Combined COX-2/PPARγ Expression as Independent Negative Prognosticator for Vulvar Cancer Patients
Abstract
1. Introduction
2. Materials and Methods
2.1. Clinical Data and Tissue Collection
2.2. Ethical Approval
2.3. Immunohistochemistry
2.4. Statistical Analysis
3. Results
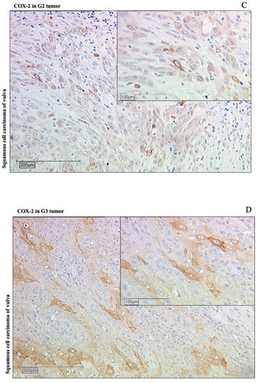
3.1. COX-2 as Predictor for Grading and for Overall Survival
3.2. PPARγ as a Negative Prognostic Factor for Disease-Free Survival in Cytoplasm
3.3. Nuclear PPARγ as a Positive Prognostic Factor for Overall Survival
3.4. Correlation between PPARγ and p16 Status
3.5. Combined COX-2/PPARγ Expression as an Independent Prognostic Factor for Overall Survival
4. Discussion
5. Conclusions
Supplementary Materials
Author Contributions
Funding
Institutional Review Board Statement
Informed Consent Statement
Data Availability Statement
Acknowledgments
Conflicts of Interest
Abbreviations
| COX-2 | Cyclooxygenase-2 |
| DOAJ | Directory of open access journals |
| EGF | Epidermal growth factor |
| HPV | Human papilloma virus |
| IRS | Immunoreactive score |
| LD | linear dichroism |
| MDPI | Multidisciplinary Digital Publishing Institute |
| PPARγ | Peroxisome proliferator- activating receptor Gamma |
| TLA | Three letter acronym |
| TNF-α | Tumor necrosis factor alpha |
| VSCC | Vulvar squamous cell carcinoma |
References
- International Agency for Research on Cancer. Globocon 2018, Cancer/Vulva (C51). World Health Organization. Available online: https://gco.iarc.fr/today/data/factsheets/cancers/21-Vulva-fact-sheet.pdf2019 (accessed on 12 August 2020).
- Woodruff, J.D.; Julian, C.; Puray, T.; Mermut, S.; Katayama, P. The contemporary challenge of carcinoma in situ of the vulva. Am. J. Obstet. Gynecol. 1973, 115, 677–686. [Google Scholar] [CrossRef]
- Kang, Y.J.; Smith, M.; Barlow, E.; Coffey, K.; Hacker, N.; Canfell, K. Vulvar cancer in high-income countries: Increasing burden of disease. Int. J. Cancer 2017, 141, 2174–2186. [Google Scholar] [CrossRef]
- Nuovo, G.J.; Delvenne, P.; MacConnell, P.; Chalas, E.; Neto, C.; Mann, W.J. Correlation of histology and detection of human papillomavirus DNA in vulvar cancers. Gynecol. Oncol. 1991, 43, 275–280. [Google Scholar] [CrossRef]
- Madeleine, M.M.; Daling, J.R.; Carter, J.J.; Wipf, G.C.; Schwartz, S.M.; McKnight, B.; Kurman, R.J.; Beckmann, A.M.; Hagensee, M.E.; Galloway, D.A. Cofactors with human papillomavirus in a population-based study of vulvar cancer. J. Natl. Cancer Inst. 1997, 89, 1516–1523. [Google Scholar] [CrossRef] [PubMed]
- Neill, S.M.; Lessana-Leibowitch, M.; Pelisse, M.; Moyal-Barracco, M. Lichen sclerosus, invasive squamous cell carcinoma, and human papillomavirus. Am. J. Obstet. Gynecol. 1990, 162, 1633–1634. [Google Scholar] [CrossRef]
- Carli, P.; Cattaneo, A.; De Magnis, A.; Biggeri, A.; Taddei, G.; Giannotti, B. Squamous cell carcinoma arising in vulval lichen sclerosus: A longitudinal cohort study. Eur. J. Cancer Prev. 1995, 4, 491–495. [Google Scholar] [CrossRef]
- Wright, S.C.; Zhong, J.; Zheng, H.; Larrick, J.W. Nicotine inhibition of apoptosis suggests a role in tumor promotion. FASEB J. 1993, 7, 1045–1051. [Google Scholar] [CrossRef] [PubMed]
- Hazewinkel, M.H.; Laan, E.T.; Sprangers, M.A.; Fons, G.; Burger, M.P.; Roovers, J.P. Long-term sexual function in survivors of vulvar cancer: A cross-sectional study. Gynecol. Oncol. 2012, 126, 87–92. [Google Scholar] [CrossRef] [PubMed]
- Westin, S.N.; Sun, C.C.; Tung, C.S.; Lacour, R.A.; Meyer, L.A.; Urbauer, D.L.; Frumovitz, M.M.; Lu, K.H.; Bodurka, D.C. Survivors of gynecologic malignancies: Impact of treatment on health and well-being. J. Cancer Surviv. 2016, 10, 261–270. [Google Scholar] [CrossRef] [PubMed]
- Zur Hausen, H. Papillomaviruses and cancer: From basic studies to clinical application. Nat. Rev. Cancer 2002, 2, 342–350. [Google Scholar] [CrossRef] [PubMed]
- Brotherton, J.M.L.; Bloem, P.N. Population-based HPV vaccination programmes are safe and effective: 2017 update and the impetus for achieving better global coverage. Best Pract. Res. Clin. Obstet. Gynaecol. 2018, 47, 42–58. [Google Scholar] [CrossRef] [PubMed]
- Epidemiologisches Bulletin; Aktuelle Daten und Informationen zu Infektionskrankheiten und Public Health; Robert Koch Institut: Berlin, Germany, 2018; Volume 1, Available online: https://www.rki.de/DE/Content/Infekt/EpidBull/Archiv/2018/Ausgaben/01_18.pdf?__blob=publicationFile (accessed on 8 March 2020).
- Wang, D.; Dubois, R.N. Prostaglandins and cancer. Gut 2006, 55, 115–122. [Google Scholar] [CrossRef]
- Ferrer, M.D.; Busquets-Cortes, C.; Capo, X.; Tejada, S.; Tur, J.A.; Pons, A.; Sureda, A. Cyclooxygenase-2 Inhibitors as a Therapeutic Target in Inflammatory Diseases. Curr. Med. Chem. 2019, 26, 3225–3241. [Google Scholar] [CrossRef] [PubMed]
- Wu, K.K. Cyclooxygenase 2 induction: Molecular mechanism and pathophysiologic roles. J. Lab. Clin. Med. 1996, 128, 242–245. [Google Scholar] [CrossRef]
- Dubois, R.N.; Abramson, S.B.; Crofford, L.; Gupta, R.A.; Simon, L.S.; Van De Putte, L.B.; Lipsky, P.E. Cyclooxygenase in biology and disease. FASEB J. 1998, 12, 1063–1073. [Google Scholar] [CrossRef] [PubMed]
- Hamasaki, Y.; Kitzler, J.; Hardman, R.; Nettesheim, P.; Eling, T.E. Phorbol ester and epidermal growth factor enhance the expression of two inducible prostaglandin H synthase genes in rat tracheal epithelial cells. Arch. Biochem. Biophys. 1993, 304, 226–234. [Google Scholar] [CrossRef] [PubMed]
- Coyne, D.W.; Nickols, M.; Bertrand, W.; Morrison, A.R. Regulation of mesangial cell cyclooxygenase synthesis by cytokines and glucocorticoids. Am. J. Physiol. 1992, 263, F97–F102. [Google Scholar] [CrossRef]
- Rigas, B.; Goldman, I.S.; Levine, L. Altered eicosanoid levels in human colon cancer. J. Lab. Clin. Med. 1993, 122, 518–523. [Google Scholar]
- Wang, D.; Dubois, R.N. Cyclooxygenase-2: A potential target in breast cancer. Semin Oncol. 2004, 31, 64–73. [Google Scholar] [CrossRef]
- Dreyer, C.; Krey, G.; Keller, H.; Givel, F.; Helftenbein, G.; Wahli, W. Control of the peroxisomal beta-oxidation pathway by a novel family of nuclear hormone receptors. Cell 1992, 68, 879–887. [Google Scholar] [CrossRef]
- Issemann, I.; Green, S. Activation of a member of the steroid hormone receptor superfamily by peroxisome proliferators. Nature 1990, 347, 645–650. [Google Scholar] [CrossRef]
- Palmer, C.N.; Hsu, M.H.; Griffin, H.J.; Johnson, E.F. Novel sequence determinants in peroxisome proliferator signaling. J. Biol. Chem. 1995, 270, 16114–16121. [Google Scholar] [CrossRef]
- Kliewer, S.A.; Umesono, K.; Noonan, D.J.; Heyman, R.A.; Evans, R.M. Convergence of 9-cis retinoic acid and peroxisome proliferator signalling pathways through heterodimer formation of their receptors. Nature 1992, 358, 771–774. [Google Scholar] [CrossRef] [PubMed]
- Nuclear Receptors Nomenclature Committee. A unified nomenclature system for the nuclear receptor superfamily. Cell 1999, 97, 161–163. [Google Scholar] [CrossRef]
- Sohda, T.; Momose, Y.; Meguro, K.; Kawamatsu, Y.; Sugiyama, Y.; Ikeda, H. Studies on antidiabetic agents. Synthesis and hypoglycemic activity of 5-[4-(pyridylalkoxy)benzyl]-2,4-thiazolidinediones. Arzneimittelforschung 1990, 40, 37–42. [Google Scholar] [CrossRef]
- Chawla, A.; Schwarz, E.J.; Dimaculangan, D.D.; Lazar, M.A. Peroxisome proliferator-activated receptor (PPAR) gamma: Adipose-predominant expression and induction early in adipocyte differentiation. Endocrinology 1994, 135, 798–800. [Google Scholar] [CrossRef]
- Kletzien, R.F.; Clarke, S.D.; Ulrich, R.G. Enhancement of adipocyte differentiation by an insulin-sensitizing agent. Mol. Pharmacol. 1992, 41, 393–398. [Google Scholar] [PubMed]
- Kim, I.K.; Lee, J.H.; Sohn, H.W.; Kim, H.S.; Kim, S.H. Prostaglandin A2 and delta 12-prostaglandin J2 induce apoptosis in L1210 cells. FEBS Lett. 1993, 321, 209–214. [Google Scholar] [CrossRef]
- Marui, N.; Sakai, T.; Hosokawa, N.; Yoshida, M.; Aoike, A.; Kawai, K.; Nishino, H.; Fukushima, M. N-myc suppression and cell cycle arrest at G1 phase by prostaglandins. FEBS Lett. 1990, 270, 15–18. [Google Scholar] [CrossRef]
- Sarraf, P.; Mueller, E.; Jones, D.; King, F.J.; DeAngelo, D.J.; Partridge, J.B.; Holden, S.A.; Chen, L.B.; Singer, S.; Fletcher, C.; et al. Differentiation and reversal of malignant changes in colon cancer through PPARgamma. Nat. Med. 1998, 4, 1046–1052. [Google Scholar] [CrossRef]
- Elstner, E.; Muller, C.; Koshizuka, K.; Williamson, E.A.; Park, D.; Asou, H.; Shintaku, P.; Said, J.W.; Heber, D.; Koeffler, H.P. Ligands for peroxisome proliferator-activated receptorgamma and retinoic acid receptor inhibit growth and induce apoptosis of human breast cancer cells in vitro and in BNX mice. Proc. Natl. Acad. Sci. USA 1998, 95, 8806–8811. [Google Scholar] [CrossRef] [PubMed]
- Guan, Y.F.; Zhang, Y.H.; Breyer, R.M.; Davis, L.; Breyer, M.D. Expression of peroxisome proliferator-activated receptor gamma (PPARgamma) in human transitional bladder cancer and its role in inducing cell death. Neoplasia 1999, 1, 330–339. [Google Scholar] [CrossRef] [PubMed]
- Takahashi, N.; Okumura, T.; Motomura, W.; Fujimoto, Y.; Kawabata, I.; Kohgo, Y. Activation of PPARgamma inhibits cell growth and induces apoptosis in human gastric cancer cells. FEBS Lett. 1999, 455, 135–139. [Google Scholar] [CrossRef]
- Remmele, W.; Stegner, H.E. Recommendation for uniform definition of an immunoreactive score (IRS) for immunohistochemical estrogen receptor detection (ER-ICA) in breast cancer tissue. Pathologe 1987, 8, 138–140. [Google Scholar] [PubMed]
- Mahner, S.; Jueckstock, J.; Hilpert, F.; Neuser, P.; Harter, P.; de Gregorio, N.; Hasenburg, A.; Sehouli, J.; Habermann, A.; Hillemanns, P.; et al. Adjuvant therapy in lymph node-positive vulvar cancer: The AGO-CaRE-1 study. J. Natl. Cancer Inst. 2015, 107. [Google Scholar] [CrossRef]
- Klapdor, R.; Wolber, L.; Hanker, L.; Schmalfeldt, B.; Canzler, U.; Fehm, T.; Luyten, A.; Hellriegel, M.; Kosse, J.; Heiss, C.; et al. Predictive factors for lymph node metastases in vulvar cancer. An analysis of the AGO-CaRE-1 multicenter study. Gynecol. Oncol. 2019, 154, 565–570. [Google Scholar] [CrossRef] [PubMed]
- Dong, F.; Kojiro, S.; Borger, D.R.; Growdon, W.B.; Oliva, E. Squamous Cell Carcinoma of the Vulva: A Subclassification of 97 Cases by Clinicopathologic, Immunohistochemical, and Molecular Features (p16, p53, and EGFR). Am. J. Surg. Pathol. 2015, 39, 1045–1053. [Google Scholar] [CrossRef]
- Kohlberger, P.; Kainz, C.; Breitenecker, G.; Gitsch, G.; Sliutz, G.; Kolbl, H.; Tschachler, E.; Reinthaller, A. Prognostic value of immunohistochemically detected p53 expression in vulvar carcinoma. Cancer 1995, 76, 1786–1789. [Google Scholar] [CrossRef]
- Zannoni, G.F.; Prisco, M.G.; Vellone, V.G.; De Stefano, I.; Vizzielli, G.; Tortorella, L.; Fagotti, A.; Scambia, G.; Gallo, D. Cytoplasmic expression of oestrogen receptor beta (ERbeta) as a prognostic factor in vulvar squamous cell carcinoma in elderly women. Histopathology 2011, 59, 909–917. [Google Scholar] [CrossRef]
- de Melo Maia, B.; Lavorato-Rocha, A.M.; Rodrigues, I.S.; Baiocchi, G.; Cestari, F.M.; Stiepcich, M.M.; Chinen, L.T.; Carvalho, K.C.; Soares, F.A.; Rocha, R.M. Prognostic significance of c-KIT in vulvar cancer: Bringing this molecular marker from bench to bedside. J. Transl. Med. 2012, 10, 150. [Google Scholar] [CrossRef]
- Lavorato-Rocha, A.M.; de Melo Maia, B.; Rodrigues, I.S.; Stiepcich, M.M.; Baiocchi, G.; da Silva Cestari, F.M.; Carvalho, K.C.; Soares, F.A.; Rocha, R.M. Prognostication of vulvar cancer based on p14ARF status: Molecular assessment of transcript and protein. Ann. Surg. Oncol. 2013, 20, 31–39. [Google Scholar] [CrossRef]
- Masferrer, J.L.; Leahy, K.M.; Koki, A.T.; Zweifel, B.S.; Settle, S.L.; Woerner, B.M.; Edwards, D.A.; Flickinger, A.G.; Moore, R.J.; Seibert, K. Antiangiogenic and antitumor activities of cyclooxygenase-2 inhibitors. Cancer Res. 2000, 60, 1306–1311. [Google Scholar]
- Abedinpour, P.; Baron, V.T.; Welsh, J.; Borgstrom, P. Regression of prostate tumors upon combination of hormone ablation therapy and celecoxib in vivo. Prostate 2011, 71, 813–823. [Google Scholar] [CrossRef]
- Hung, J.H.; Su, I.J.; Lei, H.Y.; Wang, H.C.; Lin, W.C.; Chang, W.T.; Huang, W.; Chang, W.C.; Chang, Y.S.; Chen, C.C.; et al. Endoplasmic reticulum stress stimulates the expression of cyclooxygenase-2 through activation of NF-kappaB and pp38 mitogen-activated protein kinase. J. Biol. Chem. 2004, 279, 46384–46392. [Google Scholar] [CrossRef]
- Charalambous, M.P.; Maihofner, C.; Bhambra, U.; Lightfoot, T.; Gooderham, N.J.; Colorectal Cancer Study, G. Upregulation of cyclooxygenase-2 is accompanied by increased expression of nuclear factor-kappa B and I kappa B kinase-alpha in human colorectal cancer epithelial cells. Br. J. Cancer 2003, 88, 1598–1604. [Google Scholar] [CrossRef]
- Araki, Y.; Okamura, S.; Hussain, S.P.; Nagashima, M.; He, P.; Shiseki, M.; Miura, K.; Harris, C.C. Regulation of cyclooxygenase-2 expression by the Wnt and ras pathways. Cancer Res. 2003, 63, 728–734. [Google Scholar] [PubMed]
- Majumder, M.; Dunn, L.; Liu, L.; Hasan, A.; Vincent, K.; Brackstone, M.; Hess, D.; Lala, P.K. COX-2 induces oncogenic micro RNA miR655 in human breast cancer. Sci. Rep. 2018, 8, 327. [Google Scholar] [CrossRef]
- Tsujii, M.; DuBois, R.N. Alterations in cellular adhesion and apoptosis in epithelial cells overexpressing prostaglandin endoperoxide synthase 2. Cell 1995, 83, 493–501. [Google Scholar] [CrossRef]
- Bensinger, S.J.; Tontonoz, P. Integration of metabolism and inflammation by lipid-activated nuclear receptors. Nature 2008, 454, 470–477. [Google Scholar] [CrossRef]
- Du, H.; Chen, X.; Zhang, J.; Chen, C. Inhibition of COX-2 expression by endocannabinoid 2-arachidonoylglycerol is mediated via PPAR-gamma. Br. J. Pharmacol. 2011, 163, 1533–1549. [Google Scholar] [CrossRef]
- Reginato, M.J.; Krakow, S.L.; Bailey, S.T.; Lazar, M.A. Prostaglandins promote and block adipogenesis through opposing effects on peroxisome proliferator-activated receptor gamma. J. Biol. Chem. 1998, 273, 1855–1858. [Google Scholar] [CrossRef] [PubMed]
- Tsuboi, H.; Sugimoto, Y.; Kainoh, T.; Ichikawa, A. Prostanoid EP4 receptor is involved in suppression of 3T3-L1 adipocyte differentiation. Biochem. Biophys. Res. Commun. 2004, 322, 1066–1072. [Google Scholar] [CrossRef] [PubMed]
- Xu, Z.; Choudhary, S.; Voznesensky, O.; Mehrotra, M.; Woodard, M.; Hansen, M.; Herschman, H.; Pilbeam, C. Overexpression of COX-2 in human osteosarcoma cells decreases proliferation and increases apoptosis. Cancer Res. 2006, 66, 6657–6664. [Google Scholar] [CrossRef] [PubMed]
- Bol, D.K.; Rowley, R.B.; Ho, C.P.; Pilz, B.; Dell, J.; Swerdel, M.; Kiguchi, K.; Muga, S.; Klein, R.; Fischer, S.M. Cyclooxygenase-2 overexpression in the skin of transgenic mice results in suppression of tumor development. Cancer Res. 2002, 62, 2516–2521. [Google Scholar] [PubMed]
- Dannenberg, A.J.; Lippman, S.M.; Mann, J.R.; Subbaramaiah, K.; DuBois, R.N. Cyclooxygenase-2 and epidermal growth factor receptor: Pharmacologic targets for chemoprevention. J. Clin. Oncol. 2005, 23, 254–266. [Google Scholar] [CrossRef]
- Howe, L.R. Inflammation and breast cancer. Cyclooxygenase/prostaglandin signaling and breast cancer. Breast Cancer Res. 2007, 9, 210. [Google Scholar] [CrossRef] [PubMed]
- Boland, G.P.; Butt, I.S.; Prasad, R.; Knox, W.F.; Bundred, N.J. COX-2 expression is associated with an aggressive phenotype in ductal carcinoma in situ. Br. J. Cancer 2004, 90, 423–429. [Google Scholar] [CrossRef]
- Subbaramaiah, K.; Telang, N.; Ramonetti, J.T.; Araki, R.; DeVito, B.; Weksler, B.B.; Dannenberg, A.J. Transcription of cyclooxygenase-2 is enhanced in transformed mammary epithelial cells. Cancer Res. 1996, 56, 4424–4429. [Google Scholar] [PubMed]
- Denkert, C.; Kobel, M.; Pest, S.; Koch, I.; Berger, S.; Schwabe, M.; Siegert, A.; Reles, A.; Klosterhalfen, B.; Hauptmann, S. Expression of cyclooxygenase 2 is an independent prognostic factor in human ovarian carcinoma. Am. J. Pathol. 2002, 160, 893–903. [Google Scholar] [CrossRef]
- Dursun, P.; Yuce, K.; Usubutun, A.; Ayhan, A. Cyclooxygenase-2 expression in cervical intraepithelial neoplasia III and squamous cell cervical carcinoma, and its correlation with clinicopathologic variables. Int. J. Gynecol. Cancer 2007, 17, 164–173. [Google Scholar] [CrossRef]
- Sano, H.; Kawahito, Y.; Wilder, R.L.; Hashiramoto, A.; Mukai, S.; Asai, K.; Kimura, S.; Kato, H.; Kondo, M.; Hla, T. Expression of cyclooxygenase-1 and -2 in human colorectal cancer. Cancer Res. 1995, 55, 3785–3789. [Google Scholar] [PubMed]
- Ristimaki, A.; Honkanen, N.; Jankala, H.; Sipponen, P.; Harkonen, M. Expression of cyclooxygenase-2 in human gastric carcinoma. Cancer Res. 1997, 57, 1276–1280. [Google Scholar] [PubMed]
- Wolff, H.; Saukkonen, K.; Anttila, S.; Karjalainen, A.; Vainio, H.; Ristimaki, A. Expression of cyclooxygenase-2 in human lung carcinoma. Cancer Res. 1998, 58, 4997–5001. [Google Scholar]
- Tucker, O.N.; Dannenberg, A.J.; Yang, E.K.; Zhang, F.; Teng, L.; Daly, J.M.; Soslow, R.A.; Masferrer, J.L.; Woerner, B.M.; Koki, A.T.; et al. Cyclooxygenase-2 expression is up-regulated in human pancreatic cancer. Cancer Res. 1999, 59, 987–990. [Google Scholar] [PubMed]
- Bae, S.H.; Jung, E.S.; Park, Y.M.; Kim, B.S.; Kim, B.K.; Kim, D.G.; Ryu, W.S. Expression of cyclooxygenase-2 (COX-2) in hepatocellular carcinoma and growth inhibition of hepatoma cell lines by a COX-2 inhibitor, NS-398. Clin. Cancer Res. 2001, 7, 1410–1418. [Google Scholar]
- Khor, L.Y.; Bae, K.; Pollack, A.; Hammond, M.E.; Grignon, D.J.; Venkatesan, V.M.; Rosenthal, S.A.; Ritter, M.A.; Sandler, H.M.; Hanks, G.E.; et al. COX-2 expression predicts prostate-cancer outcome: Analysis of data from the RTOG 92-02 trial. Lancet Oncol. 2007, 8, 912–920. [Google Scholar] [CrossRef][Green Version]
- Mitchell, A.; Newton, J.M.; Brite, K.; Einspahr, J.; Ellis, M.; Davis, J.; Nuno, T.; Alberts, D.S.; Garcia, F. Cyclooxygenase 2 expression in cervical intraepithelial neoplasia and vulvar cancer. J. Low Genit. Tract. Dis. 2007, 11, 80–85. [Google Scholar] [CrossRef] [PubMed]
- Fons, G.; Burger, M.P.; Ten Kate, F.J.; van der Velden, J. Identification of potential prognostic markers for vulvar cancer using immunohistochemical staining of tissue microarrays. Int. J. Gynecol. Pathol. 2007, 26, 188–193. [Google Scholar] [CrossRef]
- Mrena, J.; Wiksten, J.P.; Nordling, S.; Kokkola, A.; Ristimaki, A.; Haglund, C. MMP-2 but not MMP-9 associated with COX-2 and survival in gastric cancer. J. Clin. Pathol. 2006, 59, 618–623. [Google Scholar] [CrossRef]
- Becker, M.R.; Siegelin, M.D.; Rompel, R.; Enk, A.H.; Gaiser, T. COX-2 expression in malignant melanoma: A novel prognostic marker? Melanoma Res. 2009, 19, 8–16. [Google Scholar] [CrossRef]
- Lee, T.S.; Jeon, Y.T.; Kim, J.W.; Won, J.K.; Park, N.H.; Park, I.A.; Juhnn, Y.S.; Kang, S.B.; Lee, H.P.; Song, Y.S. Increased cyclooxygenase-2 expression associated with inflammatory cellular infiltration in elderly patients with vulvar cancer. Ann. N. Y. Acad. Sci. 2007, 1095, 143–153. [Google Scholar] [CrossRef]
- Sheehan, K.M.; Sheahan, K.; O’Donoghue, D.P.; MacSweeney, F.; Conroy, R.M.; Fitzgerald, D.J.; Murray, F.E. The relationship between cyclooxygenase-2 expression and colorectal cancer. JAMA 1999, 282, 1254–1257. [Google Scholar] [CrossRef]
- Miyata, Y.; Koga, S.; Kanda, S.; Nishikido, M.; Hayashi, T.; Kanetake, H. Expression of cyclooxygenase-2 in renal cell carcinoma: Correlation with tumor cell proliferation, apoptosis, angiogenesis, expression of matrix metalloproteinase-2, and survival. Clin. Cancer Res. 2003, 9, 1741–1749. [Google Scholar] [PubMed]
- Kankuri-Tammilehto, M.K.; Soderstrom, K.O.; Pelliniemi, T.T.; Vahlberg, T.; Pyrhonen, S.O.; Salminen, E.K. Prognostic evaluation of COX-2 expression in renal cell carcinoma. Anticancer Res. 2010, 30, 3023–3030. [Google Scholar] [PubMed]
- Pomianowska, E.; Schjolberg, A.R.; Clausen, O.P.; Gladhaug, I.P. COX-2 overexpression in resected pancreatic head adenocarcinomas correlates with favourable prognosis. BMC Cancer 2014, 14, 458. [Google Scholar] [CrossRef][Green Version]
- Theocharis, S.; Kanelli, H.; Politi, E.; Margeli, A.; Karkandaris, C.; Philippides, T.; Koutselinis, A. Expression of peroxisome proliferator activated receptor-gamma in non-small cell lung carcinoma: Correlation with histological type and grade. Lung Cancer 2002, 36, 249–255. [Google Scholar] [CrossRef]
- Theocharis, S.; Giaginis, C.; Parasi, A.; Margeli, A.; Kakisis, J.; Agapitos, E.; Kouraklis, G. Expression of peroxisome proliferator-activated receptor-gamma in colon cancer: Correlation with histopathological parameters, cell cycle-related molecules, and patients’ survival. Dig. Dis. Sci. 2007, 52, 2305–2311. [Google Scholar] [CrossRef]
- Zhang, G.Y.; Ahmed, N.; Riley, C.; Oliva, K.; Barker, G.; Quinn, M.A.; Rice, G.E. Enhanced expression of peroxisome proliferator-activated receptor gamma in epithelial ovarian carcinoma. Br. J. Cancer 2005, 92, 113–119. [Google Scholar] [CrossRef]
- Guiochon-Mantel, A.; Loosfelt, H.; Lescop, P.; Sar, S.; Atger, M.; Perrot-Applanat, M.; Milgrom, E. Mechanisms of nuclear localization of the progesterone receptor: Evidence for interaction between monomers. Cell 1989, 57, 1147–1154. [Google Scholar] [CrossRef]
- Lim, C.S.; Baumann, C.T.; Htun, H.; Xian, W.; Irie, M.; Smith, C.L.; Hager, G.L. Differential localization and activity of the A- and B-forms of the human progesterone receptor using green fluorescent protein chimeras. Mol. Endocrinol. 1999, 13, 366–375. [Google Scholar] [CrossRef] [PubMed]
- Papamichail, M.; Tsokos, G.; Tsawdaroglou, N.; Sekeris, C.E. Immunocytochemical demonstration of glucocorticoid receptors in different cell types and their translocation from the cytoplasm to the cell nucleus in the presence of dexamethasone. Exp. Cell Res. 1980, 125, 490–493. [Google Scholar] [CrossRef]
- Htun, H.; Barsony, J.; Renyi, I.; Gould, D.L.; Hager, G.L. Visualization of glucocorticoid receptor translocation and intranuclear organization in living cells with a green fluorescent protein chimera. Proc. Natl. Acad. Sci. USA 1996, 93, 4845–4850. [Google Scholar] [CrossRef] [PubMed]
- Georget, V.; Lobaccaro, J.M.; Terouanne, B.; Mangeat, P.; Nicolas, J.C.; Sultan, C. Trafficking of the androgen receptor in living cells with fused green fluorescent protein-androgen receptor. Mol. Cell Endocrinol. 1997, 129, 17–26. [Google Scholar] [CrossRef]
- Baumann, C.T.; Maruvada, P.; Hager, G.L.; Yen, P.M. Nuclear cytoplasmic shuttling by thyroid hormone receptors. multiple protein interactions are required for nuclear retention. J. Biol. Chem. 2001, 276, 11237–11245. [Google Scholar] [CrossRef] [PubMed]
- Burgermeister, E.; Chuderland, D.; Hanoch, T.; Meyer, M.; Liscovitch, M.; Seger, R. Interaction with MEK causes nuclear export and downregulation of peroxisome proliferator-activated receptor gamma. Mol. Cell Biol. 2007, 27, 803–817. [Google Scholar] [CrossRef] [PubMed]
- Thuillier, P.; Baillie, R.; Sha, X.; Clarke, S.D. Cytosolic and nuclear distribution of PPARgamma2 in differentiating 3T3-L1 preadipocytes. J. Lipid Res. 1998, 39, 2329–2338. [Google Scholar] [CrossRef]
- Shibuya, A.; Wada, K.; Nakajima, A.; Saeki, M.; Katayama, K.; Mayumi, T.; Kadowaki, T.; Niwa, H.; Kamisaki, Y. Nitration of PPARgamma inhibits ligand-dependent translocation into the nucleus in a macrophage-like cell line, RAW 264. FEBS Lett. 2002, 525, 43–47. [Google Scholar] [CrossRef]
- Kelly, D.; Campbell, J.I.; King, T.P.; Grant, G.; Jansson, E.A.; Coutts, A.G.; Pettersson, S.; Conway, S. Commensal anaerobic gut bacteria attenuate inflammation by regulating nuclear-cytoplasmic shuttling of PPAR-gamma and RelA. Nat. Immunol. 2004, 5, 104–112. [Google Scholar] [CrossRef] [PubMed]
- Hauser, S.; Adelmant, G.; Sarraf, P.; Wright, H.M.; Mueller, E.; Spiegelman, B.M. Degradation of the peroxisome proliferator-activated receptor gamma is linked to ligand-dependent activation. J. Biol. Chem. 2000, 275, 18527–18533. [Google Scholar] [CrossRef] [PubMed]
- Burgermeister, E.; Seger, R. MAPK kinases as nucleo-cytoplasmic shuttles for PPARgamma. Cell Cycle 2007, 6, 1539–1548. [Google Scholar] [CrossRef] [PubMed]
- Ukiya, M.; Sato, D.; Kimura, H.; Koketsu, M.; Phay, N.; Nishina, A. (-)-O-Methylcubebin from Vitex trifolia Enhanced Adipogenesis in 3T3-L1 Cells via the Inhibition of ERK1/2 and p38MAPK Phosphorylation. Molecules 2019, 25, 73. [Google Scholar] [CrossRef] [PubMed]
- Shao, W.; Kuhn, C.; Mayr, D.; Ditsch, N.; Kailuwait, M.; Wolf, V.; Harbeck, N.; Mahner, S.; Jeschke, U.; Cavailles, V.; et al. Cytoplasmic PPARgamma is a marker of poor prognosis in patients with Cox-1 negative primary breast cancers. J. Transl. Med. 2020, 18, 94. [Google Scholar] [CrossRef]
- Ogino, S.; Shima, K.; Baba, Y.; Nosho, K.; Irahara, N.; Kure, S.; Chen, L.; Toyoda, S.; Kirkner, G.J.; Wang, Y.L.; et al. Colorectal cancer expression of peroxisome proliferator-activated receptor gamma (PPARG, PPARgamma) is associated with good prognosis. Gastroenterology 2009, 136, 1242–1250. [Google Scholar] [CrossRef] [PubMed]
- Abduljabbar, R.; Al-Kaabi, M.M.; Negm, O.H.; Jerjees, D.; Muftah, A.A.; Mukherjee, A.; Lai, C.F.; Buluwela, L.; Ali, S.; Tighe, P.J.; et al. Prognostic and biological significance of peroxisome proliferator-activated receptor-gamma in luminal breast cancer. Breast Cancer Res. Treat. 2015, 150, 511–522. [Google Scholar] [CrossRef]
- Nicol, C.J.; Yoon, M.; Ward, J.M.; Yamashita, M.; Fukamachi, K.; Peters, J.M.; Gonzalez, F.J. PPARgamma influences susceptibility to DMBA-induced mammary, ovarian and skin carcinogenesis. Carcinogenesis 2004, 25, 1747–1755. [Google Scholar] [CrossRef]
- Sarraf, P.; Mueller, E.; Smith, W.M.; Wright, H.M.; Kum, J.B.; Aaltonen, L.A.; de la Chapelle, A.; Spiegelman, B.M.; Eng, C. Loss-of-function mutations in PPAR gamma associated with human colon cancer. Mol. Cell 1999, 3, 799–804. [Google Scholar] [CrossRef]
- Eibl, G.; Wente, M.N.; Reber, H.A.; Hines, O.J. Peroxisome proliferator-activated receptor gamma induces pancreatic cancer cell apoptosis. Biochem. Biophys. Res. Commun. 2001, 287, 522–529. [Google Scholar] [CrossRef]
- Demetri, G.D.; Fletcher, C.D.; Mueller, E.; Sarraf, P.; Naujoks, R.; Campbell, N.; Spiegelman, B.M.; Singer, S. Induction of solid tumor differentiation by the peroxisome proliferator-activated receptor-gamma ligand troglitazone in patients with liposarcoma. Proc. Natl. Acad. Sci. USA 1999, 96, 3951–3956. [Google Scholar] [CrossRef] [PubMed]
- Yee, L.D.; Sabourin, C.L.; Liu, L.; Li, H.M.; Smith, P.J.; Seewaldt, V.; Kniss, D.A. Peroxisome proliferator-activated receptor gamma activation in human breast cancer. Int. J. Oncol. 1999, 15, 967–973. [Google Scholar] [CrossRef]
- Vignati, S.; Albertini, V.; Rinaldi, A.; Kwee, I.; Riva, C.; Oldrini, R.; Capella, C.; Bertoni, F.; Carbone, G.M.; Catapano, C.V. Cellular and molecular consequences of peroxisome proliferator-activated receptor-gamma activation in ovarian cancer cells. Neoplasia 2006, 8, 851–861. [Google Scholar] [CrossRef] [PubMed][Green Version]
- Lefebvre, A.M.; Chen, I.; Desreumaux, P.; Najib, J.; Fruchart, J.C.; Geboes, K.; Briggs, M.; Heyman, R.; Auwerx, J. Activation of the peroxisome proliferator-activated receptor gamma promotes the development of colon tumors in C57BL/6J-APCMin/+ mice. Nat. Med. 1998, 4, 1053–1057. [Google Scholar] [CrossRef]
- Saez, E.; Tontonoz, P.; Nelson, M.C.; Alvarez, J.G.; Ming, U.T.; Baird, S.M.; Thomazy, V.A.; Evans, R.M. Activators of the nuclear receptor PPARgamma enhance colon polyp formation. Nat. Med. 1998, 4, 1058–1061. [Google Scholar] [CrossRef]
- Clay, C.E.; Namen, A.M.; Fonteh, A.N.; Atsumi, G.; High, K.P.; Chilton, F.H. 15-deoxy-Delta(12,14)PGJ(2) induces diverse biological responses via PPARgamma activation in cancer cells. Prostaglandins Lipid Mediat. 2000, 62, 23–32. [Google Scholar] [CrossRef]
- Czogalla, B.; Pham, D.; Trillsch, F.; Rottmann, M.; Gallwas, J.; Burges, A.; Mahner, S.; Kirchner, T.; Jeschke, U.; Mayr, D.; et al. PD-L1 expression and survival in p16-negative and -positive squamous cell carcinomas of the vulva. J. Cancer Res. Clin. Oncol 2020, 146, 569–577. [Google Scholar] [CrossRef] [PubMed]
- Sand, F.L.; Nielsen, D.M.B.; Frederiksen, M.H.; Rasmussen, C.L.; Kjaer, S.K. The prognostic value of p16 and p53 expression for survival after vulvar cancer: A systematic review and meta-analysis. Gynecol. Oncol. 2019, 152, 208–217. [Google Scholar] [CrossRef] [PubMed]
- Rothwell, P.M.; Wilson, M.; Elwin, C.E.; Norrving, B.; Algra, A.; Warlow, C.P.; Meade, T.W. Long-term effect of aspirin on colorectal cancer incidence and mortality: 20-year follow-up of five randomised trials. Lancet 2010, 376, 1741–1750. [Google Scholar] [CrossRef]
- Krebsregister Deutschland, Robert-Koch-Institut. Krebs der Vulva (Vulvakarzinom) ICD-10, C51 2016; Robert Koch-Institut: Berlin, Germany, 2019; Available online: https://www.krebsdaten.de/Krebs/DE/Content/Krebsarten/Vulvakrebs/vulvakrebs_node.html (accessed on 12 September 2020).








| Clinicopathologic Parameters | n | Percentage (%) |
|---|---|---|
| Histology | ||
| keratinizing | 134 | 95 |
| wartv/basaloid | 7 | 5 |
| Tumor size | ||
| T1 | 51 | 36.2 |
| T2 | 74 | 52.5 |
| T3 | 9 | 6.4 |
| missing | 7 | 5 |
| Nodal status | ||
| N0 | 60 | 42.6 |
| N1 | 31 | 22 |
| N2 | 8 | 5.7 |
| missing | 42 | 29.8 |
| Metastasis | ||
| missing | 141 | 100 |
| FIGO | ||
| I | 45 | 31.9 |
| II | 45 | 31.9 |
| III | 36 | 25.5 |
| IV | 9 | 6.4 |
| missing | 6 | 4.3 |
| Grading | ||
| G1 | 24 | 17 |
| G2 | 87 | 61.7 |
| G3 | 29 | 20.6 |
| missing | 1 | 0.7 |
| p16 status | ||
| positive | 34 | 24.1 |
| negative | 57 | 40.4 |
| missing | 50 | 35.5 |
| Progression status | ||
| positive | 61 | 43.3 |
| negative | 79 | 56 |
| missing | 1 | 0.7 |
| Local recurrence status | ||
| positive | 35 | 24.8 |
| negative | 105 | 74.5 |
| missing | 1 | 0.7 |
| Median for Overall SuMedian for Overall Survival Time (Months) | |||
|---|---|---|---|
| COX-2 IRS Value in Cytoplasm | Estimate | Lower 95% Confidence Interval | Upper 95% Confidence Interval |
| IRS ≤ 3 | 92.000 | 36.414 | 147.586 |
| IRS > 3 | 52.000 | 31.292 | 72.708 |
| Overall | 73.000 | 44.681 | 101.319 |
| Variable | Significance | Hazard Ratio of Exp (B) | Lower 95% Confidence Interval of Exp (B) | Upper 95% Confidence Interval of Exp (B) |
|---|---|---|---|---|
| COX-2 in cytoplasm | 0.005 | 2.187 | 1.267 | 3.776 |
| pT | 0.488 | 1.275 | 0.642 | 2.535 |
| pN | 0.112 | 1.005 | 0.999 | 1.012 |
| Grading | 0.004 | 1.874 | 1.222 | 2.873 |
| FIGO | 0.199 | 1.336 | 0.858 | 2.081 |
| p16 status | 0.001 | 0.362 | 0.196 | 0.671 |
| Medians for Disease-Free Survival Time (Months) | |||
|---|---|---|---|
| PPARγ IRS Value in Cytoplasm | Estimate | Lower 95% Confidence Interval | Upper 95% Confidence Interval |
| IRS < 2 | 192.000 | 127.692 | 256.308 |
| IRS ≥ 2 | 129.000 | 20.907 | 237.093 |
| Overall | 163.000 | 203.332 | 203.332 |
| Variable | Significance | Hazard Ratio of Exp (B) | Lower 95% Confidence Interval of Exp (B) |
Upper 95% Confidence Interval of Exp (B) |
|---|---|---|---|---|
| PPARγ in cytoplasm | 0.626 | 1.193 | 0.588 | 2.418 |
| pT | 0.336 | 1.496 | 0.658 | 3.400 |
| pN | 0.403 | 0.996 | 0.985 | 1.006 |
| Grading | 0.009 | 2.016 | 1.190 | 3.413 |
| FIGO | 0.259 | 1.342 | 0.805 | 2.238 |
| p16 status | 0.061 | 0.481 | 0.224 | 1.034 |
| Variable | Significance | Hazard Ratio of Exp (B) | Lower 95% Confidence Interval of Exp (B) | Upper 95% Confidence Interval of Exp (B) |
|---|---|---|---|---|
| PPARγ+/COX-2 | 0.001 | 2.615 | 1.460 | 4.683 |
| pT | 0.613 | 1.195 | 0.598 | 2.388 |
| pN | 0.85 | 1.006 | 0.999 | 1.013 |
| Grading | 0.012 | 1.738 | 1.129 | 2.676 |
| FIGO | 0.098 | 1.453 | 0.933 | 2.263 |
| p16 status | 0.002 | 0.380 | 0.208 | 0.694 |
Publisher’s Note: MDPI stays neutral with regard to jurisdictional claims in published maps and institutional affiliations. |
© 2021 by the authors. Licensee MDPI, Basel, Switzerland. This article is an open access article distributed under the terms and conditions of the Creative Commons Attribution (CC BY) license (http://creativecommons.org/licenses/by/4.0/).
Share and Cite
Ansorge, N.; Dannecker, C.; Jeschke, U.; Schmoeckel, E.; Mayr, D.; Heidegger, H.H.; Vattai, A.; Burgmann, M.; Czogalla, B.; Mahner, S.; et al. Combined COX-2/PPARγ Expression as Independent Negative Prognosticator for Vulvar Cancer Patients. Diagnostics 2021, 11, 491. https://doi.org/10.3390/diagnostics11030491
Ansorge N, Dannecker C, Jeschke U, Schmoeckel E, Mayr D, Heidegger HH, Vattai A, Burgmann M, Czogalla B, Mahner S, et al. Combined COX-2/PPARγ Expression as Independent Negative Prognosticator for Vulvar Cancer Patients. Diagnostics. 2021; 11(3):491. https://doi.org/10.3390/diagnostics11030491
Chicago/Turabian StyleAnsorge, Nadine, Christian Dannecker, Udo Jeschke, Elisa Schmoeckel, Doris Mayr, Helene H. Heidegger, Aurelia Vattai, Maximiliane Burgmann, Bastian Czogalla, Sven Mahner, and et al. 2021. "Combined COX-2/PPARγ Expression as Independent Negative Prognosticator for Vulvar Cancer Patients" Diagnostics 11, no. 3: 491. https://doi.org/10.3390/diagnostics11030491
APA StyleAnsorge, N., Dannecker, C., Jeschke, U., Schmoeckel, E., Mayr, D., Heidegger, H. H., Vattai, A., Burgmann, M., Czogalla, B., Mahner, S., & Fuerst, S. (2021). Combined COX-2/PPARγ Expression as Independent Negative Prognosticator for Vulvar Cancer Patients. Diagnostics, 11(3), 491. https://doi.org/10.3390/diagnostics11030491

