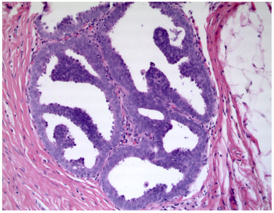
Atypical Ductal Hyperplasia after Vacuum-Assisted Breast Biopsy: Can We Reduce the Upgrade to Breast Cancer to an Acceptable Rate?
Abstract
1. Introduction
2. Materials and Methods
Statistical Analysis
3. Results
4. Discussion
5. Conclusions
Author Contributions
Funding
Institutional Review Board Statement
Informed Consent Statement
Data Availability Statement
Conflicts of Interest
References
- Mastropasqua, M.G.; Viale, G. Clinical and pathological assessment of high-risk ductal and lobular breast lesions: What surgeons must know. Eur. J. Surg. Oncol. 2017, 43, 278–284. [Google Scholar] [CrossRef]
- Clauser, P.; Marino, M.A.; Baltzer, P.A.T.; Bazzocchi, M.; Zuiani, C. Management of atypical lobular hyperplasia, atypical ductal hyperplasia, and lobular carcinoma in situ. Expert Rev. Anticancer Ther. 2016, 16, 335–346. [Google Scholar] [CrossRef]
- Peña, A.; Shah, S.S.; Fazzio, R.T.; Hoskin, T.L.; Brahmbhatt, R.D.; Hieken, T.J.; Jakub, J.W.; Boughey, J.C.; Visscher, D.W.; Degnim, A.C. Multivariate model to identify women at low risk of cancer upgrade after a core needle biopsy diagnosis of atypical ductal hyperplasia. Breast Cancer Res. Treat. 2017, 164, 295–304. [Google Scholar] [CrossRef] [PubMed]
- Silvera, S.A.N.; Rohan, T.E. Benign proliferative epithelial disorders of the breast: A review of the epidemiologic evidence. Breast Cancer Res. Treat. 2008, 110, 397–409. [Google Scholar] [CrossRef]
- Racz, J.M.; Carter, J.M.; Degnim, A.C. Lobular Neoplasia and Atypical Ductal Hyperplasia on Core Biopsy: Current Surgical Management Recommendations. Ann. Surg. Oncol. 2017, 24, 2848–2854. [Google Scholar] [CrossRef] [PubMed]
- Degnim, A.C.; Visscher, D.W.; Berman, H.K.; Frost, M.H.; Sellers, T.A.; Vierkant, R.A.; Maloney, S.D.; Pankratz, V.S.; de Groen, P.C.; Lingle, W.L.; et al. Stratification of breast cancer risk in women with atypia: A mayo cohort study. J. Clin. Oncol. 2007, 25, 2671–2677. [Google Scholar] [CrossRef] [PubMed]
- Hartmann, L.C.; Degnim, A.C.; Santen, R.J.; Dupont, W.D.; Ghosh, K. Atypical Hyperplasia of the Breast—Risk Assessment and Management Options. N. Eng. J. Med. 2015, 372, 78–89. [Google Scholar] [CrossRef]
- Murray, M. Pathologic High-risk Lesions, Diagnosis and Management. Clin. Obstet. Gynecol. 2016, 59, 727–732. [Google Scholar] [CrossRef] [PubMed]
- Latronico, A.; Nicosia, L.; Faggian, A.; Abbate, F.; Penco, S.; Bozzini, A.; Cannataci, C.; Mazzarol, G.; Cassano, E. Atypical ductal hyperplasia: Our experience in the management and long term clinical follow-up in 71 patients. Breast 2018, 37, 1–5. [Google Scholar] [CrossRef]
- Renshaw, A.A.; Gould, E.W. Long term clinical follow-up of atypical ductal hyperplasia and lobular carcinoma in situ in breast core needle biopsies. Pathology 2016, 48, 25–29. [Google Scholar] [CrossRef] [PubMed]
- Goldacre, M.J.; Abisgold, J.D.; Yeates, D.G.R.; Vessey, M.P. Benign breast disease and subsequent breast cancer: English record linkage studies. J. Public Health 2010, 32, 565–571. [Google Scholar] [CrossRef] [PubMed]
- Page, D.L.; Schuyler, P.A.; Dupont, W.D.; Jensen, R.A.; Plummer, W.D., Jr.; Simpson, J.F. Atypical lobular hyperplasia as a unilateral predictor of breast cancer risk: A retrospective cohort study. Lancet 2003, 361, 125–129. [Google Scholar] [CrossRef]
- Kader, T.; Hill, P.; Rakha, E.A.; Campbell, I.G.; Gorringe, K.L. Atypical ductal hyperplasia: Update on diagnosis, management, and molecular landscape. Breast Cancer Res. 2018, 20, 1–11. [Google Scholar] [CrossRef]
- Schiaffino, S.; Massone, E.; Gristina, L.; Fregatti, P.; Rescinito, G.; Villa, A.; Friedman, D.; Calabrese, M. Vacuum assisted breast biopsy (VAB) excision of subcentimeter microcalcifications as an alternative to open biopsy for atypical ductal hyperplasia. Br. J. Radiol. 2018, 91, 20180003. [Google Scholar] [CrossRef] [PubMed]
- Rageth, C.J.; O’Flynn, E.A.M.; Pinker, K.; Kubik-Huch, R.A.; Mundinger, A.; Decker, T.; Tausch, C.; Dammann, F.; Baltzer, P.A.; Fallenberg, E.M.; et al. Second International Consensus Conference on lesions of uncertain malignant potential in the breast (B3 lesions). Breast Cancer Res. Treat. 2019, 174, 279–296. [Google Scholar] [CrossRef]
- Degnim, A.C.; King, T.A. Surgical management of high-risk breast lesions. Surg. Clin. N. Am. 2013, 93, 329–340. [Google Scholar] [CrossRef] [PubMed]
- Morrow, M.; Schnitt, S.J.; Norton, L. Current management of lesions associated with an increased risk of breast cancer. Nat. Rev. Clin. Oncol. 2015, 12, 227–238. [Google Scholar] [CrossRef] [PubMed]
- Jackman, R.J.; Birdwell, R.L.; Ikeda, D.M. Atypical ductal hyperplasia: Can some lesions be defined as probably benign after stereotactic 11-gauge vacuum-assisted biopsy, eliminating the recommendation for surgical excision? Radiology 2002, 224, 548–554. [Google Scholar] [CrossRef]
- Travade, A.; Isnard, A.; Bouchet, F.; Bagard, C. Non-palpable breast lesions and core needle biopsy with mammotome 11G: Is surgery required in patients with atypical ductal hyperplasia? J. Radiol. 2006, 87, 307–310. [Google Scholar] [CrossRef]
- D’Orsi, C.J.; Sickles, E.A.; Mendelson, E.B.; Morris, E.A. ACR BI-RADS® Atlas, Breast Imaging Reporting and Data System; American College of Radiology: Reston, VA, USA, 2013; ISBN 155903016X. [Google Scholar]
- Ellis, I.O.; Humphreys, S.; Michell, M.; Pinder, S.E.; Wells, C.A.; Zakhour, H.D. Best Practice No 179. Guidelines for breast needle core biopsy handling and reporting in breast screening assessment. J. Clin. Pathol. 2004, 57, 897–902. [Google Scholar] [CrossRef] [PubMed]
- Philpotts, L.E.; Shaheen, N.A.; Jain, K.S.; Carter, D.L.; Lee, C.H. Uncommon high-risk lesions of the breast diagnosed at stereotactic core-needle biopsy: Clinical importance. Radiology 2000, 216, 831–837. [Google Scholar] [CrossRef]
- Degnim, A.C.; Winham, S.J.; Frank, R.D.; Pankratz, S.; Dupont, W.D.; Vierkant, R.A.; Frost, M.H.; Hoskin, T.L.; Vachon, C.M.; Ghosh, K.; et al. Model for Predicting Breast Cancer Risk in Women with Atypical Hyperplasia. J. Clin. Oncol. 2018, 36, 1840–1846. [Google Scholar] [CrossRef]
- Menes, T.S.; Kerlikowske, K.; Lange, J.; Jaffer, S.; Rosenberg, R.; Miglioretti, D. Subsequent Breast Cancer Risk Following Diagnosis of Atypical Ductal Hyperplasia on Needle Biopsy. JAMA Oncol. 2017, 3, 36–41. [Google Scholar] [CrossRef]
- Subhawong, A.P.; Subhawong, T.K.; Khouri, N.; Tsangaris, T.; Nassar, H. Incidental minimal atypical lobular hyperplasia on core needle biopsy: Correlation with findings on follow-up excision. Am. J. Surg. Pathol. 2010, 34, 822–828. [Google Scholar] [CrossRef] [PubMed]
- Berg, W.A. Image-guided breast biopsy and management of high-risk lesions. Radiol. Clin. N. Am. 2004, 42, 935–946. [Google Scholar] [CrossRef] [PubMed]
- McGhan, L.J.; Pockaj, B.A.; Wasif, N.; Giurescu, M.E.; McCullough, A.E.; Gray, R.J. Atypical Ductal Hyperplasia on Core Biopsy: An Automatic Trigger for Excisional Biopsy? Ann. Surg. Oncol. 2012, 19, 3264–3269. [Google Scholar] [CrossRef]
- Arthur, R.; Wang, Y.; Ye, K.; Glass, A.G.; Ginsberg, M.; Loudig, O.; Rohan, T. Association between lifestyle, menstrual/reproductive history, and histological factors and risk of breast cancer in women biopsied for benign breast disease. Breast Cancer Res. Treat. 2017, 165, 623–6431. [Google Scholar] [CrossRef] [PubMed]
- Georgian-Smith, D.; Lawton, T.J. Controversies on the management of high-risk lesions at core biopsy from a radiology/pathology perspective. Radiol. Clin. N. Am. 2010, 48, 999–1012. [Google Scholar] [CrossRef] [PubMed]
- Ching, J.G.; Brem, R.F. Breast lesions detected via molecular breast imaging: Physiological parameters affecting interpretation. Acad. Radiol. 2018, 25, 1568–1576. [Google Scholar] [CrossRef]
- Simpson, J.F. Update on atypical epithelial hyperplasia and ductal carcinoma in situ. Pathology 2009, 41, 36–39. [Google Scholar] [CrossRef] [PubMed]
- Rudin, A.V.; Hoskin, T.L.; Fahy, A.; Farrell, A.M.; Nassar, A.; Ghosh, K.; Degnim, A.C. Flat Epithelial Atypia on Core Biopsy and Upgrade to Cancer: A Systematic Review and Meta-Analysis. Ann. Surg. Oncol. 2017, 24, 3549–3558. [Google Scholar] [CrossRef]
- Dyrstad, S.W.; Yan, Y.; Fowler, A.M.; Colditz, G.A. Breast cancer risk associated with benign breast disease: Systematic review and meta-analysis. Breast Cancer Res. Treat. 2015, 149, 569–575. [Google Scholar] [CrossRef]
- Schiaffino, S.; Calabrese, M.; Melani, E.F.; Trimboli, R.M.; Cozzi, A.; Carbonaro, L.A.; Di Leo, G.; Sardanelli, F. Upgrade Rate of Percutaneously Diagnosed Pure Atypical Ductal Hyperplasia: Systematic Review and Meta-Analysis of 6458 Lesions. Radiology 2020, 294, 76–86. [Google Scholar] [CrossRef] [PubMed]
- Kanbayashi, C.; Thompson, A.M.; Hwang, E.S.; Partridge, A.H.; Rea, D.W.; Wesseling, J.; Shien, T.; Mizutani, T.; Shibata, T.; Iwata, H. The international collaboration of active surveillance trials for low-risk DCIS (LORIS, LORD, COMET, LORETTA). J. Clin. Oncol. 2019, 37 (Suppl. S15), TPS603. [Google Scholar] [CrossRef]
- Deshaies, I.; Provencher, L.; Jacob, S.; Cote, G.; Robert, J.; Desbiens, C.; Poirier, B.; Hogue, J.C.; Vachon, E.; Diorio, C. Factors associated with upgrading to malignancy at surgery of atypical ductal hyperplasia diagnosed on core biopsy. Breast 2011, 20, 50–55. [Google Scholar] [CrossRef]
- Esserman, L.E.; Lamea, L.; Tanev, S.; Poppiti, R. Should the extent of lobular neoplasia on core biopsy influence the decision for excision? Breast J. 2007, 13, 55–61. [Google Scholar] [CrossRef] [PubMed]
- Chen, L.Y.; Hu, J.; Tsang, J.Y.S.; Lee, M.A.; Ni, Y.B.; Chan, S.K.; Tse, G.M.K. Diagnostic upgrade of atypical ductal hyperplasia of the breast based on evaluation of histopathological features and calcification on core needle biopsy. Histopathology 2019, 75, 320–328. [Google Scholar] [CrossRef] [PubMed]
- Nicosia, L.; di Giulio, G.; Bozzini, A.C.; Fanizza, M.; Ballati, F.; Rotili, A.; Lazzeroni, M.; Latronico, A.; Abbate, F.; Renne, G.; et al. Complete Removal of the Lesion as a Guidance in the Management of Patients with Breast Ductal Carcinoma In Situ. Cancers 2021, 13, 868. [Google Scholar] [CrossRef]
- Khoury, T.; Jabbour, N.; Peng, X.; Yan, L.; Quinn, M. Atypical Ductal Hyperplasia and Those Bordering on Ductal Carcinoma In Situ Should Be Included in the Active Surveillance Clinical Trials. Am. J. Clin. Pathol. 2020, 153, 131–138. [Google Scholar] [CrossRef] [PubMed]
- Lazzeroni, M.; DeCensi, A. De-Escalating Treatment of Low-Risk Breast Ductal Carcinoma In Situ. J. Clin. Oncol. 2020, 38, 1252–1254. [Google Scholar] [CrossRef]




| Variables | Overall (N = 141) |
|---|---|
| N (%) | |
| Age at biopsy (years) | |
| <40 | 2 (1.4) |
| 40–49 | 58 (41.1) |
| 50–59 | 50 (35.5) |
| 60–69 | 22 (15.6) |
| 70+ | 9 (6.4) |
| <50 | 60 (42.6) |
| 50+ | 81 (57.4) |
| Median (IQR) | 51 (45–59) |
| Days between biopsy and surgery | |
| ≤30 | 24 (17.0) |
| 31–60 | 41 (29.1) |
| 61–90 | 30 (21.3) |
| >90 | 46 (32.6) |
| Median (IQR) | 66 (41–112) |
| Size of the lesion (mm) | |
| ≤15 | 89 (63.1) |
| >15 | 52 (36.9) |
| Median (IQR) | 15 (10–20) |
| BIRADS classification of the lesion | |
| 3 | 5 (3.5) |
| 4a | 53 (37.6) |
| 4b | 52 (36.9) |
| 4c | 29 (20.6) |
| 5 | 2 (1.4) |
| 3–4a | 58 (41.1) |
| 4b-4c-5 | 83 (58.9) |
| Number of cores | |
| <10 | 42 (29.8) |
| ≥10 | 99 (70.2) |
| Median (IQR) | 10 (8–13) |
| Imaging findings | |
| Microcalcifications | 123 (87.2) |
| Nodule | 17 (12.1) |
| Nodule with microcalcifications | 1 (0.7) |
| Residual lesion at the biopsy * | |
| No | 66 (47.8) |
| Yes | 72 (52.2) |
| ADH only in cores with microcalcifications § | |
| No | 60 (51.3) |
| Yes | 57 (48.7) |
| Variables | Confirmed Diagnosis of ADH | Lesion Removed | Carcinoma In Situ | Invasive Carcinoma | Event Considered: | |||
|---|---|---|---|---|---|---|---|---|
| Lesion Removed | Carcinoma In Situ | Invasive Carcinoma | Carcinoma In Situ or Invasive Carcinoma | |||||
| N (%) | N (%) | N (%) | N (%) | p-Value 1 | p-Value 1 | p-Value 1 | p-Value 1 | |
| Overall | 47 (33.3) | 42 (29.8) | 41 (29.1) 2 | 11 (7.8) | ||||
| Age at the biopsy (year) | 0.19 | 0.086 | 0.21 | 0.035 | ||||
| <50 | 30 (50.0) | 14 (23.3) | 13 (21.7) | 3 (5.0) | ||||
| 50+ | 17 (21.0) | 28 (34.6) | 28 (34.6) | 8 (9.9) | ||||
| Size of the lesion (mm) | 0.13 | 0.002 | 0.29 | 0.002 | ||||
| ≤15 | 34 (38.2) | 31 (34.8) | 18 (20.2) | 6 (6.7) | ||||
| >15 | 13 (25.0) | 11 (21.2) | 23 (44.2) | 5 (9.6) | ||||
| BIRADS classification of the lesion | 0.001 | <0.001 | 0.051 | <0.001 | ||||
| 3–4a | 22 (37.9) | 26 (44.8) | 8 (13.8) | 2 (3.4) | ||||
| 4b–4c–5 | 25 (30.1) | 16 (19.3) | 33 (39.8) | 9 (10.8) | ||||
| Number of cores | 0.074 | 0.31 | 1.00 | 0.35 | ||||
| <10 | 16 (38.1) | 8 (19.0) | 15 (35.7) | 3 (7.1) | ||||
| ≥10 | 31 (31.3) | 34 (34.3) | 26 (26.3) | 8 (8.1) | ||||
| Imaging findings | 0.27 | 0.27 | 0.35 | 0.30 | ||||
| Microcalcifications | 41 (33.3) | 39 (31.7) | 34 (27.6) | 9 (7.3) | ||||
| Nodule/Nodule with microcalcifications | 6 (33.3) | 3 (16.7) | 7 (38.9) | 2 (11.1) | ||||
| Residual lesion at biopsy 3 | <0.001 | <0.001 | 0.20 | <0.001 | ||||
| No | 22 (33.3) | 29 (43.9) | 11 (16.7) | 4 (6.1) | ||||
| Yes | 24 (33.3) | 11 (15.3) | 30 (41.7) | 7 (9.7) | ||||
| ADH only in cores with microcalcifications 4 | 0.42 | 1.00 | 0.031 | 0.44 | ||||
| No | 20 (33.3) | 16 (26.7) | 16 (26.7) | 8 (13.3) | ||||
| Yes | 19 (33.3) | 20 (35.1) | 17 (29.8) | 1 (1.8) | ||||
| Variables | Upgrade to Carcinoma In Situ or Invasive Carcinoma/Tot (%) | Multivariate Analysis | ||
|---|---|---|---|---|
| OR | 95% CI | p-Value | ||
| Overall | 52/138 (37.7) | |||
| Age at the biopsy (years) | ||||
| <50 | 16/58 (27.6) | |||
| 50+ | 36/80 (45.0) | 2.53 | 1.11–5.80 | 0.028 |
| Size of the lesion (mm) | ||||
| ≤15 | 24/86 (27.9) | |||
| >15 | 28/52 (53.8) | 1.82 | 0.78–4.26 | 0.17 |
| BIRADS classification of the lesion | ||||
| 3–4a | 10/57 (17.5) | |||
| 4b–4c–5 | 42/81 (51.9) | 4.17 | 1.78–9.79 | 0.001 |
| Residual lesion at the biopsy | ||||
| No | 15/66 (22.7) | |||
| Yes | 37/72 (51.4) | 3.02 | 1.27–7.22 | 0.013 |
| Age at the Biopsy (Years) | Size of the Lesion (mm) | BIRADS Classification of the Lesion | Residual Lesion at the Biopsy | Probability (95% CI) |
|---|---|---|---|---|
| <50 | ≤15 | 3–4a | No | 0.06 (0.02–0.15) |
| Yes | 0.15 (0.06–0.33) | |||
| 4b–4c–5 | No | 0.20 (0.09–0.38) | ||
| Yes | 0.42 (0.24–0.64) | |||
| >15 | 3–4a | No | 0.10 (0.03–0.27) | |
| Yes | 0.24 (0.11–0.46) | |||
| 4b–4c–5 | No | 0.31 (0.13–0.58) | ||
| Yes | 0.57 (0.37–0.75) | |||
| 50+ | ≤15 | 3–4a | No | 0.13 (0.06–0.26) |
| Yes | 0.31 (0.14–0.55) | |||
| 4b–4c–5 | No | 0.38 (0.23–0.56) | ||
| Yes | 0.65 (0.44–0.81) | |||
| >15 | 3–4a | No | 0.21 (0.08–0.45) | |
| Yes | 0.45 (0.24–0.68) | |||
| 4b–4c–5 | No | 0.53 (0.30–0.75) | ||
| Yes | 0.77 (0.61–0.88) |
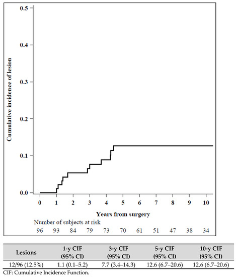
| Variable | N | Lesions | HR | 95% CI | p-Value |
|---|---|---|---|---|---|
| Age at the biopsy (year) | |||||
| <50 | 46 | 5 | |||
| 50+ | 50 | 7 | 1.25 | 0.40–3.97 | 0.70 |
| Size of the lesion (mm) | |||||
| ≤15 | 60 | 6 | |||
| >15 | 36 | 6 | 1.81 | 0.58–5.66 | 0.30 |
| BIRADS classification of the lesion | |||||
| 3–4a | 44 | 4 | |||
| 4b–4c–5 | 52 | 8 | 1.63 | 0.49–5.46 | 0.42 |
| Number of cores | |||||
| <10 | 32 | 3 | |||
| ≥10 | 64 | 9 | 1.23 | 0.33–4.60 | 0.75 |
| Imaging findings | |||||
| Microcalcifications | 82 | 11 | |||
| Nodule/Nodule with micro | 14 | 1 | 0.60 | 0.08–4.63 | 0.62 |
| Residual lesion at biopsy | |||||
| No | 49 | 4 | |||
| Yes | 47 | 8 | 2.34 | 0.70–7.78 | 0.17 |
| ADH only in cores with micro | |||||
| No | 37 | 4 | |||
| Yes | 42 | 7 | 1.58 | 0.46–5.42 | 0.47 |
| Missing | 17 | 1 | |||
| Upgrade to DCIS/Invasive carcinoma | |||||
| No upgrade | 58 | 6 | |||
| Upgrade | 38 | 6 | 1.74 | 0.56–5.41 | 0.34 |
Publisher’s Note: MDPI stays neutral with regard to jurisdictional claims in published maps and institutional affiliations. |
© 2021 by the authors. Licensee MDPI, Basel, Switzerland. This article is an open access article distributed under the terms and conditions of the Creative Commons Attribution (CC BY) license (https://creativecommons.org/licenses/by/4.0/).
Share and Cite
Nicosia, L.; Latronico, A.; Addante, F.; De Santis, R.; Bozzini, A.C.; Montesano, M.; Frassoni, S.; Bagnardi, V.; Mazzarol, G.; Pala, O.; et al. Atypical Ductal Hyperplasia after Vacuum-Assisted Breast Biopsy: Can We Reduce the Upgrade to Breast Cancer to an Acceptable Rate? Diagnostics 2021, 11, 1120. https://doi.org/10.3390/diagnostics11061120
Nicosia L, Latronico A, Addante F, De Santis R, Bozzini AC, Montesano M, Frassoni S, Bagnardi V, Mazzarol G, Pala O, et al. Atypical Ductal Hyperplasia after Vacuum-Assisted Breast Biopsy: Can We Reduce the Upgrade to Breast Cancer to an Acceptable Rate? Diagnostics. 2021; 11(6):1120. https://doi.org/10.3390/diagnostics11061120
Chicago/Turabian StyleNicosia, Luca, Antuono Latronico, Francesca Addante, Rossella De Santis, Anna Carla Bozzini, Marta Montesano, Samuele Frassoni, Vincenzo Bagnardi, Giovanni Mazzarol, Oriana Pala, and et al. 2021. "Atypical Ductal Hyperplasia after Vacuum-Assisted Breast Biopsy: Can We Reduce the Upgrade to Breast Cancer to an Acceptable Rate?" Diagnostics 11, no. 6: 1120. https://doi.org/10.3390/diagnostics11061120
APA StyleNicosia, L., Latronico, A., Addante, F., De Santis, R., Bozzini, A. C., Montesano, M., Frassoni, S., Bagnardi, V., Mazzarol, G., Pala, O., Lazzeroni, M., Lissidini, G., Mastropasqua, M. G., & Cassano, E. (2021). Atypical Ductal Hyperplasia after Vacuum-Assisted Breast Biopsy: Can We Reduce the Upgrade to Breast Cancer to an Acceptable Rate? Diagnostics, 11(6), 1120. https://doi.org/10.3390/diagnostics11061120

