Temporomandibular Joint Osseous Morphology of Class I and Class II Malocclusions in the Normal Skeletal Pattern: A Cone-Beam Computed Tomography Study
Abstract
1. Introduction
2. Materials and Methods
2.1. Data Collection and Grouping
2.2. Simple Size Calculation
2.3. Acquisition of CBCT Images
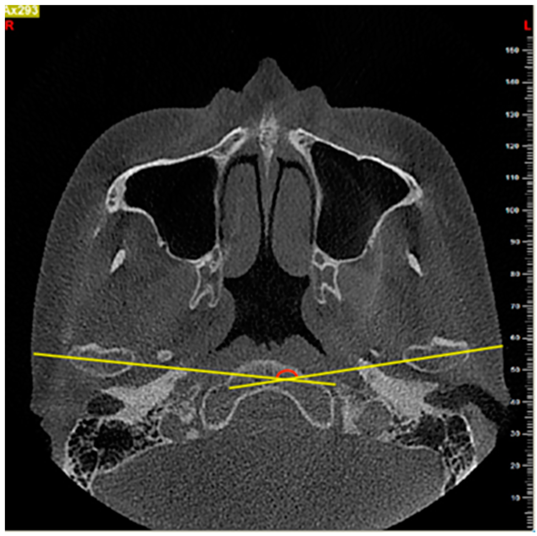
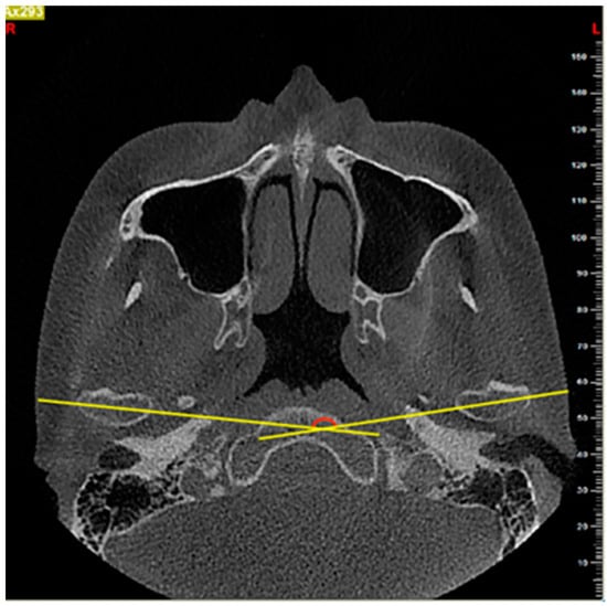
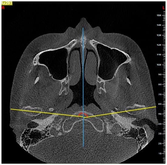
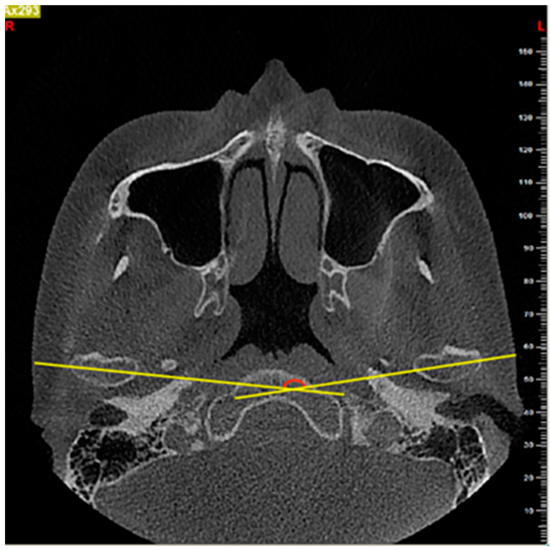
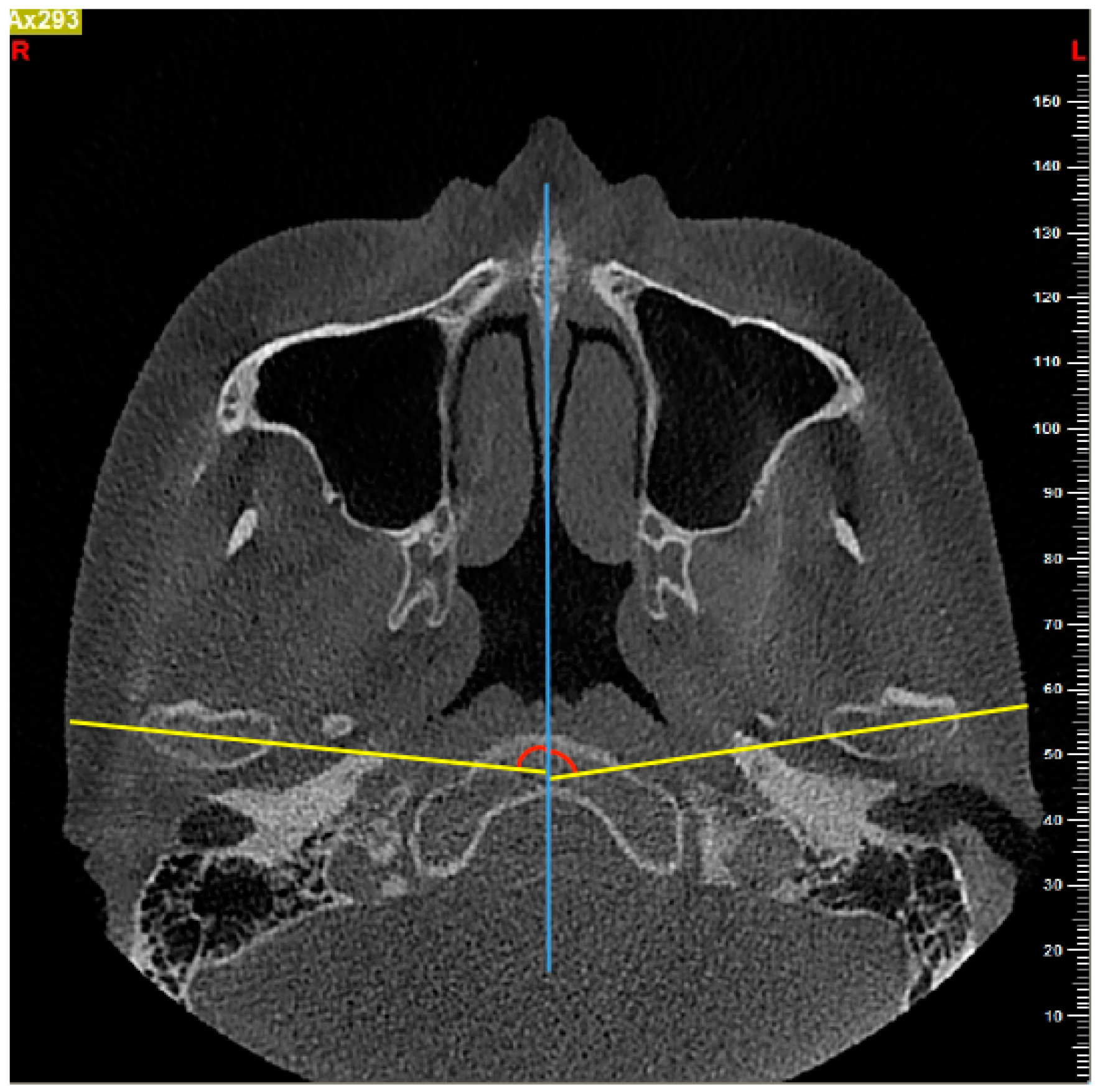
2.4. Measurements
2.5. Measurements Precision
2.6. Statistical Analysis
3. Results
3.1. Error of the Study
3.2. Descriptive Statistics of Age and Basic Measurements of the Skeletal Pattern
3.3. Measurements of the Temporomandibular Joint According to Malocclusion
3.4. Descriptive Statistics of the Measurements of the TMJ According to the Left and Right Side
3.5. Descriptive Statistics of the Measurements of the TMJ According to Gender
4. Discussion
5. Conclusions
Author Contributions
Funding
Institutional Review Board Statement
Informed Consent Statement
Data Availability Statement
Conflicts of Interest
References
- Wu, C.-K.; Hsu, J.-T.; Shen, Y.-W.; Chen, J.-H.; Shen, W.-C.; Fuh, L.-J. Assessments of inclinations of the mandibular fossa by computed tomography in an Asian population. Clin. Oral Investig. 2012, 16, 443–450. [Google Scholar] [CrossRef]
- Som, P.-M.; Curtin, H.D. Head and Neck Imaging, 5th ed.; Mosby, Inc.: St. Louis, MO, USA, 2011; p. 1547. [Google Scholar]
- Schmolke, C. The relationship between the temporomandibular joint capsule, articular disc and jaw muscles. J. Anat. 1994, 184, 335–345. [Google Scholar]
- Katsavrias, E.G. Changes in articular eminence inclination during the craniofacial growth period. Angle Orthod. 2002, 72, 258–264. [Google Scholar] [PubMed]
- Pandis, N.; Karpac, J.; Trevino, R.; Williams, B. A radiographic study of condyle position at various depths of cut in dry skulls with axially corrected lateral tomograms. Am. J. Orthod. Dentofac. Orthop. 1991, 100, 116–122. [Google Scholar] [CrossRef]
- Isberg, A.; Westesson, P.L. Steepness of articular eminence and movement of the condyle and disk in asymptomatic temporomandibular joints. Oral Surg. Oral Med. Oral Pathol. Oral Radiol. Endodontol. 1998, 86, 152–157. [Google Scholar] [CrossRef]
- Sulun, T.; Cemgil, A.T.; Duc, J.-M.P.; Rammelsberg, P.; Jäger, L.; Gernet, W. Morphology of the mandibular fossa and inclination of the articular eminence in patients with internal derangement and in symptom-free volunteers. Oral Surg. Oral Med. Oral Pathol. Oral Radiol. Endodontol. 2001, 92, 98–107. [Google Scholar] [CrossRef]
- Fan, X.-C.; Singh, D.; Ma, L.-S.; Piehslinger, E.; Huang, X.-F.; Rausch-Fan, X. Is There an Association between Temporomandibular Disorders and Articular Eminence Inclination? A Systematic Review. Diagnostics 2021, 11, 29. [Google Scholar] [CrossRef]
- Reicheneder, C.; Gedrange, T.; Baumert, U.; Faltermeier, A.; Proff, P. Variations in the inclination of the condylar path in children and adults. Angle Orthod. 2009, 79, 958–963. [Google Scholar] [CrossRef]
- Imanimoghaddam, M.; Madani, A.S.; Mahdavi, P.; Bagherpour, A.; Darijani, M.; Ebrahimnejad, H. Evaluation of condylar positions in patients with temporomandibular disorders: A cone-beam computed tomographic study. Imaging Sci. Dent. 2016, 46, 127–131. [Google Scholar] [CrossRef]
- Shahidi, S.; Vojdani, M.; Paknahad, M. Correlation between articular eminence steepness measured with cone-beam computed tomography and clinical dysfunction index in patients with temporomandibular joint dysfunction. Oral Surg. Oral Med. Oral Pathol. Oral Radiol. 2013, 116, 91–97. [Google Scholar] [CrossRef]
- Kubein-Meesenburg, D.; Nagerl, H. Basic principles of relation of anterior and posterior guidance in stomatognathic systems. Anat. Anz. 1990, 171, 1–12. [Google Scholar]
- İlgüy, D.; İlgüy, M.; Fişekçioğlu, E.; Dölekoğlu, S.; Ersan, N. Articular eminence inclination, height, and condyle morphology on cone beam computed tomography. Sci. World J. 2014, 2014, 761714. [Google Scholar] [CrossRef]
- Verner, F.S.; Roque-Torres, G.D.; Ramírez-Sotello, L.R.; Devito, K.L.; Almeida, S.M. Analysis of the correlation between dental arch and articular eminence morphology: A cone beam computed tomography study. Oral Surg. Oral Med. Oral Pathol. Oral Radiol. 2017, 124, 420–431. [Google Scholar] [CrossRef]
- Cevidanes, L.H.; Hajati, A.K.; Paniagua, B.; Lim, P.F.; Walker, D.G.; Palconet, G.; Nackley, A.G.; Styner, M.; Ludlow, J.-B.; Zhu, H.; et al. Quantification of condylar resorption in temporomandibular joint osteoarthritis. Oral Surg. Oral Med. Oral Pathol. Oral Radiol. Endodontol. 2010, 110, 110–117. [Google Scholar] [CrossRef] [PubMed]
- Zabarović, D.; Jerolimov, V.; Carek, V.; Vojvodić, D.; Zabarović, K.; Buković, D., Jr. The effect of tooth loss on the TM-joint articular eminence inclination. Coll. Antropol. 2000, 24, 37–42. [Google Scholar]
- Kurita, H.; Ohtsuka, A.; Kobayashi, H.; Kurashina, K. Is the morphology of the articular eminence of the temporomandibular joint a predisposing factor for disc displacement? Dentomaxillofac. Radiol. 2000, 29, 159–162. [Google Scholar] [CrossRef]
- Kurita, H.; Ohtsuka, A.; Kobayashi, H.; Kurashina, K. Flattening of the articular eminence correlates with progressive internal derangement of the temporomandibular joint. Dentomaxillofac. Radiol. 2000, 29, 277–279. [Google Scholar] [CrossRef]
- Mengi, A.; Sharma, V.P.; Tandon, P.; Agarwal, A.; Singh, A. A cephalometric evaluation of the effect of glenoid fossa location on craniofacial morphology. J. Oral Biol. Craniofac. Res. 2016, 6, 204–212. [Google Scholar] [CrossRef][Green Version]
- Proffit, W.R. Contemporary Orthodontics, 3rd ed.; Mosby, Inc.: St. Louis, MO, USA, 2000; pp. 435–439. [Google Scholar]
- Iodice, G.; Danzi, G.; Cimino, R.; Paduano, S.; Michelotti, A. Association between posterior crossbite, masticatory muscle pain, and disc displacement: A systematic review. Eur. J. Orthod. 2013, 35, 737–744. [Google Scholar] [CrossRef] [PubMed]
- Fu, M.-K.; Mao, X.-J. Cephalometric study of 144 normal subjects. Chin. Med. J. 1975, 55, 865–867. [Google Scholar]
- Park, I.-Y.; Kim, J.-H.; Park, Y.-H. Three-dimensional cone-beam computed tomography based comparison of condylar position and morphology according to the vertical skeletal pattern. Korean J. Orthod. 2015, 45, 66–73. [Google Scholar] [CrossRef]
- Sümbüllü, M.A.; Çağlayan, F.; Akgül, H.M.; Yilmaz, A.B. Radiological examination of the articular eminence morphology using cone beam CT. Dentomaxillofac. Radiol. 2012, 41, 234–240. [Google Scholar] [CrossRef] [PubMed]
- Paknahad, M.; Shahidi, S.; Akhlaghian, M.; Abolvardi, M. Is Mandibular Fossa Morphology and Articular Eminence Inclination Associated with Temporomandibular Dysfunction? J. Dent. 2016, 17, 134–141. [Google Scholar]
- Shrout, P.E.; Fleiss, J.L. Intraclass correlations: Uses in assessing rater reliability. Psychol. Bull. 1979, 86, 420–428. [Google Scholar] [CrossRef] [PubMed]
- Unal Erzurumlu, Z.; Celenk, P. A radiological evaluation of the effects of edentulousness on the temporomandibular joint. J. Oral Rehabil. 2020, 47, 319–324. [Google Scholar] [CrossRef] [PubMed]
- Larheim, T.A.; Westesson, P.; Sano, T. Temporomandibular joint disk displacement: Comparison in asymptomatic volunteers and patients. Radiology 2001, 218, 428–432. [Google Scholar] [CrossRef] [PubMed]
- Oberg, T.; Carlsson, G.E.; Fajers, C.M. The temporomandibular joint: A morphological study on a human autopsy material. Acta Odontol. Scand. 1971, 29, 349–383. [Google Scholar] [CrossRef]
- O’Ryan, F.; Epker, B.N. Temporomandibular joint function and morphology: Observations on the spectra of normalcy. Oral Surg. Oral Med. Oral Pathol. 1984, 58, 272–279. [Google Scholar] [CrossRef]
- Katsavrias, E.G. Morphology of the temporomandibular joint in subjects with Class II Division 2 malocclusions. Am. J. Orthod. Dentofac. Orthop. 2006, 129, 470–478. [Google Scholar] [CrossRef]
- Katsavrias, E.G.; Halazonetis, D.J. Condyle and fossa shape in Class II and Class III skeletal patterns: A morphometric tomographic study. Am. J. Orthod. Dentofac. Orthop. 2005, 128, 337–346. [Google Scholar] [CrossRef]
- Çağlayan, F.; Sümbüllü, M.A.; Akgül, H.M. Associations between the articular eminence inclination and condylar bone changes, condylar movements, and condyle and fossa shapes. Oral Radiol. 2013, 30, 84–91. [Google Scholar] [CrossRef]
- Poluha, R.L.; Cunha, C.O.; Bonjardim, L.R.; Conti, P.C.R. Temporomandibular joint morphology does not influence the presence of arthralgia in patients with disk displacement with reduction: A magnetic resonance imaging–based study. Oral Surg. Oral Med. Oral Pathol. Oral Radiol. 2020, 129, 149–157. [Google Scholar] [CrossRef]
- Siriwat, P.P.; Jarabak, J.R. Malocclusion and facial morphology is there a relationship? An epidemiologic study. Angle Orthod. 1985, 55, 127–138. [Google Scholar] [PubMed]
- Zivko-Babić, J.; Pandurić, J.; Jerolimov, V.; Mioc, M.; Pizeta, L.; Jakovac, M. Bite force in subjects with complete dentition. Coll. Antropol. 2002, 26, 293–302. [Google Scholar] [PubMed]
- Jasinevicius, T.R.; Pyle, M.A.; Lalumandier, J.A.; Nelson, S.; Kohrs, K.J.; Türp, J.C.; Sawyer, D.R. Asymmetry of the articular eminence in dentate and partially edentulous populations. Cranio 2006, 24, 85–94. [Google Scholar] [CrossRef] [PubMed]






| Variable | Total (N = 67) | Class I (n = 24) | Class II-1 (n = 20) | Class II-2 (n = 23) | F-Value | p-Value | ||||
|---|---|---|---|---|---|---|---|---|---|---|
| Mean ± SD | Range | Mean ± SD | Range | Mean ± SD | Range | Mean ± SD | Range | |||
| Age (year) | 27.91 ± 6.94 | 20–49 | 27.00 ± 5.56 | 20–40 | 27.50 ± 8.52 | 20–49 | 29.22 ± 6.84 | 20–45 | 0.642 | 0.530 |
| ANB (°) | 3.44 ± 1.05 | 1.1–4.9 | 3.10 ± 1.07 | 1.1–4.6 | 3.41 ± 0.97 | 1.4–4.7 | 3.84 ± 1.02 | 1.6–4.9 | 3.125 | 0.051 |
| FH–MP (°) | 26.52 ± 3.76 | 21.2–33.3 | 26.58 ± 4.15 | 21.2–33.2 | 26.43 ± 3.12 | 22.0–33.1 | 26.53 ± 4.00 | 21.2–33.3 | 0.009 | 0.991 |
| SN–GnGo (°) | 33.22 ± 3.35 | 27.4–37.7 | 33.06 ± 3.43 | 27.4–37.6 | 33.43 ± 2.88 | 28.3–37.6 | 33.21 ± 3.75 | 27.4–37.7 | 0.066 | 0.937 |
| Variable | Class I | Class II-1 | Class II-2 | F-Value | p-Value | ||||||
|---|---|---|---|---|---|---|---|---|---|---|---|
| n | Mean ± SD | Range | n | Mean ± SD | Range | n | Mean ± SD | Range | |||
| AEI-BFL (°) | 48 | 52.56 ± 7.01 | 39.7–68.7 | 40 | 62.06 ± 5.85 | 49.1–75.6 | 46 | 66.43 ± 8.30 | 47.5–82.7 | 45.799 | 0.000 ** |
| AEI-TRL (°) | 48 | 38.16 ± 5.43 | 29.4–48.4 | 40 | 42.21 ± 5.45 | 32.5–55.7 | 46 | 42.84 ± 4.86 | 32.7–52.8 | 10.929 | 0.000 ** |
| GFW (mm) | 48 | 17.37 ± 1.60 | 13.8–21.0 | 40 | 16.86 ± 1.40 | 14.8–19.7 | 46 | 16.59 ± 1.28 | 14.1–19.3 | 3.615 | 0.030 * |
| GFD (mm) | 48 | 5.92 ± 1.08 | 3.9–8.4 | 40 | 6.09 ± 0.95 | 3.7–8.1 | 46 | 6.40 ± 0.96 | 3.9–8.5 | 2.760 | 0.067 |
| GFW/GFD | 48 | 3.01 ± 0.49 | 2.14–4.19 | 40 | 2.83 ± 0.47 | 2.09–4.03 | 46 | 2.63 ± 0.33 | 2.16–3.67 | 8.843 | 0.000 ** |
| AEH (mm) | 48 | 7.15 ± 1.30 | 5.1–10.4 | 40 | 7.53 ± 0.93 | 5.0–10.2 | 46 | 7.45 ± 1.22 | 4.8–10.3 | 1.270 | 0.284 |
| CA (°) | 48 | 73.94 ± 5.71 | 59.8–85.5 | 40 | 73.64 ± 7.17 | 55.8–86.1 | 46 | 69.87 ± 6.31 | 58.0–84.1 | 5.775 | 0.004 ** |
| IA (°) | 24 | 147.87 ± 10.46 | 125.9–168.1 | 20 | 147.29 ± 13.29 | 114.4–165.4 | 23 | 139.01 ± 12.03 | 114.4–168.1 | 3.96 | 0.024 * |
| Variable | CI to CII-1 | CI to CII-2 | CII-1 to CII-2 | |||
|---|---|---|---|---|---|---|
| Mean Difference (I–J) | p-Value | Mean Difference (I–J) | p-Value | Mean Difference (I–J) | p-Value | |
| AEI-BFL | −9.4975 | 0.000 ** | −13.8658 | 0.000 ** | −4.3683 | 0.017 * |
| AEI-TRL | −4.0496 | 0.001 ** | −4.6831 | 0.000 ** | −0.6335 | 1.000 |
| GFW | 0.5138 | 0.289 | 0.7818 | 0.028 * | 0.2680 | 1.000 |
| GFD | −0.01692 | 1.000 | −0.4813 | 0.065 | −0.3122 | 0.458 |
| GFW/GFD | 0.18000 | 0.163 | 0.37549 | 0.000 ** | 0.19549 | 0.116 |
| AEH | −0.3729 | 0.421 | −0.2936 | 1.000 | 0.0793 | 1.000 |
| CA | 0.2929 | 1.000 | 4.0680 | 0.007 ** | 3.7751 | 0.021 * |
| IA | 0.58583 | 1.000 | 8.86214 | 0.039 * | 8.27630 | 0.079 |
| Variable | Class I (n = 24) | Class II-1 (n = 20) | Class II-2 (n = 23) | ||||||
|---|---|---|---|---|---|---|---|---|---|
| Left Side | Right Side | p-Value | Left Side | Right Side | p-Value | Left Side | Right Side | p-Value | |
| AEI-BFL (°) | 52.78 ± 6.27 | 52.34 ± 7.83 | 0.710 | 62.95 ± 6.50 | 61.17 ± 5.14 | 0.246 | 65.82 ± 7.44 | 67.04 ± 9.22 | 0.346 |
| AEI-TRL (°) | 38.23 ± 6.05 | 38.09 ± 4.86 | 0.821 | 43.29 ± 6.22 | 41.14 ± 4.46 | 0.098 | 42.97 ± 4.29 | 42.72 ± 5.47 | 0.739 |
| GFW (mm) | 17.21 ± 1.68 | 17.53 ± 1.53 | 0.232 | 16.95 ± 1.45 | 16.76 ± 1.37 | 0.337 | 16.56 ± 1.25 | 16.61 ± 1.33 | 0.824 |
| GFD (mm) | 5.74 ± 1.01 | 6.10 ± 1.15 | 0.084 | 5.92 ± 1.05 | 6.27 ± 0.83 | 0.099 | 6.34 ± 1.07 | 6.47 ± 0.87 | 0.518 |
| GFW/GFD | 3.07 ± 0.50 | 2.95 ± 0.48 | 0.128 | 2.94 ± 0.48 | 2.72 ± 0.43 | 0.024 * | 2.67 ± 0.37 | 2.60 ± 0.28 | 0.393 |
| AEH (mm) | 7.22 ± 1.34 | 7.09 ± 1.29 | 0.616 | 7.67 ± 0.96 | 7.38 ± 0.89 | 0.234 | 7.48 ± 1.14 | 7.41 ± 1.32 | 0.725 |
| CA (°) | 73.09 ± 5.64 | 74.78 ± 5.77 | 0.083 | 72.08 ± 7.20 | 75.21 ± 6.96 | 0.010 ** | 68.07 ± 5.93 | 71.67 ± 6.28 | 0.001 ** |
| Variable | Class I | Class II-1 | Class II-2 | ||||||
|---|---|---|---|---|---|---|---|---|---|
| Male (n = 22/11) | Female (n = 26/13) | p-Value | Male (n = 14/7) | Female (n = 26/13) | p-Value | Male (n = 16/8) | Female (n = 30/15) | p-Value | |
| AEI-BFL (°) | 53.14 ± 5.90 | 52.08 ± 7.92 | 0.608 | 60.95 ± 5.24 | 62.66 ± 6.17 | 0.386 | 64.40 ± 5.21 | 67.51 ± 9.46 | 0.158 |
| AEI-TRL (°) | 37.96 ± 4.67 | 38.33 ± 6.08 | 0.816 | 43.21 ± 6.19 | 41.67 ± 5.05 | 0.399 | 42.45 ± 4.31 | 43.05 ± 5.19 | 0.693 |
| GFW (mm) | 17.26 ± 1.61 | 17.46 ± 1.61 | 0.679 | 16.36 ± 1.27 | 17.12 ± 1.41 | 0.099 | 16.73 ± 1.33 | 16.51 ± 1.26 | 0.597 |
| GFD (mm) | 6.14 ± 1.07 | 5.74 ± 1.08 | 0.209 | 6.36 ± 1.04 | 5.94 ± 0.88 | 0.183 | 6.69 ± 0.84 | 6.25 ± 1.00 | 0.135 |
| GFW/GFD | 2.87 ± 0.38 | 3.13 ± 0.55 | 0.070 | 2.62 ± 0.35 | 2.94 ± 0.48 | 0.032 * | 2.52 ± 0.23 | 2.69 ± 0.35 | 0.081 |
| AEH (mm) | 7.30 ± 1.39 | 7.03 ± 1.24 | 0.489 | 7.40 ± 0.67 | 7.59 ± 1.04 | 0.538 | 7.59 ± 1.14 | 7.37 ± 1.27 | 0.554 |
| CA (°) | 70.64 ± 5.53 | 76.72 ± 4.24 | 0.000 ** | 72.07 ± 5.99 | 74.49 ± 7.70 | 0.315 | 69.49 ± 6.65 | 70.07 ± 6.22 | 0.769 |
| IA (°) | 141.28 ± 9.89 | 153.45 ± 7.38 | 0.002 ** | 144.14 ± 8.12 | 148.98 ± 15.43 | 0.453 | 136.9 ± 13.19 | 140.13 ± 11.69 | 0.552 |
| Variable | Male | Female | ||||||
|---|---|---|---|---|---|---|---|---|
| F-Value | p-Value | F-Value | p-Value | |||||
| CI to CII-1 | CI to CII-2 | CII-1 to CII-2 | CI to CII-1 | CI to CII-2 | CII-1 to CII-2 | |||
| AEI-BFL (°) | 20.840 ** | 0.000 ** | 0.000 ** | 0.238 | 26.337 ** | 0.000 ** | 0.000 ** | 0.082 |
| AEI-TRL (°) | 6.001 ** | 0.011 * | 0.027 * | 1.000 | 5.430 ** | 0.090 | 0.005 ** | 1.000 |
| GFW (mm) | 1.784 | 0.216 | 0.783 | 1.000 | 3.178 * | 1.000 | 0.047 * | 0.344 |
| GFD (mm) | 1.444 | 1.000 | 0.287 | 1.000 | 1.872 | 1.000 | 0.178 | 0.766 |
| GFW/GFD | 5.549 ** | 0.096 | 0.008 ** | 1.000 | 6.177 ** | 0.473 | 0.002 ** | 0.144 |
| AEH (mm) | 0.307 | 1.000 | 1.000 | 1.000 | 1.459 | 0.281 | 0.890 | 1.000 |
| CA (°) | 0.689 | 1.000 | 1.000 | 0.739 | 8.376 ** | 0.597 | 0.000 ** | 0.029 * |
| IA (°) | 0.897 | 1.000 | 1.000 | 0.602 | 4.546 * | 1.000 | 0.017 * | 0.174 |
Publisher’s Note: MDPI stays neutral with regard to jurisdictional claims in published maps and institutional affiliations. |
© 2021 by the authors. Licensee MDPI, Basel, Switzerland. This article is an open access article distributed under the terms and conditions of the Creative Commons Attribution (CC BY) license (http://creativecommons.org/licenses/by/4.0/).
Share and Cite
Fan, X.-C.; Ma, L.-S.; Chen, L.; Singh, D.; Rausch-Fan, X.; Huang, X.-F. Temporomandibular Joint Osseous Morphology of Class I and Class II Malocclusions in the Normal Skeletal Pattern: A Cone-Beam Computed Tomography Study. Diagnostics 2021, 11, 541. https://doi.org/10.3390/diagnostics11030541
Fan X-C, Ma L-S, Chen L, Singh D, Rausch-Fan X, Huang X-F. Temporomandibular Joint Osseous Morphology of Class I and Class II Malocclusions in the Normal Skeletal Pattern: A Cone-Beam Computed Tomography Study. Diagnostics. 2021; 11(3):541. https://doi.org/10.3390/diagnostics11030541
Chicago/Turabian StyleFan, Xiao-Chuan, Lin-Sha Ma, Li Chen, Diwakar Singh, Xiaohui Rausch-Fan, and Xiao-Feng Huang. 2021. "Temporomandibular Joint Osseous Morphology of Class I and Class II Malocclusions in the Normal Skeletal Pattern: A Cone-Beam Computed Tomography Study" Diagnostics 11, no. 3: 541. https://doi.org/10.3390/diagnostics11030541
APA StyleFan, X.-C., Ma, L.-S., Chen, L., Singh, D., Rausch-Fan, X., & Huang, X.-F. (2021). Temporomandibular Joint Osseous Morphology of Class I and Class II Malocclusions in the Normal Skeletal Pattern: A Cone-Beam Computed Tomography Study. Diagnostics, 11(3), 541. https://doi.org/10.3390/diagnostics11030541

