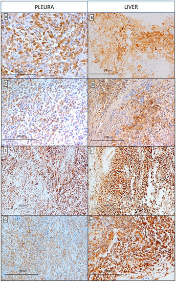
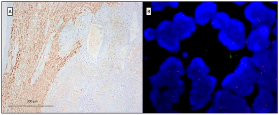
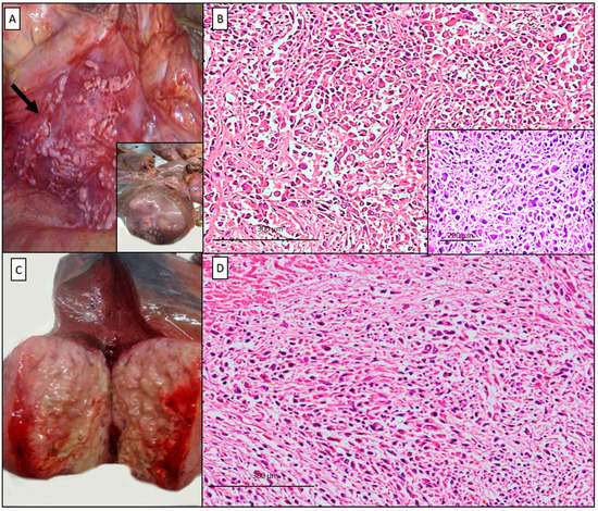
A Single Liver Metastasis from Pleural Biphasic Mesothelioma
Abstract



Author Contributions
Funding
Acknowledgments
Conflicts of Interest
Consent for Publication
References
- International Agency for Research on Cancer (IARC). WHO Classification of Tumours of the Lung, Pleura, Thymus and Heart; World Health Organization: Lyon, France, 2015. [Google Scholar]
- Husain, A.N.; Colby, T.V.; Ordóñez, N.G.; Allen, T.C.; Attanoos, R.L.; Beasley, M.B.; Butnor, K.J.; Chirieac, L.R.; Churg, A.M.; Dacic, S.; et al. Guidelines for Pathologic Diagnosis of Malignant Mesothelioma 2017 Update of the Consensus Statement From the International Mesothelioma Interest Group. Arch. Pathol. Lab. Med. 2018, 142, 89–108. [Google Scholar] [CrossRef] [PubMed]
- Vimercati, L.; Cavone, D.; Lovreglio, P.; De Maria, L.; Caputi, A.; Ferri, G.M.; Serio, G. Environmental Asbestos Exposure And Mesothelioma Cases In Bari Apulia Region Southern Italy A National Interest Site For Land Reclamation. Environ. Sci. Pollut. R. 2018, 25, 15692–15701. [Google Scholar] [CrossRef] [PubMed]
- Serio, G.; Pezzuto, F.; Marzullo, A.; Scattone, A.; Cavone, D.; Punzi, A.; Fortarezza, F.; Gentile, M.; Buonadonna, A.L.; Barbareschi, M.; et al. Peritoneal mesothelioma with residential asbestos exposure. Report of a case with long survival (seventeen years) analyzed by Cgh-array. Int. J. Mol. Sci. 2017, 18, 1818. [Google Scholar] [CrossRef] [PubMed]
- King, J.A.; Tucker, J.A.; Wong, S.W. Mesothelioma: A study of 22 gases. South. Med. J. 1997, 90, 199–205. [Google Scholar] [CrossRef] [PubMed]
- Finn, R.S.; Brims, F.J.H.; Gandhi, A.; Olsen, N.; Musk, A.W.; Maskell, N.A.; Lee, Y.C.G. Postmortem findings of malignant pleural mesothelioma: A Two-Center Study of 318 patients. Chest 2012, 142, 1267–1273. [Google Scholar] [CrossRef] [PubMed]
- Zhang, L.; Cai, Z.; Rodriguez, J.; Zhang, S.; Thomas, J.; Zhu, H. Fine Needle Biopsy of Malignant Tumors of the Liver: A Retrospective Study of 624 Cases From a Single Institution Experience. Diagn. Pathol. 2020, 15, 43. [Google Scholar] [CrossRef] [PubMed]
- Assy, N.; Nasser, G.; Djibre, A.; Beniashvili, Z.; Elias, S.; Zidan, J. Characteristics of Common Solid Liver Lesions and Recommendations for Diagnostic Workup. World J. Gastroenterol. 2009, 15, 3217–3227. [Google Scholar] [CrossRef] [PubMed]
- Ismael, H.; Cox, S. Primary Intahepatic Mesotheliomas: A Case Presentation and Literature Review. Int. J. Surg. Case Rep. 2018, 47, 1–6. [Google Scholar] [CrossRef] [PubMed]
- Nicholson, A.G.; Sauter, J.L.; Nowak, A.K.; Kindler, H.L.; Gill, R.R.; Remy-Jardin, M.; Armato, S.G.; Fernandez-Cuesta, L.; Bueno, R.; Alcala, N.; et al. EURACAN/IASLC Proposals for Updating the Histologic Classification of Pleural Mesothelioma: Towards a More Multidisciplinary Approach. J. Thorac. Oncol. 2020, 15, 29–49. [Google Scholar] [CrossRef] [PubMed]
- Galateau Salle, F.; Le Stang, N.; Tirode, F.; Courtiol, P.; Nicholson, A.G.; Tsao, M.S.; Tazelaar, H.D.; Churg, A.; Dacic, S.; Roggli, V.; et al. Comprehensive Molecular and Pathologic Evaluation of Transitional Mesothelioma Assisted by Deep Learning Approach: A Multi-Institutional Study of the International Mesothelioma Panel from the MESOPATH Reference Center. J. Thorac. Oncol. 2020, 15, 1037–1053. [Google Scholar] [CrossRef] [PubMed]
- Kadota, K.; Suzuki, K.; Sima, C.S.; Rusch, V.W.; Adusumilli, P.S.; Travis, W.D. Pleomorphic epithelioid diffuse malignant pleural mesothelioma: A clinicopathological review and conceptual proposal to reclassify as biphasic or sarcomatoid mesothelioma. J. Thorac. Oncol. 2011, 6, 896–904. [Google Scholar] [CrossRef] [PubMed]
- Carbone, M. Transitional Mesothelioma and Artificial Intelligence: Do We Need One More Subtype? and Do We Need Computers to Identify Them? J. Thorac. Oncol. 2020, 15, 884–887. [Google Scholar] [CrossRef] [PubMed]
- Chapel, D.B.; Schulte, J.J.; Husain, A.N.; Krausz, T. Application of immunohistochemistry in diagnosis and management of malignant mesothelioma. Transl. Lung Cancer Res. 2020, 9, S3–S27. [Google Scholar] [CrossRef] [PubMed]
- Carbone, M.; Adusumilli, P.S.; Alexander, H.R.; Baas, P., Jr.; Bardelli, F.; Bononi, A.; Bueno, R.; Felley-Bosco, E.; Galateau-Salle, F.; Jablons, D.; et al. Mesothelioma: Scientific clues for prevention, diagnosis, and therapy. CA Cancer J. Clin. 2019, 69, 402–429. [Google Scholar] [CrossRef] [PubMed]
- Pezzuto, F.; Serio, G.; Fortarezza, F.; Scattone, A.; Caporusso, C.; Punzi, A.; Cavone, D.; Pennella, A.; Marzullo, A.; Vimercati, L. Prognostic Value of Ki67 Percentage, WT-1 Expression and p16/CDKN2A Deletion in Diffuse Malignant Peritoneal Mesothelioma: A Single-Centre Cohort Study. Diagnostics 2020, 10, 386. [Google Scholar] [CrossRef] [PubMed]
© 2020 by the authors. Licensee MDPI, Basel, Switzerland. This article is an open access article distributed under the terms and conditions of the Creative Commons Attribution (CC BY) license (http://creativecommons.org/licenses/by/4.0/).
Share and Cite
Marzullo, A.; Serio, G.; Pezzuto, F.; Fortarezza, F.; Cazzato, G.; Caporusso, C.; Lettini, T.; Cavone, D.; Delfino, M.C.; Vimercati, L. A Single Liver Metastasis from Pleural Biphasic Mesothelioma. Diagnostics 2020, 10, 555. https://doi.org/10.3390/diagnostics10080555
Marzullo A, Serio G, Pezzuto F, Fortarezza F, Cazzato G, Caporusso C, Lettini T, Cavone D, Delfino MC, Vimercati L. A Single Liver Metastasis from Pleural Biphasic Mesothelioma. Diagnostics. 2020; 10(8):555. https://doi.org/10.3390/diagnostics10080555
Chicago/Turabian StyleMarzullo, Andrea, Gabriella Serio, Federica Pezzuto, Francesco Fortarezza, Gerardo Cazzato, Concetta Caporusso, Teresa Lettini, Domenica Cavone, Maria Celeste Delfino, and Luigi Vimercati. 2020. "A Single Liver Metastasis from Pleural Biphasic Mesothelioma" Diagnostics 10, no. 8: 555. https://doi.org/10.3390/diagnostics10080555
APA StyleMarzullo, A., Serio, G., Pezzuto, F., Fortarezza, F., Cazzato, G., Caporusso, C., Lettini, T., Cavone, D., Delfino, M. C., & Vimercati, L. (2020). A Single Liver Metastasis from Pleural Biphasic Mesothelioma. Diagnostics, 10(8), 555. https://doi.org/10.3390/diagnostics10080555

