Acute Zonal Occult Outer Retinopathy (AZOOR) Results from a Clinicopathological Mechanism Different from Choriocapillaritis Diseases: A Multimodal Imaging Analysis
Abstract
:1. Introduction
2. Case Reports
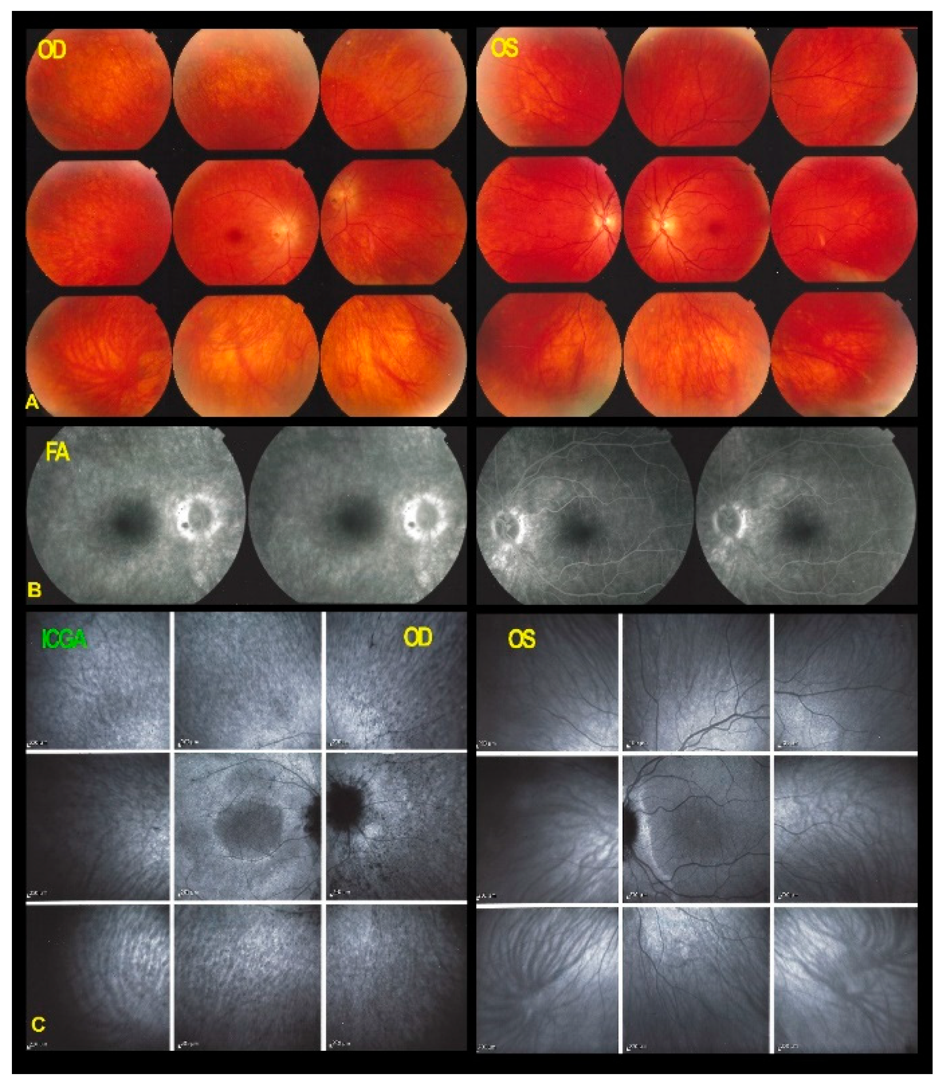
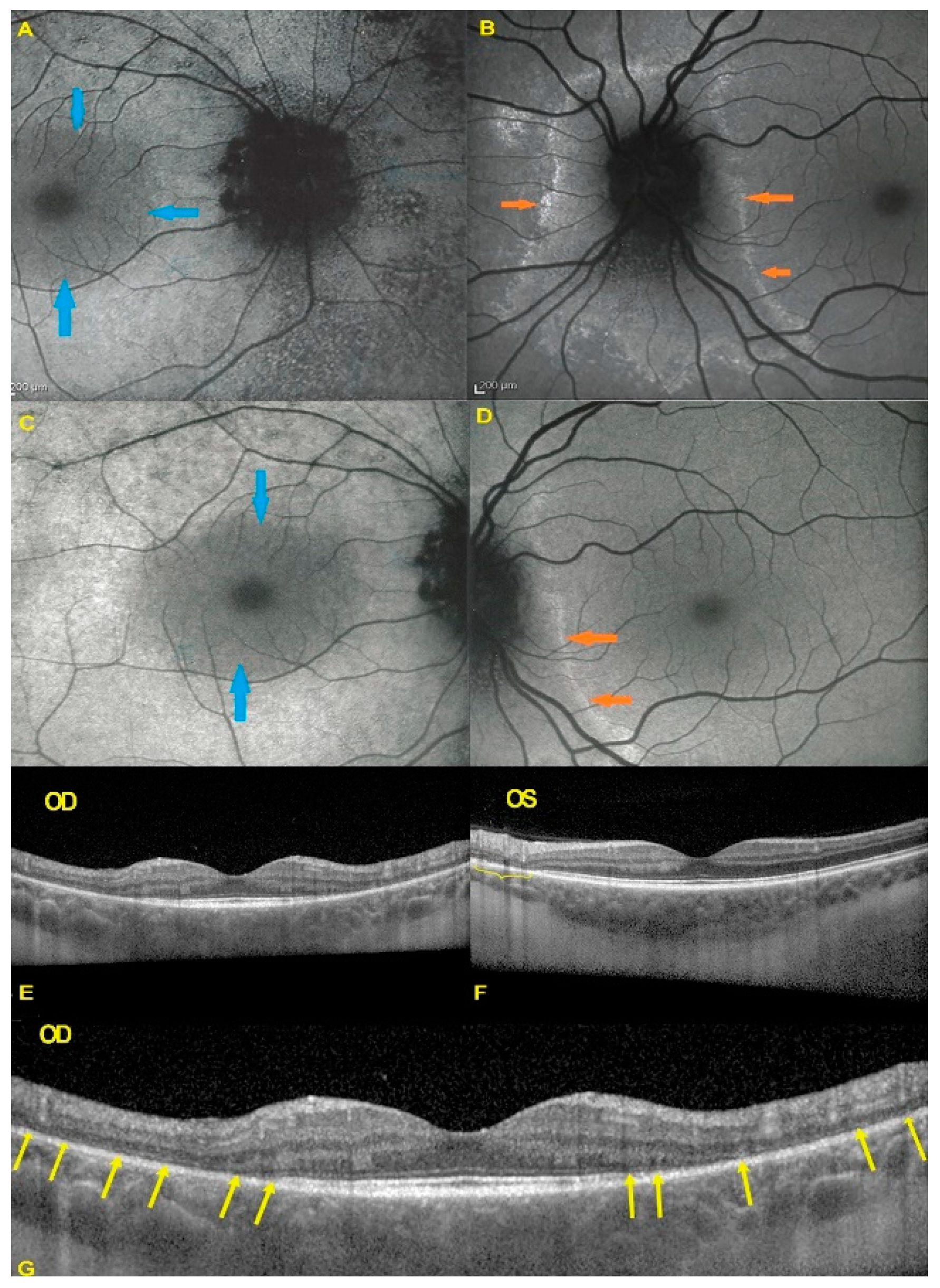
2.1. Case 1
2.2. Case 2
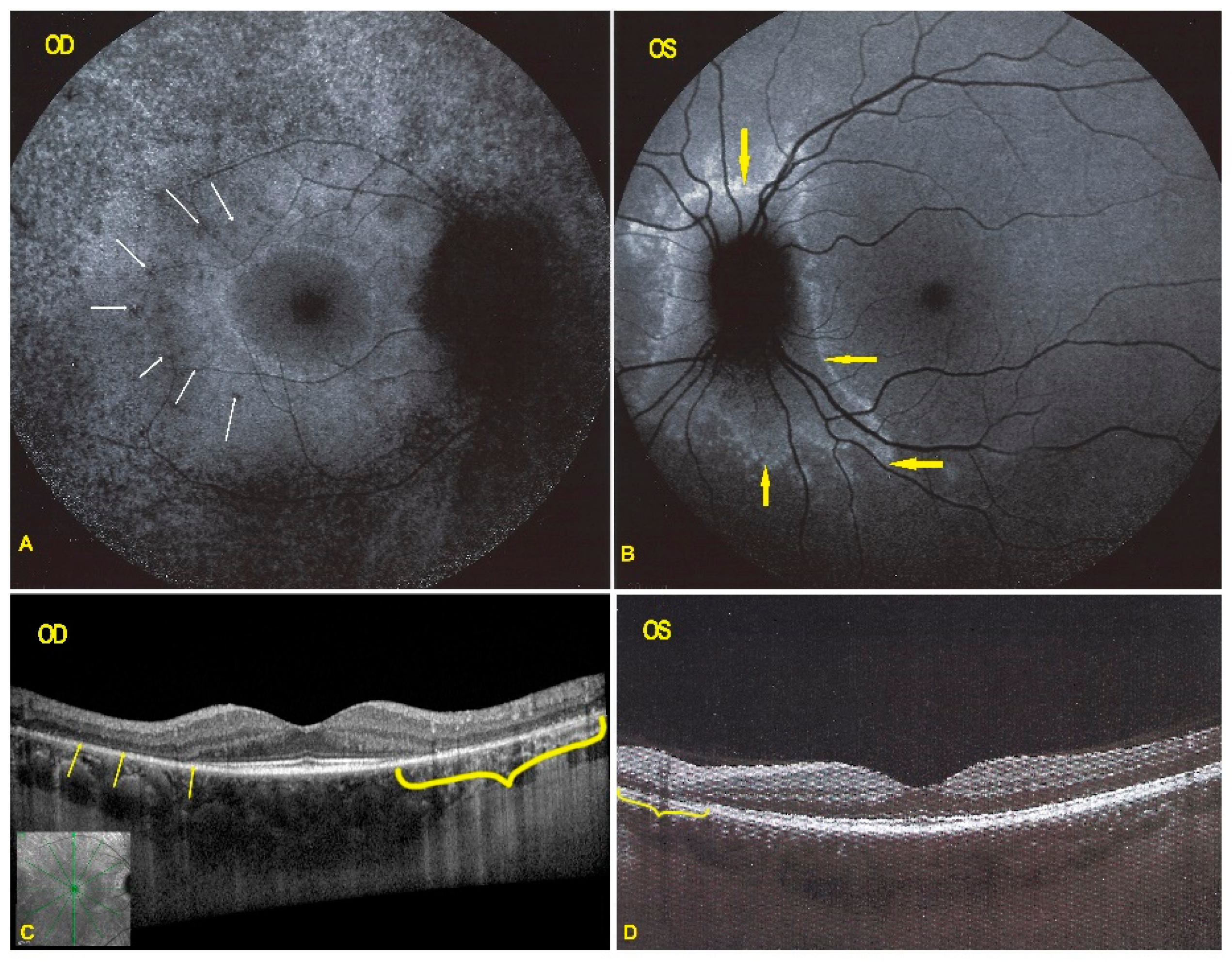
2.3. Case 3
3. Results-Summary
4. Discussion
Author Contributions
Funding
Institutional Review Board Statement
Informed Consent Statement
Data Availability Statement
Conflicts of Interest
References
- Gass, J.D. Acute zonal occult outer retinopathy. Donders Lecture: The Netherlands Ophthalmological Society, Maastricht, Holland, 19 June 1992. J. Clin. Neuro-Ophthalmol. 1993, 13, 79–97. [Google Scholar]
- Gass, J.D.; Agarwal, A.; Scott, I.U. Acute zonal occult outer retinopathy: A long-term follow-up study. Am. J. Ophthalmol. 2002, 134, 329–339. [Google Scholar] [CrossRef]
- Agarwal, A. Acute zonal occult outer retinopathy. In Uveitis, Text and Imaging; Gupta, A., Gupta, V., Herbort, C.P., Khairallah, M., Eds.; Jaypee Brothers Medical Publishers: New Delhi, India, 2009; pp. 498–509. [Google Scholar]
- Holz, F.G.; Kim, R.Y.; Schwartz, S.D.; Harper, C.A.; Wroblewski, J.; Arden, G.B.; Bird, A.C. Acute zonal occult outer retinopathy (AZOOR) associated with multifocal choroidopathy. Eye 1994, 8, 77–83. [Google Scholar] [CrossRef] [Green Version]
- Neri, P.; Ricci, F.; Giovannini, A.; Arapi, I.; De Felici, C.; Cusumano, A.; Mariotti, C. Successful treatment of an overlapping chori-ocapillaritis between multifocal choroiditis and acute zonal occult outer retinopathy (AZOOR) with adalimumab (Humira®). Int. Ophthalmol. 2014, 34, 359–364. [Google Scholar] [CrossRef]
- Fletcher, W.A.; Imes, R.K. Acute idiopathic blind spot enlargement and acute zonal occult outer retinopathy: Potential mimics of neuro-ophtalmic disease. J. Neuroophthalmol. 2020, 40 (Suppl. S1), 543–550. [Google Scholar] [CrossRef]
- Fine, H.F.; Spaide, R.F.; Ryan, E.H., Jr.; Matsumoto, Y.; Yannuzi, L.A. Acute zonal occult outer retinopathy in patients with multiple evanescent white dot syndrome. Arch. Ophthalmol. 2009, 127, 66–70. [Google Scholar] [CrossRef] [PubMed]
- Pohlmann, D.; Winterhalter, S.; Pleyer, U. White dot syndromes: Principles, diagnostics, and treatment. Ophthalmologe 2019, 116, 1235–1256. [Google Scholar] [CrossRef]
- Li, M.; Zhang, X.; Wen, F. The fundus autofluorescence spectrum of punctate inner choroidopathy. J. Ophthalmol. 2015, 2015, 202097. [Google Scholar] [CrossRef] [PubMed] [Green Version]
- Göbel, W. White dot syndrome. Ophthalmologe 2008, 105, 91–108. [Google Scholar] [CrossRef] [PubMed]
- Quillen, D.A.; Davis, J.B.; Gottlieb, J.L.; Blodi, B.A.; Callanan, D.G.; Chang, T.S.; Equi, R.A. The white dot syndromes. Am. J. Ophthalmol. 2004, 137, 538–550. [Google Scholar] [CrossRef]
- Moll-Udina, A.; Hernanz, I.; Dotti, M.; Llorenç, V.; Adán, A. Multimodal imaging in acute idiopathic blind spot enlargement syndrome. Arch. Soc. Esp. Oftalmol. 2020. online ahead of print. [Google Scholar] [CrossRef]
- Cimino, L.; Auer, C.; Herbort, C.P. Sensitivity of indocyanine green angiography for the follow-up of active inflammatory choriocapillaropathies. Ocul. Immunol. Inflamm. 2000, 8, 275–283. [Google Scholar] [CrossRef]
- Mantovani, A.; Giani, A.; Herbort, C.P., Jr.; Staurenghi, G. Interpretation of autofluorescence changes in choriocapillaritis: A multi-modality imaging study. Graefe’s Arch. Clin. Exp. Ophthalmol. 2016, 254, 1473–1479. [Google Scholar] [CrossRef] [PubMed]
- Lages, V.; Mantovani, A.; Papadia, M.; Herbort, C.P. MEWDS is atrue primary choriocapillaritis and basic mechanisms do not seem to differ from other choriocapillaritis entities. J. Curr. Ophthalmol. 2018, 30, 281–286. [Google Scholar] [CrossRef]
- Mrejen, S.; Khan, S.; Gallego-Pinazzo, R.; Jampol, L.M.; Yannuzzi, L.A. Acute zonal occult outer retinopathy: A classification based on multimodal imaging. JAMA Ophthalmol. 2014, 132, 189–980. [Google Scholar] [CrossRef] [PubMed]
- Shah, D.; Khedia, D.; Saurabh, K.; Roy, R. Multimodal Imaging signatures in case of acute zonal occult outer retinopathy. Indian J. Ophthalmol. 2018, 66, 1349–1352. [Google Scholar]
- Monson, D.M.; Smith, J.R. Acute zonal occult outer retinopathy. Surv. Ophthalmol. 2011, 56, 23–35. [Google Scholar] [CrossRef]
- Spaide, R.F. Collateral damage in acute zonal occult outer retinopathy. Am. J. Ophthalmol. 2004, 138, 887–889. [Google Scholar] [CrossRef]
- Saito, A.; Saito, W.; Furudate, N.; Ohno, S. Indocyanine green angiography in a case of punctate inner choroidopathy associated with acute zonal occult outer retinopathy. Jpn. J. Ophthalmol. 2007, 51, 295–300. [Google Scholar] [CrossRef]
- Taira, K.; Nakazuawa, M.; Takano, Y.; Ota, T. Acute zonal occult outer retinopathy in the fellow eye 5 years after presentation of punctate inner choroidopathy. Graefe’s Arch. Clin. Exp. Ophthalmol. 2006, 244, 880–882. [Google Scholar] [CrossRef]
- Fujiwara, T.; Imamura, Y.; Giovinazzo, V.J.; Spaide, R.F. Fundus autofluorescence and optical coherence tomographic findings in acute zonal occult outer retinopathy. Retina 2010, 30, 1206–1216. [Google Scholar] [CrossRef] [PubMed]
- Shifera, A.S.; Pennesi, M.E.; Yang, P.; Lin, P. Ultra-wide-field fundus autofluorescence findings in patients with acute zonal occult outer retinopathy. Retina 2017, 37, 1104–1119. [Google Scholar] [CrossRef] [PubMed]
- Boudreault, K.; Schuerch, K.; Zhao, J.; Lee, W.; Cabral, T.; Yannuzzi, L.A.; Tsang, S.H.; Sparrow, J.R. Quantitative autofluorescence in-tensities in acute zonal occult outer retinopathy vs healthy eyes. JAMA Ophthalmol. 2017, 135, 1330–1338. [Google Scholar] [CrossRef] [Green Version]
- Nakao, S.; Kaizu, Y.; Yoshida, S.; Iida, T.; Ishibashi, T. Spontaneous remission of acute zonal occult outer retinopathy: Follow-up using adaptive optics scanning laser ophthalmoscopy. Graefe’s Arch. Clin. Exp. Ophthalmol. 2015, 253, 839–843. [Google Scholar] [CrossRef] [PubMed]
- Saito, S.; Saito, W.; Saito, M.; Hashimoto, Y.; Mori, S.; Noda, K.; Namba, K.; Ishida, S. Acute zonal occult outer retinopathy in Japanese patients: Clinical features, visual function, and factors affecting visual function. PLoS ONE 2015, 10, e0125133. [Google Scholar] [CrossRef] [PubMed]
- Chen, S.-N.; Yang, C.-H.; Yang, C.-M. Systemic corticosteroids therapy in the management of acute zonal occult outer retinopathy. J. Ophthalmol. 2015, 2015, 79302. [Google Scholar] [CrossRef] [PubMed]
- Kitakawa, T.; Hayashi, T.; Takashina, H.; Mitooka, K.; Gekka, T.; Tsuneoka, H. Improvement of central visual function following steroid pulse therapy in acute zonal occult outer retinopathy. Doc. Ophthalmol. 2012, 124, 249–254. [Google Scholar] [CrossRef] [PubMed]
- Vadboncoeur, J.; Jampol, L.; Goldstein, D. Acute zonal occult outer retinopathy (AZOOR): A case report of regression following intravitreal dexamethasone (Ozurdex) implant. Retin. Cases Brief. Rep. 2020. [Google Scholar] [CrossRef] [PubMed]
- Barnes, A.C.; Lowder, C.Y.; Besette, A.P.; Baynes, K.; Srivstava, S.K. Treatment of acute zonal occult outer retinopathy with intravitreal steroids. Ophthalmic Surg. Lasers Imaging Retin. 2018, 49, 504–509. [Google Scholar] [CrossRef]
- Spaide, R.F.; Koizumi, H.; Freund, K.B. Photoreceptor outer segment abnormalities as a cause of blind spot enlargement in acute zonal occult outer retinopathy–complex diseases. Am. J. Ophthalmol. 2008, 146, 111–120. [Google Scholar] [CrossRef] [PubMed]
- Guijarro, A.; Munoz, N.; Alejandre, N.; Recuero, S.; Sanchez-Pernaute, O.; Carreno, E. Long term Follow-up and effect of immunosuppression in acute zonal occult outer retinopathy. Eur. J. Ophthalmol. 2020, 1120672120981874. [Google Scholar] [CrossRef]
- Hashimoto, Y.; Saito, W.; Kanaizumi, S.; Saito, M.; Noda, K.; Kanda, A.; Ishida, S. Comparison of clinical characteristics in patients with acute zonal occult outer retinopathy according to anti-retinal antibody status. Graefe’s Arch. Clin. Exp. Ophthalmol. 2021. Online ahead of print. [Google Scholar] [CrossRef] [PubMed]















| Patients | Age | Gender | Refract. OD | Refract. OS | VA OD | VA OD (F-up) | VA OS | VA OS (F-up) | Past History | Symptoms |
|---|---|---|---|---|---|---|---|---|---|---|
| Patient 1 | 36 | f | 0.5 | 0.25 | 0.8 | 0.6 | 1 | 1 | Alleged optic neuritis | Blurred Vision |
| Subj. annular scotoma | ||||||||||
| Migraines | ||||||||||
| Patient 2 | 56 | f | −0.25 | −0.25 | 1 | 1 | 0.8 | 0.8 | Autoimmune Lupus like Disease | Subj. Scotomas OD > OS |
| Photophobia | ||||||||||
| Patient 3 | 44 | f | −2 | −2.75 | 0.2 | 0.1 | 0.35 | 0.25 | ASLOS increased | Photopsias |
| Dim. Contrast sensitivity | ||||||||||
| Photophobia |
| BL-FAF | Hyperautofluorescence [increased exposure of RPE lipofuscin following loss of photoreceptor OS] |
| Hypoautofluorescence in severely affected areas [chorioretinal atrophy] | |
| ICGA | Preserved fluorescence [indicates integrity of choriocapillaris] |
| SD-OCT | Loss of photoreceptors outer segment in diseased areas |
| FA | Faint late hyperfluorescence in diseased areas [indicates loss of photopigment of photoreceptors OS] |
| Hyperfluorescent areas early and late [indicates chorioretinal atrophy-window effect)– | |
| Follow-Up | Areas of chorioretinal atrophy; secondary choriocapillaris involvement |
Publisher’s Note: MDPI stays neutral with regard to jurisdictional claims in published maps and institutional affiliations. |
© 2021 by the authors. Licensee MDPI, Basel, Switzerland. This article is an open access article distributed under the terms and conditions of the Creative Commons Attribution (CC BY) license (https://creativecommons.org/licenses/by/4.0/).
Share and Cite
Herbort, C.P., Jr.; Arapi, I.; Papasavvas, I.; Mantovani, A.; Jeannin, B. Acute Zonal Occult Outer Retinopathy (AZOOR) Results from a Clinicopathological Mechanism Different from Choriocapillaritis Diseases: A Multimodal Imaging Analysis. Diagnostics 2021, 11, 1184. https://doi.org/10.3390/diagnostics11071184
Herbort CP Jr., Arapi I, Papasavvas I, Mantovani A, Jeannin B. Acute Zonal Occult Outer Retinopathy (AZOOR) Results from a Clinicopathological Mechanism Different from Choriocapillaritis Diseases: A Multimodal Imaging Analysis. Diagnostics. 2021; 11(7):1184. https://doi.org/10.3390/diagnostics11071184
Chicago/Turabian StyleHerbort, Carl P., Jr., Ilir Arapi, Ioannis Papasavvas, Alessandro Mantovani, and Bruno Jeannin. 2021. "Acute Zonal Occult Outer Retinopathy (AZOOR) Results from a Clinicopathological Mechanism Different from Choriocapillaritis Diseases: A Multimodal Imaging Analysis" Diagnostics 11, no. 7: 1184. https://doi.org/10.3390/diagnostics11071184
APA StyleHerbort, C. P., Jr., Arapi, I., Papasavvas, I., Mantovani, A., & Jeannin, B. (2021). Acute Zonal Occult Outer Retinopathy (AZOOR) Results from a Clinicopathological Mechanism Different from Choriocapillaritis Diseases: A Multimodal Imaging Analysis. Diagnostics, 11(7), 1184. https://doi.org/10.3390/diagnostics11071184

