Combination of Symptom Profile, Endoscopic Findings, and Esophageal Mucosal Histopathology Helps to Differentiate Achalasia from Refractory Gastroesophageal Reflux Disease
Abstract
1. Introduction
2. Methods
2.1. Study Design and Patients
2.2. Symptom Evaluation
2.3. Esophageal HRIM
2.4. Upper Endoscopy and Esophageal Mucosal Biopsy
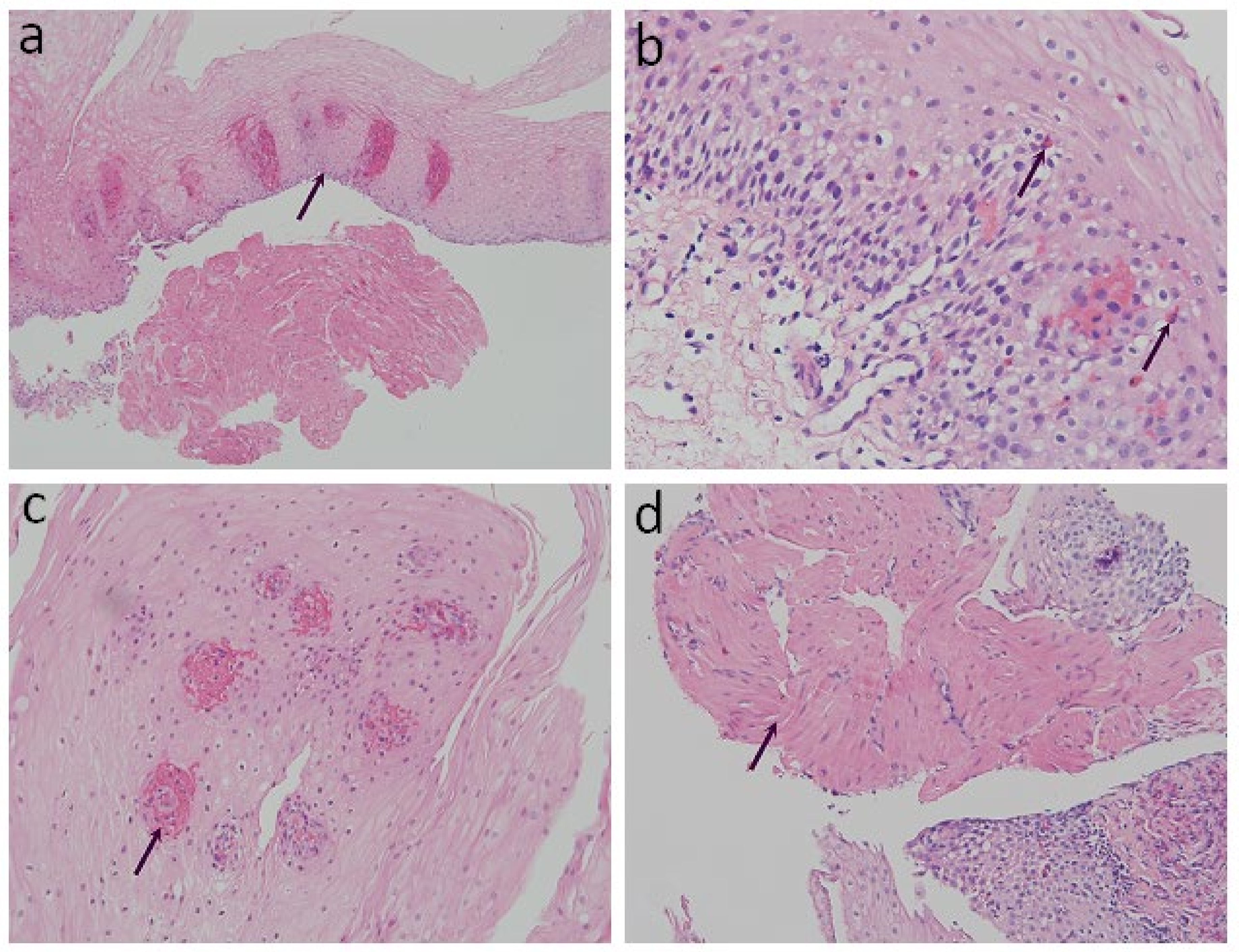
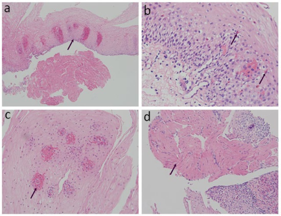
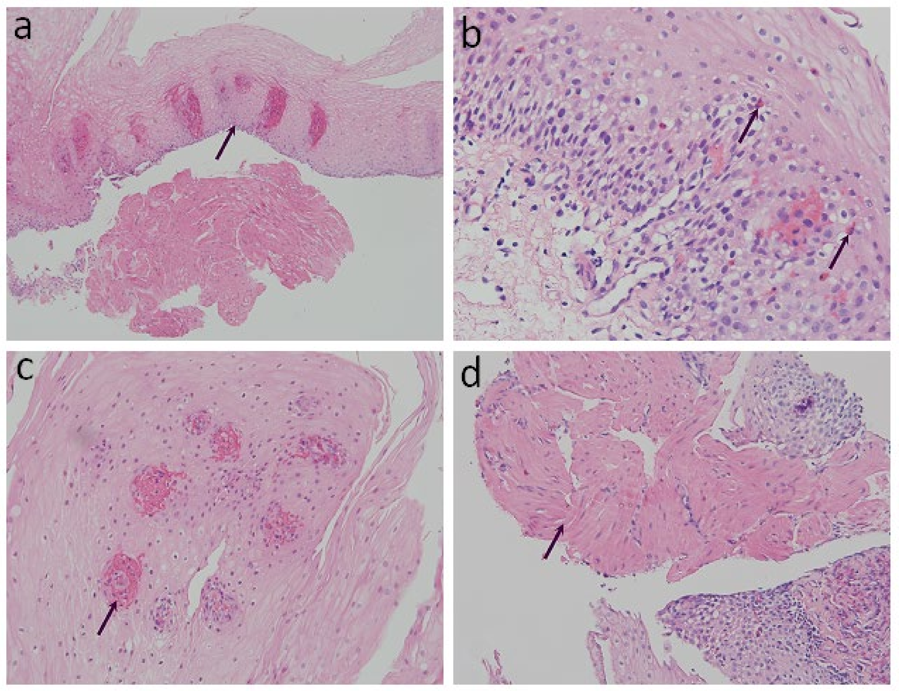
2.5. Histopathologic Evaluation of the Esophageal Mucosa
2.6. Statistical Analysis
3. Results
3.1. Patient Characteristics
3.2. Histopathological Comparison of the Esophageal Mucosa between Achalasia and Refractory GERD
3.3. Histopathological Comparison of the Esophageal Mucosa between the Different Subtypes of Achalasia
3.4. Regression Analyses for Prediction of Achalasia
4. Discussion
5. Conclusions
Supplementary Materials
Author Contributions
Funding
Institutional Review Board Statement
Informed Consent Statement
Data Availability Statement
Acknowledgments
Conflicts of Interest
References
- Sadowski, D.C.; Ackah, F.; Jiang, B.; Svenson, L.W. Achalasia: Incidence, prevalence and survival. A population-based study. Neurogastroenterol. Motil. Off. J. Eur. Gastrointest. Motil. Soc. 2010, 22, e256–e261. [Google Scholar] [CrossRef]
- Yeh, C.C.; Chen, C.C.; Wu, J.F.; Lee, H.C.; Lee, Y.C.; Liu, K.L.; Wang, H.P.; Wu, M.S.; Tseng, P.H. Etiologies and clinical characteristics of non-obstructive dysphagia in a Taiwanese population: A prospective study based on high-resolution impedance manometry. J. Formos. Med. Assoc. Taiwan Yi Zhi 2019, 118, 1528–1536. [Google Scholar] [CrossRef]
- Roman, S.; Kahrilas, P.J. Challenges in the swallowing mechanism: Nonobstructive dysphagia in the era of high-resolution manometry and impedance. Gastroenterol. Clin. N. Am. 2011, 40, 823–835. [Google Scholar] [CrossRef][Green Version]
- Singendonk, M.J.; Lin, Z.; Scheerens, C.; Tack, J.; Carlson, D.A.; Omari, T.I.; Pandolfino, J.E.; Rommel, N. High-resolution impedance manometry parameters in the evaluation of esophageal function of non-obstructive dysphagia patients. Neurogastroenterol. Motil. Off. J. Eur. Gastrointest. Motil. Soc. 2019, 31, e13505. [Google Scholar] [CrossRef] [PubMed]
- Mundre, P.; Black, C.J.; Mohammed, N.; Ford, A.C. Efficacy of surgical or endoscopic treatment of idiopathic achalasia: A systematic review and network meta-analysis. Lancet Gastroenterol. Hepatol. 2021, 6, 30–38. [Google Scholar] [CrossRef]
- Cappell, M.S.; Stavropoulos, S.N.; Friedel, D. Updated systematic review of achalasia, with a focus on POEM therapy. Dig. Dis. Sci. 2020, 65, 38–65. [Google Scholar] [CrossRef]
- Jeon, H.H.; Kim, J.H.; Youn, Y.H.; Park, H.; Conklin, J.L. Clinical characteristics of patients with untreated achalasia. J. Neurogastroenterol. Motil. 2017, 23, 378–384. [Google Scholar] [CrossRef] [PubMed]
- Hu, J.W.; Li, Q.L.; Zhou, P.H.; Yao, L.Q.; Xu, M.D.; Zhang, Y.Q.; Zhong, Y.S.; Chen, W.F.; Ma, L.L.; Qin, W.Z.; et al. Peroral endoscopic myotomy for advanced achalasia with sigmoid-shaped esophagus: Long-term outcomes from a prospective, single-center study. Surg. Endosc. 2015, 29, 2841–2850. [Google Scholar] [CrossRef]
- Torres-Aguilera, M.; Remes Troche, J.M. Achalasia and esophageal cancer: Risks and links. Clin. Exp. Gastroenterol. 2018, 11, 309–316. [Google Scholar] [CrossRef]
- Kessing, B.F.; Bredenoord, A.J.; Smout, A.J. Erroneous diagnosis of gastroesophageal reflux disease in achalasia. Clin. Gastroenterol. Hepatol. Off. Clin. Pract. J. Am. Gastroenterol. Assoc. 2011, 9, 1020–1024. [Google Scholar] [CrossRef]
- Vereczkei, A.; Bognar, L.; Papp, A.; Horvath, O.P. Achalasia following reflux disease: Coincidence, consequence, or accommodation? An experience-based literature review. Clin. Risk Manag. 2018, 14, 39–45. [Google Scholar] [CrossRef]
- Gyawali, C.P.; Kahrilas, P.J.; Savarino, E.; Zerbib, F.; Mion, F.; Smout, A.; Vaezi, M.; Sifrim, D.; Fox, M.R.; Vela, M.F.; et al. Modern diagnosis of GERD: The Lyon consensus. Gut 2018, 67, 1351–1362. [Google Scholar] [CrossRef]
- Savarino, E.; Zentilin, P.; Mastracci, L.; Dulbecco, P.; Marabotto, E.; Gemignani, L.; Bruzzone, L.; de Bortoli, N.; Frigo, A.C.; Fiocca, R.; et al. Microscopic esophagitis distinguishes patients with non-erosive reflux disease from those with functional heartburn. J. Gastroenterol. 2013, 48, 473–482. [Google Scholar] [CrossRef] [PubMed]
- Kjellin, A.P.; Ost, A.E.; Pope, C.E., 2nd. Histology of esophageal mucosa from patients with achalasia. Dis. Esophagus Off. J. Int. Soc. Dis. Esophagus 2005, 18, 257–261. [Google Scholar] [CrossRef] [PubMed]
- Shoenut, J.P.; Duerksen, D.; Yaffe, C.S. A prospective assessment of gastroesophageal reflux before and after treatment of achalasia patients: Pneumatic dilation versus transthoracic limited myotomy. Am. J. Gastroenterol. 1997, 92, 1109–1112. [Google Scholar] [PubMed]
- Shaw, M.; Dent, J.; Beebe, T.; Junghard, O.; Wiklund, I.; Lind, T.; Johnsson, F. The reflux disease questionnaire: A measure for assessment of treatment response in clinical trials. Health Qual. Life Outcomes 2008, 6, 31. [Google Scholar] [CrossRef]
- Taft, T.H.; Carlson, D.A.; Triggs, J.; Craft, J.; Starkey, K.; Yadlapati, R.; Gregory, D.; Pandolfino, J.E. Evaluating the reliability and construct validity of the Eckardt symptom score as a measure of achalasia severity. Neurogastroenterol. Motil. Off. J. Eur. Gastrointest. Motil. Soc. 2018, 30, e13287. [Google Scholar] [CrossRef]
- Roman, S.; Gyawali, C.P.; Xiao, Y.; Pandolfino, J.E.; Kahrilas, P.J. The Chicago classification of motility disorders: An update. Gastrointest. Endosc. Clin. N. Am. 2014, 24, 545–561. [Google Scholar] [CrossRef]
- Pandolfino, J.E.; Gawron, A.J. Achalasia: A systematic review. JAMA 2015, 313, 1841–1852. [Google Scholar] [CrossRef]
- Sato, H.; Takahashi, K.; Nakajima, N.; Hasegawa, G.; Mizuno, K.; Hashimoto, S.; Ikarashi, S.; Hayashi, K.; Honda, Y.; Yokoyama, J.; et al. Full-layer mucosal histology in achalasia: Histological epithelial wave is characteristic in “pinstripe pattern”-positive achalasia. Neurogastroenterol. Motil. 2017, 30, e13168. [Google Scholar] [CrossRef]
- Ismail-Beigi, F.; Horton, P.F.; Pope, C.E., 2nd. Histological consequences of gastroesophageal reflux in man. Gastroenterology 1970, 58, 163–174. [Google Scholar] [CrossRef]
- Cassella, R.R.; Brown, A.L., Jr.; Sayre, G.P.; Ellis, F.H., Jr. Achalasia of the Esophagus: Pathologic and etiologic considerations. Ann. Surg. 1964, 160, 474–487. [Google Scholar] [CrossRef] [PubMed]
- Friesen, D.L.; Henderson, R.D.; Hanna, W. Ultrastructure of the esophageal muscle in achalasia and diffuse esophageal spasm. Am. J. Clin. Pathol. 1983, 79, 319–325. [Google Scholar] [CrossRef] [PubMed]
- Yoon, H.J.; Lee, J.E.; Jung, D.H.; Park, J.C.; Youn, Y.H.; Park, H. Morphologic restoration after peroral endoscopic myotomy in sigmoid-type achalasia. J. Neurogastroenterol. Motil. 2020, 26, 67–73. [Google Scholar] [CrossRef] [PubMed]
- Dunbar, K.B.; Agoston, A.T.; Odze, R.D.; Huo, X.; Pham, T.H.; Cipher, D.J.; Castell, D.O.; Genta, R.M.; Souza, R.F.; Spechler, S.J. Association of acute gastroesophageal reflux disease with esophageal histologic changes. JAMA 2016, 315, 2104–2112. [Google Scholar] [CrossRef]
- Tripathi, M.; Streutker, C.J.; Marginean, E.C. Relevance of histology in the diagnosis of reflux esophagitis. Ann. N. Y. Acad. Sci. 2018, 1434, 94–101. [Google Scholar] [CrossRef]
- Isomoto, H.; Saenko, V.A.; Kanazawa, Y.; Nishi, Y.; Ohtsuru, A.; Inoue, K.; Akazawa, Y.; Takeshima, F.; Omagari, K.; Miyazaki, M.; et al. Enhanced expression of interleukin-8 and activation of nuclear factor kappa-B in endoscopy-negative gastroesophageal reflux disease. Am. J. Gastroenterol. 2004, 99, 589–597. [Google Scholar] [CrossRef] [PubMed]
- Yantiss, R.K. Eosinophils in the GI tract: How many is too many and what do they mean? Mod. Pathol. 2015, 28 (Suppl. S1), S7–S21. [Google Scholar] [CrossRef]
- Lampinen, M.; Carlson, M.; Hakansson, L.D.; Venge, P. Cytokine-regulated accumulation of eosinophils in inflammatory disease. Allergy 2004, 59, 793–805. [Google Scholar] [CrossRef]
- Ayazi, S.; Hagen, J.A.; Chandrasoma, P.; Gholami, P.; Zehetner, J.; Oezcelik, A.; Lipham, J.C.; Demeester, S.R.; Demeester, T.R.; Kline, M.M. Esophageal intraepithelial eosinophils in dysphagic patients with gastroesophageal reflux disease. Dig. Dis. Sci. 2010, 55, 967–972. [Google Scholar] [CrossRef]
- Spechler, S.J.; Konda, V.; Souza, R. Can eosinophilic esophagitis cause achalasia and other esophageal motility disorders? Am. J. Gastroenterol. 2018, 113, 1594–1599. [Google Scholar] [CrossRef] [PubMed]
- Murakami, M.; Simons, M. Regulation of vascular integrity. J. Mol. Med. 2009, 87, 571–582. [Google Scholar] [CrossRef] [PubMed]
- Mashimo, H.; Kjellin, A.; Goyal, R.K. Gastric stasis in neuronal nitric oxide synthase-deficient knockout mice. Gastroenterology 2000, 119, 766–773. [Google Scholar] [CrossRef] [PubMed]
- Goldblum, J.R.; Whyte, R.I.; Orringer, M.B.; Appelman, H.D. Achalasia. A morphologic study of 42 resected specimens. Am. J. Surg. Pathol. 1994, 18, 327–337. [Google Scholar] [CrossRef] [PubMed]
- Soyer, T.; Boybeyi, O.; Atasoy, P. Selective inhibition of nitric oxide synthase causes increased muscle thickness in rat esophagus. J. Pediatr. Surg. 2015, 50, 1112–1114. [Google Scholar] [CrossRef]
- Feng, X.; Linghu, E.; Chai, N.; Ding, H. New endoscopic classification of esophageal mucosa in achalasia: A predictor for submucosal fibrosis. Saudi J. Gastroenterol. 2018, 24, 122–128. [Google Scholar] [PubMed]
- Sanagapalli, S.; Roman, S.; Hastier, A.; Leong, R.W.; Patel, K.; Raeburn, A.; Banks, M.; Haidry, R.; Lovat, L.; Graham, D.; et al. Achalasia diagnosed despite normal integrated relaxation pressure responds favorably to therapy. Neurogastroenterol. Motil. Off. J. Eur. Gastrointest. Motil. Soc. 2019, 31, e13586. [Google Scholar] [CrossRef] [PubMed]



| Histopathologic Findings and Definitions | |
|---|---|
| Basal cell hyperplasia or papillae elongation | Increased basal cell layer to more than 15% of total thickness of squamous epithelium or papillae extending into the upper third of the epithelium. |
| Eosinophilic infiltration | Presence and confirmation of at least one or more intraepithelial eosinophils per high-power field (HPF). |
| Petechiae formation | Presence of extravasation of red blood cells (≥1/HPF) from the capillaries in the lamina propria papillae. |
| Hypertrophy of the muscularis mucosae | Non-interruption (aggregation) and evident thickening of the smooth muscle bundle of the muscularis mucosae. |
| Achalasia | Refractory GERD | p-Value | |
|---|---|---|---|
| Number of patients | 54 | 46 | |
| Age (years) | 52.9 ± 14.7 | 51.9 ± 12.5 | 0.344 |
| Male gender (%) | 18 (33.3%) | 13 (28.3%) | 0.585 |
| BMI (kg/m2) | 21.5 ± 3.6 | 22.9 ± 3.8 | 0.066 |
| Waist (cm) | 76.4 ± 12.2 | 79.9 ± 10.6 | 0.131 |
| Symptom profile | |||
| RDQ score | 16.5 ± 14.9 | 19.2 ± 12.9 | 0.347 |
| Heartburn domain | 5.1 ± 6.2 | 5.8 ± 5.4 | 0.544 |
| Dyspepsia domain | 4.9 ± 6.5 | 5.0 ± 5.2 | 0.872 |
| Regurgitation domain | 6.5 ± 6.4 | 8.3 ± 6.2 | 0.168 |
| Eckardt score | 5.1 ± 2.3 | 3.1 ± 1.8 | <0.001 |
| Dysphagia | 2.2 ± 0.9 | 1.1 ± 1.1 | <0.001 |
| Retrosternal pain | 0.6 ± 0.8 | 0.7 ± 0.8 | 0.789 |
| Regurgitation | 1.4 ± 1.1 | 0.8 ± 0.8 | 0.002 |
| Body weight loss | 1.0 ± 1.1 | 0.5 ± 0.5 | 0.006 |
| Endoscopic findings | |||
| Erosive esophagitis (%) | 4 (7.4%) | 10 (21.7%) | 0.04 |
| Hiatal hernia (%) | 0 (0%) | 7 (15.2%) | <0.001 |
| Esophageal food retention (%) | 31 (57.4%) | 0 (0%) | <0.001 |
| HRIM parameters | |||
| LES resting pressure (mmHg) | 31.8 ± 16.7 | 19.6 ± 10.3 | <0.001 |
| LES IRP 4s (mmHg) | 23.7 ± 12.4 | 7.7 ± 4.2 | <0.001 |
| DCI (mmHg∙s∙cm) | - | 1541.3 ± 903.2 | |
| Intact peristalsis (%) | 0 | 88.9 ± 16.1 | <0.001 |
| Weak peristalsis (%) | 0 | 10.2 ± 15.8 | <0.001 |
| Failed peristalsis (%) | 100 | 0.9 ± 2.8 | <0.001 |
| Type I | Type II | Type III | p-Value | |
|---|---|---|---|---|
| Number of patients | 24 | 28 | 2 | |
| Basal cell hyperplasia or papillae elongation | 23 (95.8%) | 28 (100%) | 2 (100%) | 0.544 |
| Eosinophilic infiltration | 7 (29.2%) | 6 (21.4%) | 0 (0%) | 0.597 |
| Petechiae formation | 21 (87.5%) | 24 (85.7%) | 2 (100%) | 0.849 |
| Hypertrophy of the MM | 13 (54.2%) | 11 (39.3%) | 1 (50%) | 0.574 |
| Variable | Univariate | Multivariate 1 ‡ | Multivariate 2 § | |||
|---|---|---|---|---|---|---|
| OR (95% CI) | p-Value | aOR (95% CI) | p-Value | aOR (95% CI) | p-Value | |
| Eckardt score ≥ 4 | 4.88 (2.08–11.41) | <0.001 | 4.37 (1.75–10.91) | 0.002 | 4.18 (1.63–10.72) | 0.003 |
| Esophageal food retention (EFR) | - | - | - | - | - | - |
| Normal EGJ morphology † or EFR | 13.87 (2.98–64.5) | 0.001 | 12.18 (2.49–59.58) | 0.002 | 11.59 (2.30–58.37) | 0.003 |
| Petechiae formation (PF) | 2.94 (1.07–8.09) | 0.037 | - | - | - | - |
| Hypertrophy of the muscularis mucosae (HMM) | 3.10 (1.29–7.49) | 0.012 | - | - | - | - |
| PF or HMM | 3.93 (1.16–13.35) | 0.028 | ||||
| Coexistence of PF and HMM | 3.83 (1.45–10.11) | 0.007 | - | - | 3.46 (1.14–10.55) | 0.029 |
Publisher’s Note: MDPI stays neutral with regard to jurisdictional claims in published maps and institutional affiliations. |
© 2021 by the authors. Licensee MDPI, Basel, Switzerland. This article is an open access article distributed under the terms and conditions of the Creative Commons Attribution (CC BY) license (https://creativecommons.org/licenses/by/4.0/).
Share and Cite
Yeh, C.-C.; Shun, C.-T.; Tseng, L.-W.; Chiang, T.-H.; Wu, J.-F.; Lee, H.-C.; Chen, C.-C.; Wang, H.-P.; Wu, M.-S.; Tseng, P.-H. Combination of Symptom Profile, Endoscopic Findings, and Esophageal Mucosal Histopathology Helps to Differentiate Achalasia from Refractory Gastroesophageal Reflux Disease. Diagnostics 2021, 11, 2347. https://doi.org/10.3390/diagnostics11122347
Yeh C-C, Shun C-T, Tseng L-W, Chiang T-H, Wu J-F, Lee H-C, Chen C-C, Wang H-P, Wu M-S, Tseng P-H. Combination of Symptom Profile, Endoscopic Findings, and Esophageal Mucosal Histopathology Helps to Differentiate Achalasia from Refractory Gastroesophageal Reflux Disease. Diagnostics. 2021; 11(12):2347. https://doi.org/10.3390/diagnostics11122347
Chicago/Turabian StyleYeh, Chia-Chu, Chia-Tung Shun, Liang-Wei Tseng, Tsung-Hsien Chiang, Jia-Feng Wu, Hui-Chuan Lee, Chien-Chuan Chen, Hsiu-Po Wang, Ming-Shiang Wu, and Ping-Huei Tseng. 2021. "Combination of Symptom Profile, Endoscopic Findings, and Esophageal Mucosal Histopathology Helps to Differentiate Achalasia from Refractory Gastroesophageal Reflux Disease" Diagnostics 11, no. 12: 2347. https://doi.org/10.3390/diagnostics11122347
APA StyleYeh, C.-C., Shun, C.-T., Tseng, L.-W., Chiang, T.-H., Wu, J.-F., Lee, H.-C., Chen, C.-C., Wang, H.-P., Wu, M.-S., & Tseng, P.-H. (2021). Combination of Symptom Profile, Endoscopic Findings, and Esophageal Mucosal Histopathology Helps to Differentiate Achalasia from Refractory Gastroesophageal Reflux Disease. Diagnostics, 11(12), 2347. https://doi.org/10.3390/diagnostics11122347

