Update on Endometrial Stromal Tumours of the Uterus
Abstract
1. Introduction
2. Endometrial Stromal Nodule (ESN) and Low-Grade Endometrial Stromal Sarcoma (LG-ESS)
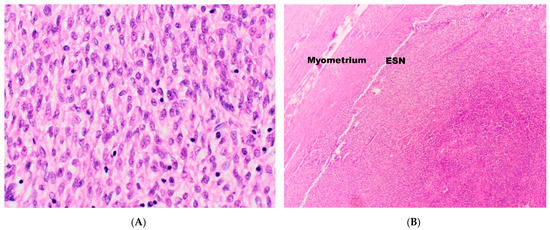
2.1. ESN Morphology
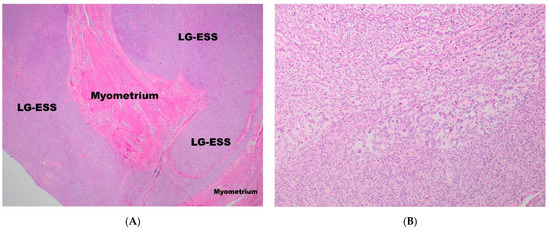
2.2. LG-ESS Morphology
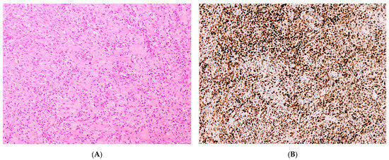
2.3. Immunohistochemistry
2.4. Molecular Biology
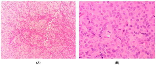
3. High-Grade Endometrial Stromal Sarcoma (HG-ESS)
3.1. YWHAE-NUTM2
3.1.1. Morphology
3.1.2. Immunohistochemistry
3.1.3. Molecular Biology
3.2. ZC3H7B-BCOR
3.2.1. Morphology
3.2.2. Immunohistochemistry
3.2.3. Molecular Biology
3.3. BCOR Internal Tandem Duplication (ITD)
3.3.1. Immunohistochemistry
3.3.2. Molecular Biology
4. High-Grade Sarcomas with Uncertain Endometrial Stromal Origin
NTRK-Uterine Tumours
Morphology, Immunohistochemistry and Molecular Biology
- -
- Cervical NTRK fusion-positive (TPM3-NTRK1 and EML4-NTRK3) sarcomas with diffuse immunostaining with Trk;
- -
- COL1A1-PDGFB fusion-positive sarcomas with diffuse positive staining with CD34;
- -
- S100 immunoreactive sarcomas with no genetic rearrangement.
5. High-Grade Sarcoma Not Otherwise Specified (NOS)
6. Undifferentiated Uterine Sarcomas (UUS)
UUS
Morphology, Immunohistochemistry and Molecular Biology
7. Conclusions
Author Contributions
Funding
Acknowledgments
Conflicts of Interest
Abbreviations
| AE1/3 | Pancytokeratin |
| AR | Androgen receptor |
| CC.Y. | Chit Cheng Yeoh |
| CK | Creatine kinase |
| CRS | Endometrial Stromal Sarcoma |
| DFS | Dermatofibrosarcoma protuberans |
| EMA | Epithelial membrane antigen |
| ER | Oestrogen receptor |
| ERα | Oestrogen receptor alpha |
| ERβ | Oestrogen receptor beta |
| ESN | Endometrial Stromal Nodule |
| EST | Endometrial stromal tumours |
| EST-LI | EST with limited infiltration |
| FIGO | International Federation of Gynecology and Obstetrics |
| FOXL2 | Forkhead box protein L2 |
| GnRH-R | Gonadotropin-releasing hormone receptor |
| HG-ESS | High-Grade Endometrial Stromal Sarcoma |
| HPF | High-power field |
| I.A. | Iolia Akaev |
| IFITM1 | Interferon-induced transmembrane protein-1 |
| INI-1 | SMARCB1, hSNF5, BAF47 |
| ITD | Internal Tandem Duplication |
| LEF1 | Lymphoid Enhancer-binding Factor 1 |
| LG-ESS | Low-Grade Endometrial Stromal Sarcoma |
| LVIS | Lymphovascular invasion |
| MDM2 | E3 ubiquitin-protein ligase Mdm2 |
| myo-D1 | Myoblast determination protein 1 |
| NGS | Next Generation Sequencing |
| NOS | Not Otherwise Specified |
| NTRK | Neurotrophic receptor tyrosine kinase |
| PECOMA | Perivascular epithelioid cell tumour |
| PR | Progesterone receptor |
| RNA | Ribonucleic acid |
| S.R. | Siavash Rahimi |
| SMA | Smooth muscle actin |
| SOX-10 | Transcription factor SOX-10 |
| STAT6 | Signal transducer and activator of transcription 6 |
| TLE1 | Transducin-like enhancer protein 1 |
| UTROSCT | Uterine tumours resembling ovarian sex-cord tumour |
| UUS | Undifferentiated Uterine Sarcoma |
| WHO | World Health Organisation |
| WT1 | Wilms tumour 1 |
References
- Silverberg, S.G.; Kurman, R.J. (Eds.) Tumors of the Uterine Corpus and Gestational Trophoblastic Disease. In Atlas of Tumor Pathology; 3rd Series, Fascicle 3; Armed Forces Institute of Pathology: Washington, DC, USA, 1992; pp. 91–110. [Google Scholar]
- Felix, A.S.; Cook, L.S.; Gaudet, M.M.; Rohan, T.E.; Schouten, L.J.; Setiawan, V.W.; Wise, L.A.; Anderson, K.E.; Bernstein, L.; De Vivo, I.; et al. The etiology of uterine sarcomas: A pooled analysis of the epidemiology of endometrial cancer consortium. Br. J. Cancer 2013, 19, 727–734. [Google Scholar] [CrossRef]
- Norris, H.J.; Taylor, H.B. Mesenchymal tumors of the uterus. I. A clinical and pathological study of 53 endometrial stromal tumors. Cancer 1966, 19, 755–766. [Google Scholar] [CrossRef]
- Evans, H.L. Endometrial stromal sarcoma and poorly differentiated endometrial sarcoma. Cancer 1982, 50, 2170–2182. [Google Scholar] [CrossRef]
- Lee, C.H.; Nucci, M.R. Endometrial stromal sarcoma--the new genetic paradigm. Histopathology 2015, 67, 1–19. [Google Scholar] [CrossRef]
- Ali, R.H.; Rouzbahman, M. Endometrial stromal tumours revisited: An update based on the 2014 WHO classification. J. Clin. Pathol. 2015, 68, 325–332. [Google Scholar] [CrossRef]
- Female Genital Tumours: WHO Classification of Tumours, 5th ed.; IARC Publications: Lyon, France, 2020.
- Masand, R.P.; Euscher, E.D.; Deavers, M.T.; Malpica, A. Endometrioid stromal sarcoma: A clinicopathologic study of 63 cases. Am. J. Surg. Pathol. 2013, 37, 1635–1647. [Google Scholar] [CrossRef]
- Chang, K.L.; Crabtree, G.S.; Lim-Tan, S.K.; Kempson, R.L.; Hendrickson, M.R. Primary extrauterine endometrial stromal neoplasms: A clinicopathologic study of 20 cases and a review of the literature. Int. J. Gynecol. Pathol. 1993, 12, 282–296. [Google Scholar] [CrossRef]
- Chan, J.K.; Kawar, N.M.; Shin, J.Y.; Osann, K.; Chen, L.-M.; Powell, C.B.; Kapp, D.S. Endometrial stromal sarcoma: A population-based analysis. Br. J. Cancer 2008, 99, 1210–1215. [Google Scholar] [CrossRef]
- Beer, T.W.; Buchanan, R.; Buckley, C.H. Uterine stromal sarcoma following tamoxifen treatment. J. Clin. Pathol. 1995, 48, 596. [Google Scholar] [CrossRef]
- Press, M.F.; Scully, R.E. Endometrial “sarcomas” complicating ovarian thecoma, polycystic ovarian disease and estrogen therapy. Gynecol. Oncol. 1985, 21, 135–154. [Google Scholar] [CrossRef]
- Meredith, R.F.; Eisert, D.R.; Kaka, Z.; Hodgson, S.E.; Johnston, G.A., Jr.; Boutselis, J.G. An excess of uterine sarcomas after pelvic irradiation. Cancer 1986, 58, 2003–2007. [Google Scholar] [CrossRef]
- Dos Santos, L.A.D.; Garg, K.; Diaz, J.P.; Soslow, R.A.; Hensley, M.L.; Alektiar, K.M.; Barakat, R.R.; Leitao, M.M., Jr. Incidence of lymph node and adnexal metastasis in endometrial stromal sarcoma. Gynecol. Oncol. 2011, 121, 319–322. [Google Scholar] [CrossRef] [PubMed]
- Kurman, R.J.; Carcangiu, M.L.; Herrington, C.S.; Young, R.H. (Eds.) WHO Classification of Female Reproductive Organs, 4th ed.; IARC: Lyon, France, 2014. [Google Scholar]
- Tavassoli, F.A.; Norris, H.J. Mesenchymal tumours of the uterus. VII. A clinicopathological study of 60 endometrial stromal nodules. Histopathology 1981, 5, 1–10. [Google Scholar] [CrossRef]
- Dionigi, A.; Oliva, E.; Clement, P.B.; Young, R.H. Endometrial stromal nodules and endometrial stromal tumors with limited infiltration: A clinic pathologic study of 50 cases. Am. J. Surg. Pathol. 2002, 6, 567–581. [Google Scholar] [CrossRef] [PubMed]
- Su, T.-F.; Chao, T.-K.; Lee, H.-S.; Perng, C.-L.; Nieh, S. Malignant potential of an Endometrial stromal tumor with limited infiltration: A case report. Int. J. Surg. Pathol. 2014, 22, 559–563. [Google Scholar] [CrossRef]
- Moore, M.; McCluggage, W.G. Uterine endometrial stromal tumors with limited infiltration: First report of a case series indicating potential for malignant behavior. Int. J. Gynecol. Pathol. 2020, 39, 221–226. [Google Scholar] [CrossRef]
- Chang, K.L.; Crabtree, G.S.; Lim-Tan, S.K.; Kempson, R.L.; Hendrickson, M.R. Primary uterine endometrial stromal neoplasms. A clinicopathologic study of 117 cases. Am. J. Surg. Pathol. 1990, 14, 415–438. [Google Scholar] [CrossRef]
- Oliva, E.; Clement, P.B.; Young, R.H.; Scully, R.E. Mixed endometrial stromal and smooth muscle tumors of the uterus: A clinic-pathologic study of 15 cases. Am. J. Surg. Pathol. 1998, 22, 997–1005. [Google Scholar] [CrossRef]
- Franquemont, D.W.; Frierson, H.F.; Mills, S.E. An immunohistochemical study of normal endometrial stroma and endometrial stromal neoplasms. Evidence for smooth muscle differentiation. Am. J. Surg. Pathol. 1991, 15, 861–870. [Google Scholar] [CrossRef]
- Khalifa, M.A.; Hansen, C.H.; Moore, J.L.; Rusnock, E.J.; Lage, J.M. Endometrial stromal sarcoma with focal smooth muscle differentiation: Recurrence after 17years: A follow-up report with discussion of the nomenclature. Int. J. Gynecol. Pathol. 1996, 15, 171–176. [Google Scholar] [CrossRef]
- Lillemoe, T.J.; Perrone, T.; Norris, H.J.; Dehner, L.P. Myogenous phenotype of epithelial-like areas in endometrial stromal sarcomas. Arch. Pathol. Lab. Med. 1991, 115, 215–219. [Google Scholar] [PubMed]
- Yilmaz, A.; Rush, D.S.; Soslow, R.A. Endometrial stromal sarcomas with unusual histologic features: A report of 24 primary and metastatic tumors emphasizing fibroblastic and smooth muscle differentiation. Am. J. Surg. Pathol. 2002, 26, 1142–1150. [Google Scholar] [CrossRef] [PubMed]
- Baker, P.M.; Moch, H.; Oliva, E. Unusual morphologic features of endometrial stromal tumors. Am. J. Surg. Pathol. 2005, 29, 1394–1398. [Google Scholar] [CrossRef]
- Fadare, O.; McCalip, B.; Mariappan, M.R.; Hileeto, D.; Parkash, V. An endometrial stromal tumor with osteoclast-like giant cells:expanding the morphological spectrum. Ann. Diagn. Pathol. 2005, 9, 160–165. [Google Scholar] [CrossRef] [PubMed]
- Kim, Y.H.; Cho, H.; Kyeom-Kim, H.; Kim, I. Uterine endometrial stromal sarcoma with rhabdoid and smooth muscle differentiation. J. Korean Med. Sci. 1996, 11, 88–93. [Google Scholar] [CrossRef]
- Lloreta, J.; Prat, J. Endometrial stromal nodule with smooth and skeletal muscle components simulating stromal sarcoma. Int. J. Gynecol. Pathol. 1992, 11, 293–298. [Google Scholar] [CrossRef] [PubMed]
- McCluggage, W.G.; Cromie, A.J.; Bryson, C.; Traub, A.L. Uterine endometrial stromal sarcoma with smooth muscle and glandular differentiation. J. Clin. Pathol. 2001, 54, 481–483. [Google Scholar] [CrossRef]
- Oliva, E.; de Leval, L.; Soslow, R.A.; Herens, C. High frequency of JAZF1-JJAZ1 gene fusion in endometrial stromal tumors with smooth muscle differentiation by interphase fish detection. Am. J. Surg. Pathol. 2007, 31, 1277–1284. [Google Scholar] [CrossRef]
- Stewart, C.J.R.; Leung, Y.C.; Murch, A.; Peverall, J. Evaluation of fluorescence in-situ hybridization in monomorphic endometrial stromal neoplasms and their histological mimics: A review of 49 cases. Histopathology 2014, 65, 473–482. [Google Scholar] [CrossRef]
- Tanimoto, A.; Sasaguri, T.; Arima, N.; Hashimoto, H.; Hamada, T.; Sasaguri, Y. Endometrial stromal sarcoma of the uterus with rhabdoid features. Pathol. Int. 1996, 46, 231–237. [Google Scholar] [CrossRef] [PubMed]
- Lifschitz-Mercer, B.; Czernobilsky, B.; Dgani, R.; Dallenbach-Hellweg, G.; Moll, R.; Franke, W.W. Immunocytochemical study of an endometrial diffuse clear cell stromal sarcoma and other Endometrial stromal sarcomas. Cancer 1987, 59, 1494–1499. [Google Scholar] [CrossRef]
- Oliva, E.; Young, R.H.; Clement, P.B.; Scully, R.E. Myxoid and fibrous endometrial stromal tumors of the uterus: A report of 10 cases. Int. J. Gynecol. Pathol. 1999, 18, 310–319. [Google Scholar] [CrossRef]
- Kibar, Y.; Aydin, A.; Deniz, H.; Balat, O.; Cebesoy, B.; Al-Nafussi, A. A rare case of low-grade endometrial stromal sarcoma with myxoid differentiation and atypical bizarre cells. Eur. J. Gynaecol. Oncol. 2008, 29, 397–398. [Google Scholar] [PubMed]
- Kim, H.-S.; Yoon, G.; Jung, Y.Y.; Lee, Y.-Y.; Song, S.Y. Fibromyxoid variant of endometrial stromal sarcoma with atypical bizarre nuclei. Int. J. Clin. Exp. Pathol. 2015, 8, 3316–3321. [Google Scholar] [PubMed]
- Schoolmeester, J.K.; Sciallis, A.P.; Greipp, P.T.; Hodge, J.C.; Dal Cin, P.; Keeney, G.L.; Nucci, M.R. Analysis of MDM2 amplification in 43 Endometrial stromal tumors. Int. J. Gynecol. Pathol. 2015, 34, 576–583. [Google Scholar] [CrossRef] [PubMed]
- Oliva, E.; Clement, P.B.; Young, R.H. Epithelioid endometrial and endometrioid stromal tumors: A report of four cases emphasizing their distinction from epithelioid smooth muscle tumors and other oxyphilic uterine and extrauterine tumors. Int. J. Gynecol. Pathol. 2002, 21, 48–55. [Google Scholar] [CrossRef] [PubMed]
- Clement, P.B.; Scully, R.E. Endometrial stromal sarcomas of the uterus with extensive endometrioid glandular differentiation: A report of three cases that caused problems in differential diagnosis. Int. J. Gynecol. Pathol. 1992, 11, 163–173. [Google Scholar] [CrossRef]
- Levine, P.H.; Abou-Nassar, S.; Mittal, K. Extrauterine low-grade endometrial stromal sarcoma with florid endometrioid glandular differentiation. Int. J. Gynecol. Pathol. 2001, 20, 395–398. [Google Scholar] [CrossRef]
- McCluggage, W.G.; Ganesan, R.; Herrington, C.S. Endometrial stromal sarcomas with extensive endometrioid glandular differentiation: Report of a series with emphasis on the potential for misdiagnosis and discussion of the differential diagnosis. Histopathology 2009, 54, 365–373. [Google Scholar] [CrossRef]
- McCluggage, W.G.; Young, R.H. Endometrial stromal sarcomas with true papillae and pseudopapillae. Int. J. Gynecol. Pathol. 2008, 27, 555–561. [Google Scholar] [CrossRef]
- Clement, P.B.; Scully, R.E. Uterine tumors resembling ovarian sex-cord tumors. A clinicopathologic analysis of fourteen cases. Am. J. Clin. Pathol. 1976, 66, 512–525. [Google Scholar] [CrossRef] [PubMed]
- McCluggage, W.G.; Date, A.; Bharucha, H.; Toner, P.G. Endometrial stromal sarcoma with sex cord-like areas and focal rhabdoid differentiation. Histopathology 1996, 29, 369–374. [Google Scholar] [CrossRef]
- Fukunaga, M.; Miyazawa, Y.; Ushigome, S. Endometrial low-grade stromal sarcoma with ovarian sex cord-like differentiation: Report of two cases with an immunohistochemical and flow cytometric study. Pathol. Int. 1997, 47, 412–415. [Google Scholar] [CrossRef] [PubMed]
- Richmond, A.; Rohrer, A.; Davidson, S.A.; Post, M.D. Low-grade Endometrial stromal sarcoma with extensive sex cord differentiation, heterologous elements, and complex atypical hyperplasia: Case report and review of the literature. Gynecol. Oncol. Rep. 2017, 19, 34–38. [Google Scholar] [CrossRef] [PubMed]
- Fekete, P.S.; Vellios, F. The clinical and histologic spectrum of endometrial stromal neoplasms: A report of 41 cases. Int. J. Gynecol. Pathol. 1984, 3, 198–212. [Google Scholar] [CrossRef] [PubMed]
- Irving, J.A.; Carinelli, S.; Prat, J. Uterine tumors resembling ovarian sex cord tumors are polyphenotypic neoplasms with true sex cord differentiation. Mod. Pathol. 2006, 19, 17–24. [Google Scholar] [CrossRef] [PubMed]
- Baker, R.J.; Hildebrandt, R.H.; Rouse, R.V.; Hendrickson, M.R.; Longacre, T.A. Inhibin and CD99 (MIC2) expression in uterine stromal neoplasms with sex-cord-like elements. Hum. Pathol. 1999, 30, 671–679. [Google Scholar] [CrossRef]
- Sumathi, V.P.; Al-Hussaini, M.; Connolly, L.E.; Fullerton, L.; McCluggage, W.G. Endometrial stromal neoplasms are immunoreactive with WT-1 antibody. Int. J. Gynecol. Pathol. 2004, 23, 241–247. [Google Scholar] [CrossRef] [PubMed]
- Rahimi, S.; Akaev, I.; Marani, C.; Chopra, M.; Yeoh, C.C. Immunohistochemical expression of different subtypes of cytokeratins by endometrial stromal sarcoma. Appl. Immunohistochem. Mol. Morphol. 2019, 27, 466–470. [Google Scholar] [CrossRef]
- Nomura, Y.; Tamura, D.; Horie, M.; Sato, M.; Sasaki, S.; Yamamoto, Y.; Kudo-Asabe, Y.; Umakoshi, M.; Koyama, K.; Makino, K.; et al. Detection of MEAF6-PHF1 translocation in an endometrial stromal nodule. Genes Chromosomes Cancer 2020, 59, 702–708. [Google Scholar] [CrossRef]
- Alan, S.; Yilmaz, E.; Tecellioglu, F.; Akatli, A.N.; Inci Coskun, E.; Gokce, H. Multifocal low-grade endometrial stromal sarcoma arising from pre-existing endometriosis in a hysterectomised patient: A case report. J. Obstet. Gynaecol. 2019, 39, 1177–1180. [Google Scholar] [CrossRef]
- Xu, Y.; Liang, Z.X.; Guo, J.T.; Su, X.; Lu, Y.L.; Guan, X.Z. Cystic and solitary nodular pulmonary metastases in a patient with low-grade endometrial stromal sarcoma: A case report and literature review. Oncol. Lett. 2019, 18, 1133–1144. [Google Scholar] [CrossRef] [PubMed]
- Fujiishi, K.; Nagata, S.; Kano, R.; Kubo, C.; Shirayanagi, M.; Ozaki, M.; Yamamoto, T.; Nakanishi, K.; Kamiura, S.; Nakatsuka, S.I. JAZF1-SUZ12 endometrial stromal sarcoma forming subserosal masses with extraordinary uptake of fluorodeoxyglucose on positron emission tomography: A case report. Diagn. Pathol. 2019, 14. [Google Scholar] [CrossRef]
- Subbaraya, S.; Murthy, S.S.; Devi, G.S. Immunohistochemical and Molecular Characterization of Endometrial Stromal Sarcomas. Clin. Pathol. 2020, 13. [Google Scholar] [CrossRef]
- Fels Elliott, D.R.; Pekmezci, M.; Geiersbach, K.B.; Krings, G.; Rabban, J.T.; Zaloudek, C.; Chen, Y.Y. Low-grade endometrial stromal sarcoma metastatic to the breast: Immunohistochemical and molecular characterization of an unusual mimic of mammary myofibroblastoma. Hum. Pathol. 2020, 22. [Google Scholar] [CrossRef]
- Abeler, V.M.; Nenodovic, M. Diagnostic immunohistochemistry in uterine sarcomas: A study of 397 cases. Int. J. Gynecol. Pathol. 2011, 30, 236–243. [Google Scholar] [CrossRef]
- McCluggage, W.G.; Sumathi, V.P.; Maxwell, P. CD10 is a sensitive and diagnostically useful immunohistochemical marker of normal endometrial stroma and of endometrial stromal neoplasms. Histopathology 2001, 39, 273–278. [Google Scholar] [CrossRef]
- Tang, Y.; Chen, Y.; Tian, L.; Chen, J.; Yang, P.; Zhang, D.; Cui, Q.; Zhao, L.; Li, L. Low-Grade Vaginal Endometrial Stromal Sarcoma. Int. J. Gynecol. Pathol. 2019, 1. [Google Scholar] [CrossRef] [PubMed]
- Bhargava, R.; Shia, J.; Hummer, A.J.; Thaler, H.T.; Tornos, C.; Soslow, R.A. Distinction of endometrial stromal sarcomas from hemangiopericytomatous’ tumors using a panel of immunohistochemical stains. Mod. Pathol. 2005, 18, 40–47. [Google Scholar] [CrossRef] [PubMed]
- Cotzia, P.; Benayed, R.; Mullaney, K.; Oliva, E.; Felix, A.; Ferreira, J.; Soslow, R.A.; Antonescu, C.R.; Ladanyi, M.; Chiang, S. Undifferentiated Uterine Sarcomas Represent Under-Recognized High-grade Endometrial Stromal Sarcomas. Am. J. Surg. Pathol. 2019, 43, 662–669. [Google Scholar] [CrossRef] [PubMed]
- Park, J.Y.; Baek, M.H.; Park, Y.; Kim, Y.T.; Nam, J.H. Investigation of hormone receptor expression and its prognostic value in endometrial stromal sarcoma. Virchows Arch. 2018, 473, 61–69. [Google Scholar] [CrossRef]
- Baniak, N.; Adams, S.; Chibbar, R.; Lee, C.H.; Kanthan, R. Hepatic endometrial stromal sarcoma. Pathol. Res. Pract. 2018, 214, 1726–1731. [Google Scholar] [CrossRef] [PubMed]
- Kirmizi, S.; Ucar, B.I.; Yilmaz, S.; Aydogan Kirmizi, D. Stomach metastasis of low grade endometrial stromal sarcoma. Dicle Tıp Dergisi 2019, 609–613. [Google Scholar] [CrossRef]
- McCarthy, A.J.; Clarke, B.A.; McGilvray, I.; Dickson, B.C.; Khalili, K.; Chetty, R. Metastatic low-grade endometrial stromal sarcoma of uterus presenting as a primary pancreatic tumor: Case presentation and literature review. Diagn. Pathol. 2019, 14, 30. [Google Scholar] [CrossRef]
- Madhumalarmaran, P.; Ramachandran, A.; Ahamedkhan, N.B.; Pillay, R.; Nair, A.; Subramaniam, S.; Guhan, B. Endometrial Stromal Sarcoma: An Atypical Presentation. Indian J. Gynecol. Oncol. 2020, 18. [Google Scholar] [CrossRef]
- Yadav, S.; Santosh, M.; Bakshi, G.; Sangeeta, D. Extra-Uterine Low-Grade Endometrial Stromal Sarcoma Presenting as a Urinary Bladder Mass: A Case Report with Review of the Literature. Indian J. Surg. Oncol. 2019, 11 (Suppl. S1), 20–23. [Google Scholar] [CrossRef]
- Sato, S.; Ojima, Y.; Kanda, M.; Kizaki, T.; Ohara, N. Endometrial stromal sarcoma arising from endometrial polyp: A case report. Kobe J. Med. Sci. 2018, 64, E36–E42. [Google Scholar] [PubMed]
- Busca, A.; Gulavita, P.; Parra-Herran, C.; Islam, S. IFITM1 Outperforms CD10 in Differentiating Low-grade Endometrial Stromal Sarcomas from Smooth Muscle Neoplasms of the Uterus. Int. J. Gynecol. Pathol. 2018, 37, 372–378. [Google Scholar] [CrossRef] [PubMed]
- Przybyl, J.; Kidzinski, L.; Hastie, T.; Debiec-Rychter, M.; Nusse, R.; van de Rijn, M. Gene expression profiling of low-grade endometrial stromal sarcoma indicates fusion protein-mediated activation of the Wnt signaling pathway. Gynecol. Oncol. 2018, 149, 388–393. [Google Scholar] [CrossRef]
- Makise, N.; Sekimizu, M.; Kobayashi, E.; Yoshida, H.; Fukayama, M.; Kato, T.; Kawai, A.; Ichikawa, H.; Yoshida, A. Low-grade endometrial stromal sarcoma with a novel MEAF6-SUZ12 fusion. Virchows Arch. 2019, 475, 527–531. [Google Scholar] [CrossRef]
- Verma, A.; Menon, S.; Rekhi, B.; Pai, T.; Maheshwari, A.; Ghosh, J.; Gupta, S.; Deodhar, K. Utility of YWHAE fluorescent in-situ hybridisation in mesenchymal tumors of uterus- An initial experience from tertiary oncology centre in India. Indian J. Cancer 2019, 56, 335–340. [Google Scholar] [CrossRef] [PubMed]
- Carbone, F.; Kaur, M.M.; Chok, A.Y.; Kontovounisios, C.; Ind, T.; Rasheed, S. Endometrial stromal sarcoma arising from polypoid endometriosis: Case report and literature review. Int. J. Surg. Case Rep. 2020, 72, 537–540. [Google Scholar] [CrossRef]
- Rivera, G.; Niu, S.; Chen, H.; Fahim, D.; Peng, Y. Collision Tumor of Endometrial Large Cell Neuroendocrine Carcinoma and Low-Grade Endometrial Stromal Sarcoma: A Case Report and Review of the Literature. Int. J. Surg. Pathol. 2020, 28, 569–573. [Google Scholar] [CrossRef]
- Chiang, S.; Lee, C.H.; Stewart, C.J.R.; Oliva, E.; Hoang, L.N.; Ali, R.H.; Hensley, M.L.; Arias-Stella, J.A.; Frosina, D.; Jungbluth, A.A.; et al. BCOR is a robust diagnostic immunohistochemical marker of genetically diverse high-grade endometrial stromal sarcoma, including tumors exhibiting variant morphology. Mod. Pathol. 2017, 30, 1251–1261. [Google Scholar] [CrossRef] [PubMed]
- Koontz, J.I.; Soreng, A.L.; Nucci, M.; Kuo, F.C.; Pauwels, P.; van Den Berghe, H.; Dal Cin, P.; Fletcher, J.A.; Sklar, J. Frequent fusion of the JAZF1 and JJAZ1 genes in endometrial stromal tumors. Proc. Natl. Acad. Sci. USA 2001, 98, 6348–6353. [Google Scholar] [CrossRef] [PubMed]
- Nucci, M.R.; Harburger, D.; Koontz, J.; Dal Cin, P.; Sklar, J. Molecular analysis of the JAZF1-JJAZ1 gene fusion by RT-PCR and fluorescence in situ hybridization in endometrial stromal neoplasms. Am. J. Surg. Pathol. 2007, 31, 65–70. [Google Scholar] [CrossRef]
- Micci, F.; Panagopoulos, I.; Bjerkehagen, B.; Heim, S. Consistent rearrangement of chromosomal band 6p21 with generation of fusion genes JAZF1/PHF1 and EPC1/PHF1 in endometrial stromal sarcoma. Cancer Res. 2006, 66, 107–112. [Google Scholar] [CrossRef]
- Panagopoulos, I.; Micci, F.; Thorsen, J.; Gorunova, L.; Eibak, A.M.; Bjerkehagen, B.; Davidson, B.; Heim, S. Novel fusion of MYST/Esa1-associated factor 6 and PHF1 in endometrial stromal sarcoma. PLoS ONE 2012, 7, e39354. [Google Scholar] [CrossRef]
- Dewaele, B.; Przybyl, J.; Quattrone, A.; Finalet Ferreiro, J.; Vanspauwen, V.; Geerdens, E.; Gianfelici, V.; Kalender, Z.; Wozniak, A.; Moerman, P.; et al. Identification of a novel, recurrent MBTD1-CXorf67 fusion in low-grade endometrial stromal sarcoma. Int. J. Cancer 2014, 134, 1112–1122. [Google Scholar] [CrossRef]
- Micci, F.; Brunetti, M.; Dal Cin, P.; Nucci, M.R.; Gorunova, L.; Heim, S.; Panagopoulos, I. Fusion of the genes BRD8 and PHF1 in endometrial stromal sarcoma. Genes Chromosomes Cancer 2017, 56, 841–845. [Google Scholar] [CrossRef]
- Allen, A.J.; Ali, S.M.; Gowen, K.; Elvin, J.A.; Pejovic, T. A recurrent endometrial stromal sarcoma harbors the novel fusion JAZF1-BCORL1. Gynecol. Oncol. Rep. 2017, 20, 51–53. [Google Scholar] [CrossRef] [PubMed]
- Brunetti, M.; Gorunova, L.; Davidson, B.; Heim, S.; Panagopoulos, I.; Micci, F. Identification of an EPC2-PHF1 fusion transcript in low-grade endometrial stromal sarcoma. Oncotarget 2018, 9, 19203–19208. [Google Scholar] [CrossRef] [PubMed]
- Dickson, B.C.; Lum, A.; Swanson, D.; Bernardini, M.Q.; Colgan, T.J.; Shaw, P.A.; Yip, S.; Lee, C.-H. Novel EPC1 gene fusions in endometrial stromal sarcoma. Genes Chromosomes Cancer 2018, 57, 598–603. [Google Scholar] [CrossRef] [PubMed]
- Mansor, S.; Kuick, C.H.; Lim-Tan, S.K.; Leong, M.Y.; Lim, T.Y.K.; Chang, K.T.E. Novel fusion MAGED2-PLAG1 in endometrial stromal sarcoma. Pathology 2020, 52, S142–S143. [Google Scholar] [CrossRef][Green Version]
- Han, L.; Liu, Y.J.; Ricciotti, R.W.; Mantilla, J.G. A novel MBTD1-PHF1 gene fusion in endometrial stromal sarcoma: A case report and literature review. Genes Chromosomes Cancer 2020. [Google Scholar] [CrossRef]
- Brahmi, M.; Franceschi, T.; Treilleux, I.; Pissaloux, D.; Ray-Coquard, I.; Dufresne, A.; Vanacker, H.; Carbonnaux, M.; Meeus, P.; Sunyach, M.P.; et al. Molecular classification of endometrial stromal sarcomas using RNA sequencing defines nosological and prognostic subgroups with different natural history. Cancers 2020, 12, 2604. [Google Scholar] [CrossRef] [PubMed]
- Aisagbonhi, O.; Harrison, B.; Zhao, L.; Osgood, R.; Chebib, I.; Oliva, E. YWHAE Rearrangement in a Purely Conventional Low-grade Endometrial Stromal Sarcoma that Transformed over Time to High-grade Sarcoma: Importance of Molecular Testing. Int. J. Gynecol. Pathol. 2018, 37, 441–447. [Google Scholar] [CrossRef]
- Lee, C.-H.; Mariño-Enriquez, A.; Ou, W.; Zhu, M.; Ali, R.H.; Chiang, S.; Amant, F.; Gilks, C.B.; van de Rijn, M.; Oliva, E.; et al. The clinicopathologic features of YWHAE-FAM22 endometrial stromal sarcomas: A histologically high-grade and clinically aggressive tumor. Am. J. Surg. Pathol. 2012, 36, 641–653. [Google Scholar] [CrossRef]
- Lewis, L.; Soslow, R.A.; Delair, D.F.; Park, K.J.; Murali, R.; Hollmann, T.J.; Davidson, B.; Micci, F.; Panagopoulos, I.; Hoang, L.N.; et al. ZC3H7B-BCOR high-grade endometrial stromal sarcomas: A report of 17 cases of a newly defined entity. Mod. Pathol. 2018, 31, 674–684. [Google Scholar] [CrossRef]
- Juckett, L.T.; Lin, D.I.; Madison, R.; Ross, J.S.; Schrock, A.B.; Ali, S.A. Pan-Cancer Landscape Analysis Reveals a Subset of Endometrial Stromal and Pediatric Tumors Defined by Internal Tandem Duplications of BCOR. Oncology 2019, 96, 101–109. [Google Scholar] [CrossRef]
- Croce, S.; Hostein, I.; Ribeiro, A.; Garbay, D.; Velasco, V.; Stoeckle, E.; Guyon, F.; Floquet, A.; Neuville, A.; Coindre, J.M.; et al. YWHAE rearrangement identified by FISH and RT-PCR in endometrial stromal sarcomas: Genetic and pathological correlations. Mod. Pathol. 2013, 26, 1390–1400. [Google Scholar] [CrossRef]
- McCluggage, W.G.; Lee, C.-H. YWHAE-NUTM2A/B Translocated High-grade Endometrial Stromal Sarcoma Commonly Expresses CD56 and CD99. Int. J. Gynecol. Pathol. 2019, 38, 528–532. [Google Scholar] [CrossRef] [PubMed]
- Verschoor, A.J.; Warmerdam, F.A.R.M.; Bosse, T.; Bovée, J.V.M.G.; Gelderblom, H.A. remarkable response to pazopanib, despite recurrent liver toxicity, in a patient with a high grade endometrial stromal sarcoma, a case report. BMC Cancer 2018, 18. [Google Scholar] [CrossRef] [PubMed]
- Baniak, N.; Adams, S.; Lee, C.H.; Chibbar, R.; Kanthan, R. Extrapelvic Metastases in Endometrial Stromal Sarcomas: A Clinicopathological Review with Immunohistochemical and Molecular Characterization. Int. J. Surg. Pathol. 2019, 27, 208–215. [Google Scholar] [CrossRef] [PubMed]
- HUGO Gene Nomenclature Committee. Available online: https://www.genenames.org (accessed on 20 November 2020).
- Lee, C.H.; Hoang, L.N.; Yip, S.; Reyes, C.; Marino-Enriquez, A.; Eilers, G.; Tao, D.; Chiang, S.; Fletcher, J.A.; Soslow, R.A.; et al. Frequent expression of KIT in endometrial stromal sarcoma with YWHAE genetic rearrangement. Mod. Pathol. 2014, 27, 751–757. [Google Scholar] [CrossRef]
- Hoang, L.N.; Aneja, A.; Conlon, N.; Delair, D.F.; Middha, S.; Benayed, R.; Hensley, M.L.; Park, K.J.; Hollmann, T.J.; Hameed, M.R.; et al. Novel High-Grade Endometrial Stromal Sarcoma: A Morphologic Mimicker of Myxoid Leiomyosarcoma. Am. J. Surg. Pathol. 2017, 41, 12–24. [Google Scholar] [CrossRef]
- Ondič, O.; Bednářová, B.; Ptáková, N.; Hájková, V.; Šteiner, P.; Šidlová, H.; Presl, J.; Bouda, J.; Alaghehbandan, R.; Michal, M. ZC3H7B–BCOR high-grade endometrial stromal sarcoma may present as myoma nascens with cytoplasmic signet ring cell change. Virchows Arch. 2020, 476, 615–619. [Google Scholar] [CrossRef] [PubMed]
- Nagaputra, J.C.; Goh, R.C.H.; Kuick, C.H.; Chang, K.T.E.; Sittampalam, K. ZC3H7B-BCOR high-grade endometrial stromal sarcoma with osseous metaplasia: Unique feature in a recently defined entity. Hum. Pathol. 2019, 15, 54–58. [Google Scholar] [CrossRef]
- Lu, B.; Chen, J.; Shao, Y.; Shi, H. Two cases of ZC3H7B-BCOR high grade endometrial stromal sarcoma with an extension on its morphological features. Pathology 2020. [Google Scholar] [CrossRef]
- Solomon, J.P.; Linkov, I.; Rosado, A.; Mullaney, K.; Rosen, E.Y.; Frosina, D.; Jungbluth, A.A.; Zehir, A.; Benayed, R.; Drilon, A.; et al. NTRK fusion detection across multiple assays and 33,997 cases: Diagnostic implications and pitfalls. Mod. Pathol. 2020, 33, 38–46. [Google Scholar] [CrossRef]
- Lin, D.I.; Hemmerich, A.; Edgerly, C.; Duncan, D.; Severson, E.A.; Huang, R.S.P.; Ramkissoon, S.H.; Connor, Y.D.; Shea, M.; Hecht, J.L.; et al. Genomic profiling of BCOR-rearranged uterine sarcomas reveals novel gene fusion partners, frequent CDK4 amplification and CDKN2A loss. Gynecol. Oncol. 2020, 157, 357–366. [Google Scholar] [CrossRef]
- Kommoss, F.K.F.; Chang, K.T.E.; Stichel, D.; Banito, A.; Jones, D.T.W.; Heilig, C.E.; Fröhling, S.; Sahm, F.; Stenzinger, A.; Hartmann, W.; et al. Endometrial stromal sarcomas with BCOR-rearrangement harbor MDM2 amplifications. J. Pathol. Clin. Res. 2020, 6, 178–184. [Google Scholar] [CrossRef]
- Yoshida, A.; Arai, Y.; Hama, N.; Chikuta, H.; Bando, Y.; Nakano, S.; Kobayashi, E.; Shibahara, J.; Fukuhara, H.; Komiyama, M.; et al. Expanding the clinicopathologic and molecular spectrum of BCOR -associated sarcomas in adults. Histopathology 2020, 76, 509–520. [Google Scholar] [CrossRef]
- Marinõ-Enriquez, A.; Lauria, A.; Przybyl, J.; Ng, T.L.; Kowalewska, M.; Debiec-Rychter, M.; Ganesan, R.; Ganesan, R.; Sumathi, V.; George, S.; et al. BCOR Internal Tandem Duplication in High-grade Uterine Sarcomas. Am. J. Surg. Pathol. 2018, 42, 335–341. [Google Scholar] [CrossRef]
- Momeni-Boroujeni, A.; Mohammad, N.; Wolber, R.; Yip, S.; Köbel, M.; Dickson, B.C.; Hensley, M.L.; Leitao, M.M.; Antonescu, C.R.; Benayed, R.; et al. Targeted RNA expression profiling identifies high-grade endometrial stromal sarcoma as a clinically relevant molecular subtype of uterine sarcoma. Mod. Pathol. 2020, 1–9. [Google Scholar] [CrossRef]
- Chiang, S.; Cotzia, P.; Hyman, D.M.; Drilon, A.; Tap, W.D.; Zhang, L.; Hechtman, J.F.; Frosina, D.; Jungbluth, A.A.; Murali, R.; et al. NTRK Fusions Define a Novel Uterine Sarcoma Subtype with Features of Fibrosarcoma. Am. J. Surg. Pathol. 2018, 42, 791–798. [Google Scholar] [CrossRef] [PubMed]
- Croce, S.; Hostein, I.; Longacre, T.A.; Mills, A.M.; Pérot, G.; Devouassoux-Shisheboran, M.; Velasco, V.; Floquet, A.; Guyon, F.; Chakiba, C.; et al. Uterine and vaginal sarcomas resembling fibrosarcoma: A clinicopathological and molecular analysis of 13 cases showing common NTRK-rearrangements and the description of a COL1A1-PDGFB fusion novel to uterine neoplasms. Mod. Pathol. 2019, 32, 1008–1022. [Google Scholar] [CrossRef]
- Grindstaff, S.L.; Di Silvestro, J.; Hansen, K.; Di Silvestro, P.; Sung, C.J.; Quddus, M.R. COL1A1-PDGFB fusion uterine fibrosarcoma: A case report with treatment implication. Gynecol. Oncol. Rep. 2020, 31, 100523. [Google Scholar] [CrossRef]
- Boyle, W.; Williams, A.; Sundar, S.; Yap, J.; Taniere, P.; Rehal, P.; Ganesan, R. TMP3-NTRK1 rearranged uterine sarcoma: A case report. Case Rep. Womens Health 2020, 28, e00246. [Google Scholar] [CrossRef] [PubMed]
- Michal, M.; Hájková, V.; Skálová, A.; Michal, M. STRN-NTRK3-rearranged Mesenchymal Tumor of the Uterus. Am. J. Surg. Pathol. 2019, 43, 1152–1154. [Google Scholar] [CrossRef] [PubMed]
- Pautier, P.; Nam, E.J.; Provencher, D.M.; Hamilton, A.L.; Mangili, G.; Siddiqui, N.A.; Westermann, A.M.; Reed, N.S.; Harter, P.; Ray-Coquard, I. Gynecologic Cancer InterGroup (GCIG) consensus review for high-grade undifferentiated sarcomas of the uterus. Int. J. Gynecol. Cancer 2014, 24 (Suppl. S3), S73–S77. [Google Scholar] [CrossRef] [PubMed]
- Ducimetière, F.; Lurkin, A.; Ranchère-Vince, D.; Decouvelaere, A.V.; Péoc’h, M.; Istier, L.; Chalabreysse, P.; Muller, C.; Alberti, L.; Bringuier, P.P.; et al. Incidence of sarcoma histotypes and molecular subtypes in a prospective epidemiological study with central pathology review and molecular testing. PLoS ONE 2011, 6, e20294. [Google Scholar] [CrossRef] [PubMed]
- Kyriazoglou, A.; Liontos, M.; Ziogas, D.C.; Zagouri, F.; Koutsoukos, K.; Tsironis, G.; Tsiara, A.; Kaparelou, M.; Zakopoulou, R.; Thomakos, N.; et al. Management of uterine sarcomas and prognostic indicators: Real world data from a single-institution. BMC Cancer 2018, 18, 1247. [Google Scholar] [CrossRef] [PubMed]
- Kurihara, S.; Oda, Y.; Ohishi, Y.; Iwasa, A.; Takahira, T.; Kaneki, E.; Kobayashi, H.; Wake, N.; Tsuneyoshi, M. Endometrial stromal sarcomas and related high-grade sarcomas: Immunohistochemical and molecular genetic study of 31 cases. Am. J. Surg. Pathol. 2008, 32, 1228–1238. [Google Scholar] [CrossRef] [PubMed]
- Kurihara, S.; Oda, Y.; Ohishi, Y.; Kaneki, E.; Kobayashi, H.; Wake, N.; Tsuneyoshi, M. Coincident expression of beta-catenin and cyclin D1 in endometrial stromal tumors and related high-grade sarcomas. Mod. Pathol. 2010, 23, 225–234. [Google Scholar] [CrossRef]
- Brunetti, M.; Panagopoulos, I.; Gorunova, L.; Davidson, B.; Heim, S.; Micci, F. RNA-sequencing identifies novel GREB1-NCOA2 fusion gene in a uterine sarcoma with the chromosomal translocation t(2;8)(p25;q13). Genes Chromosomes Cancer 2018, 57, 176–181. [Google Scholar] [CrossRef] [PubMed]








| Category | ICD-11 1 Coding (Histopathology) | ICD-O 2 Coding |
|---|---|---|
| Endometrial Stromal Nodule | XH8C13 | 8930/0 |
| Low-Grade Endometrial Stromal Sarcoma | XH1S94 | 8931/3 |
| High-Grade Endometrial Stromal Sarcoma | XH2CV3 | 8930/3 |
| Undifferentiated Uterine Sarcoma | XH6HY6 | 8805/3 |
| Type | Genes Involved | Most Frequent Reported Fusions/Gene Rearrangements/Alterations | Translocations | References |
|---|---|---|---|---|
| LG-ESS | JAZF1 | MEAF6-SUZ12 | t(1;17)(p34;q11) | [73] |
| SUZ12 | JAZF1-SUZ12 | t(7;17)(p15;q11) | [31,78,79] | |
| PHF1 | JAZF1-PHF1 | t(6;7)(p21;p15) | [80] | |
| BCORL1 | EPC1-PHF1 | t(10;6)(p11;p21) | [80] | |
| EPC1 | MEAF6-PHF1 | t(1;6)(p34;p21) | [81] | |
| EPC2 | MBTD1-CXorf67 (MBTD1-EZHIP) | t(X;17)(p11.2;q21.33) | [82] | |
| MEAF6 | BRD8-PHF1 | t(5;6)(q31;p21) | [83] | |
| MBTD1 | JAZF1-BCORL1 | t(7;X)(p15;q26.1) | [84] | |
| EZHIP | EPC2-PHF1 | t(2;6)(q23;p21) | [85] | |
| BRD8 | EPC1-SUZ12 | t(10;17)(p11;q11) | [86] | |
| BCOR | EPC1-BCOR | t(10;X)(p11;p11) | [86] | |
| MAGED2 | MAGED2-PLAG1 | t(X;8)(p11.21;q12.1) | [87] | |
| PLAG1 | MBTD1-PHF1 | t(X;6)(p11.2;p21) | [88] | |
| YWHAE | YWHAE/NUTM2 | t(10;17)(q22;p13) | [89,90] | |
| NUTM2 | MEAF6-SUZ12 | t(5;6)(q31;p21) | [83] | |
| HG-ESS | YWHAE | YWHAE/NUTM2 | t(10;17)(q22;p13) | [5,7,57] |
| NUTM2A/B/E | EPC1-BCOR | t(10;X)(p11;p11) | [63,86] | |
| EPC1 | EPC1-SUZ12 | t(10;17)(p11;q11) | [63,86] | |
| SUZ12 | BRD8-PHF1 | t(5;6)(q31;p21 | [63,86] | |
| BCOR | BCOR alteration | none | [89] | |
| BRD8 | ||||
| PHF1 | ||||
| ZC3H7B-BCOR HG-ESS | ZC3H7B | ZC3H7B-BCOR | t(22;X)(q13;p11) | [77,93,105] |
| BCOR | BCOR-ZC3H7B | t(X;22)(p11;q13) | ||
| BCOR ITD HG-ESS | BCOR | BCOR ITD | none | [93] |
| NTRK-uterine sarcomas HG-ESS | TPR | TPR-NTRK1 | 1q31.1-1q23.1 | [110] |
| NTRK1 | LMNA-NTRK1 | 1q22-1q23.1 | [110] | |
| LMNA | TPM3-NTRK1 | 1q21.3-1q23.1 | [110,111] | |
| TPM3 | RBPMS-NTRK3 | t(8;15)(p12;q25.3) | [110] | |
| RBPMS | EML4-NTRK3 | t(2;15)(p21;q25.3) | [111] | |
| NTRK3 | COL1A1-PDGFB | t(17;22)(q21.33;q13.1) | [111,112] | |
| EML4 | STRN-NTRK3 | t(2;15)(p22.2;q25.3) | [114] | |
| COL1A1 | TPR-NTRK1 | 1q31.1-1q23.1 | [110] | |
| PDGFB | LMNA-NTRK1 | 1q22-1q23.1 | [110] | |
| STRN | TPM3-NTRK1 | 1q21.3-1q23.1 | [110,111] | |
| UUS | YWHAE | YWHAE gene rearrangement | unknown fusion partner | [63] |
| CREBBP | CREBBP-BCOR | t(16; X)(p13;p11) | [89] | |
| BCOR | HMGA2-RAD51B | t(12;14)(q14.3;q24.1) | [109] | |
| HMGA2 | GREB1-NCOA2 | t(2;8)(p25.1;q13.3) | [120] | |
| RAD51B | ||||
| GREB1 | ||||
| NCOA2 |
Publisher’s Note: MDPI stays neutral with regard to jurisdictional claims in published maps and institutional affiliations. |
© 2021 by the authors. Licensee MDPI, Basel, Switzerland. This article is an open access article distributed under the terms and conditions of the Creative Commons Attribution (CC BY) license (http://creativecommons.org/licenses/by/4.0/).
Share and Cite
Akaev, I.; Yeoh, C.C.; Rahimi, S. Update on Endometrial Stromal Tumours of the Uterus. Diagnostics 2021, 11, 429. https://doi.org/10.3390/diagnostics11030429
Akaev I, Yeoh CC, Rahimi S. Update on Endometrial Stromal Tumours of the Uterus. Diagnostics. 2021; 11(3):429. https://doi.org/10.3390/diagnostics11030429
Chicago/Turabian StyleAkaev, Iolia, Chit Cheng Yeoh, and Siavash Rahimi. 2021. "Update on Endometrial Stromal Tumours of the Uterus" Diagnostics 11, no. 3: 429. https://doi.org/10.3390/diagnostics11030429
APA StyleAkaev, I., Yeoh, C. C., & Rahimi, S. (2021). Update on Endometrial Stromal Tumours of the Uterus. Diagnostics, 11(3), 429. https://doi.org/10.3390/diagnostics11030429

