Acute Tentorial Subdural Hematoma Caused by Rupture of the Posterior Cerebral Artery after Minor Trauma—A Case Report
Abstract
1. Introduction
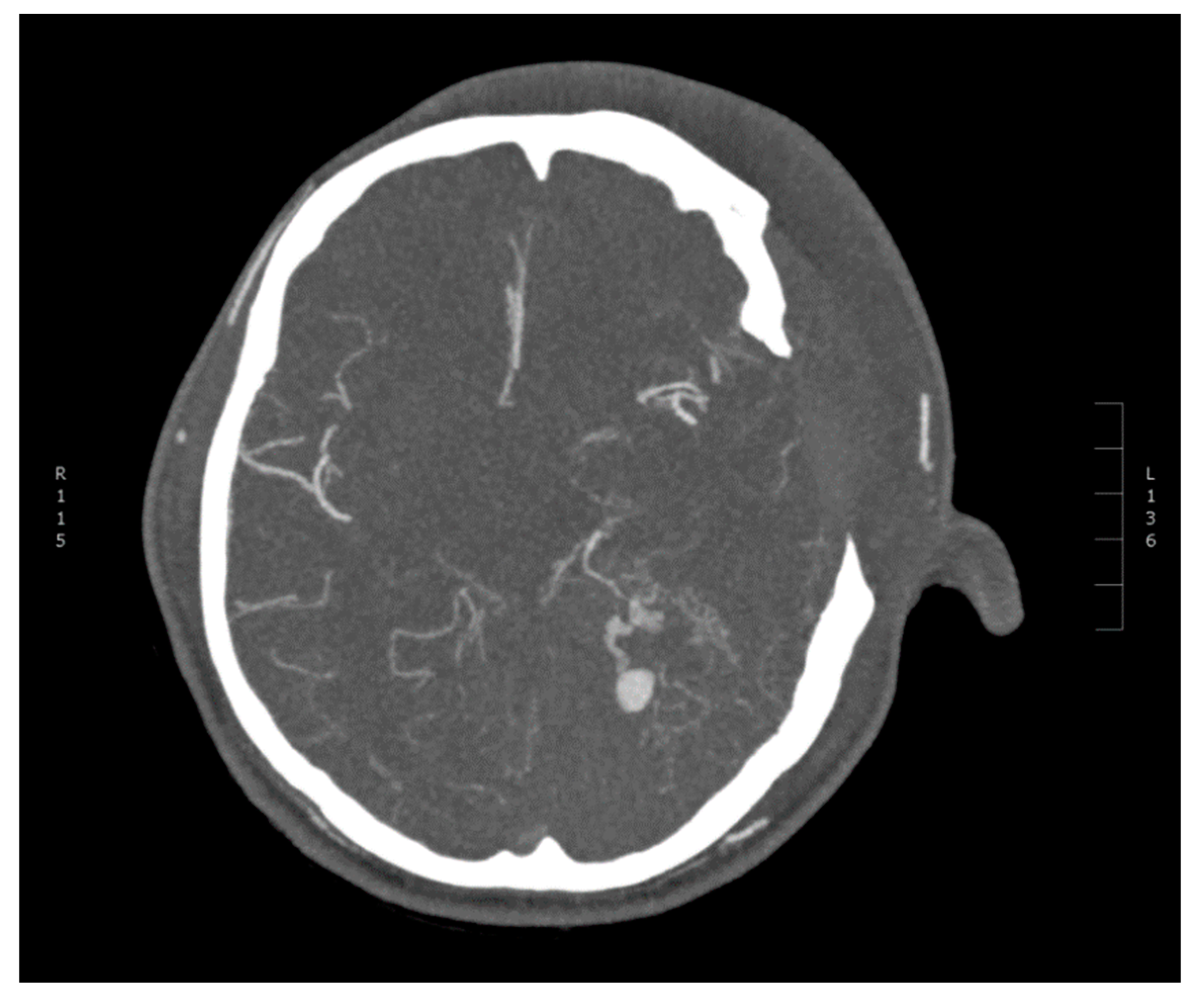
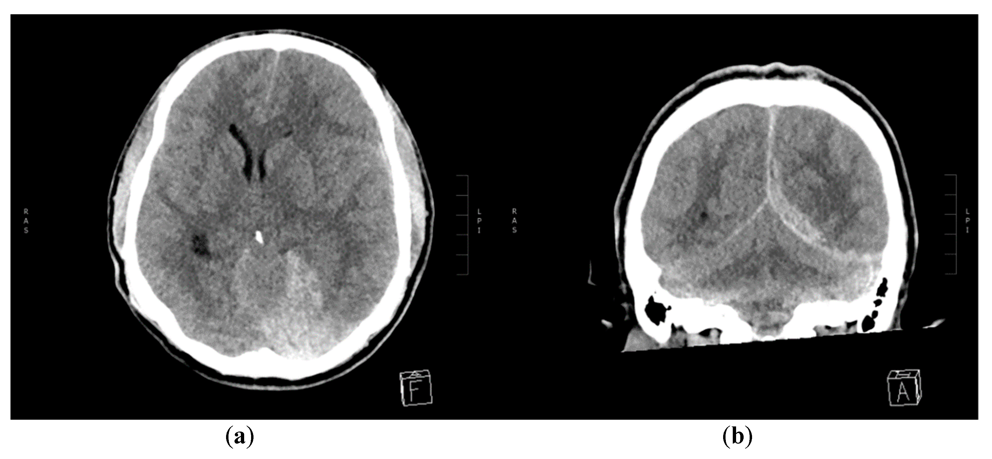
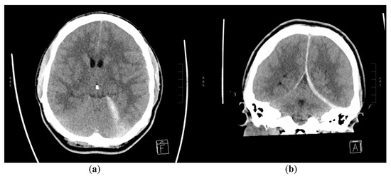
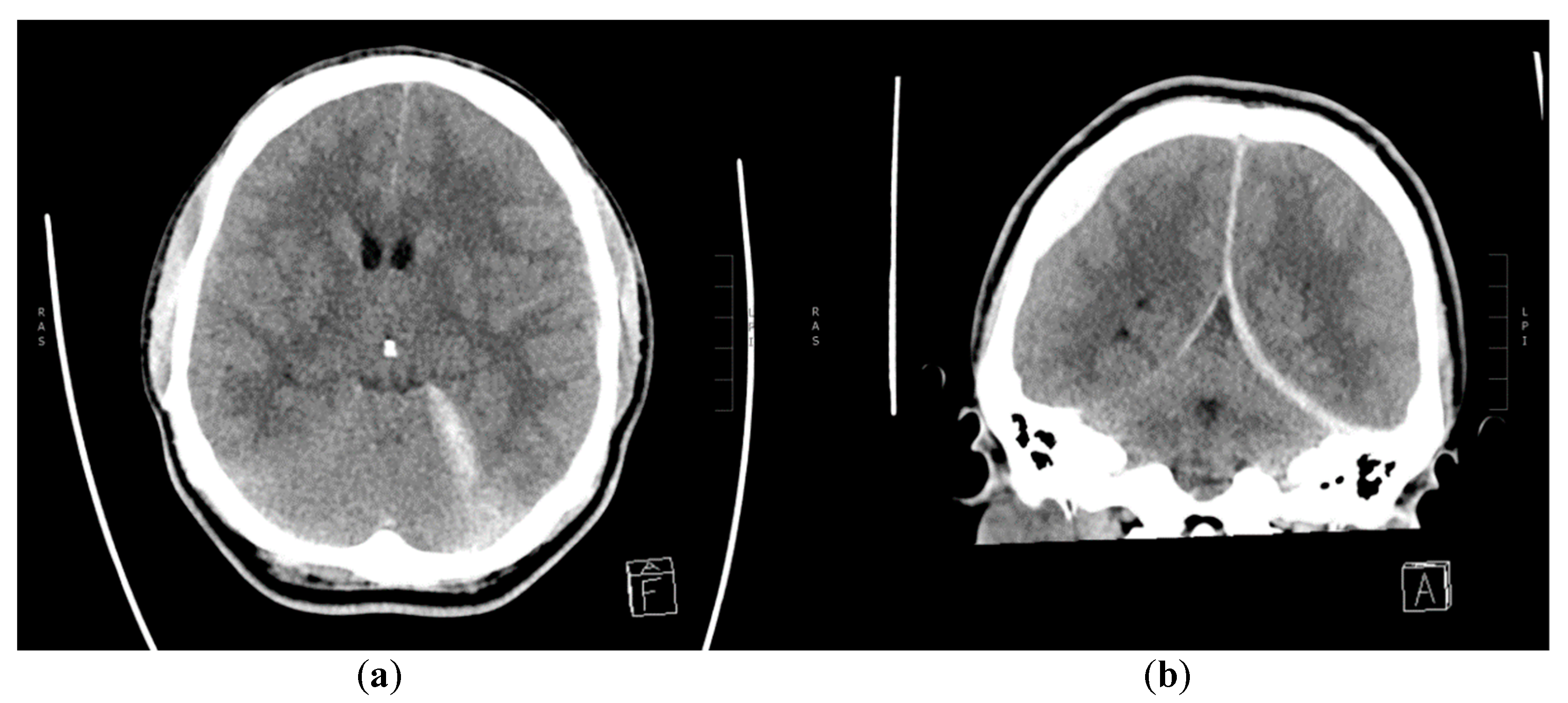
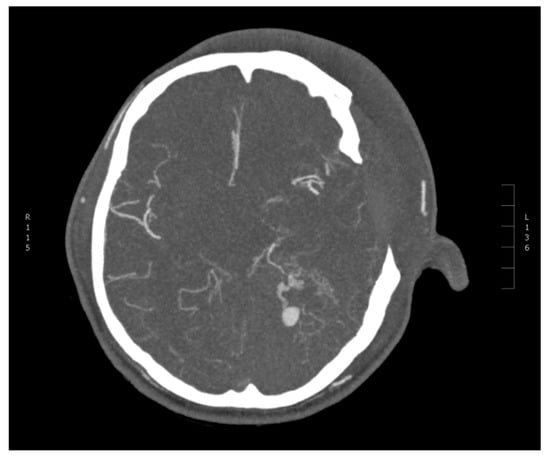
2. Case Report
3. Discussion
4. Conclusions
Author Contributions
Funding
Conflicts of Interest
References
- Al-Mufti, F.; Mayer, S. Neurocritical care of acute subdural hemorrhage. Neurosurg. Clin. N. Am. 2017, 28, 267–278. [Google Scholar] [CrossRef] [PubMed]
- Maxeiner, H.; Wolff, M. Pure subdural hematomas: A postmortem analysis of their form and bleeding points. Neurosurgery 2002, 50, 503–508. [Google Scholar] [CrossRef] [PubMed]
- Besenski, N. Traumatic injuries: Imaging of head injuries. Eur. Radiol. 2002, 12, 1237–1252. [Google Scholar] [CrossRef] [PubMed]
- Murakami, M.; Kakita, K.; Hosokawa, Y. Ruptured traumatic aneurysm after trivial injury mimicking acute spontaneous subdural hematoma - case report. Neurol. Med. Chir. (Tokyo) 2003, 43, 130–133. [Google Scholar] [CrossRef] [PubMed]
- Holmes, B.; Harbaugh, R.E. Traumatic intracranial aneurysms: A contemporary review. J. Trauma 1993, 35, 855–860. [Google Scholar] [CrossRef] [PubMed]
- Larson, P.S.; Reisner, A.; Morasutti, D.J.; Abdulhadi, B.; Harpring, J.E. Traumatic intracranial aneurysms. Neurosurg Focus 2000, 8, e4. [Google Scholar] [CrossRef] [PubMed]
- Senegor, M. Traumatic pericallosal aneurysm in a patient with no major trauma. Case report. J. Neurosurg. 1991, 75, 475–477. [Google Scholar] [CrossRef] [PubMed]
- Chedid, M.K.; Vender, J.R.; Harrison, S.J.; McDonnell, D.E. Delayed appearance of a traumatic intracranial aneurysm. Case report and review of the literature. J. Neurosurg. 2001, 94, 637–641. [Google Scholar] [CrossRef] [PubMed]
- Parkinson, D.; West, M. Traumatic intracranial aneurysms. J. Neurosurg. 1980, 52, 11–20. [Google Scholar] [CrossRef] [PubMed]
- Kumar, A.; Jakubovic, R.; Yang, V.; Dacosta, L. Traumatic anterior cerebral artery aneurysms and management options in the endovascular era. J. Clin. Neurosci. 2016, 25, 90–95. [Google Scholar] [CrossRef] [PubMed]
- Benoit, B.G.; Wortzmann, G. Traumatic cerebral aneurysms. Clinical features and natural history. J. Neurol. Neurosurg. Psychiatry 1973, 36, 127–138. [Google Scholar] [CrossRef] [PubMed]
- Haddad, F.S.; Haddad, G.F.; Taha, J. Traumatic intracranial aneurysms caudes by missiles: Their presentation and management. Neurosurgery 1991, 28, 1–7. [Google Scholar] [CrossRef] [PubMed]
- Asari, S.; Nakamura, S.; Yamada, O.; Beck, H.; Sugatani, H. Traumatic aneurysm of peripheral cerebral arteries. Report of two cases. J. Neurosurg. 1977, 46, 795–803. [Google Scholar] [CrossRef] [PubMed]
- Yasui, T.; Komiyama, M.; Kishi, H.; Yagura, H.; Fu, Y.; Nagata, Y.; KatsuhikoTamura, M.D. Angiographic extravasation of contrast medium in acute “spontaneous” subdural hematoma. Surg. Neurol. 1995, 43, 61–67. [Google Scholar] [CrossRef]
- Cohen, J.E.; Gomori, J.M.; Segal, R.; Spivak, A.; Margolin, E.; Sviri, G.; Rajz, G.; Fraifeld, S.; Spektor, S. RESULTS OF ENDOVASCULAR TREATMENT OF TRAUMATIC INTRACRANIAL ANEURYSMS. Neurosurg. 2008, 63, 476–486. [Google Scholar] [CrossRef] [PubMed]
- Turk, A.S.; Niemann, D.B.; Ahmed, A.; Aagaard-Kienitz, B. Use of self-expanding stents in distal small cerebral vessels. Am. J. Neuroradiol. 2007, 28, 533–536. [Google Scholar] [PubMed]
- Cagnazzo, F.; Cappucci, M.; Lefevre, P.-H.; Dargazanli, C.; Gascou, G.; Morganti, R.; Mazzotti, V.; Di Carlo, D.T.; Perrini, P.; Mantilla, D.; et al. Treatment of Intracranial Aneurysms with Self-Expandable Braided Stents: A Systematic Review and Meta-Analysis. Am. J. Neuroradiol. 2018, 39, 2064–2069. [Google Scholar] [CrossRef] [PubMed]
- Aydin, K.; Barburoglu, M.; Sencer, S.; Berdikhojayev, M.; Coskun, B.; Akpek, S. Flow Diversion with Low-Profile Braided Stents for the Treatment of Very Small or Uncoilable Intracranial Aneurysms at or Distal to the Circle of Willis. Am. J. Neuroradiol. 2017, 38, 2131–2137. [Google Scholar] [CrossRef] [PubMed]




© 2020 by the authors. Licensee MDPI, Basel, Switzerland. This article is an open access article distributed under the terms and conditions of the Creative Commons Attribution (CC BY) license (http://creativecommons.org/licenses/by/4.0/).
Share and Cite
Ciochon, U.M.; Steuble Brandt, E.G.; Stavngaard, T. Acute Tentorial Subdural Hematoma Caused by Rupture of the Posterior Cerebral Artery after Minor Trauma—A Case Report. Diagnostics 2020, 10, 175. https://doi.org/10.3390/diagnostics10030175
Ciochon UM, Steuble Brandt EG, Stavngaard T. Acute Tentorial Subdural Hematoma Caused by Rupture of the Posterior Cerebral Artery after Minor Trauma—A Case Report. Diagnostics. 2020; 10(3):175. https://doi.org/10.3390/diagnostics10030175
Chicago/Turabian StyleCiochon, Urszula Maria, Erik Gudmann Steuble Brandt, and Trine Stavngaard. 2020. "Acute Tentorial Subdural Hematoma Caused by Rupture of the Posterior Cerebral Artery after Minor Trauma—A Case Report" Diagnostics 10, no. 3: 175. https://doi.org/10.3390/diagnostics10030175
APA StyleCiochon, U. M., Steuble Brandt, E. G., & Stavngaard, T. (2020). Acute Tentorial Subdural Hematoma Caused by Rupture of the Posterior Cerebral Artery after Minor Trauma—A Case Report. Diagnostics, 10(3), 175. https://doi.org/10.3390/diagnostics10030175

