Prenatal Prediction of Outcome by Fetal Gastroschisis in a Tertiary Referral Center
Abstract
1. Introduction
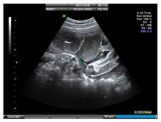
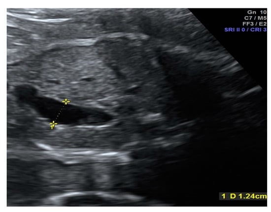
2. Materials and Methods
3. Results
4. Discussion
Author Contributions
Funding
Conflicts of Interest
References
- Sadler, T.; Feldkamp, M.L. The embryology of body wall closure: Relevance to gastroschisis and other ventral body wall defects. Am. J. Med. Genet. Part C Semin. Med. Genet. 2008, 148, 180–185. [Google Scholar] [CrossRef] [PubMed]
- Parker, S.E.; Mai, C.T.; Canfield, M.A.; Rickard, R.; Wang, Y.; Meyer, R.E.; Anderson, P.; Mason, C.A.; Collins, J.S.; Kirby, R.S.; et al. Updated national birth prevalence estimates for selected birth defects in the United States, 2004-2006. Birth Defects Res. Part A Clin. Mol. Teratol. 2010, 88, 1008–1016. [Google Scholar] [CrossRef] [PubMed]
- Canfield, M.A.; Honein, M.A.; Yuskiv, N.; Xing, J.; Mai, C.T.; Collins, J.S.; Devine, O.; Petrini, J.; Ramadhani, T.A.; Hobbs, C.A.; et al. National estimates and race/ethnic-specific variation of selected birth defects in the United States, 1999–2001. Birth Defects Res. Part A Clin. Mol. Teratol. 2006, 76, 747–756. [Google Scholar] [CrossRef] [PubMed]
- Loane, M.; Dolk, H.; Bradbury, I.; A Eurocat Working Group. Increasing prevalence of gastroschisis in Europe 1980-2002: A phenomenon restricted to younger mothers? Paediatr. Perinat. Epidemiol. 2007, 21, 363–369. [Google Scholar] [CrossRef] [PubMed]
- Kronfli, R.; Bradnock, T.J.; Sabharwal, A. Intestinal atresia in association with gastroschisis: A 26-year review. Pediatr. Surg. Int. 2010, 26, 891–894. [Google Scholar] [CrossRef]
- Arnold, M.A.; Chang, D.C.; Nabaweesi, R.; Colombani, P.M.; Bathurst, M.A.; Mon, K.S.; Hosmane, S.; Abdullah, F. Risk stratification of 4344 patients with gastroschisis into simple and complex categories. J. Pediatr. Surg. 2007, 42, 1520–1525. [Google Scholar] [CrossRef]
- Mastroiacovo, P.; Lisi, A.; Castilla, E.E.; Martínez-Frías, M.-L.; Bermejo, E.; Marengo, L.; Kucik, J.; Siffel, C.; Halliday, J.; Gatt, M.; et al. Gastroschisis and Associated Defects: An International Study. Am. J. Med. Genet. 2007, 143, 660–671. [Google Scholar] [CrossRef]
- Langer, J.C.; Caco, C.; Dykes, E.H.; Nicolaides, K.H. Prenatal diagnosis ofgastroschisis: Development of objective sonographic criteria for predicting outcome. Obstet. Gynecol. 1993, 81, 53–56. [Google Scholar]
- Carnaghan, H.; Pereira, S.; James, C.P.; Charlesworth, P.B.; Ghionzoli, M.; Mohamed, E.; Cross, K.M.; Kiely, E.; Patel, S.; Desai, A.; et al. Is early delivery beneficial in gastroschisis? J. Pediatr. Surg. 2014, 49, 928–933. [Google Scholar] [CrossRef]
- Hamza, A.; Herr, D.; Solomayer, E.F.; Meyberg-Solomayer, G. Polyhydramnios: Causes, Diagnosis and Therapy. Geburtshilfe Und Frauenheilkd. 2013, 73, 1241–1246. [Google Scholar] [CrossRef]
- Ghionzoli, M.; James, C.P.; David, A.L.; Shah, D.; Tan, A.W.; Iskaros, J.; Drake, D.; Curry, J.I.; Kiely, E.; Cross, K.; et al. Gastroschisis with intestinal atresia-predictive value of antenatal diagnosis and outcome of postnatal treatment. J. Pediatr. Surg. 2012, 47, 322–328. [Google Scholar] [CrossRef] [PubMed]
- Mears, A.L.; Sadiq, J.M.; Impey, L.; Lakhoo, K. Antenatal bowel dilatation in gastroschisis: A bad sign? Pediatr. Surg. Int. 2010, 26, 581–588. [Google Scholar] [CrossRef] [PubMed]
- Lausman, A.Y.; Langer, J.C.; Tai, M.; Seaward, P.G.R.; Windrim, R.C.; Kelly, E.N.; Ryan, G. Gastroschisis: What is the average gestational age of spontaneous delivery? J. Pediatr. Surg. 2007, 42, 1816–1821. [Google Scholar] [CrossRef] [PubMed]
- Tassin, M.; Benachi, A. Diagnosis of abdominal wall defects in the first trimester. Curr. Opin. Obstet. Gynecol. 2014, 26, 104–109. [Google Scholar] [CrossRef]
- Wideman, T.H.; Asmundson, G.G.; Smeets, R.J.; Zautra, A.J.; Simmonds, M.J.; Sullivan, M.J.L.; Haythornthwaite, J.A.; Edwards, R.R. Rethinking the fear avoidance model: Toward a multidimensional framework of pain-related disability. Pain 2013, 154, 2262–2265. [Google Scholar] [CrossRef]
- Netta, D.A.; Wilson, R.D.; Visintainer, P.; Johnson, M.; Hedrick, H.L.; Flake, A.W.; Adzick, N.S. Gastroschisis: Growth Patterns and a Proposed Prenatal Surveillance Protocol. Fetal Diagn. Ther. 2007, 22, 352–357. [Google Scholar] [CrossRef]
- Maramreddy, H.; Fisher, J.; Slim, M.; LaGamma, E.F.; Parvez, B. Delivery of gastroschisis patients before 37 weeks of gestation is associated with increased morbidities. J. Pediatr. Surg. 2009, 44, 1360–1366. [Google Scholar] [CrossRef]
- South, A.P.; Stutey, K.M.; Meinzen-Derr, J. Metaanalysis of the prevalence of intrauterine fetal death in gastroschisis. Am. J. Obstet. Gynecol. 2013, 209, 114.e1–114.e13. [Google Scholar] [CrossRef]
- Kuleva, M.; Khen-Dunlop, N.; Dumez, Y.; Ville, Y.; Salomon, L.J. Is complex gastroschisis predictable by prenatal ultrasound? Int. J. Obstet. Gynaecol. 2012, 119, 102–109. [Google Scholar] [CrossRef]
- Olguner, M.; Akgür, F.M.; Api, A.; Özer, E.; Aktuğ, T. The effects of intraamniotic human neonatal urine and meconium on the intestines of the chick embryo with gastroschisis. J. Pediatr. Surg. 2000, 35, 458–461. [Google Scholar] [CrossRef]
- Langer, J.C.; Bell, J.G.; Castillo, R.O.; Crombleholme, T.M.; Longaker, M.T.; Duncan, B.W.; Bradley, S.M.; Finkbeiner, W.E.; Verrier, E.D.; Harrison, M.R. Etiology of intestinal damage in gastroschisis, II. Timing and reversibility of histological changes, mucosal function, and contractility. J. Pediatr. Surg. 1990, 25, 1122–1126. [Google Scholar] [CrossRef]
- Api, A.; Olguner, M.; Hakguder, G.; Ateş, O.; Özer, E.; Akgür, F.M. Intestinal damage in gastroschisis correlates with the concentration of intraamniotic meconium. J. Pediatr. Surg. 2001, 36, 1811–1815. [Google Scholar] [CrossRef] [PubMed]
- Morrison, J.J.; Klein, N.; Chitty, L.S.; Kocjan, G.; Walshe, D.; Goulding, M.; Geary, M.; Pierro, A.; Rodeck, C.H. Intra-amniotic inflammation in human gastroschisis: Possible aetiology of postnatal bowel dysfunction. Int. J. Obstet. Gynaecol. 2005, 105, 1200–1204. [Google Scholar] [CrossRef] [PubMed]
- Serra, A.; Fitze, G.; Kamin, G.; Dinger, J.; König, I.R.; Roesner, D. Preliminary report on elective preterm delivery at 34 weeks and primary abdominal closure for the management of gastroschisis. Eur. J. Pediatr. Surg. 2008, 18, 32–37. [Google Scholar] [CrossRef] [PubMed]
- Logghe, H.L.; Mason, G.C.; Thornton, J.; Stringer, M.D. A randomized controlled trial of elective preterm delivery of fetuses with gastroschisis. J. Pediatr. Surg. 2005, 40, 1726–1731. [Google Scholar] [CrossRef]
- Hadidi, A.; Subotic, U.; Goeppl, M.; Waag, K.-L. Early elective cesarean delivery before 36 weeks vs. late spontaneous delivery in infants with gastroschisis. J. Pediatr. Surg. 2008, 43, 1342–1346. [Google Scholar] [CrossRef]
- Abdel-Latif, M.E.; Oei, J.; Craig, F.; Lui, K.; Abdel-Latif, M.E. Profile of infants born to drug-using mothers: A state-wide audit. J. Paediatr. Child Health 2013, 49, E80–E86. [Google Scholar] [CrossRef]
- Kirollos, D.W.; Abdel-Latif, M.E. Mode of delivery and outcomes of infants with gastroschisis: A meta-analysis of observational studies. Arch. Dis. Child. Fetal Neonatal Ed. 2017, 103, 355–363. [Google Scholar] [CrossRef]
- Bradnock, T.J.; Marven, S.; Owen, A.; Johnson, P.; Kurinczuk, J.J.; Spark, P.; Draper, E.S.; Knight, M. Gastroschisis: One year outcomes from national cohort study. BMJ (Online) 2011, 343, 1036. [Google Scholar] [CrossRef]
- Contro, E.; Fratelli, N.; Okoye, B.; Papageorghiou, A.; Thilaganathan, B.; Bhide, A. Prenatal ultrasound in the prediction of bowel obstruction in infants with gastroschisis. Ultrasound Obstet. Gynecol. 2010, 35, 702–707. [Google Scholar] [CrossRef]
- Lap, C.C.M.M.; Pistorius, L.R.; Mulder, E.J.H.; Aliasi, M.; Kramer, W.L.M.; Bilardo, C.M.; Cohen-Overbeek, T.E.; Pajkrt, E.; Tibboel, D.; Wijnen, R.M.H.; et al. Ultrasound markers for prediction of complex gastroschisis and adverse outcome: Longitudinal prospective nationwide cohort study. Ultrasound Obs. Gynecol. 2020, 55, 776–785. [Google Scholar] [CrossRef] [PubMed]
- Andrade, W.S.; Brizot, M.L.; Francisco, R.P.V.; Tannuri, A.C.; Syngelaki, A.; Akolekar, R.; Nicolaides, K.H. Fetal intra-abdominal bowel dilation in prediction of complex gastroschisis. Ultrasound Obs. Gynecol. 2019, 54, 376–380. [Google Scholar] [CrossRef] [PubMed]


| Parameter | Gastroschisis (N = 34) | |
|---|---|---|
| Age (years) | Mean | 23 (17–37) |
| First examination (weeks of pregnancy) | Mean | 22 + 3 (11+4–31+0) |
| Karyotyping | Not performed | 22 (64.7%) |
| Performed | 12 (35.3%) | |
| Normal | 34 | |
| Abnormal | 0 | |
| Other anomalies | 2 (6.1%) | |
| Outcome | Alive | 33 |
| Intrauterine fetal death | 0 | |
| Abortion | 0 | |
| Termination | 0 | |
| Lost | 1 | |
| Delivery (weeks of pregnancy) | Mean | 33 + 6 (33+0–34+5) |
| Mode of delivery | Vaginal | 0 |
| C-section | 33 (100%) | |
| Weight of the newborn | Mean | 2190 (1370–2985) |
| Weight in percentile | Mean | 40 (20–90) |
| Cut-Off Value | Simple Gastroschisis (N = 22) | Complex Gastroschisis (N = 11) | Sensitivity % | Specificity % | PPV % | NPV % |
|---|---|---|---|---|---|---|
| IABD < 10 mm | 20 | 8 | 27.3 | 90.9 | 60 | 71.4 |
| IABD ≥ 10 mm | 2 | 3 | ||||
| IABD < 18 mm | 22 | 8 | 27.3 | 100 | 100 | 73.3 |
| IABD ≥ 18 mm | 0 | 3 | ||||
| EABD < 10 mm | 7 | 3 | 72.7 | 31.8 | 34.8 | 70.0 |
| EABD ≥ 10 mm | 15 | 8 | ||||
| EABD < 18 mm | 16 | 6 | 45.5 | 72.7 | 50 | 84.2 |
| EABD ≥ 18 mm | 6 | 5 | ||||
| IABD + EABD < 10 mm | 7 | 3 | 50 | 77.7 | 60 | 70 |
| IABD + EABD ≥ 10 mm | 2 | 3 | ||||
| IABD + EABD < 18 mm | 16 | 6 | 33.3 | 100 | 100 | 72.7 |
| IABD + EABD ≥ 18 mm | 0 | 3 |
© 2020 by the authors. Licensee MDPI, Basel, Switzerland. This article is an open access article distributed under the terms and conditions of the Creative Commons Attribution (CC BY) license (http://creativecommons.org/licenses/by/4.0/).
Share and Cite
Nitzsche, K.; Fitze, G.; Rüdiger, M.; Birdir, C. Prenatal Prediction of Outcome by Fetal Gastroschisis in a Tertiary Referral Center. Diagnostics 2020, 10, 540. https://doi.org/10.3390/diagnostics10080540
Nitzsche K, Fitze G, Rüdiger M, Birdir C. Prenatal Prediction of Outcome by Fetal Gastroschisis in a Tertiary Referral Center. Diagnostics. 2020; 10(8):540. https://doi.org/10.3390/diagnostics10080540
Chicago/Turabian StyleNitzsche, Katharina, Guido Fitze, Mario Rüdiger, and Cahit Birdir. 2020. "Prenatal Prediction of Outcome by Fetal Gastroschisis in a Tertiary Referral Center" Diagnostics 10, no. 8: 540. https://doi.org/10.3390/diagnostics10080540
APA StyleNitzsche, K., Fitze, G., Rüdiger, M., & Birdir, C. (2020). Prenatal Prediction of Outcome by Fetal Gastroschisis in a Tertiary Referral Center. Diagnostics, 10(8), 540. https://doi.org/10.3390/diagnostics10080540
