Application of the International System for Reporting Serous Fluid Cytopathology with Cytohistological Correlation and Risk of Malignancy Assessment
Abstract
:1. Introduction
2. Materials and Methods
2.1. Data Retrieval
2.2. Previous Reporting Scheme
2.3. The International System for Reporting Serous Effusions (TIS)
- ND: Non-diagnostic specimen.
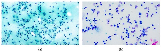
- NFM: Specimen negative for malignancy.
- AUS: Presence of atypical cells that, however, lack evidence of malignancy, with the atypical characteristics often attributed to inflammatory changes. Of note, specimens classified as AUS tend to lean closer to the benign end of the spectrum.
- SFM: Presence of cells with atypia not enough for a diagnosis of malignancy, but such diagnosis strongly indicates malignancy.
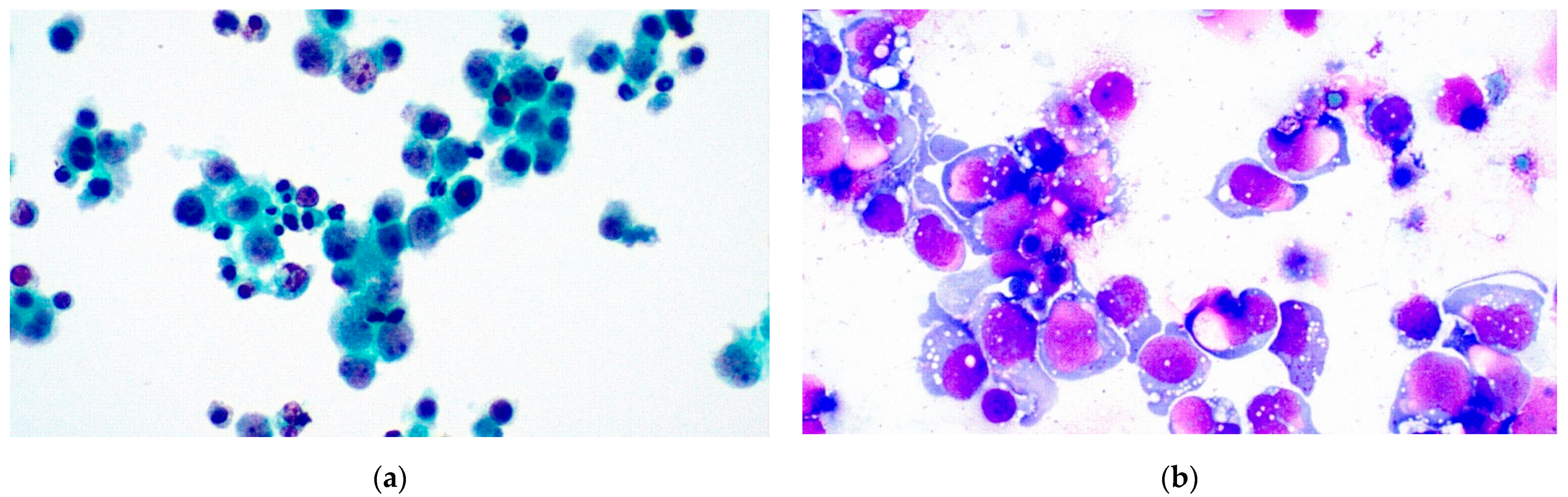
- MAL: Specimens containing clearly malignant cells.
2.4. Cytohistological Correlation and Further Analysis
3. Results
3.1. Pleural Effusions
3.2. Peritoneal Effusions
3.3. Pericardial Effusions
4. Discussion
5. Conclusions
Author Contributions
Funding
Institutional Review Board Statement
Informed Consent Statement
Data Availability Statement
Conflicts of Interest
References
- Michael, C.W. Serous fluid cytopathology: Past, present, and future. Diagn. Cytopathol. 2021, 49, 577–581. [Google Scholar] [CrossRef]
- Rodriguez, E.F.; Pastorello, R.; Morris, P.; Saieg, M.; Chowsilpa, S.; Maleki, Z. Suspicious for Malignancy Diagnoses on Pleural Effusion Cytology. Am. J. Clin. Pathol. 2020, 154, 394–402. [Google Scholar] [CrossRef]
- Murali, R.; Park, K.; Leslie, K.O. The Pleura in Health and Disease. Semin. Respir. Crit. Care Med. 2010, 31, 649–673. [Google Scholar] [CrossRef] [PubMed]
- Porcel, J.M.; Light, R.W. Diagnostic approach to pleural effusion in adults. Am. Fam. Physician 2006, 73, 1211–1220. [Google Scholar] [PubMed]
- Siddiqui, M.T. Serous cavity fluids: Momentum, molecules, markers… and more! Cancer Cytopathol. 2020, 128, 381–383. [Google Scholar] [CrossRef] [PubMed] [Green Version]
- AlShaikh, S.; Lapadat, R.; Do, M.K.A.; Mehrotra, S.; Barkan, G.A.; Wojcik, E.M.; Pambuccian, S.E. The utilization and utility of immunostains in body fluid cytology. Cancer Cytopathol. 2020, 128, 384–391. [Google Scholar] [CrossRef] [PubMed]
- Churg, A.; Naso, J.R. The separation of benign and malignant mesothelial proliferations: New markers and how to use them. Am. J. Surg. Pathol. 2020, 44, e100–e112. [Google Scholar] [CrossRef]
- Rossi, E.; Bizzarro, T.; Martini, M.; Longatto-Filho, A.; Schmitt, F.; Fagotti, A.; Scambia, G.; Zannoni, G.F. The Role of Liquid Based Cytology and Ancillary Techniques in the Peritoneal Washing Analysis: Our Institutional Experience. PLoS ONE 2017, 12, e0168625. [Google Scholar] [CrossRef] [Green Version]
- Kalogeraki, A.; Tamiolakis, D.; Datseri, G.; Lazopoulos, G.; Karvelas-Kalogerakis, M.; Segredakis, J.; Zoi, I. Pleural effusion cytology due to malignancy. A combined cytomorphological–immunocytochemical study of 500 cases. Rev. Port. Pneumol. 2016, 22, 290–291. [Google Scholar] [CrossRef] [PubMed] [Green Version]
- Pinto, D.; Chandra, A.; Schmitt, F. The International System for Reporting Serous Fluid Cytopathology: How to Incorporate Molecular Data in Cytopathology Reports. J. Mol. Pathol. 2021, 2, 7. [Google Scholar] [CrossRef]
- Pinto, D.; Schmitt, F. Current applications of molecular testing on body cavity fluids. Diagn. Cytopathol. 2020, 48, 840–851. [Google Scholar] [CrossRef]
- Guan, Y.; Wang, Z.; Wang, L.; Hua, D.; Liu, J. Comparison of EGFR mutation rates in lung adenocarcinoma tissue and pleural effusion samples. Genet. Mol. Res. 2016, 15, gmr-15027001. [Google Scholar] [CrossRef] [PubMed]
- Siddiqui, M.T.; Schmitt, F.; Churg, A. Proceedings of the American Society of Cytopathology companion session at the 2019 United States and Canadian Academy of Pathology Annual meeting, part 2: Effusion cytology with focus on theranostics and diagnosis of malignant mesothelioma. J. Am. Soc. Cytopathol. 2019, 8, 352–361. [Google Scholar] [CrossRef] [PubMed]
- Davidson, B. Molecular testing on serous effusions. Diagn. Cytopathol. 2021, 49, 640–646. [Google Scholar] [CrossRef] [PubMed] [Green Version]
- Husain, H.; Nykin, D.; Bui, N.; Quan, D.; Gomez, G.; Woodward, B.; Venkatapathy, S.; Duttagupta, R.; Fung, E.; Lippman, S.N.; et al. Cell-Free DNA from Ascites and Pleural Effusions: Molecular Insights into Genomic Aber-rations and Disease Biology. Mol. Cancer Ther. 2017, 16, 948–955. [Google Scholar] [CrossRef] [PubMed] [Green Version]
- Nayar, R.; Wilbur, D.C. The Bethesda System for Reporting Cervical Cytology: A Historical Perspective. Acta Cytol. 2017, 61, 359–372. [Google Scholar] [CrossRef] [PubMed] [Green Version]
- Cibas, E.S.; Ali, S.Z. The 2017 Bethesda System for Reporting Thyroid Cytopathology. Thyroid 2017, 27, 1341–1346. [Google Scholar] [CrossRef] [PubMed]
- Pitman, M.B.; Centeno, B.A.; Ali, S.Z.; Genevay, M.; Stelow, E.; Mino-Kenudson, M.; Castillo, C.F.; Schmidt, C.M.; Brugge, W.; Layfield, L. Standardized terminology and nomenclature for pancreatobiliary cytology: The Papanicolaou Society of Cytopathology guidelines. Diagn. Cytopathol. 2014, 42, 338–350. [Google Scholar] [CrossRef] [PubMed] [Green Version]
- Barkan, G.A.; Wojcik, E.M.; Nayar, R.; Savic-Prince, S.; Quek, M.L.; Kurtycz, D.F.; Rosenthal, D.L. The Paris System for Reporting Urinary Cytology: The quest to develop a standardized terminology. J. Am. Soc. Cytopathol. 2016, 5, 177–188. [Google Scholar] [CrossRef] [PubMed]
- Maleki, Z.; Baloch, Z.; Lu, R.; Shafique, K.; Song, S.J.; Viswanathan, K.; Rao, R.A.; Lefler, H.; Fatima, A.; Wiles, A.; et al. Application of the Milan System for Reporting Submandibular Gland Cytopathology: An international, multi-institutional study. Cancer Cytopathol. 2019, 127, 306–315. [Google Scholar] [CrossRef]
- Field, A.S.; Raymond, W.A.; Rickard, M.; Arnold, L.; Brachtel, E.F.; Chaiwun, B.; Chen, L.; Di Bonito, L.; Kurtycz, D.F.; Lee, A.H.; et al. The International Academy of Cytology Yokohama System for Reporting Breast Fine-Needle Aspiration Biopsy Cytopathology. Acta Cytol. 2019, 63, 257–273. [Google Scholar] [CrossRef] [PubMed]
- Crothers, B.A.; Chandra, A. Proceedings of the American Society of Cytopathology Companion Session at the 2019 United States and Canadian Academy of Pathology Meeting Part 1: Towards an International System for Reporting Serous Fluid Cytopathology. J. Am. Soc. Cytopathol. 2019, 8, 362–368. [Google Scholar] [CrossRef] [PubMed]
- Chandra, A.; Crothers, B.; Kurtycz, D.; Schmitt, F. Announcement: The International System for Reporting Serous Fluid Cytopathology. Acta Cytol. 2019, 63, 349–351. [Google Scholar] [CrossRef] [Green Version]
- Farahani, S.J.; Baloch, Z. Are we ready to develop a tiered scheme for the effusion cytology? A comprehensive review and analysis of the literature. Diagn. Cytopathol. 2019, 47, 1145–1159. [Google Scholar] [CrossRef] [PubMed]
- Pinto, D.; Cruz, E.; Branco, D.; Linares, C.; Carvalho, C.; Silva, A.; Chorão, M.; Schmitt, F. Cytohistological Correlation in Pleural Effusions Based on the International System for Reporting Serous Fluid Cytopathology. Diagnostics 2021, 11, 1126. [Google Scholar] [CrossRef] [PubMed]
- Jha, S.; Sethy, M.; Adhya, A.K. Application of the International System for Reporting Serous Fluid Cytopathology in routine reporting of pleural effusion and assessment of the risk of malignancy. Diagn. Cytopathol. 2021, 49, 1089–1098. [Google Scholar] [CrossRef]
- Valerio, E.; Nunes, W.; Cardoso, J.; Santos, A.; Bovolim, G.; Domingos, T.; De Brot, L.; Saieg, M. A 2-year retrospective study on pleural effusions: A cancer centre experience. Cytopathology 2019, 30, 607–613. [Google Scholar] [CrossRef]
- Hou, T.; Landon, G.; Stewart, J.; Roy-Chowdhuri, S. The value of a tiered cytology diagnostic reporting system in assessing the risk of malignancy in indeterminate serous effusions. Cancer Cytopathol. 2021, 129, 75–82. [Google Scholar] [CrossRef] [PubMed]
- Rodriguez, E.F.; Jones, R.; Gabrielson, M.; Santos, D.; Pastorello, R.; Maleki, Z. Application of the International System for Reporting Serous Fluid Cytopathology (ISRSFC) on Reporting Pericardial Effusion Cytology. Acta Cytol. 2020, 64, 477–485. [Google Scholar] [CrossRef] [PubMed]
- Xu, Y.; Hu, A.; Wang, S.; Wang, Q.; Pan, Y.; Zhang, S. A retrospective analysis of pleural effusion specimens based on the newly proposed International System for Reporting Serous Fluid Cytopathology. Diagn. Cytopathol. 2021, 49, 997–1007. [Google Scholar] [CrossRef] [PubMed]
- Lobo, C.; Costa, J.; Petronilho, S.; Monteiro, P.; Leça, L.; Schmitt, F. Cytohistological correlation in serous effusions using the newly proposed International System for Reporting Serous Fluid Cytopathology: Experience of an oncological center. Diagn. Cytopathol. 2021, 49, 596–605. [Google Scholar] [CrossRef] [PubMed]
- Kundu, R.; Srinivasan, R.; Dey, P.; Gupta, N.; Gupta, P.; Rohilla, M.; Gupta, S.; Bal, A.; Rajwanshi, A. Application of Indian Academy of Cytologists Guidelines for Reporting Serous Effusions: An Institutional Experience. J. Cytol 2021, 38, 1. [Google Scholar] [PubMed]
- Savvidou, K.; Dimitrakopoulou, A.; Kafasi, N.; Konstantopoulos, K.; Vassilakopoulos, T.; Angelopoulou, M.; Siakantaris, M.; Korkolopoulou, P.; Kanavaros, P.; Mikou, P. Diagnostic role of cytology in serous effusions of patients with hematologic malignancies. Diagn. Cytopathol. 2019, 47, 404–411. [Google Scholar] [CrossRef] [PubMed]




| ND | NFM | AUS | SFM | MAL | Total | |
|---|---|---|---|---|---|---|
| Pleural | 3 [0.57%] | 430 [81.44%] | 15 [2.84%] | 15 [2.84%] | 65 [12.31%] | 528 [100%] |
| Peritoneal | 6 [1.2%] | 347 [69.4%] | 13 [2.6%] | 12 [2.4%] | 122 [24.4%] | 500 [100%] |
| Pericardial | 0 [0%] | 1 [33.33%] | 0 [0%] | 0 [0%] | 2 [66.67%] | 3 [100%] |
| Diagnostic Category | Gender | Age (Years) | Volume (mL) | ICC | Histology Reports | |
|---|---|---|---|---|---|---|
| ND (n = 3) | M: 3 | F: 0 | Min: 11 | Min: 1 | 0 | Total: 2 |
| Max: 83 | Max: 10 | Synchronous: 2 | ||||
| Ave: 48.67 | Ave: 5.33 | Previous: 0 | ||||
| NFM (n = 430) | M: 249 | F: 181 | Min: 11 | Min: 0.1 | 26 | Total: 202 |
| Max: 95 | Max: 1600 | Synchronous: 89 | ||||
| Ave: 67.37 | Ave: 182 | Previous: 13 | ||||
| AUS (n = 15) | M: 2 | F: 5 | Min: 60 | Min: 0.5 | 1 | Total: 3 |
| Max: 83 | Max: 50 | Synchronous: 3 | ||||
| Ave: 75 | Ave: 19.38 | Previous: 0 | ||||
| SFM (n = 15) | M: 11 | F: 4 | Min: 55 | Min: 3 | 10 | Total: 14 |
| Max: 72 | Max: 700 | Synchronous: 14 | ||||
| Ave: 66 | Ave: 125.57 | Previous: 0 | ||||
| MAL (n = 65) | M: 21 | F: 44 | Min: 59 | Min: 0.5 | 9 | Total: 16 |
| Max: 92 | Max: 1400 | Synchronous: 13 | ||||
| Ave: 74 | Ave: 206.5 | Previous: 3 | ||||
| Total (n = 528) | M: 286 | F: 242 | Min: 11 | Min: 0.1 | 46 | Total: 239 |
| Max: 95 | Max: 1600 | Synchronous: 215 | ||||
| Ave: 68.92 | Ave: 173.75 | Previous: 16 | ||||
| Diagnostic Category | Gender | Age (Years) | Volume (mL) | ICC | Histology Reports | |
|---|---|---|---|---|---|---|
| ND (n = 6) | M: 3 | F: 3 | Min: 58 | Min: 3 | 0 | Total: 0 |
| Max: 88 | Max: 20 | Synchronous: 0 | ||||
| Ave: 70.75 | Ave: 8.7 | Previous: 0 | ||||
| NFM (n = 347) | M: 187 | F: 160 | Min: 16 | Min: 0.2 | 28 | Total: 184 |
| Max: 89 | Max: 2400 | Synchronous: 32 | ||||
| Ave: 66.47 | Ave: 230.44 | Previous: 152 | ||||
| AUS (n = 13) | M: 8 | F: 5 | Min: 42 | Min: 5 | 3 | Total: 8 |
| Max: 85 | Max: 500 | Synchronous: 0 | ||||
| Ave: 64.6 | Ave: 133.2 | Previous: 8 | ||||
| SFM (n = 12) | M: 6 | F: 6 | Min: 55 | Min: 3 | 2 | Total: 12 |
| Max: 87 | Max: 100 | Synchronous: 4 | ||||
| Ave: 70 | Ave: 36.5 | Previous: 8 | ||||
| MAL (n = 122) | M: 42 | F: 80 | Min: 35 | Min: 1 | 36 | Total: 76 |
| Max: 93 | Max: 2000 | Synchronous: 3 | ||||
| Ave: 70.38 | Ave: 245.2 | Previous: 73 | ||||
| Total (n = 500) | M: 246 | F: 254 | Min: 16 | Min: 0.2 | 69 | Total: 268 |
| Max: 93 | Max: 2400 | Synchronous: 39 | ||||
| Ave: 67.6 | Ave: 234.72 | Previous: 226 | ||||
| Pleural Effusion Cases (65) | |
|---|---|
| Breast | 12 |
| Lung | 10 |
| Lymphoma | 8 |
| Pancreas | 7 |
| Ovary | 7 |
| Colon | 6 |
| Leukemia | 5 |
| Angiosarcoma | 2 |
| Urothelial carcinoma | 2 |
| Melanoma | 2 |
| Multiple myeloma | 2 |
| Esophagus | 1 |
| Stomach | 1 |
| Peritoneal Effusion Cases (122) | |
| Ovary | 36 |
| Stomach | 19 |
| Breast | 15 |
| Colon | 14 |
| Pancreas | 14 |
| Urothelial carcinoma | 8 |
| Melanoma | 5 |
| Bile duct | 3 |
| Gallbladder | 2 |
| Lung | 2 |
| Lymphoma | 2 |
| Leukemia | 1 |
| Renal cell carcinoma | 1 |
| ND | NFM | AUS | SFM | MAL | |
|---|---|---|---|---|---|
| PLEURAL | (0/3) 0% | (20/375) 5.3% | (5/15) 33.33% | (14/15) 93.33% | (65/65) 100% |
| PERITONEAL | (1/6) 16.66% | (27/298) 9% | (5/13) 38.46% | (10/12) 83.33% | (122/122) 100% |
Publisher’s Note: MDPI stays neutral with regard to jurisdictional claims in published maps and institutional affiliations. |
© 2021 by the authors. Licensee MDPI, Basel, Switzerland. This article is an open access article distributed under the terms and conditions of the Creative Commons Attribution (CC BY) license (https://creativecommons.org/licenses/by/4.0/).
Share and Cite
Pergaris, A.; Stefanou, D.; Keramari, P.; Sousouris, S.; Kavantzas, N.; Gogas, H.; Mikou, P. Application of the International System for Reporting Serous Fluid Cytopathology with Cytohistological Correlation and Risk of Malignancy Assessment. Diagnostics 2021, 11, 2223. https://doi.org/10.3390/diagnostics11122223
Pergaris A, Stefanou D, Keramari P, Sousouris S, Kavantzas N, Gogas H, Mikou P. Application of the International System for Reporting Serous Fluid Cytopathology with Cytohistological Correlation and Risk of Malignancy Assessment. Diagnostics. 2021; 11(12):2223. https://doi.org/10.3390/diagnostics11122223
Chicago/Turabian StylePergaris, Alexandros, Dimitra Stefanou, Panagiota Keramari, Stylianos Sousouris, Nikolaos Kavantzas, Helen Gogas, and Panagiota Mikou. 2021. "Application of the International System for Reporting Serous Fluid Cytopathology with Cytohistological Correlation and Risk of Malignancy Assessment" Diagnostics 11, no. 12: 2223. https://doi.org/10.3390/diagnostics11122223
APA StylePergaris, A., Stefanou, D., Keramari, P., Sousouris, S., Kavantzas, N., Gogas, H., & Mikou, P. (2021). Application of the International System for Reporting Serous Fluid Cytopathology with Cytohistological Correlation and Risk of Malignancy Assessment. Diagnostics, 11(12), 2223. https://doi.org/10.3390/diagnostics11122223

