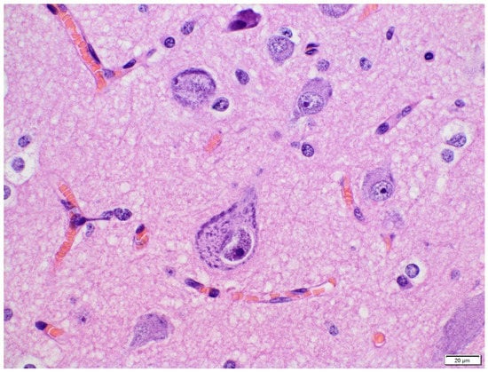
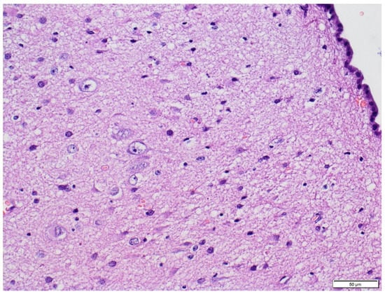
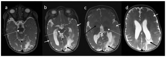
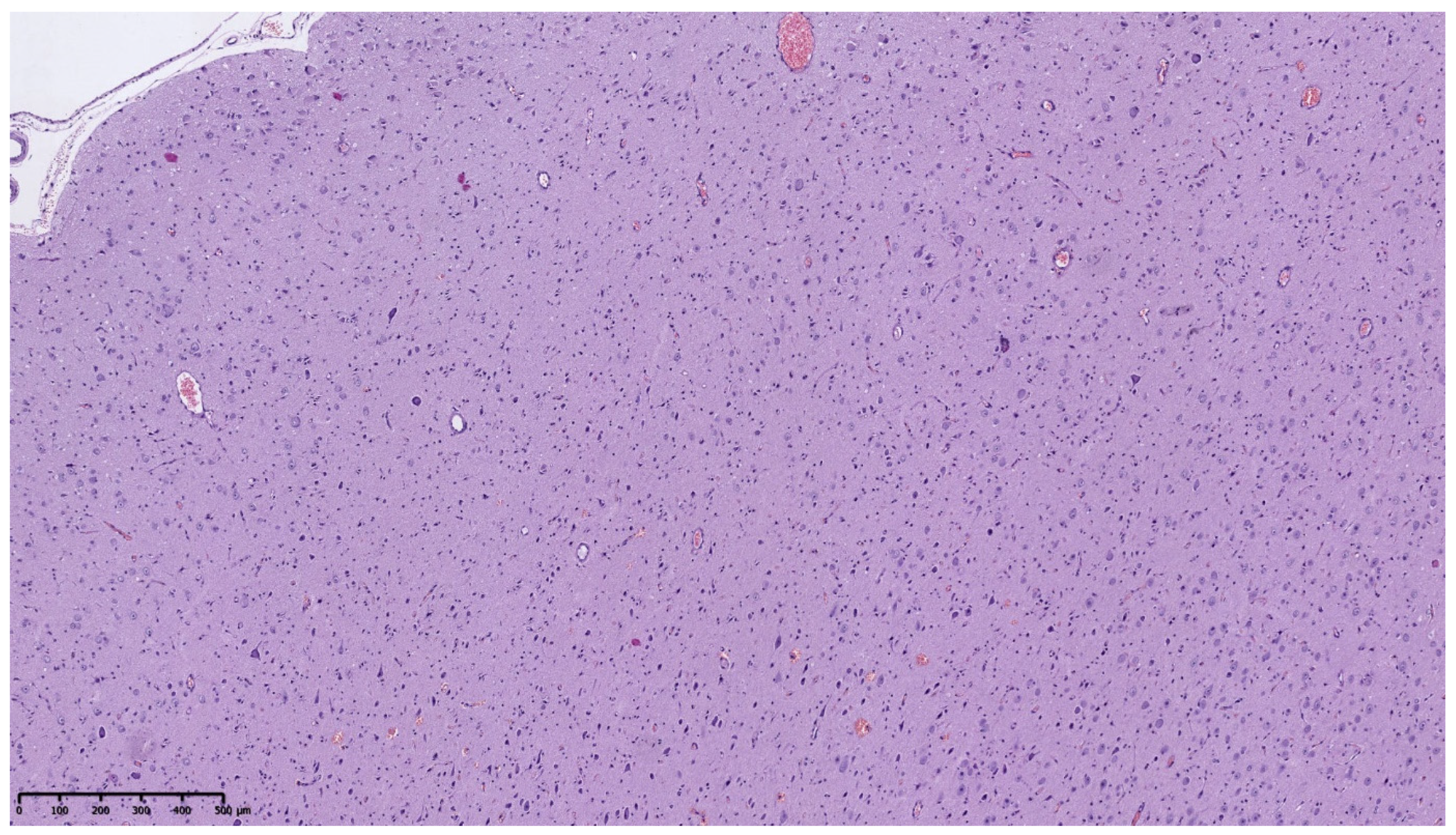
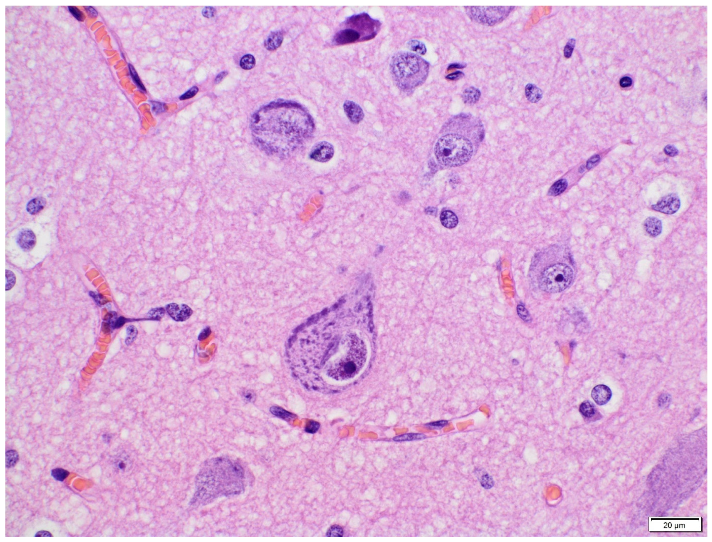
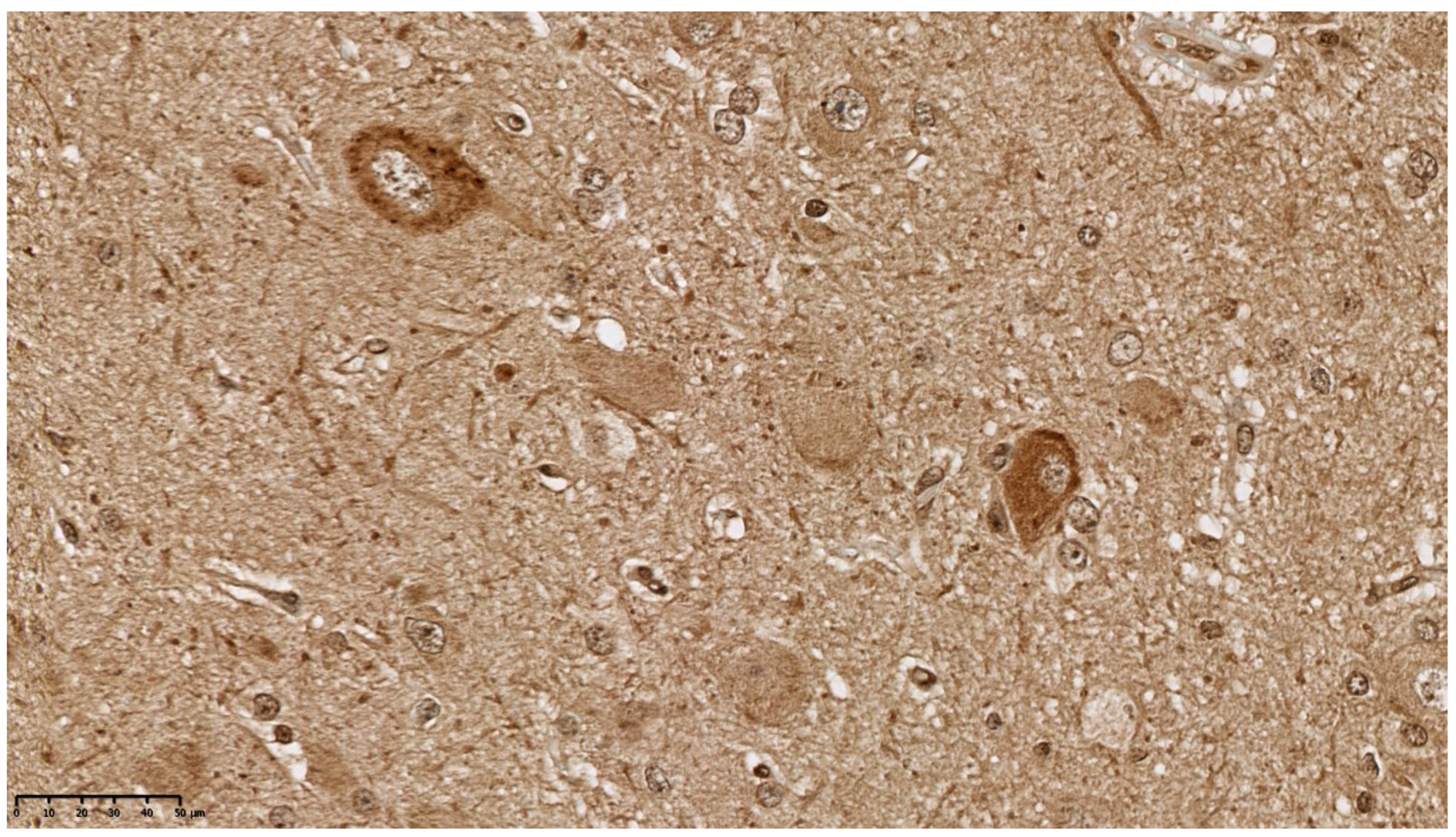
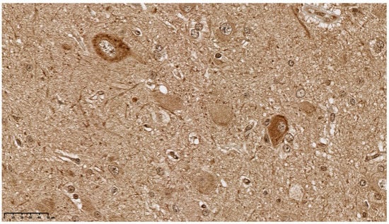
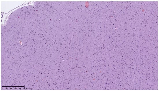
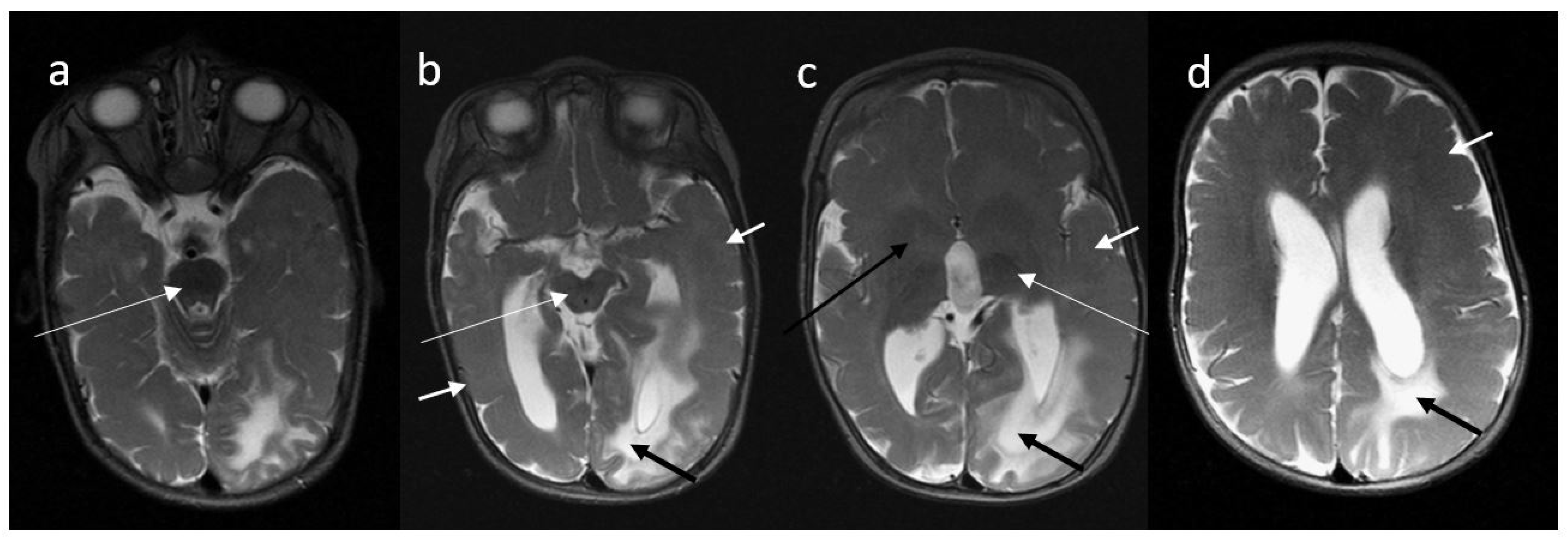
3.1. Clinical and Pathology Report
3.2. Genetic Report
4. Discussion
5. Conclusions
Author Contributions
Funding
Institutional Review Board Statement
Informed Consent Statement
Data Availability Statement
Conflicts of Interest
References
- Alcantara, D.; Timms, A.E.; Gripp, K.; Baker, L.; Park, K.; Collins, S.; Cheng, C.; Stewart, F.; Mehta, S.G.; Saggar, A.; et al. Mutations of AKT3 are associated with a wide spectrum of developmental disorders including extreme megalencephaly. Brain 2017, 140, 2610–2622. [Google Scholar] [CrossRef]
- Yu, J.S.L.; Cui, W. Proliferation, survival and metabolism: The role of PI3K/AKT/mTOR signalling in pluripotency and cell fate determination. Development 2016, 143, 3050–3060. [Google Scholar] [CrossRef]
- Fruman, D.A.; Chiu, H.; Hopkins, B.D.; Bagrodia, S.; Cantley, L.C.; Abraham, R.T. The PI3K pathway in human disease. Cell 2017, 170, 605–635. [Google Scholar] [CrossRef] [PubMed]
- Xu, F.; Na, L.; Li, Y.; Chen, L. Roles of the PI3K/AKT/mTOR signalling pathways in neurodegenerative diseases and tumours. Cell Biosci. 2020, 10, 54. [Google Scholar] [CrossRef]
- D’Gama, A.M.; Geng, Y.; Couto, J.A.; Martin, B.; Boyle, E.A.; LaCoursiere, C.M.; Hossain, A.; Hatem, N.E.; Barry, B.J.; Kwiatkowski, D.J.; et al. Mammalian target of rapamycin pathway mutations cause hemimegalencephaly and focal cortical dysplasia. Ann. Neurol. 2015, 77, 720–725. [Google Scholar] [CrossRef] [PubMed]
- Tarkowski, B.; Kuchcinska, K.; Blazejczyk, M.; Jaworski, J. Pathological mTOR mutations impact cortical development. Hum. Mol. Genet. 2019, 28, 2107–2119. [Google Scholar] [CrossRef] [PubMed]
- Mirzaa, G.M.; Campbell, C.D.; Solovieff, N.; Goold, C.P.; Jansen, L.A.; Menon, S.; Timms, A.E.; Conti, V.; Biag, J.D.; Olds, C.; et al. Association of MTOR mutations with developmental brain disorders, including megalencephaly, focal cortical dysplasia, and pigmentary mosaicism. JAMA Neurol. 2016, 73, 836–845. [Google Scholar] [CrossRef]
- Lim, J.S.; Lee, J.H. Brain somatic mutations in MTOR leading to focal cortical dysplasia. BMB Rep. 2016, 49, 71–72. [Google Scholar] [CrossRef]
- Møller, R.S.; Weckhuysen, S.; Chipaux, M.; Marsan, E.; Taly, V.; Bebin, E.M.; Hiatt, S.M.; Prokop, J.W.; Bowling, K.M.; Mei, D.; et al. Germline and somatic mutations in the MTOR gene in focal cortical dysplasia and epilepsy. Neurol. Genet. 2016, 2, e118. [Google Scholar] [CrossRef]
- Smith, L.D.; Saunders, C.J.; Dinwiddie, D.L.; Atherton, A.M.; Miller, N.A.; Soden, S.E.; Farrow, E.G.; Abdelmoity, A.T.G.; Kingsmore, S.F. Exome sequencing reveals de novo germline mutation of mammalian target of rapamycin (MTOR) in a patient with megalencephaly and intractable seizures. J. Genomes Exomes 2013, 2, 63–72. [Google Scholar]
- Gordo, G.; Tenorio, J.; Arias, P.; Santos-Simarro, F.; García-Miñaur, S.; Moreno, J.C.; Nevado, J.; Vallespin, E.; Rodriguez-Laguna, L.; de Mena, R.; et al. mTOR mutations in Smith-Kingsmore syndrome: Four additional patients and a review. Clin. Genet. 2018, 93, 762–775. [Google Scholar] [CrossRef]
- Nakashima, M.; Saitsu, H.; Takei, N.; Tohyama, J.; Kato, M.; Kitaura, H.; Shiina, M.; Shirozu, H.; Masuda, H.; Watanabe, K.; et al. Somatic mutations in the MTOR gene cause focal cortical dysplasia type IIb. Ann. Neurol. 2015, 78, 375–386. [Google Scholar] [CrossRef]
- Leventer, R.J.; Scerri, T.; Marsh, A.P.; Pope, K.; Gillies, G.; Maixner, W.; MacGregor, D.; Harvey, A.S.; Delatycki, M.B.; Amor, D.J.; et al. Hemispheric cortical dysplasia secondary to a mosaic somatic mutation in MTOR. Neurology 2015, 84, 2029–2032. [Google Scholar] [CrossRef]
- Handoko, M.; Emrick, L.T.; Rosenfeld, J.A.; Wang, X.; Tran, A.A.; Turner, A.; Belmont, J.W.; Undiagnosed Diseases Network; Lee, B.H.; Bacino, C.A.; et al. Recurrent mosaic MTOR c. 5930C> T (p. Thr1977Ile) variant causing megalencephaly, asymmetric polymicrogyria, and cutaneous pigmentary mosaicism: Case report and review of the literature. Am. J. Med. Genet. Part A 2019, 179, 475–479. [Google Scholar] [CrossRef]
- Lee, J.H.; Huynh, M.; Silhavy, J.L.; Kim, S.; Dixon-Salazar, T.; Heiberg, A.; Scott, E.; Bafna, V.; Hill, K.J.; Collazo, A.; et al. De novo somatic mutations in components of the PI3K-AKT3-mTOR pathway cause hemimegalencephaly. Nat. Genet. 2012, 44, 941–955. [Google Scholar] [CrossRef]
- McDermott, J.H.; Hickson, N.; Banerjee, I.; Murray, P.G.; Ram, D.; Metcalfe, K.; Clayton-Smith, J.; Douzgou, S. Hypoglycaemia represents a clinically significant manifestation of PIK3CA- and CCND2-associated segmental overgrowth. Clin. Genet. 2018, 93, 687–692. [Google Scholar] [CrossRef]
- Nellist, M.; Schot, R.; Hoogeveen-Westerveld, M.; Neuteboom, R.F.; van der Louw, E.J.T.M.; Lequin, M.H.; Bindels-de Heus, K.; Sibbles, B.J.; de Coo, R.; Brooks, A.; et al. Germline activating AKT3 mutation associated with megalencephaly, polymicrogyria, epilepsy and hypoglycemia. Mol. Genet. Metab. 2015, 114, 467–473. [Google Scholar] [CrossRef] [PubMed]
- Hussain, K.; Challis, B.; Rocha, N.; Payne, F.; Minic, M.; Thompson, A.; Daly, A.; Scott, C.; Harris, J.; Smillie, B.J.L.; et al. An activating mutation of AKT2 and human hypoglycemia. Science 2011, 334, 474. [Google Scholar] [CrossRef] [PubMed]
- Leiter, S.M.; Parker, V.E.R.; Welters, A.; Knox, R.; Rocha, N.; Clark, G.; Payne, F.; Lotta, L.; Harris, J.; Guerrero-Fernández, J.; et al. Hypoinsulinaemic, hypoketotic hypoglycaemia due to mosaic genetic activation of PI3-kinase. Eur. J. Endocrinol. 2017, 177, 175–186. [Google Scholar] [CrossRef] [PubMed]
- Arya, V.B.; Flanagan, S.E.; Schober, E.; Rami-Merhar, B.; Ellard, S.; Hussain, K. Activating AKT2 mutation: Hypoinsulinemic hypoketotic hypoglycemia. J. Clin. Endocrinol. Metab. 2014, 99, 391–394. [Google Scholar] [CrossRef] [PubMed][Green Version]
- Stutterd, C.; McGillivray, G.; Stark, Z.; Messazos, B.; Cameron, F.; White, S.; Melbourne Genomics Health Alliance; Mirzaa, G.; Leventer, R. Polymicrogyria in association with hypoglycemia points to mutation in the mTOR pathway. Eur. J. Med. Genet. 2018, 61, 738–740. [Google Scholar] [CrossRef] [PubMed]
- Rydzanicz, M.; Wachowska, M.; Cook, E.C.; Lisowski, P.; Kuźniewska, B.; Szymańska, K.; Diecke, S.; Prigione, A.; Szczałuba, K.; Szybińska, A.; et al. Novel calcineurin A (PPP3CA) variant associated with epilepsy, constitutive enzyme activation and downregulation of protein expression. Eur. J. Hum. Genet. 2019, 27, 61–69. [Google Scholar] [CrossRef] [PubMed]








Publisher’s Note: MDPI stays neutral with regard to jurisdictional claims in published maps and institutional affiliations. |
© 2021 by the authors. Licensee MDPI, Basel, Switzerland. This article is an open access article distributed under the terms and conditions of the Creative Commons Attribution (CC BY) license (https://creativecommons.org/licenses/by/4.0/).
Share and Cite
Szczałuba, K.; Rydzanicz, M.; Walczak, A.; Kosińska, J.; Koppolu, A.; Biernacka, A.; Iwanicka-Pronicka, K.; Grajkowska, W.; Jurkiewicz, E.; Kowalczyk, P.; et al. Brain Tissue Low-Level Mosaicism for MTOR Mutation Causes Smith–Kingsmore Phenotype with Recurrent Hypoglycemia—A Novel Phenotype and a Further Proof for Testing of an Affected Tissue. Diagnostics 2021, 11, 1269. https://doi.org/10.3390/diagnostics11071269
Szczałuba K, Rydzanicz M, Walczak A, Kosińska J, Koppolu A, Biernacka A, Iwanicka-Pronicka K, Grajkowska W, Jurkiewicz E, Kowalczyk P, et al. Brain Tissue Low-Level Mosaicism for MTOR Mutation Causes Smith–Kingsmore Phenotype with Recurrent Hypoglycemia—A Novel Phenotype and a Further Proof for Testing of an Affected Tissue. Diagnostics. 2021; 11(7):1269. https://doi.org/10.3390/diagnostics11071269
Chicago/Turabian StyleSzczałuba, Krzysztof, Małgorzata Rydzanicz, Anna Walczak, Joanna Kosińska, Agnieszka Koppolu, Anna Biernacka, Katarzyna Iwanicka-Pronicka, Wiesława Grajkowska, Elżbieta Jurkiewicz, Paweł Kowalczyk, and et al. 2021. "Brain Tissue Low-Level Mosaicism for MTOR Mutation Causes Smith–Kingsmore Phenotype with Recurrent Hypoglycemia—A Novel Phenotype and a Further Proof for Testing of an Affected Tissue" Diagnostics 11, no. 7: 1269. https://doi.org/10.3390/diagnostics11071269
APA StyleSzczałuba, K., Rydzanicz, M., Walczak, A., Kosińska, J., Koppolu, A., Biernacka, A., Iwanicka-Pronicka, K., Grajkowska, W., Jurkiewicz, E., Kowalczyk, P., & Płoski, R. (2021). Brain Tissue Low-Level Mosaicism for MTOR Mutation Causes Smith–Kingsmore Phenotype with Recurrent Hypoglycemia—A Novel Phenotype and a Further Proof for Testing of an Affected Tissue. Diagnostics, 11(7), 1269. https://doi.org/10.3390/diagnostics11071269

