Abstract
The study aims to expound upon the imaging-based diagnostic methodologies aimed at identifying twin-to-twin transfusion syndrome (TTTS), a serious, somewhat rare prenatal condition that takes place in pregnancies where identical twins, or other multiples, share a placenta (monochorionic placenta), highlighting how medico-legal outcomes can be affected by provable compliance with consolidated diagnostic guidelines or best practices. It is of utmost importance to produce a prompt identification of TTTS instances; an early diagnosis is in fact critical in order to effectively treat and manage TTTS. By virtue of TTTS being a highly progressive condition, a delay in diagnosis can result in disastrous outcomes; just a few weeks delay in the diagnosis of TTTS can turn out fatal for one or both twins. Hence, most TTTS malpractice claims involve allegations of medical negligence, namely the failure to recognize the condition in a timely fashion, or to proceed with adequate diagnostic and therapeutic pathways. In that regard, case law databases have been pored over (Justia, Lexis, Leagle), and five significant court cases have been examined and discussed in an attempt to identify objective medico-legal standards and bring to the forefront relevant forensic dynamics. In fact, when health professionals are capable of proving adherence to guidelines or best practices, this can shield them from malpractice allegations and ensuing litigation.
1. Introduction
Twin-to-twin transfusion syndrome (TTTS) results from a hemodynamical imbalance of placental vascular anastomosis connecting the circulation of the two fetuses, whose consequence is the presence of hypovolemia, oliguria, and oligohydramnios in a twin (donor) and hypervolemia, polyuria, and polydramnios in the co-twin (recipient). The condition typically develops during the 15–26 week gestation period. Abnormalities in blood vessel connections can form in the placenta, thus causing blood to flow between the fetuses in an uneven fashion. The “donor” twin therefore becomes dehydrated, whereas the recipient twin develops high blood pressure and produces too much urine, leading to the overfilling of the amniotic sac. Moreover, the donor twin is often smaller, with a birth weight 20% less than the recipient′s birth weight. Mortality from severe untreated TTTS is extremely high, with reported rates ranging from 70% and 100% [1]. Deaths occurring in utero are usually to be ascribed to fetal cardiac failure. Without treatment, pre-viable or extremely preterm births contribute to high perinatal mortality. Of twins that are liveborn, a significant proportion suffer from postnatal complications of TTTS, including heart and kidney dysfunction and complications of polycythaemia and anaemia, or neurological and cardiological consequences [2].
TTTS usually occurs in the second trimester and is a dynamic condition that can remain stable, occasionally regress spontaneously, or evolve quickly. It affects 10–15% of monochorionic–diamniotic (MCDA) twin gestations [3] and also affects a similar proportion of the MCDA twin pairs in dichorionic–triamniotic (DCTA) triplet gestations [4]. Other studies have found that monochorionic twin placentation occurs in 20% of spontaneous twin pregnancies and, interestingly, almost 5% of those are obtained by medically assisted reproduction [5,6,7].
Monochorionic twin pregnancy can be defined as a congenital anomaly of the placenta, due to which the twin vessel systems communicate through vascular anastomoses on the placental surface. It is the angioarchitecture of these vascular anastomoses that determines the risk profile [8]. Transfusion between twins is therefore a normal event; in fact, the bidirectional artery-artery or vein-vein anastomoses compensate for the hemodynamic imbalance caused by the smaller and deeper one-way arteriovenous anastomoses, but when there is unequal hemodynamic and amniotic fluid balance, it can cause the risk of developing TTTS [5].
2. Screening for TTTS
In monochorionic twin pregnancy, ultrasound screening for TTTS includes a checkup every two weeks starting during the second trimester of gestation until the end of pregnancy [9].
Ultrasound assessment should include fetal biometry, visualization of bladder filling, measurement of amniotic fluid, evaluation of Doppler flowmetry in the umbilical artery and venous duct, and evaluation of peak systolic velocity in the MCA in both twins [10].
The diagnosis of TTTS requires the presence of significant amniotic fluid imbalance. TTTS is define according to the sonographic criteria of oligouric oligohydramnios in the donor twin with deepest vertical pocket (DVP) of 2 cm or less and polyuric polyhydramnios in the recipient with DVP of 8 cm or greater prior to 20 weeks and 10 cm or greater after 20 weeks [7]
TTTS is associated with a high risk of brain injury in survivors, and the incidence and severity of injury is related to the Quintero stage [11,12], which includes a five-stage classification correlating the combined ultrasound assessment with the flowmetric data of the umbilical vein and venous duct Doppler study (Table 1). It is worth noting that, although the Quintero staging system provides a helpful definition of this progression, TTTS is not always linear and can develop rapidly [13,14].
Table 1.
Quintero stage system.
There are some discrepancies concerning the validity of Quintero staging of TTTS. It has been noted that Stage-I disease is not necessarily associated with the best outcomes. For example, some recipient twins in pregnancies categorized as Quintero stage I of TTTS may have a degree of cardiac dysfunction. Another criticism is that it does not represent a chronological order of deterioration; e.g., Stage 1 can become Stage 5 without passing through Stages II, III, and IV, and it does not predict survival well after treatment [11]. Nevertheless, the Quintero staging system remains the one most widely used for the classification of twin pregnancy complicated by TTTS.
3. Magnetic Resonance Imaging
Although ultrasound (US) is the method of imaging of I and II instance in the fetal-placental evaluation, attesting both as a screening investigation and as a II level method if an anomaly is found, magnetic resonance imaging (MRI) can greatly improve the diagnostic performance of US during pregnancy, by allowing for a further visualization of the alterations affecting the fetuses, due to its capabilities and the non-use of ionizing radiation [15]. The numerous hardware and software developments to which MRI has been subjected over the years, aimed at obtaining a greater acquisition speed, limiting fetal movement, and increasingly optimizing tissue characterization, have made it a diagnostic method suitable for imaging feto-placental and all the appendages that support its growth, including the placenta, proving it to be an alternative imaging modality that could offset the limits of ultrasound [16,17]. Fetal MRI is currently performed in most centers with a 1.5 T field. An adequate signal-to-noise ratio will be obtained at this field strength. To date, non-deleterious effects at short-term and long-term on developing fetus have been proven with exposure fields equal to or less than 1.5 T. The greatest theoretical risk on the developing fetus would be during organogenesis in the first trimester. Safety issues include the possible biological effects of the static magnetic field and the risks associated with gradients, radiofrequencies, and exposure times. Similarly, the use of contrast media, gadolinium agents, are generally not recommended in pregnancy at any stage [18]. The reason for this lies in its long half-life, with repeated cycles of excretion and reabsorption by the fetus; in fact, gadolinium crosses the placenta and is excreted from the urinary tract of the fetus in the amniotic cavity and subsequently reabsorbed, thus prolonging the elimination time. Furthermore, the gadolinium-chelate molecules remain in the amniotic fluid for an undetermined amount of time, during which they can undergo dissociation, releasing free toxic ions in the amniotic fluid [19].
MRI has the greatest advantage in the second and third trimesters of pregnancy to minimize the difficulties due to small dimensions and frequent fetal movements in early management periods, particularly in the third trimester, and it is therefore optimal for the evaluation of anomalies in charge of the cerebral cortex, thanks to a better spatial resolution. Fetal MRI prior to 20 weeks is uncommon. Feto-placental imaging involves the acquisition of different sequences performed on the three planes of space, axial, coronal, and sagittal, some of which are indispensable and others are optionally added depending on the clinical question. The development of fast sequences has allowed for the reduction of motion artifacts, with the possibility of acquiring a series of images in 15/20 s and having a complete acquisition of the exam in around 20–40 min. The MRI examination is preceded by the acquisition of a localizer on the three planes; it is an extremely rapid sequence, of non-diagnostic quality, which allows verification of the position of the placenta in craniocaudal and lateral-lateral and to evaluate the correct coil positioning and identification of landmarks for subsequent acquisitions. Generally, the field of view (FOV) used varies within the 30–40 cm range, and the slice thickness is around 4–6 mm; thin slices of 2–3 mm can be obtained, but the smaller the slice thickness, the lower the signal-to-noise ratio (SNR). Overall, the choice of slice thickness always depends on the management age and therefore on the size of the fetus. The typical matrix is 256 × 256 [12]. The sequences used for feto-placental imaging are the T1 and T2 dependent sequences acquired during respiratory apnea. The T2-weighted sequences provide a greater contrast resolution between the various structures present within the field of view, between the placenta, the amniotic fluid, and the fetuses, which, being structures with different tissue compositions, show a different signal intensity in response to the radio frequency (RF) stimulus (Figure 1).
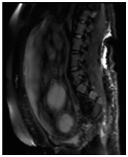
Figure 1.
Fetal magnetic resonance imaging (MRI) of Twin reversed arterial perfusion (TRAP) sequence. Half-Fourier Acquisition Single-Shot Turbo-Spin-Echo (HASTE) T2 Sag. Both the acardiac (signaled by the arrow) and pump twins are visible.
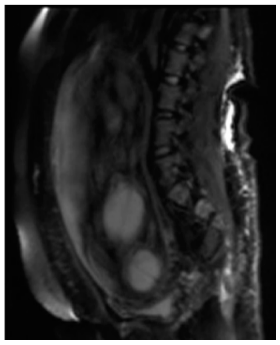
The dependent T1 sequences, sent together with fat suppression, are used for the evaluation of blood collections, index of placental hematomas, or placental detachments [20]. Among the sequences added according to the clinical question, diffusion weighted imaging (DWI) MRI with weighted sequence in diffusion provides information at a microscopic level, enabling clinicians to explore the tissue microarchitecture in a non-invasive way. The contrast of the image depends on the movement, microscopic and random, of water protons that can be altered in different pathological processes [21,22].
Diffusion Weighted Imaging
Among the sequences added according to the clinical question, diffusion weighted imaging (DWI) MRI with weighted sequence in diffusion provides functional information and qualitative and quantitative analysis at the microscopic level of the diffusion of water molecules within the placenta, allowing the clinician to explore the tissue microarchitecture in a non-invasive way (Figure 2).
Figure 2.
Diffusion Weighted Imaging (DWI).
The contrast of the image depends on the microscopic and random movement of the water protons, which can be altered in different pathological processes [23]. The diffusion sequence is generally performed last as it involves the application of powerful gradients that cause a dephasing and a subsequent rapid rephasing of the spins, causing a stimulation in the fetuses that are often agitated [24].
TTTS typically affects the health of identical twins dramatically. Prematurity and neurodevelopmental impairment affect both the donor and recipient twins; cardiovascular failure and obstruction of the right ventricular outflow tract are typical complications of recipients, possibly resulting in long-term morbidity [25]. Some of the common complications associated with Twin-Twin Transfusion Syndrome include:
- Donor twin anemia;
- Recipient twin heart failure caused by the heart pumping excessive levels of blood;
- Recipient twin brain defects, heart problems, and digestive or respiratory health issues;
- Preterm labor caused by pregnancy induction or ruptured membranes;
- Donor twin compromised fetal development;
- Recipient twin health issues caused by excessive amniotic fluid that leads to premature membrane rupture;
- Heart damage (recipient twins may develop progressive biventricular hypertrophy and diastolic dysfunction, in addition to poor right ventricular systolic function, possibly leading to functional right ventricular outflow tract obstruction and pulmonic stenosis);
- Brain damage;
- Fetal death.
Moreover, most pregnancies involving TTTS never go to full-term. Because of that, many of these premature births share the same complications and long-term effects as other premature babies, which include [26,27]:
- Stunted physical development;
- Learning disabilities;
- Compromised communication skills;
- Asthma and other respiratory problems;
- Bronchopulmonary dysplasia (BPD), a chronic lung disease caused by abnormal growth or inflammation;
- Hearing loss;
- Vision problems, including retinopathy;
- Dental issues caused by delayed tooth growth that may result in crooked teeth or tooth discoloration;
- Increased risk of developing attention deficit-hyperactivity disorder (ADHD);
- Increased potential risk of sudden infant death syndrome (SIDS);
- Increased risk of developing chronic diseases including diabetes, hypertension, or heart disease.
Because of the increased risk of preterm birth, administering steroids for fetal maturation ought to be weighed at 24 to 33 6/7 weeks, particularly in pregnancies complicated by stage III TTTS and those undergoing invasive interventions. Two treatment options are currently available for TTTS treatment: amniocentesis aimed at draining excess amniotic fluid from the recipient twin, which reduces amniotic fluid levels in order to help improve blood circulation, and laser surgery, through the insertion of a thin, fiber-optic scope through the mother′s abdominal wall, through the wall of the uterus, and into the amniotic cavity of the recipient twin [28]. The blood vessels on the placental surface are thus examined directly with the scope, and the abnormal vascular connections between the twins can be spotted and eliminated through a laser beam. Only those vessels that go from one twin to the other are coagulated by the laser beam. The normal blood vessels that help nourish each twin are left intact. Laser photocoagulation of placental anastomoses is the recognized treatment of choice for Stages II–IV TTTS [29]. Upon completion of the laser procedure, an amnioreduction (i.e., removal of excess amniotic fluid) is carried out in order to lower the risk of early labor and help make the pregnancy less demanding. Survival of at least one fetus following laser surgery is currently > 90%; the increased use of interventions such as laser coagulation of the intertwin anastomoses (laser therapy) has resulted in significantly improved survival rates for both twins (69.5%) as well [30]. Nonetheless, the neurodevelopmental outcomes for survivors are as yet not fully understood. Prior to laser therapy, at least one in five survivors of TTTS had serious adverse neurodevelopmental outcomes (usually cerebral palsy). Neurological impairment among survivors following laser surgery is currently estimated to range from 4 to 31%, although long-term follow-up data are still limited [31]. Scientific evidence exists proving the superiority of fetoscopic laser ablation over serial amnioreductions regarding survival and neurological outcome for stages II–IV TTTS [32]. However, the optimal management of stage I is still undetermined and currently debated. Survival rates after fetoscopic laser surgery have sharply risen over the past 25 years. High volume centers report up to 70% double survival and at least one survivor in >90%. Long-term neurodevelopmental impairment occurs in about 10% of children after laser surgery [33]. As mentioned before, roughly ten percent of identical twins (and other identical multiple babies) develop TTTS. Typically, at least one monozygotic twin is affected when the fetus disproportionately shares a monochorionic placenta. In many cases, restricted nutrients to one twin might result in abnormal growth or death.
Any failure or delay to diagnose TTTS or treat the syndrome properly may result in medical malpractice lawsuits being filed [34]. Research has shown a disconnect between patients’ reporting TTTS symptoms and health-care providers responding accordingly and consistently, in the patient’ perception. It would be advisable for health-care providers to inform women pregnant with a monochorionic–diamniotic pregnancy to immediately report the presence of any symptom described in the present research, which may be associated with any number of complications associated with twin pregnancy [35]. Although serial ultrasonography is the only definitive way to diagnose TTTS, substantial efforts have been made to assess the value of maternal symptomatology reporting practices. Common maternal symptoms include a rapid and marked increase in a mother’s abdominal girth, due to the recipient’s expanded amniotic fluid compartment; an overly large uterus for the period; pain, tightness, or contractions in the abdomen; abrupt body weight gain; and bloating in the hands and legs in early pregnancy. Given the high-risk nature of monochorionic–diamniotic twin pregnancies, the full range of maternal symptoms during TTTS should be explored, and never discounted, in order to assist with differential diagnosis. Doctors and other health-care providers should inform women pregnant with monochorionic–diamniotic twin pregnancies to be alert for the presence of any symptom commonly associated with TTTS and immediately report such symptoms to their doctors. In addition, health-care providers must promptly look into any concerns and physical complaints and discomfort experienced by women during a monochorionic–diamniotic twin pregnancy. Delivering proper care and carrying out therapetic measures in a timely fashion may be essential; statistics for intrauterine laser ablation of placental vessels as treatment for TTTS show that there is a 70 percent chance that both twins will survive if treatment is prompt, although that rate is affected by the gestational age at procedure and the presence of abnormal Doppler findings [36].
4. Litigation Stemming from Negligence
Doctors may be held financially liable under tort law statutes if their actions were negligent and they failed to accurately diagnose fetal conditions. Doctors, in fact, might not have carried out the proper tests, identified symptoms, or followed up on early indicators that something was wrong, including:
There was an identifiable difference between each fetus′ umbilical cord size;
There were obvious differences in amniotic fluid and amniotic sac size;
The size of each baby was significantly different.
The provable failure to either test for or properly follow up on and treat the above-mentioned signs may indicate negligence. Case law analysis revolving around five instances of relevant TTTS litigation are laid out in Table 2.
Table 2.
Relevant case law involving TTTS (Sources: Justia, Lexis, Leagle, spanning 2000–2020).
5. Discussion
As many instances of TTTS-related lawsuits show, medical malpractice may contribute to injuries sustained by a child as a result of the negligent handling or treatment of TTTS or a failure to timely diagnose the condition. Obstetricians, gynecologists, or other physicians in charge of choosing and providing the most suitable forms of treatment for pregnant women are held to a high standard of care when it comes to the health and safety of mothers and fetuses alike. When a woman is pregnant with more than one identical fetus, her treating physician should be vigilant in performing certain tests aimed at determining whether the pregnancy may be complicated by TTTS. Any failure on the part of doctors to conduct these tests may form the basis of a medical malpractice claim if the tests could have prevented TTTS-related injuries. Medical malpractice law applies when a medical professional fails to use the level of care that a reasonably prudent medical professional would have used in the same or similar circumstances, thereby causing injuries or even death to the patient. It is important to note that the onus is on the plaintiff to establish malpractice in any case, and each of the following elements must be determined by a preponderance of the evidence; however, particularly under tort law statutes, compliance with cautionary measures must be proven by doctors. Such patterns may be summed up as: Provided that the defendant medical professional owed the patient a duty of care, then the defendant doctor failed to live up to the duty of care owed to the patient, and the defendant medical professional’s breach was a direct and proximate cause of the patient’s injury; i.e., a causal relationship can be proven.
In addition to stressing the essential nature of a properly developed informed consent process and individually tailored patient assessment of risk factors, it cannot be overlooked that a court of law, particularly in tort law, will likely tend to hold professionals and facilities liable (thus concluding that malpractice stemming from negligence has occurred, rather than mere unavoidable complications) if any inconsistencies are found in the informed consent documentation and patient records. Furthermore, the role of clinical practice guidelines is twofold when it comes to medical malpractice claims. They can in fact be brought up as a defensive value; i.e., exculpatory evidence in legal proceedings by a health professional or as inculpatory evidence by plaintiff patients damaged by an alleged standard of care breach [41]. Determining whether such a breach actually occurred is as essential as it is complicated [42] in medical malpractice claims.
6. Conclusions
Overall, any failure to adhere to surgical safety protocols, clinical practice guidelines, and best practices, and to properly produce documentation reflecting such adherence, will most likely result in courts ruling against healthcare providers and facilities. To that end, it is of utmost importance to devise sets of standardized, clearly defined guidelines and best practices, both for the sake of patients and to shield healthcare professionals from adverse court decisions. There is no denying, in fact, that medical malpractice entails substantially higher direct, as well as indirect, health care costs, such as high insurance premiums, hefty expenses for compensatory damages, litigation fees, and “defensive medicine” practices. Virtually all of the TTTS-related litigation herein outlined has stemmed from a failure to put in place diagnostic measures in a timely fashion. Lastly, hospital protocols and policies are themselves key elements in keeping professionals and facilities from being subjected to malpractice allegations and lawsuits. It is in fact worth noting that, in some instances, a hospital or other employer may also be liable for a medical professional’s negligence and ensuing malpractice-related damages sustained by patients under the legal concept of “vicarious liability”. Liability also may be established when the hospital is found to have been negligent in adopting policies and procedures for the care and treatment of TTTS patients or mismanaged the process of hiring, training, screening, monitoring, or retaining a negligent professional.
Author Contributions
Conceptualization, S.Z., G.M., R.B., and E.M.; methodology, S.Z., G.M., R.B., E.M., S.C., and G.T.; formal analysis, S.Z., G.M., R.B., E.M., S.C., and G.T.; investigation, S.Z., G.M., R.B., E.M., S.C., G.T., and E.M.; resources, S.Z., G.M., R.B., and E.M.; data curation, S.Z., G.M., R.B., E.M., S.C., and G.T.; writing–original draft preparation, S.Z., G.M., R.B., E.M., S.C., and G.T.; writing–review and editing, S.Z., G.M., R.B., E.M., S.C., G.T., and E.M.; project administration, S.Z., G.M., R.B., E.M., S.C., and G.T. All authors have read and agreed to the published version of the manuscript.
Funding
This research received no external funding.
Conflicts of Interest
The authors declare no conflict of interest.
References
- De Paepe, M.E.; Luks, F.I. What-and Why-the Pathologist Should Know about Twin-to-Twin Transfusion Syndrome. Pediatr. Dev. Pathol. 2013, 16, 237–251. [Google Scholar] [CrossRef]
- Cincotta, R.B.; Gray, P.H.; Phythian, G.; Rogers, Y.M.; Chan, F.Y. Long Term Outcome of Twin-Twin Transfusion Syndrome. Arch. Dis. Child. Fetal Neonatal Ed. 2000, 83, F171–F176. [Google Scholar] [CrossRef]
- Benoit, R.M.; Baschat, A.A. Twin-to-Twin Transfusion Syndrome: Prenatal Diagnosis and Treatment. Am. J. Perinatol. 2014, 31, 583–594. [Google Scholar] [CrossRef] [PubMed]
- Peeters, S.H.P.; Middeldorp, J.M.; Lopriore, E.; Klumper, F.J.; Oepkes, D. Monochorionic Triplets Complicated by Fetofetal Transfusion Syndrome: A Case Series and Review of the Literature. Fetal Diagn. Ther. 2012, 32, 239–245. [Google Scholar] [CrossRef]
- Chalouhi, G.E.; Al Ibrahim, A.; Essaoui, M.; Ville, Y. Twin-to-twin transfusion syndrome. In Fetal Therapy: Scientific Basis and Critical Appraisal of Clinical Benefits; Kilby, M.D., Johnson, A., Oepkes, D., Eds.; Cambridge University Press: Cambridge, UK, 2012; pp. 173–183. [Google Scholar]
- Vergallo, G.M.; Zaami, S.; Bruti, V.; Signore, F. How the legislation in medically assisted procreation has evolved in Italy. Med. Law 2017, 36, 5–28. [Google Scholar]
- Sun, L.; Zou, G.; Wei, X.; Chen, Y.; Zhang, J.; Okun, N.; Duan, T. Clinical outcomes after assisted reproductive technology in twin pregnancies: Chorionicity-based comparison. Sci. Rep. 2016, 6, 26869. [Google Scholar] [CrossRef]
- Melis, G.B.; Paoletti, A.M.; Atzei, I. Gravidanza Multipla. [aut. libro] Dewhurst. [a cura di] Agrò, F. et al. Trattato di Ostetricia e Ginecologia. Italian Edition of “Dewhurst’s Textbook of Obstetrics & Gynaecology” edited by D. Keith Edmonds. E.M.S.I. Edizioni Mediche Scientifiche Internazionali—Roma. 2012, Volume 25, pp. 337–350. Available online: https://www.sdb.unipd.it/sites/sdb.unipd.it/files/Twin%20Pregnancy%20DEWHURST%202012.pdf (accessed on 22 November 2020).
- Johnson, A. Diagnosis and Management of Twin-Twin Transfusion Syndrome. Clin. Obstet. Gynecol. 2015, 58, 611–631. [Google Scholar] [CrossRef] [PubMed]
- Lewi, L.; Jani, J.; Blickstein, I.; Huber, A.; Gucciardo, L.; Van Mieghem, T.; Doné, E.; Boes, A.-S.; Hecher, K.; Gratacós, E.; et al. The Outcome of Monochorionic Diamniotic Twin Gestations in the Era of Invasive Fetal Therapy: A Prospective Cohort Study. Am. J. Obstet. Gynecol. 2008, 199, 514.e1. [Google Scholar] [CrossRef] [PubMed]
- Quintero, R.A.; Morales, W.J.; Allen, M.H.; Bornick, P.W.; Johnson, P.K.; Kruger, M. Staging of Twin-Twin Transfusion Syndrome. J. Perinatol. 1999, 19, 550–555. [Google Scholar] [CrossRef]
- Merhar, S.L.; Kline-Fath, B.M.; Meinzen-Derr, J.; Schibler, K.R.; Leach, J.L. Fetal and Postnatal Brain MRI in Premature Infants with Twin-Twin Transfusion Syndrome. J. Perinatol. 2013, 33, 112–118. [Google Scholar] [CrossRef]
- Murata, M.; Ishii, K.; Taguchi, T.; Mabuchi, A.; Kawaguchi, H.; Yamamoto, R.; Hayashi, S.; Mitsuda, N. The Prevalence and Clinical Features of Twin-Twin Transfusion Syndrome with Onset during the Third Trimester. J. Perinat. Med. 2014, 42, 93–98. [Google Scholar] [CrossRef]
- Khalil, A.; Rodgers, M.; Baschat, A.; Bhide, A.; Gratacos, E.; Hecher, K.; Kilby, M.D.; Lewi, L.; Nicolaides, K.H.; Oepkes, D.; et al. ISUOG Practice Guidelines: Role of Ultrasound in Twin Pregnancy. Ultrasound Obstet. Gynecol. 2016, 47, 247–263. [Google Scholar] [CrossRef]
- Weisz, B.; Hoffmann, C.; Ben-Baruch, S.; Yinon, Y.; Gindes, L.; Katorza, E.; Shrim, A.; Bar Yosef, O.; Schiff, E.; Lipitz, S. Early Detection by Diffusion-Weighted Sequence Magnetic Resonance Imaging of Severe Brain Lesions after Fetoscopic Laser Coagulation for Twin-Twin Transfusion Syndrome. Ultrasound Obstet. Gynecol. 2014, 44, 44–49. [Google Scholar] [CrossRef]
- Sfakianaki, A.K.; Han, C.S. Ultrasound in the Evaluation of Twin Pregnancy. Minerva Ginecol. 2009, 61, 127–139. [Google Scholar] [PubMed]
- Malvasi, A.; Marinelli, E.; Ghi, T.; Zaami, S. ISUOG Practice Guidelines for Intrapartum Ultrasound: Application in Obstetric Practice and Medicolegal Issues. Ultrasound Obstet. Gynecol. 2019, 54, 421. [Google Scholar] [CrossRef]
- Reddy, U.M.; Filly, R.A.; Copel, J.A. Pregnancy and Perinatology Branch, Eunice Kennedy Shriver National Institute of Child Health and Human Development, Department of Health and Human Services, NIH Prenatal Imaging: Ultrasonography and Magnetic Resonance Imaging. Obstet. Gynecol. 2008, 112, 145–157. [Google Scholar] [CrossRef] [PubMed]
- Fonda, C.; Manganaro, L.; Triulzi, F. RM Fetale: Anatomia, Patologia e Pratica Clinica; Springer: Berlin/Heidelberg, Germany, 2013. [Google Scholar]
- Stirnemann, J.; Chalouhi, G.; Essaoui, M.; Bahi-Buisson, N.; Sonigo, P.; Millischer, A.-E.; Lapillonne, A.; Guigue, V.; Salomon, L.J.; Ville, Y. Fetal Brain Imaging Following Laser Surgery in Twin-to-Twin Surgery. BJOG Int. J. Obstet. Gynaecol. 2018, 125, 1186–1191. [Google Scholar] [CrossRef] [PubMed]
- Huisman, T.A.G.M.; Lewi, L.; Zimmermann, R.; Willi, U.V.; Deprest, J. Magnetic Resonance Imaging of the Feto-Placentar Unit after Fetoscopic Laser Coagulation for Twin-to-Twin Transfusion Syndrome. Acta Radiol. 2005, 46, 328–330. [Google Scholar] [CrossRef] [PubMed]
- Hu, L.S.; Caire, J.; Twickler, D.M. MR Findings of Complicated Multifetal Gestations. Pediatr Radiol 2006, 36, 76–81. [Google Scholar] [CrossRef]
- Colagrande, S.; Cova, M.A.; De Cobelli, F.; Gallucci, M.; Laghi, A.; Ligabue, G.; Manfredi, R.; Mucelli, R.P.; Ragozzino, A.; Spina, V.; et al. Manuale di RM per TSRM; Vanzulli, A., Torricelli, P., Raimondi, G., Eds.; Poletto Editore: Milan, Italy, 2016. [Google Scholar]
- Pratt, R.; Deprest, J.; Vercauteren, T.; Ourselin, S.; David, A.L. Computer-Assisted Surgical Planning and Intraoperative Guidance in Fetal Surgery: A Systematic Review. Prenat. Diagn. 2015, 35, 1159–1166. [Google Scholar] [CrossRef]
- Hecher, K.; Gardiner, H.M.; Diemert, A.; Bartmann, P. Long-Term Outcomes for Monochorionic Twins after Laser Therapy in Twin-to-Twin Transfusion Syndrome. Lancet Child Adolesc. Health 2018, 2, 525–535. [Google Scholar] [CrossRef]
- Argoti, P.S.; Papanna, R.; Bebbington, M.W.; Kahlek, N.; Baschat, A.; Johnson, A.; Moise, K.J. Outcome of Fetoscopic Laser Ablation for Twin-to-Twin Transfusion Syndrome in Dichorionic-Triamniotic Triplets Compared with Monochorionic-Diamniotic Twins. Ultrasound Obstet. Gynecol. 2014, 44, 545–549. [Google Scholar] [CrossRef][Green Version]
- Van Mieghem, T.; Lewi, L.; Gucciardo, L.; Dekoninck, P.; Van Schoubroeck, D.; Devlieger, R.; Deprest, J. The Fetal Heart in Twin-to-Twin Transfusion Syndrome. Int. J. Pediatr. 2010, 2010, 379792. [Google Scholar] [CrossRef]
- Glennon, C.L.; Shemer, S.A.; Palma-Dias, R.; Umstad, M.P. The History of Treatment of Twin-to-Twin Transfusion Syndrome. Twin Res. Hum. Genet. 2016, 19, 168–174. [Google Scholar] [CrossRef] [PubMed]
- Society for Maternal-Fetal Medicine; Simpson, L.L. Twin-Twin Transfusion Syndrome. Am. J. Obstet. Gynecol. 2013, 208, 3–18. [Google Scholar] [CrossRef]
- Diehl, W.; Diemert, A.; Glosemeyer, P.; Wegscheider, K.; Hecher, K. OP06. 02: Development of survival rates after intrauterine laser therapy for severe mid-trimester twin–twin transfusion syndrome: Experience with 600 cases. Ultrasound Obst. Gyn. 2010, 36, 67. [Google Scholar] [CrossRef]
- Bolch, C.; Fahey, M.; Reddihough, D.; Williams, K.; Reid, S.; Guzys, A.; Cole, S.; Edwards, A.; Fung, A.; Hodges, R.; et al. Twin-to-Twin Transfusion Syndrome Neurodevelopmental Follow-up Study (Neurodevelopmental Outcomes for Children Whose Twin-to-Twin Transfusion Syndrome Was Treated with Placental Laser Photocoagulation). BMC Pediatr. 2018, 18, 256. [Google Scholar] [CrossRef] [PubMed]
- WAPM Consensus Group on Twin-to-Twin Transfusion; Baschat, A.; Chmait, R.H.; Deprest, J.; Gratacós, E.; Hecher, K.; Kontopoulos, E.; Quintero, R.; Skupski, D.W.; Valsky, D.V.; et al. Twin-to-Twin Transfusion Syndrome (TTTS). J. Perinat. Med. 2011, 39, 107–112. [Google Scholar] [CrossRef]
- Bamberg, C.; Hecher, K. Update on Twin-to-Twin Transfusion Syndrome. Best Pract. Res. Clin. Obstet. Gynaecol. 2019, 58, 55–65. [Google Scholar] [CrossRef] [PubMed]
- Busardò, F.P.; Frati, P.; Santurro, A.; Zaami, S.; Fineschi, V. Errors and Malpractice Lawsuits in Radiology: What the Radiologist Needs to Know. Radiol. Med. 2015, 120, 779–784. [Google Scholar] [CrossRef]
- Nicholas, L.; Fischbein, R.; Falletta, L.; Baughman, K. Twin-Twin Transfusion Syndrome and Maternal Symptomatology-An Exploratory Analysis of Patient Experiences When Reporting Complaints. J. Patient Exp. 2018, 5, 134–139. [Google Scholar] [CrossRef]
- Kweon, S.Y.; Lee, S.M.; Cho, K.; Park, C.-W.; Park, J.S.; Jun, J.K. Fetal Survival Immediate after Fetoscopic Laser Ablation in Twin to Twin Transfusion Syndrome. J. Korean Med. Sci. 2019, 34, e20. [Google Scholar] [CrossRef] [PubMed]
- Fulton County (Ga) State Court. Fetal death follows twin-to-twin transfusion. OBG Manag. 2003, 15, 64–66. [Google Scholar]
- Jury Verdict Review Publications. Medical Malpractice—Failure to Diagnose and Treat Twin-to-Twin Transfusion Syndrome in Identical Twins—Death of Weaker Twin—Permanent Neurological Injuries to Surviving Twin. Available online: https://www.jvra.com/verdict_trak/article.aspx?id=42331 (accessed on 10 September 2019).
- Miller and Zois LLC. Twin Transfusion Syndrome (TTTS) Malpractice. Available online: https://www.millerandzois.com/twin-transfusion-syndrome.html (accessed on 20 October 2019).
- Hodgekiss, A. Mother Pregnant with Twins Lost both Her Babies after Midwife Misdiagnosed Agonising Pains as a ‘Pulled Muscle’; Associated Newspapers Ltd.: London, UK, 9 November 2015. [Google Scholar]
- Mackey, T.K.; Liang, B.A. The Role of Practice Guidelines in Medical Malpractice Litigation. Virtual Mentor. 2011, 13, 36–41. [Google Scholar] [CrossRef] [PubMed]
- Vergallo, G.M.; Zaami, S. Guidelines and Best Practices: Remarks on the Gelli-Bianco Law. Clin. Ther. 2018, 169, e82–e85. [Google Scholar] [CrossRef] [PubMed]
Publisher’s Note: MDPI stays neutral with regard to jurisdictional claims in published maps and institutional affiliations. |
© 2021 by the authors. Licensee MDPI, Basel, Switzerland. This article is an open access article distributed under the terms and conditions of the Creative Commons Attribution (CC BY) license (http://creativecommons.org/licenses/by/4.0/).

