Prenatal Management of Congenital Human Cytomegalovirus Infection in Seropositive Pregnant Patients Treated with Azathioprine
Abstract
1. Introduction
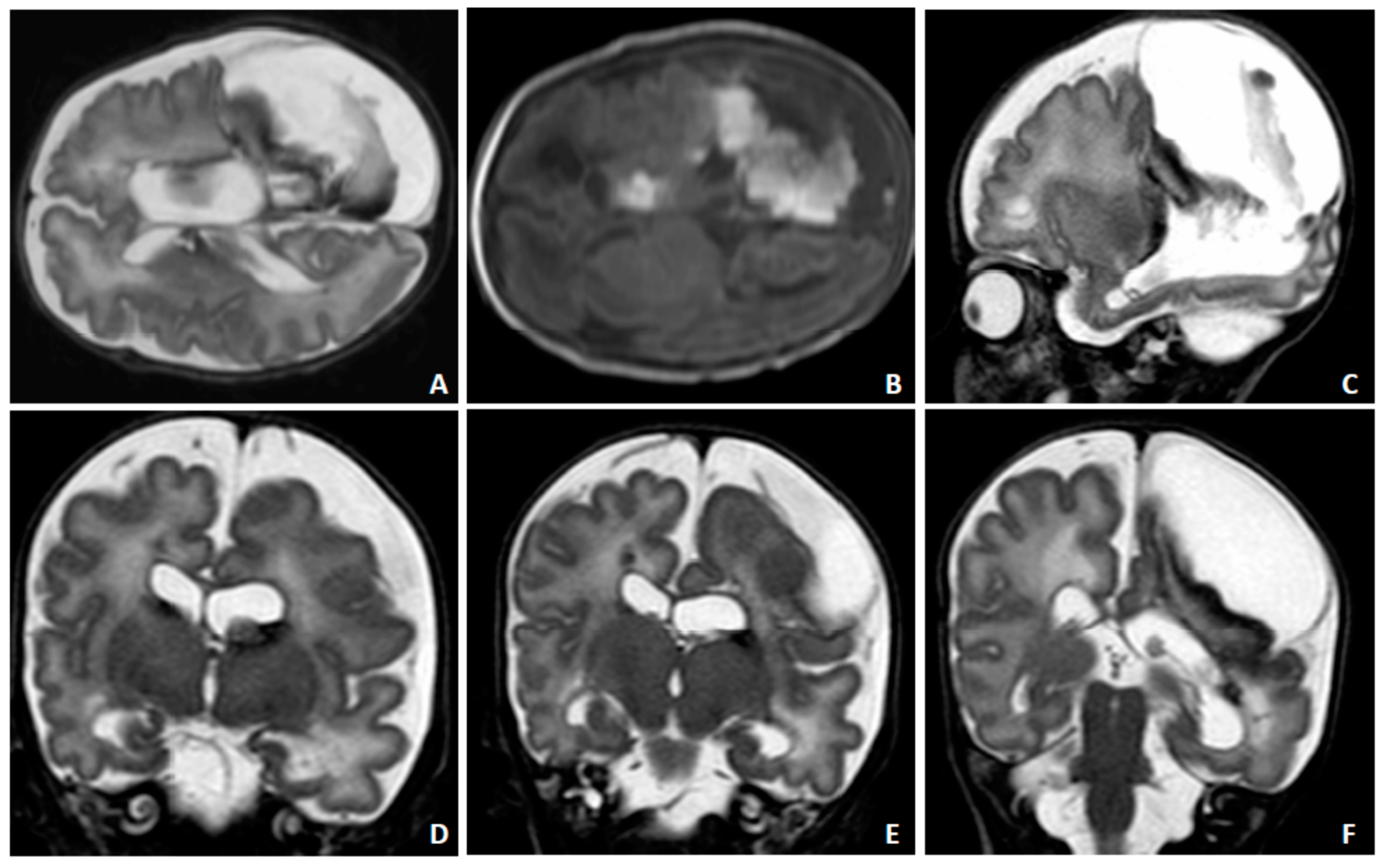
2. Case Presentation
3. Discussion
4. Conclusions
Author Contributions
Funding
Conflicts of Interest
References
- Kenneson, A.; Cannon, M.J. Review and meta-analysis of the epidemiology of congenital cytomegalovirus (CMV) infection. Rev. Med. Virol. 2007, 17, 253–276. [Google Scholar] [CrossRef] [PubMed]
- Dollard, S.C.; Grosse, S.D.; Ross, D.S. New estimates of the prevalence of neurological and sensory sequelae and mortality associated with congenital cytomegalovirus infection. Rev. Med. Virol. 2007, 17, 355–363. [Google Scholar] [CrossRef] [PubMed]
- Lilleri, D.; Gerna, G. Maternal immune correlates of protection from human cytomegalovirus transmission to the fetus after primary infection in pregnancy. Rev. Med. Virol. 2017, 27. [Google Scholar] [CrossRef] [PubMed]
- Britt, W.J. Congenital Human Cytomegalovirus Infection and the Enigma of Maternal Immunity. J. Virol. 2017, 91, e02392-16. [Google Scholar] [CrossRef] [PubMed]
- Hayes, K.; Symington, G.; Mackay, I.R. Maternal immunosuppression and cytomegalovirus infection of the fetus. Aust. N. Z. J. Med. 1979, 9, 430–433. [Google Scholar] [CrossRef] [PubMed]
- Jones, M.M.; Lidsky, M.D.; Brewer, E.J.; Yow, M.D.; Williamson, W.D. Congenital cytomegalovirus infection and maternal systemic lupus erythematosus: A case report. Arthritis Rheum. 1986, 29, 1402–1404. [Google Scholar] [CrossRef] [PubMed]
- Armenti, V.T.; Moritz, M.J.; Davison, J.M. Medical management of the pregnant transplant recipient. Adv. Ren. Replace Ther. 1998, 5, 14–23. [Google Scholar] [CrossRef]
- Von Au, M.; Schnitzler, P.; Pöschl, J.; Koch, L.; Kräusslich, H.G.; Böhler, T. Delayed detection of cytomegalovirus-specific T-helper cells in a preterm infant following intrauterine exposure to tacrolimus. Clin. Lab. 2012, 58, 811–815. [Google Scholar] [PubMed]
- Lozza, L.; Lilleri, D.; Percivalle, E.; Fornara, C.; Comolli, G.; Revello, M.G.; Gerna, G. Simultaneous quantification of human cytomegalovirus (HCMV)-specific CD4+ and CD8+ T cells by a novel method using monocyte-derived HCMV-infected immature dendritic cells. Eur. J. Immunol. 2005, 35, 1795–1804. [Google Scholar] [CrossRef] [PubMed]
- Leruez-Ville, M.; Ren, S.; Magny, J.F.; Jacquemard, F.; Couderc, S.; Garcia, P.; Maillotte, A.M.; Benard, M.; Pinquier, D.; Minodier, P.; et al. Accuracy of prenatal ultrasound screening to identify fetuses infected by cytomegalovirus who will develop severe long-term sequelae. Ultrasound Obstet. Gynecol. 2020. [Google Scholar] [CrossRef] [PubMed]
- Lipitz, S.; Hoffmann, C.; Feldman, B.; Tepperberg-Dikawa, M.; Schiff, E.; Weisz, B. Value of prenatal ultrasound and magnetic resonance imaging in assessment of congenital primary cytomegalovirus infection. Ultrasound Obstet. Gynecol. 2010, 36, 709–717. [Google Scholar] [CrossRef] [PubMed]
- Kagan, K.O.; Enders, M.; Schampera, M.S.; Baeumel, E.; Hoopmann, M.; Geipel, A.; Berg, C.; Goelz, R.; De Catte, L.; Wallwiener, D.; et al. Prevention of maternal-fetal transmission of cytomegalovirus after primary maternal infection in the first trimester by biweekly hyperimmunoglobulin administration. Ultrasound Obstet. Gynecol. 2019, 53, 383–389. [Google Scholar] [CrossRef]
- Leruez-Ville, M.; Magny, J.F.; Couderc, S.; Pichon, C.; Parodi, M.; Bussières, L.; Guilleminot, T.; Ghout, I.; Ville, Y. Risk factors for congenital cytomegalovirus infection following primary and non primary maternal infection: A prospective neonatal screening study using polymerase chain reaction in saliva. Clin. Infect. Dis. 2017, 65, 398–404. [Google Scholar] [CrossRef] [PubMed]
- Plotkin, S.A. Seroconversion for Cytomegalovirus Infection During Pregnancy and Fetal Infection in a Highly Seropositive Population: “The BraCHS Study”, by Mussi-Pinhata et al. J. Infect. Dis. 2018, 218, 1188–1190. [Google Scholar] [CrossRef] [PubMed]
- Hou, S. Pregnancy in renal transplant recipients. Adv. Ren. Replace Ther. 2003, 10, 40–47. [Google Scholar] [CrossRef] [PubMed]
- Sester, M.; Sester, U.; Gärtner, B.; Heine, G.; Girndt, M.; Mueller-Lantzsch, N.; Meyerhans, A.; Köhler, H. Levels of virus-specific CD4 T cells correlate with cytomegalovirus control and predict virus-induced disease after renal transplantation. Transplantation 2001, 71, 1287–1294. [Google Scholar] [CrossRef] [PubMed]
- Gabanti, E.; Bruno, F.; Lilleri, D.; Fornara, C.; Zelini, P.; Cane, I.; Migotto, C.; Sarchi, E.; Furione, M.; Gerna, G. Human cytomegalovirus (HCMV)-specific CD4+ and CD8+ T cells are both required for prevention of HCMV disease in seropositive solid-organ transplant recipients. PLoS ONE 2014, 9, e106044. [Google Scholar] [CrossRef] [PubMed]
- Gerna, G.; Baldanti, F.; Torsellini, M.; Minoli, L.; Viganò, M.; Oggionni, T.; Rampino, T.; Castiglioni, B.; Goglio, A.; Colledan, M.; et al. Evaluation of cytomegalovirus DNAaemia versus pp65-antigenaemia cutoff for guiding preemptive therapy in transplant recipients: A randomized study. Antivir Ther. 2007, 12, 63–72. [Google Scholar] [PubMed]





| Case | Age | Parity | Weeks of Gestation | HCMV IgM | HCMV IgG | HCMV DNA Copies/mL | Total T Cells/µL of Blood | HCMV-Specific T Cells/µL of Blood * | ||||||
|---|---|---|---|---|---|---|---|---|---|---|---|---|---|---|
| Blood | Urine | Salivary Swab | Vaginal Swab | CD4 | CD8 | CD4/CD8 Ratio | CD4 | CD8 | ||||||
| #1 | 37 | 1 | 2 | neg | pos | |||||||||
| 9 | 0 | |||||||||||||
| 17 | 365 | |||||||||||||
| 23 | 527 | 363 | 1.45 | 3.79 | 51.91 | |||||||||
| 27 | 0 | |||||||||||||
| 31 | 0 | 0 | 0 | 0 | ||||||||||
| 33 | 30 | |||||||||||||
| 36 (delivery) | neg | pos | 60 | |||||||||||
| #2 | 38 | 0 | 10 | neg | pos | 0 § | ||||||||
| 31 (delivery) | neg | pos | 0 | 0 | 19 | 132 | 329 | 302 | 1.09 | 0.26 | 2.75 | |||
| Use of steroids |
| HIV infection |
| Chemotherapy |
| Radiation therapy |
| Monoclonal antibodies |
| TNF-α inhibitors and cytokines |
| Splenectomy or other rare causes of asplenia |
| Sickle cell anemia |
| Bone marrow ablation |
| Organ transplant |
| Genetic diseases: |
|
| Diabetes mellitus |
| Renal failure |
| Malnutrition |
| Alcohol use |
| Drug use or abuse |
| Cigarette smoking |
© 2020 by the authors. Licensee MDPI, Basel, Switzerland. This article is an open access article distributed under the terms and conditions of the Creative Commons Attribution (CC BY) license (http://creativecommons.org/licenses/by/4.0/).
Share and Cite
Cavoretto, P.I.; Fornara, C.; Baldoli, C.; Arossa, A.; Furione, M.; Candiani, M.; Rovere Querini, P.; Barera, G.; Poloniato, A.; Gaeta, G.; et al. Prenatal Management of Congenital Human Cytomegalovirus Infection in Seropositive Pregnant Patients Treated with Azathioprine. Diagnostics 2020, 10, 542. https://doi.org/10.3390/diagnostics10080542
Cavoretto PI, Fornara C, Baldoli C, Arossa A, Furione M, Candiani M, Rovere Querini P, Barera G, Poloniato A, Gaeta G, et al. Prenatal Management of Congenital Human Cytomegalovirus Infection in Seropositive Pregnant Patients Treated with Azathioprine. Diagnostics. 2020; 10(8):542. https://doi.org/10.3390/diagnostics10080542
Chicago/Turabian StyleCavoretto, Paolo Ivo, Chiara Fornara, Cristina Baldoli, Alessia Arossa, Milena Furione, Massimo Candiani, Patrizia Rovere Querini, Graziano Barera, Antonella Poloniato, Gerarda Gaeta, and et al. 2020. "Prenatal Management of Congenital Human Cytomegalovirus Infection in Seropositive Pregnant Patients Treated with Azathioprine" Diagnostics 10, no. 8: 542. https://doi.org/10.3390/diagnostics10080542
APA StyleCavoretto, P. I., Fornara, C., Baldoli, C., Arossa, A., Furione, M., Candiani, M., Rovere Querini, P., Barera, G., Poloniato, A., Gaeta, G., Spinillo, A., & Lilleri, D. (2020). Prenatal Management of Congenital Human Cytomegalovirus Infection in Seropositive Pregnant Patients Treated with Azathioprine. Diagnostics, 10(8), 542. https://doi.org/10.3390/diagnostics10080542

