The Intricate Puzzle of Adrenocortical Tumors: Revisitation of Two Old Cases of Virilizing Adrenocortical Neoplasia with Contradictory Diagnostic and Histopathological Findings and Opposite Conclusions
Abstract
1. Introduction
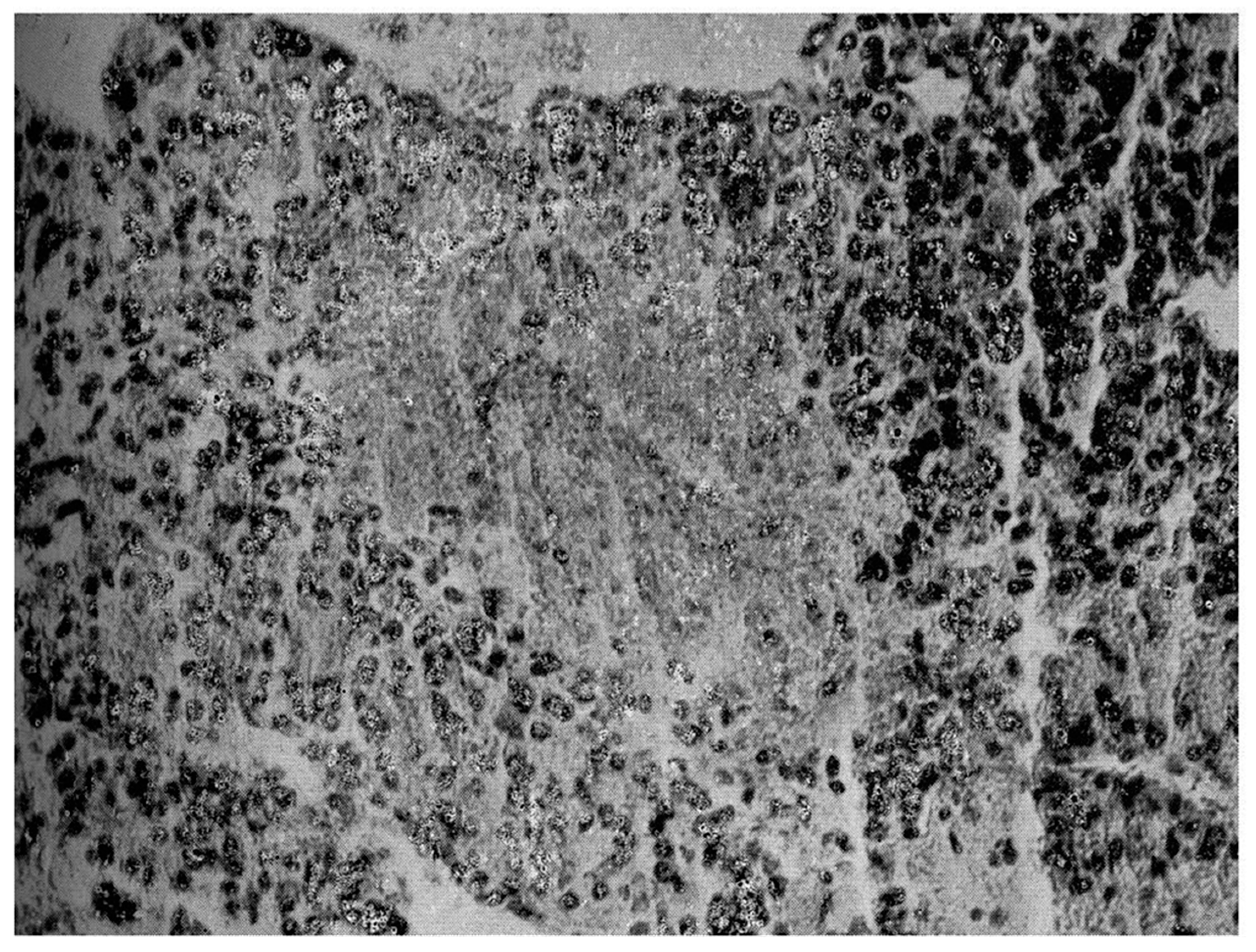
2. Case 1
3. Case 2
4. Discussion
5. Conclusions
Author Contributions
Funding
Institutional Review Board Statement
Informed Consent Statement
Data Availability Statement
Acknowledgments
Conflicts of Interest
References
- Mete, O.; Erickson, L.A.; Juhlin, C.C.; de Krijger, R.R.; Sasano, H.; Volante, M.; Papotti, M.G. Overview of the 2022 WHO classification of adrenal cortical tumors. Endocr. Pathol. 2022, 33, 155–195. [Google Scholar] [CrossRef]
- D’Alessandro, B.; Bellastella, A.; Esposito, V.; Iacono, G.; Maglione, S. A case of adrenal carcinoma: Our experiences with O,p’-DDD therapy. Boll. Della Fond. Sen. Pascale 1968, XV, 35–43. [Google Scholar]
- Bellastella, A.; Esposito, V.; De Luca, R.; Cafaro, M.R.; Ferraiuolo, G.; D’Alessandro, B. Virilising adrenal carcinoma: A case report in pediatric age. Rif. Med. 1979, 94, 245–249. [Google Scholar]
- Fassnacht, M.; Dekkers, O.; Else, T.; Baudin, E.; Berruti, A.; de Krijger, R.R.; Haak, H.R.; Mihai, R.; Assie, G.; Terzolo, M. European Society of Endocrinology Clinical Practice Guidelines on the management of adrenocortical carcinoma in adults, in collaboration with the European Network for the Study of Adrenal Tumors. Eur. J. Endocrinol. 2018, 179, G1–G46. [Google Scholar] [CrossRef] [PubMed]
- Yamazaki, Y.; Tezuka, Y.; Ono, Y.; Satoh, F.; Sasano, H.; Suzuki, T. Updates on WHO 5th edition classification, molecular characteristics and tumor microenvironment of adrenocortical carcinoma. Endocr. J. 2025, 72, 243–257. [Google Scholar] [CrossRef] [PubMed]
- Cussen, L.; McDonnel, T.; Bennett, G.; Thompson, C.J.; Sherlock, M.; O’Reilly, M.W. Approach to androgen excess in women: Clinical and biochemical insights. Clin. Endocrinol. 2022, 97, 174–186. [Google Scholar] [CrossRef] [PubMed]
- Pinto, E.M.; Zambetti, G.P.; Rodriguez-Galindo, C. Pediatric adrenocortical tumours. Best Pract. Res. Clin. Endocrinol. Metab. 2020, 34, 101448. [Google Scholar] [CrossRef] [PubMed]
- Modica, R.; Benevento, E.; Liccardi, A.; Cannavale, G.; Minotta, R.; Di Iasi, G.; Colao, A. Recent avances and future challenges in the diagnosis of neuroendocrine neoplasms. Minerva Endocrinol. 2024, 49, 158–174. [Google Scholar] [CrossRef] [PubMed]
- Fassnacht, M.; Pugliusi, S.; Kimpel, O.; Terzolo, M. Adrenocortical carcinoma: A practical guide for clinicians. Lancet Diabetes Endocrinol. 2025, 13, 438–452. [Google Scholar] [CrossRef] [PubMed]
- Terzolo, M.; Fassnacht, M.; Perotti, P.; Libé, R.; Kastelan, D.; Lacroix, A.; Arlt, W.; Haak, H.R.; Loli, P.; Decoudier, B.; et al. Adjuvant mitotane versus surveillance in low-grade, localised adrenocortical carcinoma(ADI UVO): An International, multicentre, open-label, randomised, phase 3 trial and observational study. Lancet 2023, 11, 720–730. [Google Scholar]
- Nakanishi, H.; Miangul, S.; Wang, R.; El Haddad, J.; El Ghazal, N.; Abdulsalam, F.A.; Matar, R.H.; Than, C.A.; Johnson, B.E.; Chen, H. Open versus laparoscopic surgery in the management of adrenocortical carcinoma: A systematic review and Metya-analysis. Ann. Surg. Oncol. 2023, 30, 994–1005. [Google Scholar] [CrossRef] [PubMed]
- Esposito, G.; Mullineris, B.; Colli, G.; Curia, S.; Piccoli, M. Robotic versus laparoscopic adrenalectomy for adrenal tumors: An up-to-date meta-analysis and perioperative outcomes. Cancers 2025, 17, 150. [Google Scholar] [CrossRef] [PubMed]








Disclaimer/Publisher’s Note: The statements, opinions and data contained in all publications are solely those of the individual author(s) and contributor(s) and not of MDPI and/or the editor(s). MDPI and/or the editor(s) disclaim responsibility for any injury to people or property resulting from any ideas, methods, instructions or products referred to in the content. |
© 2025 by the authors. Licensee MDPI, Basel, Switzerland. This article is an open access article distributed under the terms and conditions of the Creative Commons Attribution (CC BY) license (https://creativecommons.org/licenses/by/4.0/).
Share and Cite
Bellastella, A.; Mercadante, S. The Intricate Puzzle of Adrenocortical Tumors: Revisitation of Two Old Cases of Virilizing Adrenocortical Neoplasia with Contradictory Diagnostic and Histopathological Findings and Opposite Conclusions. Life 2025, 15, 1902. https://doi.org/10.3390/life15121902
Bellastella A, Mercadante S. The Intricate Puzzle of Adrenocortical Tumors: Revisitation of Two Old Cases of Virilizing Adrenocortical Neoplasia with Contradictory Diagnostic and Histopathological Findings and Opposite Conclusions. Life. 2025; 15(12):1902. https://doi.org/10.3390/life15121902
Chicago/Turabian StyleBellastella, Antonio, and Silvia Mercadante. 2025. "The Intricate Puzzle of Adrenocortical Tumors: Revisitation of Two Old Cases of Virilizing Adrenocortical Neoplasia with Contradictory Diagnostic and Histopathological Findings and Opposite Conclusions" Life 15, no. 12: 1902. https://doi.org/10.3390/life15121902
APA StyleBellastella, A., & Mercadante, S. (2025). The Intricate Puzzle of Adrenocortical Tumors: Revisitation of Two Old Cases of Virilizing Adrenocortical Neoplasia with Contradictory Diagnostic and Histopathological Findings and Opposite Conclusions. Life, 15(12), 1902. https://doi.org/10.3390/life15121902

