Assessment of MRI-Based Attenuation Correction for MRI-Only Radiotherapy Treatment Planning of the Brain
Abstract
1. Introduction
2. Materials and Methods
2.1. Patient Cohort
2.2. MRI and CT Data Acquisition
2.3. Generation of sCT Images for MRI-Only RTP
2.4. Segmentation Evaluation for sCT Images
2.5. Dose Calculation Accuracy of sCT Images for RTP
3. Results
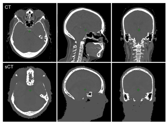
3.1. Bone Segmentation and Comparison of HU Values
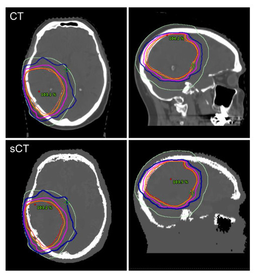
3.2. Dosimetric Comparison
3.3. Gamma Analysis
4. Discussion
5. Conclusions
Author Contributions
Funding
Acknowledgments
Conflicts of Interest
Appendix A
| Patient | Sex/Age (F/M)/[y] | Group | GTV Volume [cm3] | PTV Volume [cm3] | OAR Volume [cm3] | Prescribed Dose [Fx × Gy] | Treatment Technique |
|---|---|---|---|---|---|---|---|
| 1 | F/71 | Metastasis | 0.1 | 0.3 | 59.9 | 6 × 5 | SRT |
| 2 | F/67 | Glioma | 15.5 | 149.1 | 440.1 | 30 × 1.8 | VMAT |
| 3 | M/68 | Glioma | 79.9 | 280.3 | 709.9 | 13×3 | VMAT |
| 4 | M/74 | Glioma | 35.0 | 268.5 | 549.4 | 33 × 1.8 | VMAT |
| 5 | F/68 | Glioma | 56.0 | 369.2 | 622.9 | 30 × 2 | VMAT |
| 6 | M/81 | Glioma | 51.3 | 289.1 | 541.7 | 13 × 3 | VMAT |
| 7 | F/73 | Glioma | 112.3 | 373.3 | 648.6 | 13 × 3 | VMAT |
| 8 | M/55 | Metastasis | 2.2 | 4.1 | 115.5 | 3 × 9 | SRT |
| 9 | M/78 | Metastasis | 4.2 | 6.4 | 144.5 | 4 × 5 | SRT |
| 10 | F/77 | Metastasis | 6.7 | 9.2 | 136.0 | 9 × 3 | SRT |
| 11 | M/77 | Metastasis | 1.1 | 1.9 | 91.2 | 1 × 20 | SRT |
| 12 | F/42 | Glioma | 27.4 | 132.8 | 357.9 | 28 × 1.8 | VMAT |
| 13 | F/37 | Glioma | 43.5 | 266.9 | 698.2 | 33 × 1.8 | VMAT |
| 14 | F/64 | Metastasis | 0.1 | 0.4 | 62.0 | 1 × 20 | SRT |
| 15 | F/72 | Metastasis | 2.6 | 4.1 | 117.9 | 5 × 7 | SRT |
| 16 | F/70 | Metastasis | 5.1 | 9.7 | 136.7 | 5 × 6 | SRT |
| 17 | M/63 | Metastasis | 16.4 | 20.6 | 195.6 | 3 × 9 | SRT |
| 18 | M/45 | Metastasis | 13.0 | 28.8 | 258.9 | 6 × 5 | SRT |
| 19 | M/50 | Glioma | 64.7 | 352.7 | 764.0 | 30 × 2 | VMAT |
| 20 | M/58 | Glioma | 14.2 | 191.5 | 444.3 | 30 × 2 | VMAT |
| Patient | VCT, bone [cm3] | VsCT, bone [cm3] | ΔVbone [%] | DSCbone [] |
|---|---|---|---|---|
| 1 | 431.0 | 412.8 | −4.2 | 0.83 |
| 2 | 183.9 | 218.7 | 18.9 | 0.83 |
| 3 | 443.1 | 585.5 | 32.1 | 0.86 |
| 4 | 229.5 | 268.5 | 17.0 | 0.86 |
| 5 | 238.2 | 229.3 | −3.7 | 0.72 |
| 6 | 185.5 | 139.0 | −25.1 | 0.75 |
| 7 | 164.6 | 167.8 | 1.9 | 0.83 |
| 8 | 500.5 | 634.8 | 26.8 | 0.82 |
| 9 | 362.3 | 418.8 | 15.6 | 0.86 |
| 10 | 377.1 | 441.9 | 17.2 | 0.82 |
| 11 | 448.0 | 543.9 | 21.4 | 0.83 |
| 12 | 243.5 | 224.0 | −8.0 | 0.79 |
| 13 | 193.1 | 172.8 | −10.5 | 0.82 |
| 14 | 372.0 | 367.9 | −1.1 | 0.86 |
| 15 | 398.3 | 493.0 | 23.8 | 0.84 |
| 16 | 403.8 | 489.4 | 21.2 | 0.81 |
| 17 | 305.3 | 280.9 | −8.0 | 0.80 |
| 18 | 508.1 | 570.4 | 12.3 | 0.85 |
| 19 | 195.6 | 128.1 | −34.5 | 0.62 |
| 20 | 126.6 | 140.0 | 10.6 | 0.80 |
References
- Teuho, J.; Torrado-Carvajal, A.; Herzog, H.; Anazodo, U.; Klén, R.; Iida, H.; Teräs, M. Magnetic Resonance-Based Attenuation Correction and Scatter Correction in Neurological Positron Emission Tomography/Magnetic Resonance Imaging—Current Status with Emerging Applications. Front. Phys. 2020, 7, 243. [Google Scholar] [CrossRef]
- Johnstone, E.; Wyatt, J.J.; Henry, A.M.; Short, S.C.; Sebag-Montefiore, D.; Murray, L.; Kelly, C.G.; McCallum, H.M.; Speight, R. Systematic Review of Synthetic Computed Tomography Generation Methodologies for Use in Magnetic Resonance Imaging–Only Radiation Therapy. Int. J. Radiat. Oncol. Biol. Phys. 2018, 100, 199–217. [Google Scholar] [CrossRef]
- Mehranian, A.; Arabi, H.; Zaidi, H. Vision 20/20: Magnetic resonance imaging-guided attenuation correction in PET/MRI: Challenges, solutions, and opportunities. Med. Phys. 2016, 43, 1130–1155. [Google Scholar] [CrossRef] [PubMed]
- Edmund, J.M.; Andreasen, D.; Mahmood, F.; Van Leemput, K. Cone beam computed tomography guided treatment delivery and planning verification for magnetic resonance imaging only radiotherapy of the brain. Acta Oncol. (Madr.) 2015, 54, 1496–1500. [Google Scholar] [CrossRef] [PubMed]
- Korhonen, J.; Kapanen, M.; Keyriläinen, J.; Seppälä, T.; Tenhunen, M. A dual model HU conversion from MRI intensity values within and outside of bone segment for MRI-based radiotherapy treatment planning of prostate cancer. Med. Phys. 2014, 41, 011704. [Google Scholar] [CrossRef] [PubMed]
- Koivula, L.; Wee, L.; Korhonen, J. Feasibility of MRI-only treatment planning for proton therapy in brain and prostate cancers: Dose calculation accuracy in substitute CT images. Med. Phys. 2016, 43, 4634–4642. [Google Scholar] [CrossRef]
- Andreasen, D.; Van Leemput, K.; Hansen, R.H.; Andersen, J.A.L.; Edmund, J.M. Patch-based generation of a pseudo CT from conventional MRI sequences for MRI-only radiotherapy of the brain. Med. Phys. 2015, 42, 1596–1605. [Google Scholar] [CrossRef]
- Jonsson, J.H.; Akhtari, M.M.; Karlsson, M.G.; Johansson, A.; Asklund, T.; Nyholm, T. Accuracy of inverse treatment planning on substitute CT images derived from MR data for brain lesions. Radiat. Oncol. 2015, 10, 1–7. [Google Scholar] [CrossRef]
- Paradis, E.; Cao, Y.; Lawrence, T.S.; Tsien, C.; Feng, M.; Vineberg, K.; Balter, J.M. Assessing the dosimetric accuracy of magnetic resonance-generated synthetic CT images for focal brain VMAT radiation therapy. Int. J. Radiat. Oncol. Biol. Phys. 2015, 93, 1154–1161. [Google Scholar] [CrossRef]
- Ulin, K.; Urie, M.M.; Cherlow, J.M. Results of a multi-institutional benchmark test for cranial CT/MR image registration. Int. J. Radiat. Oncol. Biol. Phys. 2010, 77, 1584–1589. [Google Scholar] [CrossRef]
- Jonsson, J.; Nyholm, T.; Söderkvist, K. The rationale for MR-only treatment planning for external radiotherapy. Clin. Transl. Radiat. Oncol. 2019, 18, 60–65. [Google Scholar] [CrossRef] [PubMed]
- Ladefoged, C.N.; Andersen, F.L.; Kjær, A.; Højgaard, L.; Law, I. RESOLUTE PET/MRI Attenuation Correction for O-(2-18F-fluoroethyl)-L-tyrosine (FET) in Brain Tumor Patients with Metal Implants. Front. Neurosci. 2017, 11, 453. [Google Scholar] [CrossRef] [PubMed]
- Lois, C.; Bezrukov, I.; Schmidt, H.; Schwenzer, N.; Werner, M.K.; Kupferschläger, J.; Beyer, T. Effect of MR contrast agents on quantitative accuracy of PET in combined whole-body PET/MR imaging. Eur. J. Nucl. Med. Mol. Imaging 2012, 39, 1756–1766. [Google Scholar] [CrossRef] [PubMed]
- Wiesinger, F.; Bylund, M.; Yang, J.; Kaushik, S.; Shanbhag, D.; Ahn, S.; Jonsson, J.H.; Lundman, J.A.; Hope, T.; Nyholm, T.; et al. Zero TE-based pseudo-CT image conversion in the head and its application in PET/MR attenuation correction and MR-guided radiation therapy planning. Magn. Reson. Med. 2018, 80, 1440–1451. [Google Scholar] [CrossRef]
- Kazemifar, S.; Mcguire, S.; Timmerman, R.; Wardak, Z.; Nguyen, D.; Park, Y.; Jiang, S.; Owrangi, A. MRI-only brain radiotherapy: Assessing the dosimetric accuracy of synthetic CT images generated using a deep learning approach. Radiother. Oncol. 2019, 136, 56–63. [Google Scholar] [CrossRef]
- Boukellouz, W.; Moussaoui, A. Magnetic resonance-driven pseudo CT image using patch-based multi-modal feature extraction and ensemble learning with stacked generalisation. J. King Saud Univ. Comput. Inf. Sci. 2019. [Google Scholar] [CrossRef]
- Teuho, J.; Tuisku, J.; Karlsson, A.; Linden, J.; Teräs, M. Effect of Brain Tissue and Continuous Template-Based Skull in MR-Based Attenuation Correction for Brain PET/MR. IEEE Trans. Radiat. Plasma Med. Sci. 2017, 1, 246–261. [Google Scholar] [CrossRef]
- Teuho, J.; Linden, J.; Johansson, J.; Tuisku, J.; Tuokkola, T.; Teräs, M. Tissue Probability-Based Attenuation Correction for Brain PET/MR by Using SPM8. IEEE Trans. Nucl. Sci. 2016, 63, 2452–2463. [Google Scholar] [CrossRef]
- Ashburner, J.; Friston, K.J. Unified segmentation. Neuroimage 2005, 26, 839–851. [Google Scholar] [CrossRef]
- Aasheim, L.B.; Karlberg, A.; Goa, P.E.; Håberg, A.; Sørhaug, S.; Fagerli, U.M.; Eikenes, L. PET/MR brain imaging: Evaluation of clinical UTE-based attenuation correction. Eur. J. Nucl. Med. Mol. Imaging 2015, 42, 1439–1446. [Google Scholar] [CrossRef]
- Dice, L.R. Measures of the Amount of Ecologic Association Between Species. Ecology 1945, 26, 297–302. [Google Scholar] [CrossRef]
- Menzel, H.G. The international commission on radiation units and measurements. J. ICRU 2010, 10, 1–106. [Google Scholar]
- Korsholm, M.E.; Waring, L.W.; Edmund, J.M. A criterion for the reliable use of MRI-only radiotherapy. Radiat. Oncol. 2014, 9, 16. [Google Scholar] [CrossRef] [PubMed]
- Dinkla, A.M.; Wolterink, J.M.; Maspero, M.; Savenije, M.H.F.; Verhoeff, J.J.C.; Seravalli, E.; Išgum, I.; Seevinck, P.R.; van den Berg, C.A.T. MR-Only Brain Radiation Therapy: Dosimetric Evaluation of Synthetic CTs Generated by a Dilated Convolutional Neural Network. Int. J. Radiat. Oncol. Biol. Phys. 2018, 102, 801–812. [Google Scholar] [CrossRef] [PubMed]
- Hussein, M.; Clark, C.H.; Nisbet, A. Challenges in calculation of the gamma index in radiotherapy—Towards good practice. Phys. Med. 2017, 36, 1–11. [Google Scholar] [CrossRef]
- Korhonen, J. Magnetic Resonance Imaging-Based Radiation Therapy. Ph.D. Thesis, Aalto University, Espoo, Finland, 2015; p. 64. [Google Scholar]
- Baran, J.; Chen, Z.; Sforazzini, F.; Ferris, N.; Jamadar, S.; Schmitt, B.; Faul, D.; Shah, N.J.; Cholewa, M.; Egan, G.F. Accurate hybrid template-based and MR-based attenuation correction using UTE images for simultaneous PET/MR brain imaging applications. BMC Med. Imaging 2018, 18, 41. [Google Scholar] [CrossRef]
- Price, R.G.; Kim, J.P.; Zheng, W.; Chetty, I.J.; Glide-Hurst, C. Image guided radiation therapy using synthetic computed tomography images in brain cancer. Int. J. Radiat. Oncol. Biol. Phys. 2016, 95, 1281–1289. [Google Scholar] [CrossRef]
- Yu, H.; Caldwell, C.; Balogh, J.; Mah, K. Toward magnetic resonance-only simulation: Segmentation of bone in MR for radiation therapy verification of the head. Int. J. Radiat. Oncol. Biol. Phys. 2014, 89, 649–657. [Google Scholar] [CrossRef]




| Structure | Glioma | Metastasis |
|---|---|---|
| Mean Volume (SD) [Range] [cm3] | ||
| GTV | 50.0 (28.8) [14.2–112.3] | 4.3 (5.2) [0.1–16.4] |
| PTV | 267.3 (82.1) [132.8–373.3] | 8.6 (8.8) [0.3–28.8] |
| OAR | 577.7 (126.9) [357.9–764.0] | 131.8 (57.1) [59.9–258.9] |
| Sequence | Acq. Matrix [mm3] | Recon. Matrix [mm3] | TE1/TE2 [ms] | TR [ms] | Flip Angle [°] | BW [Hz] | Scan Time [min:s] |
|---|---|---|---|---|---|---|---|
| T1 3D FFE mDixon | 1.1 × 1.1 × 1.4 | 0.49 × 0.49 × 1.00 | 2.0/4.4 | 6.8 | 20 | 481.5 | 5:38 |
| Variable | Glioma | Metastasis |
|---|---|---|
| VCT, bone [cm3] | 220.4 (81.4) [126.6–443.1] | 410.7 (59.7) [305.3–508.1] |
| VsCT, bone [cm3] | 227.4 (127.2) [128.1–585.5] | 465.4 (98.1) [280.9–634.8] |
| ΔVbone [%] | 3.1 (19.5) [−34.5–32.1] | 12.5 (11.8) [−8.0–26.8] |
| DSCbone [] | 0.8 (0.1) [0.62–0.86] | 0.8 (0.02) [0.80–0.86] |
| MAE [HU] | 142.2 (15.4) [114.4–166.7] | 139.7 (11.8) [114.4–166.6] |
| DVH Parameter | Glioma | Metastasis | ||
|---|---|---|---|---|
| PTV | OAR | PTV | OAR | |
| Mean Dose Difference (SD) [Range] [%] | ||||
| Dmax | 0.1 (0.5) [−0.6–1.3] | 0.2 (1.5) [−1.8–4.0] | −0.4 (0.9) [−2.4–0.5] | −0.4 (0.9) [−2.1–0.5] |
| D0.1cc | 0.1 (0.4) [−0.1–1.2] | 0.3 (1.0) [−1.8–2.0] | −0.4 (0.9) [−2.2–0.6] | −0.3 (0.8) [−2.0–0.6] |
| D2% | 0.2 (0.4) [−0.4–1.1] | 0.3 (0.5) [−0.2–1.2] | −0.4 (0.9) [−2.3–0.6] | −0.5 (1.1) [−2.9–0.8] |
| D50% | 0.2 (0.4) [−0.4–0.8] | 0.2 (0.4) [−0.4–1.0] | −0.3 (0.9) [−2.3–0.6] | −0.3 (1.4) [−3.3–1.6] |
| D95% | 0.1 (0.4) [−0.4–0.7] | −1.2 (2.3) [−5.6–1.7] | −0.3 (0.9) [−2.2–0.8] | −0.6 (1.8) [−3.6–2.6] |
| D98% | 0.04 (0.4) [−0.6–0.8] | −1.3 (2.0) [−4.9–2.0] | −0.4 (0.9) [−2.2–0.7] | 1.0 (3.5) [−3.0–8.3] |
| Dmean | 0.2 (0.4) [−0.5–0.8] | 0.1 (0.5) [−0.6–1.0] | −0.4 (0.9) [−2.3–0.6] | −0.6 (1.2) [−3.7–1.0] |
| Agreement Criterion | Glioma Group | Metastasis Group |
|---|---|---|
| Mean Pass Rate (SD) [Range] [%] | ||
| 1%/1 mm | 90.7 (3.6) [85.6–95.0] | 96.5 (4.7) [84.3–100.0] |
| 2%/2 mm | 95.7 (0.9) [93.9–96.8] | 99.9 (0.3) [99.1–100.0] |
© 2020 by the authors. Licensee MDPI, Basel, Switzerland. This article is an open access article distributed under the terms and conditions of the Creative Commons Attribution (CC BY) license (http://creativecommons.org/licenses/by/4.0/).
Share and Cite
Ranta, I.; Teuho, J.; Linden, J.; Klén, R.; Teräs, M.; Kapanen, M.; Keyriläinen, J. Assessment of MRI-Based Attenuation Correction for MRI-Only Radiotherapy Treatment Planning of the Brain. Diagnostics 2020, 10, 299. https://doi.org/10.3390/diagnostics10050299
Ranta I, Teuho J, Linden J, Klén R, Teräs M, Kapanen M, Keyriläinen J. Assessment of MRI-Based Attenuation Correction for MRI-Only Radiotherapy Treatment Planning of the Brain. Diagnostics. 2020; 10(5):299. https://doi.org/10.3390/diagnostics10050299
Chicago/Turabian StyleRanta, Iiro, Jarmo Teuho, Jani Linden, Riku Klén, Mika Teräs, Mika Kapanen, and Jani Keyriläinen. 2020. "Assessment of MRI-Based Attenuation Correction for MRI-Only Radiotherapy Treatment Planning of the Brain" Diagnostics 10, no. 5: 299. https://doi.org/10.3390/diagnostics10050299
APA StyleRanta, I., Teuho, J., Linden, J., Klén, R., Teräs, M., Kapanen, M., & Keyriläinen, J. (2020). Assessment of MRI-Based Attenuation Correction for MRI-Only Radiotherapy Treatment Planning of the Brain. Diagnostics, 10(5), 299. https://doi.org/10.3390/diagnostics10050299

