Morphometric Assessment of Confocal Laser Endomicroscopy for Pancreatic Ductal Adenocarcinoma, an Ex-Vivo Pilot Study
Abstract
1. Introduction
2. Materials and Methods
2.1. Patients Selection
2.2. Ex-Vivo Assessment
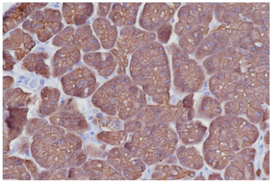
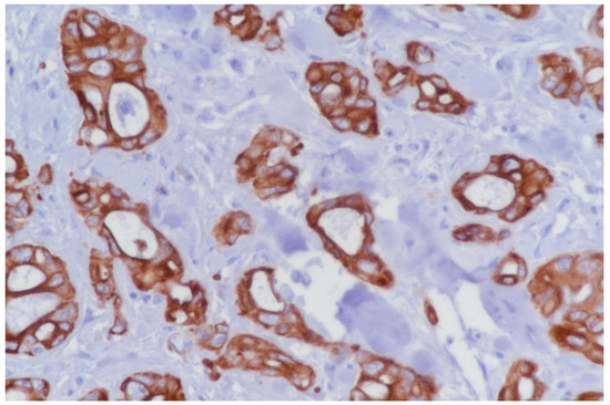
2.3. Histopathological Criteria
2.4. Image Analysis
2.5. Statistic Analysis
3. Results
4. Discussion
5. Conclusions
Author Contributions
Funding
Acknowledgments
Conflicts of Interest
References
- Ilic, M.; Ilic, I. Epidemiology of pancreatic cancer. World J. Gastroenterol. 2016, 22, 9694–9705. [Google Scholar] [CrossRef] [PubMed]
- Kommalapati, A.; Tella, S.H.; Goyal, G.; Ma, W.W.; Mahipal, A. Contemporary Management of Localized Resectable Pancreatic Cancer. Cancers 2018, 10, 24. [Google Scholar] [CrossRef] [PubMed]
- Hoffman, A.; Goetz, M.; Vieth, M.; Galle, P.R.; Neurath, M.F.; Kiesslich, R. Confocal laser endomicroscopy: technical status and current indications. Endoscopy 2006, 38, 1275–1283. [Google Scholar] [CrossRef] [PubMed]
- Wallace, M.B.; Meining, A.; Canto, M.I.; Fockens, P.; Miehlke, S.; Roesch, T.; Lightdale, C.J.; Pohl, H.; Carr-Locke, D.; Löhr, M.; et al. The safety of intravenous fluorescein for confocal laser endomicroscopy in the gastrointestinal tract. Aliment. Pharmacol. Ther. 2010, 31, 548–552. [Google Scholar] [CrossRef]
- Becker, V.; van den Broek, F.J.; Buchner, A.M.; Dekker, E.; Wallace, M.B.; von Delius, S.; Schneider, A.; Schmid, R.M.; Meining, A. Optimal fluorescein dose for intravenous application in miniprobe based confocal laser scanning microscopy in pigs. J. Biophoton. 2011, 4, 108–113. [Google Scholar] [CrossRef]
- Kadayifci, A.; Atar, M.; Basar, O.; Forcione, D.G.; Brugge, W.R. Needle-Based Confocal Laser Endomicroscopy for Evaluation of Cystic Neoplasms of the Pancreas. Dig. Dis. Sci. 2017, 62, 1346–1353. [Google Scholar] [CrossRef]
- Krishna, S.G.; Brugge, W.R.; Dewitt, J.M.; Kongkam, P.; Napoleon, B.; Robles-Medranda, C.; Tan, D.; El-Dika, S.; McCarthy, S.; Walker, J.; et al. Needle-based confocal laser endomicroscopy for the diagnosis of pancreatic cystic lesions: an international external interobserver and interobserver study (with videos). Gastrointest Endosc. 2017, 86, 644–654.e2. [Google Scholar] [CrossRef]
- Karstensen, J.G.; Cârțână, T.; Constantinescu, C.; Dumitrașcu, S.; Kovacevic, V.; Klausen, P.; Hassan, H.; Klausen, T.W.; Bertani, H.; Bhutani, M.S.; et al. Endoscopic ultrasound guided needle-based confocal laser endomicroscopy in solid pancreatic masses—A prospective validation study. Endosc. Int. Open 2018, 6, E78–E85. [Google Scholar] [CrossRef]
- Giovannini, M.; Caillol, F.; Monges, G.; Poizat, F.; Lemaistre, A.I.; Pujol, B.; Lucidarme, D.; Palazzo, L.; Napoléon, B. Endoscopic ultrasound-guided needle-based confocal laser endomicroscopy in solid pancreatic masses. Endoscopy 2016, 48, 892–898. [Google Scholar] [CrossRef]
- Konda, V.J.; Aslanian, H.R.; Wallace, M.B.; Siddiqui, U.D.; Hart, J.; Waxman, I. First assessment of needle-based confococal laser endomicroscopy during EUS-FNA procedures of the pancreas (with videos). Gastrointest Endosc. 2011, 74, 1049. [Google Scholar] [CrossRef]
- Kongkam, P.; Pittayanon, R.; Sampatanukul, P.; Angsuwatcharakon, P.; Aniwan, S.; Prueksapanich, P.; Sriuranpong, V.; Navicharern, P.; Treeprasertsuk, S.; Kullavanijaya, P.; et al. Endoscopic ultrasound-guided needle-based confocoal laser endomicroscopy for diagnosis of solid pancreatic lesions (ENES): A pilot study. Endosc. Int. Open 2016. [Google Scholar] [CrossRef]
- Wallace, M.; Lauwers, G.Y.; Chen, Y.; Dekker, E.; Fockens, P.; Sharma, P.; Meining, A. Miami classification for probe-based confocal laser endomicroscopy. Endoscopy 2011, 43, 882–891. [Google Scholar] [CrossRef] [PubMed]
- Meining, A.; Shah, R.J.; Slivka, A.; Pleskow, D.; Chuttani, R.; Stevens, P.D.; Becker, V.; Chen, Y.K. Classification of probe-based confocal laser endomicroscopy findings in pancreaticobiliary strictures. Endoscopy 2012, 44, 251–257. [Google Scholar] [CrossRef] [PubMed]
- Caillol, F.; Filoche, B.; Gaidhane, M.; Kahaleh, M. Refined probe-based confocal laser endomicroscopy classification for biliary strictures: The Paris Classification. Dig. Dis. Sci. 2013, 58, 1784–1789. [Google Scholar] [CrossRef]
- Zhang, J.N.; Li, Y.Q.; Zhao, Y.A.; Yu, T.; Zhang, J.P.; Guo, Y.T.; Liu, H. Classification of gastric pit patterns by confocal endomicroscopy. Gastrointest Endosc. 2008, 67, 843–853. [Google Scholar] [CrossRef]
- Goetz, M.; Kiesslich, R. Confocal endomicroscopy: In vivo diagnosis of neoplastic lesions of the gastrointestinal tract. Anticancer Res. 2008, 28, 353–360. [Google Scholar]
- Krishna, S.G.; Lee, J.H. Appraisal of needle-based confocal laser endomicroscopy in the diagnosis of pancreatic cysts. World J. Gastroenterol. 2016, 22, 1701–1710. [Google Scholar] [CrossRef]
- Dekervel, J. Acriflavine Inhibits Acquired Drug Resistance by Blocking the Epithelial-to-Mesenchymal Transition and the Unfolded Protein Response. Transl. Oncol. 2017, 10, 59–69. [Google Scholar] [CrossRef]
- Sanduleanu, S.; Driessen, A.; Gomez-Garcia, E.; Hameeteman, E.; de Bruïne, A.; Masclee, A. In vivo diagnosis and classification of colorectal neoplasia by chromoendoscopy-guided confocal laser endomicroscopy. Clin. Gastroenterol. Hepatol. 2010, 8, 371–378. [Google Scholar] [CrossRef]
- Li, W.B.; Zuo, X.L.; Zuo, F.; Gu, X.M.; Yu, T.; Zhao, Y.A.; Zhang, T.G.; Zhang, J.P.; Li, V.Q. Characterization and identification of gastric hyperplastic polyps and adenomas by confocal laser endomicroscopy. Surg. Endosc. Other Interv. Tech. 2010, 24, 517–524. [Google Scholar] [CrossRef]
- Goetz, M.; Memadathil, B.; Biesterfeld, S.; Schneider, C.; Gregor, S.; Galle, P.R.; Neurath, M.F.; Kiesslich, R. In vivo subsurface morphological and functional cellular and subcellular imaging of the gastrointestinal tract with confocal mini-microscopy. World J. Gastroenterol. 2007, 13, 2160–2165. [Google Scholar] [CrossRef] [PubMed]
- Kiesslich, R.; Goetz, M.; Burg, J.; Stolte, M.; Siegel, E.; Maurer, M.J.; Thomas, S.; Strand, D.; Galle, P.R.; Neurath, M.F. Diagnosing Helicobacter pylori in vivo by confocal laser endoscopy. Gastroenterology 2005, 128, 2119–2123. [Google Scholar] [CrossRef] [PubMed]






| Patient’s characteristics | |
| Patients, n | 12 |
| Male, n | 8 |
| Mean age, years old (min–max) | 65.4 (53–78) |
| FNA with positive citology for PDAC | 12 |
| Tumor location | |
| Head of the pancreas | 7 |
| Body of the pancreas | 1 |
| Tail of the pancreas | 4 |
| Tumor size (min–max) | 30 mm (20–70 mm) |
| Surgical procedure | |
| Whipple | 8 |
| Distal pancreatectomy | 4 |
| Vascular resection | |
| performed | 7 |
| Not performed | 5 |
| Previous chemotherapy | 4 |
| Histology Normal Tissue vs. Histology Tumor | Endomicroscopy Normal Tissue vs. Endomicroscopy Tumor | Histology Normal Tissue vs. Endomicroscopy Normal Tissue | Histology Tumor vs. Endomicroscopy Tumor | |
|---|---|---|---|---|
| Area (p) | 0.07493 | 0.00000 | 0.00001 | 0.02418 |
| Hole Area (p) | 0.08205 | 0.00491 | 0.04719 | 0.00000 |
| IOD (p) | 0.00046 | 0.00000 | 0.00001 | 0.39271 |
| Perimeter (p) | 0.00000 | 0.00000 | 0.00000 | 0.00024 |
| Roundness (p) | 0.01200 | 0.00039 | 0.00005 | 0.00000 |
| Fractal Dimension (p) | 0.00000 | 0.07137 | 0.16772 | 0.10198 |
| Ferret max (p) | 0.00000 | 0.00000 | 0.00000 | 0.00001 |
| Ferret mean (p) | 0.00000 | 0.00004 | 0.00000 | 0.00001 |
| Heterogeneity (p) | 0.00596 | 0.00004 | 0.00003 | 0.00002 |
| Clumpiness (p) | 0.00009 | 0.35528 | 0.00367 | 0.00133 |
Publisher’s Note: MDPI stays neutral with regard to jurisdictional claims in published maps and institutional affiliations. |
© 2020 by the authors. Licensee MDPI, Basel, Switzerland. This article is an open access article distributed under the terms and conditions of the Creative Commons Attribution (CC BY) license (http://creativecommons.org/licenses/by/4.0/).
Share and Cite
Ungureanu, B.S.; Pirici, D.; Dima, S.O.; Popescu, I.; Hundorfean, G.; Surlin, V.; Saftoiu, A. Morphometric Assessment of Confocal Laser Endomicroscopy for Pancreatic Ductal Adenocarcinoma, an Ex-Vivo Pilot Study. Diagnostics 2020, 10, 923. https://doi.org/10.3390/diagnostics10110923
Ungureanu BS, Pirici D, Dima SO, Popescu I, Hundorfean G, Surlin V, Saftoiu A. Morphometric Assessment of Confocal Laser Endomicroscopy for Pancreatic Ductal Adenocarcinoma, an Ex-Vivo Pilot Study. Diagnostics. 2020; 10(11):923. https://doi.org/10.3390/diagnostics10110923
Chicago/Turabian StyleUngureanu, Bogdan Silviu, Daniel Pirici, Simona Olimpia Dima, Irinel Popescu, Gheorghe Hundorfean, Valeriu Surlin, and Adrian Saftoiu. 2020. "Morphometric Assessment of Confocal Laser Endomicroscopy for Pancreatic Ductal Adenocarcinoma, an Ex-Vivo Pilot Study" Diagnostics 10, no. 11: 923. https://doi.org/10.3390/diagnostics10110923
APA StyleUngureanu, B. S., Pirici, D., Dima, S. O., Popescu, I., Hundorfean, G., Surlin, V., & Saftoiu, A. (2020). Morphometric Assessment of Confocal Laser Endomicroscopy for Pancreatic Ductal Adenocarcinoma, an Ex-Vivo Pilot Study. Diagnostics, 10(11), 923. https://doi.org/10.3390/diagnostics10110923

