Severe Hemolytic Disease of the Fetus Treated with Serial Intrauterine Transfusions: A Case Report and Review of Current Management
Abstract
1. Introduction
2. Materials and Methods
3. Case Presentation
3.1. Description of the Case
3.1.1. Medical History and Symptoms
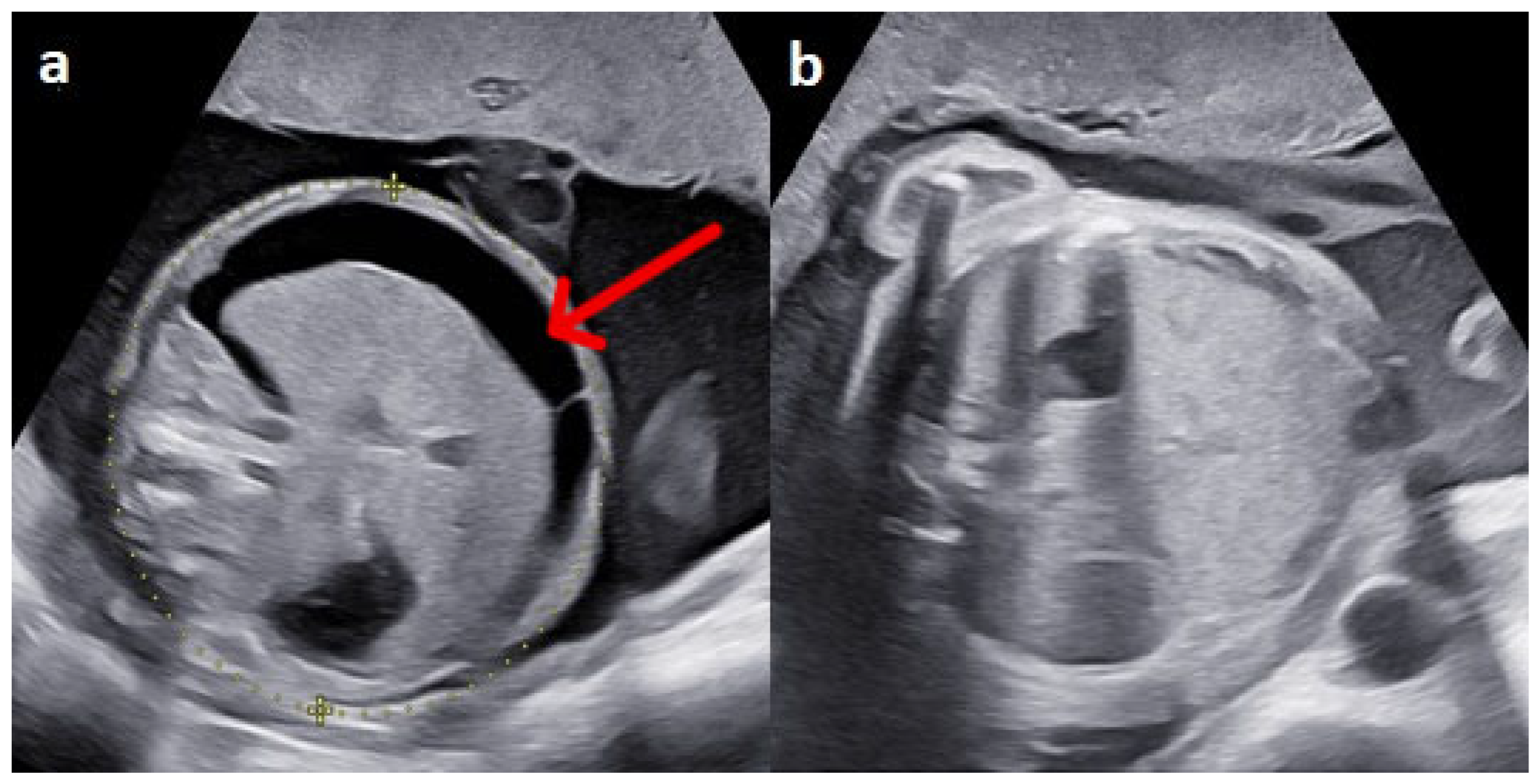
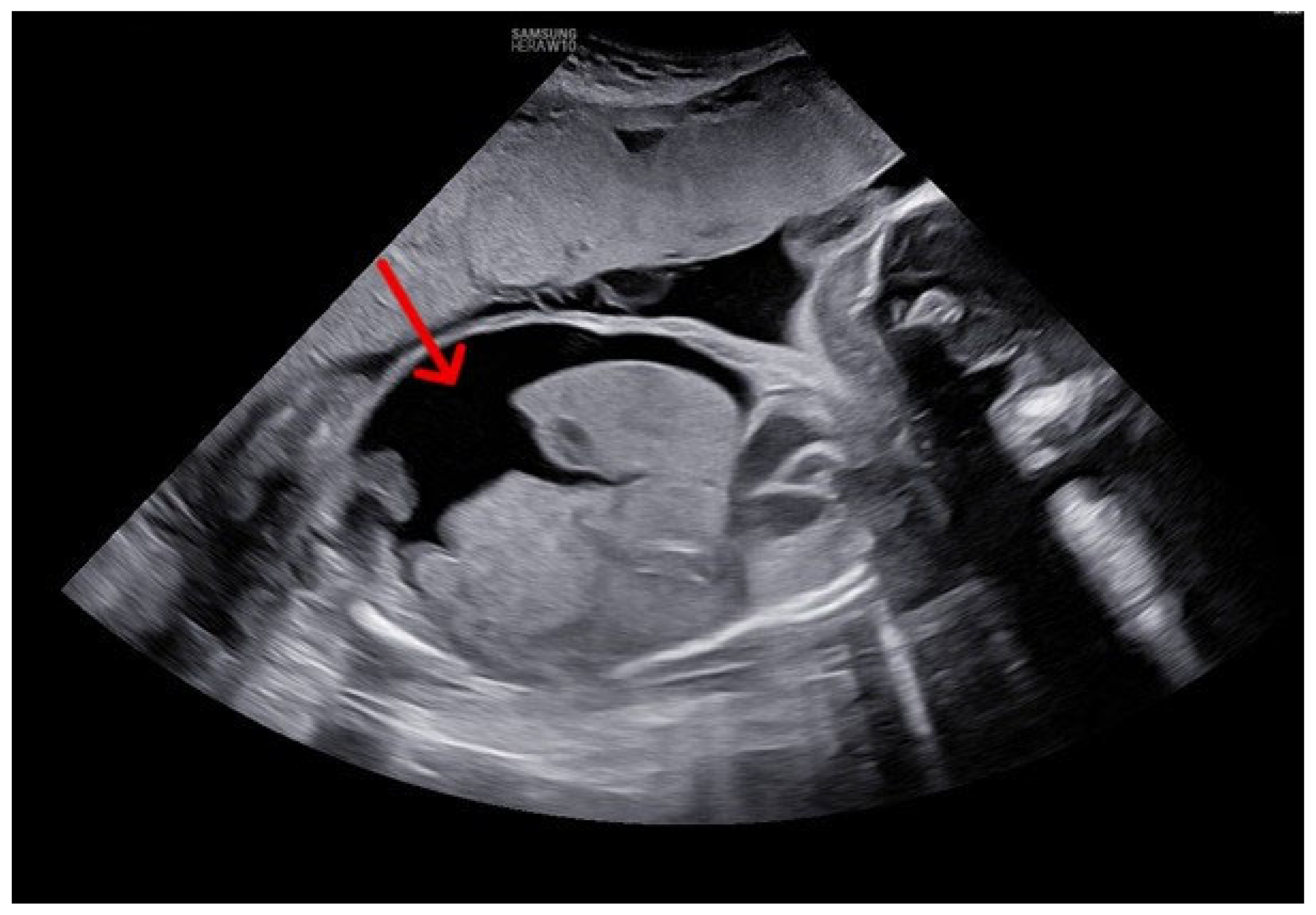
3.1.2. Treatment and Intervention
3.1.3. Outcomes
4. Discussion
5. Conclusions
- Initiating treatment in severely anemic, hydrops-affected fetuses can yield favorable outcomes.
- MCA-PSV Doppler remains a reliable method to monitor fetal anemia, even after multiple transfusions, guiding clinical decision-making.
- Late IUTs (after 34 weeks) can safely prolong pregnancy, mitigate prematurity-related complications, and improve neonatal outcomes.
- Preventive measures, including effective anti-D prophylaxis and screening for significant fetomaternal hemorrhage with dose adjustment, are essential to reduce the risk of severe HDFN.
Author Contributions
Funding
Institutional Review Board Statement
Informed Consent Statement
Data Availability Statement
Conflicts of Interest
Abbreviations
| HDFN | Hemolytic disease of the fetus and newborn |
| IUT | Intrauterine transfusion |
| PSV MCA | Fetal middle cerebral artery peak systolic velocity |
| NICU | Neonatal intensive care unit |
| GA | Gestational age |
References
- Myle, A.K.; Al-Khattabi, G.H. Hemolytic Disease of the Newborn: A Review of Current Trends and Prospects. Pediatr. Health Med. Ther. 2021, 12, 491–498. [Google Scholar] [CrossRef] [PubMed]
- Rosenkrans, D.; Zubair, M.; Doyal, A. Rh Blood Group System. In StatPearls; StatPearls Publishing: Orlando, FL, USA, 2025. Available online: http://www.ncbi.nlm.nih.gov/books/NBK594252/ (accessed on 30 August 2025).
- Sebring, E.S.; Polesky, H.F. Fetomaternal hemorrhage: Incidence, risk factors, time of occurrence, and clinical effects. Transfusion 1990, 30, 344–357. [Google Scholar] [CrossRef] [PubMed]
- Dean, L. Hemolytic disease of the newborn. In Blood Groups and Red Cell Antigens; National Center for Biotechnology Information (US): Bethesda, MD, USA, 2005. Available online: https://www.ncbi.nlm.nih.gov/books/NBK2266/ (accessed on 30 August 2025).
- Prognosis and Management in Subsequent Rh Alloimmunized Pregnancies—PubMed. Available online: https://pubmed.ncbi.nlm.nih.gov/35261671/ (accessed on 31 August 2025).
- Committee on Practice Bulletins—Obstetric. Practice Bulletin No. 181: Prevention of Rh D Alloimmunization. Obstet. Gynecol. 2017, 130, e57. [Google Scholar] [CrossRef]
- Moinuddin, I.; Fletcher, C.; Millward, P. Prevalence and specificity of clinically significant red cell alloantibodies in pregnant women—A study from a tertiary care hospital in Southeast Michigan. J. Blood Med. 2019, 10, 283–289. [Google Scholar] [CrossRef]
- Visser, G.H.A.; Thommesen, T.; Di Renzo, G.C.; Nassar, A.H.; Spitalnik, S.L.; FIGO Committee for Safe Motherhood; Newborn Health. FIGO/ICM guidelines for preventing Rhesus disease: A call to action. Int. J. Gynecol. Obstet. 2021, 152, 144–147. [Google Scholar] [CrossRef]
- Fung, K.F.K.; Eason, E.; Crane, J.; Armson, A.; De La Ronde, S.; Farine, D.; Keenan-Lindsay, L.; Leduc, L.; Reid, G.J.; Van Aerde, J.; et al. Prevention of Rh alloimmunization. J. Obstet. Gynaecol. Can. 2003, 25, 765–773. [Google Scholar] [CrossRef]
- Boureka, E.M.; Tsakiridis, I.; Giouleka, S.; Liberis, A.; Michos, G.; Kalogiannidis, I.; Mamopoulos, A.; Athanasiadis, A.; Dagklis, T. Prevention of Maternal Rh D Alloimmunization: A Comparative Review of Guidelines. Obstet. Gynecol. Surv. 2024, 79, 741–750. [Google Scholar] [CrossRef]
- de Winter, D.P.; Kaminski, A.; Tjoa, M.L.; Oepkes, D. Hemolytic disease of the fetus and newborn: Systematic literature review of the antenatal landscape. BMC Pregnancy Childbirth 2023, 23, 12. [Google Scholar] [CrossRef]
- Moise, K.J. The usefulness of middle cerebral artery Doppler assessment in the treatment of the fetus at risk for anemia. Am. J. Obstet. Gynecol. 2008, 198, 161.e1–161.e4. [Google Scholar] [CrossRef]
- Mari, G.; Adrignolo, A.; Abuhamad, A.Z.; Pirhonen, J.; Jones, D.C.; Ludomirsky, A.; Copel, J.A. Diagnosis of fetal anemia with Doppler ultrasound in the pregnancy complicated by maternal blood group immunization. Ultrasound Obstet. Gynecol. 1995, 5, 400–405. [Google Scholar] [CrossRef] [PubMed]
- Sau, A.; El-Matary, A.; Newton, L.; Wickramarachchi, D.C.J. Management of red cell alloimmunized pregnancies using conventional methods compared with that of middle cerebral artery peak systolic velocity. Acta Obstet. Gynecol. Scand. 2009, 88, 475–478. [Google Scholar] [CrossRef]
- Maciuleviciene, R.; Gaurilcikas, A.; Simanaviciute, D.; Nadisauskiene, R.J.; Gintautas, V.; Vaitkiene, D.; Baliutaviciene, D.K. Fetal middle cerebral artery Doppler velocimetry in cases of rhesus alloimmunization. J. Matern. Fetal Neonatal Med. 2008, 21, 361–365. [Google Scholar] [CrossRef]
- Cordell, V.; Soe, A.; Latham, T.; Bills, V.L.; Royal College of Obstetricians Gynaecologists. The Use of Novel Therapies in the Management of Haemolytic Disease of the Fetus Newborn (HDFN): Scientific Impact Paper No 75. BJOG Int. J. Obstet. Gynaecol. 2025, 132, e53–e60. [Google Scholar] [CrossRef]
- Jabara, S.; Barnhart, K.T. Is Rh immune globulin needed in early first-trimester abortion? A review. Am. J. Obstet. Gynecol. 2003, 188, 623–627. [Google Scholar] [CrossRef] [PubMed]
- Hannafin, B.; Lovecchio, F.; Blackburn, P. Do Rh-negative women with first trimester spontaneous abortions need Rh immune globulin? Am. J. Emerg. Med. 2006, 24, 487–489. [Google Scholar] [CrossRef]
- American College of Obstetricians and Gynecologists. ACOG Clinical Practice Update: Rh D Immune Globulin Administration After Abortion or Pregnancy Loss at Less Than 12 Weeks of Gestation. Obstet. Gynecol. 2024, 144, e140–e143. [Google Scholar] [CrossRef] [PubMed]
- Brambati, B.; Guercilena, S.; Bonacchi, I.; Oldrini, A.; Lanzani, A.; Piceni, L. Feto-maternal transfusion after chorionic villus sampling: Clinical implications. Hum. Reprod. 1986, 1, 37–40. [Google Scholar] [CrossRef]
- Goldstein, A.I.; Pezzlo, F. Fetal-maternal hemorrhage after amniocentesis: Incidence, degree and ramifications. Int. J. Gynecol. Obstet. 1978, 16, 187–189. [Google Scholar] [CrossRef]
- Beneventi, F.; Cavagnoli, C.; Locatelli, E.; Bariselli, S.; Simonetta, M.; Viarengo, G.; Perotti, C.; Spinillo, A. Mild-to-moderate foeto-maternal haemorrhage in the third trimester and at term of pregnancy: Quantitative determination and clinical-diagnostic evaluation. Blood Transfus. 2018, 16, 302–306. [Google Scholar] [CrossRef]
- Lubusky, M.; Simetka, O.; Studnickova, M.; Prochazka, M.; Ordeltova, M.; Vomackova, K. Fetomaternal hemorrhage in normal vaginal delivery and in delivery by cesarean section. Transfusion 2012, 52, 1977–1982. [Google Scholar] [CrossRef] [PubMed]
- David, M.; Smidt, J.; Chen, F.C.K.; Stein, U.; Dudenhausen, J.W. Risk factors for fetal-to-maternal transfusion in Rh D-negative women–results of a prospective study on 942 pregnant women. J. Perinat. Med. 2004, 32, 254–257. [Google Scholar] [CrossRef] [PubMed]
- Umazume, T.; Yamada, T.; Morikawa, M.; Ishikawa, S.; Kojima, T.; Cho, K.; Masauzi, N.; Minakami, H. Occult fetomaternal hemorrhage in women with pathological placenta with respect to permeability. J. Obstet. Gynaecol. Res. 2016, 42, 632–639. [Google Scholar] [CrossRef] [PubMed]
- Crowther, C.A.; Middleton, P. Anti-D administration after childbirth for preventing Rhesus alloimmunisation. Cochrane Database Syst. Rev. 1997, 1997, CD000021. [Google Scholar] [CrossRef] [PubMed]
- Bennardello, F.; Coluzzi, S.; Curciarello, G.; Todros, T.; Villa, S. Recommendations for the prevention and treatment of haemolytic disease of the foetus and newborn. Blood Transfus. 2015, 13, 109–134. [Google Scholar] [CrossRef]
- Biscoe, A.; Kidson-Gerber, G. Rare problems with RhD immunoglobulin for postnatal prophylaxis after large fetomaternal haemorrhage. Obstet. Med. 2015, 8, 193–194. [Google Scholar] [CrossRef]
- Augustson, B.M.; Fong, E.A.; Grey, D.E.; Davies, J.I.; Erber, W.N. Postpartum anti-D: Can we safely reduce the dose? Med. J. Aust. 2006, 184, 611–613. [Google Scholar] [CrossRef]
- Urgessa, F.; Tsegaye, A.; Gebrehiwot, Y.; Birhanu, A. Assessment of feto-maternal hemorrhage among rhesus D negative pregnant mothers using the kleihauer-betke test (KBT) and flow cytometry (FCM) in Addis Ababa, Ethiopia. BMC Pregnancy Childbirth 2014, 14, 358. [Google Scholar] [CrossRef]
- Fung-Kee-Fung, K.; Wong, K.; Walsh, J.; Hamel, C.; Clarke, G. Guideline No. 448: Prevention of Rh D Alloimmunization. J. Obstet. Gynaecol. Can. 2024, 46, 102449. [Google Scholar] [CrossRef]
- Prescott, B.; Jackson, D.E. Effective management of foetal anaemia in Rh(D) alloimmunised pregnant women with intrauterine transfusion: A Systematic Review. Hematol. Transfus. Cell Ther. 2024, 46, 289–299. [Google Scholar] [CrossRef]
- Zwiers, C.; Lindenburg, I.T.M.; Klumper, F.J.; de Haas, M.; Oepkes, D.; Van Kamp, I.L. Complications of intrauterine intravascular blood transfusion: Lessons learned after 1678 procedures. Ultrasound Obstet. Gynecol. 2017, 50, 180–186. [Google Scholar] [CrossRef]
- Martinez-Portilla, R.J.; Lopez-Felix, J.; Hawkins-Villareal, A.; Villafan-Bernal, J.R.; Miño, F.P.Y.; Figueras, F.; Borrell, A. Performance of fetal middle cerebral artery peak systolic velocity for prediction of anemia in untransfused and transfused fetuses: Systematic review and meta-analysis. Ultrasound Obstet. Gynecol. 2019, 54, 722–731. [Google Scholar] [CrossRef]
- Friszer, S.; Maisonneuve, E.; Macé, G.; Castaigne, V.; Cortey, A.; Mailloux, A.; Pernot, F.; Carbonne, B. Determination of optimal timing of serial in-utero transfusions in red-cell alloimmunization. Ultrasound Obstet. Gynecol. 2015, 46, 600–605. [Google Scholar] [CrossRef] [PubMed]
- Youssefzadeh, A.C.; Masri, J.; Korst, L.M.; Llanes, A.; Hamzeh, C.; Chmait, R.H. Safety of Intrauterine Transfusion Performed Beyond 34 weeks of Gestation. Prenat. Diagn. 2024, 44, 1614–1621. [Google Scholar] [CrossRef] [PubMed]
- Peretz, A.C.; Tsaitlin-Mor, L.; Leibner, G.; Cohen, S.M.; Amosi-Victor, D.; Haham, N.; Shwartz, T.; Yanai, N.; Porat, S.; Yagel, S.; et al. Late vs. Early Intrauterine Blood Transfusion in Fetal Anemia: Impact on Maternal and Neonatal Outcomes. Front. Med. 2025, 12, 1614989. [Google Scholar] [CrossRef] [PubMed]
- de Winter, D.P.; Verweij, E.J.T.; Debeer, A.; Devlieger, R.; Lewi, L.; Verbeeck, S.; Maurice, P.; Jouannic, J.-M.; Guillemin, M.-G.; Mailloux, A.; et al. Variations and Opportunities in Postnatal Management of Hemolytic Disease of the Fetus and Newborn. JAMA Netw. Open 2025, 8, e2454330. [Google Scholar] [CrossRef]



| IUT No. | GA [Week + Day] | PSV MCA Day Before IUT [cm/s] | PSV MCA Day Before IUT [MoM] | Fetal HCT at the Day of IUT [%] | Volume of Blood Transfused [mL] | PSV MCA Day After IUT [cm/s] | PSV MCA Day After IUT [MoM] |
|---|---|---|---|---|---|---|---|
| 1 | 24 + 0 | 65.31 | 2.14 | 4.5 | 25 | 34.87 | 1.13 |
| 2 | 24 + 2 | 40.19 | 1.29 | 22 | 22 | 39.60 | 1.26 |
| 3 | 25 + 5 | 55.00 | 1.68 | 20 | 35 | 42.85 | 1.27 |
| 4 | 28 + 6 | 62.06 | 1.65 | 21 | 46 | 39.30 | 1.02 |
| 5 | 31 + 5 | 77.61 | 1.79 | 23 | 60 | 59.98 | 1.35 |
| 6 | 34 + 6 | 86.58 | 1.74 | 21 | 90 | 65.90 | 1.29 |
Disclaimer/Publisher’s Note: The statements, opinions and data contained in all publications are solely those of the individual author(s) and contributor(s) and not of MDPI and/or the editor(s). MDPI and/or the editor(s) disclaim responsibility for any injury to people or property resulting from any ideas, methods, instructions or products referred to in the content. |
© 2025 by the authors. Licensee MDPI, Basel, Switzerland. This article is an open access article distributed under the terms and conditions of the Creative Commons Attribution (CC BY) license (https://creativecommons.org/licenses/by/4.0/).
Share and Cite
Olejniczak, O.; Kornacki, J.; Wender-Ożegowska, E. Severe Hemolytic Disease of the Fetus Treated with Serial Intrauterine Transfusions: A Case Report and Review of Current Management. Life 2025, 15, 1875. https://doi.org/10.3390/life15121875
Olejniczak O, Kornacki J, Wender-Ożegowska E. Severe Hemolytic Disease of the Fetus Treated with Serial Intrauterine Transfusions: A Case Report and Review of Current Management. Life. 2025; 15(12):1875. https://doi.org/10.3390/life15121875
Chicago/Turabian StyleOlejniczak, Olga, Jakub Kornacki, and Ewa Wender-Ożegowska. 2025. "Severe Hemolytic Disease of the Fetus Treated with Serial Intrauterine Transfusions: A Case Report and Review of Current Management" Life 15, no. 12: 1875. https://doi.org/10.3390/life15121875
APA StyleOlejniczak, O., Kornacki, J., & Wender-Ożegowska, E. (2025). Severe Hemolytic Disease of the Fetus Treated with Serial Intrauterine Transfusions: A Case Report and Review of Current Management. Life, 15(12), 1875. https://doi.org/10.3390/life15121875

