Medial Pterygoid Muscles Penetration by Tubero-Pterygoid Implants: Clinical, Anatomical and Statistical Insights Regarding Temporo-Mandibular Disorders (TMDs)
Abstract
1. Introduction
2. Materials and Methods
2.1. Study Design and Setting
2.2. Participants and Inclusion Criteria
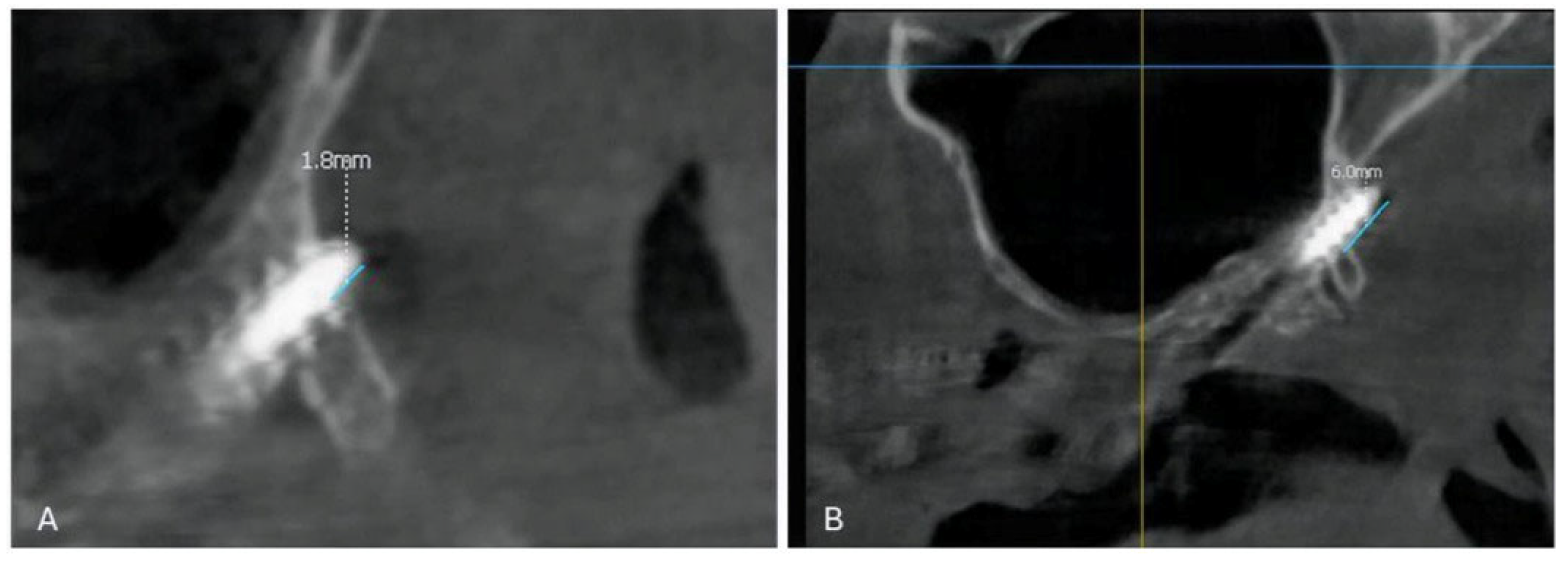
2.3. Imaging and Measurements
2.4. Statistical Analysis
2.5. Ethics Statement
2.6. Bias
3. Results
3.1. Demographic Characteristics of the Study Group
Population Structure


3.2. Distribution of Penetration Depth



3.3. Clinical Outcomes
4. Discussion
- Clinical and Research Implications
5. Conclusions
- Tubero-pterygoid implant penetration into the medial pterygoid muscle is safe and well-tolerated.
- Neither shallow (<2 mm) nor deep (>2 mm) penetration produced pain, trismus, osteolysis, or TMD symptoms.
- Age, sex, and number of implants did not influence outcomes.
- Mechanical stability, neural adaptation, and fibrous tissue reorganization may explain the absence of adverse symptoms.
Author Contributions
Funding
Institutional Review Board Statement
Informed Consent Statement
Data Availability Statement
Conflicts of Interest
References
- Fonseca, R.J.; Walker, R.V.; Barber, H.D.; Powers, M.P.; Frost, D.E. (Eds.) Oral and Maxillofacial Trauma, 4th ed.; Saunders; Elsevier: Amsterdam, The Netherlands, 2013. [Google Scholar] [CrossRef]
- Hannam, A.G.; McMillan, A.S. Internal organization in the human jaw muscles. Crit. Rev. Oral Biol. Med. 1994, 5, 55–89. [Google Scholar] [CrossRef]
- Sakamoto, Y.; Akita, K. Spatial relationships between masticatory muscles and their innervating nerves in man with special reference to the medial pterygoid muscle and its accessory muscle bundle. Surg. Radiol. Anat. 2004, 26, 122–127. [Google Scholar] [CrossRef]
- El Haddioui, A.; Bravetti, P.; Gaudy, J.F. Anatomical study of the arrangement and attachments of the human medial pterygoid muscle. Surg. Radiol. Anat. 2007, 29, 115–124. [Google Scholar] [CrossRef]
- Baker, E.W.; Schuenke, M.; Schulte, E.; Schumacher, U. Head and Neck Anatomy for Dental Medicine; Thieme Medical Publishers: New York, NY, USA, 2010. [Google Scholar]
- Bakke, M. Mandibular elevator muscles: Physiology, action, and effect of dental occlusion. Scand. J. Dent. Res. 1993, 101, 314–331. [Google Scholar] [CrossRef]
- Bakke, M.; Möller, E. Craniomandibular disorders and masticatory muscle function. Scand. J. Dent. Res. 1992, 100, 32–38. [Google Scholar] [CrossRef]
- Choi, T.H.; Kim, B.I.; Chung, C.J.; Kim, H.J.; Baik, H.S.; Park, Y.C.; Lee, K.J. Assessment of masticatory function in patients with non-sagittal occlusal discrepancies. J. Oral Rehabil. 2015, 42, 2–9. [Google Scholar] [CrossRef] [PubMed]
- Murray, G.M.; Carignan, C.; Whittle, T.; Gal, J.A.; Best, C. Pterygoid muscle activity in speech: A preliminary investigation. J. Oral Rehabil. 2022, 49, 1135–1143. [Google Scholar] [CrossRef] [PubMed]
- Bidra, A.S.; Peña-Cardelles, J.F.; Iverson, M. Implants in the pterygoid region: An updated systematic review of modern roughened surface implants. J. Prosthodont. 2023, 32, 285–291. [Google Scholar] [CrossRef] [PubMed]
- Konstantinović, V.S.; Abd-Ul-Salam, H.; Jelovac, D.; Ivanjac, F.; Miličić, B. Pterygoid and tuberosity implants in the atrophic posterior maxilla: A retrospective cohort study. J. Prosthet. Dent. 2023, 130, 219.e1–219.e10. [Google Scholar] [CrossRef]
- Partanen, J.V.; Lajunen, H.; Liljander, S.K. Muscle spindles as pain receptors. BMJ Neurol. Open 2023, 5, e000420. [Google Scholar] [CrossRef]
- Mesa-Jiménez, J.A.; Fernández-de-Las-Peñas, C.; Koppenhaver, S.L.; Sánchez-Gutiérrez, J.; Arias-Buría, J.L. Cadaveric and in vivo validation of needle placement in the medial pterygoid muscle. Musculoskelet. Sci. Pract. 2020, 49, 102197. [Google Scholar] [CrossRef] [PubMed]
- Kröger, S.; Watkins, B. Muscle spindle function in healthy and diseased muscle. Skelet. Muscle 2021, 11, 3. [Google Scholar] [CrossRef]
- Bhojwani, V.; Ghabriel, M.N.; Mihailidis, S.; Townsend, G.C. The human medial pterygoid muscle: Attachments and distribution of muscle spindles. Clin. Anat. 2017, 30, 1064–1071. [Google Scholar] [CrossRef]
- Akcora, D.S.; Karacan, E.; Yapicier, O.; Ogut, E.; Barut, C. Evaluation of muscle spindle density and distribution of certain mimic muscles: A cadaveric study. Bratisl. Med. J. 2025, 126, 328–336. [Google Scholar] [CrossRef]
- Greenberg, A.M. Cone beam computed tomography scanning and diagnosis for dental implants. Oral Maxillofac. Surg. Clin. N. Am. 2015, 27, 185–202. [Google Scholar] [CrossRef]
- Shen, Y.; Li, X.; Feng, X.; Zhang, C.; Shang, Y.; Lin, J. The effects of masseter muscle morphology on three-dimensional occlusion and temporomandibular joint in adult patients with skeletal class II malocclusion: A CBCT study. BMC Oral Health 2025, 25, 1296. [Google Scholar] [CrossRef]
- Öncü, E.; Kuzey, N.; Baltaş, E.; Çağlayan, F. CBCT-based measurement of lateral pterygoid muscle length in TMJ dysfunction. BMC Oral Health 2025, 25, 1463. [Google Scholar] [CrossRef] [PubMed]
- Calin, F.; Dalewski, B.; Ellmann, M.; Kiczmer, P.; Ihde, S.; Bieńkowska, M.; Kotuła, J.; Pałka, Ł. CBCT evaluation of maxillary incisive canal characteristics among population in regard to possibility of implant cortical anchorage—A multicenter study. Dent. J. 2025, 13, 211. [Google Scholar] [CrossRef]
- Calin, F.R.; Dalewski, B.; Ihde, S.; Czuczwał, M.; Konstantinovic, V.S.; Gaur, V.; Kotuła, J.; Pałka, Ł. CBCT evaluation of cortical bone thickness in the nasal floor and lateral wall: Considerations for implant anchorage—A retrospective multicentre study. Dent. J. 2025, 13, 539. [Google Scholar] [CrossRef] [PubMed]
- Travell, J.G.; Simons, D.G. Myofascial Pain and Dysfunction: The Trigger Point Manual, 2nd ed.; Williams & Wilkins: Baltimore, MD, USA, 1999. [Google Scholar]
- Türker, K.S.; Jenkins, M. The motor control of jaw movements: Current perspectives. J. Oral Rehabil. 2000, 27, 366–379. [Google Scholar]
- Fernández-de-Las-Peñas, C.; Nijs, J. Trigger point dry needling for the treatment of myofascial pain syndrome: Current perspectives within a pain neuroscience paradigm. J. Pain Res. 2019, 12, 1899–1911. [Google Scholar] [CrossRef]
- Rodrigues Conti, P.C.; Ferreira, P.M.; Pegoraro, L.F.; Conti, J.V. Effect of parafunctional habits on temporomandibular disorders. J. Oral Rehabil. 2001, 28, 531–538. [Google Scholar]
- Ihde, S.; Pałka, Ł.; Ihde, A. Functional load transmission of pterygoid implants: A biomechanical analysis. Int. J. Oral Implantol. Clin. Res. 2017, 8, 145–152. [Google Scholar]
- Wada, S.; Koizumi, H.; Maeda, T. Adaptation of orofacial muscle afferents following chronic mechanical stimulation. Neurosci. Res. 2004, 48, 363–370. [Google Scholar]
- Schliephake, H.; Aref, A.; Scharnweber, D. Bone formation and soft tissue response in the vicinity of titanium implants. Clin. Oral Implants Res. 2005, 16, 400–407. [Google Scholar]
- Türker, K.S. Reflex control of human jaw muscles. Crit. Rev. Oral Biol. Med. 2002, 13, 85–104. [Google Scholar] [CrossRef] [PubMed]
- Sessle, B.J. Peripheral and central mechanisms of orofacial pain and their clinical correlates. J. Oral Rehabil. 2011, 38, 693–710. [Google Scholar]
- Bazan, E.; Issa, J.P.; Watanabe, I.S.; Mandarim-de-Lacerda, C.A.; Del Bel, E.A.; Iyomasa, M.M. Ultrastructural and biochemical changes of the medial pterygoid muscle induced by unilateral exodontia. Micron 2008, 39, 536–543. [Google Scholar] [CrossRef]
- Akita, K.; Sakaguchi-Kuma, T.; Fukino, K.; Ono, T. Masticatory muscles and branches of mandibular nerve: Positional relationships between various muscle bundles and their innervating branches. Anat. Rec. 2019, 302, 609–619. [Google Scholar] [CrossRef]
- Steed, M.B.; Al-Shebely, M.; Leake, D. Histological response of soft tissue around pterygoid implants: A preliminary report. Int. J. Oral Maxillofac. Surg. 2021, 50, 255–261. [Google Scholar]
Disclaimer/Publisher’s Note: The statements, opinions and data contained in all publications are solely those of the individual author(s) and contributor(s) and not of MDPI and/or the editor(s). MDPI and/or the editor(s) disclaim responsibility for any injury to people or property resulting from any ideas, methods, instructions or products referred to in the content. |
© 2026 by the authors. Licensee MDPI, Basel, Switzerland. This article is an open access article distributed under the terms and conditions of the Creative Commons Attribution (CC BY) license.
Share and Cite
Pałka, Ł.; Gaur, V.; Fodor, C.; Gębska, M.; Jani, M.; Bieńkowska, M.; Dalewski, B. Medial Pterygoid Muscles Penetration by Tubero-Pterygoid Implants: Clinical, Anatomical and Statistical Insights Regarding Temporo-Mandibular Disorders (TMDs). Life 2026, 16, 350. https://doi.org/10.3390/life16020350
Pałka Ł, Gaur V, Fodor C, Gębska M, Jani M, Bieńkowska M, Dalewski B. Medial Pterygoid Muscles Penetration by Tubero-Pterygoid Implants: Clinical, Anatomical and Statistical Insights Regarding Temporo-Mandibular Disorders (TMDs). Life. 2026; 16(2):350. https://doi.org/10.3390/life16020350
Chicago/Turabian StylePałka, Łukasz, Vivek Gaur, Calin Fodor, Magdalena Gębska, Mehul Jani, Marta Bieńkowska, and Bartosz Dalewski. 2026. "Medial Pterygoid Muscles Penetration by Tubero-Pterygoid Implants: Clinical, Anatomical and Statistical Insights Regarding Temporo-Mandibular Disorders (TMDs)" Life 16, no. 2: 350. https://doi.org/10.3390/life16020350
APA StylePałka, Ł., Gaur, V., Fodor, C., Gębska, M., Jani, M., Bieńkowska, M., & Dalewski, B. (2026). Medial Pterygoid Muscles Penetration by Tubero-Pterygoid Implants: Clinical, Anatomical and Statistical Insights Regarding Temporo-Mandibular Disorders (TMDs). Life, 16(2), 350. https://doi.org/10.3390/life16020350

