Radiological Markers of the Olfactory Cleft: Relations to Unilateral Orthonasal and Retronasal Olfactory Function
Abstract
1. Introduction
2. Materials and Methods
2.1. Subjects
2.2. Psychophysical Olfactory Testing
2.3. Radiological Evaluation
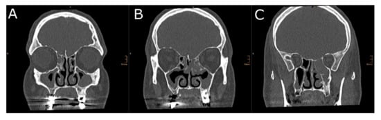
2.3.1. Two-Dimensional Cross-Sectional Analysis
2.3.2. Three-Dimensional Volumetric Analysis
2.4. Statistical Analysis
3. Results
3.1. Participants
3.2. OC-Opacification and Olfactory Test Results
3.3. Associations with OC-Air Volume
4. Discussion
5. Conclusions
Author Contributions
Funding
Acknowledgments
Conflicts of Interest
References
- Stogbauer, J.; Wirkner, K.; Engel, C.; Moebus, S.; Pundt, N.; Teismann, H.; Loffler, M.; Hummel, T.; Beule, A.; Berger, K. Prevalence and risk factors of smell dysfunction—A comparison between five German population-based studies. Rhinol. J. 2019, 58, 184–191. [Google Scholar] [CrossRef] [PubMed]
- Hummel, T.; Whitcroft, K.L.; Andrews, P.; Altundag, A.; Cinghi, C.; Costanzo, R.M.; Damm, M.; Frasnelli, J.; Gudziol, H.; Gupta, N.; et al. Position paper on olfactory dysfunction. Rhinol. J. 2017, 54, 1–30. [Google Scholar] [CrossRef] [PubMed]
- Mullol, J.; Alobid, I.; Mariño-Sánchez, F.; Quintó, L.; De Haro, J.; Bernal-Sprekelsen, M.; Valero, A.; Picado, C.; Marin, C. Furthering the understanding of olfaction, prevalence of loss of smell and risk factors: A population-based survey (OLFACAT study). BMJ Open 2012, 2, e001256. [Google Scholar] [CrossRef] [PubMed]
- Landis, B.N.; Konnerth, C.G.; Hummel, T. A Study on the Frequency of Olfactory Dysfunction. Laryngoscope 2004, 114, 1764–1769. [Google Scholar] [CrossRef] [PubMed]
- Landis, B.N.; Hummel, T. New Evidence for High Occurrence of Olfactory Dysfunctions within the Population. Am. J. Med. 2006, 119, 91–92. [Google Scholar] [CrossRef] [PubMed]
- Fokkens, W.; Lund, V.; Hopkins, C.; Hellings, P.; Kern, R.; Reitsma, S.; Toppila-Salmi, S.; Bernal-Sprekelsen, M.; Mullol, J.; Alobid, I.; et al. European Position Paper on Rhinosinusitis and Nasal Polyps 2020. Rhinol. J. 2020, 58, 1–464. [Google Scholar] [CrossRef]
- Jung, Y.G.; Lee, J.-S.; Park, G.C. Does post-infectious olfactory loss affect mood more severely than chronic sinusitis with olfactory loss? Laryngoscope 2014, 124, 2456–2460. [Google Scholar] [CrossRef]
- Leopold, D.A.; Hummel, T.; Schwob, J.E.; Hong, S.C.; Knecht, M.; Kobal, G. Anterior Distribution of Human Olfactory Epithelium. Laryngoscope 2000, 110, 417–421. [Google Scholar] [CrossRef]
- Shepherd, G.M. Smell images and the flavour system in the human brain. Nat. Cell Biol. 2006, 444, 316–321. [Google Scholar] [CrossRef]
- Liu, D.T.; Besser, G.; Lang, M.; Sharma, G.; Pablik, E.; Renner, B.; Mueller, C.A. Odor Mixtures in Identification Testing Using Sniffin’ Sticks: The SSomix Test. Sci. Rep. 2020, 10, 8155. [Google Scholar] [CrossRef]
- Besser, G.; Liu, D.T.; Prem, B.; Iabloncsik, D.; Pablik, E.; Mueller, C.; Renner, B. Retronasal olfactory testing using candies sent by post and for screening purposes: A feasibility study. Rhinol. J. 2020, 58, 218–225. [Google Scholar] [CrossRef] [PubMed]
- Welge-Lüssen, A. Olfactory testing in clinical settings - is there additional benefit from unilateral testing? Rhinol. J. 2010, 48, 156–159. [Google Scholar] [CrossRef] [PubMed]
- Damm, M.; Vent, J.; Schmidt, M.; Theissen, P.; Eckel, H.E.; Lötsch, J.; Hummel, T. Intranasal Volume and Olfactory Function. Chem. Senses 2002, 27, 831–839. [Google Scholar] [CrossRef] [PubMed]
- Gudziol, V.; Hummel, C.; Negoias, S.; Ishimaru, T.; Hummel, T. Lateralized Differences in Olfactory Function. Laryngoscope 2007, 117, 808–811. [Google Scholar] [CrossRef] [PubMed]
- Klimek, L.; Hummel, T.; Moll, B.; Kobal, G.; Mann, W.J. Lateralized and Bilateral Olfactory Function in Patients with Chronic Sinusitis Compared with Healthy Control Subjects. Laryngoscope 1998, 108, 111–114. [Google Scholar] [CrossRef]
- Hummel, T.; Haehner, A.; Hummel, C.; Croy, I.; Iannilli, E. Lateralized differences in olfactory bulb volume relate to lateralized differences in olfactory function. Neuroscience 2013, 237, 51–55. [Google Scholar] [CrossRef]
- Poletti, S.C.; Murta, G.; Hähner, A.; Hummel, T. Olfactory cleft evaluation: A predictor for olfactory function in smell-impaired patients? Eur. Arch. Oto-Rhino-Laryngol. 2018, 275, 1129–1137. [Google Scholar] [CrossRef]
- Lötsch, J.; Hummel, T. Clinical Usefulness of Self-Rated Olfactory Performance—A Data Science-Based Assessment of 6000 Patients. Chem. Senses 2019, 44, 357–364. [Google Scholar] [CrossRef]
- Besser, G.; Liu, D.T.; Renner, B.; Hummel, T.; Mueller, C.A. Olfactory implant: Demand for a future treatment option in patients with olfactory dysfunction. Laryngoscope 2019, 129, 312–316. [Google Scholar] [CrossRef]
- Liu, D.T.; Besser, G.; Prem, B.; Sharma, G.; Koenighofer, M.; Renner, B.; Mueller, C.A. Association Between Orthonasal Olfaction and Chemosensory Perception in Patients with Smell Loss. Laryngoscope 2020, 130, 2213–2219. [Google Scholar] [CrossRef] [PubMed]
- Liu, D.T.; Besser, G.; Renner, B.; Seyferth, S.; Hummel, T.; Mueller, C.A. Retronasal olfactory function in patients with smell loss but subjectively normal flavor perception. Laryngoscope 2019, 130, 1629–1633. [Google Scholar] [CrossRef] [PubMed]
- Baumann, I.; Baumann, H. A new classification of septal deviations. Rhinol. J. 2007, 45, 220–223. [Google Scholar]
- Chang, H.; Lee, H.J.; Mo, J.-H.; Lee, C.H.; Kim, J.-W. Clinical Implication of the Olfactory Cleft in Patients with Chronic Rhinosinusitis and Olfactory Loss. Arch. Otolaryngol. Head Neck Surg. 2009, 135, 988–992. [Google Scholar] [CrossRef] [PubMed]
- Kim, B.G.; Kang, J.M.; Shin, J.H.; Na Choi, H.; Jung, Y.H.; Park, S.Y. Do Sinus Computed Tomography Findings Predict Olfactory Dysfunction and its Postoperative Recovery in Chronic Rhinosinusitis Patients? Am. J. Rhinol. Allergy 2015, 29, 69–76. [Google Scholar] [CrossRef] [PubMed]
- Kohli, P.; Schlosser, R.J.; Storck, K.; Soler, Z.M. Olfactory Cleft Computed Tomography Analysis and Olfaction in Chronic Rhinosinusitis. Am. J. Rhinol. Allergy 2016, 30, 402–406. [Google Scholar] [CrossRef]
- Soler, Z.M.; Pallanch, J.F.; Sansoni, E.R.; Ba, C.S.J.; Lawrence, L.A.; Schlosser, R.J.; Mace, J.C.; Smith, T.L. Volumetric computed tomography analysis of the olfactory cleft in patients with chronic rhinosinusitis. Int. Forum Allergy Rhinol. 2015, 5, 846–854. [Google Scholar] [CrossRef]
- Welge-Luessen, A.; Leopold, D.; Miwa, T. Smell and Taste Disorders—Diagnostic and Clinical Work-Up. In Management of Smell and Taste Disorder—A Practical Guide for Clinicians; Welge-Luessen, A., Hummel, T., Eds.; Thieme Verlagsgruppe: Stuttgart, Germany, 2014. [Google Scholar]
- Ms, C.A.L.; Schlosser, R.J.; Smith, T.L.; Alt, J.A.; Ramakrishnan, V.R.; Mattos, J.L.; Ms, E.M.; Storck, K.; Yoo, F.; Soler, Z.M. Olfactory cleft and sinus opacification differentially impact olfaction in chronic rhinosinusitis. Laryngoscope 2020, 130, 2311–2318. [Google Scholar] [CrossRef]
- Kim, D.W.; Kim, J.-Y.; Jeon, S.-Y. The Status of the Olfactory Cleft May Predict Postoperative Olfactory Function in Chronic Rhinosinusitis with Nasal Polyposis. Am. J. Rhinol. Allergy 2011, 25, e90–e94. [Google Scholar] [CrossRef]
- Besser, G.; Liu, D.T.; Sharma, G.; Bartosik, T.J.; Kaphle, S.; Enßlin, M.; Renner, B.; Mueller, C.A. Ortho- and retronasal olfactory performance in rhinosurgical procedures: A longitudinal comparative study. Eur. Arch. Oto-Rhino-Laryngol. 2020, 1–7. [Google Scholar] [CrossRef]
- Kobal, G.; Hummel, T.; Sekinger, B.; Barz, S.; Roscher, S.; Wolf, S. “Sniffin’’ sticks”: Screening of olfactory performance”. Rhinology 1996, 34, 222–226. [Google Scholar]
- Hummel, T.; Sekinger, B.; Wolf, S.; Pauli, E.; Kobal, G. ‘Sniffin’ Sticks’: Olfactory Performance Assessed by the Combined Testing of Odour Identification, Odor Discrimination and Olfactory Threshold. Chem. Senses 1997, 22, 39–52. [Google Scholar] [CrossRef]
- Gudziol, V.; Lötsch, J.; Hähner, A.; Zahnert, T.; Hummel, T. Clinical Significance of Results from Olfactory Testing. Laryngoscope 2006, 116, 1858–1863. [Google Scholar] [CrossRef] [PubMed]
- Oleszkiewicz, A.; Schriever, V.A.; Croy, I.; Hähner, A.; Hummel, T. Updated Sniffin’ Sticks normative data based on an extended sample of 9139 subjects. Eur. Arch. Oto-Rhino-Laryngol. 2019, 276, 719–728. [Google Scholar] [CrossRef] [PubMed]
- Renner, B.; Mueller, C.A.; Dreier, J.; Faulhaber, S.; Rascher, W.; Kobal, G. The candy smell test: A New Test for Retronasal Olfactory Performance. Laryngoscope 2009, 119, 487–495. [Google Scholar] [CrossRef]
- Haxel, B.R.; Bertz-Duffy, S.; Faldum, A.; Trellakis, S.; Stein, B.; Renner, B.; Kobal, G.; Letzel, S.; Mann, W.J.; Muttray, A. The Candy Smell Test in Clinical Routine. Am. J. Rhinol. Allergy 2011, 25, e145–e148. [Google Scholar] [CrossRef] [PubMed]
- Hopkins, C.; Browne, J.P.; Slack, R.; Lund, V.; Brown, P. The Lund-Mackay staging system for chronic rhinosinusitis: How is it used and what does it predict? Otolaryngol. Neck Surg. 2007, 137, 555–561. [Google Scholar] [CrossRef] [PubMed]
- Keros, P. On the practical importance of differences in the level of the cribriform plate of the ethmoid. Laryngol. Otol. 1965, 41, 808–813. [Google Scholar]
- Croy, I.; Nordin, S.; Hummel, T. Olfactory Disorders and Quality of Life--An Updated Review. Chem. Senses 2014, 39, 185–194. [Google Scholar] [CrossRef]
- Oleszkiewicz, A.; Park, D.; Resler, K.; Draf, J.; Schulze, A.; Zang, Y.; Hähner, A.; Hummel, T. Quality of Life in Patients With Olfactory Loss Is Better Predicted by Flavor Identification Than by Orthonasal Olfactory Function. Chem. Senses 2019, 44, 371–377. [Google Scholar] [CrossRef]
- Ni, R.; Michalski, M.H.; Brown, E.; Doan, N.; Zinter, J.; Ouellette, N.T.; Shepherd, G.M. Optimal directional volatile transport in retronasal olfaction. Proc. Natl. Acad. Sci. USA 2015, 112, 14700–14704. [Google Scholar] [CrossRef]
- Yee, K.; Pribitkin, E.A.; Cowart, B.J.; Rosen, D.; Feng, P.; Rawson, N.E. Analysis of the Olfactory Mucosa in Chronic Rhinosinusitis. Ann. N. Y. Acad. Sci. 2009, 1170, 590–595. [Google Scholar] [CrossRef] [PubMed]





| Demographics | |||||
|---|---|---|---|---|---|
| CRS | Non-eCRS | CRSwNP | p Value | Control | |
| Age in years | 42.1 (14.3) | 40.3 (14.3) | 43.5 (14.1) | 0.77 | 38.9 (14.0) |
| Gender | 9F, 16 M | 5F, 7M | 4F, 9M | - | 2F, 1M |
| Olfactory characteristics | |||||
| TDI best | 25.4 (7.6) | 29.4 (3.7) | 21.7 (8.3) | 0.01 | 30.3 (4.1) |
| Left | 23.5 (7.2) | 27.7 (4.6) | 19.6 (7.0) | <0.01 | 29.8 (5.0) |
| Right | 23.8 (8.2) | 27.5 (4.9) | 20.4 (9.1) | 0.03 | 28.5 (3.5) |
| Threshold | |||||
| Left | 3.9 (2.6) | 4.9 (2.4) | 3.0 (2.4) | 0.07 | 6.8 (1.4) |
| Right | 4.1 (2.5) | 4.6 (2.1) | 3.7 (2.7) | 0.39 | 4.8 (1.0) |
| Discrimination | |||||
| Left | 8.9 (2.7) | 10.3 (2.7) | 7.6 (2.1) | 0.02 | 9.7 (2.1) |
| Right | 9.0 (2.9) | 10.3 (1.8) | 7.7 (3.2) | 0.03 | 10.3 (2.1) |
| Identification | 10.7 (4.1) | 12.6 (2.0) | 9.0 (4.7) | 0.03 | 13.3 (1.7) |
| CST | 16.0 (5.4) | 17.9 (3.2) | 14.1 (6.4) | 0.09 | 18.0 (5.1) |
| Normosmics | 6 (24%) | 5 (41.7%) | 1 (7.7%) | - | 2 (66.7%) |
| Hyposmics | 14 (56%) | 7 (58.3%) | 7 (53.8%) | - | 1 (33.3%) |
| Anosmics | 5 (20%) | 0 | 5 (38.5%) | - | - |
| Olfactory Cleft Opacification | |||||
| Opacification | |||||
| Left side | |||||
| Anterior section | 0.7 (1.2) | 0.0 (0.0) | 1.3 (1.4) | 0.02 | 0.0 (0.0) |
| Middle section | 1.2 (1.2) | 0.6 (1.0) | 1.7 (1.1) | 0.01 | 0.7 (0.9) |
| Posterior section | 1.6 (1.4) | 0.8 (1.3) | 2.5 (0.9) | 0.01 | 0.0 (0.0) |
| Right side | |||||
| Anterior section | 0.6 (1.2) | 0.0 (0.0) | 1.2 (1.4) | 0.02 | 0.0 (0.0) |
| Middle section | 0.9 (1.2) | 0.5 (1.0) | 1.2 (1.3) | 0.15 | 0.7 (0.9) |
| Posterior section | 1.3 (1.4) | 0.4 (0.9) | 2.1 (1.3) | <0.01 | 0.0 (0.0) |
| Overall | |||||
| Anterior section | 0.6 (1.2) | 0.0 (0.0) | 1.2 (1.4) | 0.02 | 0.0 (0.0) |
| Middle section | 1.1 (1.1) | 0.6 (0.9) | 1.5 (1.1) | 0.02 | 0.7 (0.9) |
| Posterior section | 1.5 (1.3) | 0.7 (0.9) | 2.3 (1.0) | <0.01 | 0.0 (0.0) |
| Olfactory Cleft Air Volume (cm3) | |||||
| Air Volume 1 | |||||
| Left | 0.5 (0.4) | 0.7 (0.4) | 0.4 (0.3) | 0.05 | 0.8 (0.1) |
| Right | 0.5 (0.3) | 0.6 (0.3) | 0.4 (0.3) | 0.08 | 0.8 (0.2) |
| Overall | 1.2 (0.8) | 1.5 (0.7) | 0.9 (0.6) | 0.03 | 1.9 (0.2) |
| Air volume 2 | |||||
| Left | 0.7 (0.5) | 0.9 (0.5) | 0.5 (0.4) | 0.03 | 1.1 (0.0) |
| Right | 0.7 (0.5) | 0.9 (0.4) | 0.5 (0.4) | 0.04 | 1.1 (0.1) |
| Overall | 0.9 (0.6) | 1.2 (0.6) | 0.7 (0.5) | 0.05 | 1.5 (0.3) |
| Air volume 3 | |||||
| Left | 0.4 (0.3) | 0.6 (0.3) | 0.3 (0.2) | 0.03 | 0.7 (0.2) |
| Right | 0.4 (0.3) | 0.5 (0.3) | 0.3 (0.3) | 0.07 | 0.7 (0.2) |
| Overall | 1.1 (0.7) | 1.4 (0.7) | 0.8 (0.6) | 0.03 | 1.8 (0.2) |
Publisher’s Note: MDPI stays neutral with regard to jurisdictional claims in published maps and institutional affiliations. |
© 2020 by the authors. Licensee MDPI, Basel, Switzerland. This article is an open access article distributed under the terms and conditions of the Creative Commons Attribution (CC BY) license (http://creativecommons.org/licenses/by/4.0/).
Share and Cite
Liu, D.T.; Schwarz-Nemec, U.; Renner, B.; Mueller, C.A.; Besser, G. Radiological Markers of the Olfactory Cleft: Relations to Unilateral Orthonasal and Retronasal Olfactory Function. Diagnostics 2020, 10, 989. https://doi.org/10.3390/diagnostics10110989
Liu DT, Schwarz-Nemec U, Renner B, Mueller CA, Besser G. Radiological Markers of the Olfactory Cleft: Relations to Unilateral Orthonasal and Retronasal Olfactory Function. Diagnostics. 2020; 10(11):989. https://doi.org/10.3390/diagnostics10110989
Chicago/Turabian StyleLiu, David T., Ursula Schwarz-Nemec, Bertold Renner, Christian A. Mueller, and Gerold Besser. 2020. "Radiological Markers of the Olfactory Cleft: Relations to Unilateral Orthonasal and Retronasal Olfactory Function" Diagnostics 10, no. 11: 989. https://doi.org/10.3390/diagnostics10110989
APA StyleLiu, D. T., Schwarz-Nemec, U., Renner, B., Mueller, C. A., & Besser, G. (2020). Radiological Markers of the Olfactory Cleft: Relations to Unilateral Orthonasal and Retronasal Olfactory Function. Diagnostics, 10(11), 989. https://doi.org/10.3390/diagnostics10110989

