Pathophysiology of Hip Disorders in Patients with Mucopolysaccharidosis IVA
Abstract
1. Introduction
2. Materials and Methods
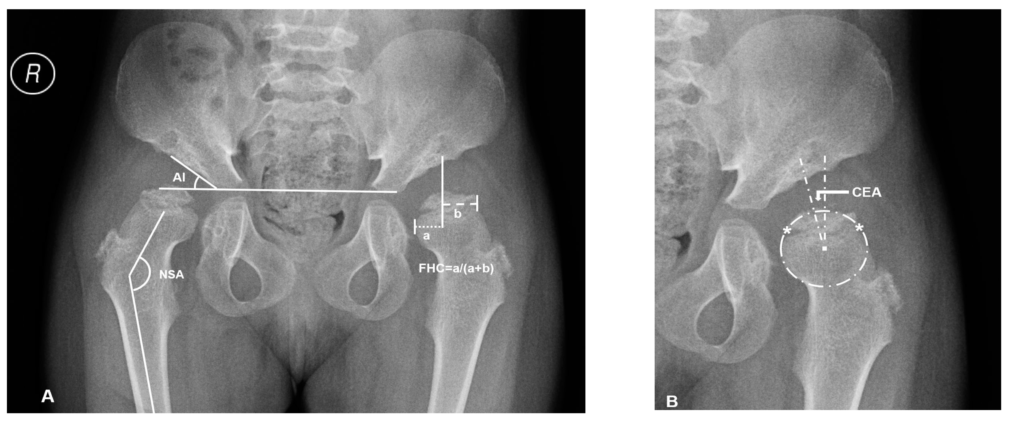
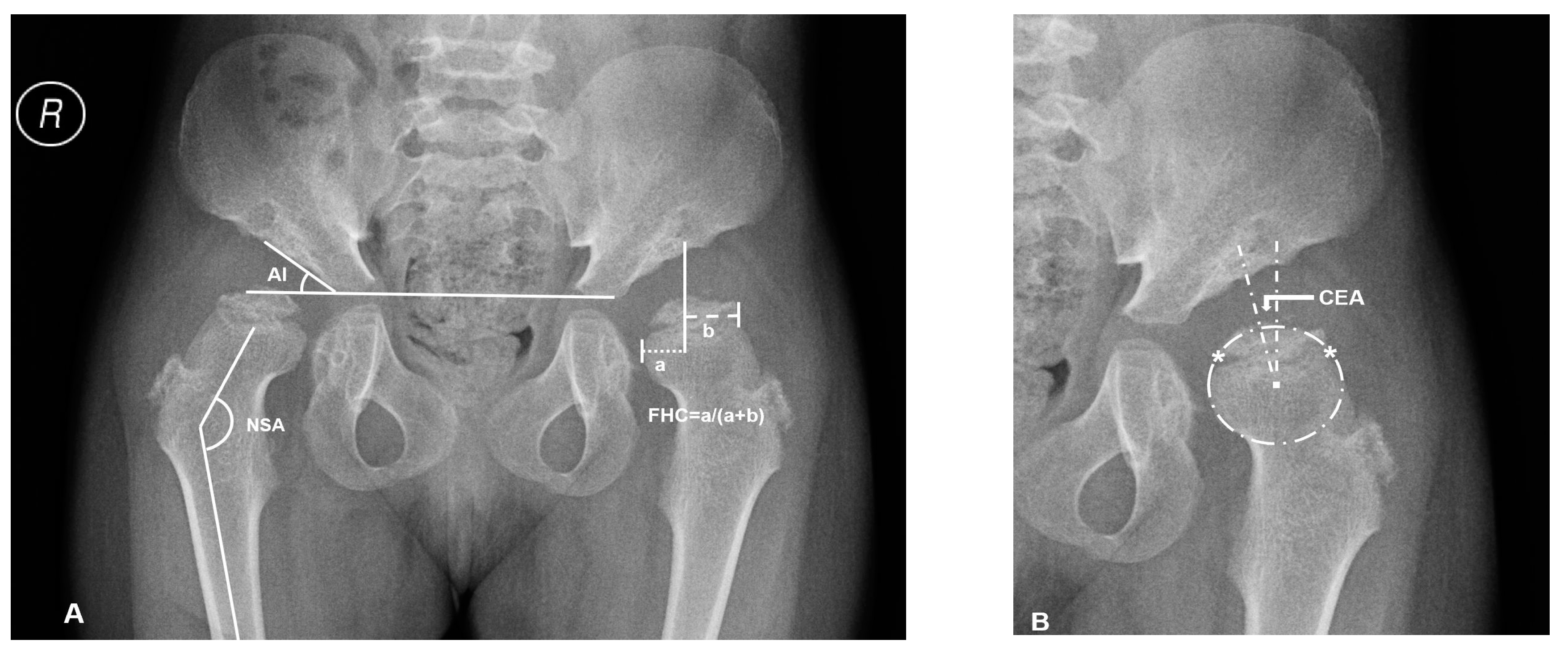
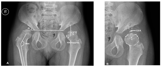
2.1. Radiographic Measurements and Analysis
2.2. Statistical Analysis
3. Results
3.1. Assessment of Bony and Cartilaginous Morphology in MPS IVA Hips
3.2. Comparison of FHN and No FHN Patients
3.3. Correlated Factors of Subluxation/Dislocation Hips
3.4. Pathophysiology of Hip Disorders in Patients with MPS IVA
4. Discussion
Strengths and Limitations
5. Conclusions
Author Contributions
Funding
Acknowledgments
Conflicts of Interest
References
- Khan, S.; Alméciga-Díaz, C.J.; Sawamoto, K.; MacKenzie, W.G.; Theroux, M.C.; Pizarro, C.; Mason, R.W.; Orii, T.; Tomatsu, S. Mucopolysaccharidosis IVA and glycosaminoglycans. Mol. Genet. Metab. 2017, 120, 78–95. [Google Scholar] [CrossRef] [PubMed]
- Morquio, L. Sur uneforme de dystrophie osseusefamiliale. Bull. Soc. Pediatr. 1929, 27, 145–152. [Google Scholar]
- Brailsford, J.; James, F. The classics: Chondro-osteo-dystrophy: Roentgenographic and clinical features of a child with dislocation of vertebrae. Clin. Orthop. Relat. Res. 1976, 114, 4–5. [Google Scholar]
- Tomatsu, S.; Montaño, A.M.; Oikawa, H.; Rowan, D.J.; Smith, M.; Barrera, L.; Chinen, Y.; Thacker, M.M.; MacKenzie, W.G.; Suzuki, Y.; et al. Mucopolysaccharidosis Type IVA (Morquio A Disease): Clinical Review and Current Treatment: A Special Review. Curr. Pharm. Biotechnol. 2011, 12, 931–945. [Google Scholar] [CrossRef]
- Montaño, A.M.; Tomatsu, S.; Gottesman, G.S.; Smith, M.; Orii, T. International Morquio a Registry: Clinical manifestation and natural course of Morquio A disease. J. Inherit. Metab. Dis. 2007, 30, 165–174. [Google Scholar] [CrossRef]
- Tomatsu, S. Mucopolysaccharidosis Update; 2 Volume Set; Nova Medicine and Health: New York, NY, USA, 2018. [Google Scholar]
- Ashby, E.; Baker, M.; Eastwood, D.M. Characterization of Hip Morphology in Children with Mucopolysaccharidosis Types I and II. J. Pediatr. Orthop. 2016, 36, 370–375. [Google Scholar] [CrossRef]
- Ledford, C.K.; Vap, A.; Bolognesi, M.P.; Wellman, S.S. Total hip arthroplasty in very young bone marrow transplant patients. J. Surg. Orthop. Adv. 2015, 24, 99–104. [Google Scholar] [CrossRef]
- De Ruijter, J.; Maas, M.; Janssen, A.; Wijburg, F.A. High prevalence of femoral head necrosis in Mucopolysaccharidosis type III (Sanfilippo disease): A national, observational, cross-sectional study. Mol. Genet. Metab. 2013, 109, 49–53. [Google Scholar] [CrossRef]
- Menkès, C.J.; Rondot, P. Idiopathic osteonecrosis of femur in adult Morquio type B disease. J. Rheumatol. 2007, 34, 2314–2316. [Google Scholar]
- Kohler, G.; Hesse, B. Epiphyseal dysplasia—Symptoms and differential diagnostic aspects. Z. Orthop. Und Ihre Grenzgeb. 2004, 142, 397–402. [Google Scholar] [CrossRef]
- Ichikawa, T.; Nishimura, G.; Tsukune, Y.; Dezawa, A.; Miki, H. Progressive bone resorption after pathological fracture of the femoral neck in Hunter’s syndrome. Pediatr. Radiol. 1999, 29, 914–916. [Google Scholar] [CrossRef]
- Field, R.; Buchanan, J.; Copplemans, M.; Aichroth, P. Bone-marrow transplantation in Hurler’s syndrome. Effect on skeletal development. J. Bone Jt. Surg. Br. 1994, 76, 975–981. [Google Scholar] [CrossRef]
- Crossan, J.F.; Wynne-Davies, R.; Fulford, G. Bilateral failure of the capital femoral epiphysis: Bilateral Perthes disease, multiple epiphyseal dysplasia, pseudoachondroplasia, and spondyloepiphyseal dysplasia congenita and tarda. J. Pediatr. Orthop. 1983, 3, 297–301. [Google Scholar] [CrossRef] [PubMed]
- Dustmann, H. Etiology and pathogenesis of epiphyseal necrosis in childhood as exemplified with the hip. Z. Orthop. Und Ihre Grenzgeb. 1996, 134, 407–412. [Google Scholar] [CrossRef] [PubMed]
- Breyer, S.R.; Muschol, N.; Schmidt, M.; Rupprecht, M.; Babin, K.; Herrmann, J.; Stücker, R. Hip Morphology in MPS-1H Patients: An MRI-based Study. J. Pediatr. Orthop. 2018, 38, 478–483. [Google Scholar] [CrossRef]
- Kanazawa, T.; Yasunaga, Y.; Ikuta, Y.; Harada, A.; Kusaka, O.; Sukegawa, K. Femoral head dysplasia in Morquio disease type A: Bilateral varus osteotomy of the femur. Acta Orthop. Scand. 2001, 72, 18–21. [Google Scholar] [CrossRef]
- White, K.K.; Sousa, T. Mucopolysaccharide Disorders in Orthopaedic Surgery. J. Am. Acad. Orthop. Surg. 2013, 21, 12–22. [Google Scholar] [CrossRef]
- White, K.K.; Jester, A.; Bache, C.E.; Harmatz, P.R.; Shediac, R.; Thacker, M.; MacKenzie, W.G. Orthopedic management of the extremities in patients with Morquio A syndrome. J. Child. Orthop. 2014, 8, 295–304. [Google Scholar] [CrossRef]
- Lewis, J.R.P.; Gibson, P.H. Bilateral hip replacement in three patients with lysosomal storage disease: Mucopolysaccharidosis type IV and Mucolipidosis type III. J. Bone Jt. Surg. Br. 2010, 92, 289–292. [Google Scholar] [CrossRef]
- Bowen, J.; Kotzias-Neto, A. Developmental Dysplasia of the Hip, 1st ed.; Data Trace Publishing: Towson, MD, USA, 2006. [Google Scholar]
- Siddesh, N.D.; Shah, H.; Tercier, S.; Pai, H.; Nair, S.; Joseph, B. The sphericity deviation score: A quantitative radiologic outcome measure of Legg-Calve Perthes disease applicable at the stage of healing and at skeletal maturity. J. Pediatr. Orthop. 2014, 34, 522–528. [Google Scholar] [CrossRef]
- Li, L.Y.; Zhang, L.J.; Li, Q.W.; Zhao, Q.; Jia, J.Y.; Huang, T. Development of the osseous and cartilaginous acetabular index in normal children and those with developmental dysplasia of the hip: A cross-sectional study using MRI. J. Bone Jt. Surg. Br. 2012, 94, 1625–1631. [Google Scholar] [CrossRef]
- Tsukagoshi, Y.; Kamegaya, M.; Kamada, H.; Morita, M.; Tomaru, Y.; Nakagawa, S. Cross-Sectional Survey of Childhood Acetabular Development in Japan. JMA J. 2020, 3, 51–57. [Google Scholar]
- Birkenmaier, C.; Jorysz, G.; Jansson, V.; Heimkes, B. Normal development of the hip: A geometrical analysis based on planimetric radiography. J. Pediatr. Orthop. B 2010, 19, 1–8. [Google Scholar] [CrossRef]
- Montaño, A.M.; Tomatsu, S.; Brusius, A.; Smith, M.; Orii, T. Growth charts for patients affected with Morquio A disease. Am. J. Med. Genet. Part A 2008, 146, 1286–1295. [Google Scholar] [CrossRef]
- Tomatsu, S.; Yasuda, E.; Patel, P.; Ruhnke, K.; Shimada, T.; MacKenzie, W.G.; Mason, R.; Thacker, M.M.; Theroux, M.; Montaño, A.M.; et al. Morquio A Syndrome: Diagnosis and Current and Future Therapies. Pediatr. Endocrinol. Rev. 2014, 12, 141–151. [Google Scholar]
- Langer, L.O.; Carey, L.S. The roentgenographic features of the KS mucopolysaccharidosis of Morquio (Morquio-Brailsford’s disease). Am. J. Roentgenol. Radium Ther. Nucl. Med. 1966, 97, 1–20. [Google Scholar] [CrossRef][Green Version]
- Hendriksz, C.J.; Berger, K.; Giugliani, R.; Harmatz, P.; Kampmann, C.; MacKenzie, W.G.; Raiman, J.; Villarreal, M.S.; Savarirayan, R. International guidelines for the management and treatment of Morquio A syndrome. Am. J. Med. Genet. Part A 2014, 167, 11–25. [Google Scholar] [CrossRef]
- Tomatsu, S.; MacKenzie, W.G.; Theroux, M.C.; Mason, R.W.; Thacker, M.; Shaffer, T.H.; Montaño, A.M.; Rowan, D.; Sly, W.; Alméciga-Díaz, C.J.; et al. Current and emerging treatments and surgical interventions for Morquio A syndrome: A review. Res. Rep. Endocr. Disord. 2012, 2012, 65–77. [Google Scholar] [CrossRef]
- Tomatsu, S.; Averill, L.W.; Sawamoto, K.; MacKenzie, W.G.; Bober, M.B.; Pizarro, C.; Goff, C.J.; Xie, L.; Orii, T.; Theroux, M. Obstructive airway in Morquio A syndrome, the past, the present and the future. Mol. Genet. Metab. 2015, 117, 150–156. [Google Scholar] [CrossRef]
- Doherty, C.; Stapleton, M.; Piechnik, M.; Mason, R.W.; MacKenzie, W.G.; Yamaguchi, S.; Kobayashi, H.; Suzuki, Y.; Tomatsu, S. Effect of enzyme replacement therapy on the growth of patients with Morquio A. J. Hum. Genet. 2019, 64, 625–635. [Google Scholar] [CrossRef]
- Cao, J.D.; Wiedemann, A.; Quinaux, T.; Battaglia-Hsu, S.; Mainard, L.; Froissart, R.; Bonnemains, C.; Ragot, S.; Leheup, B.; Journeau, P.; et al. 30 months follow-up of an early enzyme replacement therapy in a severe Morquio A patient: About one case. Mol. Genet. Metab. Rep. 2016, 9, 42–45. [Google Scholar] [CrossRef] [PubMed]
- Borowski, A.; Thacker, M.; MacKenzie, W.G.; Littleton, A.G.; Grissom, L. The Use of Computed Tomography to Assess Acetabular Morphology in Morquio-Brailsford Syndrome. J. Pediatr. Orthop. 2007, 27, 893–897. [Google Scholar] [CrossRef]
- Wang, J.; Luan, Z.; Jiang, H.; Fang, J.; Qin, M.; Lee, V.; Chen, J. Allogeneic Hematopoietic Stem Cell Transplantation in Thirty-Four Pediatric Cases of Mucopolysaccharidosis-A Ten-Year Report from the China Children Transplant Group. Boil. Blood Marrow Transplant. 2016, 22, 2104–2108. [Google Scholar] [CrossRef] [PubMed]
- Akyol, M.U.; Alden, T.D.; Amartino, H.; Ashworth, J.; Belani, K.; Berger, K.I.; Borgo, A.; Braunlin, E.; Eto, Y.; Gold, J.I.; et al. Recommendations for the management of MPS IVA: Systematic evidence- and consensus-based guidance. Orphanet. J. Rare Dis. 2019, 14, 137. [Google Scholar] [CrossRef] [PubMed]
- Taylor, M.; Khan, S.; Stapleton, M.; Wang, J.; Chen, J.; Wynn, R.; Yabe, H.; Chinen, Y.; Boelens, J.J.; Mason, R.W.; et al. Hematopoietic Stem Cell Transplantation for Mucopolysaccharidoses: Past, Present, and Future. Biol. Blood Marrow Transplant. 2019, 257, e226–e246. [Google Scholar] [CrossRef] [PubMed]
- Stapleton, M.; Hoshina, H.; Sawamoto, K.; Kubaski, F.; Mason, R.W.; MacKenzie, W.G.; Theroux, M.; Kobayashi, H.; Yamaguchi, S.; Suzuki, Y.; et al. Critical review of current MPS guidelines and management. Mol. Genet. Metab. 2019, 126, 238–245. [Google Scholar] [CrossRef]





| NO. | Sex | Age (y) | Age at HSCT (y) | Height (cm) | Weight (kg) | Phenotype | FHN | AI(°) | CEA(°) | FHC(%) | NSA(°) | CAI(°) | CCEA(°) | CFHC(%) | ∆AI | ∆CEA | ∆FHC | ||||||||||
|---|---|---|---|---|---|---|---|---|---|---|---|---|---|---|---|---|---|---|---|---|---|---|---|---|---|---|---|
| L | R | L | R | L | R | L | R | L | R | L | R | L | R | L | R | L | R | L | R | ||||||||
| 1 * | F | 4.9 | 3.9 | 91 | 13.8 | S | Y | 39 | 32 | −25 | −33 | 11 | 12 | 137 | 135 | 16 | 23 | −9 | −13 | 40 | 36 | 23 | 9 | 16 | 20 | 29 | 24 |
| 2 * | F | 8.4 | 7.4 | 100 | 17.8 | A | Y | 40 | 38 | −39 | −29 | 14 | 12 | 152 | 154 | 16 | 27 | −19 | −24 | 27 | 29 | 24 | 11 | 20 | 5 | 13 | 17 |
| 3 | F | 6.2 | 5.2 | 98 | 16.9 | A | Y | 35 | 29 | −9 | −8 | 40 | 40 | 143 | 153 | 24 | 22 | 11 | 9 | 54 | 64 | 11 | 7 | 20 | 17 | 14 | 24 |
| 4 * | M | 7.6 | 6.6 | 98 | 18.7 | S | Y | 39 | 38 | −33 | −32 | 7 | 10 | 152 | 145 | 26 | 23 | −17 | −10 | 32 | 48 | 13 | 15 | 16 | 22 | 25 | 38 |
| 5 * | F | 5.6 | 4.6 | 96 | 15.9 | S | Y | 35 | 36 | −24 | −18 | 21 | 38 | 146 | 140 | 22 | 25 | −10 | −14 | 48 | 44 | 13 | 11 | 14 | 4 | 27 | 6 |
| 6 | F | 8.8 | 7.8 | 96 | 15 | S | Y | 38 | 42 | −20 | −18 | 23 | 22 | 154 | 151 | 23 | 28 | 17 | 5 | 65 | 56 | 15 | 14 | 37 | 23 | 42 | 34 |
| 7 * | M | 9.7 | 8.7 | 96 | 15.9 | S | Y | 33 | 35 | −33 | −33 | 19 | 12 | 150 | 148 | 28 | 21 | −50 | −48 | 28 | 27 | 5 | 14 | 17 | 15 | 9 | 15 |
| 8 | M | 3.2 | 2.2 | 97 | 16.5 | A | Y | 35 | 33 | −9 | −9 | 32 | 28 | 147 | 132 | 22 | 23 | 18 | 14 | 62 | 63 | 13 | 10 | 27 | 23 | 30 | 35 |
| 9 | F | 8.2 | 7.2 | 102 | 18.5 | A | Y | 38 | 39 | −5 | 7 | 29 | 30 | 145 | 143 | 29 | 24 | −6 | 3 | 52 | 58 | 9 | 15 | 1 | 4 | 23 | 28 |
| 10 * | F | 9.8 | 8.8 | 111 | 21.5 | A | Y | 46 | 42 | −24 | −26 | 22 | 20 | 152 | 142 | 25 | 17 | −23 | −17 | 37 | 45 | 21 | 25 | 1 | 9 | 15 | 25 |
| 11 * | F | 8.9 | 7.9 | 96 | 15 | S | Y | 44 | 39 | −13 | −10 | 33 | 36 | 152 | 152 | 23 | 25 | −13 | −15 | 44 | 40 | 21 | 14 | 0 | 5 | 11 | 4 |
| 12 * | F | 4.8 | 3.8 | 90 | 13.7 | S | N | 36 | 37 | −18 | −36 | 52 | 11 | 134 | 136 | 24 | 20 | −14 | −32 | 53 | 41 | 12 | 17 | 4 | 4 | 1 | 30 |
| 13 * | M | 4.5 | 3.5 | 84 | 13 | MS | N | 26 | 33 | −21 | −33 | 37 | 18 | 149 | 156 | 21 | 21 | −11 | −17 | 60 | 52 | 5 | 12 | 10 | 16 | 23 | 34 |
| 14 * | M | 6.8 | 5.8 | 102 | 16.2 | S | N | 37 | 39 | −9 | −10 | 56 | 42 | 149 | 141 | 22 | 23 | −8 | −17 | 50 | 44 | 15 | 16 | 1 | 7 | 6 | 2 |
| 15 * | M | 3.8 | 2.8 | 87 | 16.2 | S | N | 34 | 34 | −14 | −19 | 30 | 42 | 144 | 143 | 22 | 21 | −6 | −5 | 56 | 52 | 12 | 13 | 8 | 14 | 26 | 10 |
| 16 * | F | 3 | 2 | 89 | 12 | A | N | 31 | 30 | −23 | −36 | 24 | 17 | 155 | 149 | 10 | 15 | −5 | −2 | 58 | 52 | 21 | 15 | 18 | 34 | 34 | 35 |
| 17 * | M | 4.8 | 3.8 | 88 | 12.6 | MS | N | 41 | 39 | −18 | −12 | 31 | 39 | 135 | 136 | 30 | 30 | −18 | −11 | 46 | 44 | 11 | 9 | 0 | 1 | 15 | 5 |
| 18 * | F | 4.8 | 3.8 | 87 | 12.2 | MS | N | 28 | 28 | −16 | −20 | 56 | 42 | 149 | 147 | 14 | 12 | −4 | −6 | 56 | 57 | 14 | 16 | 12 | 14 | 0 | 15 |
| 19 * | M | 4.5 | 3.5 | 90 | 13.5 | MS | N | 31 | 30 | −38 | −43 | 14 | 0 | 146 | 151 | 26 | 26 | −23 | −21 | 38 | 33 | 5 | 4 | 15 | 22 | 24 | 33 |
| Range of Age(y) | Numbers of Patients | AI (°) | CAI (°) | CEA (°) | FHC (%) | NSA (°) | |||||
|---|---|---|---|---|---|---|---|---|---|---|---|
| MPS-IVA | NC † | MPS-IVA | NC† | MPS-IVA | NC ‡ | MPS-IVA | NC ‡ | MPS-IVA | NC § | ||
| 3 to 4 | 3 | 33 ± 2 | 19.89 | 19 ± 5 | 8.17 | −18 ± 10 | 23 | 29 ± 8 | 83–84 | 145 ± 8 | 145 |
| 4 to 5 | 6 | 33 ± 5 | 18.22 | 22 ± 6 | 7.9 | −26 ± 10 | 23 | 27 ± 18 | 79–84 | 143 ± 8 | 145 |
| 5 to 6 | 1 | 36 ± 1 | 18.51 | 24 ± 2 | 8.4 | −21 ± 4 | 23 | 30 ± 12 | 79–82 | 143 ± 4 | 142 |
| 6 to 7 | 2 | 35 ± 4 | 17.91 | 23 ± 1 | 8.19 | −9 ± 1 | 24 | 45 ± 8 | 80–82 | 147 ± 6 | 142 |
| 7 to 8 | 1 | 39 ± 1 | 18.25 | 25 ± 2 | 8.05 | −33 ± 1 | 26 | 9 ± 2 | 80–82 | 149 ± 5 | 142 |
| 8 to 9 | 4 | 40 ± 2 | 17.64 | 24 ± 4 | 8.15 | −16 ± 14 | 25 | 25 ± 9 | 81–82 | 150 ± 4 | 142 |
| 9 to 10 | 2 | 39 ± 6 | 16.40 | 23 ± 5 | 7.87 | −29 ± 5 | 25 | 18 ± 4 | 81 | 148 ± 4 | 138 |
| FHN Group | No FHN Group | p | |
|---|---|---|---|
| Sex (no. patients) | 11 | 8 | 0.181 |
| Male | 8 | 3 | |
| Female | 3 | 5 | |
| Age (y) | 7.4± 2.1 | 4.6± 1.1 | 0.002 # |
| Age at HSCT (y) | 6.4± 2.1 | 3.6± 1.1 | 0.002 # |
| Height (cm) | 98.3± 5.0 | 89.6± 5.4 | 0.002 # |
| Weight (kg) | 16.9± 2.2 | 13.7± 1.7 | 0.003 # |
| AI (°) | 37.5 ± 4.0 | 33.4 ± 4.5 | 0.007 # |
| CEA (°) | −20.1 ± 11.9 | −22.9 ± 10.8 | 0.465 |
| FHC (%) | 23.2 ± 10.5 | 31.9 ± 16.7 | 0.056 |
| NSA (°) | 146.6 ± 6.4 | 145.0 ± 7.0 | 0.478 |
| CAI (°) | 23.3 ± 3.5 | 21.1 ± 5.9 | 0.193 |
| CCEA (°) | −9.6± 18.2 | −12.5± 8.3 | 0.556 |
| CFHC (%) | 45.4 ± 12.7 | 49.5 ± 7.8 | 0.261 |
| ∆AI | 14.2 ± 5.5 | 12.3 ± 4.7 | 0.255 |
| ∆CEA | 10.5 ± 13.9 | 10.4 ± 10.0 | 0.965 |
| ∆FHC | 22.2 ± 10.5 | 17.6 ± 14.1 | 0.279 |
© 2020 by the authors. Licensee MDPI, Basel, Switzerland. This article is an open access article distributed under the terms and conditions of the Creative Commons Attribution (CC BY) license (http://creativecommons.org/licenses/by/4.0/).
Share and Cite
Wang, Z.; Xu, Y.; Jiang, E.; Wang, J.; Tomatsu, S.; Shen, K. Pathophysiology of Hip Disorders in Patients with Mucopolysaccharidosis IVA. Diagnostics 2020, 10, 264. https://doi.org/10.3390/diagnostics10050264
Wang Z, Xu Y, Jiang E, Wang J, Tomatsu S, Shen K. Pathophysiology of Hip Disorders in Patients with Mucopolysaccharidosis IVA. Diagnostics. 2020; 10(5):264. https://doi.org/10.3390/diagnostics10050264
Chicago/Turabian StyleWang, Zhigang, Yunlan Xu, Enze Jiang, Jianmin Wang, Shunji Tomatsu, and Kaiying Shen. 2020. "Pathophysiology of Hip Disorders in Patients with Mucopolysaccharidosis IVA" Diagnostics 10, no. 5: 264. https://doi.org/10.3390/diagnostics10050264
APA StyleWang, Z., Xu, Y., Jiang, E., Wang, J., Tomatsu, S., & Shen, K. (2020). Pathophysiology of Hip Disorders in Patients with Mucopolysaccharidosis IVA. Diagnostics, 10(5), 264. https://doi.org/10.3390/diagnostics10050264

