TTF-1/p63-Positive Poorly Differentiated NSCLC: A Histogenetic Hypothesis from the Basal Reserve Cell of the Terminal Respiratory Unit
Abstract
1. Introduction
2. Materials and Methods
3. Results
3.1. Clinical Data
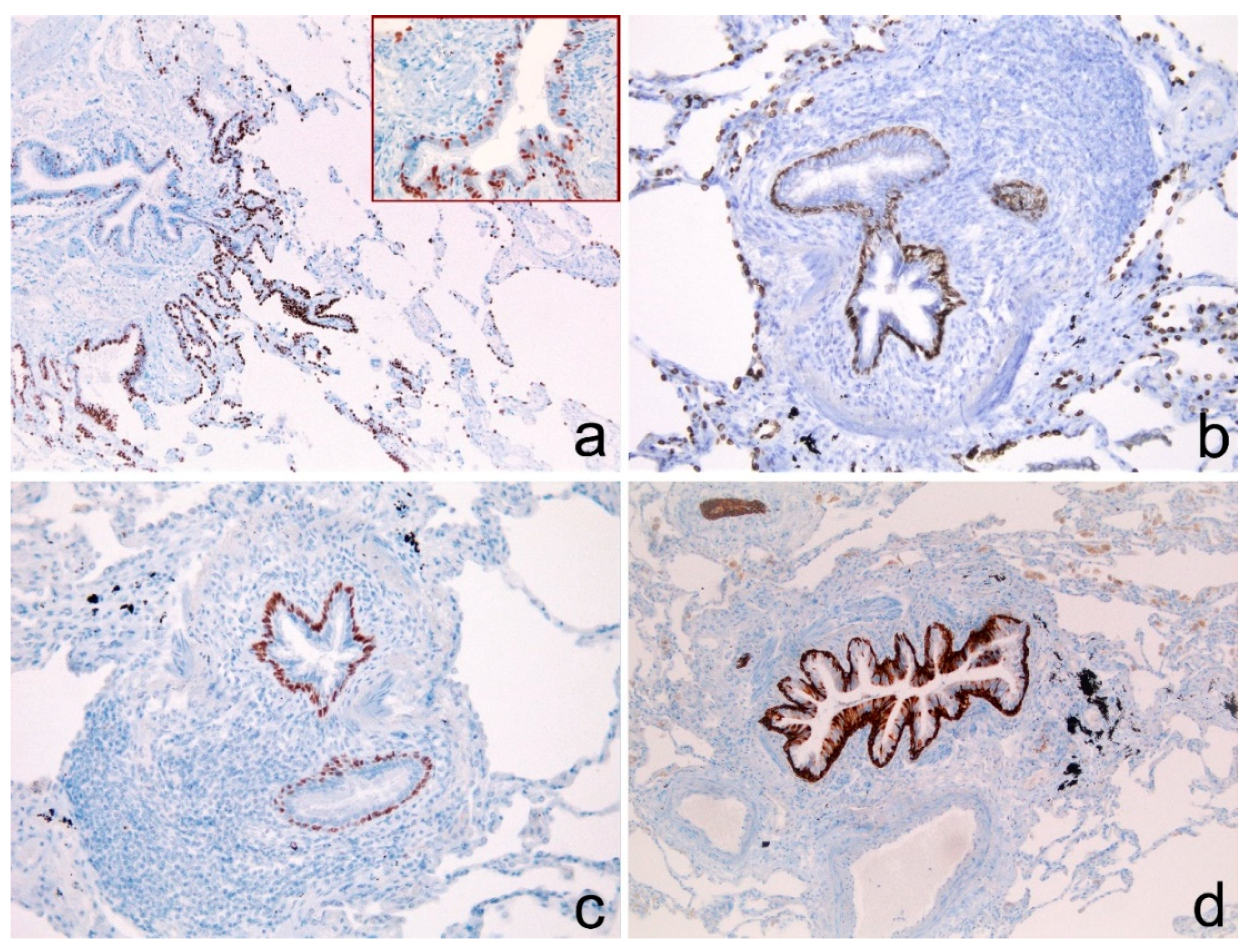
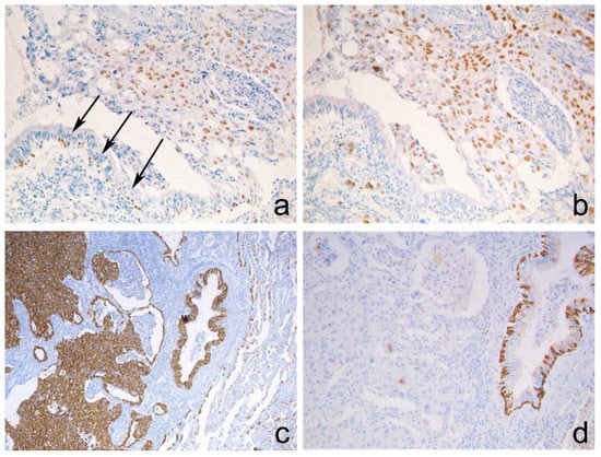
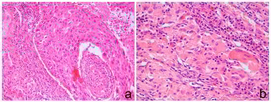
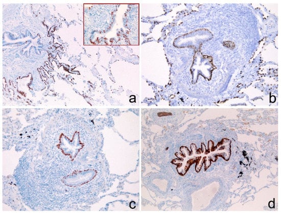
3.2. Histological Data
4. Discussion
5. Conclusions
Author Contributions
Funding
Conflicts of Interest
References
- Rossi, G.; Pelosi, G.; Graziano, P.; Barbareschi, M.; Papotti, M.; Rossi, A. A reevaluation of the clinical significance of histological subtyping of non–small-cell lung carcinoma: Diagnostic algorithms in the era of personalized treatments. Int. J. Surg. Pathol. 2009, 17, 206–218. [Google Scholar] [CrossRef]
- Sterlacci, W.; Savic, S.; Schmid, T.; Oberaigner, W.; Auberger, J.; Fiegl, M.; Tzankov, A. Tissue-Sparing Application of the Newly Proposed IASLC/ATS/ERS Classification of Adenocarcinoma of the Lung Shows Practical Diagnostic and Prognostic Impact. Am. J. Clin. Pathol. 2012, 137, 946–956. [Google Scholar] [CrossRef]
- Pelosi, G.; Rossi, G.; Cavazza, A.; Righi, L.; Maisonneuve, P.; Barbareschi, M.; Graziano, P.; Pastorino, U.; Garassino, M.; de Braud, F.; et al. ΔNp63 (p40) distribution inside lung cancer: A driver biomarker approach to tumor characterization. Int. J. Surg. Pathol. 2013, 21, 229–239. [Google Scholar] [CrossRef]
- Dubinski, W.; Leighl, N.B.; Tsao, M.-S.; Hwang, D.M. Ancillary Testing in Lung Cancer Diagnosis. Pulm. Med. 2012, 2012, 249082. [Google Scholar] [CrossRef] [PubMed]
- Ocque, R.; Tochigi, N.; Ohori, N.P.; Dacic, S. Usefulness of Immunohistochemical and Histochemical Studies in the Classification of Lung Adenocarcinoma and Squamous Cell Carcinoma in Cytologic Specimens. Am. J. Clin. Pathol. 2011, 136, 81–87. [Google Scholar] [CrossRef] [PubMed]
- Rekhtman, N.; Ang, D.C.; Sima, C.S.; Travis, W.D.; Moreira, A.L. Immunohistochemical algorithm for differentiation of lung adenocarcinoma and squamous cell carcinoma based on large series of whole-tissue sections with validation in small specimens. Mod. Pathol. 2011, 24, 1348–1359. [Google Scholar] [CrossRef] [PubMed]
- Nicholson, A.G.; Gonzalez, D.; Shah, P.; Pynegar, M.J.; Deshmukh, M.; Rice, A.; Popat, S. Refining the diagnosis and EGFR status of non–small cell lung carcinoma in biopsy and cytologic material, using a panel of mucin staining, TTF-1, cytokeratin 5/6, and P63, and EGFR mutation analysis. J. Thorac. Oncol. 2010, 5, 436–441. [Google Scholar] [CrossRef]
- Loo, P.S.; Thomas, S.C.; Nicolson, M.C.; Fyfe, M.N.; Kerr, K.M. Subtyping of undifferentiated non–small cell carcinomas in bronchial biopsy specimens. J. Thorac. Oncol. 2010, 5, 442–447. [Google Scholar] [CrossRef]
- Walia, R.; Jain, D.; Madan, K.; Sharma, M.C.; Mathur, S.R.; Mohan, A.; Iyer, V.K.; Kumar, L. p40 e thyroid transcription factor-1 immunohistochemistry: A useful panel to characterize non-small cell lung carcinoma-not otherwise specified (NSCLC-NOS) category. Indian J. Med. Res. 2017, 146, 42–48. [Google Scholar]
- Warth, A.; Muley, T.; Herpel, E.; Meister, M.; Herth, F.J.F.; Schirmacher, P.; Weichert, W.; Hoffmann, H.; Schnabel, P.A. Large-scale comparative analyses of immunomarkers for diagnostic subtyping of non-small-cell lung cancer biopsies. Histopathology 2012, 61, 1017–1025. [Google Scholar] [CrossRef]
- Sheikh, H.A.; Fuhrer, K.; Cieply, K.; Yousem, S. P63 expression in assessment of bronchioloalveolar proliferation of the lung. Mod. Pathol. 2004, 17, 1134–1140. [Google Scholar] [CrossRef] [PubMed][Green Version]
- Wu, M.; Orta, L.; Gil, J.; Li, G.; Hu, A.; Burstein, D.E. Immunohistochemical detection of XIAP and p63 in adenomatous hyperplasia, atypical adenomatous hyperplasia, bronchioloalveolar carcinoma and well-differentiated adenocarcinoma. Mod. Pathol. 2008, 21, 553. [Google Scholar] [CrossRef] [PubMed][Green Version]
- Wang, B.Y.; Gil, J.; Kaufman, D.; Gan, L.; Kohtz, D.S.; Burstein, D.E. p63 in pulmonary epithelium, pulmonary squamous neoplasms, and other pulmonary tumors. Hum. Pathol. 2002, 33, 921–926. [Google Scholar] [CrossRef] [PubMed]
- Ang, D.; Ghaffar, H.; Zakowski, M.; Teruya-Feldstein, J.; Moreira, A.; Rekhtman, N. Expression of squamous markers in lung adenocarcinoma: Clinicopathologic and molecular correlates, and implications for differentiation from squamous cell carcinoma. Mod. Pathol. 2010, 90, 397A. [Google Scholar]
- Pelosi, G.; Pasini, F.; Stenholm, C.O.; Pastorino, U.; Maisonneuve, P.; Sonzogni, A.M.; Maffini, F.; Pruneri, G.; Fraggetta, F.; Cavallon, A.; et al. p63 immunoreactivity in lung cancer: Yet another player in the development of squamous cell carcinomas? J. Pathol. 2002, 198, 100–109. [Google Scholar] [CrossRef]
- De Molengraft, F.; Niekerk, C.; Jap, P.; Poels, L. OV-TL 12/30 (keratin 7 antibody) is a marker of glandular differentiation in lung cancer. Histopathology 1993, 22, 35–38. [Google Scholar] [CrossRef]
- Nakamura, N.; Miyagi, E.; Murata, S.-I.; Kawaoi, A.; Katoh, R. Expression of thyroid transcription factor-1 in normal and neoplastic lung tissues. Mod. Pathol. 2002, 15, 1058–1067. [Google Scholar] [CrossRef]
- Yatabe, Y.; Mitsudomi, T. Epidermal growth factor receptor mutations in lung cancers. Pathol. Int. 2007, 57, 233–244. [Google Scholar] [CrossRef]
- Yatabe, Y.; Mitsudomi, T.; Takahashi, T. TTF-1 expression in pulmonary adenocarcinomas. Am. J. Surg. Pathol. 2002, 26, 767–773. [Google Scholar] [CrossRef]
- Maeshima, A.M.; Omatsu, M.; Tsuta, K.; Asamura, H.; Matsuno, Y. Immunohistochemical expression of TTF-1 in various cytological subtypes of primary lung adenocarcinoma, with special reference to intratumoral heterogeneity. Pathol. Int. 2008, 58, 31–37. [Google Scholar] [CrossRef]
- Pelosi, G.; Fabbri, A.; Tamborini, E.; Perrone, F.; Testi, A.M.; Settanni, G.; Busico, A.; Centonze, G.; Braidotti, P.; Bulfamante, G.; et al. Challenging Lung Carcinoma with Coexistent ΔNp63/p40 and Thyroid Transcription Factor-1 Labeling Within the Same Individual Tumor Cells. J. Thorac. Oncol. 2015, 10, 1500–1502. [Google Scholar] [CrossRef] [PubMed]
- Hayashi, T.; Takamochi, K.; Yanai, Y.; Mitani, M.; Tomita, H.; Mogushi, K.; Suehara, Y.; Takahashi, F.; Suzuki, K.; Saito, T.; et al. Non small cell lung carcinoma with diffuse co-expression of thyroid transcription factor-1 and ΔNp63/p40. Hum. Pathol. 2018, 78, 177–181. [Google Scholar] [CrossRef] [PubMed]
- Takeuchi, T.; Tomida, S.; Yatabe, Y.; Kosaka, T.; Osada, H.; Yanagisawa, K.; Mitsudomi, T.; Takahashi, T. Expression profile-defined classification of lung adenocarcinoma shows close relationship with underlying major genetic changes and clinicopathologic behaviors. J. Clin. Oncol. 2006, 24, 1679–1688. [Google Scholar] [CrossRef]
- Perou, C.M.; Sørlie, T.; Eisen, M.B.; Van De Rijn, M.; Jeffrey, S.S.; Rees, C.A.; Pollack, J.R.; Ross, U.T.; Johnsen, H.; Akslen, L.A.; et al. Molecular portraits of human breast tumours. Nature 2000, 406, 747–752. [Google Scholar] [CrossRef] [PubMed]
- Sørlie, T.; Perou, C.M.; Tibshirani, R.; Aas, T.; Geisler, S.; Johnsen, H.; Hastie, T.; Eisen, M.B.; van de Rijn, M.; Jeffrey, S.S.; et al. Gene expression patterns of breast carcinomas distinguish tumor subclasses with clinical implications. Proc. Natl. Acad. Sci. USA 2001, 98, 10869–10874. [Google Scholar] [CrossRef]
- Nielsen, T.O.; Hsu, F.D.; Cheang, M.C.U.; Karaca, G.; Hu, Z.; Livasy, C.; Dressler, L.; Ragaz, J.; Gown, A.M.; Van De Rijn, M.; et al. Immunohistochemical and clinical characterization of the basal-like subtype of invasive breast carcinoma. Clin. Cancer Res. 2004, 10, 5367–5374. [Google Scholar] [CrossRef]
- Banerjee, S.; Reis-Filho, J.S.; Ashley, S.; Steele, D.; Ashworth, A.; Lakhani, S.R.; Smith, I.E. Basal-like breast carcinomas: Clinical outcome and response to chemotherapy. J. Clin. Pathol. 2006, 59, 729–735. [Google Scholar] [CrossRef]
- Rody, A.; Karn, T.; Liedtke, C.; Pusztai, L.; Ruckhaeberle, E.; Hanker, L.; Gaetje, R.; Solbach, C.; Ahr, A.; Metzler, D.; et al. A clinically relevant gene signature in triple negative and basal-like breast cancer. Breast Cancer Res. 2011, 13, R97. [Google Scholar] [CrossRef]





© 2020 by the authors. Licensee MDPI, Basel, Switzerland. This article is an open access article distributed under the terms and conditions of the Creative Commons Attribution (CC BY) license (http://creativecommons.org/licenses/by/4.0/).
Share and Cite
Cabibi, D.; Bellavia, S.; Giannone, A.G.; Barraco, N.; Cipolla, C.; Martorana, A.; Rodolico, V.; Cajozzo, M.; Florena, A.M. TTF-1/p63-Positive Poorly Differentiated NSCLC: A Histogenetic Hypothesis from the Basal Reserve Cell of the Terminal Respiratory Unit. Diagnostics 2020, 10, 25. https://doi.org/10.3390/diagnostics10010025
Cabibi D, Bellavia S, Giannone AG, Barraco N, Cipolla C, Martorana A, Rodolico V, Cajozzo M, Florena AM. TTF-1/p63-Positive Poorly Differentiated NSCLC: A Histogenetic Hypothesis from the Basal Reserve Cell of the Terminal Respiratory Unit. Diagnostics. 2020; 10(1):25. https://doi.org/10.3390/diagnostics10010025
Chicago/Turabian StyleCabibi, Daniela, Sandro Bellavia, Antonino Giulio Giannone, Nadia Barraco, Calogero Cipolla, Anna Martorana, Vito Rodolico, Massimo Cajozzo, and Ada Maria Florena. 2020. "TTF-1/p63-Positive Poorly Differentiated NSCLC: A Histogenetic Hypothesis from the Basal Reserve Cell of the Terminal Respiratory Unit" Diagnostics 10, no. 1: 25. https://doi.org/10.3390/diagnostics10010025
APA StyleCabibi, D., Bellavia, S., Giannone, A. G., Barraco, N., Cipolla, C., Martorana, A., Rodolico, V., Cajozzo, M., & Florena, A. M. (2020). TTF-1/p63-Positive Poorly Differentiated NSCLC: A Histogenetic Hypothesis from the Basal Reserve Cell of the Terminal Respiratory Unit. Diagnostics, 10(1), 25. https://doi.org/10.3390/diagnostics10010025

