Echocardiography for the Assessment of Pulmonary Hypertension and Congenital Heart Disease in the Young
Abstract
1. Introduction
1.1. Echocardiographic Features of the RV in PH-CHD
Estimation of Systolic PAP (sPAP)
1.2. Estimation of mPAP and Diastolic PAP (dPAP)
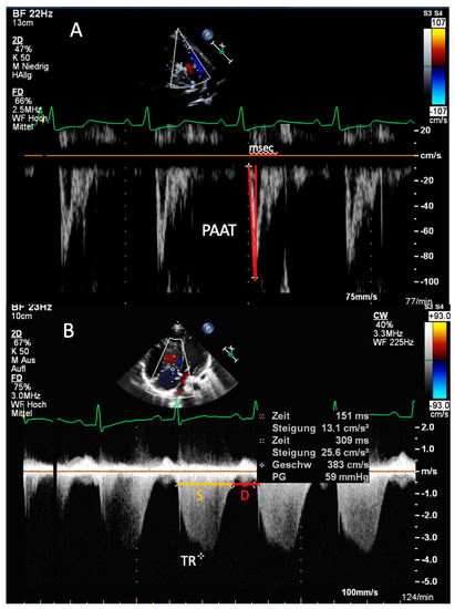
1.3. PA Acceleration Time (PAAT)
1.4. RVOT Velocity Time Integral (VTI)
1.5. Systolic-to-Diastolic Duration Ratio
1.6. Multiparametric Approaches Including Apical TAPSE and Subcostal TAPSE
1.7. RV Fractional Area Change (FAC)
1.8. RV Tissue Doppler Imaging
1.9. RV Strain Measurements
1.10. RV Diastolic Function
1.11. RV/LV Interaction
2. Echocardiographic Features of the LV in PH-CHD
2.1. LV Systolic Function
2.2. LV Diastolic Function
3. Exercise Echocardiography
4. Conclusions
Author Contributions
Funding
Conflicts of Interest
Abbreviations
| A′ | Myocardial late-diastolic velocity |
| ASD | Atrial septal defect |
| ASE | American Society of Echocardiography |
| AVV | Atrioventricular valve(s) |
| BT | Blalock–Taussig |
| CHD | Congenital heart disease |
| CT | Computed tomography |
| CW | Continuous wave |
| D | Diastolic |
| dPAP | End-diastolic PAP |
| E’ | Myocardial early diastolic velocity |
| EF | Ejection fraction |
| EPPVDN | European Pediatric Pulmonary Vascular Disease Network |
| FAC | Fractional area change |
| HLHS | Hypoplastic left heart syndrome |
| HPAH | Hereditary PAH |
| IPAH | Idiopathic PAH |
| IVC | Inferior vena cava |
| IVRT | Isovolumic relaxation time |
| IVS | Intraventricular septum |
| LA | Left atrium/left atrial |
| LV | Left ventricle |
| LVEDP | LV end-diastolic pressure |
| LVesEI | End-systolic LV eccentricity index |
| LVOT | LV outflow tract |
| LVpsEIM | Post-systolic maximal eccentricity index |
| MAPCAs | Major aortopulmonary collateral arteries |
| mPAP | Mean PAP |
| MRI | Magnetic resonance imaging |
| NYHA FC | New York Heart Association functional class |
| PA | Pulmonary artery |
| PAAT | PA acceleration time |
| PAH | Pulmonary arterial hypertension |
| PAH-CHD | PAH associated with CHD |
| PAP | Pulmonary artery pressure |
| SPAP | Systolic PAP |
| PAWP | PA wedge pressure |
| PDA | Persistent ductus arteriosus |
| PH | Pulmonary hypertension |
| PR | Pulmonary regurgitation |
| PSAX | Parasternal short axis |
| PVD | Pulmonary vascular disease |
| PVR(i) | Pulmonary vascular resistance (indexed) |
| PW | Pulsed waved |
| RA | Right atrium/right atrial |
| RAP | Right atrial pressure |
| RVEDP | RV end-diastolic pressure |
| RVEF | RV ejection fraction |
| RVET | RV ejection time |
| RVOT | Right ventricular outflow tract |
| RVSP | Right ventricular systolic pressure |
| S | Systolic |
| S-TAPSE | Subcostal TAPSE |
| S’ | Myocardial systolic velocity |
| SBP | Systolic blood pressure |
| TAPSE | Tricuspid annular peak systolic excursion |
| TDI | Tissue Doppler imaging |
| TOF | Tetralogy of Fallot |
| TPG | Transpulmonary gradient |
| TR(V) | Tricuspid regurgitation (velocity) |
| TTE | Transthoracic echocardiography |
| VEDP | Ventricular end-diastolic pressure |
| VO2 peak | Peak oxygen uptake |
| VSD | Ventricular septal defects |
| VTI | Velocity–time integral |
| VVI | Ventricular–ventricular interactions |
| WSPH | World Symposium on Pulmonary Hypertension |
References
- Simonneau, G.; Montani, D.; Celermajer, D.S.; Denton, C.P.; Gatzoulis, M.A.; Krowka, M.; Williams, P.G.; Souza, R. Haemodynamic definitions and updated clinical classification of pulmonary hypertension. Eur. Respir. J. 2019, 53, 1801913. [Google Scholar] [CrossRef] [PubMed]
- Rosenzweig, E.B.; Abman, S.H.; Adatia, I.; Beghetti, M.; Bonnet, D.; Haworth, S.; Ivy, D.D.; Berger, R.M. Paediatric pulmonary arterial hypertension: Updates on definition, classification, diagnostics and management. Eur. Respir. J. 2019, 53, 1801916. [Google Scholar] [CrossRef] [PubMed]
- Hansmann, G.; Koestenberger, M.; Alastalo, T.-P.; Apitz, C.; Austin, E.D.; Bonnet, D.; Budts, W.; D’Alto, M.; Gatzoulis, M.A.; Hasan, B.S.; et al. 2019 updated consensus statement on the diagnosis and treatment of pediatric pulmonary hypertension: The European Pediatric Pulmonary Vascular Disease Network (EPPVDN), endorsed by AEPC, ESPR and ISHLT. J. Heart Lung Transpl. 2019, 38, 879–901. [Google Scholar] [CrossRef] [PubMed]
- Galiè, N.; Humbert, M.; Vachiéry, J.-L.; Gibbs, S.; Lang, I.M.; Kaminski, K.A.; Simonneau, G.; Peacock, A.; Noordegraaf, A.V.; Beghetti, M.; et al. 2015 ESC/ERS Guidelines for the diagnosis and treatment of pulmonary hypertension. Eur. Heart J. 2015, 37, 67–119. [Google Scholar] [CrossRef] [PubMed]
- Barst, R.J.; McGoon, M.D.; Elliott, C.G.; Foreman, A.J.; Miller, D.P.; Ivy, D.D. Survival in Childhood Pulmonary Arterial Hypertension. Early Study on Assessing Disease Severity and Predicting Outcome. Circulation 2012, 125, 113–122. [Google Scholar] [CrossRef]
- Van Loon, R.L.E.; Roofthooft, M.T.R.; Hillege, H.L.; Harkel, A.D.J.T.; Van Osch-Gevers, M.; Delhaas, T.; Kapusta, L.; Strengers, J.L.M.; Rammeloo, L.; Clur, S.-A.B.; et al. Pediatric Pulmonary Hypertension in the Netherlands. Circulation 2011, 124, 1755–1764. [Google Scholar] [CrossRef]
- D’Alto, M.; Romeo, E.; Argiento, P.; Correra, A.; Santoro, G.; Gaio, G.; Sarubbi, B.; Calabrò, R.; Russo, M.G. Hemodynamics of patients developing pulmonary arterial hypertension after shunt closure. Int. J. Cardiol. 2013, 168, 3797–3801. [Google Scholar] [CrossRef]
- Hansmann, G. Pulmonary Hypertension in Infants, Children, and Young Adults. J. Am. Coll. Cardiol. 2017, 69, 2551–2569. [Google Scholar] [CrossRef]
- Kozlik-Feldmann, R.; Hansmann, G.; Bonnet, D.; Schranz, D.; Apitz, C.; Michel-Behnke, I. Pulmonary hypertension in children with congenital heart disease (PAH-CHD, PPHVD-CHD). Expert consensus statement on the diagnosis and treatment of paediatric pulmonary hypertension. The European Paediatric Pulmonary Vascular Disease Network, endorsed by ISHLT and DGPK. Heart 2016, 102, ii42–ii48. [Google Scholar] [CrossRef]
- Manes, A.; Palazzini, M.; Leci, E.; Reggiani, M.L.B.; Branzi, A.; Galiè, N. Current era survival of patients with pulmonary arterial hypertension associated with congenital heart disease: A comparison between clinical subgroups. Eur. Heart J. 2014, 35, 716–724. [Google Scholar] [CrossRef]
- Engelfriet, P.M.; Duffels, M.G.J.; Möller, T.; Boersma, E.; Tijssen, J.G.P.; Thaulow, E.; Gatzoulis, M.A.; Mulder, B.J.M. Pulmonary arterial hypertension in adults born with a heart septal defect: The Euro Heart Survey on adult congenital heart disease. Heart 2007, 93, 682–687. [Google Scholar] [CrossRef] [PubMed]
- Van Der Feen, D.E.; Bartelds, B.; De Boer, R.A.; Berger, R.M. Pulmonary arterial hypertension in congenital heart disease: Translational opportunities to study the reversibility of pulmonary vascular disease. Eur. Heart J. 2017, 38, 2034–2041. [Google Scholar] [CrossRef] [PubMed]
- Van Riel, A.C.M.J.; Schuuring, M.J.; Van Hessen, I.D.; Zwinderman, A.H.; Cozijnsen, L.; Reichert, C.L.A.; Hoorntje, J.C.A.; Wagenaar, L.J.; Post, M.C.; Van Dijk, A.P.J.; et al. Contemporary prevalence of pulmonary arterial hypertension in adult congenital heart disease following the updated clinical classification. Int. J. Cardiol. 2014, 174, 299–305. [Google Scholar] [CrossRef] [PubMed]
- Zijlstra, W.M.; Elmasry, O.; Pepplinkhuizen, S.; Ivy, D.D.; Bonnet, D.; Luijendijk, P.; Lévy, M.; Gavilan, J.L.; Torrent-Vernetta, A.; Mendoza, A.; et al. Pulmonary arterial hypertension in children after neonatal arterial switch operation. Heart 2017, 103, 1244–1249. [Google Scholar] [CrossRef]
- Hansmann, G.; Rich, S.; Maron, B.A. Cardiac catheterization in pulmonary hypertension: Doing it right, with a catheter on the left. Cardiovasc. Diagn. Ther. 2020, 10, 1718–1724. [Google Scholar] [CrossRef]
- Nageh, M.F.; A Kopelen, H.; A Zoghbi, W.; A Quiñones, M.; Nagueh, S.F. Estimation of mean right atrial pressure using tissue Doppler imaging. Am. J. Cardiol. 1999, 84, 1448–1451. [Google Scholar] [CrossRef]
- Gaynor, S.L.; Maniar, H.S.; Bloch, J.B.; Steendijk, P.; Moon, M.R. Right atrial and ventricular adaptation to chronic right ventricular pressure overload. Circulation 2005, 112, I212–I218. [Google Scholar]
- Shiina, Y.; Funabashi, N.; Lee, K.; Daimon, M.; Sekine, T.; Kawakubo, M.; Takahashi, M.; Yajima, R.; Tanabe, N.; Kuriyama, T.; et al. Right atrium contractility and right ventricular diastolic function assessed by pulsed Tissue Doppler Imaging can predict brain natriuretic peptide in adults with acquired pulmonary hypertension. Int. J. Cardiol. 2009, 135, 53–59. [Google Scholar] [CrossRef]
- Sato, T.; Tsujino, I.; Ohira, H.; Oyama-Manabe, N.; Ito, Y.M.; Yamada, A.; Ikeda, D.; Watanabe, T.; Nishimura, M. Right atrial volume and reservoir function are novel independent predictors of clinical worsening in patients with pulmonary hypertension. J. Hear. Lung Transplant. 2015, 34, 414–423. [Google Scholar] [CrossRef]
- Jone, P.-N.; Schäfer, M.; Li, L.; Craft, M.; Ivy, D.D.; Kutty, S. Right Atrial Deformation in Predicting Outcomes in Pediatric Pulmonary Hypertension. Circ. Cardiovasc. Imaging 2017, 10. [Google Scholar] [CrossRef]
- Ploegstra, M.-J.; Zijlstra, W.M.H.; Douwes, J.M.; Hillege, H.L.; Berger, R.M.F. Prognostic factors in pediatric pulmonary arterial hypertension: A systematic review and meta-analysis. Int. J. Cardiol. 2015, 184, 198–207. [Google Scholar] [CrossRef] [PubMed]
- Opitz, C.F.; Hoeper, M.M.; Gibbs, J.S.R.; Kaemmerer, H.; Pepke-Zaba, J.; Coghlan, J.G.; Scelsi, L.; D’Alto, M.; Olsson, K.M.; Ulrich, S.; et al. Pre-Capillary, Combined, and Post-Capillary Pulmonary Hypertension. J. Am. Coll. Cardiol. 2016, 68, 368–378. [Google Scholar] [CrossRef] [PubMed]
- Earing, M.G.; Cetta, F.; Driscoll, D.J.; Mair, D.D.; Hodge, D.O.; Dearani, J.A.; Puga, F.J.; Danielson, G.K.; O’Leary, P.W. Long-Term Results of the Fontan Operation for Double-Inlet Left Ventricle. Am. J. Cardiol. 2005, 96, 291–298. [Google Scholar] [CrossRef]
- Friedberg, M.K. Imaging Right-Left Ventricular Interactions. JACC: Cardiovasc. Imaging 2018, 11, 755–771. [Google Scholar] [CrossRef]
- Burkett, D.A.; Patel, S.S.; Mertens, L.; Friedberg, M.K.; Ivy, D.D. Relationship Between Left Ventricular Geometry and Invasive Hemodynamics in Pediatric Pulmonary Hypertension. Circ. Cardiovasc. Imaging 2020, 13, e009825. [Google Scholar] [CrossRef]
- Okumura, K.; Slorach, C.; Mroczek, D.; Dragulescu, A.; Mertens, L.; Redington, A.N.; Friedberg, M.K. Right Ventricular Diastolic Performance in Children with Pulmonary Arterial Hypertension Associated with Congenital Heart Disease. Circ. Cardiovasc. Imaging 2014, 7, 491–501. [Google Scholar] [CrossRef]
- Marcus, J.T.; Gan, C.T.-J.; Zwanenburg, J.J.; Boonstra, A.; Allaart, C.P.; Götte, M.J.; Vonk-Noordegraaf, A. Interventricular Mechanical Asynchrony in Pulmonary Arterial Hypertension. J. Am. Coll. Cardiol. 2008, 51, 750–757. [Google Scholar] [CrossRef]
- Louie, E.K.; Lin, S.S.; Reynertson, S.I.; Brundage, B.H.; Levitsky, S.; Rich, S. Pressure and Volume Loading of the Right Ventricle Have Opposite Effects on Left Ventricular Ejection Fraction. Circulation 1995, 92, 819–824. [Google Scholar] [CrossRef]
- Zijlstra, W.M.H.; Ploegstra, M.-J.; Vissia-Kazemier, T.R.; Roofthooft, M.T.R.; Sarvaas, G.D.M.; Bartelds, B.; Rackowitz, A.; Heuvel, F.V.D.; Hillege, H.L.; Plasqui, G.; et al. Physical Activity in Pediatric Pulmonary Arterial Hypertension Measured by Accelerometry. A Candidate Clinical Endpoint. Am. J. Respir. Crit. Care Med. 2017, 196, 220–227. [Google Scholar] [CrossRef]
- DeBoeck, G.; Scoditti, C.; Huez, S.; Vachiéry, J.-L.; LaMotte, M.; Sharples, L.; Melot, C.; Naeije, R. Exercise testing to predict outcome in idiopathicversusassociated pulmonary arterial hypertension. Eur. Respir. J. 2012, 40, 1410–1419. [Google Scholar] [CrossRef]
- Miyamoto, S.; Nagaya, N.; Satoh, T.; Kyotani, S.; Sakamaki, F.; Fujita, M.; Nakanishi, N.; Miyatake, K. Clinical Correlates and Prognostic Significance of Six-minute Walk Test in Patients with Primary Pulmonary Hypertension. Am. J. Respir. Crit. Care Med. 2000, 161, 487–492. [Google Scholar] [CrossRef] [PubMed]
- McLaughlin, V.V.; Archer, S.L.; Badesch, D.B.; Barst, R.J.; Farber, H.W.; Lindner, J.R.; Mathier, M.A.; McGoon, M.D.; Park, M.H.; Rosenson, R.S.; et al. ACCF/AHA 2009 Expert Consensus Document on Pulmonary Hypertension. A Report of the American College of Cardiology Foundation Task Force on Expert Consensus Documents and the American Heart Association Developed in Collaboration with the American Collegeo. J. Am. Coll. Cardiol. 2009, 119, 16. [Google Scholar]
- Abumehdi, M.R.; Wardle, A.J.; Nazzal, R.; Charalampopoulos, A.; Schulze-Neick, I.; Derrick, G.; Moledina, S.; Giardini, A. Feasibility and safety of cardiopulmonary exercise testing in children with pulmonary hypertension. Cardiol. Young 2016, 26, 1144–1150. [Google Scholar] [CrossRef] [PubMed]
- Gruenig, E.; Tiede, H.; Enyimayew, E.O.; Ehlken, N.; Seyfarth, H.-J.; Bossone, E.; D’Andrea, A.; Naeije, R.; Olschewski, H.; Ulrich, S.; et al. Assessment and Prognostic Relevance of Right Ventricular Contractile Reserve in Patients With Severe Pulmonary Hypertension. Circulation 2013, 128, 2005–2015. [Google Scholar] [CrossRef] [PubMed]
- Zöller, D.; Siaplaouras, J.; Apitz, A.; Bride, P.; Kaestner, M.; Latus, H.; Schranz, D.; Apitz, C. Home Exercise Training in Children and Adolescents with Pulmonary Arterial Hypertension: A Pilot Study. Pediatr. Cardiol. 2016, 38, 191–198. [Google Scholar] [CrossRef]
- Truong, U.; Meinel, K.; Haddad, F.; Koestenberger, M.; Carlsen, J.; Ivy, D.; Jone, P.-N. Update on noninvasive imaging of right ventricle dysfunction in pulmonary hypertension. Cardiovasc. Diagn. Ther. 2020, 10, 1604–1624. [Google Scholar] [CrossRef]
- Koestenberger, M.; Apitz, C.; Abdul-Khaliq, H.; Hansmann, G. Transthoracic echocardiography for the evaluation of children and adolescents with suspected or confirmed pulmonary hypertension. Expert consensus statement on the diagnosis and treatment of paediatric pulmonary hypertension. The European Paediatric Pulmonary Vascular Disease Network, endorsed by ISHLT and DGPK. Heart 2016, 102, ii14–ii22. [Google Scholar] [CrossRef]
- Koestenberger, M.; Friedberg, M.K. Non-Invasive Imaging for Congenital Heart Disease: Recent Innovations in Transthoracic Echocardiography. J. Clin. Exp. Cardiol. 2012, 1, 002. [Google Scholar] [CrossRef]
- Brida, M.; Diller, G.-P.; Nashat, H.; Strozzi, M.; Milicic, D.; Baumgartner, H.; A Gatzoulis, M. Pharmacological therapy in adult congenital heart disease: Growing need, yet limited evidence. Eur. Heart J. 2019, 40, 1049–1056. [Google Scholar] [CrossRef]
- Latus, H.; Kuehne, T.; Beerbaum, P.; Apitz, C.; Hansmann, G.; Muthurangu, V.; Moledina, S. Cardiac MR and CT imaging in children with suspected or confirmed pulmonary hypertension/pulmonary hypertensive vascular disease. Expert consensus statement on the diagnosis and treatment of paediatric pulmonary hypertension. The European Paediatric Pulmonary Vascular Disease Network, endorsed by ISHLT and DGPK. Heart 2016, 102, ii30–ii35. [Google Scholar] [CrossRef]
- Hansmann, G.; Meinel, K.; Bukova, M.; Chouvarine, P.; Wåhlander, H.; Koestenberger, M. Selexipag for the treatment of children with pulmonary arterial hypertension: First multicenter experience in drug safety and efficacy. J. Hear. Lung Transplant. 2020, 39, 695–706. [Google Scholar] [CrossRef] [PubMed]
- Hansmann, G.; Hoeper, M.M. Registries for paediatric pulmonary hypertension. Eur. Respir. J. 2013, 42, 580–583. [Google Scholar] [CrossRef] [PubMed]
- Del Cerro, M.J.; Abman, S.; Diaz, G.; Freudenthal, A.H.; Freudenthal, F.; Harikrishnan, S.; Haworth, S.G.; Ivy, D.; Lopes, A.A.; Raj, J.U.; et al. A Consensus Approach to the Classification of Pediatric Pulmonary Hypertensive Vascular Disease: Report from the PVRI Pediatric Taskforce, Panama 2011. Pulm. Circ. 2011, 1, 286–298. [Google Scholar] [CrossRef] [PubMed]
- Via, G.; Tavazzi, G.; Price, S. Ten situations where inferior vena cava ultrasound may fail to accurately predict fluid responsiveness: A physiologically based point of view. Intensiv. Care Med. 2016, 42, 1164–1167. [Google Scholar] [CrossRef]
- Fisher, M.R.; Forfia, P.R.; Chamera, E.; Housten-Harris, T.; Champion, H.C.; Girgis, R.E.; Corretti, M.C.; Hassoun, P.M. Accuracy of Doppler Echocardiography in the Hemodynamic Assessment of Pulmonary Hypertension. Am. J. Respir. Crit. Care Med. 2009, 179, 615–621. [Google Scholar] [CrossRef]
- Koestenberger, M.; Grangl, G.; Avian, A.; Gamillscheg, A.; Grillitsch, M.; Cvirn, G.; Burmas, A.; Hansmann, G. Normal Reference Values and z Scores of the Pulmonary Artery Acceleration Time in Children and Its Importance for the Assessment of Pulmonary Hypertension. Circ. Cardiovasc. Imaging 2017, 10, e005336. [Google Scholar] [CrossRef]
- Dimopoulos, K.; Condliffe, R.; Tulloh, R.M.; Clift, P.; Alonso-Gonzalez, R.; Bedair, R.; Chung, N.A.; Coghlan, G.; Fitzsimmons, S.; Frigiola, A.; et al. Echocardiographic Screening for Pulmonary Hypertension in Congenital Heart Disease. J. Am. Coll. Cardiol. 2018, 72, 2778–2788. [Google Scholar] [CrossRef]
- Murphy, D.J.; Ludomirsky, A.; Huhta, J.C. Continuous-wave Doppler in children with ventricular septal defect: Noninvasive estimation of interventricular pressure gradient. Am. J. Cardiol. 1986, 57, 428–432. [Google Scholar] [CrossRef]
- Marx, G.R.; Allen, H.D.; Goldberg, S.J. Doppler echocardiographic estimation of systolic pulmonary artery pressure in pediatric patients with interventricular communications. J. Am. Coll. Cardiol. 1985, 6, 1132–1137. [Google Scholar] [CrossRef]
- Jone, P.-N.; Eivy, D.D. Echocardiography in Pediatric Pulmonary Hypertension. Front. Pediatr. 2014, 2, 124. [Google Scholar] [CrossRef]
- Ge, Z.; Zhang, Y.; Kang, W.; Fan, D.; Ji, X.; Duran, C. Noninvasive evaluation of right ventricular and pulmonary artery systolic pressures in patients with ventricular septal defects: Simultaneous study of Doppler and catheterization data. Am. Hear. J. 1993, 125, 1073–1081. [Google Scholar] [CrossRef]
- Aggarwal, M.; Grady, R.M.; Choudhry, S.; Anwar, S.; Eghtesady, P.; Singh, G.K. Potts Shunt Improves Right Ventricular Function and Coupling With Pulmonary Circulation in Children With Suprasystemic Pulmonary Arterial Hypertension. Circ. Cardiovasc. Imaging 2018, 11, e007964. [Google Scholar] [CrossRef] [PubMed]
- Masuyama, T.; Kodama, K.; Kitabatake, A.; Sato, H.; Nanto, S.; Inoue, M. Continuous-wave Doppler echocardiographic detection of pulmonary regurgitation and its application to noninvasive estimation of pulmonary artery pressure. Circulation 1986, 74, 484–492. [Google Scholar] [CrossRef] [PubMed]
- Prieto, L.; Prieto, L.R. Management of Tetralogy of Fallot with Pulmonary Atresia. Images Paediatr. Cardiol. 2005, 7, 24–42. [Google Scholar]
- Dimopoulos, K.; Diller, G.; Opotowsky, A.R.; D’Alto, M.; Gu, H.; Giannakoulas, G.; Budts, W.; Broberg, C.S.; Veldtman, G.; Swan, L.; et al. Definition and Management of Segmental Pulmonary Hypertension. J. Am. Hear. Assoc. 2018, 7. [Google Scholar] [CrossRef]
- Chaudhari, M.; Balmer, C.; Heng, J.; Wright, J.; Stümper, O. Usefulness of Blalock-Taussig shunt Doppler flow velocity profiles in the assessment of pulmonary artery pressure and flow. Eur. J. Echocardiogr. 2004, 5. [Google Scholar] [CrossRef][Green Version]
- Yared, K.; Noseworthy, P.; Weyman, A.E.; McCabe, E.; Picard, M.H.; Baggish, A.L. Pulmonary Artery Acceleration Time Provides an Accurate Estimate of Systolic Pulmonary Arterial Pressure during Transthoracic Echocardiography. J. Am. Soc. Echocardiogr. 2011, 24, 687–692. [Google Scholar] [CrossRef]
- Arkles, J.S.; Opotowsky, A.R.; Ojeda, J.; Rogers, F.; Liu, T.; Prassana, V.; Marzec, L.; Palevsky, H.I.; Ferrari, V.A.; Forfia, P.R. Shape of the Right Ventricular Doppler Envelope Predicts Hemodynamics and Right Heart Function in Pulmonary Hypertension. Am. J. Respir. Crit. Care Med. 2011, 183, 268–276. [Google Scholar] [CrossRef]
- Torbicki, A.; Kurzyna, M.; Ciurzynski, M.; Pruszczyk, P.; Pacho, R.; Kuch-Wocial, A.; Szulc, M. Proximal pulmonary emboli modify right ventricular ejection pattern. Eur. Respir. J. 1999, 13, 616–621. [Google Scholar] [CrossRef]
- Granstam, S.-O.; Bjorklund, E.; Wikstrom, G.; Roos, M.W. Use of echocardiographic pulmonary acceleration time and estimated vascular resistance for the evaluation of possible pulmonary hypertension. Cardiovasc. Ultrasound 2013, 11, 7. [Google Scholar] [CrossRef]
- Cevik, A.; Kula, S.; Olguntürk, R.; Tunaoglu, F.S.; Oguz, A.D.; Şaylan, B.; Cilsal, E.; Sanli, C. Assessment of Pulmonary Arterial Hypertension and Vascular Resistance by Measurements of the Pulmonary Arterial Flow Velocity Curve in the Absence of a Measurable Tricuspid Regurgitant Velocity in Childhood Congenital Heart Disease. Pediatr. Cardiol. 2012, 34, 646–655. [Google Scholar] [CrossRef] [PubMed]
- Levy, P.T.; Patel, M.D.; Groh, G.; Choudhry, S.; Murphy, J.; Holland, M.R.; Hamvas, A.; Grady, M.R.; Singh, G.K. Pulmonary Artery Acceleration Time Provides a Reliable Estimate of Invasive Pulmonary Hemodynamics in Children. J. Am. Soc. Echocardiogr. 2016, 29, 1056–1065. [Google Scholar] [CrossRef] [PubMed]
- Habash, S.; Laser, K.T.; Moosmann, J.; Reif, R.; Adler, W.; Glöckler, M.; Kececioglu, D.; Dittrich, S. Normal values of the pulmonary artery acceleration time (PAAT) and the right ventricular ejection time (RVET) in children and adolescents and the impact of the PAAT/RVET-index in the assessment of pulmonary hypertension. Int. J. Cardiovasc. Imaging 2019, 35, 295–306. [Google Scholar] [CrossRef] [PubMed]
- Hansmann, G.; Sallmon, H.; Roehr, C.C.; Kourembanas, S.; Austin, E.D.; Koestenberger, M. Pulmonary hypertension in bronchopulmonary dysplasia. Pediatr. Res. 2020. [Google Scholar] [CrossRef]
- Gaulton, J.S.; Mercer-Rosa, L.M.; Glatz, A.C.; Jensen, E.A.; Capone, V.; Scott, C.; Appel, S.M.; Stoller, J.Z.; Fraga, M.V. Relationship between pulmonary artery acceleration time and pulmonary artery pressures in infants. Echocardiography 2019, 36, 1524–1531. [Google Scholar] [CrossRef]
- Patel, M.D.; Breatnach, C.R.; James, A.T.; Choudhry, S.; McNamara, P.J.; Jain, A.; Franklin, O.; Hamvas, A.; Mertens, L.; Singh, G.K.; et al. Echocardiographic Assessment of Right Ventricular Afterload in Preterm Infants: Maturational Patterns of Pulmonary Artery Acceleration Time Over the First Year of Age and Implications for Pulmonary Hypertension. J. Am. Soc. Echocardiogr. 2019, 32, 884–894.e4. [Google Scholar] [CrossRef]
- Koestenberger, M.; Nage, B.; Ravekes, W.; Avian, A.; Burmas, A.; Grangl, G.; Cvirn, G.; Gamillscheg, A. Right Ventricular Outflow Tract Velocity Time Integral Determination in 570 Healthy Children and in 52 Pediatric Atrial Septal Defect Patients. Pediatr. Cardiol. 2015, 36, 1129–1134. [Google Scholar] [CrossRef]
- Abbas, A.E.; Franey, L.M.; Marwick, T.; Maeder, M.; Kaye, D.M.; Vlahos, A.P.; Serra, W.; Al-Azizi, K.; Schiller, N.B.; Lester, S.J. Noninvasive Assessment of Pulmonary Vascular Resistance by Doppler Echocardiography. J. Am. Soc. Echocardiogr. 2013, 26, 1170–1177. [Google Scholar] [CrossRef]
- Miller, D.; Farah, M.G.; Liner, A.; Fox, K.; Schluchter, M.; Hoit, B.D. The relation between quantitative right ventricular ejection fraction and indices of tricuspid annular motion and myocardial performance. J. Am. Soc. Echocardiogr. 2004, 17, 443–447. [Google Scholar] [CrossRef]
- Koestenberger, M.; Avian, A.; Grangl, G.; Burmas, A.; Kurath-Koller, S.; Hansmann, G. Right ventricular outflow tract velocity time integral (RVOT VTI) and tricuspid regurgitation velocity/RVOT VTI ratio in pediatric pulmonary hypertension. Int. J. Cardiol. 2016, 212, 274–276. [Google Scholar] [CrossRef]
- Ajami, G.; Cheriki, S.; Amoozgar, H.; Borzouee, M.; Soltani, M. Accuracy of Doppler-Derived Estimation of Pulmonary Vascular Resistance in Congenital Heart Disease: An Index of Operability. Pediatr. Cardiol. 2011, 32, 1168–1174. [Google Scholar] [CrossRef]
- Vlahos, A.P.; Feinstein, J.A.; Schiller, N.B.; Silverman, N.H. Extension of Doppler-Derived Echocardiographic Measures of Pulmonary Vascular Resistance to Patients with Moderate or Severe Pulmonary Vascular Disease. J. Am. Soc. Echocardiogr. 2008, 21, 711–714. [Google Scholar] [CrossRef]
- Pande, A.; Sarkar, A.; Ahmed, I.; Chandra, G.N.; Patil, S.K.; Kundu, C.K.; Arora, R.; Samanta, A. Non-invasive estimation of pulmonary vascular resistance in patients of pulmonary hypertension in congenital heart disease with unobstructed pulmonary flow. Ann. Pediatr. Cardiol. 2014, 7, 92–97. [Google Scholar] [CrossRef]
- McCabe, C.; Vranesic, I.I.; Verdes, M.C.; Kempny, A.; Khan, U.; Price, L.; Gatzoulis, M.; Dimopoulos, K.; Wort, S.; Li, W. Right ventricular systolic to diastolic duration ratio: A novel predictor of outcome in adult idiopathic pulmonary arterial hypertension. Int. J. Cardiol. 2019, 293, 218–222. [Google Scholar] [CrossRef]
- Friedberg, M.K.; Silverman, N.H. The Systolic to Diastolic Duration Ratio in Children with Heart Failure Secondary to Restrictive Cardiomyopathy. J. Am. Soc. Echocardiogr. 2006, 19, 1326–1331. [Google Scholar] [CrossRef]
- Sarnari, R.; Kamal, R.Y.; Friedberg, M.K.; Silverman, N.H. Doppler Assessment of the Ratio of the Systolic to Diastolic Duration in Normal Children: Relation to Heart Rate, Age and Body Surface Area. J. Am. Soc. Echocardiogr. 2009, 22, 928–932. [Google Scholar] [CrossRef]
- Alkon, J.; Humpl, T.; Manlhiot, C.; McCrindle, B.W.; Reyes, J.T.; Friedberg, M.K. Usefulness of the Right Ventricular Systolic to Diastolic Duration Ratio to Predict Functional Capacity and Survival in Children With Pulmonary Arterial Hypertension. Am. J. Cardiol. 2010, 106, 430–436. [Google Scholar] [CrossRef]
- Cordina, R.; Von Klemperer, K.; Kempny, A.; West, C.; Senior, R.; Celermajer, D.S.; A Gatzoulis, M.; Babu-Narayan, S.V.; Li, W. Echocardiographic Predictors of Mortality in Adults With a Fontan Circulation. JACC Cardiovasc. Imaging 2017, 10, 212–213. [Google Scholar] [CrossRef]
- Cordina, R.; Ministeri, M.; Babu-Narayan, S.V.; Ladouceur, M.; Celermajer, D.S.; Gatzoulis, M.A.; Uebing, A.; Li, W. Evaluation of the relationship between ventricular end-diastolic pressure and echocardiographic measures of diastolic function in adults with a Fontan circulation. Int. J. Cardiol. 2018, 259, 71–75. [Google Scholar] [CrossRef]
- Koestenberger, M. Transthoracic Echocardiography in Children and Young Adults with Congenital Heart Disease. ISRN Pediatr. 2012, 2012, 1–15. [Google Scholar] [CrossRef]
- Grangl, G.; Pansy, J.; Burmas, A.; Koestenberger, M. Tricuspid annular plane systolic excursion is reduced in infants with pulmonary hypertension: Value of tricuspid annular plane systolic excursion (TAPSE) to determine right ventricular function in various conditions of pediatric pulmonary hypertension. Echocardiography 2015. [Google Scholar] [CrossRef]
- Klitsie, L.M.; Kuipers, I.M.; Roest, A.A.W.; Van Der Hulst, A.E.; Stijnen, T.; Hazekamp, M.G.; Blom, N.; Harkel, A.D.J.T. Disparity in right vs left ventricular recovery during follow-up after ventricular septal defect correction in children. Eur. J. Cardio Thoracic Surg. 2013, 44, 269–274. [Google Scholar] [CrossRef][Green Version]
- Koestenberger, M.; Ravekes, W.; Everett, A.D.; Stueger, H.P.; Heinzl, B.; Gamillscheg, A.; Cvirn, G.; Boysen, A.; Fandl, A.; Nagel, B. Right Ventricular Function in Infants, Children and Adolescents: Reference Values of the Tricuspid Annular Plane Systolic Excursion (TAPSE) in 640 Healthy Patients and Calculation of z Score Values. J. Am. Soc. Echocardiogr. 2009, 22, 715–719. [Google Scholar] [CrossRef]
- Koestenberger, M.; Nagel, B.; Ravekes, W.; Everett, A.D.; Stueger, H.P.; Heinzl, B.; Sorantin, E.; Cvirn, G.; Gamillscheg, A. Tricuspid annular plane systolic excursion and right ventricular ejection fraction in pediatric and adolescent patients with tetralogy of Fallot, patients with atrial septal defect, and age-matched normal subjects. Clin. Res. Cardiol. 2010, 100, 67–75. [Google Scholar] [CrossRef]
- Koestenberger, M.; Nagel, B.; Avian, A.; Ravekes, W.; Sorantin, E.; Cvirn, G.; Beran, E.; Halb, V.; Gamillscheg, A. Systolic Right Ventricular Function in Children and Young Adults with Pulmonary Artery Hypertension Secondary to Congenital Heart Disease and Tetralogy of Fallot: Tricuspid Annular Plane Systolic Excursion (TAPSE) and Magnetic Resonance Imaging Data. Congenit. Hear. Dis. 2012, 7, 250–258. [Google Scholar] [CrossRef]
- Kašnar-Šamprec, J.; Kühn, A.; Horer, J.; Vogt, M.; Cleuziou, J.; Lange, R.; Schreiber, C.; Von Ohain, J.P. Unloading of right ventricle by bidirectional superior cavopulmonary anastomosis in hypoplastic left heart syndrome patients promotes remodeling of systemic right ventricle but does not improve tricuspid regurgitation. J. Thorac. Cardiovasc. Surg. 2012, 144, 1102–1109. [Google Scholar] [CrossRef]
- Guazzi, M.D.; Bandera, F.; Pelissero, G.; Castelvecchio, S.; Menicanti, L.; Ghio, S.; Temporelli, P.L.; Arena, R. Tricuspid annular plane systolic excursion and pulmonary arterial systolic pressure relationship in heart failure: An index of right ventricular contractile function and prognosis. Am. J. Physiol. Circ. Physiol. 2013, 305, H1373–H1381. [Google Scholar] [CrossRef]
- Koestenberger, M.; Avian, A.; Cantinotti, M.; Hansmann, G. Tricuspid annular plane systolic excursion (TAPSE) in pediatric pulmonary hypertension: Integrating right ventricular ejection efficiency (RVEe) into advanced multi-parametric imaging. Int. J. Cardiol. 2019, 274, 296–298. [Google Scholar] [CrossRef]
- López-Candales, A.; Lopez, F.R.; Trivedi, S.; Elwing, J. Right Ventricular Ejection Efficiency: A New Echocardiographic Measure of Mechanical Performance in Chronic Pulmonary Hypertension. Echocardiography 2013, 31, 516–523. [Google Scholar] [CrossRef]
- Tello, K.; Wan, J.; Dalmer, A.; Vanderpool, R.; Ghofrani, H.A.; Naeije, R.; Roller, F.; Mohajerani, E.; Seeger, W.; Herberg, U.; et al. Validation of the Tricuspid Annular Plane Systolic Excursion/Systolic Pulmonary Artery Pressure Ratio for the Assessment of Right Ventricular-Arterial Coupling in Severe Pulmonary Hypertension. Circ. Cardiovasc. Imaging 2019, 12, e009047. [Google Scholar] [CrossRef]
- Sandeep, B.; Huang, X.; Xu, F.; Su, P.; Wang, T.; Sun, X. Etiology of right ventricular restrictive physiology early after repair of tetralogy of Fallot in pediatric patients. J. Cardiothorac. Surg. 2019, 14, 1–8. [Google Scholar] [CrossRef]
- Kurath-Koller, S.; Avian, A.; Cantinotti, M.; Burmas, A.; Grangl, G.; Schweintzger, S.; Gamillscheg, A.; Koestenberger, M. Normal Pediatric Values of the Subcostal Tricuspid Annular Plane Systolic Excursion (S-TAPSE) and Its Value in Pediatric Pulmonary Hypertension. Can. J. Cardiol. 2019, 35, 899–906. [Google Scholar] [CrossRef]
- Díaz-Gómez, J.L.; Alvarez, A.B.; Danaraj, J.J.; Freeman, M.L.; Lee, A.S.; Mookadam, F.; Shapiro, B.P.; Ramakrishna, H. A novel semiquantitative assessment of right ventricular systolic function with a modified subcostal echocardiographic view. Echocardiography 2017, 34, 44–52. [Google Scholar] [CrossRef]
- Sato, T.; Tsujino, I.; Ohira, H.; Oyama-Manabe, N.; Yamada, A.; Ito, Y.M.; Goto, C.; Watanabe, T.; Sakaue, S.; Nishimura, M. Validation Study on the Accuracy of Echocardiographic Measurements of Right Ventricular Systolic Function in Pulmonary Hypertension. J. Am. Soc. Echocardiogr. 2012, 25, 280–286. [Google Scholar] [CrossRef]
- Sato, T.; Tsujino, I.; Oyama-Manabe, N.; Ohira, H.; Ito, Y.M.; Yamada, A.; Ikeda, D.; Watanabe, T.; Nishimura, M. Right atrial volume and phasic function in pulmonary hypertension. Int. J. Cardiol. 2013, 168, 420–426. [Google Scholar] [CrossRef]
- Kumar, S.; Vadlamudi, K.; Kaddoura, T.; Bobhate, P.; Goot, B.H.; Elgendi, M.; Jain, S.; Colen, T.; Khoo, N.S.; Adatia, I. Active right atrial emptying fraction predicts reduced survival and increased adverse events in childhood pulmonary arterial hypertension. Int. J. Cardiol. 2018, 271, 306–311. [Google Scholar] [CrossRef]
- Bernardo, R.J.; Haddad, F.; Couture, E.J.; Hansmann, G.; Perez, V.A.D.J.; Denault, A.Y.; De Man, F.S.; Amsallem, M. Mechanics of right ventricular dysfunction in pulmonary arterial hypertension and heart failure with preserved ejection fraction. Cardiovasc. Diagn. Ther. 2020, 10, 1580–1603. [Google Scholar] [CrossRef]
- Brierre, G.; Blot-Souletie, N.; Degano, B.; Têtu, L.; Bongard, V.; Carrie, D. New echocardiographic prognostic factors for mortality in pulmonary arterial hypertension. Eur. J. Echocardiogr. 2010, 11, 516–522. [Google Scholar] [CrossRef]
- Kassem, E.; Humpl, T.; Friedberg, M.K. Prognostic significance of 2-dimensional, M-mode, and Doppler echo indices of right ventricular function in children with pulmonary arterial hypertension. Am. Hear. J. 2013, 165, 1024–1031. [Google Scholar] [CrossRef] [PubMed]
- Forfia, P.R.; Fisher, M.R.; Mathai, S.C.; Housten-Harris, T.; Hemnes, A.R.; Borlaug, B.A.; Chamera, E.; Corretti, M.C.; Champion, H.C.; Abraham, T.P.; et al. Tricuspid Annular Displacement Predicts Survival in Pulmonary Hypertension. Am. J. Respir. Crit. Care Med. 2006, 174, 1034–1041. [Google Scholar] [CrossRef]
- Levy, P.T.; Dioneda, B.; Holland, M.R.; Sekarski, T.J.; Lee, C.K.; Mathur, A.; Cade, W.T.; Cahill, A.G.; Hamvas, A.; Singh, G.K. Right Ventricular Function in Preterm and Term Neonates: Reference Values for Right Ventricle Areas and Fractional Area of Change. J. Am. Soc. Echocardiogr. 2015, 28, 559–569. [Google Scholar] [CrossRef] [PubMed]
- E Lemmer, C.; Engel, M.E.; Stanfliet, J.C.; Mayosi, B.M.; Lemmer, C.E. Reference intervals for the echocardiographic measurements of the right heart in children and adolescents: A systematic review. Cardiovasc. Ultrasound 2014, 12, 3. [Google Scholar] [CrossRef] [PubMed][Green Version]
- Van De Veire, N.R.; De Sutter, J.; Bax, J.J.; Roelandt, J.R.T.C. Technological advances in tissue Doppler imaging echocardiography. Heart 2008, 94, 1065–1074. [Google Scholar] [CrossRef] [PubMed]
- Koestenberger, M.; Friedberg, M.K.; Nestaas, E.; Michel-Behnke, I.; Hansmann, G. Transthoracic Echocardiography in the Evaluation of Pediatric Pulmonary Hypertension and Ventricular Dysfunction. Pulm. Circ. 2016, 6, 15–29. [Google Scholar] [CrossRef]
- Eidem, B.W.; McMahon, C.J.; Cohen, R.R.; Wu, J.; Finkelshteyn, I.; Kovalchin, J.P.; A Ayres, N.; I Bezold, L.; Smith, E.O.; Pignatelli, R.H. Impact of cardiac growth on doppler tissue imaging velocities: A study in healthy children. J. Am. Soc. Echocardiogr. 2004, 17, 212–221. [Google Scholar] [CrossRef]
- Pauliks, L.B. Tissue Doppler Myocardial Velocity Imaging in Infants and Children-a Window into Developmental Changes of Myocardial Mechanics. Echocardiography 2013, 30, 439–446. [Google Scholar] [CrossRef]
- Gurudevan, S.V.; Malouf, P.J.; Kahn, A.M.; Auger, W.R.; Waltman, T.J.; Madani, M.; DeMaria, A.N.; Blanchard, D.G. Noninvasive Assessment of Pulmonary Vascular Resistance Using Doppler Tissue Imaging of the Tricuspid Annulus. J. Am. Soc. Echocardiogr. 2007, 20, 1167–1171. [Google Scholar] [CrossRef]
- Saxena, N.; Rajagopalan, N.; Edelman, K.; López-Candales, A. Tricuspid Annular Systolic Velocity: A Useful Measurement in Determining Right Ventricular Systolic Function Regardless of Pulmonary Artery Pressures. Echocardiography 2006, 23, 750–755. [Google Scholar] [CrossRef]
- Wahl, A.; Praz, F.; Schwerzmann, M.; Bonél, H.M.; Koestner, S.C.; Hullin, R.; Schmid, J.P.; Stuber, T.; Delacrétaz, E.; Hess, O.M.; et al. Assessment of right ventricular systolic function: Comparison between cardiac magnetic resonance derived ejection fraction and pulsed-wave tissue Doppler imaging of the tricuspid annulus. Int. J. Cardiol. 2011, 151, 58–62. [Google Scholar] [CrossRef]
- Koestenberger, M.; Nagel, B.; Ravekes, W.; Avian, A.; Heinzl, B.; Fandl, A.; Rehak, T.; Sorantin, E.; Cvirn, G.; Gamillscheg, A. Tricuspid Annular Peak Systolic Velocity (S′) in Children and Young Adults with Pulmonary Artery Hypertension Secondary to Congenital Heart Diseases, and in Those with Repaired Tetralogy of Fallot: Echocardiography and MRI Data. J. Am. Soc. Echocardiogr. 2012, 25, 1041–1049. [Google Scholar] [CrossRef]
- Eyskens, B.; Ganame, J.; Claus, P.; Boshoff, D.; Gewillig, M.; Mertens, L. Ultrasonic Strain Rate and Strain Imaging of the Right Ventricle in Children Before and After Percutaneous Closure of an Atrial Septal Defect. J. Am. Soc. Echocardiogr. 2006, 19, 994–1000. [Google Scholar] [CrossRef] [PubMed]
- Hsiao, S.-H.; Wang, W.-C.; Yang, S.-H.; Lee, C.-Y.; Chang, S.-M.; Lin, S.-K.; Chiou, K.-R. Myocardial Tissue Doppler-Based Indexes to Distinguish Right Ventricular Volume Overload from Right Ventricular Pressure Overload. Am. J. Cardiol. 2008, 101, 536–541. [Google Scholar] [CrossRef] [PubMed]
- Cevik, A.; Kula, S.; Olgunturk, R.; Saylan, B.; Pektas, A.; Oguz, D.; Tunaoglu, S. Doppler Tissue Imaging Provides an Estimate of Pulmonary Arterial Pressure in Children with Pulmonary Hypertension Due to Congenital Intracardiac Shunts. Congenit. Hear. Dis. 2013, 8, 527–534. [Google Scholar] [CrossRef]
- Weidemann, F.; Jamal, F.; Kowalski, M.; Kukulski, T.; D’Hooge, J.; Bijnens, B.; Hatle, L.; De Scheerder, I.; Sutherland, G.R. Can strain rate and strain quantify changes in regional systolic function during dobutamine infusion, B-blockade, and atrial pacing—implications for quantitative stress echocardiography. J. Am. Soc. Echocardiogr. 2002, 15, 416–424. [Google Scholar] [CrossRef] [PubMed]
- Weidemann, F.; Jamal, F.; Sutherland, G.R.; Claus, P.; Kowalski, M.; Hatle, L.; De Scheerder, I.; Bijnens, B.; Rademakers, F.E. Myocardial function defined by strain rate and strain during alterations in inotropic states and heart rate. Am. J. Physiol. Circ. Physiol. 2002, 283, H792–H799. [Google Scholar] [CrossRef]
- Panesar, D.K.; Burch, M. Assessment of Diastolic Function in Congenital Heart Disease. Front. Cardiovasc. Med. 2017, 4. [Google Scholar] [CrossRef]
- Levy, P.T.; El-Khuffash, A.; Patel, M.D.; Breatnach, C.R.; James, A.T.; Sanchez, A.A.; Abuchabe, C.; Rogal, S.R.; Holland, M.R.; McNamara, P.J.; et al. Maturational Patterns of Systolic Ventricular Deformation Mechanics by Two-Dimensional Speckle-Tracking Echocardiography in Preterm Infants over the First Year of Age. J. Am. Soc. Echocardiogr. 2017, 30, 685–698.e1. [Google Scholar] [CrossRef]
- Levy, P.T.; Mejia, A.A.S.; Machefsky, A.; Fowler, S.; Holland, M.R.; Singh, G.K. Normal Ranges of Right Ventricular Systolic and Diastolic Strain Measures in Children: A Systematic Review and Meta-Analysis. J. Am. Soc. Echocardiogr. 2014, 27, 549–560.e3. [Google Scholar] [CrossRef]
- Li, Y.; Xie, M.; Wang, X.; Lu, Q.; Fu, M. Right ventricular regional and global systolic function is diminished in patients with pulmonary arterial hypertension: A 2-dimensional ultrasound speckle tracking echocardiography study. Int. J. Cardiovasc. Imaging 2012, 29, 545–551. [Google Scholar] [CrossRef]
- Driessen, M.M.P.; Meijboom, F.J.; Hui, W.; Dragulescu, A.; Mertens, L.; Friedberg, M.K. Regional right ventricular remodeling and function in children with idiopathic pulmonary arterial hypertension vs those with pulmonary valve stenosis: Insights into mechanics of right ventricular dysfunction. Echocardiography 2017, 100, 1342–1897. [Google Scholar] [CrossRef]
- Jone, P.-N.; Schäfer, M.; Pan, Z.; Bremen, C.; Ivy, D.D. 3D echocardiographic evaluation of right ventricular function and strain: A prognostic study in paediatric pulmonary hypertension. Eur. Heart J. Cardiovasc. Imaging 2017, 19, 1026–1033. [Google Scholar] [CrossRef] [PubMed]
- Fine, N.M.; Chen, L.; Bastiansen, P.M.; Frantz, R.P.; Pellikka, P.A.; Oh, J.K.; Kane, G.C. Outcome Prediction by Quantitative Right Ventricular Function Assessment in 575 Subjects Evaluated for Pulmonary Hypertension. Circ. Cardiovasc. Imaging 2013, 6, 711–721. [Google Scholar] [CrossRef] [PubMed]
- Toro, R.; Cabeza-Letrán, M.L.; Quezada, M.; Rodriguez-Puras, M.J.; Mangas, A. Impaired right and left ventricular mechanics in adults with pulmonary hypertension and congenital shunts. J. Cardiovasc. Med. 2016, 17, 209–216. [Google Scholar] [CrossRef] [PubMed]
- Eyskens, B.; Weidemann, F.; Kowalski, M.; Bogaert, J.; Dymarkowski, S.; Bijnens, B.H.; Gewillig, M.; Sutherland, G.; Mertens, L. Regional right and left ventricular function after the Senning operation: An ultrasonic study of strain rate and strain. Cardiol. Young 2004, 14, 255–264. [Google Scholar] [CrossRef] [PubMed]
- Eyskens, B.; Brown, S.C.; Claus, P.; Dymarkowski, S.; Gewillig, M.; Bogaert, J.; Mertens, L. The influence of pulmonary regurgitation on regional right ventricular function in children after surgical repair of tetralogy of Fallot. Eur. J. Echocardiogr. 2010, 11, 341–345. [Google Scholar] [CrossRef]
- Forsey, J.; Friedberg, M.K.; Mertens, L. Speckle Tracking Echocardiography in Pediatric and Congenital Heart Disease. Echocardiogr. 2013, 30, 447–459. [Google Scholar] [CrossRef]
- Friedberg, M.K.; Redington, A.N. Right Versus Left Ventricular Failure. Circulation 2014, 129, 1033–1044. [Google Scholar] [CrossRef]
- Vitarelli, A.; Mangieri, E.; Terzano, C.; Gaudio, C.; Salsano, F.; Rosato, E.; Capotosto, L.; D’Orazio, S.; Azzano, A.; Truscelli, G.; et al. Three-Dimensional Echocardiography and 2D-3D Speckle-Tracking Imaging in Chronic Pulmonary Hypertension: Diagnostic Accuracy in Detecting Hemodynamic Signs of Right Ventricular (RV) Failure. J. Am. Hear. Assoc. 2015, 4, e001584. [Google Scholar] [CrossRef]
- D’Alonzo, G.E.; Barst, R.J.; Ayres, S.M.; Bergofsky, E.H.; Brundage, B.H.; Detre, K.M.; Fishman, A.P.; Goldring, R.M.; Groves, B.M.; Kernis, J.T.; et al. Survival in Patients with Primary Pulmonary Hypertension. Ann. Intern. Med. 1991, 115, 343–349. [Google Scholar] [CrossRef]
- Patel, N.; Mills, J.F.; Cheung, M.M.H. Assessment of Right Ventricular Function Using Tissue Doppler Imaging in Infants with Pulmonary Hypertension. Neonatology 2009, 96, 193–199. [Google Scholar] [CrossRef]
- Takatsuki, S.; Nakayama, T.; Jone, P.-N.; Wagner, B.D.; Naoi, K.; Ivy, D.D.; Saji, T. Tissue Doppler Imaging Predicts Adverse Outcome in Children with Idiopathic Pulmonary Arterial Hypertension. J. Pediatr. 2012, 161, 1126–1131.e2. [Google Scholar] [CrossRef] [PubMed]
- Nagueh, S.F.; Smiseth, O.A.; Appleton, C.P.; Byrd, B.F.; Dokainish, H.; Edvardsen, T.; Flachskampf, F.A.; Gillebert, T.C.; Klein, A.L.; Lancellotti, P.; et al. Recommendations for the Evaluation of Left Ventricular Diastolic Function by Echocardiography: An Update from the American Society of Echocardiography and the European Association of Cardiovascular Imaging. J. Am. Soc. Echocardiogr. 2016, 29, 277–314. [Google Scholar] [CrossRef] [PubMed]
- Roca, G.Q.; Campbell, P.; Claggett, B.; Solomon, S.D.; Shah, A.M. Right Atrial Function in Pulmonary Arterial Hypertension. Circ. Cardiovasc. Imaging 2015, 8, e003521. [Google Scholar] [CrossRef]
- D’Alto, M.; D’Andrea, A.; Di Salvo, G.; Scognamiglio, G.; Argiento, P.; Romeo, E.; Di Marco, G.M.; Iacono, A.M.; Bossone, E.; Sarubbi, B.; et al. Right atrial function and prognosis in idiopathic pulmonary arterial hypertension. Int. J. Cardiol. 2017, 248, 320–325. [Google Scholar] [CrossRef]
- Olsson, K.M.; Nickel, N.; Tongers, J.; Hoeper, M.M. Atrial flutter and fibrillation in patients with pulmonary hypertension. Int. J. Cardiol. 2013, 167, 2300–2305. [Google Scholar] [CrossRef]
- Khairy, P.; Aboulhosn, J.; Gurvitz, M.Z.; Opotowsky, A.R.; Mongeon, F.-P.; Kay, J.; Valente, A.M.; Earing, M.G.; Lui, G.; Gersony, D.R.; et al. Arrhythmia Burden in Adults With Surgically Repaired Tetralogy of Fallot. Circulation 2010, 122, 868–875. [Google Scholar] [CrossRef]
- Heinzel, F.R.; Hegemann, N.; Hohendanner, F.; Primessnig, U.; Grune, J.; Blaschke, F.; De Boer, R.A.; Pieske, B.; Schiattarella, G.G.; Kuebler, W.M. Left ventricular dysfunction in heart failure with preserved ejection fraction—molecular mechanisms and impact on right ventricular function. Cardiovasc. Diagn. Ther. 2020, 10, 1541–1560. [Google Scholar] [CrossRef]
- Koestenberger, M.; Sallmon, H.; Avian, A.; Cantinotti, M.; Gamillscheg, A.; Kurath-Koller, S.; Schweintzger, S.; Hansmann, G. Ventricular-ventricular interaction variables correlate with surrogate variables of clinical outcome in children with pulmonary hypertension. Pulm. Circ. 2019, 9. [Google Scholar] [CrossRef]
- Jone, P.-N.; Hinzman, J.; Wagner, B.D.; Ivy, D.D.; Younoszai, A. Right Ventricular to Left Ventricular Diameter Ratio at End-Systole in Evaluating Outcomes in Children with Pulmonary Hypertension. J. Am. Soc. Echocardiogr. 2014, 27, 172–178. [Google Scholar] [CrossRef]
- Zeng, W.-J.; Sun, Y.-J.; Xiong, C.-M.; Gu, Q.; He, J.-G. Prognostic value of echocardiographic right/left ventricular end-diastolic diameter ratio in idiopathic pulmonary arterial hypertension. Chin. Med J. 2011, 124, 1672–1677. [Google Scholar]
- Jensen, A.S.; Broberg, C.S.; Rydman, R.; Diller, G.-P.; A Gatzoulis, M.; Dimopoulos, K.; Wort, S.J.; Pennell, D.J.; A, G.M.; Babu-Narayan, S.V. Impaired Right, Left, or Biventricular Function and Resting Oxygen Saturation Are Associated With Mortality in Eisenmenger Syndrome. Circ. Cardiovasc. Imaging 2015, 8, e003596. [Google Scholar] [CrossRef] [PubMed]
- Ghio, S.; Klersy, C.; Magrini, G.; D’Armini, A.M.; Scelsi, L.; Raineri, C.; Pasotti, M.; Serio, A.; Campana, C.; Viganò, M. Prognostic relevance of the echocardiographic assessment of right ventricular function in patients with idiopathic pulmonary arterial hypertension. Int. J. Cardiol. 2010, 140, 272–278. [Google Scholar] [CrossRef] [PubMed]
- Burkett, D.A.; Slorach, C.; Patel, S.S.; Redington, A.N.; Ivy, D.D.; Mertens, L.; Younoszai, A.K.; Friedberg, M.K. Impact of Pulmonary Hemodynamics and Ventricular Interdependence on Left Ventricular Diastolic Function in Children with Pulmonary Hypertension. Circ. Cardiovasc. Imaging 2016, 9. [Google Scholar] [CrossRef]
- Hansmann, G. Left Ventricular Diastolic Dysfunction in Pediatric Pulmonary Hypertension. Circ. Cardiovasc. Imaging 2016, 9, e005527. [Google Scholar] [CrossRef]
- Cheung, I.W.; Liang, X.-C.; Lam, W.W.; Cheung, Y.F. Impact of Right Ventricular Dilation on Left Ventricular Myocardial Deformation in Patients After Surgical Repair of Tetralogy of Fallot. Am. J. Cardiol. 2009, 104, 1264–1270. [Google Scholar] [CrossRef]
- Dong, L.; Zhang, F.; Shu, X.; Zhou, D.; Guan, L.; Pan, C.; Chen, H. Left ventricular torsional deformation in patients undergoing transcatheter closure of secundum atrial septal defect. Int. J. Cardiovasc. Imaging 2009, 25, 479–486. [Google Scholar] [CrossRef]
- Burkett, D.A.; Slorach, C.; Patel, S.S.; Redington, A.N.; Ivy, D.D.; Mertens, L.; Younoszai, A.K.; Friedberg, M.K. Left Ventricular Myocardial Function in Children with Pulmonary Hypertension: Relation to Right Ventricular Performance and Hemodynamics. Circ. Cardiovasc. Imaging 2015, 8. [Google Scholar] [CrossRef]
- Koestenberger, M.; Hansmann, G. Left Ventricular Geometry and Near-Simultaneous Invasive Hemodynamics in Pediatric Pulmonary Hypertension. Circ. Cardiovasc. Imaging 2020, 13, e010787. [Google Scholar]
- Gurudevan, S.V.; Malouf, P.J.; Auger, W.R.; Waltman, T.J.; Madani, M.; Raisinghani, A.B.; DeMaria, A.N.; Blanchard, D.G. Abnormal Left Ventricular Diastolic Filling in Chronic Thromboembolic Pulmonary Hypertension. J. Am. Coll. Cardiol. 2007, 49, 1334–1339. [Google Scholar] [CrossRef][Green Version]
- Menzel, T.; Wagner, S.; Kramm, T.; Mohr-Kahaly, S.; Mayer, E.; Braeuninger, S.; Meyer, J. Pathophysiology of Impaired Right and Left Ventricular Function in Chronic Embolic Pulmonary Hypertension. Chest 2000, 118, 897–903. [Google Scholar] [CrossRef]
- Puwanant, S.; Park, M.; Popović, Z.B.; Tang, W.H.W.; Farha, S.; George, D.; Sharp, J.; Puntawangkoon, J.; Loyd, J.E.; Erzurum, S.C.; et al. Ventricular Geometry, Strain, and Rotational Mechanics in Pulmonary Hypertension. Circulation 2010, 121, 259–266. [Google Scholar] [CrossRef] [PubMed]
- Díaz, A.; Zócalo, Y.; Cabrera-Fischer, E.; Bia, D. Reference intervals and percentile curve for left ventricular outflow tract (LVOT), velocity time integral (VTI), and LVOT-VTI-derived hemodynamic parameters in healthy children and adolescents: Analysis of echocardiographic methods association and agreem. Echocardiography 2018, 35, 2014–2034. [Google Scholar] [CrossRef] [PubMed]
- Schirmer, H.; Lunde, P.; Rasmussen, K. Mitral flow derived Doppler indices of left ventricular diastolic function in a general population. The Tromsø study. Eur. Heart J. 2000, 21, 1376–1386. [Google Scholar] [CrossRef] [PubMed]
- Nagueh, S.F.; Middleton, K.J.; A Kopelen, H.; A Zoghbi, W.; A Quiñones, M. Doppler Tissue Imaging: A Noninvasive Technique for Evaluation of Left Ventricular Relaxation and Estimation of Filling Pressures. J. Am. Coll. Cardiol. 1997, 30, 1527–1533. [Google Scholar] [CrossRef]
- Schmitz, L.; Koch, H.; Bein, G.; Brockmeier, K. Left ventricular diastolic function in infants, children, and adolescents. Reference values and analysis of morphologic and physiologic determinants of echocardiographic Doppler flow signals during growth and maturation. J. Am. Coll. Cardiol. 1998, 32, 1441–1448. [Google Scholar] [CrossRef]
- Cantinotti, M.; Giordano, R.; Scalese, M.; Murzi, B.; Assanta, N.; Spadoni, I.; Crocetti, M.; Marotta, M.; Molinaro, S.; Kutty, S.; et al. Nomograms for mitral inflow Doppler and tissue Doppler velocities in Caucasian children. J. Cardiol. 2016, 68, 288–299. [Google Scholar] [CrossRef]
- Mori, K.; Hayabuchi, Y.; Kuroda, Y.; Nii, M.; Manabe, T. Left ventricular wall motion velocities in healthy children measured by pulsed wave Doppler tissue echocardiography: Normal values and relation to age and heart rate. J. Am. Soc. Echocardiogr. 2000, 13, 1002–1011. [Google Scholar] [CrossRef]
- Kutty, S.; Padiyath, A.; Li, L.; Peng, Q.; Rangamani, S.; Schuster, A.; Danford, D.A. Functional Maturation of Left and Right Atrial Systolic and Diastolic Performance in Infants, Children, and Adolescents. J. Am. Soc. Echocardiogr. 2013, 26, 398–409.e2. [Google Scholar] [CrossRef]
- Taggart, N.W.; Cetta, F.; O’Leary, P.W.; Seward, J.B.; Eidem, B.W. Left Atrial Volume in Children Without Heart Disease and in Those With Ventricular Septal Defect or Patent Ductus Arteriosus or Hypertrophic Cardiomyopathy. Am. J. Cardiol. 2010, 106, 1500–1504. [Google Scholar] [CrossRef]
- Cordina, R.L.; Playford, D.; Lang, I.M.; Celermajer, D. State-of-the-Art Review: Echocardiography in Pulmonary Hypertension. Hear. Lung Circ. 2019, 28, 1351–1364. [Google Scholar] [CrossRef]
- Vanoverschelde, J.-L.; Essamri, B.; Vanbutsele, R.; D’Hondt, A.; Cosyns, J.R.; Detry, J.R.; Melin, J.A. Contribution of left ventricular diastolic function to exercise capacity in normal subjects. J. Appl. Physiol. 1993, 74, 2225–2233. [Google Scholar] [CrossRef] [PubMed]
- Giardini, A.; Moore, P.; Brook, M.; Stratton, V.; Tacy, T. Effect of Transcatheter Atrial Septal Defect Closure in Children on Left Ventricular Diastolic Function. Am. J. Cardiol. 2005, 95, 1255–1257. [Google Scholar] [CrossRef] [PubMed]
- A Hershenson, J.; Zaidi, A.N.; Texter, K.; Moiduddin, N.; Stefaniak, C.A.; Hayes, J.; Cua, C.L. Differences in Tissue Doppler Imaging Between Single Ventricles After the Fontan Operation and Normal Controls. Am. J. Cardiol. 2010, 106, 99–103. [Google Scholar] [CrossRef] [PubMed]
- Kirkpatrick, E.C.; Steltzer, J.; Simpson, P.; Pan, A.; Dragulescu, A.; Falkensammer, C.B.; Gelehrter, S.; Lai, W.W.; Levine, J.; Miller, S.; et al. Pulmonary Vein Doppler Patterns in Infants with Single Right Ventricle Anomalies After Initial Staged Palliations. Pediatr. Cardiol. 2017, 38, 1288–1295. [Google Scholar] [CrossRef] [PubMed]
- Cantinotti, M.; Lopez, L. Nomograms for Blood Flow and Tissue Doppler Velocities to Evaluate Diastolic Function in Children: A Critical Review. J. Am. Soc. Echocardiogr. 2013, 26, 126–141. [Google Scholar] [CrossRef] [PubMed]
- Tomkiewicz-Pająk, L.; Podolec, P.; Drabik, L.; Pająk, J.; Kolcz, J.; Plazak, W. Single ventricle function and exercise tolerance in adult patients after Fontan operation. Acta Cardiol. 2014, 69. [Google Scholar] [CrossRef]
- Żuk, M.; Mazurkiewicz-Antoń, K.; Migdal, A.; Jagiełłowicz-Kowalska, D.; Turska-Kmieć, A.; Ziółkowska, L.; Brzezinska-Rajszys, G.; Zubrzycka, M.; Kawalec, W. Prognosis in children with pulmonary arterial hypertension: 10-year single-centre experience. Kardiol. Polska 2015, 74, 159–167. [Google Scholar] [CrossRef]
- Boissière, J.; Maufrais, C.; Baquet, G.; Schuster, I.; Dauzat, M.; Doucende, G.; Obert, P.; Berthoin, S.; Nottin, S. Specific Left Ventricular Twist-Untwist Mechanics during Exercise in Children. J. Am. Soc. Echocardiogr. 2013, 26, 1298–1305. [Google Scholar] [CrossRef]
- Pieles, G.E.; Gowing, L.; Forsey, J.; Ramanujam, P.; Miller, F.; Stuart, A.G.; Williams, C.A. The relationship between biventricular myocardial performance and metabolic parameters during incremental exercise and recovery in healthy adolescents. Am. J. Physiol. Circ. Physiol. 2015, 309, H2067–H2076. [Google Scholar] [CrossRef]
- Cifra, B.; Mertens, L.L.; Mirkhani, M.; Slorach, C.; Hui, W.; Manlhiot, C.; Friedberg, M.K.; Dragulescu, A. Systolic and Diastolic Myocardial Response to Exercise in a Healthy Pediatric Cohort. J. Am. Soc. Echocardiogr. 2016, 29, 648–654. [Google Scholar] [CrossRef]
- Pieles, G.E.; Gowing, L.; Ryding, D.; Perry, D.; McNally, S.R.; Stuart, A.G.; Williams, C.A. Characterisation of LV myocardial exercise function by 2-D strain deformation imaging in elite adolescent footballers. Graefe’s Arch. Clin. Exp. Ophthalmol. 2020, 1–12. [Google Scholar] [CrossRef] [PubMed]
- Roche, S.L.; Vogel, M.; Pitkänen, O.; Grant, B.; Slorach, C.; Fackoury, C.; Stephens, D.; Smallhorn, J.; Benson, L.N.; Kantor, P.F.; et al. Isovolumic Acceleration at Rest and During Exercise in Children. J. Am. Coll. Cardiol. 2011, 57, 1100–1107. [Google Scholar] [CrossRef] [PubMed]
- Roche, S.L.; Grosse-Wortmann, L.; Friedberg, M.K.; Redington, A.N.; Stephens, D.; Kantor, P.F. Exercise Echocardiography Demonstrates Biventricular Systolic Dysfunction and Reveals Decreased Left Ventricular Contractile Reserve in Children After Tetralogy of Fallot Repair. J. Am. Soc. Echocardiogr. 2015, 28, 294–301. [Google Scholar] [CrossRef] [PubMed]
- Haddad, F.; Vrtovec, B.; A Ashley, E.; Deschamps, A.; Haddad, H.; Denault, A.Y. The concept of ventricular reserve in heart failure and pulmonary hypertension: An old metric that brings us one step closer in our quest for prediction. Curr. Opin. Cardiol. 2011, 26, 123–131. [Google Scholar] [CrossRef]
- Argiento, P.; Vanderpool, R.R.; Mulè, M.; Russo, M.G.; D’Alto, M.; Bossone, E.; Chesler, N.C.; Naeije, R. Exercise Stress Echocardiography of the Pulmonary Circulation. Chest 2012, 142, 1158–1165. [Google Scholar] [CrossRef]
- Spruijt, O.A.; De Man, F.S.; Groepenhoff, H.; Oosterveer, F.; Westerhof, N.; Vonk-Noordegraaf, A.; Bogaard, H.-J. The Effects of Exercise on Right Ventricular Contractility and Right Ventricular–Arterial Coupling in Pulmonary Hypertension. Am. J. Respir. Crit. Care Med. 2015, 191, 1050–1057. [Google Scholar] [CrossRef]
- Ghio, S.; Fortuni, F.; Greco, A.; Turco, A.; Lombardi, C.; Scelsi, L.; Raineri, C.; Matrone, B.; Vullo, E.; Guida, S.; et al. Dobutamine stress echocardiography in pulmonary arterial hypertension. Int. J. Cardiol. 2018, 270, 331–335. [Google Scholar] [CrossRef]



| Hemodynamic PH Definitions (According to the Recent WSPH, Nice 2018) | |
|---|---|
| Pre-capillary PH/PAH (Clinical groups 1, 3, 4, 5) | mPAP > 20 mmHg (in children > 3 months of age at sea level) PAWP or LVEDP ≤ 15 mmHg PVRi ≥ 3WU x m2 (may be < 3 WU m2 in CHD with left-to-right shunting) |
| Isolated post-capillary PH (Clinical groups 2, 5) | mPAP > 20 mmHg (in children > 3 months of age at sea level) PAWP or LVEDP > 15 mmHg PVRi < 3WU x m2 |
| Combined pre- and postcapillary PH (Clinical groups 2, 5) | mPAP > 20 mmHg (in children > 3 months of age at sea level) PAWP > 15 mmHg PVRi ≥ 3WU x m2 |
| PVD for circulations with TCPC (e.g., Fontan physiology) | Mean TPG* > 6 mmHg or PVRi ≥ 3WU x m2 |
| PH Group | Subgroup |
|---|---|
| Group 1 | 1.4.4 PAH-CHD (A) Eisenmenger syndrome (B) PAH associated with systemic-to-pulmonary Shunt (C) PAH and coincidental/small defects (D) PAH following surgical repair of CHD/defect closure |
| Group 2 | 2.4 Congenital post-capillary obstruction lesions (e.g., pulmonary vein stenosis, mitral/aortic stenosis, coarctation of the aorta) |
| Group 3 | 3.5 Developmental lung disorders (e.g., bronchopulmonary dysplasia, congenital diaphragmatic hernia) |
| Group 4 | 4 PH due to pulmonary artery obstructions (congenitally or acquired after surgical repair of CHD) |
| Group 5 | 5.4 Complex CHD (e.g., segmental PH, single ventricle/TCPC, scimitar syndrome) |
| Parameter | Advantages | Disadvantages/Considerations in PH-CHD |
|---|---|---|
| Peak TRV | Estimation of sPAP taking into account mean RAP, easily to perform; Is of significant prognostic value for PH | Assumes the absence of RVOTO or PS; AVV regurgitation does not reflect sPAP in patients with TCPC; Dependent on RV systolic function |
| Early PRV | Estimation of mPAP taking into account mean RAP; Should be preferred when TRV is unreliable | PR required for PRV measurements; May be under-/overestimated in severe PR |
| Late PRV | Estimation of dPAP taking into account mean RAP; Independent of RV systolic function | |
| PAAT | Can be measured in most of PH patients; PAAT < 100 ms in adults—PH is likely; Existing reference values in children | Possible pulmonary valve artifacts; Heart rate dependent (PAAT/RVET ratio is less dependent on age, BSA and heart rate) |
| TRV/ RVOT VTI | Allows noninvasive assessment of PVR in adults and children | Calculation of this ratio assumes a circular geometry of the RVOT |
| S/D ratio | S/D duration ratio > 1.4—PH is likely; Geometric independent ratio | Requires presence of defined TR onset/end; Heart rate dependent parameter |
| TAPSE/ sPAP ratio | Applicable in children and adults | Does not take into account segmental or radial RV function and contractility |
| S-TAPSE | Useful to determine in critically ill patients; Existing adult and pediatric reference values; | Useful when 4CV is not possible due to e.g., wound dressing in the ICU setting |
| FAC | Reflects longitudinal and radial RV function | Load dependent; may not apply in patients with CHD especially after surgical repair |
| RA function | RA strain values reflect RV diastolic function; Atrial arrhythmias are associated with poor outcome | Cannot be used in patients with ASDs or severe TR |
| RV/LV TDI | Reflects RV/LV systolic and diastolic function and VVI; Independent of chamber geometry; Existing reference values in children; Decreased in adult/pediatric PH-CHD patients | Variability with different loading conditions; Assessment of motion in a single dimension; |
| RV/LV ratio | Reflects extent of LV compression; Ratio > 1—PH is likely; | Cannot be used in PH patients with significant left-to-right shunt lesions; Other causes of IVS flattening must be excluded (e.g., RVOTO, PS, PR) Structure and shape of IVS may be altered postoperative (e.g., VSD Patch); Not applicable in patients with single ventricle |
| LVEI | Reflects extent of LV compression; Index > 1.7 indicates adverse outcome in adult PH | |
| LVpsEIM | Reflects maximal extent of LV compression; Significantly increased in pediatric PH | |
| LVEF | Reflects LV systolic function; Correlates with invasively measured parameters e.g., PVRi, sPAP/sSAP ratio | Load dependent; assumes regular LV geometry; Not applicable in cases of LV compression |
| RV/LV Strain | Reflects global and regional RV/LV function; Existing reference values in children; Decreased in adult/pediatric PH-CHD patients | Interpretation of strain data is often complicated especially in patients with CHD |
| LV diastolic function | E/e’ ratio > 14 indicates elevated LAP; LA volume index > 34 mL/m2 indicates LV diastolic dysfunction in adult patients; Bowing of LA septum indicates high LAP | Dependent on age, heart rate and preload; Often not reliable in children |
Publisher’s Note: MDPI stays neutral with regard to jurisdictional claims in published maps and institutional affiliations. |
© 2020 by the authors. Licensee MDPI, Basel, Switzerland. This article is an open access article distributed under the terms and conditions of the Creative Commons Attribution (CC BY) license (http://creativecommons.org/licenses/by/4.0/).
Share and Cite
Meinel, K.; Koestenberger, M.; Sallmon, H.; Hansmann, G.; Pieles, G.E. Echocardiography for the Assessment of Pulmonary Hypertension and Congenital Heart Disease in the Young. Diagnostics 2021, 11, 49. https://doi.org/10.3390/diagnostics11010049
Meinel K, Koestenberger M, Sallmon H, Hansmann G, Pieles GE. Echocardiography for the Assessment of Pulmonary Hypertension and Congenital Heart Disease in the Young. Diagnostics. 2021; 11(1):49. https://doi.org/10.3390/diagnostics11010049
Chicago/Turabian StyleMeinel, Katharina, Martin Koestenberger, Hannes Sallmon, Georg Hansmann, and Guido E. Pieles. 2021. "Echocardiography for the Assessment of Pulmonary Hypertension and Congenital Heart Disease in the Young" Diagnostics 11, no. 1: 49. https://doi.org/10.3390/diagnostics11010049
APA StyleMeinel, K., Koestenberger, M., Sallmon, H., Hansmann, G., & Pieles, G. E. (2021). Echocardiography for the Assessment of Pulmonary Hypertension and Congenital Heart Disease in the Young. Diagnostics, 11(1), 49. https://doi.org/10.3390/diagnostics11010049

