Embryo Sign on Abdominal CT as the Footprint of Cecal Volvulus: Improved Practice Through Lessons Learned from a Case Report
Abstract
1. Introduction
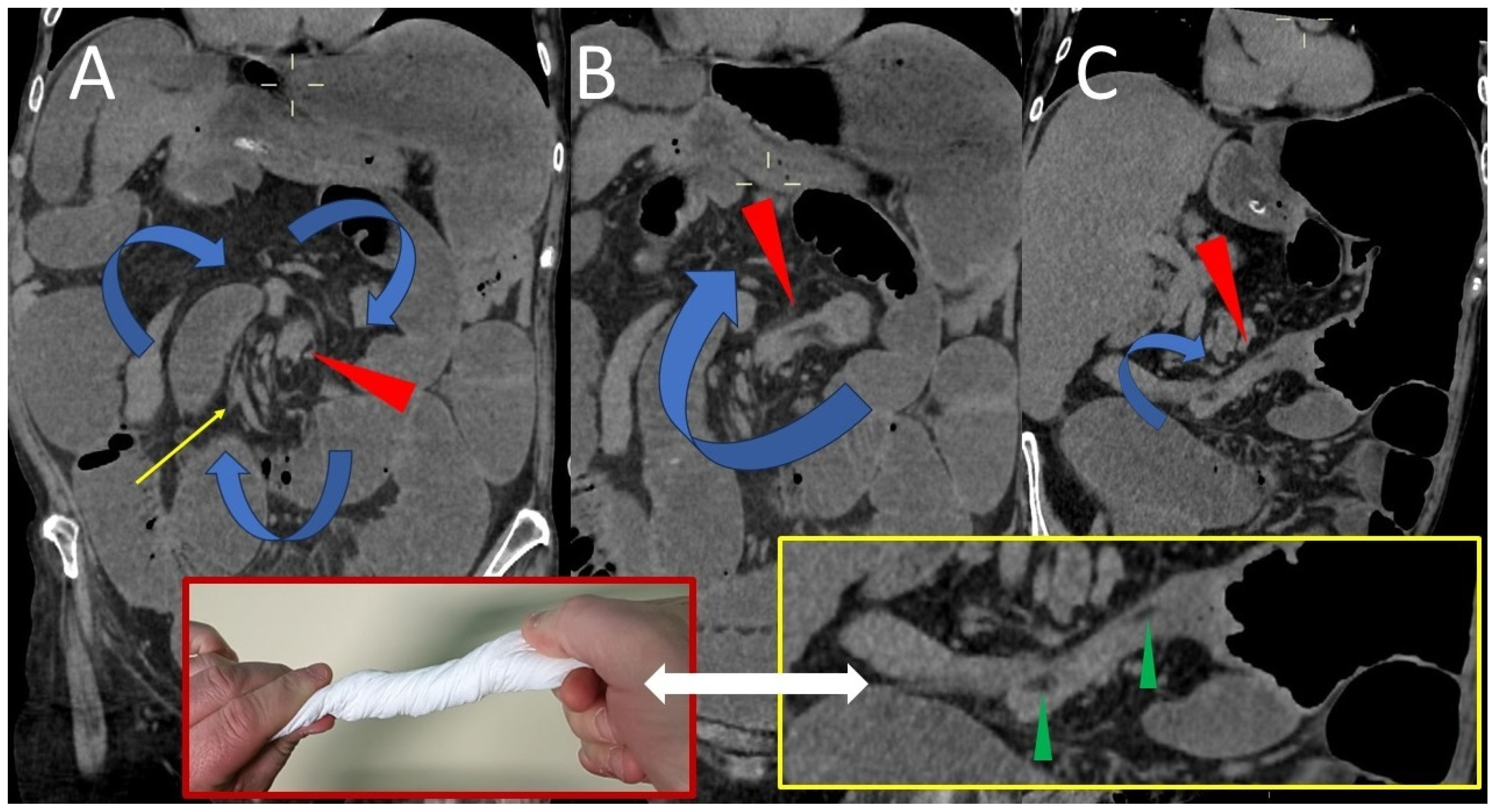
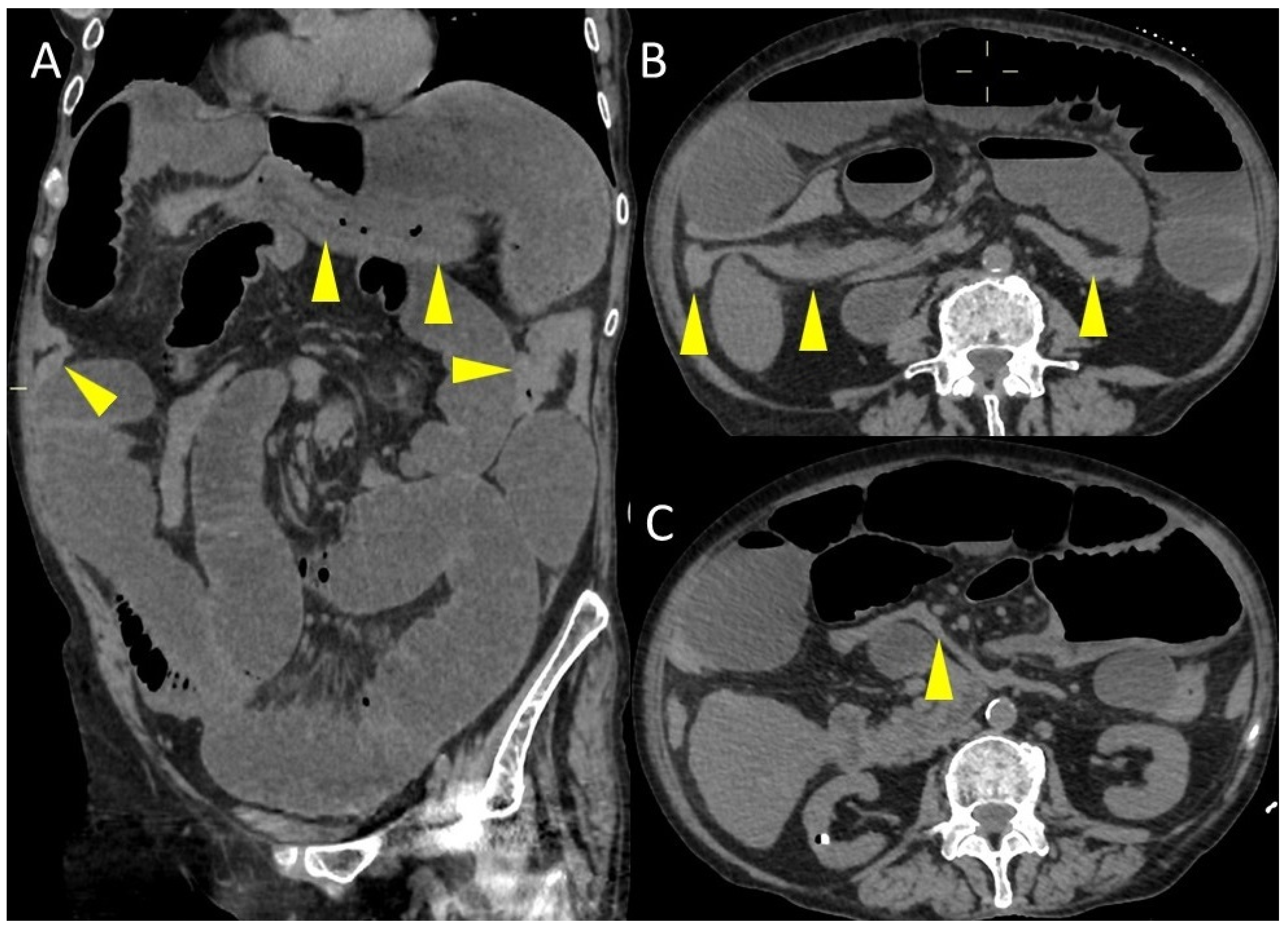
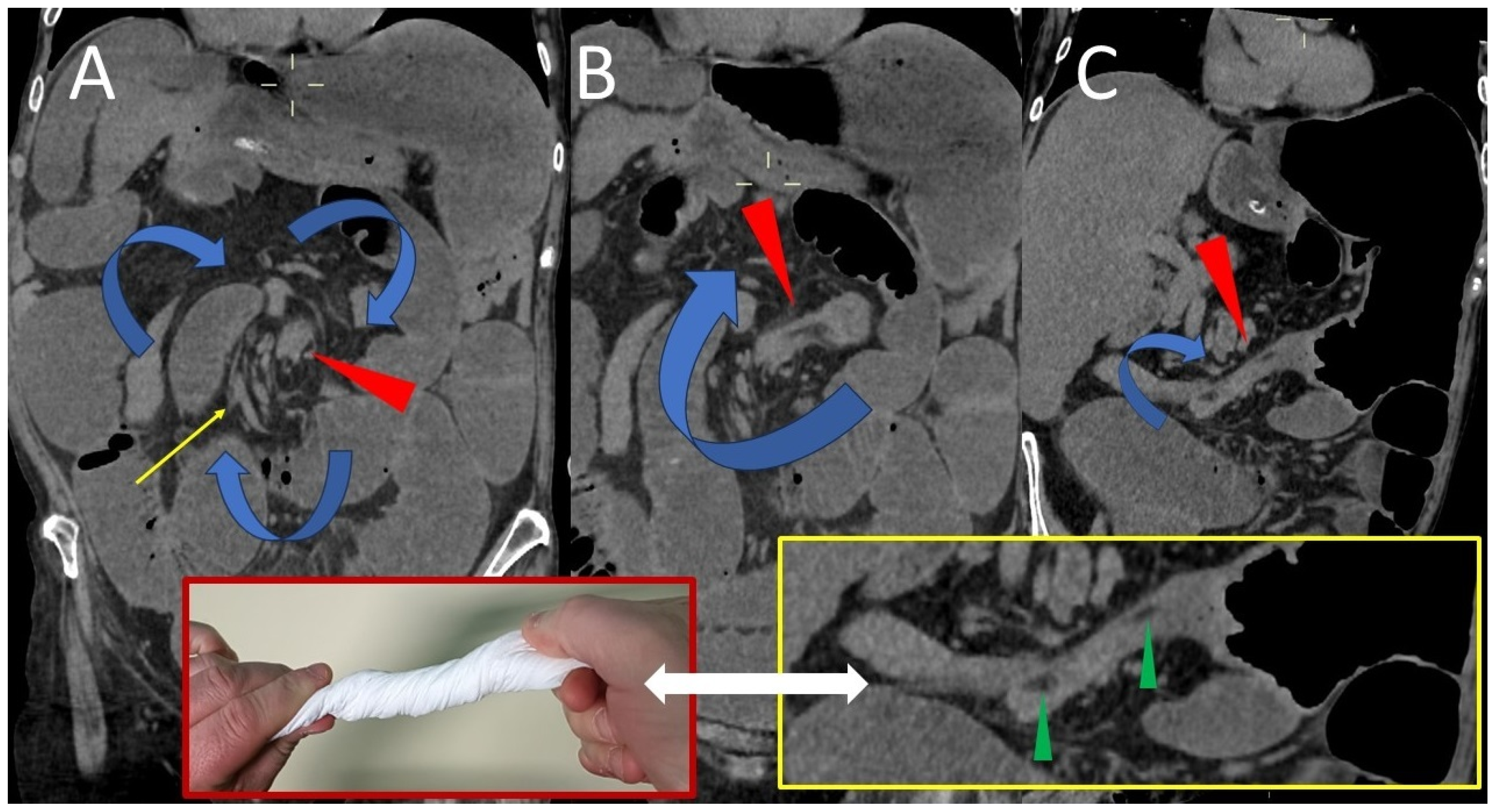
2. Detailed Case Description
3. Discussion
4. Conclusions
Author Contributions
Funding
Institutional Review Board Statement
Informed Consent Statement
Data Availability Statement
Conflicts of Interest
Abbreviations
| CT | Computed Tomography |
References
- Rokitansky, C. Intestinal strangulation. Arch. Gen. Med. 1837, 14, 202–210. [Google Scholar]
- Wismayer, R. Presentation of caecal volvulus in East Africa: A rare cause of bowel obstruction. Int. J. Surg. Clin. Pract. 2022, 4, 144. [Google Scholar] [CrossRef]
- Weinstein, M. Volvulus of the cecum and ascending colon. Ann. Surg. 1938, 107, 248–259. [Google Scholar] [CrossRef] [PubMed]
- Corner, E.M.; Sargent, P.W. VIII. Volvulus of the Caecum: With an Account of Rare and Possibly Common Cases. Ann. Surg. 1905, 41, 63–75. [Google Scholar] [CrossRef]
- Figiel, L.S.; Figiel, S.J. Volvulus of the cecum and ascending colon. Radiology 1953, 61, 496–515. [Google Scholar] [CrossRef] [PubMed]
- Palmer, J.D. Volvulus of the caecum. Can. Med. Assoc. J. 1949, 60, 486–490. [Google Scholar]
- Gardiner, R.H. Volvulus of the caecum. Br. Med. J. 1947, 1, 83–86. [Google Scholar] [CrossRef]
- Stillman, I.R. Two cases of volvulus of the caecum. Br. Med. J. 1948, 2, 255. [Google Scholar] [CrossRef][Green Version]
- Genamo, E.; Neda, K.; Bato, A.; Metekia, H. Cecal volvulus in pregnancy: A rare case report. Int. J. Surg. Case Rep. 2024, 120, 109803. [Google Scholar] [CrossRef] [PubMed]
- Moore, C.J.; Corl, F.M.; Fishman, E.K. CT of cecal volvulus: Unraveling the image. AJR Am. J. Roentgenol. 2001, 177, 95–98. [Google Scholar] [CrossRef]
- Ramsingh, J.; Hodnett, R.; Coyle, T.; Al-Ani, A. Bascule caecal volvulus: A rare cause of intestinal obstruction. J. Surg. Case Rep. 2014, 2014, rju025. [Google Scholar] [CrossRef] [PubMed]
- Consorti, E.T.; Liu, T.H. Diagnosis and treatment of caecal volvulus. Postgrad. Med. J. 2005, 81, 772–776. [Google Scholar] [CrossRef] [PubMed]
- Dean, D.L. Volvulus of the cecum; with report of two cases. Ann. Surg. 1952, 136, 319–325. [Google Scholar] [CrossRef]
- Soliman, M.; Magnetta, M.; Salinas, A.; Feinn, R.S.; Velichko, Y.S.; Miller, F.H.; Kelahan, L.C. Evaluation of 18 CT signs in diagnosing cecal volvulus: A multi-reader retrospective study. Abdom. Radiol. 2024, 49, 357–364. [Google Scholar] [CrossRef]
- Dane, B.; Hindman, N.; Johnson, E.; Rosenkrantz, A.B. Utility of CT Findings in the Diagnosis of Cecal Volvulus. AJR Am. J. Roentgenol. 2017, 209, 762–766. [Google Scholar] [CrossRef]
- Rosenblat, J.M.; Rozenblit, A.M.; Wolf, E.L.; DuBrow, R.A.; Den, E.I.; Levsky, J.M. Findings of cecal volvulus at CT. Radiology 2010, 256, 169–175. [Google Scholar] [CrossRef]
- Radiopaedia. Embryo Sign of Cecal Volvulus. Available online: https://radiopaedia.org/cases/embryo-sign-of-caecal-volvolus (accessed on 3 July 2025).
- Muhammed, A.S.; Aye, M.; Harshad, R.; Malik, K.K. A Case Report—Unusual Presentation of a Common Disease. Biomed. J. Sci. Tech. Res. 2019, 19, 14198–14201. [Google Scholar]
- Zabeirou, A.A.; Belghali, H.; Souiki, T.; Ibn Majdoub, K.; Toughrai, I.; Mazaz, K. Acute cecal volvulus: A diagnostic and therapeutic challenge in emergency: A case report. Ann. Med. Surg. 2019, 48, 69–72. [Google Scholar] [CrossRef] [PubMed]
- Pulvirenti, E.; Palmieri, L.; Toro, A.; Di Carlo, I. Is laparotomy the unavoidable step to diagnose caecal volvulus? Ann. R. Coll. Surg. Engl. 2010, 92, W27–W29. [Google Scholar] [CrossRef]
- Le, C.K.; Nahirniak, P.; Qaja, E. Cecal Volvulus. In StatPearls [Internet]; StatPearls Publishing: Treasure Island, FL, USA, 2022. [Google Scholar]
- Al Khalifa, A.; Sedik, A. Cecal Volvulus: A Report of a Challenging Case. Cureus 2023, 15, e45753. [Google Scholar] [CrossRef]
- Camacho-Aguilera, J.F.; Calderón-Vieyra, A. Vólvulo cecal: Un caso y revisión de la literatura [Cecal volvulus: One case and literature review]. Rev. Med. Inst. Mex. Seguro Soc. 2022, 60, 591–598. [Google Scholar] [PubMed]
- Sylvester, K.R.; Ooko, P.B.; Mwachiro, M.M.; Parker, R.K. Cecal volvulus in rural Kenya: Delayed presentation contributes to high mortality. BMC Surg. 2021, 21, 430. [Google Scholar] [CrossRef] [PubMed]
- Eng, M.; Ravindra, K. Cecal volvulus following laparoscopic nephrectomy and renal transplantation. J. Soc. Laparosc. Robot. Surg. 2009, 13, 612–615. [Google Scholar] [CrossRef]
- Bayless, S.L.; Walker, N.V.; Scott, M.M.; Leo, R.J. Clozapine-Related Cecal Volvulus. Prim. Care Companion CNS Disord. 2024, 26, 24cr03729. [Google Scholar] [CrossRef] [PubMed]
- Aneja, J.; Varshney, V.; Ks, S.; Singhai, K.; Yadav, T. Clozapine Triggering Cecal Volvulus in a Patient with Malrotation and Schizophrenia: Side Effect That Needs Emphasis. Cureus 2020, 12, e7971. [Google Scholar] [CrossRef] [PubMed] [PubMed Central]
- Miura da Costa, K.; Saxena, A.K. A systematic review of the management and outcomes of cecal and appendiceal volvulus in children. Acta Paediatr. 2018, 107, 2054–2058. [Google Scholar] [CrossRef] [PubMed]
- Takada, K.; Hamada, Y.; Sato, M.; Fujii, Y.; Teraguchi, M.; Kaneko, K.; Kamiyama, Y. Cecal volvulus in children with mental disability. Pediatr. Surg. Int. 2007, 23, 1011–1014. [Google Scholar] [CrossRef] [PubMed]
- Shah, S.S.; Louie, J.P.; Fein, J.A. Cecal volvulus in childhood. Pediatr. Emerg. Care. 2002, 18, 300–302. [Google Scholar] [CrossRef] [PubMed]
- Amra, H.S.; Elghandour, M.M.; Abdel-Latif, M. Colonic Volvulus Associated with Hirschsprung’s Disease in the Pediatric Age. Int. J. Colorectal Dis. 2025, 40, 199. [Google Scholar] [CrossRef] [PubMed] [PubMed Central]
- Ferjaoui, M.A.; Arfaoui, R.; Haddad, A.; Hannechi, M.A.; Khedhri, S.; Neji, K. Cecal volvulus: A rare post-partum complication. Int. J. Surg. Case Rep. 2021, 87, 106461. [Google Scholar] [CrossRef] [PubMed]
- Pollard, J.S.; Taylor, S.E.; Wallis, G.; Panchal, S.N.; Egun, A.A. Bowel obstruction in the postpartum period as a result of caecal volvulus around a large uterine leiomyoma. J. Obstet. Gynaecol. 2009, 29, 673. [Google Scholar] [CrossRef] [PubMed]
- Kedrzycki, M.S.; Roy Choudhury, J.; Hakky, S. Caecal volvulus: Untwisting the mystery. BMJ Case Rep. 2021, 14, e237165. [Google Scholar] [CrossRef] [PubMed]
- Delabrousse, E.; Sarliève, P.; Sailley, N.; Aubry, S.; Kastler, B.A. Cecal volvulus: CT findings and correlation with pathophysiology. Emerg. Radiol. 2007, 14, 411–415. [Google Scholar] [CrossRef]
- Lee, S.Y.; Bhaduri, M. Cecal volvulus. Can. Med. Assoc. J. 2013, 185, 684. [Google Scholar] [CrossRef]
- Abbassi, I.; Triki, W.; Trigui, R.; Ben Salah, R.; Itaimi, A.; Ayed, K.; Sebri, H.; Baraket, O.; Bouchoucha, S. Case Report: Caecal volvulus management from diagnosis to treatment in a young patient. F1000Research 2022, 11, 781. [Google Scholar] [CrossRef]
- Rasilainen, S.; Aden, M.; Kivelä, A.J.; Pakarinen, S.; Rintala, J.; Niemeläinen, S.; Helavirta, I.; Moilanen, S.; Mattila, A.; Pinta, T.; et al. Management and risk factors for colonic volvulus: Retrospective national cohort study. BJS Open 2025, 9, zraf113. [Google Scholar] [CrossRef] [PubMed] [PubMed Central]
- Nicolaou, S.; Kai, B.; Ho, S.; Su, J.; Ahamed, K. Imaging of acute small-bowel obstruction. AJR Am. J. Roentgenol. 2005, 185, 1036–1044. [Google Scholar] [CrossRef]
- Paulson, E.K.; Thompson, W.M. Review of small-bowel obstruction: The diagnosis and when to worry. Radiology 2015, 275, 332–342. [Google Scholar] [CrossRef]
- Li, Z.; Shi, L.; Zhang, J.; Sun, Q.; Ming, W.; Wang, Z.; Sun, H. Imaging Signs for Determining Surgery Timing of Acute Intestinal Obstruction. Contrast Media Mol. Imaging 2022, 2022, 1980371. [Google Scholar] [CrossRef]
- Ayyad, M.S.; Alqasaby, A.; Rezk, M.; Abonosier, A.; Khalid, S.; Azam, A. Cecal volvulus on top of Ladd’s band: A case report and review of literature. Bull. Natl. Res. Cent. 2025, 49, 30. [Google Scholar] [CrossRef]
- Jacquemin, Q.; Coulier, B.; Rubay, R. Acute Volvulus of the Cecum. J. Belg. Soc. Radiol. 2020, 104, 40. [Google Scholar] [CrossRef]
- Tampakis, A.; Droeser, R.A.; Tampaki, E.C.; von Holzen, U.; Delko, T. A case of cecal volvulus mimicking Ogilvie Syndrome in a hospitalised patient with a pelvis fracture. Ann. Med. Surg. 2016, 7, 55–57. [Google Scholar] [CrossRef]
- Mohamed, A.A.; Alharbi, M.; Alrashidi, I.; Mohamed, S. Cecal Volvulus a Rare Cause of Intestinal Obstruction. A Case Report. Cureus 2022, 14, e30560. [Google Scholar] [CrossRef] [PubMed]
- Branco, T.; Ávila, L.; Rodrigues, A.; Ferreira, Á. Cecal Volvulus in an Elderly Woman: A Rare Cause of Bowel Obstruction. Cureus 2024, 16, e53571. [Google Scholar] [CrossRef]
- Basendowah, M.; Alabdulqader, M.H.; Abdulqader, O.; Hakami, M. Cecal Volvulus Post Cesarean Section: A Case Report. Cureus 2020, 12, e6644. [Google Scholar] [CrossRef]
- Alghamdi, H.M.; AlShammary, S.; Lardhi, H.; AlDhafeeri, W.; AlLababidi, N. Cecal volvulus following mini gastric bypass: A case report and review of literature. Int. J. Surg. Case Rep. 2018, 53, 461–463. [Google Scholar] [CrossRef]
- Alaoui Mhammedi, O.; Oujidi, Y.; Bkiyar, H. Diabetic Ogilvie’s Syndrome Mimicking Colonic Volvulus: A Case Report. Cureus 2025, 17, e93813. [Google Scholar] [CrossRef] [PubMed] [PubMed Central]
- Fincher, S.E.; Mitchell, G.; Paul, D.K. A Case of Cecal Bascule Following Clostridioides difficile Colitis. Cureus 2025, 17, e93041. [Google Scholar] [CrossRef] [PubMed] [PubMed Central]
- Kreinces, J.; Robbins, A.I.; Kim, D.E. Cecal bascule in pregnancy: A case report and review of the literature. J. Surg. Case Rep. 2023, 2023, rjad287. [Google Scholar] [CrossRef]
- Pangeni, A.; Chowdhury, A.; Rai, S.; Colledge, J.Y.; Shrestha, A.K. Caecal Volvulus: A District General Hospital Experience and Review of the Literature. Surgeries 2022, 3, 78–91. [Google Scholar] [CrossRef]




Disclaimer/Publisher’s Note: The statements, opinions and data contained in all publications are solely those of the individual author(s) and contributor(s) and not of MDPI and/or the editor(s). MDPI and/or the editor(s) disclaim responsibility for any injury to people or property resulting from any ideas, methods, instructions or products referred to in the content. |
© 2025 by the authors. Licensee MDPI, Basel, Switzerland. This article is an open access article distributed under the terms and conditions of the Creative Commons Attribution (CC BY) license (https://creativecommons.org/licenses/by/4.0/).
Share and Cite
Pierro, A.; Posa, A.; Mirco, P.; Di Maio, D.; Vallo, A.; Lippi, M.; Cristino, R.; Barbieri, P.; Oriente, P.; Totaro, A.; et al. Embryo Sign on Abdominal CT as the Footprint of Cecal Volvulus: Improved Practice Through Lessons Learned from a Case Report. Life 2025, 15, 1873. https://doi.org/10.3390/life15121873
Pierro A, Posa A, Mirco P, Di Maio D, Vallo A, Lippi M, Cristino R, Barbieri P, Oriente P, Totaro A, et al. Embryo Sign on Abdominal CT as the Footprint of Cecal Volvulus: Improved Practice Through Lessons Learned from a Case Report. Life. 2025; 15(12):1873. https://doi.org/10.3390/life15121873
Chicago/Turabian StylePierro, Antonio, Alessandro Posa, Paolo Mirco, Dario Di Maio, Antonio Vallo, Marcello Lippi, Roberto Cristino, Pierluigi Barbieri, Pierpaolo Oriente, Antonio Totaro, and et al. 2025. "Embryo Sign on Abdominal CT as the Footprint of Cecal Volvulus: Improved Practice Through Lessons Learned from a Case Report" Life 15, no. 12: 1873. https://doi.org/10.3390/life15121873
APA StylePierro, A., Posa, A., Mirco, P., Di Maio, D., Vallo, A., Lippi, M., Cristino, R., Barbieri, P., Oriente, P., Totaro, A., & Iezzi, R. (2025). Embryo Sign on Abdominal CT as the Footprint of Cecal Volvulus: Improved Practice Through Lessons Learned from a Case Report. Life, 15(12), 1873. https://doi.org/10.3390/life15121873

