HLA-A29 Birdshot Retinochoroiditis in Its 5th Decade: Selected Glimpses into the Intellectual Meanderings and Progresses in the Knowledge of a Long-Time Misunderstood Disease
Abstract
1. Introduction
2. Materials and Methods
3. Results
3.1. Misjudgement on the Severity of the Disease in Early Years after the Initial Articles Reporting the Disease, and Why the Condition Was Considered a Benign Disease
3.2. Advances in Immunopathogenetic Hypotheses for BRC
3.3. The Essential Role of HLA-A29 in Diagnosis
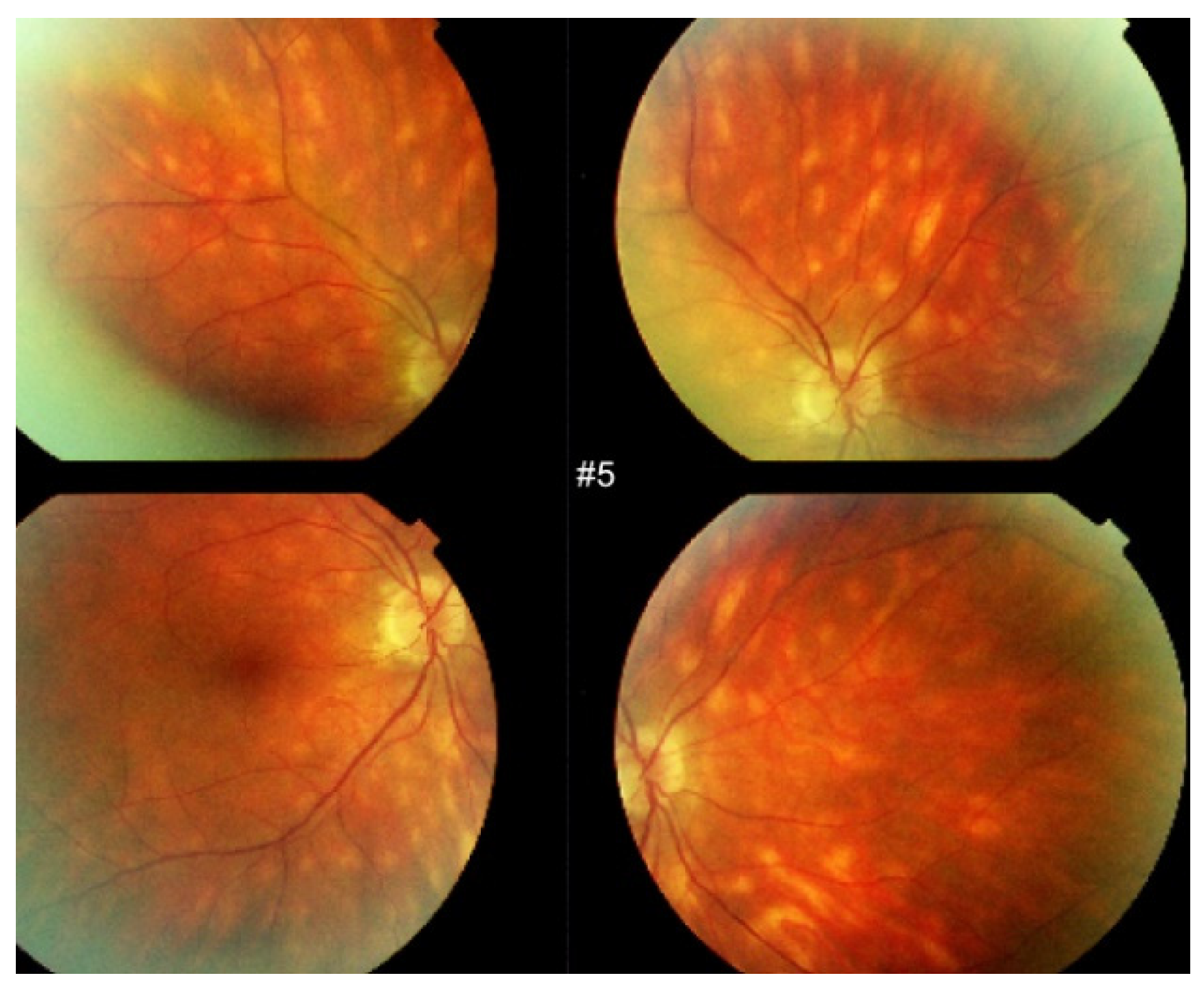
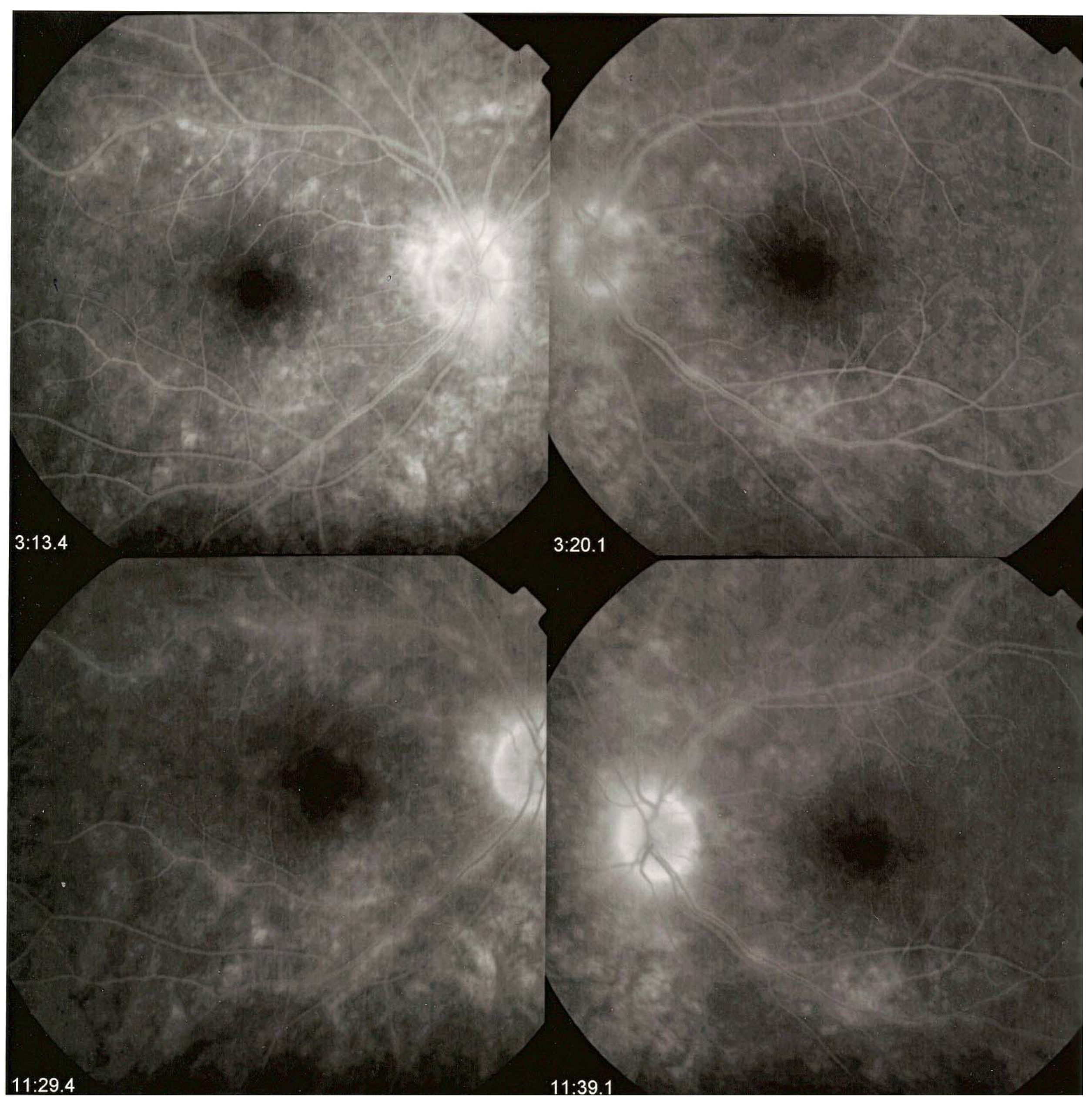
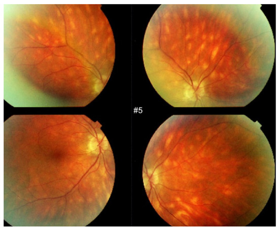
3.4. Imaging Methods Relevant in Practice for Diagnosis and Follow-Up of BRC
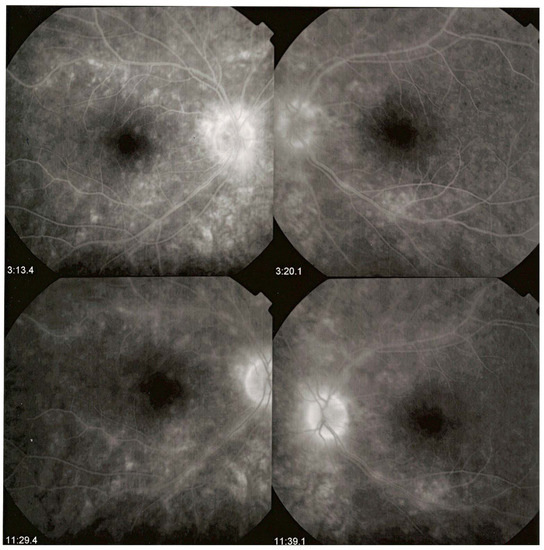
3.4.1. Fluorescein Angiography
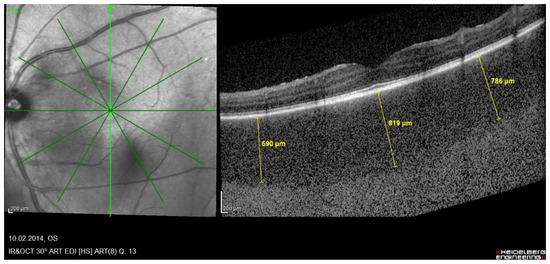
3.4.2. Optical Coherence Tomography
Retinal SD-OCT
Choroidal Enhanced-Depth Imaging OCT (EDI-OCT)
3.4.3. Indocyanine Green Angiography (ICGA) Is Essential for Choroidal Involvement and Early Diagnosis
3.4.4. Additional Imaging Methods Not Directly Relevant for Diagnosis and Practical Follow-Up
3.5. Practical Diagnostic Criteria for Early Diagnosis
4. Management
5. Conclusions
Author Contributions
Funding
Conflicts of Interest
References
- Ryan, S.J.; Maumenee, A.E. Birdshot retinochoroidopathy. Am. J. Ophthalmol. 1980, 89, 31–45. [Google Scholar] [CrossRef]
- Kaplan, H.J.; Aaberg, T.M. Birdshot retinochoroidopathy. Am. J. Ophthalmol. 1980, 90, 773–782. [Google Scholar] [CrossRef]
- Gass, J.D.M. Vitiliginous Chorioretinitis. Arch. Ophthalmol. 1981, 99, 1778–1787. [Google Scholar] [CrossRef]
- Pavesio, C.E.; LeHoang, P. Birdshot chorioretinopathy. In Intraocular Inflammation; Zierhut, M., Pavésio, C., Ohno, S., Oréfice, F., Rao, N.A., Eds.; Springer: Berlin Heidelberg, Germany, 2016; pp. 929–949. [Google Scholar]
- Herbort, C.P., Jr. Birdshot chorioretinopathy. In Uveitis, Text and Imaging; Gupta, A., Gupta, V., Herbort, C.P., Khairallah, M., Eds.; Jaypee Brothers Medical Publishers: New Delhi, India, 2009; pp. 552–562. [Google Scholar]
- Priem, H.A.; Oosterhuis, J.A.; Priem, H.A.; Oosterhuis, J.A. Birdshot chorioretinopathy: Clinical characteristics and evolution. Br. J. Ophthalmol. 1988, 72, 646–659. [Google Scholar] [CrossRef]
- Gasch, A.T.; Smith, J.A.; Whitcup, S.M. Birdshot retinochoroidopathy. Br. J. Ophthalmol. 1999, 83, 241–249. [Google Scholar] [CrossRef] [PubMed]
- Fuerst, D.J.; Tessler, H.H.; Fishman, G.A.; Yokoyama, M.; Wyhinny, G.J.; Vygantas, C.M. Birdshot Retinochoroidopathy. Arch. Ophthalmol. 1984, 102, 214–219. [Google Scholar] [CrossRef]
- Rothova, A.; Berendschot, T.T.; Probst, K.; van Kooij, B.; Baarsma, G. Birdshot chorioretinopathy: Long-term manifestations and visual prognosis. Ophthalmology 2004, 111, 954–959. [Google Scholar] [CrossRef]
- De Courten, C.; Herbort, C.P. Potential role of computerized visual field testing for the appraisal and follow-up of birdshot chorioretinopathy. Arch. Ophthalmol. 1998, 116, 1389–1391. [Google Scholar]
- Thorne, J.E.; Jabs, D.A.; Kedhar, S.R.; Peters, G.B.; Dunn, J.P. Loss of Visual Field Among Patients with Birdshot Chorioretinopathy. Am. J. Ophthalmol. 2008, 145, 23–28.e2. [Google Scholar] [CrossRef]
- Gordon, L.K.; Monnet, D.; Holland, G.N.; Brézin, A.P.; Yu, F.; Levinson, R.D. Longitudinal Cohort Study of Patients with Birdshot Chorioretinopathy. IV. Visual Field Results at Baseline. Am. J. Ophthalmol. 2007, 144, 829–837.e1. [Google Scholar] [CrossRef] [PubMed]
- Arya, B.; Westcott, M.; Robson, A.G.; Holder, G. Pointwise linear regression analysis of serial Humphrey visual fields and correlation with electroretinography in birdshot chorioretinitis. Br. J. Ophthalmol. 2015, 99, 973–978. [Google Scholar] [CrossRef]
- The American Academy of Ophthalmology Basic and Clinical Science Course. In Intraocular Inflammation and Uveitis; The Foundation of the American Academy of Ophthalmology: San Francisco, CA, USA, 2000–2001; Volume 9, pp. 170–171.
- Nussenblatt, R.B.; Witcup, S.M.; Palestine, A.G. Birdshot retinochoroidopathy. In Uveitis, Fundamentals and Clinical Practice, 2nd ed.; Mosby: St.-Louis, MO, USA, 1996; pp. 325–333. [Google Scholar]
- Kanski, J.J. (Ed.) Uveitis. A Colour Manuel of Diagnosis and Treatment; Butterworths & Co: London, UK, 1987; pp. 82–83. [Google Scholar]
- Rasquin, F.A.; Pereleux, A.A. Long term follow-up of birdshot chorioretinopathy. Bull Soc. Belge. Ophthalmol. 2004, 293, 25–33. [Google Scholar]
- Godel, V.; Baruch, E.; Lazar, M. Late development of chorioretinal lesions in birdshot retinochoroidopathy. Ann. Ophthalmol. 1989, 2, 49–52. [Google Scholar]
- Lages, V.; Skvortsova, N.; Jeannin, B.; Gasc, A.; Herbort, C.P. Low-grade “benign” birdshot retinochoroiditis: Prevalence and characteristics. Int. Ophthalmol. 2018, 39, 2111–2120. [Google Scholar] [CrossRef] [PubMed]
- Oh, K.T.; Christmas, N.J.; Folk, J.C. Birdshot retinochoroiditis: Long term follow-up of a chronically progressive disease. Am. J. Ophthalmol. 2002, 133, 622–629. [Google Scholar] [CrossRef]
- Levinson, R.D.; Gonzales, C.R. Birdshot retinochoroidopathy: Immunopathogenesis, evaluation, and treatment. Ophthalmol. Clin. N. Am. 2002, 15, 343–350. [Google Scholar] [CrossRef]
- LeHoang, P.; Girard, B.; Deray, G.; Le Minh, H.; De Kozak, Y.; Thillaye, B.; Faure, J.P.; Rousselie, F. Cyclosporine in the treatmentof birdshot retinochoroidopathy. Transplant. Proc. 1988, 20, 128–130. [Google Scholar]
- Vitale, A.T.; Rodriguez, A.; Foster, C.S. Low dose cyclosporin therapy in the treatment of birdshot retinochoroidopathy. Ophthalmology 1994, 101, 822–831. [Google Scholar] [CrossRef]
- LeHoang, P.; Cassoux, N.; Gearge, F.; Kullmann, N.; Kazatchkine, M.D. Intravenous immunoglobulin (IVIg) for the treatment of birdshot retinochoroidopathy. Ocul. Immunol. Inflamm. 2000, 8, 49–57. [Google Scholar] [CrossRef]
- Kiss, S.; Ahmed, M.; Letko, E.; Foster, C.S. Long-term follow-up of patients with birdshot chorioretinopathy treated with corticosteroid-sparing systemic immunomodulatory therapy. Ophthalmology 2005, 112, 1066–1071. [Google Scholar] [CrossRef] [PubMed]
- Cervantes-Castaneda, R.A.; Gonzalez-Gonzalez, L.A.; Cordero-Coma, M.; Yilmaz, T.; Foster, C.S. Combined thrapy of cyclosporine A and mycophenolate mofetil for the treatment of birdshot retinochoroidopathy: A 12-month follow-up. Br. J. Ophthalmol. 2013, 97, 637–643. [Google Scholar] [CrossRef] [PubMed]
- Menezo, V.; Taylor, S.R. Birdshot uveitis: Current and emerging treatment options. Clin. Ophthalmol. 2014, 8, 73–81. [Google Scholar] [PubMed]
- Minos, E.; Barry, R.J.; Southworth, S.; Folkard, A.; Murray, P.I.; Duker, J.S.; Keane, P.A.; Denniston, A.K. Birdshot Chorioretinopathy: Current knowledge and concepts in pathophysiology, diagnosis, monitoring and treatment. Orphanet. J. Rare Dis. 2016, 11, 61. [Google Scholar] [CrossRef] [PubMed]
- Islam, F.; Westcott, M.; Rees, A.; Robson, A.G.; Kapoor, B.; Holder, G.; Pavesio, C. Safety profile and efficacy of tacrolimus in the treatment of birdshot retinochoroiditis: A retrospective case series review. Br. J. Ophthalmol. 2018, 102, 983–990. [Google Scholar] [CrossRef]
- Doycheva, D.; Jägle, H.; Zierhut, M.; Deuter, C.; Blumenstock, G.; Schiefer, U.; Katarina Stingl Januschowski, K.; Voykov, B.; Stuebiger, N. Mycophenolic acid in the treatment of birshot chorioretinopathy: Long-term follow-up. Br. J. Ophthalmol. 2015, 99, 87–91. [Google Scholar] [CrossRef]
- Rothova, A.; Ossewaarde-van-Norel, A.; Los, L.I.; Brendschot, T.T.J.M. Efficacy of low-dose methotrexate treatment in birdshot chorioretinopathy. Retina 2011, 31, 1150–1155. [Google Scholar] [CrossRef]
- Artornsombudh, P.; Gevorgyan, O.; Paval, A.; Siddique, S.S.; Foster, C.S. Infliximab treatment of patients with birdshot retinochoroidopathy. Ophthalmology 2013, 120, 588–592. [Google Scholar] [CrossRef]
- Leclercq, M.; Le Besnerais, M.; Langlois, V.; Girszyn, N.; Benhamou, Y.; Ngo, C.; Levesque, H.; Muraine, M.; Gueudry, J. Tociluzimab for the treatment of birdshot uveitis that failed interferon alpha and anti-tumor necrosis factor-alpha therapy: Two cases report and literature review. Clin. Rheumatol. 2018, 37, 849–853. [Google Scholar] [CrossRef]
- Huis Het Veld, P.I.; van Asten, F.; Kuijpers, R.W.A.M.; Rothova, A.; de Jong, E.K.; Hoyng, C.B. Adalimumab therapy for refractory birdshot chorioretinopathy. Retina 2019, 39, 2189–2197. [Google Scholar] [CrossRef]
- Cao, J.H.; Silpa-Archa, S.; Freitas-Neto, C.A.; Foster, C.S. Birdshot chorioretinitis lesions on indocyanine green angiography as an indicator of disease activity. Retina 2016, 36, 1751–1757. [Google Scholar] [CrossRef]
- Elahi, S.; Gilllmann, K.; Gasc, A.; Jeannin BHerbort, C.P., Jr. Sensitivity of indocyanine green angiography compared to fluorescein angiography and enhanced depth imaging optical coherence tomography during tapering and fine-tuning of therapy in primary stromal choroiditis. J. Curr. Ophthalmol. 2019, 31, 180–187. [Google Scholar] [CrossRef]
- Elahi, S.; Lages, V.; Jeannin, B.; Herbort, C.P. Advanced cases of birdshot HLA-A29 retinochoroiditis: Prevalence and characteristics. Klin. Monbl. Augenheilkd. 2020, 27, 431–440. [Google Scholar] [CrossRef]
- Kuiper, J.J.W.; Van Setten, J.; Devall, M.; Cretu-Stancu, M.; Hiddingh, S.; Ophoff, R.; Missotten, T.O.A.R.; Van Velthoven, M.; Hollander, A.I.D.; Hoyng, C.B.; et al. Functionally distinct ERAP1 and ERAP2 are a hallmark of HLA-A29-(Birdshot) Uveitis. Hum. Mol. Genet. 2018, 27, 4333–4343. [Google Scholar] [CrossRef] [PubMed]
- Tedeschi, V.; Paldino, G.; Paladini, F.; Mattorre, B.; Tuosto, L.; Sorrentino, R.; Fiorillo, M.T. The Impact of the ‘Mis-Peptidome’ on HLA Class I-Mediated Diseases: Contribution of ERAP1 and ERAP2 and Effects on the Immune Response. Int. J. Mol. Sci. 2020, 21, 9608. [Google Scholar] [CrossRef]
- Kuiper, J.J.W.; Venema, W.J. HLA-A29 and Birdshot Uveitis: Further Down the Rabbit Hole. Front. Immunol. 2020, 11. [Google Scholar] [CrossRef] [PubMed]
- LeHoang, P.; Ozdemir, N.; Benhamou, A.; Tabary, T.; Edelson, C.; Betuel, H.; Semiglia, R.; Cohen, J.H. HLA-A29.2 Subtype Associated With Birdshot Retinochoroidopathy. Am. J. Ophthalmol. 1992, 113, 33–35. [Google Scholar] [CrossRef]
- Zamecky, K.; Jabs, D.A. HLA typing in uveitis: Use and misuse. Am. J. Ophthalmol. 2010, 149, 189–193. [Google Scholar] [CrossRef] [PubMed]
- Van Tran, T.; Auer, C.; Guex-Crosier, Y.; Pittet, N.; Herbort, C.P. Epidemiologial chracteristics of uveitis in Switzterland. Int. Ophthalmol. 1995, 18, 293–298. [Google Scholar] [CrossRef]
- Feltkamp, T.E. HLA and uveitis. Int. Ophthalmol. 1990, 14, 327–333. [Google Scholar] [CrossRef] [PubMed]
- Herbort, C.P., Jr.; Pavésio, C.; LeHoang, P.; Bodaghi, B.; Fardeau, C.; Kestelyn, P.; Neri, P.; Papadia, M. Why birdshot retinochoroiditis Should rather be called “HLA-A29 uveitis”? Br. J. Ophthalmol. 2017, 101, 851–855. [Google Scholar] [CrossRef]
- Nussenblatt, R.B.; Mittal, K.K.; Ryan, S.; Green, W.R.; Maumenee, A.E. Birdshot Retinochoroidopathy Associated with Hla-A29 Antigen and Immune Responsiveness to Retinal S-Antigen. Am. J. Ophthalmol. 1982, 94, 147–158. [Google Scholar] [CrossRef]
- Priem, H.; Kijlstra, A.; Noens, L.; Baarsma, G.; De Laey, J.; Oosterhuis, J. HLA Typing in Birdshot Chorioretinopathy. Am. J. Ophthalmol. 1988, 105, 182–185. [Google Scholar] [CrossRef]
- Baarsma, G.S.; Priem, H.A.; Kijlstra, A. Association of birdshot retinochoroidopathy and HLA-A29 antigen. Curr. Eye Res. 1990, 9, 63–68. [Google Scholar] [CrossRef]
- Wender, J.D.; Fu, A.D.; Jumper, J.M.; McDonald, H.R.; Johnson, R.N.; Cunningham, E.T. False negative antibody-based HLA-A29 typing in two patients with birdshot chorioretinopathy. Br. J. Ophthalmol. 2008, 92, 1153–1154. [Google Scholar] [CrossRef]
- The Standardization of Uveitis Nomenclature (SUN) Working Group. Classification Criteria for Birdshot Chorioretinitis. Am. J. Ophthalmol. 2021, 228, 65–71. [Google Scholar] [CrossRef]
- Knecht, P.B.; Papadia, M.; Herbort, C.P. Early and sustained treatment modifies the phenotype of birdshot retinochoroiditis. Int. Ophthalmol. 2013, 34, 563–574. [Google Scholar] [CrossRef]
- Herbort, C.P.; Probst, K.; Cimino, L.; Tran, V.T. Differential Inflammatory Involvement in Retina and Choroïd in Birdshot Chorioretinopathy. Klinische Monatsblätter für Augenheilkunde 2004, 221, 351–356. [Google Scholar] [CrossRef]
- Papadia, M.; Jeannin, B.; Herbort, C.P. OCT Findings in Birdshot Chorioretinitis: A Glimpse Into Retinal Disease Evolution. Ophthalmic Surg. Lasers Imaging Retin. 2012, 43, S25–S31. [Google Scholar] [CrossRef] [PubMed]
- Papadia, M.; Herbort, C.P. New concepts in the appraisal and management of birdshot retinochoroiditis, a global perspective. Int. Ophthalmol. 2015, 35, 287–301. [Google Scholar] [CrossRef]
- Guex-Crosier, Y.; Herbort, C.P. Prolonged retinal arterio-venous circulation time by fluorescein but not by indocyanine green angiography in birdshot chorioretinopathy. Ocul. Immunol. Inflamm. 1997, 5, 203–206. [Google Scholar] [CrossRef] [PubMed]
- Tugal-Tutkun, I.; The Angiography Scoring for Uveitis Working Group (ASUWOG); Herbort, C.P.; Khairallah, M. Scoring of dual fluorescein and ICG inflammatory angiographic signs for the grading of posterior segment inflammation (dual fluorescein and ICG angiographic scoring system for uveitis). Int. Ophthalmol. 2010, 30, 539–552. [Google Scholar] [CrossRef] [PubMed]
- Knickelbein, J.E.; Tucker, W.; Kodati, S.; Akanda, M.; Sen, H.N. Non-invasive method of monitoring retinal vasculitis in patients with birdshot chorioretinopathy using optical coherence tomography. Br. J. Ophthalmol. 2017, 102, 815–820. [Google Scholar] [CrossRef] [PubMed]
- Skvortsova, N.; Gasc, A.; Jeannin, B.; Herbort, C.P. Evolution of choroidal thickness over time and effect of early and sustained therapy in birdshot retinochoroiditis. Eye 2017, 31, 1205–1211. [Google Scholar] [CrossRef] [PubMed][Green Version]
- Silpa-Archa, S.; Maleki, A.; Roohipoor, R.; Preble, J.M.; Foster, C.S. Analysis Of Three-Dimensional Choroidal Volume with Enhanced Depth Imaging Findings in Patients with Birdshot Retinochoroidopathy. Retina 2016, 36, 1758–1766. [Google Scholar] [CrossRef] [PubMed]
- Balci, O.; Gasc, A.; Jeannin, B.C.P.H., Jr. Enhanced depth imaging is less suited than indocyanine green angiography for close monitoring of primary stromal choroiditis: A pilot report. Int. Ophthalmol. 2016, 37, 737–748. [Google Scholar] [CrossRef]
- Elahi, S.; Herbort, C.P. Vogt-Koyanagi-Harada Disease and Birdshot Retinochoroidopathy, Similarities and Differences: A Glimpse into the Clinicopathology of Stromal Choroiditis, a Perspective and a Review. Klinische Monatsblätter für Augenheilkunde 2019, 236, 492–510. [Google Scholar] [CrossRef]
- Reddy, A.K.; Gonzalez, M.A.; Henry, C.R.; Yeh, S.; Sobrin, L.; Albini, T.A. Diagnostic Sensitivity of Indocyanine Green Angiography for Birdshot Chorioretinopathy. JAMA Ophthalmol. 2015, 133, 840–843. [Google Scholar] [CrossRef]
- Kawaguchi, T.; Horie, S.; Bouchenaki, N.; Ohno-Matsui, K.; Mochizuki, M.; Herbort, C.P. Suboptimal therapy controls clinically apparent disease but not subclinical progression of Vogt-Koyanagi-Harada disease. Int. Ophthalmol. 2009, 30, 41–50. [Google Scholar] [CrossRef]
- Fabro, F.; Herbort, C.P. Need for Quantitative Measurement Methods for Posterior Uveitis: Comparison of Dual FA/ICGA Angiography, EDI-OCT Choroidal Thickness and SUN Vitreous Haze Evaluation in Stromal Choroiditis. Klinische Monatsblätter für Augenheilkunde 2018, 235, 424–435. [Google Scholar] [CrossRef]
- Fardeau, C.; Herbort, C.P.; Kullmann, N.; Quentel, G.; LeHoang, P. Indocyanine green angiography in birdshot chorioretinopathy. Ophthalmology 1999, 106, 1928–1934. [Google Scholar] [CrossRef]
- Bouchenaki, N.; Cimino, L.; Auer, C.; Tran, V.T.; Herbort, C.P. Assessment and classification of choroidal vasculitis in posterior uveitisusing indocyanine green angiography. Klin. Monbl. Augenheilkd. 2002, 219, 243–249. [Google Scholar] [CrossRef]
- Gaudio, P.A.; Kaye, D.B.; Crawford, J.B. Histopathology of birdshot retinochoroidopathy. Br. J. Ophthalmol. 2002, 86, 1439–1441. [Google Scholar] [CrossRef]
- Leder, H.A.; Galor, A.; Thorne, J.E.; Jabs, D. Disappearance of classic birdshot spots after immunosuppression with tacrolimus and mycophenolate mofetyl. Br. J. Ophthalmol. 2008, 92, 291. [Google Scholar] [CrossRef]
- Fardeau, C.; Champion, E.; Massamba, N.; LeHoang, P. Uveitic macular edema. Eye 2016, 30, 1277–1292. [Google Scholar] [CrossRef] [PubMed]
- Le Piffer, A.-L.; Boissonnot, M.; Gobert, F.; Zenger, A.; Wolf, S.; Wolf, U.; Korobelnik, J.-F.; Rougier, M.-B. Relevance of wide-field autofluorescence imaging in Birdshot retinochoroidopathy: Descriptive analysis of 76 eyes. Acta Ophthalmol. 2013, 92. [Google Scholar] [CrossRef] [PubMed]
- Semécas, R.; Mauget-Faÿsse, M.; Aptel, F.; Mailhac, A.; Salmon, L.; Vasseur, V.; Bouillet, L.; Chiquet, C. Analysis of autofluorescence pattern in birdshot chorioretinopathy. Graefe’s Arch. Clin. Exp. Ophthalmol. 2017, 141, 1333–1339. [Google Scholar] [CrossRef] [PubMed]
- Levinson, R.D.; Brezin, A.; Rothova, A.; Accorinti, M.; Holland, G.N. Research Criteria for the Diagnosis of Birdshot Chorioretinopathy: Results of an International Consensus Conference. Am. J. Ophthalmol. 2006, 141, 185–187. [Google Scholar] [CrossRef] [PubMed]
- Ou, C.; Meese, H.; Stephenson, A.; Montieth, A.; Ma, L.; Hernandez, M.; Kubaisi, B.; Syeda, S.; Foster, C.S. Outcomes of “Early” Withdrawal of Corticosteroid Sparing Immunomodulatory Therapy for Birdshot Retinochoroidopathy. Ocul. Immunol. Inflamm. 2019, 27, 1165–1173. [Google Scholar] [CrossRef]












| 1. Presence of vitritis in one or both eyes (required) |
| 2. Presence of retinal vasculitis in one or both eyes (required) |
| 3. Stromal choroiditis, as evidenced by ICGA, in both eyes (required) |
| 4. HLA-A29 antigen positivity (required) |
| 5. Visual field anomalies in one or both eyes (supportive) |
| 6. Absence of extra-ocular inflammatory site (supportive) |
| 7. Presence of rice-shaped depigmented “birdshot lesions” (BRC fundus lesions) (strongly supportive but not required) |
Publisher’s Note: MDPI stays neutral with regard to jurisdictional claims in published maps and institutional affiliations. |
© 2021 by the authors. Licensee MDPI, Basel, Switzerland. This article is an open access article distributed under the terms and conditions of the Creative Commons Attribution (CC BY) license (https://creativecommons.org/licenses/by/4.0/).
Share and Cite
Papadia, M.; Pavésio, C.; Fardeau, C.; Neri, P.; Kestelyn, P.G.; Papasavvas, I.; Herbort, C.P. HLA-A29 Birdshot Retinochoroiditis in Its 5th Decade: Selected Glimpses into the Intellectual Meanderings and Progresses in the Knowledge of a Long-Time Misunderstood Disease. Diagnostics 2021, 11, 1291. https://doi.org/10.3390/diagnostics11071291
Papadia M, Pavésio C, Fardeau C, Neri P, Kestelyn PG, Papasavvas I, Herbort CP. HLA-A29 Birdshot Retinochoroiditis in Its 5th Decade: Selected Glimpses into the Intellectual Meanderings and Progresses in the Knowledge of a Long-Time Misunderstood Disease. Diagnostics. 2021; 11(7):1291. https://doi.org/10.3390/diagnostics11071291
Chicago/Turabian StylePapadia, Marina, Carlos Pavésio, Christine Fardeau, Piergiorgio Neri, Philippe G. Kestelyn, Ioannis Papasavvas, and Carl P. Herbort. 2021. "HLA-A29 Birdshot Retinochoroiditis in Its 5th Decade: Selected Glimpses into the Intellectual Meanderings and Progresses in the Knowledge of a Long-Time Misunderstood Disease" Diagnostics 11, no. 7: 1291. https://doi.org/10.3390/diagnostics11071291
APA StylePapadia, M., Pavésio, C., Fardeau, C., Neri, P., Kestelyn, P. G., Papasavvas, I., & Herbort, C. P. (2021). HLA-A29 Birdshot Retinochoroiditis in Its 5th Decade: Selected Glimpses into the Intellectual Meanderings and Progresses in the Knowledge of a Long-Time Misunderstood Disease. Diagnostics, 11(7), 1291. https://doi.org/10.3390/diagnostics11071291

