Next Article in Journal
Diagnosis of Dizziness Due to a Core Vestibular Projection Injury in a Patient with Intracerebral Hemorrhage
Previous Article in Journal
Complete Depletion of Daratumumab Interference in Serum Samples from Plasma Cell Myeloma Patients Improves the Detection of Endogenous M-Proteins in a Preliminary Study
 
 
Font Type:
Arial Georgia Verdana
Font Size:
Aa Aa Aa
Line Spacing:
Column Width:
Background:
Case Report

Quadruple Multiple Primary Malignancies: Early Detection of Second Primary Malignancy by Esophagogastroduodenoscopy/Colonoscopy Is Crucial for Patients with Classic Kaposi’s Sarcoma

1
Department of Oral and Maxillofacial Functional Rehabilitation, Graduate School of Medicine, University of the Ryukyus, 207 Uehara, Nishihara, Okinawa 903-0215, Japan
2
Department of Dermatology, Graduate School of Medicine, University of the Ryukyus, 207 Uehara, Nishihara, Okinawa 903-0215, Japan
3
Department of Medical Biochemistry, Graduate School of Medicine, University of the Ryukyus, 207 Uehara, Nishihara, Okinawa 903-0215, Japan
4
Department of Pathology, Ryukyu University Hospital, 207 Uehara, Nishihara, Okinawa 903-0215, Japan
5
Department of Endoscopy, Ryukyu University Hospital, 207 Uehara, Nishihara, Okinawa 903-0215, Japan
6
Department of Oral and Maxillofacial Surgery, Ryukyu University Hospital, 207 Uehara, Nishihara, Okinawa 903-0215, Japan
7
Molecular Microbiology Group, Tropical Biosphere Research Center, University of the Ryukyus, Senbaru 1, Nishihara, Okinawa 903-0213, Japan
8
Department of Pathology and Oncology, Graduate School of Medicine, University of the Ryukyus, 207 Uehara, Nishihara, Okinawa 903-0215, Japan
*
Author to whom correspondence should be addressed.
Diagnostics 2020, 10(4), 218; https://doi.org/10.3390/diagnostics10040218
Submission received: 18 March 2020 / Revised: 4 April 2020 / Accepted: 9 April 2020 / Published: 14 April 2020
(This article belongs to the Section Medical Imaging and Theranostics)

Abstract

Currently, Kaposi’s sarcoma (KS) is treated following the recommendations of international guidelines. These guidelines recommend esophagogastroduodenoscopy/colonoscopy for detecting multicentric KS of visceral lesions. Second primary malignancies (SPMs) are also a common KS complication; however, information on their detection and treatment is unfortunately not yet indicated in these guidelines. This paper reports on an 86-year-old man who suffered from quadruple primary malignancies: skin classic KS with colon adenocarcinoma, oral squamous cell carcinoma (maxilla), and well-differentiated stomach adenocarcinoma. Gastric cancer was incidentally detected during esophagogastroduodenoscopy, which was performed to detect visceral KS. We suggest that esophagogastroduodenoscopy/colonoscopy be routinely performed during the follow-up of patients with KS. As SPMs are crucial complications in patients with KS, these malignancies should be detected as early as possible.

1. Introduction

Kaposi’s sarcoma (KS) was first described by Moriz Kaposi in 1872 [1]. Currently, KS is classified into four types: classic KS (CKS), endemic KS, iatrogenic KS, and epidemic KS (associated with acquired immunodeficiency syndrome) [2]. This type of tumor is very rare; however, KS is prevalent worldwide, comprising 44,000 incident cases and 27,000 deaths globally in 2012 [3]. Among the four types, CKS is relatively indolent and displays a good treatment response [4]. Lesions usually develop on the skin; however, CKS also tends to develop multifocally, such as via a visceral spread [5,6,7]. Therefore, upper endoscopy, i.e., esophagogastroduodenoscopy (EGD)/colonoscopy (CS), is suggested for detecting multicentric visceral lesions according to the latest National Comprehensive Cancer Network (NCCN) guidelines for patients with KS; however, the follow-up term is not defined [8].
For patients with KS, second primary malignancies (SPMs) are a serious problem [9,10]. SPMs in patients with KS can occur > 15 years after the CKS diagnosis [11,12]. However, the detection method of SPMs is not yet indicated in the guidelines [8]. Here, we report an 86-year-old man who suffered from quadruple primary malignancies (PMs): colon adenocarcinoma, skin CKS, oral squamous cell carcinoma (SCC) (maxilla), and well-differentiated stomach adenocarcinoma. Among these tumors, gastric cancer was incidentally detected during EGD performed to detect visceral KS. To our knowledge, this is the first known case with this combination of quadruple PMs.

2. Case Report

An 86-year-old male patient first noticed a lesion 8 months prior to the visit and underwent several biopsies at the Okinawa Prefectural Miyako Hospital (Okinawa, Japan). Angiosarcoma was histologically suspected, and he was subsequently referred to the Department of Dermatology, Ryukyu University Hospital, in August 2007. A physical examination indicated a 50 × 60 mm pedunculated red mass at the sole of his left foot (Figure 1) with partial ulceration. Other dark 5 mm red papules were scattered on the sole of his left foot and left lower leg regions. The patient was surgically treated for colon adenocarcinoma (the first malignancy, September 2002) but had never undergone radiation therapy or chemotherapy. The patient was a previous smoker (2–3 packs per day for 10 years) in his 20s and 30s with a history of drinking. No incidence of cancer was observed in his family history. The patient also suffered from cerebral infarction and Ménière’s disease. Subsequently, the patient underwent biopsy of the foot lesion, and angiosarcoma was histologically suspected. A DNA-polymerase chain reaction test of the frozen tissue was also performed, which tested positive for human herpesvirus 8. He was a human T-cell leukemia virus type 1 carrier. The serological test was negative for human immunodeficiency virus-1 and virus-2. Therefore, he was clinically and pathologically diagnosed with CKS. Tumor excision of the sole of his left foot was performed under spinal anesthesia (September 2007). Postoperatively, EGD and CS were performed to detect the presence of multicentric CKS and to confirm a postoperative colon lesion. Considering his old age, postoperative radiation was avoided, and an imiquimod cream treatment was continued at Miyako Hospital after discharge. The follow-up EGD was done in December 2007, and no tumorous lesion was found.
The third malignancy, i.e., oral SCC, developed 3 years after the CKS surgery. The patient was referred to the Department of Oral and Maxillofacial Surgery at the Ryukyu University Hospital in September 2010 for further evaluation of the right gum of his upper jaw, in which a 22 × 18 mm mass was located. An EGD demonstrated no tumorous data. A well-differentiated SCC in the maxilla was pathologically diagnosed based on the oral mass biopsy. Neoadjuvant chemotherapy and surgical resection of the oral cancer were planned. The neoadjuvant chemotherapy included bleomycin (75 mg total) and “uracil and tegafur” (450 mg per day for approximately 1 month) and displayed a partial response in the tumor; however, the patient refused to undergo subsequent resection of the oral cancer and refused continuous chemotherapy. The patient was discharged and scheduled for follow-up for his oral cancer at Okinawa Prefectural Miyako Hospital.
Although the patient continued to receive treatment for his KS with imiquimod cream at the Okinawa Prefectural Miyako Hospital, his KS exacerbated. Therefore, he was referred again to our institute in June 2011 for further evaluation and treatment. Physically, his tumor nodules had expanded and ulcerated on both soles of his feet and his right thigh (Figure 2). To detect metastasis or multicentric KS, several tests were performed. In regard to the oral cancer (the third malignancy), it was progressing slowly, without palpable neck lymph nodes. Computed tomography (CT) scan showed no lung tumorous lesion; however, interstitial pneumonia was radiologically detected, with suspected bleomycin-induced interstitial pneumonia. Considering his age (>90 years) and the lung lesion, the patient could not undergo chemotherapy for CKS. Therefore, the CKS was treated with 5% imiquimod cream, cryotherapy, and tumor-debulking surgery using an electric knife (June 2011). No exacerbated lesions were identified after the CKS treatment. According to the EGD finding, no multicentric CKS lesions were identified; however, a 1 cm mass was newly observed in his stomach by the EGD. A mass biopsy histologically revealed a high-grade (group 4) gastric adenoma, which was also suspected as gastric cancer (Figure 3). Serum tests for anti-Helicobacter pylori antibodies were negative. Therefore, endoscopic submucosal dissection was performed (July 2011), diagnosing a well-differentiated adenocarcinoma Type IIa (the fourth malignancy) histologically. No venous or lymphatic invasion was histologically found. The follow-up EGD was done in September 2011, and no tumorous lesion was found. Oral cancer examination revealed progression of the oral mass and mandibular lymphadenopathy. However, no treatment was administered due to the patient’s advanced age. No evidence of lung metastasis was found. In July 2012, oral cancer continued to progress, his condition continued to worsen, and he died of oral cancer at the Okinawa Prefectural Miyako Hospital. This report was submitted for ethical review to the Ethics Committee of the University of the Ryukyus (Okinawa, Japan), which waived the requirement for review per institutional protocol because the study did not contain content that requires ethical approval. The Ethics Committee approved the submission and publication of the manuscript in April 27, 2018. Written informed consent was obtained from the patient’s kin for the publication of this case report and the accompanying images. A copy of the written consent is available for review from the Editor-in-Chief of this journal.

3. Discussion

The following two important issues were noted in this case: (i) to our knowledge, the combination of quadruple PMs (colon adenocarcinoma, skin CKS, well-differentiated SCC of the oral cavity, and gastric well-differentiated adenocarcinoma) has not been reported, and (ii) we suggest that EGD/CS be routinely performed to detect SPMs during the long-term follow-up of patients with KS.
The current case was diagnosed as quadruple PMs using Warren and Gates criteria [13]. To identify tumor combinations similar to our case, the literature from 1872 [1] to 2020 was searched using PubMed and Google Scholar. Non-English studies and English conference proceedings were excluded. A total of 280 cases of patients with KS with multiple tumors including head and neck, esophagus, stomach, duodenum, or colorectal (including anal) malignancies were identified [7,10,11,12,14,15,16,17,18,19,20,21,22,23,24,25,26,27,28,29] (Table 1). Of the identified cases, 7, 20, 1, and 159 had KS with esophagus, stomach, duodenum, and colorectal (including anal) malignancy, respectively. However, no previous cases were similar to the current combination of tumors. We then attempted to investigate how these tumors were detected (by clinical symptoms, radiological methods, or EGD/CS) in the literature presented in Table 1; however, detection methods could not be found because most of the identified studies were based on cancer registries that did not describe the detailed case information [10,11,17,28].
We believe that life-threatening SPMs should be detected in the early stage in patients with CKS. In our case, early-stage gastric cancer was accidentally detected by EGD (3 years and 9 months after the treatment of CKS). However, no universal guidelines (NCCN) exist for patients with CKS. Conversely, European consensus-based interdisciplinary guidelines state that endoscopy is not strongly recommended for patients with CKS [30]. In these guidelines, endoscopy (as well as bronchoscopy and total-body CT) is recommended to be performed just according to symptoms in both staging work-up and follow-up for patients with all types of KS [30]. This raises the question as to why endoscopy does not appear to be important in the examination of patients with CKS. The following two reasons have been indicated: (i) According to some studies, visceral involvement of CKS was reported to be only <10%, which is apparently less than that of other KS [7,30]. Further, a recent report stated that the follow-up interval for patients with CKS can be every 6–12 months, essentially based on clinical examination [31]. (ii) SPMs for patients with CKS are not fully considered. In fact, Cesarman et al. mentions that the early detection of KS and other cancers is beneficial for patients with KS, but these benefits have not been examined in randomized trials [31]. As the recent reports state, the goal of CKS therapy is to manage disease control and preserve quality of life [30,31], and to achieve this goal, life-threatening SPMs should be detected in early stages in patients with CKS.
Despite no clinical gastric/colorectal symptoms, EGD/CS was performed in the current case for two reasons: first, to detect multicentric CKS of the visceral regions, and second, to examine colon cancer recurrence because the patient had a history of colon adenocarcinoma. Consequently, gastric SPM was incidentally detected. For patients with KS, SPMs as well as multicentric KS in other sites are reportedly serious complications [10,28]. Based on our literature review, the first case of SPM (lymphatic leukemia) in a patient with KS was reported in 1920 [32]. Subsequently, SPMs associated with KS were debated in 1954 [9]. Then, in 1973, it was reported that SPM (stomach cancer) as well as visceral involvement could be the cause of death in a KS patient [16]. Lymphoreticular malignancies were reported to tend to occur as SPMs in 1980 [33]. After that, other reports described “solid tumors” that also occurred in patients with KS as SPMs [6,34]. KS is a rare disease; therefore, patients in previous studies should be reviewed to identify its characteristics [35]. Table 1 shows that more than 280 patients with KS (including our case) had solid malignancy associated with head and neck, esophagus, stomach, duodenum, or colorectal cancer. KS itself has a relatively good prognosis [36]. In fact, according to the mortality rate of patients with KS, SPMs were higher than in those with KS alone as a cause of death [7,14,18,20,37]. However, the newest NCCN guidelines on KS (HIV-related) only describe that radiation is a risk of SPMs; they do not describe methods to detect such tumors [8], potentially because most HIV-related patients with KS die from HIV itself [28]. Conversely, CKS (non-HIV-related KS) is a slow, indolent disease that has a relatively good prognosis [2,4]. Indeed, EGD (which revealed gastric cancer) did not appear to affect the survival of the current patient due to the early stage of the tumor. Moreover, the patient exhibited no visceral KS. Based on a literature review, we suggest routine EGD because both visceral lesions and SPM can occur in patients with CKS. Weissmann et al. reported that visceral KS and SPM occurred in 18.4% and 16.8%, respectively, of 125 studied patients with CKS [20]. Among 56 patients with CKS studied by Errihani et al., visceral KS and SPM occurred in 16.1% and 10.7%, respectively [24]. Among the cases of visceral KS, 22% occurred in the gastrointestinal tract [24]. Although these reported rates are not high, visceral CKS, SPM, or both can occur in patients with CKS. According to the descriptions provided in Table 1, SPM can occur in the esophagus, stomach, and duodenum. Therefore, as described above, to prevent death from SPMs, they should be detected in patients with CKS, such as our case.
We think that if clinicians use the guidelines for patients with KS, SPMs cannot be detected at an early stage because clinical symptoms are basically expressed in advanced-stage disease (poor outcome) [38,39]. Table 1 shows that gastric or colorectal SPM can occur in patients with KS. These cancers should be detected as early as possible because early-stage cancer has a good prognosis; by contrast, advanced cases have a poor prognosis [40,41]. However, as described above, the newest NCCN guidelines for patients with KS do not recommend regular follow-up with EGD/CS [8]. The guidelines report that EGD/CS is useful when patients with KS have gastrointestinal symptoms or positive hemoccult with suspected visceral KS involvement (i.e., multicentric KS of the other site) [8]. However, the guidelines do not indicate detecting SPMs in patients with KS. Furthermore, SPMs in patients with CKS can occur metachronously from 1 to >15 years after the CKS diagnosis [11,12]. Iscovich et al. reported that in 37.7% (n = 23) of 61 patients, SPM occurred ≥5 years after the diagnosis of CKS [12]. Hiatt et al. reported that 42% (n = 45) of 108 patients with CKS had SPM on long-term follow-up (<1 to 19 years; average = 4.8 years) [7]. Remarkably, 24% of patients died of SPM, whereas only 4% died of CKS [7]. Hjalgrim et al. reported that as SPM of CKS, 35 involved the digestive organs and peritoneum (n = 35); among these, 82.9% (n = 29) occurred ≥ 1 year after the diagnosis of CKS [11]. Among the 35 patients, SPMs in the colon were found in 14 patients. Among them, 92.9% (n = 13) experienced SPM > 1 year after the diagnosis of CKS [11]. No cancerous lesion was found in the current case on EGD 3 years after primary KS treatment; however, the next EGD (3 years and 9 months after treatment of the primary KS) detected gastric cancer. Based on the current case and a literature review, we suggest that follow-up EGD/CS should be conducted at least 1 year after the diagnosis of CKS, and follow-up EGD/CS after 3 years may be reasonable. Therefore, long-term follow-up with EGD/CS is necessary for patients with CKS after the treatment.
To detect SPMs or visceral KS in patients with KS, EGD/CS is a more useful approach than positron-emission tomography (PET)/CT. PET/CT has been well-reported to detect SPMs in various body sites of patients with primary cancer [42,43,44,45]. However, we recommend EGD/CS for these patients for the following reasons: First, PET/CT may overlook SPMs because it potentially overlooks small-sized upper gastrointestinal cancer and colon cancer. Yabuki et al. [46] and Suzuki et al. [47] reported that PET or PET/CT tended to overlook the stages (T2, T1, and Tis) of upper gastrointestinal cancer because of the low accumulation. By contrast, esophagogastroscopy could detect cases of cancer that were overlooked by PET/CT [46]. Furthermore, small-sized colorectal lesions were significantly missed by PET/CT based on 492 patients who underwent both PET/CT and CS [48]. Further, the physiological uptake on the intestine masks colorectal lesions [49]. Conversely, EGD/CS has been reported to be useful for patients with KS. Kim et al. reported the low detection ability of PET/CT for esophageal and stomach SPMs after the treatment of head and neck SCC [50]. By contrast, for patients with KS, EGD could detect hidden gastrointestinal lesions that were overlooked by the preceding PET/CT [51]. Second, small-sized visceral KS may be overlooked by PET/CT in patients with KS [52]. Third, SPMs should be detected as early as possible. Certainly, EGD/CS is more invasive and stressful than PET/CT [53,54,55]. However, as in the current case, skin and oral lesions could be directly observed, whereas stomach and colon lesions should be detected and observed using an appropriate method.

4. Conclusions

We report a rare case of CKS associated with quadruple PMs. We suggest that EGD/CS should be routinely performed during the follow-up of patients with KS. As SPMs are a crucial complication in patients with KS, they should be detected as early as possible.

Author Contributions

N.M., Y.O., A.H., T.M.: acquired the data. T.M.: substantially contributed to the concept and design of the study. N.M., A.H., T.M.: performed the literature review. N.M., T.M.: had a major role in writing the manuscript. Y.O., F.H., K.N., T.N., S.M., H.N.: interpreted the data and contributed advice for the manuscript. M.U., A.H.: revised the manuscript and contributed advice for the manuscript. A.M., N.Y.: evaluated the specimens of the patient, interpreted the data, and gave advice for the manuscript. All authors have read and agreed to the published version of the manuscript.

Funding

This research received no external funding.

Acknowledgments

The authors would like to thank Kenzo Takahashi from the Department of Dermatology, Graduate School of Medicine, University of the Ryukyus (Okinawa, Japan), for his advice and manuscript revision.

Conflicts of Interest

The authors have no conflict of interest to declare.

References

  1. Kaposi, M. Idiopathisches multiples pigmentsarkom der haut. Arch. Dermatol. Syph. 1872, 4, 265–273. [Google Scholar] [CrossRef]
  2. Patrikidou, A.; Vahtsevanos, K.; Charalambidou, M.; Valeri, R.M.; Xirou, P.; Antoniades, K. Non-AIDS Kaposi’s sarcoma in the head and neck area. Head Neck 2009, 31, 260–268. [Google Scholar] [CrossRef] [PubMed]
  3. Ferlay, J.; Soerjomataram, I.; Dikshit, R.; Eser, S.; Mathers, C.; Rebelo, M.; Rebelo, M.; Parkin, D.M.; Forman, D.; Bray, F. Cancer incidence and mortality worldwide: Sources, methods and major patterns in GLOBOCAN 2012. Int. J. Cancer 2015, 136, E359–E386. [Google Scholar] [CrossRef] [PubMed]
  4. Piette, W.W. The incidence of second malignancies in subsets of Kaposi’s sarcoma. J. Am. Acad. Dermatol. 1987, 16, 855–861. [Google Scholar] [CrossRef]
  5. Hengge, U.R.; Ruzicka, T.; Tyring, S.K.; Stuschke, M.; Roggendorf, M.; Schwartz, R.A.; Seeber, S. Update on Kaposi’s sarcoma and other HHV8 associated diseases. Part 1: Epidemiology, environmental predispositions, clinical manifestations, and therapy. Lancet. Infect. Dis. 2002, 2, 281–292. [Google Scholar] [CrossRef]
  6. Brenner, B.; Weissmann-Brenner, A.; Rakowsky, E.; Weltfriend, S.; Fenig, E.; Friedman-Birnbaum, R.; Sulkes, A.; Linn, S. Classical Kaposi sarcoma: Prognostic factor analysis of 248 patients. Cancer 2002, 95, 1982–1987. [Google Scholar] [CrossRef]
  7. Hiatt, K.M.; Nelson, A.M.; Lichy, J.H.; Fanburg-Smith, J.C. Classic Kaposi Sarcoma in the United States over the last two decades: A clinicopathologic and molecular study of 438 non-HIV-related Kaposi Sarcoma patients with comparison to HIV-related Kaposi Sarcoma. Mod. Pathol. 2008, 21, 572–582. [Google Scholar] [CrossRef]
  8. National Comprehensive Cancer Network: AIDS-Related Kaposi Sarcoma Version 1. 2020. Available online: https://www.nccn.org/professionals/physician_gls/pdf/kaposi.pdf (accessed on 28 February 2020).
  9. Alien, A.C. Chapter XXVII tumors of vessels. In The Skin. A Clinicopathologic Treatise; CV Mosby Company: St. Louis, MO, USA, 1954; pp. 967–1007. [Google Scholar]
  10. Mukhtar, F.; Ilozumba, M.; Utuama, O.; Cimenler, O. Change in pattern of secondary cancers after kaposi sarcoma in the era of antiretroviral therapy. JAMA Oncol. 2018, 4, 48–53. [Google Scholar] [CrossRef]
  11. Hjalgrim, H.; Frisch, M.; Pukkala, E.; Tulinius, H.; Ekbom, A.; Dictor, M.; Langmark, F.; Hardarson, S.; Melbye, M. Risk of second cancers in classical Kaposi’s sarcoma. Int. J. Cancer 1997, 73, 840–843. [Google Scholar] [CrossRef]
  12. Iscovich, J.; Boffetta, P.; Brennan, P. Classic Kaposi’s sarcoma as a first primary neoplasm. Int. J. Cancer 1999, 80, 173–177. [Google Scholar] [CrossRef]
  13. Warren, S.; Gates, O. Multiple primary malignant tumors: A survey of the literature and a statistical study. Am. J. Cancer 1932, 16, 1358–1414. [Google Scholar]
  14. O’Brien, P.H.; Brasfield, R.D. Kaposi’s sarcoma. Cancer 1966, 19, 1497–1502. [Google Scholar] [CrossRef]
  15. Moertel, C.G.; Dockerty, M.B.; Baggenstoss, A.H. Multiple primary malignant neoplasms. I. Introduction and presentation of data. Cancer 1961, 14, 221–230. [Google Scholar] [CrossRef]
  16. Feuerman, E.J.; Potruch-Eisenkraft, S. Kaposi’s sarcoma. A follow-up of 38patients. Dermatologica 1973, 146, 115–122. [Google Scholar] [CrossRef]
  17. Franceschi, S.; Arniani, S.; Balzi, D.; Geddes, M. Survival of classic Kaposi’s sarcoma and risk of second cancer. Br. J. Cancer 1996, 74, 1812–1814. [Google Scholar] [CrossRef]
  18. Stratigos, J.D.; Potouridou, I.; Katoulis, A.C.; Hatziolou, E.; Christofidou, E.; Stratigos, A.; Hatzakis, A.; Stavrianeas, N.G. Classic Kaposi’s sarcoma in Greece: A clinico-epidemiological profile. Int. J. Dermatol. 1997, 36, 735–740. [Google Scholar] [CrossRef]
  19. Iscovich, J.; Boffetta, P.; Winkelmann, R.; Brennan, P. Classic Kaposi’s sarcoma as a second primary neoplasm. Int. J. Cancer 1999, 80, 178–182. [Google Scholar] [CrossRef]
  20. Weissmann, A.; Linn, S.; Weltfriend, S.; Friedman-Birnbaum, R. Epidemiological study of classic Kaposi’s sarcoma: A retrospective review of 125 cases from Northern Israel. J. Eur. Acad. Dermatol. Venereol. 2000, 14, 91–95. [Google Scholar] [CrossRef]
  21. Gambassi, G.; Semeraro, R.; Suma, V.; Sebastio, A.; Incalzi, R.A. Aggressive behavior of classical Kaposi’s sarcoma and coexistence with angiosarcoma. J. Gerontol. A Biol. Sci. Med. Sci. 2005, 60, 520–523. [Google Scholar] [CrossRef][Green Version]
  22. Mohanna, S.; Ferrufino, J.C.; Sanchez, J.; Bravo, F.; Gotuzzo, E. Epidemiological and clinical characteristics of classic Kaposi’s sarcoma in Peru. J. Am. Acad. Dermatol. 2005, 53, 435–441. [Google Scholar] [CrossRef]
  23. Taioli, E.; Piselli, P.; Arbustini, E.; Boschiero, L.; Burra, P.; Busnach, G.; Caldara, R.; Citterio, F.; De Juli, E.; Dissegna, D.; et al. Incidence of second primary cancer in transplanted patients. Transplantation 2006, 81, 982–985. [Google Scholar] [CrossRef] [PubMed][Green Version]
  24. Errihani, H.; Berrada, N.; Raissouni, S.; Rais, F.; Mrabti, H.; Rais, G. Classic Kaposi’s sarcoma in Morocco: Clinico-epidemiological study at the National Institute of Oncology. BMC Dermatol. 2011, 11, 15. [Google Scholar] [CrossRef] [PubMed]
  25. Laresche, C.; Fournier, E.; Dupond, A.S.; Woronoff, A.S.; Drobacheff-Thiebaut, C.; Humbert, P.; Aubin, F. Kaposi’s sarcoma: A population-based cancer registry descriptive study of 57 consecutive cases diagnosed between 1977 and 2009. Int. J. Dermatol. 2014, 53, e549–e554. [Google Scholar] [CrossRef] [PubMed]
  26. Volkow, P.; Lizano, M.; Carrillo-García, A.; Pérez-Montiel, D.; Garciadiego, P. Triple secondary neoplasms: Penis, lip and oral cavity in an AIDS patient treated with pegylated liposomal doxorubicin for cutaneous Kaposi’s sarcoma. AIDS 2014, 28, 2327–2329. [Google Scholar] [CrossRef] [PubMed]
  27. Santangelo, M.L.; Criscitiello, C.; Renda, A.; Federico, S.; Curigliano, G.; Dodaro, C.; Scotti, A.; Tammaro, V.; Calogero, A.; Riccio, E.; et al. Immunosuppression and Multiple Primary Malignancies in Kidney-Transplanted Patients: A Single-Institute Study. Biomed. Res. Int. 2015, 2015, 183523. [Google Scholar] [CrossRef] [PubMed]
  28. Kumar, V.; Garg, M.; Chaudhary, N.; Soni, P.; Floudas, C.S.; Nwanyanwu, C.; Chandra, A. The pattern of secondary cancers in patients with Kaposi sarcoma in the United States. Cancer Causes Control 2017, 28, 1065–1074. [Google Scholar] [CrossRef] [PubMed]
  29. Yildirim, M.; Belli, S.; Ozsoy, S.; Taskin, U. Primary triple head and neck tumors: Laryngeal squamous cell carcinomas, Kaposi’s sarcoma, and non-Hodgkin’s lymphoma. Indian. J. Pathol. Microbiol. 2019, 62, 454–456. [Google Scholar] [CrossRef]
  30. Lebbe, C.; Garbe, C.; Stratigos, A.J.; Harwood, C.; Peris, K.; Marmol, V.D.; Malvehy, J.; Zalaudek, I.; Hoeller, C.; Dummer, R.; et al. Diagnosis and treatment of Kaposi’s sarcoma: European consensus-based interdisciplinary guideline (EDF/EADO/EORTC). Eur. J. Cancer 2019, 114, 117–127. [Google Scholar] [CrossRef]
  31. Cesarman, E.; Damania, B.; Krown, S.E.; Martin, J.; Bower, M.; Whitby, D. Kaposi sarcoma. Nat. Rev. Dis. Primers. 2019, 5, 9. [Google Scholar] [CrossRef]
  32. Cole, H.N.; Crump, E.S. Report of two cases of idiopathic hemorrhagic sarcoma (Kaposi), the first complicated with lymphatic leukemia. Arch. Dermatol. Syph. 1920, 1, 283–295. [Google Scholar] [CrossRef][Green Version]
  33. Safai, B.; Miké, V.; Giraldo, G.; Beth, E.; Good, R.A. Association of Kaposi’s sarcoma with second primary malignancies: Possible etiopathogenic implications. Cancer 1980, 45, 1472–1479. [Google Scholar] [CrossRef]
  34. Iscovich, J.; Boffetta, P.; Franceschi, S.; Azizi, E.; Sarid, R. Classic Kaposi sarcoma: Epidemiology and risk factors. Cancer 2000, 88, 500–517. [Google Scholar] [CrossRef]
  35. Awazawa, R.; Utsumi, D.; Katano, H.; Awazawa, T.; Miyagi, T.; Hayashi, K.; Matori, S.; Uezato, H.; Takahashi, K. High prevalence of distinct human herpesvirus 8 contributes to the high incidence of non-acquired immune deficiency syndrome-associated kaposi’s sarcoma in isolated Japanese islands. J. Infect. Dis. 2017, 216, 850–858. [Google Scholar] [CrossRef] [PubMed]
  36. Kaposi’s Sarcoma-Cancer Statistics Review 1975–2015. Available online: https://seer.cancer.gov/csr/1975_2015/results_merged/sect_10_kaposi_sarcoma.pdf (accessed on 11 January 2019).
  37. Donin, N.; Filson, C.; Drakaki, A.; Tan, H.J.; Castillo, A.; Kwan, L.; Litwin, M.; Chamie, K. Risk of second primary malignancies among cancer survivors in the United States, 1992 through 2008. Cancer 2016, 122, 3075–3086. [Google Scholar] [CrossRef] [PubMed]
  38. Moslim, M.A.; Heald, B.; Tu, C.; Burke, C.A.; Walsh, R.M. Early genetic counseling and detection of CDH1 mutation in asymptomatic carriers improves survival in hereditary diffuse gastric cancer. Surgery 2018, 164, 754–759. [Google Scholar] [CrossRef] [PubMed]
  39. Hatch, Q.M.; Kniery, K.R.; Johnson, E.K.; Flores, S.A.; Moeil, D.L.; Thompson, J.J.; Maykel, J.A.; Steele, S.R. Screening or symptoms? How do we detect colorectal cancer in an equal access health care system? J. Gastrointest. Surg. 2016, 20, 431–438. [Google Scholar] [CrossRef]
  40. O’Connell, J.B.; Maggard, M.A.; Ko, C.Y. Colon cancer survival rates with the new American Joint committee on cancer sixth edition staging. J. Natl. Cancer Inst. 2004, 96, 1420–1425. [Google Scholar] [CrossRef]
  41. Sano, T.; Coit, D.G.; Kim, H.H.; Roviello, F.; Kassab, P.; Wittekind, C.; Yamamoto, Y.; Ohashi, Y. Proposal of a new stage grouping of gastric cancer for TNM classification: International gastric cancer association staging project. Gastric. Cancer 2017, 20, 217–225. [Google Scholar] [CrossRef]
  42. Kim, Y.; Roh, J.L.; Kim, J.S.; Lee, J.H.; Choi, S.H.; Nam, S.Y.; Kim, S.Y. Chest radiography or chest CT plus head and neck CT versus (18)F-FDG PET/CT for detection of distant metastasis and synchronous cancer in patients with head and neck cancer. Oral. Oncol. 2019, 88, 109–114. [Google Scholar] [CrossRef]
  43. Moletta, L.; Bissoli, S.; Fantin, A.; Passuello, N.; Valmasoni, M.; Sperti, C. PET/CT incidental detection of second tumor in patients investigated for pancreatic neoplasms. BMC Cancer 2018, 18, 531. [Google Scholar] [CrossRef]
  44. Bang, J.I.; Lee, E.S.; Kim, T.S.; Kim, S.K. Unexpected second primary malignancies detected by F-18 FDG PET/CT during follow-up for primary malignancy: Two case reports. Nucl. Med. Mol. Imaging 2015, 49, 65–68. [Google Scholar] [CrossRef] [PubMed][Green Version]
  45. Ishimori, T.; Patel, P.V.; Wahl, R.L. Detection of unexpected additional primary malignancies with PET/CT. J. Nucl. Med. 2005, 46, 752–757. [Google Scholar] [PubMed]
  46. Yabuki, K.; Kubota, A.; Horiuchi, C.; Taguchi, T.; Nishimura, G.; Inamori, M. Limitations of PET and PET/CT in detecting upper gastrointestinal synchronous cancer in patients with head and neck carcinoma. Eur. Arch. Otorhinolaryngol. 2013, 270, 727–733. [Google Scholar] [CrossRef] [PubMed]
  47. Suzuki, H.; Hasegawa, Y.; Terada, A.; Ogawa, T.; Hyodo, I.; Suzuki, M.; Nakashima, T.; Tamaki, T.; Nishio, M. Limitations of FDG-PET and FDG-PET with computed tomography for detecting synchronous cancer in pharyngeal cancer. Arch. Otolaryngol. Head. Neck. Surg. 2008, 134, 1191–1195. [Google Scholar] [CrossRef] [PubMed][Green Version]
  48. Hirakawa, T.; Kato, J.; Okumura, Y.; Hori, K.; Takahashi, S.; Suzuki, H.; Akita, M.; Higashi, R.; Saito, S.; Kaji, E.; et al. Detectability of colorectal neoplasia with fluorine-18-2-fluoro-2-deoxy-D-glucose positron emission tomography and computed tomography (FDG-PET/CT). J. Gastroenterol. 2012, 47, 127–135. [Google Scholar] [CrossRef] [PubMed]
  49. Yasuda, S.; Ide, M. PET and cancer screening. Ann. Nucl. Med. 2005, 19, 167–177. [Google Scholar] [CrossRef]
  50. Kim, J.W.; Roh, J.L.; Kim, J.S.; Lee, J.H.; Cho, K.J.; Choi, S.H.; Nam, S.Y.; Kim, S.Y. (18)F-FDG PET/CT surveillance at 3-6 and 12 months for detection of recurrence and second primary cancer in patients with head and neck squamous cell carcinoma. Br. J. Cancer 2013, 109, 2973–2979. [Google Scholar] [CrossRef]
  51. Morooka, M.; Ito, K.; Kubota, K.; Minamimoto, R.; Shida, Y.; Hasuo, K.; Ito, T.; Tasato, D.; Honda, H.; Teruya, K.; et al. Whole-body 18F-fluorodeoxyglucose positron emission tomography/computed tomography images before and after chemotherapy for Kaposi sarcoma and highly active antiretrovirus therapy. Jpn. J. Radiol. 2010, 28, 759–762. [Google Scholar] [CrossRef]
  52. van de Luijtgaarden, A.; van der Ven, A.; Leenders, W.; Kaal, S.; Flucke, U.; Oyen, W.; van der Graaf, W. Imaging of HIV-associated Kaposi sarcoma; F-18-FDG-PET/CT and In-111-bevacizumabscintigraphy. J. Acquir. Immune Defic. Syndr. 2010, 54, 444–446. [Google Scholar] [CrossRef]
  53. Ahn, H.; Shin, B.S. Height-based deformation and ray supersampling for colon unfolding. In Advances in Artificial Reality and Tele-Existence; Liang, R., Pan, Z., Cheok, A., Haller, M., Lau, R.W.H., Saito, H., Eds.; Springer: Berlin/Heidelberg, Germany, 2006; pp. 1098–1107. [Google Scholar]
  54. Yu, J.W.; Park, J.; Song, P.S.; Park, J.H.; Kim, M.S.; Jeon, G.J.; Kim, M.S.; Kim, T.O. Two cases of stress cardiomyopathy during esophagogastroduodenoscopy. Clin. Endosc. 2016, 49, 76–80. [Google Scholar] [CrossRef]
  55. Perlman, S.B.; Hall, B.S.; Reichelderfer, M. PET/CT imaging of inflammatory bowel disease. Semin. Nucl. Med. 2013, 43, 420–426. [Google Scholar] [CrossRef] [PubMed]
Figure 1. Physical examination indicated a 50 × 60 mm pedunculated red mass on the sole of the patient’s left foot.
Figure 1. Physical examination indicated a 50 × 60 mm pedunculated red mass on the sole of the patient’s left foot.
Diagnostics 10 00218 g001
Figure 2. Physically, tumor nodules had expanded and ulcerated on both soles of his feet and his right thigh. (Image of the left sole).
Figure 2. Physically, tumor nodules had expanded and ulcerated on both soles of his feet and his right thigh. (Image of the left sole).
Diagnostics 10 00218 g002
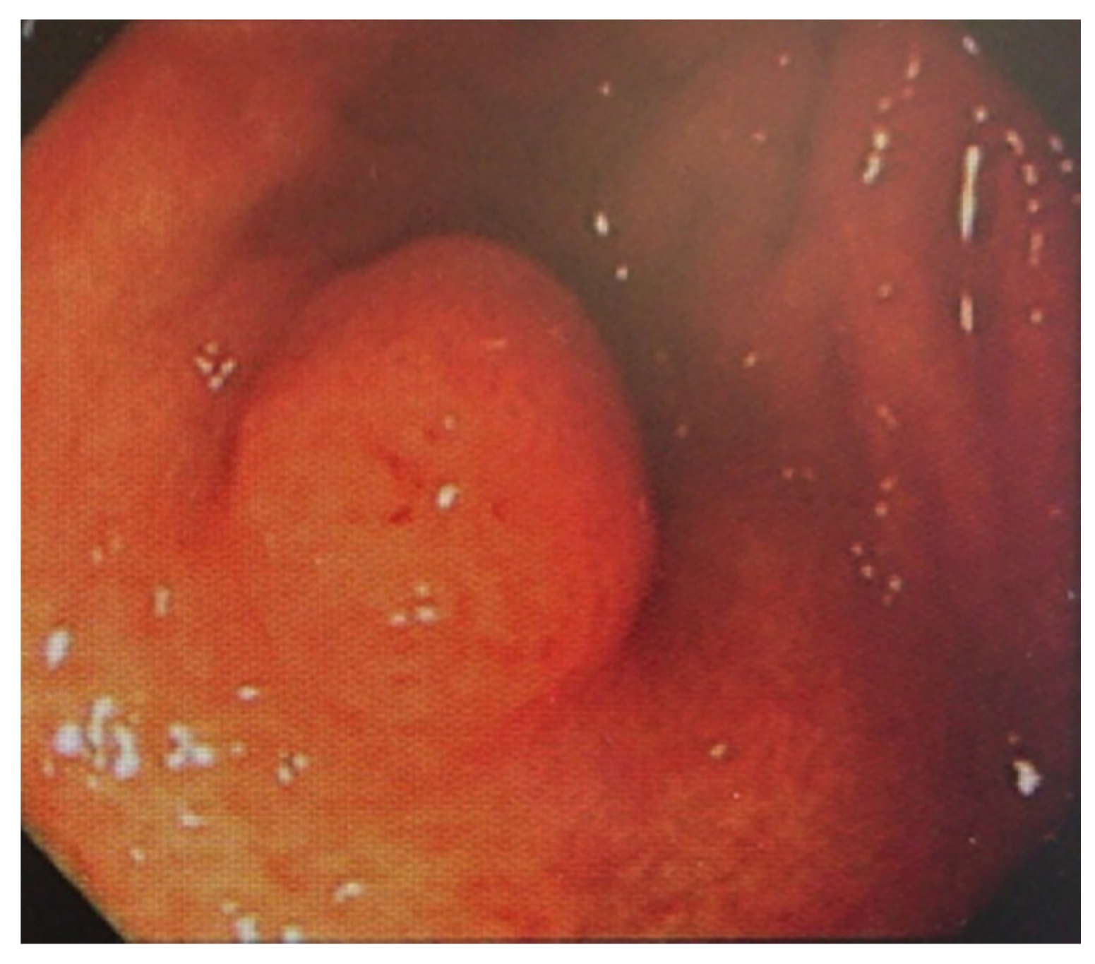
Figure 3. A 1 cm mass was newly found in the patient’s stomach through esophagogastroduodenoscopy. Biopsy of the mass histologically revealed a high-grade (group 4) gastric adenoma, which was also suspected as gastric cancer.
Figure 3. A 1 cm mass was newly found in the patient’s stomach through esophagogastroduodenoscopy. Biopsy of the mass histologically revealed a high-grade (group 4) gastric adenoma, which was also suspected as gastric cancer.
Diagnostics 10 00218 g003
Table 1. Cases of combined Kaposi’s sarcoma (KS) and second primary malignancies (SPMs) of the head and neck, esophagus, stomach, duodenum, or colorectum (including anal).
Table 1. Cases of combined Kaposi’s sarcoma (KS) and second primary malignancies (SPMs) of the head and neck, esophagus, stomach, duodenum, or colorectum (including anal).
Ref.YearType of KSType of SPMNumber of CasesPatient Background (Institutes or Register Data)
[14]1966KSTongue carcinoma1Memorial Hospital for Cancer and Allied Diseases, USA
[14]1966KSTonsil carcinoma1
[14]1966KSColon carcinoma1
[15]1967KSMouth SCC1Mayo Clinic, USA
[16]1973KSStomach cancer2Tel Aviv University Medical School, Beilinson Medical Center, Petah Tikva
[16]1973KSRectal cancer1
[17]1996KSStomach11 of 11 population-based Italian Cancer Registries, Italy
[18]1997CKSLarynx carcinoma1National University of Athens, Greece
[11]1997CKSBuccal cavity and pharynx cancer5The Nordic Cancer Registries (Norway, Denmark, Sweden, Finland, and Iceland)
[11]1997CKSColon cancer14
[19]1999CKSOral cavity5The Israel Cancer Registry (SPMs before KS), Israel (1961–1992)
[19]1999CKSStomach1
[19]1999CKSColon, sigma5
[19]1999CKSAmpulla, anus6
[19]1999CKSCentral nervous system2
[19]1999CKSThyroid1
[12]1999CKSStomach3The Israel Cancer Registry (SPMs after KS), Israel (1961–1992)
[12]1999CKSColon6
[12]1999CKSRectum9
[12]1999CKSEsophagus1
[12]1999CKSLarynx2
[12]1999CKSBrain and central nervous system2
[20]2000CKSAdenoma of colon c3Rambam Medical Center in Haifa, Israel (1957–1993) a
[20]2000CKSSCC of vocal cords1
[20]2000CKSAdenoma of buccal mucosa c1
[21]2005CKSMouth angiosarcoma1Universita` Cattolica del Sacro Cuore, Italy
[22]2005CKSParotid oncocytoma1Universidad Peruana Cayetano Heredia, Peru
[22]2005CKSColon adenocarcinoma1
[22]2005CKSCancer of the appendix1
[23]2006KSNasal mucosa cancer1The North Italian Transplant Program, Italy
[7]2008CKSColorectal carcinoma3The Soft Tissue Pathology Registry at the Armed Forces Institute of Pathology, USA
[7]2008CKSLaryngeal carcinoma2
[7]2008CKSOral SCC1
[7]2008CKSGastric carcinoma1
[24]2011CKSColic cancer1National Institute of Oncology, Rabat, Morocco
[25]2014AIDS-associated KSDuodenal adenocarcinoma; prostatic adenocarcinoma1The Doubs Cancer Registry belongs to the FRANCIM association (French Network of Cancer Registries)
[25]2014CKSGastric carcinoid tumor1
[25]2014CKSCerebral glioblastoma1
[25]2014Iatrogenic KSFollicular lymphoma of the parotid1
[26]2014AIDS-associated KSPenis; lip; oral cavity1Instituto Nacional de Cancerologı’a, Mexico
[27]2015KSGastric neoplasm of mucosa-associated lymphoid tissue1University of Naples Federico II, Italy
[28]2017KSOral cavity and pharynx cancer23SEER, USA (1981–2013) b
[28]2017KSTongue cancer11
[28]2017KSEsophageal cancer6
[28]2017KSStomach cancer10
[28]2017KSColon and rectum cancer45
[28]2017KSAnal carcinoma62
[28]2017KSLarynx cancer4
[28]2017KSBrain cancer6
[10]2018KSAscending colon4SEER, USA (data from only 1973–1979 were used) b
[10]2018KSColon13
[29]2019KSInvasive laryngeal SCC; B-cell non-Hodgkin’s lymphoma in tongue root and lymph node1Department of Otorhinolaryngology, Bagcilar Training and Research Hospital, Istanbul, Turkey
The current report2020CKS (current case)Colon adenocarcinoma; oral SCC (maxilla); well-differentiated stomach adenocarcinoma1Ryukyu University Hospital, Nishihara, Okinawa, Japan
AIDS, acquired immunodeficiency syndrome; CKS, classic Kaposi’s sarcoma; SCC, squamous cell carcinoma; SEER, surveillance, epidemiology, and end results; SPM, second primary malignancy; KS, Kaposi’s sarcoma. a It is unknown why cases from ref. 20 overlapped with ref. 19 or 12. b Both ref. 28 (1981–2013) and ref. 10 (1973–2013) used SEER research data. We chose most cases from ref. 28 due to the availability of more detailed data. Data from 1973 to 1979 could be used; however, data from 1980 could not be used. c The tumor is reported as malignancy (according to ref. 20).

Share and Cite

MDPI and ACS Style

Maruyama, N.; Okubo, Y.; Umikawa, M.; Matsuzaki, A.; Hokama, A.; Hirano, F.; Maruyama, T.; Nishihara, K.; Nakasone, T.; Makishi, S.; et al. Quadruple Multiple Primary Malignancies: Early Detection of Second Primary Malignancy by Esophagogastroduodenoscopy/Colonoscopy Is Crucial for Patients with Classic Kaposi’s Sarcoma. Diagnostics 2020, 10, 218. https://doi.org/10.3390/diagnostics10040218

AMA Style

Maruyama N, Okubo Y, Umikawa M, Matsuzaki A, Hokama A, Hirano F, Maruyama T, Nishihara K, Nakasone T, Makishi S, et al. Quadruple Multiple Primary Malignancies: Early Detection of Second Primary Malignancy by Esophagogastroduodenoscopy/Colonoscopy Is Crucial for Patients with Classic Kaposi’s Sarcoma. Diagnostics. 2020; 10(4):218. https://doi.org/10.3390/diagnostics10040218

Chicago/Turabian Style

Maruyama, Nobuyuki, Yuko Okubo, Masato Umikawa, Akiko Matsuzaki, Akira Hokama, Fusahiro Hirano, Tessho Maruyama, Kazuhide Nishihara, Toshiyuki Nakasone, Shoko Makishi, and et al. 2020. "Quadruple Multiple Primary Malignancies: Early Detection of Second Primary Malignancy by Esophagogastroduodenoscopy/Colonoscopy Is Crucial for Patients with Classic Kaposi’s Sarcoma" Diagnostics 10, no. 4: 218. https://doi.org/10.3390/diagnostics10040218

APA Style

Maruyama, N., Okubo, Y., Umikawa, M., Matsuzaki, A., Hokama, A., Hirano, F., Maruyama, T., Nishihara, K., Nakasone, T., Makishi, S., Nakamura, H., & Yoshimi, N. (2020). Quadruple Multiple Primary Malignancies: Early Detection of Second Primary Malignancy by Esophagogastroduodenoscopy/Colonoscopy Is Crucial for Patients with Classic Kaposi’s Sarcoma. Diagnostics, 10(4), 218. https://doi.org/10.3390/diagnostics10040218

Note that from the first issue of 2016, this journal uses article numbers instead of page numbers. See further details here.

Article Metrics

Back to TopTop